作者:孙丽娜
副流感病毒(parainfluenza viruses,PIV)隶属副黏病毒科,为单链RNA病毒,电镜下多呈球型,直径125~250 nm,约有15500个核苷酸,编码6种结构蛋白。PIV主要侵犯呼吸道黏膜的表层组织,在纤毛上皮细胞内复制和繁殖。感染多从鼻咽开始,2~5天后可延伸至下呼吸道并达到复制高峰。病理改变为:气管、支气管黏膜上皮细胞变性、坏死增生和黏膜糜烂,当侵犯肺泡上皮细胞及间质细胞时,则引起间质性肺炎。
PIV感染宿主后,刺激机体先天免疫系统,激活多条反应通路,抑制病毒复制。PIV感染诱导机体形成特异性免疫反应,包括体液免疫和细胞免疫。体液免疫可产生局部抗体和血清抗体,抗HN蛋白和抗F蛋白抗体具有中和、抵御病毒攻击之效,对预防PIV感染有重要作用。细胞免疫中的T淋巴细胞可清除病毒。PIV上的HN蛋白、P蛋白和NP蛋白有T细胞结合表位。因此,体液免疫和细胞免疫对PIV具有较强的抵御作用。
PIV非结构蛋白V和C可靶向抑制干扰素系统的信号分子,抑制先天免疫应答。PIV-3型C蛋白既可刺激细胞增殖以促进病毒复制;PIV-3型M蛋白诱导线粒体自噬,拮抗干扰素反应;PIV-3型P蛋白进一步阻止自噬体-溶酶体融合,逃避机体免疫反应并利用自噬体双层膜结构便于病毒复制。
PIV通过空气飞沫传播,也可以通过接触感染者和病毒携带者的分泌物传播。易感人群主要为儿童、婴幼儿感染及免疫缺陷患者。中国疾控中心数据显示:2009—2020年成人及儿童急性呼吸道感染患者病毒阳性率最高是流感病毒(28.5%),其次分别是呼吸道合胞病毒、鼻病毒和PIV(13.1%)。由于病原学检测方法的改进,成年人感染PIV逐渐检出增多。针对免疫功能正常住院患者的调查显示:在成人急性呼吸道感染中,PIV感染占2%~15%;PIV肺炎患者中,低收入人群感染率高,且哮喘、慢阻肺、糖尿病、高血压以及心脏病患者、群居、吸烟饮酒者较多。美国住院肺炎患者中,PIV感染率为0.2%~11.5%,在15岁以上感染PIV住院患者中,10.5%有肺炎表现。造血干细胞移植患者中约有4%感染PIV,在移植100天内有3%~7%的患者感染PIV,PIV感染患者中,37%(0~74%)患者发生下呼吸道感染。PIV感染具有季节性、血清型差异及地区差异。中日友好医院单中心数据显示4月、7-8月及12月是PIV感染的高发季节。郑州单中心研究显示PIV在夏秋季的感染率高。自COVID-19以来,中国南方9-12月为PIV-3型感染高峰期。HPIV-3型是最主要的血清型,COVID-19以来,中国南方住院的肺炎患者(儿童)中,PIV检出率较前升高。成人重症感染的危险因素包括:免疫功能低下,尤其是接受过造血干细胞移植和肺移植者;高龄;心脏和肺部疾病;感染PIV-3型。死亡的危险因素主要有:免疫功能低下,尤其是接受过造血干细胞移植和肺移植者、白血病患者;继发细菌或真菌性肺炎;PIV感染后使用糖皮质激素治疗[≥1 mg/(kg·d)泼尼松等效剂量,无法区分病情本身重还是激素治疗所致];年龄(PIV感染住院的危险因素,感染PIV更容易合并细菌感染)。根据基因型及血清学特点,分为1~4血清型,即PIV-1至PIV-4型。PIV-4型一般感染上呼吸道,通常症状轻。PIV-1型和PIV-2型更易感染喉及气管上端,喉炎时可有犬吠样咳嗽及鸣音。PIV-3型易感染远端气道、与支气管炎和肺炎相关,支气管痉挛引起哮鸣较常见。
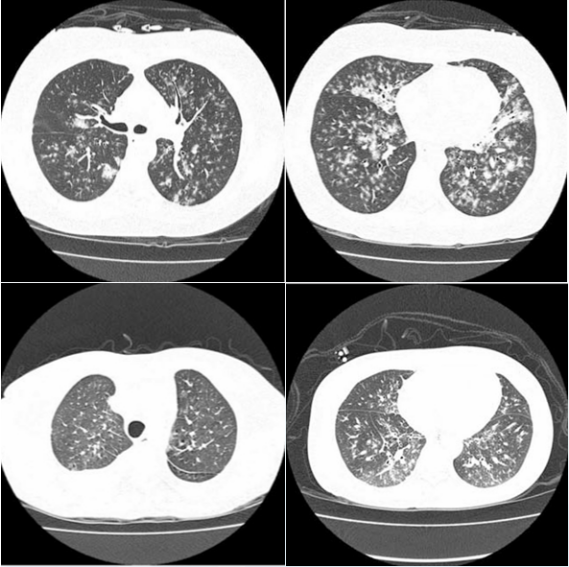
PIV肺炎与其他病原体感染的临床表现不易区分。咳嗽、流涕及咽痛是最常见的症状,特殊表现为犬吠样咳嗽,喘息更常见(86%)。原基础病急性加重也是常见表现(如哮喘、慢阻肺及心衰)。查体哮鸣音比例高(52%),氧疗、插管率及入ICU比例与其他肺炎无显著差别。PIV肺炎住院天数相对较少。PIV肺炎的影像学表现无特异性,与其他病毒性肺炎的表现相似,包括树芽征、间质浸润、磨玻璃影、支气管壁增厚和支气管周围实变。美国一项多中心回顾性门诊调查研究中分析了24例成人PIV感染患者(免疫功能低下占38%)的影像特点【这些患者没有检测到其他病原体,7天内有胸部CT结果】:以气道为中心的分布(67%)【气道中心分布患者例数除以24,但这24例患者中有4例没有肺部感染表现。但个人认为应该用气道中心分布患者例数除以20,结果所得比率为80%】,树芽征(54%)、支气管壁增厚(支气管炎、细支气管炎、支气管肺炎)(图1,图2)显著高于流感病毒(27%)、腺病毒(10%);与呼吸道合胞病毒(53%)相仿(类似的分子结构:副黏病毒科,负单链RNA病毒)。磨玻璃病变(38%)、多灶性实变(25%)(图3)与其他病毒肺炎无明显差别(除外腺病毒),无双肺弥漫性磨玻璃或实变病例,无肺炎比例17%,显著低于流感病毒(43%)。由于绝大多数门诊PIV感染患者症状很轻, 可能完全没有做CT检查, 因此该研究结果仍值得商榷。图1. 一例61岁女性患者,新发呼吸困难所致副流感病毒引起的支气管炎。CT图像显示支气管壁弥漫性增厚。
图源:AJR Am J Roentgenol, 2013, 201(3):550-554.
图2. 一例54岁男性患者,副流感病毒引起的毛细支气管炎,出现咳嗽和发热。CT图像显示轻微的树芽征,伴轻度弥漫性支气管壁增厚。
图源:AJR Am J Roentgenol, 2013, 201(3):550-554.
图3. 一例接受双侧肺移植的54岁男性副流感病毒引起的多灶性肺炎。CT图像可见双下肺叶有实变和磨玻璃样变。
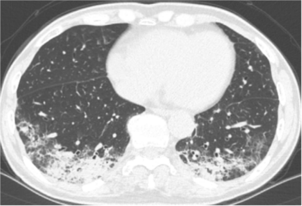
图源:AJR Am J Roentgenol, 2013, 201(3):550-554.另有研究总结了6例造血干细胞移植患者影像学特点,代表免疫受损严重患者的影像特点,其中多发小结节(最常见)(<5 mm为主,也有5~10 mm结节或>1 cm结节),支气管周围分布,外周分布的磨玻璃密度增高影、含支气管充气征的实变(1/2出现)(图4)。
图4. 造血干细胞移植患者影像学表现
图源:Clin Infect Dis, 2009, 48(7):905-909.PCR是PIV的首选检测方法,通常可用鼻咽拭子或肺泡灌洗液(BALF),PCR阳性可确诊。快速抗原检测敏感性低,PIV培养和血清学未广泛开展,而且周转时间长。
大多数免疫功能正常的门诊轻度呼吸道感染者没必要检测PIV或其他病原体,因为其结果通常不会改变治疗方法。社区获得性肺炎(CAP)住院患者在病毒流行季或疾病暴发期,在初始诊断评估中纳入PIV。大多数出现发热或上/下呼吸道感染症状的免疫功能低下患者通常会在评估时检测PIV和其他病原体。目前尚无明确有效的抗PIV感染药物,大多数免疫正常感染者对症治疗即可。对于PIV所致肺炎,支持治疗包括吸入支气管扩张剂改善气道高反应以及呼吸支持;此外,可以减少免疫制剂的使用,并且密切监测并及时治疗继发感染(症状变化,影像恶化,如新发实变等)。
(1)利巴韦林:属核苷类广谱抗病毒药物,其在体内磷酸化产物可以抑制肌苷单磷酸脱氢酶、mRNA鸟苷转移酶等,引起细胞内鸟苷三磷酸减少,损害病毒RNA和蛋白合成,从而阻碍病毒的复制与传播。在PIV感染治疗中,有应用利巴韦林治疗的研究,但没有确切疗效的前瞻性或随机对照研究的证据。最常见不良反应为溶血性贫血,需要监测肝肾功能,随时调整给药剂量。由于该药疗效不确定,且副作用大,一般不建议使用。(2)DAS181:是一种新型的吸入式宿主-活性抗病毒药物,是一种唾液酸酶融合蛋白。选择性地裂解宿主细胞唾液酸受体——流感病毒和PIV与宿主细胞结合的必要条件。在PIV感染患者中,DAS181可以减少大部分患者的病毒载量。主要副作用是碱性磷酸酶ALP升高。目前DAS181已被批准用于治疗肺移植和造血干细胞移植患者的PIV肺炎,Ⅱ期临床试验提示对需要氧疗的、严重免疫功能低下的(1年内实体器官移植、造血干细胞移植及化疗)PIV感染患者有潜在的治疗益处。(3)免疫球蛋白:存在争议,无充足证据,一些专家支持重症感染者使用,尤其是低丙种球蛋白患者。(4)激素:共识中对于激素的使用没有建议,也没有相关数据。不确定不适用激素的原因是什么,没必要用?还是不敢用?既往有文献报道了一例66岁女性患者,胃癌术后,已戒烟,咳嗽、咳痰、咽喉痛3天,误诊为机化性肺炎。患者胸部CT如图5所示。予激素治疗,影像吸收。最终发现患者是PIV感染。另有一项造血干细胞移植患者患有PIV肺炎的临床研究,在纳入的3577例患者中有253例为PIV肺炎患者,该研究提供了非常重要的一个数据,即在PIV引起上呼吸道感染时将患者分为激素治疗组和非激素治疗组,结果发现激素治疗患者,尤其是大剂量激素治疗者,进展为下呼吸道感染的比例会更高,且呈剂量相关性,也就是全身激素的使用增加了PIV上呼吸道感染向下呼吸道发展,同时增加移植物抗宿主病(GVHD)的发生。
图5. 一例66岁女性胃癌术后患者,CT图像可见支气管壁弥漫性增厚和双侧磨玻璃影。
上呼吸道感染及急性支气管炎大多为自限性。对于免疫缺陷患者,PIV易引起感染,死亡率高,尤其是造血干细胞移植或血液系统恶性肿瘤患者,死亡率分别为12%和8%。
PIV是单链RNA病毒,儿童及免疫缺陷的成人较易感染,PIV-3型易导致肺炎的发生。PIV肺炎较易有喘息症状,查体可闻及哮鸣音,影像学以气道为中心的分布多见,常见小叶中心型结节,树芽征,支气管壁增厚。PIV肺炎的治疗无特效药,以对症支持为主。
[1] 国家儿童健康与疾病临床医学研究中心,中华医学会儿科学分会临床检验学组. 儿童副流感病毒感染临床实验室诊断专家共识[J]. 中华检验医学杂志, 2024, 47(1):24-34.[2] Li Y, Liang Y, Tang J, et al. Clinical impact of human parainfluenza virus infections before and during the COVID-19 pandemic in Southern China[J]. Microbes Infect, 2023, 25(8):105219. [3] Wang JZ, Yuan D, Yang XH, et al. Epidemiological and etiological characteristics of 1266 patients with severe acute respiratory infection in central China, 2018-2020: a retrospective survey[J]. BMC Infect Dis, 2024, 24(1):426. [4] 成人急性呼吸道病毒感染急诊诊疗专家共识组. 成人急性呼吸道病毒感染急诊诊疗专家共识[J]. 中华急诊医学杂志, 2021, 30(12):1417-1428. [5] Herbst T, Van Deerlin VM, Miller WT Jr. The CT appearance of lower respiratory infection due to parainfluenza virus in adults[J]. AJR Am J Roentgenol, 2013, 201(3):550-554. [6] Ferguson PE, Sorrell TC, Bradstock K, et al. Parainfluenza virus type 3 pneumonia in bone marrow transplant recipients: multiple small nodules in high- resolution lung computed tomography scans provide a radiological clue to diagnosis[J]. Clin Infect Dis, 2009, 48(7):905-909. [7] de Zwart A, Riezebos-Brilman A, Lunter G, et al. Respiratory Syncytial Virus, Human Metapneumovirus, and Parainfluenza Virus Infections in Lung Transplant Recipients: A Systematic Review of Outcomes and Treatment Strategies[J]. Clin Infect Dis, 2022, 74(12):2252-2260. [8] Chemaly RF, Marty FM, Wolfe CR, et al. DAS181 Treatment of Severe Lower Respiratory Tract Parainfluenza Virus Infection in Immunocompromised Patients: A Phase 2 Randomized, Placebo-Controlled Study[J]. Clin Infect Dis, 2021, 73(3):e773-e781.[9] Waghmare A, Englund JA, Boeckh M. How I treat respiratory viral infections in the setting of intensive chemotherapy or hematopoietic cell transplantation[J]. Blood, 2016, 127(22):2682-2692.[10] Hirsch HH, Martino R, Ward KN, et al. Fourth European Conference on Infections in Leukaemia (ECIL-4): guidelines for diagnosis and treatment of human respiratory syncytial virus, parainfluenza virus, metapneumovirus, rhinovirus, and coronavirus[J]. Clin Infect Dis, 2013, 56(2):258-266. [11] Ishiguro T, Kobayashi Y, Takano K, et al. Two Cases of Primary Human Parainfluenza Virus 1 Pneumonia in Which Bronchoalveolar Lavage Fluid Yielded Human Parainfluenza Virus 1[J]. Intern Med, 2020, 59(1):101-105. [12] Nichols WG, Corey L, Gooley T, et al. Parainfluenza virus infections after hematopoietic stem cell transplantation: risk factors, response to antiviral therapy, and effect on transplant outcome[J]. Blood, 2001, 98(3):573-578. 
医学博士,副主任医师,北京大学第三医院呼吸与危重医学科。中国医师协会呼吸医师分会危重症医学工作委员会青年委员,北京慢性病防治与健康教育研究会呼吸专委会秘书。
