作者:徐智
单位:陆军军医大学新桥医院呼吸与危重症医学科
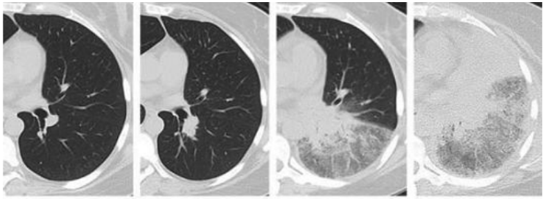
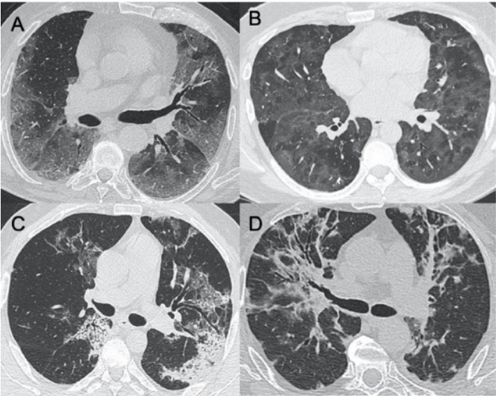
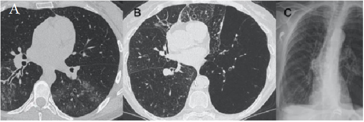
病毒性肺炎是由各种呼吸道病毒感染引发的肺实质炎症,容易并发呼吸衰竭,常见于幼儿(<5岁)和年龄>50岁的成人。WHO数据显示:社区获得性肺炎(CAP)中病毒性肺炎占20%~40%,在ICU中比例稍高,为30%~40%。常见病毒性肺炎的病原体包括流感病毒、鼻病毒、呼吸道合胞病毒、腺病毒、人偏肺病毒、巨细胞病毒、冠状病毒等。病毒性肺炎的常见影像学特征如下:图1所示为COVID-19的高分辨率CT(HRCT):在急性期,图1A为双肺弥漫性磨玻璃影(GGO),图1B为小叶周围型,图1C和D表现为亚急性间质性肺炎,GGO减少,主要为胸膜下局灶性实变和小叶间/小叶内间质增厚。图2A-C显示了一例与COVID-19间质改变相似的甲型流感病例:GGO主要分布在胸膜下和双侧,呈小叶周围性分布。图2D为同一患者的仰卧位胸片,可见弥漫性肺间质受累。图3A-D为一例H1N1相关肺炎并发急性呼吸窘迫综合征(ARDS)的影像,可见弥漫性、双侧GGO以及牵拉性支气管扩张。图4A显示了一例急性腺病毒肺炎,具有典型的多灶性和大叶GGO,图4B-C显示其导致的长期后遗症——Swyer–James综合征的表现。图5所示为一例疱疹病毒性肺炎,可见双侧分布呈斑片状的GGO(主要位于两肺上叶)。一项基于对美国大规模人群分析的前瞻性多中心研究显示,病毒性肺炎的患病率和发病率随年龄而异,其累积发生率约为22%。研究纳入2222例儿童,其中66%(共1472例)报告有病毒感染,在155例(7%)病例中发现病毒和细菌合并感染。事实上,呼吸道病毒、腺病毒和人偏肺病毒在5岁以下儿童中比较常见。在同一研究的2259例成年人患者中,只有853例(38%)患者检测到病原体,530例(23%)患有病毒性肺炎,59例(3%)发现合并感染。
新型冠状病毒(SARS-CoV-2)和甲型流感病毒是两种最容易导致肺炎的病毒,并且甲型流感病毒出现重症患者的死亡率也相当高。在美国成人病毒性肺炎病原体感染率中,人类鼻病毒排在第一位,甲型/乙型流感病毒排在第二位。在我国,甲型/乙型流感病毒导致的病毒性肺炎排在第一位。
在COVID-19病程早期,患者表现为轻症,但此时病毒大量快速复制。若不及时干预,将导致机体的免疫系统被过度激活,免疫平衡被打破,促炎细胞因子过度产生和释放,引发细胞因子风暴。所以,疾病初期病毒大量复制,导致免疫系统过度激活;疾病后期的病情走势与免疫系统是否恢复平衡密切相关。图6 COVID-19不同阶段SARS-CoV-2复制动力学和先天/适应性免疫反应的变化图源:Immunity, 2020, 52(6):905-909.研究表明,COVID-19患者免疫细胞总数减少,与入住ICU、机械通气和死亡风险显著相关。一项纳入20项临床研究涉及3017例COVID-19患者的Meta分析结果显示:危重患者CD4+T细胞、CD8+T细胞、B细胞、NK细胞和淋巴细胞总数均显著低于轻中度患者,其中以CD4+T细胞、CD8+T细胞变化最为明显,降低幅度约为50%。淋巴细胞亚群特别是CD4+T细胞、CD8+T细胞数量的减少与患者临床结局高度相关。另一项纳入770例COVID-19住院患者的回顾性研究结果显示:较低水平的T淋巴细胞与入住ICU、机械通气和死亡风险较高显著相关。入住ICU、机械通气和死亡的cut-off值:CD4+T细胞(267、198和405个/μl)、CD8+T细胞(263、203和182个/μl)和CD4+/CD8+比值(1.4、1.8和1.4)。研究发现,与所有其他组相比,COVID-19感染患者产生IFN-γ和TNF-α的细胞数量显著减少,不及败血症和重症非败血症(CINS)患者的40%~50%,与免疫效应细胞功能明显受损相一致。对于病毒感染而言,IFN-γ是重要的保护性因子。对所有COVID-19感染患者(第1~3、4~7、8~11和12~15天)和CINS患者的样本分析显示,与CINS患者相比,COVID-19感染者淋巴细胞绝对计数显著减少; 与健康个体正常值相, COVID-19感染患者CD3+、CD4+和CD8+T细胞数严重下降, 并在感染期间保持抑制状态。淋巴细胞减少本身就是真菌感染的高危因素。SARS-CoV-2对气道内上皮组织的破坏、激素治疗以及免疫抑制增加了病毒感染患者真菌感染的风险。Simon Feys等对一例COVID-19合并侵袭性细支气管曲霉病患者的支气管活检标本分析发现,在曲霉菌丝侵袭部位,存在SARS-CoV-2病毒的共存。SARS-CoV-2病毒对上皮屏障的破坏促进了曲霉菌丝对组织的侵袭。Dewi等在综述中描述了冠状病毒感染患者潜在的发病机制,流感病毒相关侵袭性肺曲霉病(IAPA)和新冠病毒相关侵袭性肺曲霉病(CAPA)的发病机制有几个共同特征:①患者伴有过度炎症和气道上皮损伤,影响了纤毛对曲霉孢子的清除能力和局部真菌免疫;②IAPA和CAPA特异性的易感因素:如肺泡巨噬细胞内ROS物质的释放受到抑制;③患者接受糖皮质激素治疗;④神经氨酸酶抑制剂的应用;⑤Ⅰ型和Ⅲ型干扰素受到抑制;⑥患者接受的免疫靶向治疗潜在的影响。Tappe等研究比较了非COVID-19患者和COVID-19患者全血标本对烟曲霉的免疫激发能力, 结果显示: 与对照人群相比, COVID-19患者粒细胞对霉菌的免疫反应强度和功能均显著降低, 提示COVID-19患者的粒细胞对曲霉抗原的免疫反应和杀真菌的能力显著减弱。COVID-19感染后,不同人群因免疫抑制状态差异而导致临床表现不一(图7)。
图7 COVID-19感染后的临床结局
注:CDC和NIH对于新冠背景下免疫低下人群的定义:癌症治疗人群、实体器官移植受者、原发性免疫缺陷、晚期或未经治疗的HIV感染者或长期使用高剂量糖皮质激素(>20 mg /d)和抑制免疫系统的其他药物(CNI,抗代谢物,生物制剂)。重症COVID-19患者纤支镜下发现支气管黏膜斑片状伪膜或溃疡病变提示CAPA可能。侵袭性曲霉病细支气管炎(IATB)是COVID-19患者罹患侵袭性曲霉病(IA)的重要临床表现之一,在IAPA和CAPA患者中的比率分别为55%和10%~20%,后者的发病率较低,可能与临床医师对此类患者进行气管镜操作的意愿低有关。IAPA和CAPA疾病定义的专家共识中均将气管镜发现的气道病变纳入到细支气管炎型IAPA和CAPA患者的诊断中,具体镜下表现包括:斑片状伪膜或溃疡病灶的形成。在一项COVID-19合并曲霉细支气管炎的队列研究中,图8A为COVID-19伴曲霉细支气管炎患者气管镜下见溃疡和黄白色斑片伪膜形成(箭头);图8B为COVID-19伴曲霉细支气管炎患者尸检中见因黏膜侵袭和溃烂所致支气管软管暴露(箭头);图8C为COVID-19伴ARDS患者气道组织标本中菌丝对细支气管黏膜的侵袭。图8 COVID-19伴曲霉细支气管炎患者支气管镜和病理所见图源:Eur Respir J, 2022, ;59(5):2103142.图9为上海瑞金医院RICU收治的一例流感病毒感染继发侵袭性肺曲霉病(IPA)患者, 从影像学中可以看到病变非常严重, 沿支气管分布, 非常密集, 以及多发空洞坏死(图9)。该患者最终死亡。可见混合感染会给患者带来非常大的危害。
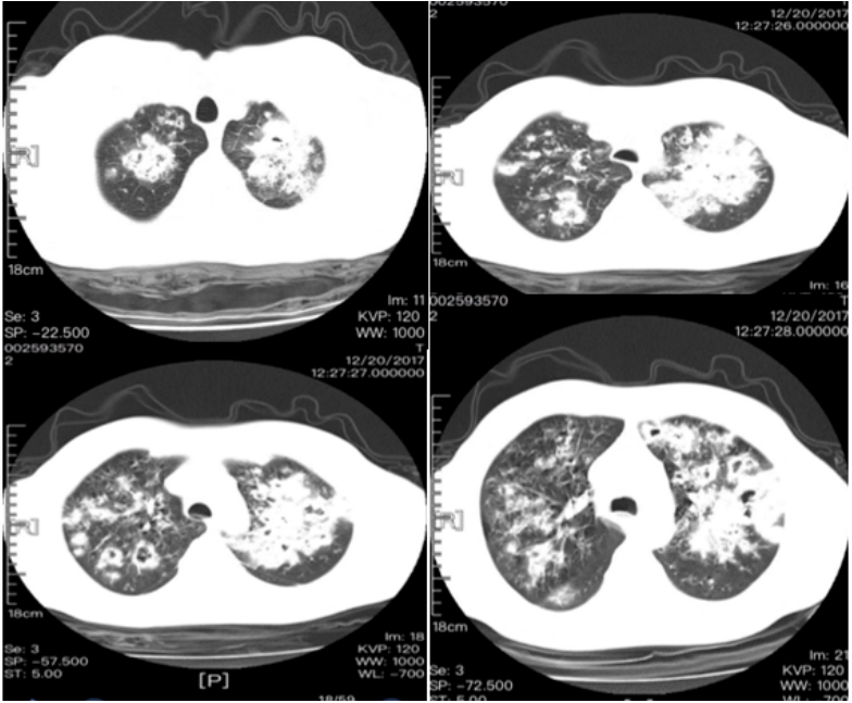
图9 流感病毒感染继发IPA患者的影像学
从SARS到COVID-19,每一场呼吸道病毒疫情中都能看到曲霉对重症患者健康及生命的威胁。2018年Lancet Respir Med杂志发表的一项回顾性队列研究将2009—2016年432例入住ICU(>24 h)的流感患者设为流感组,2009—2017年纳入的315例排除流感病毒感染的CAP患者设为对照组,回归分析结果显示:重症流感入住ICU患者IPA发病率为19.2%(83/432,不同中心发病率介于6%~26%之间);流感是罹患IPA的独立危险因素(aOR 5.19; 95%CI 2.63~10.26; P<0.0001)。2020年早期我国首先报道了CAPA病例,随后在不同地区疫情集中爆发期间相继有报道,并且成为了临床的巨大挑战。Si mon Feys等对观察性研究中患者分布和报道的发病率进行了分析, 5953例患者多数来自于欧洲(79.9%), 重症COVID-19患者罹患CAPA发病率为7.1%~15.1%。尽管纳入的中国地区CAPA病例数量不多, 但中国入住ICU的COVID-19患者肺曲霉感染发病率仍处于中高水平。国内外病毒性肺炎继发真菌感染的发病率和致死率均较高。肺部真菌感染是发生于免疫受损人群的条件致病真菌感染,病原菌为曲霉、念珠菌、肺孢子菌、隐球菌和毛霉等,其中曲霉最为常见。真菌合并感染多出现于重症患者中。Lancet Respir Med 杂志刊登的研究证实重症流感是IPA的独立高危因素,重症流感患者的IPA发病率为19%,死亡率高达51%。2003年北京朝阳医院回顾性分析9例重型SARS患者,其中真菌感染3例,占33.3%,致病菌分别为曲霉、白念珠菌和克柔念珠菌,其中1例患者由于痰培养结果滞后未采取及时治疗死于曲霉感染。2004年北京友谊医院回顾性分析146例重型SARS患者,其中真菌感染32例,占21.9%。2017年荷兰研究者对144例重症流感患者进行了回顾性分析,其中IPA发病率为16%,死亡率高达61%。2021年3月,采用随机效应模型对来自欧洲、墨西哥、中国、巴基斯坦和美国的3148病例进行的Meta分析显示,CAPA的发病率和病死率分别为10.2%和54.9%。COVID-19/重症流感合并IPA显著增加死亡率,CAPA与IAPA无显著差异。一项单中心回顾性研究对重症流感伴ARDS和COVID-19伴ARDS入住ICU的患者进行回顾性分析。比较两种感染下患者罹患IPA的风险和临床预后。结果显示:COVID-19患者49例,CAPA发病率为20.4%;重症流感患者71例,IAPA发病率为23.9%;合并曲霉感染患者的90 d生存率更低(59.3% vs 79.6%,P=0.032)。CAPA和IAPA患者死亡率之间没有显著差异。对CAPA患者危险因素分析发现,在不同研究中,老年患者、严重疾病、免疫抑制宿主(EORTC-MSGERC)、肺部或肝脏基础疾病是CAPA的危险因素,接受糖皮质激素和托珠单抗治疗也增加了罹患CAPA的风险。一些研究发现,负压病房患者曲霉感染和定植率增加,作者倾向于将患者置于正压或接受抗真菌预防,以降低CAPA感染风险。另外,CAPA好发于老年患者,且患者常为重症疾病(入住ICU)、使用糖皮质激素、合并心血管疾病等。对于毛霉病,COVID-19亦是其重要的危险因素。免疫功能抑制、铁载量增加、使用激素治疗、氧疗设备的污染等导致COVID-19患者易发生毛霉病。截至2021年5月28日,印度至少报告了14872例毛霉病患者。而侵袭性毛霉病(IM)也是COVID-19患者另一致命的真菌感染并发症。IA和IM这两种严重的继发真菌感染均伴随高死亡率和不良预后。Hoenigl等对CAPA和新冠病毒相关毛霉病(CAM)患者的宿主因素进行了比较,发现两组患者具有相似的危险因素:老年,男性,接受全身糖皮质激素治疗,入住ICU治疗,由COVID-19导致ARDS。相较于CAPA,CAM患者中除了血液恶性肿瘤和实体器官移植,接受免疫抑制治疗外,新诊断和未受控制的糖尿病患者,或COVID-19伴酮症酸中毒或高血糖增加了罹患鼻-眶-脑毛霉病的风险。CAPA可导致炎症对气道的侵袭和对肺组织的侵袭,对应的临床分型有:曲霉细支气管炎,曲霉阻塞性肺炎和曲霉侵袭性肺炎。CAM患者主要表现为累及鼻-眶-脑(74%)和累及肺部的侵袭性感染(肺部毛霉病)(25%)。Martin Hoenigl等对不同类型CAM患者的疾病严重程度和预后进行比较后发现:鼻-眶-脑毛霉病主要见于轻中度COVID-19患者,而肺部、消化道和播散性毛霉病主要为重度或危重症COVID-19患者。尽管患者总体全因死亡率为49%(39/80),但其他类型毛霉病(肺部,消化道和播散性)患者死亡率可以高达81%(17/21),显著高于鼻-眶-脑毛霉病。累及中枢的患者倾向高于未累及中枢的患者,差异主要体现在疾病中后期。Johnson等报道了一例COVID-19继发曲霉+毛霉(少根根霉,Rhizopus arrhizus)混合肺部感染病例。76岁男性患者,因感染SARS-CoV-2发热,呼吸窘迫入院治疗。胸部CT检查伴有GGO和浸润。接受抗病毒,抗生素和糖皮质激素治疗后病情恶化,接受支气管肺泡灌洗检查。肺泡灌洗液(BALF)标本培养曲霉阳性,血清和BALF标本GM试验均为阳性。接受伏立康唑抗曲霉治疗,患者双侧肺炎病灶扩大,新发双侧上肺叶空洞。入住ICU第29天和36天时BALF标本分离得到曲霉和根霉菌株。美国一项研究结果显示:病毒性肺炎合并曲霉感染显著增加患者病死率、延长住院时间、加重经济负担。此外,在大多数情况下,除非及时进行手术和抗真菌治疗,否则毛霉病患者病情会迅速恶化,并最终死亡;这种情况下,毛霉病患者病死率达54%,且很大程度上取决于感染部位、潜在的基础疾病和真菌类型。
综上,流感是罹患IPA的独立危险因素,中国COVID-19曲霉感染率在全球处于中高水平;病毒性肺炎继发真菌感染发病率高且致死率高,其危险因素包括:中老年患者,严重疾病,免疫抑制宿主,肺部或肝脏基础疾病,接受糖皮质激素和托珠单抗治疗等。侵袭性毛霉病常累及鼻-眶-脑,是重症病毒性肺炎的致命并发症。病毒性肺炎合并真菌感染显著增加患者病死率、延长住院时间、加重经济负担。
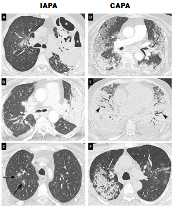
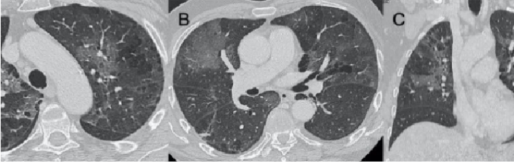
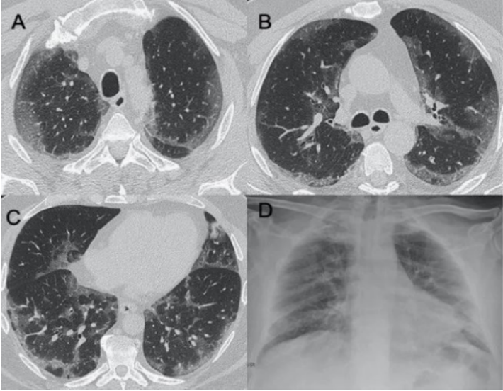
IA的诊断需要正确的标本、正确的检查技术和正确的检查结果。2020年EORTC和MSGERC发布的《侵袭性真菌病的共识定义的修订和更新》中提出的IA的确诊标准:①无菌标本微生物分析:针吸或活检获得标本,进行组织病理学、细胞病理学或直接显微镜检示:菌丝或黑酵母样形态,同时伴随组织损伤证据。②无菌标本培养:从临床或影像学显示的病灶部位(正常无菌部位),通过无菌操作位获取标本,示透明或着色的霉菌。③血标本:同时存在感染的过程中,血培养示霉菌。④组织核酸诊断:福尔马林固定石蜡包埋组织中发现霉菌时,PCR和DNA测序检测到真菌DNA。IA的临床诊断—宿主因素及临床标准:患者需符合1项宿主因素、1项临床标准和1项微生物学标准:(1)宿主因素:①近期发生中性粒细胞缺乏(中性粒细胞计数<0.5×109/L)并持续超过10天;②接受异基因造血干细胞移植;③既往60天内,长时间使用皮质类固醇(除外变应性支气管肺曲霉病):超过3周的平均最低剂量为0.3 mg/(kg·d)的强的松当量;④既往90天内接受T细胞免疫抑制剂治疗,如:环孢素、TNF-α阻滞剂、特定的单克隆抗体(如阿仑单抗),或核苷类似物;⑤遗传性严重免疫缺陷(如慢性肉芽肿、STAT3缺陷或严重联合免疫缺陷);⑥血液恶性肿瘤患者;⑦实体器官移植受者;⑧接受B细胞免疫抑制剂治疗, 如布鲁顿酪氨酸激酶抑制剂(如:依鲁替尼);⑨累及肠、肺或肝的Ⅲ级或Ⅳ级GVHD, 且对一线皮质类固醇治疗无效。(2)临床标准:①肺曲霉病—存在以下4种CT特征中的一种:a. 边界清楚的致密病变,伴或不伴晕征;b. 空气新月征;c. 空洞;d. 楔形和节段性或大叶性实变。②气管支气管炎:镜下可见气管支气管黏膜溃疡,结节,伪膜,斑块,或焦痂。③鼻窦感染:a. 急性局部疼痛(包括放射至眼部的疼痛);b. 鼻溃疡伴黑痂;c. 从鼻窦延伸至穿过骨屏障,包括进入眼眶。④中枢神经系统感染—存在以下2种症状中的1种:影像学局灶性病变;MRI或CT提示脑膜强化。IAPA和CAPA疾病定义、区别COVID-19患者细支气管炎性和肺炎型的诊断标准见表1。表1 IAPA和CAPA疾病定义、区别COVID-19患者细支气管炎性和肺炎型的诊断标准IAPA和CAPA疾病定义专家共识指出,在IAPA和CAPA早期通常表现为非典型影像,如:外周、双侧磨玻璃影±实变或小叶内条索影(碎石征);多发圆形磨玻璃影±实变或小叶内条索影(碎石征);曲霉细支气管炎表现为外周细支气管炎浸润。CAPA共识同时指出:多发肺结节或空洞(单纯的COVID-19感染少见),当出现此类表现应推进进一步的IPA诊断。图10为3例IAPA和3例CAPA患者的肺部影像学表现。A~C为IAPA患者影像学,单侧或双侧实变区伴有空气支气管征(A、B)、空洞形成(*)、树芽征(白色箭头)、支气管壁增厚(白色箭头),或偶见结节伴晕轮征(C,黑色箭头);D~F为CAPA患者影像学,双侧区域磨玻璃影和/或广泛的碎石征(D)、与外周牵拉性支气管扩张相关的广泛实变(E,黑色箭头),或相对少见的单侧区域实变(F)。图源:J Fungi (Basel), 2021, 7(5):388.CAPA影像学形态多变,呈气道分布、具有多病灶、多形性、多变性的特征。可能是一些多发空洞样多形性改变(图11)。IM的确诊标准与前文所述IA的确诊标准相同。其临床诊断需符合1项宿主因素、1项临床标准和1项微生物学标准。粒细胞缺乏、铁载量增加、糖尿病、血液恶性肿瘤、器官移植、造血干细胞移植、静脉药物滥用、使用激素、使用伏立康唑、使用广谱抗细菌药物、肾功能不全、创伤及烧伤都是毛霉病的危险因素。不同毛霉病患者出现不同的临床表现,主要取决于宿主的免疫状态、感染程度和受累器官。毛霉病最常表现为鼻-眶-脑感染,通常发生于真菌孢子吸入鼻窦;这种情况下,感染可能停留在局部,症状与急性鼻窦炎类似:伴发热、头痛、鼻窦疼痛和鼻塞。毛霉病也可表现为吸入孢子后肺部感染,常见发热、胸痛、呼吸困难和咯血(可能是大量和致命的),咯血主要是由于菌丝侵犯血管和继发出血。对于免疫功能低下患者,毛霉感染可能侵犯眼眶和上颚,并进一步延伸到大脑;局部组织侵犯可导致显著的临床异常,包括视力丧失、颅神经麻痹和精神状态改变。皮肤毛霉病患者多数无明显的免疫抑制,但既往有严重创伤;感染可局限于局部或扩展到更深组织,包括周围的骨骼、肌肉和肌腱;病变开始时出现疼痛性红斑和硬化,并逐渐发展为坏死,通常进展为坏死性筋膜炎。在COVID-19患者中,毛霉主要影响眼睛、口腔和大脑,常表现为:眼部干性坏疽,眶鼻区、上颚或口腔底的压疮等。“反晕轮征”是毛霉病的一种特异性征象。既往多项研究及病例报道提示:针对免疫功能不全患者,反晕轮征内的网状结构和较厚的外缘强烈提示患者可能为毛霉病。研究显示,19%~94%的肺毛霉病患者的影像学表现为反晕轮征,且反晕轮征在粒缺患者中更为常见;此外,毛霉病的连续胸片检查显示出快速进展(图12)。图12 一例41岁因急性髓系白血病接受干细胞移植的女性患者肺毛霉病快速进展图源:Radiographics, 2020, 40(3):656-666.鼻-眶-脑是COVID-19继发IM的主要类型(74%),糖尿病基础疾病和酮症酸中毒在其中扮演重要角色。图13描述了COVID-19患者吸入毛霉孢子(a)并在鼻腔内定植(b),在代谢异常条件下生成菌丝(c),毛霉侵入骨骼并延伸至蝶窦进入颅内(d)或经由上颌窦和筛窦可导致眼眶受累(e)。图源:Br J Radiol, 2021, 94(1127):20210648.侵袭性真菌病(IFD)的诊断分为确诊、临床诊断、拟诊和未确定四个级别(表2)。这也决定了侵袭性真菌病的起始治疗方案,经验性治疗要避免病情加重。注:IFD为侵袭性真菌病;G为(1,3)-β-D葡聚糖;GM为半乳甘露聚糖;“/”表示不需要;确诊IFD不依赖患者宿主因素、临床和影像学表现评估。肺部真菌感染存在诊断难和治疗难的特点。诊断方面:①直接镜检+培养的阳性率较低,一次性取材也影响阳性率;②组织病理学检查、抗原抗体检测:GM/G试验需要多次检测来降低假阳性率、受β-内酰胺类抗菌药物影响;③影像学:早期缺乏特异性。治疗方面:①治疗药物有限:目前仅有多烯类、唑类、棘白菌素类;②药物药代动力学:受食物、pH影响;需检测血药浓度;③药物不良反应:包括肝肾功能损害、神经毒性、视觉障碍、输液反应等;④药物配伍禁忌:泊沙康唑、伏立康唑禁止与拮抗药物(利福平)、卡马西平、CYP3A4底物联用等。
2023年《热病·桑福德抗微生物治疗指南(新译第53版)》中提及的侵袭性肺或肺外曲霉病的治疗药物有艾沙康唑、泊沙康唑、伏立康唑、两性霉素B脂质体/脂质复合物、卡泊芬净、米卡芬净等。目前中外指南优先推荐三唑类药物用于IFD的防治。
病毒性肺炎累积发生率为20%~40%,病毒感染后重症/危重症患者常发生免疫抑制。流感病毒及新冠病毒等感染后易继发真菌感染,包括IPA、IM等,显著增加患者病死率、延长住院时间、加重经济负担。危险因素包括:中老年患者,严重疾病,免疫抑制宿主,肺部或肝脏基础疾病,接受糖皮质激素和托珠单抗治疗等。IFD的治疗药物选择需注意感染部位药物分布、药代动力学与器官功能、药物不良反应、联合用药、药物与手术等问题。[1] Pagliano P, Sellitto C, Conti V, et al. Characteristics of viral pneumonia in the COVID-19 era: an update[J]. Infection, 2021, 49(4):607-616. [2] Subbarao K, Mahanty S. Respiratory Virus Infections: Understanding COVID-19[J]. Immunity, 2020, 52(6):905-909. [3] Huang W, Berube J, McNamara M, et al. Lymphocyte Subset Counts in COVID-19 Patients: A Meta-Analysis[J]. Cytometry A, 2020, 7(8):772-776.[4] Wang L, Chen J, Zhao J, et al. The predictive role of lymphocyte subsets and laboratory measurements in COVID-19 disease: a retrospective study[J]. Ther Adv Respir Dis, 2021, 15:17534666211049739.[5] Feys S, Gonçalves SM, Khan M, et al. Lung epithelial and myeloid innate immunity in influenza-associated or COVID-19-associated pulmonary aspergillosis: an observational study[J]. Lancet Respir Med, 2022, 10(12):1147-1159. [6] Tappe B, Lauruschkat CD, Strobel L, et al. COVID-19 patients share common, corticosteroid-independent features of impaired host immunity to pathogenic molds[J]. Front Immunol, 2022, 13:954985. [7] Koehler P, Bassetti M, Chakrabarti A, et al. Defining and managing COVID-19-associated pulmonary aspergillosis: the 2020 ECMM/ISHAM consensus criteria for research and clinical guidance[J]. Lancet Infect Dis, 2021, 21(6):e149-e162. [8] van de Veerdonk FL, Brüggemann RJM, Vos S, et al. COVID-19-associated Aspergillus tracheobronchitis: the interplay between viral tropism, host defence, and fungal invasion[J]. Lancet Respir Med, 2021, 9(7):795-802. [9] Koehler P, von Stillfried S, Garcia Borrega J, et al. Aspergillus tracheobronchitis in COVID-19 patients with acute respiratory distress syndrome: a cohort study[J]. Eur Respir J, 2022, 59(5):2103142. [10] Verweij PE, Rijnders BJA, Brüggemann RJM, et al. Review of influenza-associated pulmonary aspergillosis in ICU patients and proposal for a case definition: an expert opinion[J]. Intensive Care Med, 2020, 46(8):1524-1535. [11] Koehler P, Bassetti M, Kochanek M, et al. Intensive care management of influenza-associated pulmonary aspergillosis[J]. Clin Microbiol Infect, 2019, 25(12):1501-1509. [12] Wang H, Ding Y, Li X, et al. Fatal aspergillosis in a patient with SARS who was treated with corticosteroids[J]. N Engl J Med, 2003, 49(5):507-508. [13] Koehler P, Cornely OA, Böttiger BW, et al. COVID-19 associated pulmonary aspergillosis[J]. Mycoses, 2020, 63(6):528-534. [14] Schauwvlieghe AFAD, Rijnders BJA, Philips N, et al. Invasive aspergillosis in patients admitted to the intensive care unit with severe influenza: a retrospective cohort study[J]. Lancet Respir Med, 2018, 6(10):782-792. [15] Hoenigl M, Seidel D, Sprute R, et al. COVID-19-associated fungal infections[J]. Nat Microbiol, 2022, 7(8):1127-1140. [16] Feys S, Almyroudi MP, Braspenning R, et al. A Visual and Comprehensive Review on COVID-19-Associated Pulmonary Aspergillosis (CAPA)[J]. J Fungi (Basel), 2021, 7(12):1067. [17] 余进. 关于重症新型冠状病毒肺炎继发侵袭性真菌感染实验室诊治建议[J]. 中国真菌学杂志, 2020, 15(1):2.[18] 阴赪宏, 王超, 汤哲, 等. 146例成人重症SARS的临床分析[J]. 中华急诊医学杂志, 2004, 13(1):12-14.[19] 郑毅, 李文雄, 黄克武, 等. 重症SARS患者急性期后院内获得性肺炎[J]. 中华医院感染学杂志, 2003, 13(11):85-87.[20] Schauwvlieghe A, Rijnders BJA, Philips N, et al. Invasive aspergillosis in patients admitted to the intensive care unit with severe influenza: a retrospective cohort study[J]. Lancet Respir Med, 2018, 6(10):782-792.[21] Van de Veerdonk FL, Kolwijck E, Lestrade PP, et al. Influenza- Associated Aspergillosis in Critically Ill Patients[J]. Am J Respir Crit Care Med, 2017, 196(4):524-527.[22] MITAKA H, KUNO T, TAKAGI H, et al. Incidence and mortality of COVID-1 9-associated pulmonary aspergillosis:a systematic review and meta-analysis[J]. Mycoses, 2021, 64(6):993-1001.[23] Reizine F, Pinceaux K, Lederlin M, et al. Influenza-and COVID-19-Associated Pulmonary Aspergillosis: Are the Pictures Different?[J]. J Fungi (Basel), 2021, 7(5):388. [24] Feys S, Almyroudi MP, Braspenning R, et al. A Visual and Comprehensive Review on COVID-19-Associated Pulmonary Aspergillosis (CAPA)[J]. J Fungi (Basel), 2021, 7(12):1067. [25] Salmanton-García J, Sprute R, Stemler J, et al. COVID-19-Associated Pulmonary Aspergillosis, March-August 2020[J]. Emerg Infect Dis, 2021, 27(4):1077-1086.[26] Mahalaxmi I, Jayaramayya K, Venkatesan D, et al. Mucormycosis: An opportunistic pathogen during COVID-19[J]. Environ Res, 2021, 201:111643. [27] Hoenigl M, Seidel D, Sprute R, et al. COVID-19-associated fungal infections[J]. Nat Microbiol, 2022, 7(8):1127-1140. [28] Marr KA, Platt A, Tornheim JA, et al. Aspergillosis Complicating Severe Coronavirus Disease[J]. Emerg Infect Dis, 2021, 27(1):18-25.[29] Hoenigl M, Seidel D, Carvalho A, et al. The emergence of COVID-19 associated mucormycosis: a review of cases from 18 countries[J]. Lancet Microbe, 2022, 3(7):e543-e552. [30] Alqarihi A, Gebremariam T, Gu Y, et al. GRP78 and Integrins Play Different Roles in Host Cell Invasion during Mucormycosis[J]. mBio, 2020, 11(3):e01087-20. [31] Zilberberg MD, Nathanson BH, Harrington R, et al. Epidemiology and Outcomes of Hospitalizations With Invasive Aspergillosis in the United States, 2009-2013[J]. Clin Infect Dis, 2018, 67(5):727-735. [32] Kondapavuluri SK, Anchala VKR, Bandlapalli S, et al. Spectrum of MR imaging findings of sinonasal mucormycosis in post COVID-19 patients[J]. Br J Radiol, 2021, 94(1127):20210648. 
徐智
陆军军医大学第二附属医院呼吸与危重症医学中心 全军呼吸内科研究所主任,主任医师、教授,博士生导师,博士后合作导师,留美学者;教育部国家重点学科学术带头人,西部人才;全军临床重点专科学术带头人;重庆市重大呼吸疾病精准诊疗重点实验室主任;重庆英才(创新领军人才),重庆市学术技术带头人;获重庆自然科学二等奖。中华医学会呼吸病学分会危重症学组委员,中国医师协会继续教育学组委员,中国肺癌防治联盟免疫治疗委员会副主委,中国抗癌协会肿瘤呼吸分会常委,重庆市医学会细菌感染与耐药防治分会副主委,重庆市医学会呼吸病学分会常委兼秘书长,中国人民解放军呼吸内科专委会青委副主委,中国人民解放军呼吸内科专委会肺癌学组委员。从事呼吸科医教研工作20余年,临床经验丰富,尤其对肺癌的早期诊断、个体化综合治疗、呼吸危重症患者的抢救、呼吸介入诊疗有较深的造诣。多次参加国内、国际重大军队卫勤任务。主要从事急性呼吸窘迫综合征发病机制与防治策略的基础与临床转化研究,先后主持国家自然科学基金、国家重点研发计划课题分课题、军队课题、重庆市自然科学基金等项目20余项。以第一作者/共同第一作者、通讯作者发表SCI论著20余篇。副主编教材1部、参编2部军队教材。