登录方式

方式一:
PC端网页:www.rccrc.cn
输入账号密码登录,可将此网址收藏并保存密码方便下次登录

方式二:
手机端网页:www.rccrc.cn
输入账号密码登录,可将此网址添加至手机桌面并保存密码方便下次登录

方式三:
【重症肺言】微信公众号
输入账号密码登录

注:账号具有唯一性,即同一个账号不能在两个地方同时登录。

登录
方式

为重症救治赋能

为患者康复加速

当前位置:首页 重症肺炎 病毒肺炎

得了新冠肺炎后神志不清?到底是谁的锅?

王飞雨1,冯耘2,居旻杰3,谢晖4,穆叶赛·尼加提1 1. 新疆维吾尔自治区人民医院;2. 上海交通大学医学院附属瑞金医院;3. 复旦大学附属中山医院;4. 上海市第一人民医院 发布于2022-12-09 浏览 8004 收藏

病例简介

一般情况

41岁女性患者,因“突发四肢乏力、意识障碍2日余”,于2022年11月4日入院就诊。

现病史

患者入院前2日无明显诱因出现乏力、咳嗽、咳痰、发热等不适,具体体温不详,否认头晕、头痛、恶心、呕吐,否认单侧肢体无力、大小便失禁、言语不清,否认胸痛、心悸、咯血、呕血、腹痛、黑便、便血、尿急、尿痛等不适,在家自行口服“阿莫西林”等药物后未见明显好转,随后出现意识障碍,表现为反应迟钝、嗜睡、言语含糊,遂送往乌鲁木齐市某三甲医院就诊,完善相关检查后诊断患者为“肺部感染,糖尿病酮症酸中毒,高渗性昏迷,高钠血症”等,予以抗感染、控制血糖、适当补液等对症支持处理(具体不详),患者症状有所缓解。至2022年11月3日凌晨4时,家属发现患者呼吸急促、呼叫不应,紧急呼叫医生后予以气管插管呼吸机辅助通气等治疗,复查头颅CT后提示“脑水肿”,予以对症处理,但患者意识状况仍未得到明显改善,于11月4日转入我院进一步治疗。

既往史

患者于2008年诊断为妊娠期糖尿病,平素精蛋白人胰岛素混合注射液早10 IU、中12 IU、晚14 IU皮下注射降糖治疗,未规律监测血糖。2012年曾因脑出血行脑血管畸形手术,曾行气管切开,术后经长期康复仍遗留右侧肢体活动障碍。

入院体格检查

体温36.5℃脉率84次/min,呼吸20次/min,血压119/60 mmHg。浅昏迷,营养状况良好,检查不合作。气管插管呼吸机辅助通气下指脉氧饱和度95%(SIMV模式 PC 10 cmH2O,PEEP 5 cmH2O,吸氧浓度50%),瞳孔等大等圆,对光反射迟钝。颈部可见气管切开瘢痕,双肺呼吸音粗,可闻及湿啰音。心率84次/min,心律齐,未闻及杂音。肌力检查不合作,粗测右下肢肌力0级,右上肢肌力1级,双足下垂,右侧巴氏征阳性。

辅助检查

血气:酸碱度7.350,二氧化碳分压18.0 mmHg,剩余碱-14.0 mmol/L,红细胞压积27.00%,实际碳酸氢根9.90 mmol/L,氧分压103.00 mmHg,氧饱和度98%。

血常规:白细胞14.45×109/L,红细胞3.18×1012/L,血红蛋白含量100.00 g/L,血小板计数245.00×109/L。

炎症指标:C反应蛋白12.60 mg/L,白介素-6 23.23pg/ml,降钙素原0.79 ng/ml。

血浆乳酸1.17 mmol/L。

血浆氨31.41 μmol/L。

B型钠尿肽261.60 pg/ml(↑)。

肝功全套:总胆红素11.46 μmol/L,总蛋白53.50 g/L,白蛋白28.20 g/L,球蛋白25.30 g/L,丙氨酸氨基转移酶34.00 U/L,天冬氨酸氨基转移酶26.00 U/L。

凝血功能:凝血酶原时间10.0 s,凝血酶原活动度118%,国际标准化比值0.93INR,纤维蛋白原2.58 g/L,活化部分凝血活酶时间25.8 s,D-二聚体0.864 mg/LDDU。

干化学肾功+葡萄糖(干化)+干化学离子:渗透压346.27 mosm/kg,尿素氮9.40 mmol/L,肌酐91.60 μmol/L,尿酸265.94 μmol/L,葡萄糖19.85 mmol/L,钾2.44 mmol/L,钠172 mmol/L,氯137.40 mmol/L,钙2.08 mmol/L,无机磷酸盐0.25 mmol/L

糖化血红蛋白11.4%。

尿常规:尿白细胞阴性,尿蛋白(+),尿葡萄糖(++++),尿酮体(+++)。

新冠核酸阳性,CT值O:29,N:29。

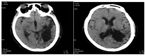
心脏超声:静息状态下心内结构及血流动力学未见明显异常。头颅CT:颅脑术后改变,左侧颞顶枕叶、基底节区脑软化灶;双侧额叶皮下、侧脑室旁多发腔梗;脑白质变性,老年性脑改变(图1)

图片

图1  患者头颅CT

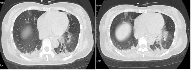
胸部CT:双肺多发斑片状磨玻璃影,双肺下叶胸膜下片状实变影(图2),考虑炎性病变,病毒性肺炎不除外。

图片

图2  患者胸部CT
入院诊断
  • 意识丧失(查因),2型糖尿病性高渗性昏迷?急性脑血管病?感染中毒性脑病?
  • 重症肺炎,Ⅰ型呼吸衰竭;
  • 2型糖尿病;
  • 电解质紊乱,低钾血症,高钠血症,高氯血症;
  • 新型冠状病毒肺炎(危重型)。

处理措施

治疗措施

患者入院肺CT提示:双肺多发斑片状磨玻璃影,双肺下叶胸膜下片状实变影,患者新冠病毒核酸阳性,有乏力、咳嗽、咳痰、发热症状,考虑病毒感染所致肺间质改变,结合患者上述现病史、体征、查体和实验室检查结果,首先考虑患者意识改变为糖尿病性高渗性昏迷可能大,感染为诱发因素,患者病情进展恶化快伴呼吸衰竭,给予报病危、气管插管呼吸机辅助通气、哌拉西林钠他唑巴坦钠4.5g q8h抗感染、奥美拉唑40 mg/d,抑酸护胃预防应激性溃疡、胰岛素泵入降血糖、适当补液、半张氯化钠补液、鼻饲补钾、鼻饲温开水和糖水纠正高钠高氯、肠内营养支持治疗,辅以平喘、化痰、纠正低蛋白、祛痰等对症治疗。

入院后进一步完善相关检查,血培养、痰涂片及细菌、真菌培养均阴性。

病情演变及转归
经治疗患者于11月7日神志、肢体肌力逐渐恢复,离子紊乱情况逐渐纠正,血糖控制稳定,监测各项指标较前明显好转。至11月10日患者神志转清,可遵医嘱活动,肢体肌力明显恢复,体温恢复正常,血糖、血钠均控制在正常范围内,停用镇静剂,拟行脱机训练。11月11日患者脱机训练良好,成功拔气管插管脱离呼吸机,序贯鼻导管吸氧。11月12日患者转出重症监护室继续序贯治疗。

讨论

1.对于该患者发病情况如何进行诊断和鉴别诊断?

该患者中年女性,既往糖尿病、脑出血术后病史,平素未规律监测血糖,此次急性起病,以呼吸道症状发病,表现为乏力、咳嗽、咳痰、发热不适。查体:双肺呼吸音粗,可闻及湿啰音。胸部CT:双肺多发斑片状磨玻璃影,双肺下叶胸膜下片状实变影,疾病进展迅速,出现意识改变和急性呼吸衰竭,入院诊断考虑重症肺炎,间质性肺改变,该患者既往无肺部基础疾病,多种病因包括感染、结缔组织病、肿瘤或药物肺损伤等,均可引起急性肺损伤,表现为肺间质炎症、纤维化或弥漫性肺损伤改变。
对于此类间质性肺改变患者,首先需要鉴别感染性疾病和非感染性疾病。感染性疾病包括病毒、细菌及非典型病原体感染,非感染性疾病包括急性左心衰竭所致肺水肿、结缔组织病、肿瘤或药物肺损伤等,且当前正值新冠病毒肺炎(COVID-19)疫情流行,还需鉴别COVID-19。
COVID-19主要表现为发热、干咳、咽痛、乏力,以及不典型的上呼吸道症状如肌痛、腹泻、结膜炎、嗅觉味觉减退等,重症患者多在1周内出现呼吸困难和低氧血症,严重者出现急性呼吸窘迫综合征(ARDS)/多器官功能障碍综合征(MODS)。胸部影像学以磨玻璃影或实变为主要表现,可有网格和索条影,但相对较轻,蜂窝或牵张性支气管扩张等肺结构破坏征象不明显,该患者胸部影像学以双肺弥漫性渗出改变为主要表现,临床上急性起病,伴有发热、乏力、咳嗽、咳痰,符合COVID-19临床表现,且患者核酸阳性,入院后完善血培养、痰培养、真菌培养、呼吸道病原学等检查均为阴性,患者既往无心肺基础疾病,无口服特殊药物病史,且此次起病急剧,故考虑COVID-19所致间质肺改变。
患者经常规抗病毒、抗感染药物治疗效果好转不明显,病情进展迅速,出现意识障碍,表现为反应迟钝、嗜睡、言语含糊。
引起意识改变的常见原因包括:
(1)颅脑疾病:常见于各种颅内感染及非感染性严重病变。感染性疾病包括:各种脑炎、脑膜炎、脑脓肿、脑寄生虫感染等;非感染性疾病包括:①占位性病变:如脑肿瘤、颅内血肿、囊肿等;②脑血管疾病:如脑出血、蛛网膜下腔出血、脑栓塞、脑血栓形成、高血压脑病等;③颅脑外伤:如颅骨骨折、脑震荡、脑挫伤等;④癫痫。
(2)全身性疾病:可分为感染性及非感染性疾病两类。感染性疾病见于全身各种严重感染性疾病,如伤寒、中毒型细菌性痢疾、重症肝炎、流行性出血热、钩端螺旋体病、中毒性肺炎、败血症等。非感染性疾病见于:①心血管疾病:如阿-斯综合征、重度休克等;②内分泌与代谢障碍:如甲状腺危象、黏液性水肿、肾上腺皮质功能亢进或减退、糖尿病昏迷(酮症酸中毒昏迷及高渗性昏迷)、低血糖症、尿毒症、肝性脑病、肺性脑病,以及严重水、电解质及酸碱平衡紊乱等;③中毒:如有机磷、安眠药、酒精、毒蕈、鱼胆、一氧化碳、海洛因等中毒;④物理性损伤:如中暑、触电、淹溺、高山病、冻伤等。
结合该患者入院头颅CT:颅脑术后改变,左侧颞顶枕叶、基底节区脑软化灶;双侧额叶皮下、侧脑室旁多发腔梗,未见明显脑水肿、颅内出血、颅骨骨折、脑挫伤、占位性病变和梗死灶,同时患者发病过程中无抽搐发作及颅内高压表现,可除外颅脑疾病所致患者意识改变,故可考虑为全身性疾病所致。该患者感染源明确,为呼吸道感染,但经过积极抗感染、抗病毒治疗后患者意识水平未见明显改善,故考虑为非感染因素可能大。患者无循环衰竭、无心功能不全表现、无中毒病史、无过度药物服用史、无外伤等物理性损伤史,故可除外因中毒、心血管疾病及物理性损伤所致意识改变。该患者既往糖尿病基础,平素未规律监测血糖,入院完善检查提示:渗透压346.27 mosm/kg,静脉葡萄糖19.85 mmol/L,钾2.44 mmol/L,钠172 mmol/L,氯137.40 mmol/L,糖化血红蛋白11.4%,甲状腺功能未见明显异常,故该患者意识改变为糖尿病高渗性昏迷所致,感染为诱发因素。
针对意识障碍,首先需确定可能的病因,常从颅脑疾病及全身疾病两大类考虑,每大类疾病又可从感染及非感染性疾病考虑。临床上几乎每种严重疾病都可引起意识障碍,故有时鉴别诊断较困难。意识障碍的鉴别诊断除需详细询问患者病史及体格检查外,还应借助于相关辅助检查,如血、尿、粪常规检查、脑脊液检查、血生化、血气分析、血培养等检查;疑中毒时进行毒物检查;有指征时选择心电图、脑电图、CT、MRI等检查。
2. COVID-19感染对糖尿病患者的影响有哪些?
糖尿病是COVID-19患者常见合并症之一,糖尿病患者免疫功能异常可能促进 COVID-19病情加重,COVID-19反过来又导致患者血糖进一步升高,甚至诱发糖尿病酮症酸中毒(DKA)、高血糖高渗状态等急性并发症。COVID-19患者糖代谢可能受多种因素影响。首先,COVID-19患病时的应激状态可能导致胰岛素抵抗,加重糖代谢异常。其次,胰腺组织可能是病毒感染的靶器官之一。此外,COVID-19患者难以维持既往糖尿病饮食和运动计划;部分重症患者需接受糖皮质类固醇治疗。上述因素均可能导致COVID-19合并糖尿病患者出现严重高血糖,甚至DKA、高血糖高渗状态等急性并发症。该患者既往有糖尿病基础,本次感染COVID-19,诱发糖尿病高渗性昏迷。重症COVID-19病情凶险,其导致的意识障碍恢复缓慢,该患者经治疗后意识水平迅速好转,入院后第3天神志水平逐渐恢复,第7天成功拔除气管插管,脱离呼吸机,序贯鼻导管吸氧,证实其意识障碍可能主要由糖尿病高渗状态引起,COVID-19起到加重病情的作用。
总之,COVID-19与糖尿病相互影响、互相加重,导致感染恶化和血糖控制难度增加,促使患者出现不良临床结局。对于COVID-19合并糖尿病患者,监测和控制血糖、早期识别并处理DKA、糖尿病高渗状态等急性并发症,将有助于改善患者临床结局。


⭐  参考文献

(向下滑动查看全部文献)

[1] Huang C L, Wang Y M, Li X W,et al. Clinical features of patients infected with 2019 novel coronavirus in Wuhan, China[J]. Lancet, 2020, 395:497-506.

[2] Guan W J, Ni Z Y, Hu Y, et al. Clinical characteristics of coronavirus disease 2019 in China[J]. N Engl J Med, 2020, 382:1708-1720.

[3] Zhu L, She Z G, Cheng X, et al. Association of blood glucose control and outcomes in patients with COVID-19 and pre-existing type 2 diabetes[J]. Cell Metab, 2020, 31: 1068-1077, e1063.


⭐  作者介绍

图片

王飞雨


新疆维吾尔自治区人民医院新疆急救中心主治医师,硕士研究生,2016年毕业于石河子大学医学院,获石河子大学优秀毕业生称号,2018年荣获新疆维吾尔自治区人民医院规培基地优秀学员称号,目前以第一作者于国内外期刊发表论文6篇。


图片

冯耘

上海交通大学医学院附属瑞金医院呼吸与危重症医学科主任医师,硕士研究生导师,上海援疆重症医疗队A组副组长,美国杜克大学访问学者,上海市医学会呼吸病学专科分会青年委员会委员兼秘书,上海市医学会呼吸病学专科分会重症学组副组长。曾获得上海市人才培养计划,上海市优秀专科医师及上海交通大学医学院九龙医学奖。获得国家自然基金和国家重点研发计划子课题资助,以第一作者及通讯作者发表相关SCI文章30余篇,第一完成人获得专利2项,参编专著3部,荣获上海市科技进步一等奖。


图片

居旻杰


医学博士,复旦大学附属中山医院重症医学科副主任医师,硕士研究生导师。上海援疆重症医疗队A组组长,上海市医学会危重病专科分会重症呼吸学组委员、中国医学救援协会重症医学分会理事、中国医学救援协会重症医学分会早期康复学组副组长。主持国家自然科学基金、上海市科委、上海申康医院发展中心等多项研究课题。发表SCI论文30余篇,多篇发表于重症医学顶级期刊。共申请专利15项,其中发明专利3项,实用新型专利12项,获授权专利6项,转化落地专利3项。获上海科技进步二等奖、上海医学科技奖三等奖、上海市优秀发明选拔赛优秀创新项目铜奖、第一届中国健康长寿创新大赛优秀奖等奖项。


图片

谢晖


上海市第一人民医院急诊危重病科副主任,主任医师,硕士生导师。上海援疆重症医疗队队长,上海市医学会危重病专科分会青年委员会副主任委员,以色列特拉维夫拉宾医学中心访问学者,主持国家自然基金项目2项。


图片
穆叶赛·尼加提

国务院特殊津贴专家,主任医师,教授,博士后,博士生导师。现任新疆维吾尔自治区人民医院急救中心主任、新疆急诊质控中心主任、新疆急救研究所所长。长期从事心血管急危重症、复苏学和冠心病介入诊疗的临床与基础研究。中华医学会心血管病学分会精准医学学组委员、中华医学会急诊医学分会急危重症质控组委员、中国医师协会心力衰竭专业委员会委员、国家心血管病专家委员会心力衰竭分会委员。承担国家级及省级各类项目10余项,发表各类核心科研论文50余篇,其中SCI论文10余篇,主编和参编专著5部,培养硕士研究生20余人。

全部评论 0
Copyright©2020-2026 北京医麦斯科技有限公司 版权所有 京ICP备2020034400号-1 京公网安备11010502043983号