登录方式

方式一:
PC端网页:www.rccrc.cn
输入账号密码登录,可将此网址收藏并保存密码方便下次登录

方式二:
手机端网页:www.rccrc.cn
输入账号密码登录,可将此网址添加至手机桌面并保存密码方便下次登录

方式三:
【重症肺言】微信公众号
输入账号密码登录

注:账号具有唯一性,即同一个账号不能在两个地方同时登录。

登录
方式

为重症救治赋能

为患者康复加速

当前位置:首页 重症肺炎 病毒肺炎

鼻病毒肺炎的诊治

周华 浙江大学医学院附属第一医院 发布于2024-07-30 浏览 5326 收藏

作者:周华

单位:浙江大学医学院附属第一医院呼吸与危重症医学科

图片
一、病例分析

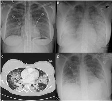
患者,女性,年龄14岁,学生,2021年4月10日入院。主诉:咳嗽咳痰2周,发热1周。
患者入院前2周无明显诱因出现咳嗽气促,咳黄色黏痰,胸闷,无胸痛,无头晕头痛,无恶心呕吐等不适。1周前出现发热,Tmax 39℃,于当地医院就诊,查胸部CT:肺部感染。血常规:WBC 3.03×109/L,NEU% 88.9%,Hb 79 g/L,CRP 75.62 mg/L,抗核抗体:1:100;肺支原体、衣原体检测阴性,结核菌涂片培养阴性,痰培养+药敏试验:正常菌落生长。先后予以“哌拉西林他唑巴坦针、阿奇霉素针、美罗培南针、万古霉素针”抗感染,盐酸溴己新化痰止咳对症治疗,仍有发热、咳嗽、咳痰等症状,遂来我院就诊。既往有白细胞减少,未经治疗
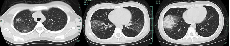
现患者发热,咳嗽感胸痛伴胸闷,咳黄白色黏痰,无恶心呕吐,无头晕头痛等不适。查体:两肺呼吸音粗,右肺可闻及干/湿啰音。2021年4月10日肺部CT示:两肺多发斑片磨玻璃影及间质改变(图1)
图片
图1 患者胸部CT(2021-04-10)
入院后予哌拉西林他唑巴坦4.5 g q8h、阿奇霉素0.5 g qd治疗,效果不理想(图2)
图片
图2  入院后治疗及患者体温变化情况
2021年4月13日BALF mNGS回报:HSV1(序列数1),EBV(序列数35),鼻病毒A型(序列数1005)。该患者可以诊断为鼻病毒肺炎吗?
图片
二、流行病学


鼻病毒是1956年在猴肾细胞上分离被首次发现,目前分为三种,鼻病毒A(RV-A)、鼻病毒B(RV-B)和鼻病毒C(RV-C),属于小核糖核酸病毒科肠道病毒属。目前已识别的基因型近170种,其中RV-A有80种,RV-B有32种,RV-C有57种。鼻病毒的最佳复制温度是33℃(上呼吸道),由于肺内温度是37℃,所以认为鼻病毒在肺内复制比较困难,这也是我们一直怀疑其是否能够引起肺炎的原因。不同种类的鼻病毒通过不同的细胞进入受体:大多数RV-A附着于细胞间黏附分子-1(ICAM-1)【被归类为主要受体组】,而其他12个结合低密度脂蛋白受体(LDL-R)【次要受体组】;RV-B附着在ICAM-1上,而RV-C以人钙黏蛋白相关家族成员3(CDHR3)为受体。鼻病毒是引起急性呼吸道感染的主要原因,尤其是普通感冒。
鼻病毒的主要流行季节是春秋季,也有部分研究认为其也可在冬季流行。鼻病毒主要通过呼吸道传播,在适当的温度、湿度条件下,以飞沫或气溶胶的方式在感染者与正常人群之间传播。受感染和易感宿主吸入空气温度和含水量的季节性变化直接影响胸外和气管黏膜的表面防御。由于未知的原因,这种效应的免疫部分延伸到肺周围和肺组织。
2009—2020年中国社区获得性肺炎(CAP)监测数据显示:①CAP中病毒检出率的差异:在儿童中,呼吸道合胞病毒>流感病毒>副流感病毒;青少年:流感病毒>鼻病毒>腺病毒;在>18岁人群:流感病毒>鼻病毒副流感病毒。②重症社区获得性肺炎(SCAP)中病毒检出率的差异,在儿童中:呼吸道合胞病毒鼻病毒>流感病毒;青少年流感病毒>鼻病毒>呼吸道合胞病毒;在成人中:流感病毒>鼻病毒>副流感病毒;在>60岁人群中:流感病毒>鼻病毒>季节性冠状病毒。③SCAP与非SCAP病毒检出率的差异,在儿童中,博卡病毒、腺病毒、鼻病毒、呼吸道合胞病毒多见,季节性冠状病毒少;在青少年中,季节性冠状病毒、鼻病毒多见。无论是在肺炎患者采样还是重症肺炎患者采样中,鼻病毒的分离率都比较高。该研究认为在SCAP患者中检测到鼻病毒,代表患者病情可能更重。多因素分析显示,在儿童和青少年(<18岁)中,SCAP与感染腺病毒、鼻病毒、肺炎克雷伯菌、或呼吸道合胞病毒与流感嗜血杆菌混合感染、或呼吸道合胞病毒和金黄色葡萄球菌混合感染显著相关。在≥18岁人群中,SCAP与铜绿假单胞菌和肺炎克雷伯杆菌混合感染、金黄色葡萄球菌、铜绿假单胞菌、肺炎克雷伯杆菌感染显著相关。新冠流行前几年和中国大陆第一个COVID-19大流行年, CAP患者中检测到8种病毒的年龄标准化阳性率结果显示呼吸道合胞病毒检出增加, 其余7种病毒检出率均降低。
一项来自美国的多中心研究纳入2010年1月至2012年6月共2259例有肺炎影像学证据和可用于细菌和病毒检测的标本。研究发现:最常见的病原体依次是人鼻病毒(9%)、流感病毒(6%)和肺炎链球菌(5%)。鼻病毒感染常年发生,高低起伏,似乎在10—11月有高峰。该研究认为不同年龄段鼻病毒检出率没有显著差异,全年龄段9%,18~49岁11%,50~64岁7%,65~79岁8%,≥80岁9%。在需住院治疗的CAP患者中,依据病原体发病率,鼻病毒仅在50~64岁患者中占第二,其余均占第一;65岁及以上成年人鼻病毒感染的发生率几乎是年轻人的10倍。
同期发表的另一项来自美国的多中心研究纳入2010年1月至2012年6月共3家医疗中心的2222名儿童,有肺炎影像学证据并可获得标本进行细菌和病毒检测,其中在1802例患儿中共检出2533种病原体,最常见的病原体是呼吸道合胞病毒(28%),其次是鼻病毒(27%)和偏肺病毒(13%)。鼻病毒在不同年龄段的检出率均较高。对不同时间住院儿童CAP的病毒检出情况分析发现,呼吸道合胞病毒、流感病毒和偏肺病毒在冬季的检出率增加,而鼻病毒全年均可检测到。对比521例无症状者(对照组)与832例肺炎患者(肺炎组)的病原体检出情况,发现鼻病毒在对照组的检出率为17%,肺炎组为22%;除鼻病毒外,其余病毒在对照组的检出率均≤3%。儿童CAP及对照组鼻病毒检出率相仿。所以,该研究并不能证明鼻病毒是肺炎的病原体。
有研究报道了泰国农村的鼻病毒检出率:下呼吸道感染住院患者为16%,流感样症状门诊患者为19%,无呼吸道及发热症状门诊患者为9.6%。病例组鼻病毒检出率:≤19岁住院人群鼻病毒阳性率高,尤其是<5岁幼儿。对照组鼻病毒检出率:幼儿中鼻病毒阳性率高,尤其在0~11月龄组,0~6月龄中4/28(14%),6~11月龄中4/6(67%)。住院儿童和老年人的鼻病毒阳性率较高,但在无症状儿童中也有大量鼻病毒被检出。该数据也提示我们,鼻病毒在没有呼吸道症状人群中的阳性率比较高。对于有呼吸道症状且被诊断为肺炎的患者中检测到鼻病毒,是否就可以诊断为鼻病毒肺炎?对此我们仍然存在一定的质疑。

肯尼亚住院儿童重症肺炎和极重症肺炎病原学检测显示鼻病毒检出率为20%。研究将入院儿童分为重症/极重症组和对照组(无肺炎)。对照组与重症/极重症组鼻病毒检出率无显著差异:重症/极重症组为22.9%(184/805),全部对照组为22.2%(82/369);无上呼吸道感染对照组为22.5%(32/142),伴上呼吸道感染对照组为22.0%(50/227)。

图片
三、诊断

患者先被诊断为肺炎,然后病原学检测出鼻病毒,能否诊断为鼻病毒肺炎?
如本文前述病例,抗细菌治疗失败,影像学符合肺炎表现,BALF mNGS检测出高序列数的鼻病毒,诊断为鼻病毒肺炎吗?在肺炎患者标本中检测到鼻病毒究竟意味着什么?这可能还需要从临床中寻找答案。我们或许能够解释为什么鼻病毒在肺炎人群中有如此高的检出率,这可能是因为急性感染后病毒脱落需持续2~4周,鼻病毒检出或许是亚临床感染或先前轻微疾病残留的病毒RNA。
1. 鼻病毒在肺炎中的角色
2014年Clin Infect Dis 杂志曾经发表过一篇文章认为鼻病毒肺炎的诊断标准是先诊断为呼吸道感染,然后通过PCR在下呼吸道标本中检测到鼻病毒。由于鼻病毒是RNA病毒,需要进行RNA检测。但笔者不认可该文章的诊断标准。如果该文章的诊断标准成立,那么就有大量的鼻病毒肺炎可以被诊断。但事实上并非如此,鼻病毒肺炎的诊断需要更加谨慎。
本文开头所述病例于2021年4月22日肺穿刺组织mNGS检测回报鸟分枝杆菌(序列数3)和EBV(序列数4),未发现RNA病毒。患者有先天免疫缺陷,最终被诊断为MonoMAC综合征,鸟分枝杆菌感染。而非鼻病毒感染。患者行肺泡灌洗和肺穿刺仅相隔两天。
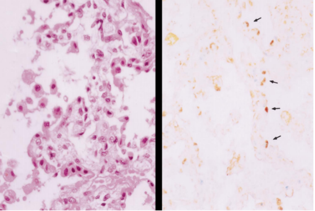
鼻病毒也会引起下呼吸道感染,但可能确实没有我们想象中那么多。2000年Clin Infect Dis 杂志报道了一例明确诊断为鼻病毒肺炎的病例。患者为一新生儿,出现重症肺炎,治疗后56天死亡。尸检肺组织病理学分析显示肺泡隔增厚,肺泡上皮细胞增生,肺泡内可见巨噬细胞。免疫血清分析显示鼻病毒抗原定位于增生性肺泡上皮细胞(图3箭头)、脱皮肿胀的肺泡上皮细胞和肺泡巨噬细胞的细胞质中。
图片

图3  鼻病毒肺炎患儿肺组织病理

图源:Clin Infect Dis, 2000, 30(3):611-612.
另外一例成人重症肺炎患者治疗失败,mNGS检测到鼻病毒和博卡病毒,治疗后患者症状好转,鼻病毒载量下降而博卡病毒持续阳性,综合判断鼻病毒为主要责任病原体。
因此推测患者患病过程可能是鼻病毒引起。因为患者病情变化与鼻病毒的出现及病毒载量下降等变化同步。浙江大学医学院附属第二医院研究团队报道了一例BALF mNGS鉴别鼻病毒-B91高序列数的成人重症肺炎。他们为了证实鼻病毒是引起肺炎的病原体,采用鼻病毒-B91原型病毒(ATCC VR-1292)检测连续采集的血清中鼻病毒-B91中和抗体的血清转化,测定终点滴度,在症状出现后的第1、8、12和15天分别为1:45、1:54、1:214和1:302,这是典型的病毒急性感染过程。综合考虑BALF中鼻病毒-B91具有高序列数,血清中增加的中和抗体滴度,其余可能病因阴性,治疗后好转,强烈提示鼻病毒-B91为SCAP的原因。目前有大量流行病学调查文章显示发现了几十例甚至几百例鼻病毒肺炎,但这其中一定并非全都是鼻病毒肺炎。
2017年J Infect Dis杂志发表的一项研究检测了570例鼻病毒阳性的CAP患者的血清,并通过基因组测序确定鼻病毒的种类和类型。其中有57例(10%)患者为病毒血症,且均为<10岁的儿童(n=57/375;15.2%)。虽然鼻病毒A型是呼吸道标本中最常检出的鼻病毒种类(48.8%),但几乎所有的病毒血症患者都是鼻病毒C型(98.2%)。研究认为,与无病毒血症的患者相比,病毒血症(鼻病毒C型)患者的共同检测病原体较少,且更有可能出现闷、喘息和潜在哮喘/反应性气道疾病史。由此可见,鼻病毒可以引起感染,尤其在儿童群体中,鼻病毒C型还可以引起肺炎,而且可以出现病毒血症。
一项新西兰研究纳入1999年7月至2000年7月304例成人CAP患者,其中177例(58%)获得病原学诊断。88例(29%)检测到病毒,鼻病毒最多。成人CAP组鼻病毒阳性率明显高于对照组(24% vs. 2%)。采用CURB评分及PSI模型评估发现,年龄增长、男性、鼻病毒合并肺炎球菌感染是CAP病情严重的高危因素。所以研究认为,鼻病毒本身引起肺炎的情况可能并不多,其作用是增加了继发性细菌入侵的风险,加剧细菌性肺炎的严重性。
鼻病毒感染在肺炎中类似伴随者的角色,感染与否不影响病情严重程度,但与哮喘和喘息加重相关。鼻病毒C型可以引起喘息、哮喘急性加重和慢阻肺急性加重。因此,鼻病毒的出现不仅仅引发肺炎,还会导致感染或原发病的加重,鼻病毒在其中发挥了推波助澜的作用。英国一项研究也发现,在哮喘急性加重和慢阻肺急性加重患者中,鼻病毒是非常常见的病原体,但患者不一定出现肺炎。
2017年发表在J Med Virol 杂志的一项研究描述了摩洛哥因重症肺炎住院的儿童鼻病毒种类分布及其与临床特征之间的关联。结果显示:鼻病毒C型阳性儿童喘息和发绀的发生率高于鼻病毒A型阳性儿童(80.9% vs. 56.7%;喘息和发绀分别为10.1%和0%;P=0.001)。鼻病毒A型阳性患儿的出院诊断率(40.0%)高于鼻病毒C型阳性患儿(20.2%;P=0.009)。鼻病毒B型最弱,复制最慢,鼻病毒A型可以出现一定的感染,与肺炎相关。最重要的是鼻病毒C型,不仅出现肺炎,还与喘息性疾病有关,并且出现病毒血症
一项中国多中心前瞻性研究纳入2014—2019年间3403例≥14岁CAP患者,结果发现SCAP与非SCAP患者鼻病毒检出率无统计学差异。因此,鼻病毒感染在肺炎中类似伴随者角色,感染与否不影响病情严重程度。另一项来自中国的多中心研究纳入2018年6月至2019年12月17家中心的275例SCAP患者,其中198例明确责任病原体,责任病原体前5位分别是:流感病毒(23.2%)、肺炎链球菌(19.6%)、肠杆菌科(14.6%)、嗜肺军团菌(12.6%)、肺炎支原体(11.1%)。我国SCAP常见病原体未见鼻病毒,是没有鼻病毒肺炎?是鼻病毒不引起重症肺炎?还是临床经验认为鼻病毒不引起免疫正常人群肺炎?因此,也有专家认为,在欧美人群和在中国人群中,鼻病毒的致病能力是不同的。欧美国家始终认为鼻病毒是引起CAP的重要病原体,但在中国我们对鼻病毒始终持怀疑态度。
鼻病毒在肺炎中或许扮演以下角色:①鼻病毒肺炎;②亚临床感染或残留病毒RNA;③推波助澜:存在呼吸道鼻病毒感染,增加继发性细菌入侵的风险,加剧细菌性肺炎的严重性;④类似旁观者角色。
但对于下列人群也不能轻视鼻病毒的致病性:①老年、严重疾病和免疫功能低下患者感染,可导致肺炎,甚至呼吸衰竭;②儿童感染可能发展为毛细支气管炎或肺炎;③年轻人感染通常表现为哮喘加重。
2. 鼻病毒肺炎的临床特点
一项来自中东的研究总结了鼻病毒肺炎的临床特点,其诊断标准是下呼吸道标本鼻病毒阳性就判断为鼻病毒肺炎。可以发现:患者年龄较大,中位年龄为71.5岁,有多个合并症;最常见的合并症为高血压(59%),其次为糖尿病(50%),8.5%患者免疫功能低下;最常见的症状为气短、咳嗽(50%有脓痰);入院时白细胞计数>15×109/L者占18.9%,C反应蛋白>40 mg/L者占53.3%,降钙素原>0.5 ng/ml者占29.0%;平均PSI评分107,15.1%患者入住ICU;病死率为9.4%。
3. 鼻病毒肺炎的影像学表现
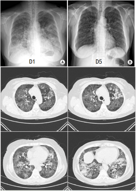
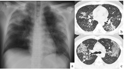
鼻病毒肺炎的影像学表现为双肺有多个模糊的斑片状磨玻璃影(图4箭头),小叶间隔增厚(图4箭头)。也有文献报道的鼻病毒肺炎的胸片显示双侧磨玻璃影和实变(图5a),胸部CT显示双侧磨玻璃影和小叶中心结节(图5b、c)

图片

图4  鼻病毒肺炎影像学表现(一)

图源:Radiographics, 2018, 38(3):719-739

图片

图5  鼻病毒肺炎影像学表现(二)

图源:Respir Med Case Rep, 2019, 28:100910.
在一例55岁免疫功能正常女性患者中还可以看到两肺弥漫磨玻璃影和小叶中心结节,以小叶间隔增厚为主(图6)。并且该患者在5天内就得到了改善,没有其他病原体。另外一例22岁气急性胸痛5天患者的影像学也是双肺对称的磨玻璃影和实变(图7)
图片

图6  鼻病毒肺炎影像学表现(三)

图源:Tuberc Respir Dis, 2014, 77:132-135.
图片

图7  鼻病毒肺炎影像学表现(四)

图源:BMJ Case Rep, 2016, 2016:bcr2015213836.

综上,对于鼻病毒肺炎的诊断需要考虑以下几点:①下呼吸道标本PCR或mNGS检测阳性;②如条件允许,测定血清抗体;③排除其他病因,如细菌感染等;④重症肺炎时注意混合感染;⑤影像学符合;⑥病理学诊断。

图片
四、治疗


对于鼻病毒肺炎目前没有特效药。直接作用的抗病毒药物包括衣壳结合剂和病毒酶抑制剂,衣壳结合通过与病毒衣壳蛋白VP1外部结构中的峡谷结合来阻止病毒脱壳和基因组释放,不能抑制鼻病毒C型的复制。蛋白酶抑制剂如利托那韦(其在临床研究中的有效性尚未得到证实)和聚合酶抑制剂如吉西他滨(一种抗癌药物)都属于病毒酶抑制剂。此外,还有吸入干扰素β、宿主靶向抗病毒药物(HTA)[如25-羟基胆固醇(25OHC)和27-羟基胆固醇(27OHC)]以及P14kB抑制剂。
图片
五、小结


通过文献学习发现,我们似乎低估了鼻病毒,其确实可以引起肺炎,并且可以在肺炎的发生发展过程中发挥一定作用,例如增加细菌感染的机会,加重患者喘息等。但如果仅凭病毒检测阳性就认为是鼻病毒肺炎,那就大大高估了它的临床地位,我们要分清鼻病毒在疾病进程中所扮演的角色。


   参考文献    

上下滑动阅览

[1] Ljubin-Sternak S, Meštrović T. Rhinovirus-A True Respiratory Threat or a Common Inconvenience of Childhood?[J]. Viruses, 2023, 15(4):825.
[2] Moriyama M, Hugentobler WJ, Iwasaki A. Seasonality of Respiratory Viral Infections[J]. Annu Rev Virol, 2020, 7(1):83-101. 
[3] Liu YN, Zhang YF, Xu Q, et al. Infection and co-infection patterns of community-acquired pneumonia in patients of different ages in China from 2009 to 2020: a national surveillance study[J]. Lancet Microbe, 2023, 4(5):e330-e339. 
[4] Jain S, Self WH, Wunderink RG, et al. Community-Acquired Pneumonia Requiring Hospitalization among U.S. Adults[J]. N Engl J Med, 2015, 373(5):415-427. 
[5] Jain S, Williams DJ, Arnold SR, et al. Community-acquired pneumonia requiring hospitalization among U.S. children[J]. N Engl J Med, 2015, 372(9):835-845. 
[6] Fry AM, Lu X, Olsen SJ, et al. Human rhinovirus infections in rural Thailand: epidemiological evidence for rhinovirus as both pathogen and bystander[J]. PLoS One, 2011, 6(3):e17780.
[7] Hammitt LL, Kazungu S, Morpeth SC, et al. A preliminary study of pneumonia etiology among hospitalized children in Kenya[J]. Clin Infect Dis, 2012, 54 Suppl 2(Suppl 2):S190-S199. 
[8] Karhu J, Ala-Kokko TI, Vuorinen T, et al. Lower respiratory tract virus findings in mechanically ventilated patients with severe community-acquired pneumonia[J]. Clin Infect Dis, 2014, 59(1):62-70. 
[9] Imakita M, Shiraki K, Yutani C, et al. Pneumonia caused by rhinovirus[J]. Clin Infect Dis, 2000, 30(3):611-612. 
[10] Li Y, Deng X, Hu F, et al. Metagenomic analysis identified co-infection with human rhinovirus C and bocavirus 1 in an adult suffering from severe pneumonia[J]. J Infect, 2018, 76(3):311-313. 
[11] Yan F, Xiao Y, Li M, et al. Metagenomic Analysis Identified Human Rhinovirus B91 Infection in an Adult Suffering from Severe Pneumonia[J]. Am J Respir Crit Care Med, 2017, 195(11):1535-1536. 
[12] Lu X, Schneider E, Jain S, et al. Rhinovirus Viremia in Patients Hospitalized With Community-Acquired Pneumonia[J]. J Infect Dis, 2017, 16(9):1104-1111. 
[13] Jennings LC, Anderson TP, Beynon KA, et al. Incidence and characteristics of viral community-acquired pneumonia in adults[J]. Thorax, 2008, 63(1):42-48. 
[14] Iwane MK, Prill MM, Lu X, et al. Human rhinovirus species associated with hospitalizations for acute respiratory illness in young US children[J]. J Infect Dis, 2011, 204(11):1702-1710. 
[15] Clark TW, Medina MJ, Batham S, et al. Adults hospitalised with acute respiratory illness rarely have detectable bacteria in the absence of COPD or pneumonia; viral infection predominates in a large prospective UK sample[J]. J Infect, 2014, 69(5):507-515. 
[16] Annamalay AA, Jroundi I, Bizzintino J, et al. Rhinovirus C is associated with wheezing and rhinovirus A is associated with pneumonia in hospitalized children in Morocco[J]. J Med Virol, 2017, 89(4):582-588.
[17] Qu J, Zhang J, Chen Y, et al. Aetiology of severe community acquired pneumonia in adults identified by combined detection methods: a multi-centre prospective study in China[J]. Emerg Microbes Infect, 2022, 11(1):556-566. 
[18] Bahabri I, Abdulaal A, Alanazi T, et al. Characteristics, Management, and Outcomes of Community-Acquired Pneumonia Due to Human Rhinovirus-A Retrospective Study[J]. Can Respir J, 2022, 2022:1349994. 
[19] Koo HJ, Lim S, Choe J, et al. Radiographic and CT Features of Viral Pneumonia[J]. Radiographics, 2018, 38(3):719-739. 
[20] Ishiguro T, Yoshida Y, Kobayashi Y, et al. Primary rhinovirus pneumonia in which bronchoalveolar lavage fluid yielded human rhinovirus[J]. Respir Med Case Rep, 2019, 28:100910. 
[21] Kim K, Song YH, Park JH, et al. Rhinovirus associated severe respiratory failure in immunocompetent adult patient[J]. Tuberc Respir Dis (Seoul), 2014, 77(3):132-135. 
[22] Mayer KN, Wyder D, Spasic D, et al. Severe rhinovirus pneumonia in a young woman taking performance-enhancing drugs[J]. BMJ Case Rep, 2016, 2016:bcr2015213836. 


  作者介绍    

图片

周华
浙江大学医学院附属第一医院呼吸科副主任、教研室副主任,主任医师,博士研究生导师;美国芝加哥大学访问学者。中华医学会呼吸病学分会青年委员、感染学组委员,中华医学会内科学分会青年委员,中国医师协会呼吸医师分会感染工作委员会委员,中国老年医学会呼吸分会青年委员,中国医药教育学会感染性疾病专业委员会委员,浙江省医学会呼吸病学分会青委副主委、感染学组副组长,浙江省呼吸系统感染诊治联盟执行主席;主持国家自然科学基金3项、国家重点研发计划课题1项、浙江省“尖兵”“领雁”计划项目1项,以第一/通讯作者发表SCI论文50余篇,作为主要完成人获省部级奖励2项。


点我观看视频.jpg

全部评论 0
Copyright©2020-2026 北京医麦斯科技有限公司 版权所有 京ICP备2020034400号-1 京公网安备11010502043983号