登录方式

方式一:
PC端网页:www.rccrc.cn
输入账号密码登录,可将此网址收藏并保存密码方便下次登录

方式二:
手机端网页:www.rccrc.cn
输入账号密码登录,可将此网址添加至手机桌面并保存密码方便下次登录

方式三:
【重症肺言】微信公众号
输入账号密码登录

注:账号具有唯一性,即同一个账号不能在两个地方同时登录。

登录
方式

为重症救治赋能

为患者康复加速

当前位置:首页 重症肺炎 病毒肺炎

新冠肺炎后静默性缺氧为何再现?

周伟1,冯耘2,居旻杰3,谢晖4,穆叶赛·尼加提5 1. 上海交通大学第六人民医院;2. 上海交通大学医学院附属瑞金医院;3. 复旦大学附属中山医院;4. 上海市第一人民医院;5. 新疆维吾尔自治区人民医院 发布于2022-12-23 浏览 5875 收藏

作者:周伟1,冯耘2,居旻杰3,谢晖4,穆叶赛·尼加提5

单位:1. 上海交通大学第六人民医院;2. 上海交通大学医学院附属瑞金医院;3. 复旦大学附属中山医院;4. 上海市第一人民医院;5. 新疆维吾尔自治区人民医院


自2019年12月新型冠状病毒肺炎(简称新冠肺炎)暴发以来,据WHO统计截至2022年12月3日全球新冠肺炎病例达644 906 624例,死亡6 637 529例,中国在此次疫情防控工作中作出了巨大贡献和牺牲。新冠肺炎防控核心是早发现、早隔离,临床救治重点是避免患者进展至急性呼吸窘迫综合征(acute respiratory distress syndrome,ARDS)、脓毒症休克、难以纠正的代谢性酸中毒和出凝血功能障碍,治疗的复杂性往往导致预后差。在一些危重型新冠肺炎患者救治中,笔者发现新冠肺炎导致的自发性气胸可能使病情恶化,使治疗复杂化,甚至可能导致救治失败。本文报道1例新疆乌鲁木齐市新冠肺炎合并呼吸衰竭的病例,患者病情好转后再次出现呼吸困难,究竟是为何原因,让我们一探究竟。

图片
一、病例资料
1. 一般资料

患者,男性,72岁,身高175 cm,体重78 kg。于2022年11月16日入院。

2. 现病史

x5天前无明显诱因下出现咳嗽、咳痰,轻度乏力,食欲减退,肌肉酸痛不适,渐感胸闷,无流涕、鼻塞,结膜炎,腹泻,无味觉、嗅觉减退等不适,否认发热。11月11日新冠病毒核酸阳性。患者自行在家中对症处理,胸闷症状无明显好转,随后就诊于我院门诊。

3. 既往史

既往有冠状动脉粥样硬化、心脏病病史5年,冠状动脉支架植入术后、糖尿病、高血压病史。接种新冠疫苗三针。

4. 入院检查

胸部CT提示:两下肺胸膜下磨玻璃影、絮片影,考虑社区获得性肺炎,病毒性肺炎?(图1)

图片

图1  2022年11月16日胸部CT

新冠核酸阳性。

血常规:WBC 5.78×109/L,Hb 140 g/L,PLT 122×109/L,LYM 1.64×109/L,以“新型冠状病毒肺炎普通型”收入院。

体格检查:T 36.3℃,P 82次/min,R 18次/min,BP 134/60 mmHg,双肺呼吸音粗,双肺未闻及干/湿性啰音。

5. 诊断

①新冠肺炎(普通型);②冠状动脉粥样硬化性心脏病,冠状动脉支架植入后状态;③原发性高血压病3级(极高危);④2型糖尿病。

图片

二、治疗经过

入院后给予鼻导管吸氧,抗病毒、抗炎(口服头孢克洛缓释片)、止咳化痰等治疗。并给予阿司匹林、阿托伐他汀、酒石酸美托洛尔、单硝酸异山梨酯片,控制血糖等基础病支持治疗。患者症状不见好转,于11月20日因患者诉气短、心慌加重,给予面罩吸氧,氧气4 L/min,氧饱和度87%,心率105次/min。11月21日复查胸部CT提示双肺多发磨玻璃影、絮片影,考虑炎性病变,病毒性肺炎,较前进展(图2)

图片
图片

图2  2022年11月21日胸部CT

转重症监护室继续抢救治疗。吸氧静息状态下指末氧饱和度91%,略活动状态下86%左右,给予高流量吸氧(50 L/min,吸氧浓度90%),氧合指数在63~100 mmHg之间,清醒俯卧位通气>12 h/d。头孢曲松2g qd抗感染。奈玛特韦片/利托那韦片、连花清瘟胶囊抗病毒,中医中药治疗。罗米司韦单抗/安巴韦单抗注射液各1000 mg静滴,以及甲强龙40mg qd减轻炎症免疫风暴;静注人免疫球蛋白10g qd。胸腺法新1.6 mg皮下注射biw,提高免疫力。预防性使用低分子肝素钠避免血栓形成。

治疗过程中患者病情逐渐稳定可间断面罩吸氧过度为鼻导管吸氧,于2022年11月28日复查胸CT(图3)。病情逐渐稳定,待核酸转阴计划予以出院。

图片

图3  2022年11月28日胸部CT

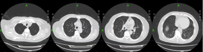
12月2日患者病情突然变化,出现间断气短、血氧有所下降,指脉氧饱和度下降至80%~85%,高流量吸氧FiO2调整到100%,氧流量50 L/min,指脉氧饱和度可升高到94%。血气分析:pH 7.50,PaO2 61.00 mmHg,PaCO237.0 mmHg,剩余碱5.5 mmol/L,实际碳酸氢根28.90 mmol/L,氧饱和度93%。复查胸CT提示左侧气胸(图4,追问患者情况,患者诉有饮水后剧烈呛咳史;立即行胸腔闭式引流术。

图片
图片

图4  2022年12月3日胸部CT

患者经过治疗后,呼吸衰竭逐渐纠正,氧合及呼吸功能恢复,复查胸部CT(图5)发现气胸较前明显吸收后顺利拔出胸腔闭式引流管。

图片
图5  2022年12月7日胸部CT
图片

三、讨论

1. 俯卧位通气在新冠肺炎患者中的应用时机

在ARDS治疗中,俯卧位通气(prone position ventilation,PPV能显著改善患者通气血流比例(V/Q)失调,促进萎陷肺泡复张,减少呼吸机相关肺损伤,解除心脏对于部分肺组织的压迫,有利于肺扩张和体位痰液引流,从而改善ARDS患者的生存率,目前作为重症治疗的一种手段,已被写入《新型冠状病毒肺炎诊疗方案(第九版)》中。该患者为Ⅰ型呼吸衰竭,胸CT提示双肺弥漫性病变,高流量吸氧,结合俯卧位通气、抗炎、抗感染后患者肺部渗出较前明显改善。近来有研究发现在新冠肺炎急性呼吸衰竭非插管清醒患者中进行俯卧位通气,能改善患者预后,有潜在的获益[1]。在插管患者中,新冠肺炎导致ARDS患者的呼吸衰竭越严重,这种诊疗方法使用的频率越高,大部分重症患者能在俯卧位通气时改善氧合,但新冠肺炎重症患者何时启动俯卧位通气,如何预判早期俯卧位通气是否对患者有益,这些仍是临床医生需要关注的问题。

该患者是偏胖的老年男性,既往合并多种内科疾病,包括高血压、糖尿病、冠心病支架术后。患者入院时予以常规治疗,没有第一时间进行俯卧位通气。患者入室后处于呼吸窘迫状态,我们对该患者进行了一段时间的清醒俯卧位通气后,患者氧合状态好转,同时通过抗炎、抗感染、控制血糖、器官支持治疗后患者一般情况较前有明显改善,胸部CT发现病变较前明显吸收。新冠肺炎合并ARDS的重症患者实施俯卧位通气的时机需要临床医生根据患者的病情发展进行个体化的综合判断,合并ARDS的重症新冠肺炎患者通过俯卧位通气有一定获益,有助于改善患者的临床结局。

2. 新冠肺炎对于“脆弱人群”的影响

文献研究报道了新冠肺炎相关不良结局的一些高危因素,糖尿病[2]、心血管疾病[3]是严重新冠肺炎临床诊疗不良结局的主要危险因素。也有研究表明,年龄是新冠肺炎住院患者不良结局的另一个驱动因素。

本例患者既往有高血压、糖尿病、冠心病等多种内科基础疾病,体型偏胖,BMI高达25.5 kg/m2,入院后诊断普通型新冠肺炎,血气分析提示Ⅰ型呼吸衰竭,入院予以常规吸氧、抗病毒治疗效果不佳,患者病情进展为危重型,后予以积极抗感染、抗炎、控制血糖、高流量吸氧,并且根据患者临床症状、血气分析结果、胸部CT考虑合并ARDS,予以实施清醒俯卧位通气。通过积极治疗,患者胸部CT弥漫性病变较前明显好转。该患者新冠肺炎合并糖尿病、肥胖、代谢综合征,属于新冠肺炎患者中的“脆弱人群”首先,高血糖状态能促进SARS-CoV-2病毒复制[9]。其次,新冠肺炎合并糖尿病患者常存在异常的炎症反应[10, 11],可能与并发ARDS的发病机制有关:病毒诱导炎症增加胰岛素抵抗,炎症细胞更容易渗入肺脏导致ARDS或者死亡[12]。再次,肥胖、代谢综合征以及糖尿病的新冠肺炎患者,在糖毒性、炎症内皮损伤、氧化应激、细胞因子风暴等多重病理生理变化作用下,新冠肺炎的临床严重程度会显著加剧,患者血栓栓塞和重要脏器损伤的风险也会显著增加[13]。因此,新冠肺炎进展至ARDS的糖尿病患者更需要在监护室进行机械通气与监护治疗,积极机械通气、俯卧位通气、抗炎、监测血糖、各脏器的监护治疗将有助于改善患者的临床结局。

3. 糖皮质激素在新冠肺炎患者中应用

目前,皮质类固醇药物是在治疗重症新冠肺炎中唯一能降低死亡率的药物[4],大量研究表明,重症新冠肺炎患者使用地塞米松或者氢化可的松能明显降低死亡率,改善不良结局。然而,应用糖皮质激素导致糖尿病患者胰岛素敏感性降低,新冠肺炎也能加重β细胞功能受损,对于合并糖尿病的新冠肺炎患者来说,其血糖更加难以控制。皮质醇的应用也增加了重症新冠肺炎患者血栓栓塞[5]及弥散性血管内凝血[21]的风险。我国《新型冠状病毒肺炎诊疗方案(第九版)》中提出,对于氧合指标进行性恶化、影像学进展迅速、机体炎症反应过度激活状态的重症和危重症患者,应酌情使用糖皮质激素,避免长时间、大剂量的使用,减少不良反应。

本例患者是老年男性,合并糖尿病、冠心病等内科疾病,罹患新冠肺炎后血糖控制不佳,入室后检查有双肺弥漫性渗出,呼吸窘迫,予以机械通气同时按照诊疗方案予以甲强龙40 mg/d抗炎,并采取胰岛素泵控制血糖、丙种球蛋白抗病毒、低分子肝素抗凝、俯卧位通气等一系列治疗措施。通过规范的集束化治疗,患者双肺渗出较前明显吸收,一般情况改善,取得较好的治疗效果。

4. 此患者为原发的自发性气胸还是继发的自发性气胸?

有报道称肺炎可导致的气胸见于狼疮性肺炎[6]、严重细菌感染致脓气胸[7]、社区获得性嗜肺军团菌肺炎[8],而病毒性肺炎罕见。陈南山等[9]分析99例新冠肺炎患者,发现自发性气胸的发病率为1%。杨晓波等[10]的单中心回顾性研究发现武汉金银潭医院710例确诊新冠肺炎患者中有52例进展至危重型,其中2%发生了气胸并死亡。Salehi等[11]系统回顾919例新冠肺炎,发现随着病情进展,可导致严重的支气管扩张、肺大疱、胸腔积液和气胸。随着病理尸检工作的展开,王福生院士和卞修武院士团队在对新冠肺炎死亡患者的病理解剖中发现,肺部表现为双侧弥漫性肺泡损伤伴细胞纤维黏液性渗出、出血,肺泡上皮细胞脱落和透明膜形成,支气管腔内可见黏液栓。肺泡组织完整性破坏可使自发性气胸的风险增高[12]。临床上执行的保护性肺通气策略可能仍不能保护受损的肺组织,由于病毒性肺炎导致肺组织结构破坏,机械通气各呼吸力学改变,肺组织塌陷导致剪切力更大,从而损伤肺组织,在一定条件下形成气胸。对于自发性气胸,如果在临床治疗过程中未能及时调整呼吸机模式,可能导致呼吸机相关性肺损伤,影响预后。该患者无气胸病史及任何肺部疾病,体型适中,无吸烟史,也不存在气胸的危险因素。该病例入院治疗期间胸部CT显示新冠肺炎自轻症发展为重症,进而出现自发性气胸,考虑是由于重症新冠肺炎引起弥漫性肺泡损伤,肺泡破裂损伤严重而引发,机械性因素如俯卧位通气也是引起自发性气胸的诱因。

该病例警示我们,临床治疗中应重视气胸的预防和管理,尤其是肺部疾病进行性恶化的患者,应密切监护患者的氧合状况,如有突发的胸闷气短、氧合指标进行性下降,需考虑有自发性气胸的病情演变,气胸加重了呼吸系统治疗的复杂性,及早发现并给予及时救治,对于肺部疾病患者的病情恢复至关重要。当然,患者是否为继发的自发性气胸,目前仍不能完全排除,但重症新冠肺炎继发的自发性气胸虽属罕见,发病率不足1%,但陆续仍有报道,继发的自发性气胸加重了新冠肺炎的治疗难度,延长了患者的康复进程,严重者可能会死亡,需要引起临床医生的重视。

图片
参考文献

[1] Coppo A, Bellani G, Winterton D, et al. Feasibility and physiological effects of prone positioning in non-intubated patients with acute respiratory failure due to COVID-19 (PRON-COVID): a prospective cohort study[J]. Lancet Respir Med, 2020, 8(8):765-774.

[2] Lim S, Bae J H, Kwon H S, et al. COVID-19 and diabetes mellitus: from pathophysiology to clinical management[J]. Nat Rev Endocrinol, 2021, 17(1):11-30.

[3] Azevedo R B, Botelho B  G, Hollanda J VG, et al. Covid-19  and the cardiovascular system: a comprehensive review[J]. J Hum Hypertens, 2021, 35(1):4-11.

[4] Attaway A H, Scheraga R G, Bhimraj A, et al. Severe covid-19 pneumonia: pathogenesis and clinical management[J]. BMJ, 2021, 372:n436.

[5] Connors J M, Levy J H. Thromboinflammation and the hypercoagulability of COVID-19[J]. J Thromb Haemost, 2020, 18(7):1559-1561.

[6] 程玉生,戴山林,车楠,等. 急性狼疮性肺炎继发气胸一例并文献复习[J]. 中国呼吸与危重监护杂志,2017,16(6):606-609.

[7] 郭伟,王银凤,陈翠,等. 耐碳青霉烯肺炎克雷伯杆菌感染致脓气胸一例及文献复习[J]. 中国医师杂志,2019,21(3):463-464.

[8] Chen Y C, Lee C H. Community-acquired Legionella pneumophilia pneumonia presenting with spontaneous pneumothorax[J]. Kaohsiung J Med Sci, 2017, 33(10):530-532. 

[9] Chen N, Zhou M, Dong X, et al. Epidemiological and clinical characteristics of 99 cases of 2019 novel coronavirus pneumonia in Wuhan, China: a descriptive study[J]. Lancet, 2020, 395(10223):507-513. 

[10] Yang X, Yu Y, Xu J, et al. Clinical course and outcomes of critically ill patients with SARS-CoV-2 pneumonia in Wuhan, Chin: a single-centered, retrospective, observational study[J]. Lancet Respir Med, 2020, 8(5):475-481. 

[11] Salehi S, Abedi A, Balakrishnan S, et al. Coronavirus Disease 2019(COVID-19): A Systematic Review of Imaging Findings in 919 Patients[J]. AJR Am J Roentgenol, 2020, 215(1):87-93. 

[12] Sun R, Liu H, Wang X. Mediastinal Emphysema, Giant Bulla, and Pneumothorax Developed during the Course of COVID-19 Pneumonia[J]. Korean J Radiol, 2020, 21(5):541-544.



作者简介

图片
周伟

上海交通大学第六人民医院急诊重症医学科、全科医学科副主任医师,上海中西医结合灾害医学专委会委员,中国中西医结合学会委员。1995年毕业于同济大学医学院临床医学系,长期在内科和急诊临床一线工作,具备全科医学执业资质。熟练掌握临床各科常见病的诊疗规范和操作技能,在心血管系统、呼吸系统、神经系统、消化系统等系统疾病的急性发作、急性中毒、脓毒症、重大创伤、心肺脑复苏等急诊救治方面具有丰富的临床经验。擅长多学科综合治疗及以患者为中心的个体化综合诊治。参与上海市第六人民医院急诊科研究课题,发表SCI论文4篇,发表多篇核心期刊论文。


图片
冯耘

上海交通大学医学院附属瑞金医院呼吸与危重症医学科主任医师,硕士研究生导师,上海援疆重症医疗队A组副组长,美国杜克大学访问学者,上海市医学会呼吸病学专科分会青年委员会委员兼秘书,上海市医学会呼吸病学专科分会重症学组副组长。曾获得上海市人才培养计划,上海市优秀专科医师及上海交通大学医学院九龙医学奖。获得国家自然基金和国家重点研发计划子课题资助,以第一作者及通讯作者发表相关SCI文章30余篇,第一完成人获得专利2项,参编专著3部,荣获上海市科技进步一等奖。


图片
居旻杰
医学博士,复旦大学附属中山医院重症医学科副主任医师,硕士研究生导师。上海援疆重症医疗队A组组长,上海市医学会危重病专科分会重症呼吸学组委员、中国医学救援协会重症医学分会理事、中国医学救援协会重症医学分会早期康复学组副组长。主持国家自然科学基金、上海市科委、上海申康医院发展中心等多项研究课题。发表SCI论文30余篇,多篇发表于重症医学顶级期刊。共申请专利15项,其中发明专利3项,实用新型专利12项,获授权专利6项,转化落地专利3项。获上海科技进步二等奖、上海医学科技奖三等奖、上海市优秀发明选拔赛优秀创新项目铜奖、第一届中国健康长寿创新大赛优秀奖等奖项。

图片
谢晖
上海市第一人民医院急诊危重病科副主任,主任医师,硕士生导师。上海援疆重症医疗队队长,上海市医学会危重病专科分会青年委员会副主任委员,以色列特拉维夫拉宾医学中心访问学者,主持国家自然基金项目2项。

图片
穆叶赛·尼加提
国务院特殊津贴专家,主任医师,教授,博士后,博士生导师。现任新疆维吾尔自治区人民医院急救中心主任、新疆急诊质控中心主任、新疆急救研究所所长。长期从事心血管急危重症、复苏学和冠心病介入诊疗的临床与基础研究。中华医学会心血管病学分会精准医学学组委员、中华医学会急诊医学分会急危重症质控组委员、中国医师协会心力衰竭专业委员会委员、国家心血管病专家委员会心力衰竭分会委员。承担国家级及省级各类项目10余项,发表各类核心科研论文50余篇,其中SCI论文10余篇,主编和参编专著5部,培养硕士研究生20余人。

全部评论 0
Copyright©2020-2026 北京医麦斯科技有限公司 版权所有 京ICP备2020034400号-1 京公网安备11010502043983号