登录方式

方式一:
PC端网页:www.rccrc.cn
输入账号密码登录,可将此网址收藏并保存密码方便下次登录

方式二:
手机端网页:www.rccrc.cn
输入账号密码登录,可将此网址添加至手机桌面并保存密码方便下次登录

方式三:
【重症肺言】微信公众号
输入账号密码登录

注:账号具有唯一性,即同一个账号不能在两个地方同时登录。

登录
方式

为重症救治赋能

为患者康复加速

当前位置:首页 重症肺炎 病毒肺炎

呼吸道合胞病毒肺炎的诊治

崔晓阳 中日医院呼吸中心 发布于2024-07-30 浏览 4921 收藏

作者:崔晓阳

单位:国家呼吸医学中心 中国医学科学院呼吸病学研究院 中日医院呼吸中心

目前已知呼吸道合胞病毒(RSV)是婴幼儿下呼吸道感染的重要原因,可导致住院和死亡。然而,它对成人的影响直到最近几年才被认识到。随着病原微生物检测手段的进步,越来越多的研究发现,RSV对于成人尤其是老年人和有基础疾病的人群,也是非常重要的一类病原体。

图片
一、RSV感染的疾病负担

2016年Lancet 发布1990—2016年全球下呼吸道感染4类主要病原体疾病负担,包括B型流感嗜血杆菌、肺炎链球菌、流感病毒及RSV。RSV在全年龄段下呼吸道感染死因中位居第二。儿童健康肺炎病因学研究(PERCH)是自80年代以来世界上规模最大、内容最全面的多国病例对照研究,共纳入了来自7个非洲和亚洲国家4232例1~59个月龄的重症肺炎住院患儿以及5119名社区随机抽取年龄匹配对照组儿童。该研究显示,在中低收入国家中,RSV是导致5岁以下儿童肺炎需要住院治疗的主要原因;年龄越低,RSV感染比例越高,RSV感染在儿童重症及危重症肺炎中均为首要病原体。各国前10位病因及所致儿童肺炎的累积百分比,RSV导致的肺炎比例在所有研究国家均为首位,占肺炎患儿病原体的20%~40%。
在成人中,65岁以上老人RSV年度感染率为4.66%(95%CI 3.34%~6.48%),季节性感染率为7.8%(95%CI 5.77%~10.45%)。65岁以上RSV感染患者约有27.44%(95%CI 18.74%~38.29%)进展为肺炎,24.48%(95%CI 0.43%~96.07%)需住院治疗,5.01%(95%CI 0.47%~37.36%)收入ICU。高危人群,尤其是有基础疾病(心肺基础疾病、免疫缺陷、糖尿病、慢性肾脏病等)人群,感染RSV后,35.33%发生肺炎,20.62%发生呼吸衰竭,24.09%入住ICU,13.65%需要呼吸机支持。
美国一项前瞻性研究对连续3个流感季进行监测,研究纳入≥50岁的呼吸道感染患者591例,通过RT-PCR方法检测RSV、流感及偏肺病毒。结果发现,在≥50岁的患者中,RSV的检出率高于流感病毒;在≥65岁的患者中,RSV的检出率几乎是流感病毒检出率的两倍以上。RSV感染患者入住ICU比例、机械通气比例以及住院病死率均高于流感病毒感染。2017—2019年法国一项研究纳入5所大学附属医院1428例住院的流感样症状患者进行RT-PCR病原学检测,发现RSV检出率为8%,流感病毒检出率为30%。但从疾病严重程度及并发症角度来讲,RSV感染患者呼吸衰竭以及心力衰竭的发生率是流感病毒感染患者的2倍,并且RSV感染患者住院时长和住院期间死亡率也是流感病毒感染患者的数倍。

COVID-19对RSV流行也产生了重大影响。COVID-19流行期间,由于口罩、手卫生、旅行限制以及社交距离等因素的控制,使RSV的检出率大幅下降。意大利一项研究显示,RSV检出率由COVID-19流行前的5%降至0.14%(2017—2021年)。随着疫情控制政策的放松以及易感人群的增加,2022年冬季至2023年冬季,在RSV流行大幅下降的2年后,RSV在多个国家大面积爆发。

图片
二、RSV流行病学


RSV感染呈全球广泛流行,其流行受地理位置、温度和湿度等因素影响。在北半球,季节性明显,主要集中于11月至次年2月的冬季和早春季节;在热带和亚热带,RSV在潮湿的雨季感染率明显增高。我国北方地区RSV流行季开始于第41周(10月份中旬),结束于次年第20周(5月份中旬),持续33周;南方的温州地区,RSV感染冬春季好发,与温度密切相关。
图片
三、RSV的生物学特性及传播

RSV于1956年首次从呼吸道感染的患儿体内分离,原归属副黏病毒科肺炎病毒属,2015年,国际病毒分类委员会将其改分至肺炎病毒科正肺病毒属。病毒颗粒直径为150~300 nm,呈球形或丝状颗粒;在多种培养基中生长,并产生合胞体。非节段性单股负链RNA,全长约15.2 kb,编码11个蛋白质。
RSV表面的糖蛋白—G蛋白和F蛋白位于病毒颗粒表面,是刺激机体产生中和抗体的主要病毒抗原。G蛋白负责病毒与宿主细胞黏附,序列变异较大;F蛋白介导病毒与宿主细胞膜融合,促进合胞体形成,具有较高的保守性,是目前抗体、疫苗及其他治疗性药物研发的热点蛋白。
RSV的传染源主要是患者及无症状感染者,临床症状出现前1~2天起即有传染性,持续3~8天。传播途径是呼吸道飞沫传播及接触含有病毒的分泌物传播,在特定情况下可气溶胶传播。文献报道RSV的R0存在差异,在3~4.5之间。COVID-19的RO在2~3之间。

RSV的传播风险因人群及管控措施不同而不同,在新生儿病房为28.5%,骨髓移植病房,为30%,其他成人患者为30%~32%。并且,RSV的传播具有基因易感性,与异卵双胞胎相比,同卵双胞胎发生重症RSV感染的一致率明显增高(一致率0.66 vs. 0.53,P=0.02),提示遗传因素在重症RSV感染中的作用。

图片
四、RSV感染的致病机制及易感人群


RSV致病机制主要有两种途径,一条途径是由G蛋白介导与人体细胞表面受体之间发生黏附,然后由F蛋白介导发生融合,将病毒的核酸整合到人体细胞中。另一条途径是通过宿主细胞的胞饮作用,即人体细胞通过细胞表面抗体和受体的接触,主动吞噬病毒,从而将病毒的生物学物质整合到人体细胞中。
不同于流感和腺病毒,引起呼吸道上皮细胞凋亡及脱落严重。RSV仅在气道顶端纤毛细胞中复制,较少引起细胞死亡。在成人中,RSV在气道内复制持续时间约为8天(比流感病毒复制时间长6天)。损伤集中在气管和支气管周围。RSV通常引起气道黏膜浅表损伤,易继发细菌感染。RSV感染致使脱落的柱状细胞掉落至下呼吸道,导致感染深部播散和气道阻塞,这也是RSV感染患者经常出现喘息症状的原因。气道损伤的另一个机制由于机体对于RSV感染造成的炎症反应所致。比较特殊的是,RSV感染使气道内嗜酸细胞浸润,激活Th-2介导的哮喘和嗜酸细胞支气管炎,因此较多研究显示,婴幼儿发生RSV感染与其日后发生哮喘的关系密切。哮喘和慢阻肺患者气道上皮表面RSV TLR4受体上调,所以此类患者对RSV易感。

RSV的易感人群包括:婴幼儿(5岁以下)、老年(60岁以上);基础疾病多(慢性肺部疾病占35.6%,心血管疾病51%);免疫抑制(肺和造血干细胞移植、肿瘤、免疫抑制治疗)患者。RSV的感染贯穿人的一生,但疾病负担最重还是在首尾两端,即新生儿及幼童和65岁以上老年人。

图片
五、RSV感染的临床及影像表现


RSV感染与一般病毒感染很难区分,缺乏特异性症状,主要为喘息和呼吸困难。无症状感染少见(<5%),大多数为急性上呼吸道感染症状(22%~78%)持续3~5天,其他临床表现有全身症状(45%~56%)、咳嗽(85%~95%)、喘息(33%~90%)、呼吸困难(51%~93%)。在临床表现方面,新生儿和幼童主要表现为细支气管炎,并可能在3岁前出现反复感染。后续可能因RSV感染导致细支气管炎后喘息或哮喘。成人患者主要表现为因RSV感染导致的哮喘或慢阻肺急性加重。在老年患者中也会表现为RSV下呼吸道感染。
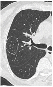
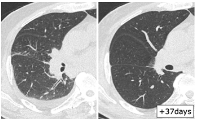
日本一项研究总结了血液系统疾病和造血干细胞移植患者RSV感染的影像学表现,其中一例63岁T淋巴细胞瘤患者感染RSV后症状持续10天,右肺下叶支气管处支气管管壁增厚,经过治疗,情况有所改善(图1)。图2为一例75岁T细胞淋巴瘤患者,起病9天,肺上叶可见小叶中心结节影(图2)。23岁急性粒细胞白血病患者早期影像学表现为多叶段沿支气管束分布的磨玻璃影,随着时间的延长以及治疗的开展,病变密度逐渐增加、皱缩及吸收(图3)。图4为一例78岁慢粒患者,羟基脲治疗,起病1天,影像学可见铺路石征,随着时间的延长,逐渐吸收(图4)
图片

图1  63岁T淋巴细胞瘤患者感染RSV的影像学表现

图源:Intern Med. 2020;59(2):247-252.
图片

图2  75岁T淋巴细胞瘤患者感染RSV的影像学表现

图源:Intern Med. 2020;59(2):247-252.
图片

图3  23岁急性粒细胞白血病患者感染RSV的影像学表现

图源:Intern Med. 2020;59(2):247-252.
图片

图4  78岁慢粒患者患者感染RSV的影像学表现

图源:Intern Med. 2020;59(2):247-252.

图片
六、RSV感染的影响


RSV感染后,由于气道黏膜破坏,后续继发细菌感染和合并其他病毒感染的风险大大增加,混合感染常见(12.5%~23.4%合并细菌感染,21.8%合并多种病毒感染)。RSV是多种慢性疾病急性加重的原因(哮喘、慢阻肺、心衰、急性冠脉综合征等)。造血干细胞移植患者感染RSV,有40%~60%由上呼吸道感染进展为下呼吸道感染,死亡率高达80%。肺移植患者感染RSV,使局部炎症和免疫系统对肺抗原暴露的增强导致气道上皮细胞和上皮下结构损伤,是导致闭塞性细支气管炎综合征(BOS)/慢性移植肺功能障碍(CLAD)的明确危险因素,死亡率达20%。

1996年1月至2009年5月在德克萨斯大学MD Anderson癌症中心进行了一项大型回顾性单中心研究,研究对象为所有实验室证实RSV感染的异基因造血干细胞移植受者。研究对237例RSV上呼吸道感染患者进行危险因素分析,制定免疫缺陷评分(immunodeficiency scoring index,ISI)分级系统。通过对患者粒细胞和淋巴细胞计数、年龄、骨髓移植情况、有无移植物抗宿主病、有无使用激素等因素进行评估,然后对患者进行危险分层。分层后发现,ISI评分风险越高,RSV由上呼吸道感染进展至下呼吸道感染的风险越高,死亡风险也越高。予以抗病毒治疗后,任何风险组进展为下呼吸道感染以及死亡的比例都有所下降,且风险越高的患者,抗病毒治疗获益越大。

图片
七、RSV感染的诊断


RSV感染的诊断手段与一般病毒感染相同,主要分为三大类:病毒培养、抗原检测、PCR检测。病毒培养为金标准,但周期长,对于技术人员及实验室要求高,不适用于临床诊断。抗原检测的优势是特别快,容易普及,试剂盒成熟,但抗原检测在儿童和婴儿中敏感性更好,在成人中比较低,并且对采样有要求,要有足够的呼吸道柱状上皮细胞。PCR检测敏感性高,特异性好,检测速度快,而且可以同时检测其他病毒核酸。
图片
八、RSV感染的预防和药物治疗


1. RSV感染的预防
RSV感染预防可以分为两大部分,一是主动预防/主动免疫,即注射疫苗。二是被动免疫。
在1960年FI-RSV疫苗就已经被研发出来了,主要表达融合后F蛋白(Post-fusion Protein,Post-F)构象,但早期由于人们对RSV结构和机制了解不深,疫苗研发出来后,在儿童中诱发了非常严重的气道高反应,导致婴幼儿死亡,该疫苗的研发也被搁置。靶抗原的选择是RSV疫苗研发成功的关键,F蛋白和G蛋白对RSV病毒的黏附和入侵十分重要,也是病毒表面的主要保护性抗原,二者都可以成为RSV研发的理想靶点。然而由于G蛋白变异较多相对不稳定,基于融合前F蛋白(Pre-fusion Protein,Pre-F)的RSV疫苗具有较高的安全性和免疫原性,适用于儿童、孕妇、成人和老年人群。
F蛋白具有黏附和融合功能,可介导病毒粒子进入细胞,形成合胞体。在RSV感染过程中,F蛋白首先采用亚稳态的Pre-F表达在病毒包膜表面,当与宿主细胞膜接触后,结构重排为高度稳定的Post-F,存在Pre-F和Post-F构象变化。Pre-F蛋白具备6种抗原表位,即SiteⅠ、II、Ⅲ、Ⅳ、Ⅴ、Ø,而Post-F仅包含Pre-F的前4种表位。研究表明,可诱导更强中和抗体活性的抗原表位Site Ⅴ和Site Ø均位于Pre-F蛋白中,尤其是Site Ø诱导的中和抗体活性最高(位于Pre-F顶端)。因此,诱导高滴度的中和抗体是开发RSV疫苗的主要目标,血清中大多数RSV中和活性仅针对Pre-抗原位点,具有特异性抗原表位的Pre-F蛋白则成为最热门的RSV疫苗靶标。RSV疫苗研发主要分为五大类:基于颗粒的,基于载体的,减毒活疫苗或嵌合疫苗,亚单位疫苗,mRNA疫苗。
2023年5月4日,FDA批准GSK的Arexvy上市,预防60岁及以上成人由RSV引起的下呼吸道疾病。2023年6月6日,FDA批准Pfizer的Abrysvo上市,预防60岁及以上成人由RSV引起的下呼吸道疾病,孕32~36周孕妇用于保护6月龄前新生儿RSV感染,Abrysvo针对18~59岁成人RSV所致下呼吸道疾病 Ⅲ期临床研究结果优秀。Moderna mRNA-1354 Ⅲ期临床达到主要终点。
被动免疫是指针对RSV的单克隆抗体。早在1998年,FDA就批准Palivizumab上市,预防儿童RSV引起的严重下呼吸道感染。但Palivizumab的半衰期非常短,需要每个月接种一次,而且与患儿体重相关。如果体重比较大或者用于成人,它的用量会非常大,费用昂贵。2023年7月阿斯利康和赛诺菲公司的Nirsevimab被FDA批准上市,它半衰期很长,一个流行季仅需用一次,并且其保护性是Palivizumab的50倍,2024年1月3日Nirsevimab在华获批,预防新生儿和婴儿在第一个RSV发病季RSV引起的下呼吸道感染。
2. RSV感染的药物治疗
抗病毒治疗是RSV感染治疗的基石。除此以外,激素、浓盐水雾化、支气管舒张剂等都没有明确的证据支持。并且在RSV感染中,无论是全身激素还是雾化激素,都会延长病毒的清除。所以激素在RSV感染治疗中没有地位。
利巴韦林作为广谱的核苷类抗病毒药物,能够抑制病毒核酸复制,从而杀灭病毒。雾化利巴韦林是最早且唯一被授权用于治疗婴幼儿RSV感染的抗病毒药物。研究发现,与对照组相比,利巴韦林在死亡率、住院率、吸氧及机械通气、治疗失败率等方面并不具有优势。然而目前没有更好的选择,在高危人群中,利巴韦林仍然是主要的抗病毒药物。研究发现,利巴韦林对于肺移植患者RSV感染具有非常明确的保护作用。在一项研究中,18例肺移植患者经PCR检测确诊RSV感染,接受利巴韦林静脉注射治疗+口服泼尼松,直至鼻咽或口咽拭子核酸转阴,平均治疗时间为8天(6~15天)。患者感染RSV后,平均FEV1由2.1±1.0 L降至1.8±0.9 L,3个月后恢复至2.1±0.9 L。其中仅1例患者发展成为闭塞性细支气管炎,无一例患者死亡。主要并发症为溶血性贫血(Hb由122 g/L降至107 g/L)。
对于造血干细胞移植患者,使用雾化利巴韦林进行早期治疗后,下呼吸道感染进展率总体降低,从45%降至16%,下呼吸道感染患者的RSV相关死亡率从70%降至35%。在迄今为止关于吸入利巴韦林治疗对RSV感染的造血干细胞移植受者(n=280)影响的最大规模回顾性研究中,上呼吸道感染阶段的早期利巴韦林治疗降低了进展为下呼吸道感染的风险。此外,未应用利巴韦林治疗与死亡率增加相关(OR=2.4)。
对于造血干细胞移植患者,是否启动利巴韦林抗病毒治疗有相关推荐。首先明确是否为上呼吸道RSV感染,然后进行影像学检查,判断感染是否已经扩散到下呼吸道。如果是,立即行气管镜检查,获取下呼吸道病原学证据,然后开始抗病毒治疗。如果影像学表现正常,患者仍为上呼吸道RSV感染,立即行ISI分层,如果患者为高风险和中风险,立即进行利巴韦林抗病毒治疗;如果是低风险,可以继续观察。

目前也有很多新的抗病毒药物处于研发阶段,也包括我们国家的AK-0529Ⅲ期临床研究。除了抗病毒药物非特异性免疫球蛋白(Asceniv®,ADMA Biologics)由于含有非特异性的RSV抗体,也可以对患者起到一定的免疫支持作用。

图片
九、小结


RSV是免疫低下、有基础疾病患者及老年人的常见病原体,其发病率及病死率与流感相当。分子诊断的进展可以实现RSV感染的迅速诊断,RSV疫苗和单克隆抗体的上市为高危人群提供了更好的保护。RSV抗病毒药物仍然有限,是目前的研究重点,对于高危人群RSV感染,利巴韦林仍然占有一定的地位。


   参考文献    

上下滑动阅览

[1] GBD 2016 Lower Respiratory Infections Collaborators. Estimates of the global, regional, and national morbidity, mortality, and aetiologies of lower respiratory infections in 195 countries, 1990-2016: a systematic analysis for the Global Burden of Disease Study 2016[J]. Lancet Infect Dis, 2018, 18(11):1191-1210. 
[2] Pneumonia Etiology Research for Child Health (PERCH) Study Group. Causes of severe pneumonia requiring hospital admission in children without HIV infection from Africa and Asia: the PERCH multi-country case-control study[J]. Lancet, 2019, 394(10200):757-779. 
[3] Nguyen-Van-Tam JS, O'Leary M, Martin ET, et al. Burden of respiratory syncytial virus infection in older and high-risk adults: a systematic review and meta-analysis of the evidence from developed countries[J]. Eur Respir Rev, 2022, 31(166):220105.
[4] Widmer K, Zhu Y, Williams JV, et al. Rates of hospitalizations for respiratory syncytial virus, human metapneumovirus, and influenza virus in older adults[J]. J Infect Dis, 2012, 206(1):56-62. 
[5] Descamps A, Lenzi N, Galtier F, et al. In-hospital and midterm post-discharge complications of adults hospitalised with respiratory syncytial virus infection in France, 2017-2019: an observational study[J]. Eur Respir J, 2022, 59(3):2100651. 
[6] Obando-Pacheco P, Justicia-Grande AJ, Rivero-Calle I, et al. Respiratory Syncytial Virus Seasonality: A Global Overview[J]. J Infect Dis, 2018, 217(9):1356-1364. 
[7] Thomsen SF, Stensballe LG, Skytthe A, et al. Increased concordance of severe respiratory syncytial virus infection in identical twins[J]. Pediatrics, 2008. 121(3):493-496. 
[8] Griffiths C, Drews SJ, Marchant DJ. Respiratory Syncytial Virus: Infection, Detection, and New Options for Prevention and Treatment[J]. Clin Microbiol Rev, 2017, 30(1):277-319. 
[9] Falsey AR, Criddle MC, Walsh EE. Detection of respiratory syncytial virus and human metapneumovirus by reverse transcription polymerase chain reaction in adults with and without respiratory illness[J]. J Clin Virol, 2006, 35(1):46-50. 
[10] Self WH, Williams DJ, Zhu Y, et al.  Respiratory Viral Detection in Children and Adults: Comparing Asymptomatic Controls and Patients With Community-Acquired Pneumonia[J]. J Infect Dis, 2016, 213(4):584-591.
[11] Nabeya D, Kinjo T, Parrott GL, et al. Chest Computed Tomography Abnormalities and Their Relationship to the Clinical Manifestation of Respiratory Syncytial Virus Infection in a Genetically Confirmed Outbreak[J]. Intern Med, 2020, 59(2):247-252.
[12] Nam HH, Ison MG. Respiratory syncytial virus infection in adults[J]. BMJ, 2019, 366:l5021
[13] Khawaja F, Chemaly RF. Respiratory syncytial virus in hematopoietic cell transplant recipients and patients with hematologic malignancies[J]. Haematologica, 2019, 104(7):1322-1331. 
[14] Randolph AG, Wang EE. Ribavirin for respiratory syncytial virus lower respiratory tract infection. A systematic overview[J]. Arch Pediatr Adolesc Med, 1996, 150(9):942-947. 
[15] Glanville AR, Scott AI, Morton JM, et al.  Intravenous ribavirin is a safe and cost-effective treatment for respiratory syncytial virus infection after lung transplantation[J]. J Heart Lung Transplant, 2005, 24(12):2114-2119. 
[16] Shah JN, Chemaly RF. Management of RSV infections in adult recipients of hematopoietic stem cell transplantation[J]. Blood, 2011, 117(10):2755-2763. 
[17] Shah DP, Ghantoji SS, Shah JN, et al. Impact of aerosolized ribavirin on mortality in 280 allogeneic haematopoietic stem cell transplant recipients with respiratory syncytial virus infections[J]. J Antimicrob Chemother, 2013, 68(8):1872-1880. 


  作者介绍    

图片

崔晓阳

主治医师,医学博士,中日友好医院呼吸与危重症医学科,毕业于四川大学华西临床医学院,完成PCCM专科培训,从事呼吸危重症相关临床及科研工作,主要研究方向为ECMO相关呼吸支持手段,以第一作者在相关领域发表SCI论文多篇。


点我观看视频.jpg

全部评论 0
Copyright©2020-2026 北京医麦斯科技有限公司 版权所有 京ICP备2020034400号-1 京公网安备11010502043983号