作者:陈闯,吴佳梦,杨庆云,刘于红,解立新
单位:解放军总医院呼吸与危重症医学部
病史摘要:老年男性,无明显诱因出现间断发热,肺部感染,呼吸衰竭。
症状体征:以发热、咳嗽、呼吸困难为主要症状特点。查体:两肺呼吸音粗,双肺可闻及湿啰音。
诊断方法:入科完善炎症指标、病原学培养、胸部CT等化验检查,根据患者病史、临床表现、体征、实验室及影像学检查,病毒性肺炎、Ⅰ型呼吸衰竭等诊断明确。
治疗方法:入科后给予呼吸支持、血流动力学监测、抗感染、护肝、护胃及营养支持等对症支持治疗,评估后及时进行早期重症康复介入,积极改善患者预后以及生活质量。
临床转归:患者症状好转,氧合指数上升,炎症指标下降,复查胸部CT示双肺弥漫性病变好转,转归出院。

引言
病毒是肺部感染的主要病原体之一,是成人严重肺炎和急性呼吸窘迫综合征(ARDS)的常见原因,病情进展迅速,短时间内导致ARDS,救治难度大,死亡率高。本文报道一例急性病毒性肺炎伴ARDS的病例,使临床医生更加深入地了解病毒性肺炎对呼吸和循环功能的影响,早期积极处理,降低死亡率。
主诉:患者主因间断发热、咳嗽、喘憋4天,加重1天,2022年2月8日于发热门诊入院。现病史:患者入院前4天无明显诱因出现发热,最高体温37.8℃,伴咳嗽、喘息,呼吸困难,全身酸痛,无头晕、头痛、咳痰、胸闷、恶心、呕吐、腹痛、腹泻等伴随症状,自行口服感冒药(具体不详)后,体温降至正常,但仍有喘憋,且呈进行性加重,于2022年2月8日再次发热,就诊于我院发热门诊,入院当天最高体温38.6℃,伴咳嗽、咳痰、心率加快,呼吸困难,寒战、畏寒,可平卧。既往史:患者6个月前被诊断为膜性肾病,自诉有心率减慢病史20余年,具体不详,自行服用黄杨宁片2片/次,每日2次。有高血压病史6年,平素规律口服左氨氯地平、氯沙坦钾氢氯噻嗪片,血压控制情况不详,否认冠心病、糖尿病病史,否认肝炎、结核、疟疾等传染病病史,否认手术、外伤史,否认输血史,否认药物、食物过敏史,预防接种于当地进行。个人史:生于北京市海淀区,久居本地,否认疫区居住史,否认冶游史,否认放射物、毒物接触史,饮酒,吸烟30年,每日约10支。婚育史:已婚,适龄结婚,配偶健康状况可,有一女,健康状况良好。家族史:父母已故,死因不详,曾患有高血压,否认传染病、遗传病病史。
体温38.6℃,心率134次/min,呼吸频率28次/min,血压98/55 mmHg。患者神志清楚,状态疲惫,双肺呼吸音粗,可闻及双肺明显湿啰音。腹部柔软,无压痛、腹痛,四肢活动自如,双下肢轻度凹陷性水肿。胸部CT提示双肺炎症,血气分析提示Ⅰ型呼吸衰竭,急诊予以无创呼吸机辅助通气,并予以莫西沙星、美罗培南、奥司他韦治疗。
辅助检查
2月8日胸部CT示双肺磨玻璃影为主,多发斑片状高密度影,有网格及条索样改变(图1)。

图1 患者胸部CT(2022年2月8日)
化验指标见表1。

血气分析见表2。

EIT监测:俯卧位前通气主要集中于左侧,灌注主要集中于右侧,呈通气血流不匹配。俯卧位后,通气血流匹配状况较前有所改善(图2,图3)。
图2 俯卧位前通气及灌注(2022年2月11日)

图3 俯卧位后通气及灌注(2022年2月12日)
肺泡灌洗液NGS回报结果提示梅克尔细胞多瘤病毒、耶氏肺孢子菌。
血检查结果提示巨细胞病毒IgG及IgM抗体阳性。
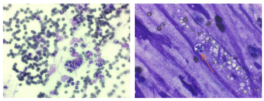
M-ROSE:镜下可见大量中性粒细胞、耶氏肺孢子菌(箭头所指)(图4)。

图4 患者M-ROSE结果

病毒性肺炎,Ⅰ型呼吸衰竭,高血压,肾功能不全,心功能不全。常有受寒、劳累等诱因或伴慢性阻塞性肺疾病、心力衰竭等基础疾病,1/3的患者病前有上呼吸道感染史,多数起病较急。多有畏寒、发热、咳嗽、咳痰、胸痛等症状。发热常见,多为持续高热。咳嗽、咳痰甚多,早期为干咳,渐有咳痰,痰量多少不一。痰液多呈脓性;少数有咯血和呼吸困难,部分有胸痛。全身症状有头痛、肌肉酸痛、乏力,重症患者可有嗜睡、意识障碍、惊厥等神经系统症状。血白细胞计数及中性粒细胞百分比一般均升高。胸部X线片表现多为肺叶或肺段片状浸润影。多见于病情严重或免疫抑制患者,临床表现具有支气管肺炎的各种症状和体征,但起病缓慢,多在应用抗生素治疗中出现肺炎或加剧,可有发热,咳嗽剧烈,痰液为无色胶冻样,偶带血丝。肺部听诊可有中小水泡音。胸部X线片:大片状阴影,多见肺底和中部,个别为栗粒状阴影,但在短期内可有变化。临床症状轻而胸部X线征象严重,使用抗生素病情恶化,用抗真菌药物治疗显效。主要发生于营养不良、免疫功能低下,长期使用糖皮质激素、肿瘤化疗、器官移植后和艾滋病等人群,患者特征为呼吸困难、发绀、干咳、发热等,胸部X线片可见双肺弥漫性间质性炎症,肺门周围炎或肺泡炎症。辅助检查可见白细胞计数正常或稍高,约50%的病例淋巴细胞减少,嗜酸粒细胞轻度增高,血气分析示严重低氧血症和肺泡动脉氧分压差增大,肺功能测试提示进行性减退。多发生于青少年,秋冬季节发病较多。起病急,可有发热、头痛、全身不适等一般症状及剧烈咳嗽,咳少量黏痰。胸部X线片示肺部有形态多样的浸润影,呈节段性分布。外周血白细胞计数轻度升高。痰、鼻分泌物及咽拭子培养出肺炎支原体可确诊。是一种病因不明、起病急剧的特发性间质性肺炎。临床表现为发热、咳嗽、进行性呼吸困难、胸闷、发绀等,进而出现呼吸衰竭。本病病死率很高,无特异性治疗方法,目前临床上多予以糖皮质激素及对症支持治疗。
- 2月8-9日无创机械通气(S/T FiO2 65%,EPAP 6 cmH2O,IPAP 12 cmH2O):2月9日予无创呼吸机治疗后,复查血气分析示氧合指数72.4 mmHg。提示无创通气氧合改善不明显。
- 2月9-15日有创机械通气:2月9日患者突发意识障碍,呼之不应,血压72/43 mmHg,急查血气分析:pH 7.19, PaCO2 72.5 mmHg,氧合指数68.3 mmHg。给予气管插管,有创呼吸机辅助通气(P-A/C,氧浓度100%,PC 14 cmH2O,呼吸频率12次/min,PEEP 6 cmH2O),患者呼吸频率快,努力吸气强烈,给予充分镇静肌松,行跨肺压及EIT监测,第一次呼吸力学指标:气道阻力12.8 cmH2O/(L·s),呼吸系统顺应性24.8 ml/cmH2O,胸廓顺应性184 ml/cmH2O,肺顺应性28.43 ml/cmH2O,结合跨肺压及EIT最终滴定PEEP为12 cmH2O,为保证潮气量调整PC 16 cmH2O,FiO2 100%,机械通气6 h血气分析:pH 7.335,PaCO2 45.3 mmHg,氧合指数97.8 mmHg,患者氧合改善不明显,结合PEEP滴定时EIT下观察患者重力依赖区可复张性较高,且通气、灌注匹配较差,遂考虑行俯卧位通气治疗。
- 2月11-13日给予俯卧位机械通气,每日俯卧位时间为12 h。俯卧位后患者氧合逐渐改善,2月13日结束俯卧位后6 h氧合指数232 mmHg。
- 2月14-15日患者循环及氧合稳定,通过早期重症康复评估,制定个体化康复治疗方案,为拔出气管插管做准备。
- 2月20日拔出气管插管,无创通气与高流量湿化治疗交替使用,最终成功脱机。
抗感染
2月8-20日给予美罗培南联合莫西沙星、奥司他韦等抗感染治疗。
免疫支持
给予静脉注射人免疫球蛋白及胸腺法新增强患者免疫功能,并给予甲强龙抗炎治疗(表3)。
循环
2月10日行血流动力学监测(PICCO)(表4),控制患者出入量,动态评估液体负荷(表5)。

注:CI为心脏指数;GEDI为舒张末期容积指数;ELWI为血管外肺水指数;PVPI为肺血管通透性指数;SVRI为外周血管阻力指数

给予护肝、护胃及营养支持等对症支持治疗。
2月14日早期重症康复介入评估,开始早期重症康复,为患者脱机拔管做准备,同时减轻ICU获得性肌无力对患者出院后生活的影响,为帮助患者早日回归家庭和社会做准备。

随访及转归
患者经过积极治疗,症状好转,CRP、PCT等炎症指标下降,复查胸部CT提示弥漫性病变范围较前缩小,复查血气氧合指数波动在200 mmHg以上,予以拔除气管插管,无创与高流量交替使用,成功脱机,予转入普通病房,最终转归出院。

讨论
本例患者为老年男性,急性起病,病程短。病毒性肺炎感染患者的症状差异较大,类似急性上呼吸道感染症状,如发烧、咳嗽、头晕、胸闷、恶心、呕吐等,少数严重病例可出现呼吸衰竭、休克、凝血功能障碍和肾损伤[1]。患者在气管插管后出现的呼吸机支持条件升高,氧需求量增加,PaCO2升高,氧合指数下降。在结合重症超声检查后发现患者双肺存在大量B线,这提示患者肺部的通气情况较差,可能存在肺水肿、肺炎或肺间质疾病等[2]。由于使用B线对肺部进行标准化分级系统仍有待开发,先前的方法使用融合的B线覆盖肋骨间隙的百分比,当出现B线数量较多时,统计B线数量,这种方法的可靠性较高。考虑瞬时计数的简单性和计数系统能直观反映病理超声结果的临床有效性,使用分区方法将胸部分为8个区,分界线包括胸骨、前腋线和后腋线,将胸部分为纵向4个区域,第三肋间间隙将上、下两区分开。从而进行肺部超声检查,以评估患者的肺部情况[3]。根据CT的提示,患者双肺感染较重。从呼吸治疗学角度分析,患者由于感染加重导致了肺部换气功能障碍,此时肺泡膜厚度增加,通透性下降。在机械通气过程中,为避免加重肺损伤,需要进行肺保护性通气:限制潮气量、维持呼气末跨肺压在0~5 cmH2O、吸气末跨肺压≤25 cmH2O、限制跨肺驱动压等,以维持肺泡的复张状态,避免肺泡重复打开和关闭,从而防止肺过度扩张而产生剪切力,因此也能够减少呼吸机相关性肺损伤的发生。对于滴定PEEP,方法有很多,如CT导向法、P-V曲线法、最小死腔法、最佳氧合法、EIT法等等,其中,CT导向法作为滴定PEEP的金标准,可以准确反映肺泡塌陷和复张的情况,但这种方法过于繁琐,在重症患者中难以实现。之所以选择跨肺压法[4],在于其提供了肺部呼吸力学的可靠数据,可短时期留置在患者食道内,创伤小、操作简单,并且实时监测跨肺压的变化,可以指导呼吸机参数的调节。该方法的技术难点在于胃管气囊的位置,确保其位于食道下1/3,这对于数据的准确记录十分关键,通常我们通过观察置入胃管后,在呼吸机食道压时间曲线上的心率变化与患者真实心率的匹配程度来初步判定胃管气囊的位置,通过挤压胸腔来进一步调整,通过气道压时间曲线和食道压时间曲线变化的比值来确定气囊的位置。该方法的局限性在于其只能从肺部通气单方面分析肺部病情变化,对于肺部血流情况无从得知。目前,EIT可得知肺部血流灌注情况[5],该方法利用生物电阻抗与气体的良好相关性,通过测得胸部电阻抗值,反映肺部的气体容量变化,而且与CT成像具有良好的相关性。两者的不同点在于,CT重在分辨气体和各密度不同的组织之间的差异,发现解剖上的细微变化,空间分辨率高;EIT在空间维度只能分辨气体和非气体,重在观察气体随时间变化而出现的变化,时间分辨率高[6]。对于肺部灌注情况,EIT可通过注射高浓度盐水,同步记录通气和血流的变化,分析肺部通气血流比例,这样能更加精确地分析肺部灌注情况,但EIT价格较昂贵,相对来说较难实现。俯卧位可以改善氧合,患者吸氧浓度大于60%,氧合指数小于150 mmHg,PEEP>5 cmH2O,我们为其进行了俯卧位通气。一方面减少了肺本身对重力依赖区肺泡的压迫,降低重力依赖区胸膜腔内压,使腹侧和背侧的胸膜腔内压分布更均匀;另一方面减少心脏和纵隔对部分肺组织的压迫,利于背侧部分塌陷肺泡复张,改善背侧通气,且体位的转换明显降低了背侧区域的肺内分流,而不增加腹侧区肺内分流。既往研究表明,与仰卧位相比,俯卧位可以显著减少过度膨胀的肺表面积,同时促进萎陷肺泡的充盈,通过使肺内应力改变和应力分布改变来帮助患者预防呼吸机相关性肺损伤[7]。加用镇静肌松药物减轻肺部损伤,并维持循环系统的稳定[8],同时减轻俯卧位给患者带来的不适感。康复对于脱机困难患者至关重要。患者在机械通气后,膈肌会出现不同程度的萎缩,而且机械通气时间越长,膈肌肌力下降越明显[9]。重症患者早期难以配合治疗师进行主动呼吸康复训练,因此只能采用被动的体外膈肌起搏进行辅助训练[10]。腹肌是非常重要的呼气肌,在呼气过程中发挥非常重要的作用,比如用力呼气及咳嗽[11]。在我们应用的膈肌神经肌肉电刺激中,两组作用于腹部的电极片可对腹部肌肉进行辅助康复训练,其属于低频电疗范围,具有低压、低频、可调节等优点,对于感觉和运动神经都有很强的刺激作用,但这种电疗方式的缺点在于作用深度较浅;如果单纯依靠增加电流强度来加深作用深度,会引起电极下的烧灼痛感。干扰电疗法可弥补这方面的不足,从本质上对两种电疗方式进行比较,干扰电疗法作为一种中频电疗,可降低组织阻抗,增加作用深度,并且对皮肤感觉神经的刺激是一种舒适的震动感,这种刺激不会引起痛觉纤维的兴奋,人体的耐受性也很好。研究已证实,在改善斜方肌活动性方面,中频、低强度的调制中频电疗比低频、高强度脉冲经皮神经电刺激效果明显[12]。但针对干扰电疗法提高腹部肌肉功能作用缺少相关研究。在患者康复过程中,我们主要采用了有氧运动训练。研究表明,有氧运动训练可以改善肺血管功能,虽然改善肺弥散的确切机制尚不清楚,但很可能是由于肺泡/血管膜厚度的改变和/或因上述改变而增加了肺的气体交换总面积。肺毛细血管的充盈和扩张使肺活量增加,从而使气体交换表面积增大,肺血管阻力下降,进而减弱了肺毛细血管压力的升高。肺毛细血管容量的一个关键决定因素是肺毛细血管压,它取决于肺动脉压。在健康人中,肺动脉压与心脏血流量相关。心输出量的增加可能是肺毛细血管容量增加的原因之一,有氧运动导致的心脏血流量增加主要是由于心率加快,增加了心输出量[13]。
专家点评
本例患者是由病毒感染加重导致的ARDS,除常规抗感染、免疫支持治疗外,着重关注了患者呼吸支持方面的调整。对于ARDS患者,氧合指数200~300 mmHg,选择高流量湿化治疗仪治疗,通过严密监测血流动力学、血气分析结果、APACHEⅡ评分及计算ROX指数,评估高流量湿化治疗的效果。当其难以满足患者的呼吸需求时,应及时更换为无创呼吸机辅助呼吸或进行气管插管。在应用无创呼吸机时,着重关注人机同步问题,适当应用镇静药物来帮助患者减少人机对抗的发生。气管插管后,呼吸力学监测能直观反映患者肺的顺应性变化,指导对呼吸机参数的动态调节,在临床实践中,这项技术方便快捷,测量结果相对准确,而且不会对患者产生有创性伤害。EIT作为新型监测技术,用于床旁监测肺内通气情况,方便快捷,也可同时监测灌注,便于我们在临床当中直观、快速掌握患者病情进展。尤其当该项技术联合俯卧位通气时,在成像图中可明显观察到患者肺内通气状况的改变。在经过长时间的镇静肌松治疗后,患者的肌力会明显下降,造成脱机困难,长时间使用呼吸机,不仅增加了感染机会,而且延长了患者的住院时间,这是目前困扰很多临床医生的一项重大挑战。重症康复的早期介入,一定程度上减少了这种困扰。从初期评估、制订康复计划、搭配适当的康复训练,到中期的评估、计划再调整、训练再改进,呼吸治疗师根据患者每个阶段的状况,制订不同的康复方案,正是这种精细化的管理,才能完整掌握每一位患者的恢复情况,这也是实现患者回归家庭、回归社会的重要环节。
参考文献
[1] Zimmermann P, Curtis N. Coronavirus infections in children including COVID-19: an overview of the epidemiology, clinical features, diagnosis, treatment and prevention options in children[J]. Pediatr Infect Dis J, 2020, 39:355-368.
[2] Anderson K L, Fields J M, Panebianco N L, et al. Inter-Rater Reliability of Quantifying Pleural B-Lines Using Multiple Counting Methods[J]. J Ultrasound Med, 2013, 32:115-120.
[3] Baad M, Lu Z F, Reieser I, et al. Clinical Significance of US Artifacts[J]. RadioGraphics, 2017, 37(5):1408-1423.
[4] Goligher E C, Ferguson N D, Brochard L J. Clinical challenges in mechanical ventilation[J]. Lancet, 2016, 387(10030):1856-1866.
[5] Meier T, Luepschen H, Karsten J, et al. Assessment of regional lung recruitment and derecruitment during a PEEP trial based on electrical impedance tomography[J]. Intensive Care Med, 2008, 34(3):543-550.
[6] Luecke T, Meinhardt J P, Herrmann P, et al. Oleic acid vs saline solution lung lavage-induced acute lung injury: effects on lung morphology, pressure-volume relationships, and response to positive end-expiratory pressure[J]. Chest, 2006, 130(2):392-401.
[7] Galiatsou E, Kostanti E, Svarna E, et al. Prone position augments recruitment and prevents alveolar overinflation in acute lung injury[J]. Am J Respir Crit Care Med, 2006, 174:187-197.
[8] Muriel A, Peñuelas O, Frutos-Vivar F, et al. Impact of sedation and analgesia during noninvasive positive pressure ventilation on outcome: a marginal structural model causal analysis[J]. Intensive Care Med, 2015, 41(9):1586-1600.
[9] 4.Hudson M B, Smuder A J, Nelson W B, et al. Both high level pressure support ventilation and controlled mechanical ventilation induce diaphragm dysfunction and atrophy[J]. Crit Care Med, 2012 40(4):1254-1260.
[10] Medrinal C, Combret Y, Prieur G, et al. Comparison of exercise intensity during four early rehabilitation techniques in sedated and ventilated patients in ICU: a randomised cross-over trial[J]. Crit Care, 2018, 22(1):110.
[11] 张雷,刘亚康,张鸣生,等. 应用不同频率、部位腹肌电刺激的反馈式呼吸电刺激训练对慢性阻塞性肺疾病患者膈肌功能和呼吸效率的影响[J]. 中国康复医学杂志,2015,30(12):1262-1265.
[12] Takla MKN. Low-frequency high-intensity versus medium-frequency low-intensity combined therapy in the management of active myofascial trigger points: A randomized controlled trial[J]. Physiother Res Int, 2018, 23(4):e1737.
[13] Dridi R, Dridi N, Govindasam K. et al. Effects of Endurance T raining Intensity on Pulmonary Diffusing Capacity at Rest and after Maximal Aerobic Exercise in Young Athletes[J]. Int J Environ Res, Public Health 2021, 18.

解立新
解放军总医院呼吸与危重症医学部
主任医师,教授,博士研究生导师
解放军总医院呼吸与危重症医学部主任
中华医学会呼吸病学分会全国委员兼呼吸治疗学组组长、危重症学组顾问
中华医学会细菌感染与耐药防治分会全国委员
中国医师协会急救复苏和灾难医学专业委员会副主委
中国医师协会呼吸医师分会危重症专业委员会副主委
中国康复医学会呼吸康复专业委员会副主委
中国老年医学学会呼吸病学分会副主委
中国感染病专业委员会常委兼秘书长
中国呼吸医学装备分会副主委
牵头获得国家科技部重大课题、国家自然科学基金、军队重大/重点课题等资助
发表论文400余篇,其中SCI累计影响因子500余分,h-index: 29
获得国家科技进步二等奖(第三完成人)、军队科技进步一等奖(第一完成人)、部队顶尖人才培养对象等奖励

刘于红
解放军总医院呼吸与危重症医学部

陈闯
解放军总医院呼吸与危重症医学部
- 2022年获中国医师协会体外生命支持专业委员会颁发ECMO证书

吴佳梦
解放军总医院呼吸与危重症医学部
- 承担全国呼吸支持专项技术规范化培训班、301呼吸疾病高峰论坛部分板块讲课任务

杨庆云
解放军总医院呼吸与危重症医学部
- 长期致力于RICU工作,对于机械通气及气道管理等具有丰富的经验,在困难脱机拔管及个体化的呼吸支持治疗方面有较多研究
- 在体外膜肺氧合(ECMO)、电阻抗(EIT)、重症超声、连续床旁血滤(CRRT)、血流动力学等方面有较丰富的临床经验