作者:何婧
全球范围内每年大约有65万人死于流感。ICU中重症流感患者病死率可高达20%~25%,流感继发感染则是造成患者死亡的主要原因之一。一项观察性研究显示,肺炎链球菌、铜绿假单胞菌、金黄色葡萄球菌、曲霉是重症流感患者继发感染常见的四大病原。1952年Abbot等首次报道了流感相关性肺曲霉病(influenza-associated pulmonary aspergillosis,IAPA)病例。西班牙148个ICU 病房在2009年至2015年间收治的2901例重症流感患者中继发曲霉感染者占7.2%。比利时和荷兰7家医院在2009年至2016年收治的432例重症流感患者的回顾性队列研究结果提示IAPA的发生率为19%,其病死率高达51%。荷兰两家教学医院2015年至2016年收治的199例流感患者继发感染的回顾性研究发现,入住ICU的45例患者中烟曲霉感染者占17.8%。2017年至2018年入住中日友好医院MICU的64例重症流感患者中,侵袭性肺曲霉病(invasive pulmonary aspergillosis,IPA)发生率为28.1%,病死率为44.4%。瑞典12家医院ICU病房2019年至2023年收治的重症流感患者中,IPA发生率为9%,其ICU总死亡率明显高于非IAPA患者(60% vs 8%)。2024年发表在Chest 杂志的一项Meta分析指出,免疫抑制状态以及合并糖尿病、慢性肝脏疾病、器官移植、慢性呼吸系统疾病、慢性肾脏病、实体肿瘤、血液系统肿瘤等基础疾病使重症流感患者更容易继发曲霉感染。对于合并ARDS的重症流感患者,糖皮质激素可以在一定程度上降低患者的病死率。但糖皮质激素的使用与流感病毒载量下降速度延缓密切相关,从而增加死亡风险。研究认为,入住ICU前4周内泼尼松≥0.1 mg/(kg·d)或入住ICU前7天内氢化可的松累积剂量达到800 mg是发生IAPA的危险因素。多项临床研究认为,流感病毒感染本身即是发生IPA的独立危险因素。早年间即有大量关于甲型流感患者继发IPA的报道,但乙型流感患者继发IPA的报道少见,直至2005年才有学者首次报道了一名63岁日本健康女性感染乙型流感病毒后继发IPA的病例。甲型流感病毒是否比乙型流感病毒对曲霉更易感呢?2009年至2016年,来自于7个ICU收治的71例/355例(20%)重症甲型流感患者和12例/77例(16%)重症乙型流感患者发生了IPA。2017年至2018年中日友好医院MICU诊治的重症流感患者中,52例/88例(59%)甲型流感患者和11例/22例(50%)乙型流感患者发生了IPA。从上述数据来看,重症乙型流感合并肺曲霉病的病例并不少见。但与甲型流感相比,乙型流感的抗原漂移速度较慢,不会发生抗原转移,较少引起大流行,因此文献报道的IAPA病例仍以继发甲型流感为著。(1)流感病毒破坏呼吸道防御屏障:流感病毒破坏气道上皮细胞和清除曲霉分生孢子所需的相关纤毛功能,促进真菌的定植和侵袭。(2)流感病毒破坏机体的免疫功能:抑制吞噬细胞,影响固有免疫功能;外周血淋巴细胞减少,引起CD4+T淋巴细胞降低,影响细胞免疫功能;流感病毒通过影响炎症因子分泌,使机体处于“免疫麻痹状态”。
(3)重症流感患者接受的药物治疗可能导致IPA的发生:经验性使用广谱抗生素导致气道微生态紊乱;糖皮质激素使用导致免疫抑制;奥司他韦抑制宿主神经氨酸酶可降低宿主免疫反应,从而增加对IPA的易感性。
2020年Intensive Care Med 杂志发表了《ICU患者IAPA回顾及病例定义建议:专家意见》,其中涉及IAPA定义的准入标准是有流感样症状+流感PCR或抗原检测阳性+时间。确诊标准是组织中找到曲霉菌丝或曲霉PCR阳性。在临床诊断方面,根据气管镜下表现或影像学表现,再结合曲霉抗原、血清、微生物学等检查结果综合判断。现有的诊断标准在确诊方面均以组织病理学为金标准,但这一点对于ICU患者通常是难以实现的。为弥补这一不足,抗原与分子学检测手段在ICU患者诊断中扮演重要角色。
1. 临床症状
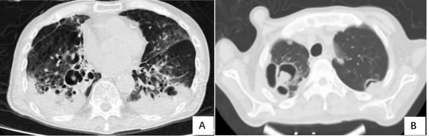
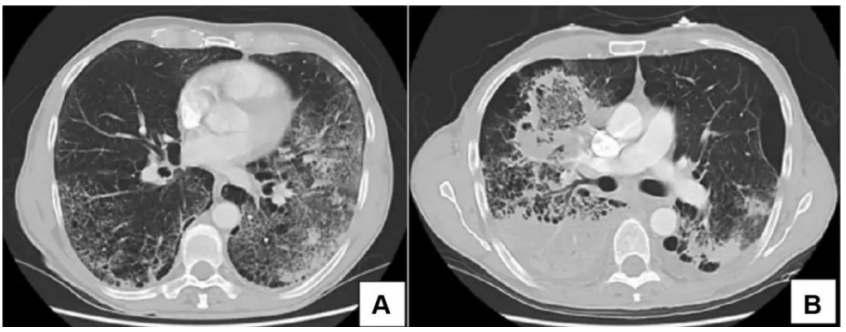
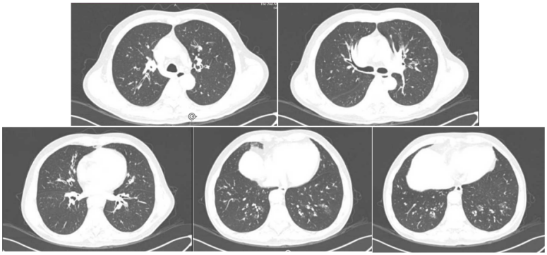
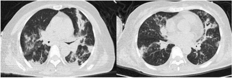
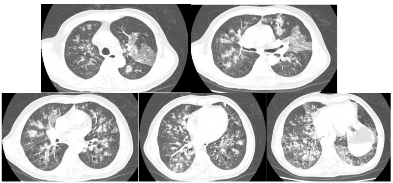
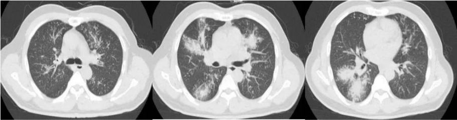
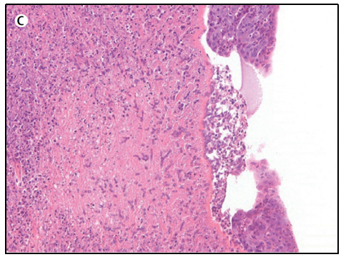
IAPA在发展过程中,较早可出现咳嗽、咳痰,进而出现呼吸困难、呼吸衰竭、缺氧性ARDS,进展迅速,即使气管插管、建立人工气道,患者也常出现气道峰压逐渐升高、潮气量逐渐下降,常因呼吸衰竭而无法挽救。但因其临床表现不特异,导致早期识别存在一定困难。(1)气管-支气管侵袭征象:沿支气管分布的结节及斑片影。对于没有基础疾病的重症流感病毒性肺炎患者,粒细胞数量正常,在曲霉感染后肺组织内会出现白细胞介导的强烈的炎症反应,导致渗出性支气管炎、支气管或肺泡受损及出血坏死,但直接侵袭血管的曲霉丝较少且主要以非增殖状态存在,因此多出现弥漫全肺的非特异性气道受侵型表现,而血管受侵型表现少见。如下图所示,第1天,支气管壁似乎有轻度增厚。病情进展至第4天,支气管壁明显增厚。随后迅速发展为支气管周围炎,并沿支气管侵袭、播散。图源:Respirol Case Rep, 2016, 4(1):32-34.注:双下肺实变,沿支气管血管束分布的实变、空洞,斑片状渗出影。注:支气管壁增厚、树芽征和沿着支气管血管束分布的实变。(2)对于免疫抑制宿主,可出现典型的曲霉感染影像学表现,例如实变与空洞伴晕征、空洞内有丝状结构及悬浮结节。注: A图见多叶肺炎和严重的小叶中心性、节旁性肺气肿; B图见右肺中叶空洞性浸润, 右肺下叶致密实变。图源:Chest, 2021, 160(2):e181-e184.注:A图可见实变、空洞,空洞内见丝状结构及悬浮结节;B图可见空洞、空气新月征。IAPA一种特殊的类型——侵袭性气管支气管炎,在支气管镜直视下可见气管和/或支气管溃疡、斑块或结节、假膜,是其典型表现。图源:国际呼吸杂志, 2023, 43(4):448-453.肺活检组织、气道斑块、假膜或溃疡的活检/刷检标本中发现真菌菌丝等特征性病理表现,可作为确诊标准。此外,在痰、支气管抽吸物、支气管肺泡灌洗液(BALF)中找到曲霉菌丝也可作为临床诊断标准。图源:Lancet Respir Med, 2018, 6(10):782-792.注:支气管活检组织病理显示有坏死物质和真菌成分,菌丝呈分枝状。图源:Chest, 2021, 160(2):e181-e184.图源:Tuberc Respir Dis (Seoul), 2014, 77(3):141-144.半乳甘露聚糖(galactomannan,GM)是曲霉特有的细胞壁多糖成分。菌丝生长时,半乳甘露聚糖是最早释放的抗原,是早期检测曲霉感染的经典方法。主要包括血清GM试验和BALF GM试验。血清GM试验在非粒细胞缺乏患者敏感性较低,仅为50%左右;ICU IPA患者的血清GM试验敏感性仅为30%~50%。在IAPA患者中,当以0.5作为GM试验阳性阈值时,诊断率仅20%。对于非中性粒细胞减少患者,BALF GM试验比血清GM试验具有更高的IPA诊断效率。EORTC/MSG标准采用1.0作为单份BALF阳性阈值的标准,当同时联合血浆/血清GM试验阳性时,BALF标本阈值可下调至0.8。我国学者研究发现,当截断值从0.5增加到0.717时,BALF GM试验可以显著降低假阳性率。无论是2016年美国传染病学会(IDSA)发表的《曲霉病诊断和管理实践指南》,还是2017年欧洲临床微生物学和感染病学会(ESCMID)/欧洲医学真菌学联盟(ECMM)/欧洲呼吸学会(ERS)联合发表的《曲霉病的诊断和管理指南》,都提及血清曲霉特异性IgG抗体在慢性肺曲霉病中有最高的检测阳性率。但2023年Clin Microbiol Infect杂志发表的一篇文章显示,IPA组的曲霉IgG抗体水平明显高于非IPA组。采样时间为发病后1~3个月内亚组显著高于采样时间为发病后<1个月亚组,影像学出现肺部空洞性病变亚组显著高于非肺部空洞性病变亚组。经过对比发现,曲霉IgG抗体的特异性和阳性预测值显著低于BALF GM。PCR的优势在于不仅能检测出曲霉的属和种,还可通过识别CYP51A基因突变来判断是否存在三唑类耐药可能。标本选择顺序:BALF>血浆>血清,但已进行了抗真菌治疗患者的血样本PCR阳性预测值可从62%降至5%。单份PCR阴性结果可极大程度地排除IPA可能。PCR可能更适合用于可疑IAPA患者在拟行抗真菌治疗前的筛查以及治疗过程中的实时监测。mNGS优势在于覆盖能力广, 时效性好, 不受先前使用抗菌药物的影响, 并可提供病原鉴定分型、耐药基因及毒力因子分析。但其检测成本较高, 结果需要临床医生进行解读和判断, 标本选择以BALF为最佳。
曲霉特异性侧流装置试验(Asp-LFD)是检测曲霉活跃生长期间分泌的胞外甘露蛋白抗原,曲霉半乳甘露聚糖侧流层析法(LFA-IMMY)用于检测半乳甘露聚糖。LFA平台的优势在于可以即时检验。对于BALF标本,AspLFD诊断IA的敏感性和特异性分别为71%~82%和86%~96%,而LFA-IMMY的敏感性和特异性分别为92%和91%。对于血清样本,LFA-IMMY的敏感性和特异性分别为96.9%和98%。该检测方法目前用于IAPA的诊断价值尚不明确,需要深入研究。
IAPA的治疗包括抗病毒治疗、抗真菌治疗、重症肺炎的支持治疗这三大方面。早期可靠的诊断及迅速启动适当的抗真菌治疗对于改善预后至关重要。此处重点介绍抗真菌治疗方案。一线治疗方案包括伏立康唑和艾沙康唑。其他替代方案包括:棘白菌素类+抗霉唑类;两性霉素脂质体(唑类高耐药地区);多烯类雾化是全身抗真菌治疗的有效辅助方法。2016年Lancet 杂志发表的一项艾沙康唑与伏立康唑用于曲霉和其他丝状真菌引起的侵袭性霉菌病的初级治疗的Ⅲ期、随机对照、非劣效性试验研究显示:艾沙康唑组和伏立康唑组42天、84天全因死亡率无明显差异;Kaplan-Meier生存曲线显示,艾沙康唑组与伏立康唑组死亡率无统计学差异。艾沙康唑药物相关皮肤、肝脏、眼部不良反应的发生率低于伏立康唑。2021年The Lancet 杂志发表的一项泊沙康唑与伏立康唑初始治疗侵袭性曲霉病的Ⅲ期、随机、对照、非劣效性试验发现:泊沙康唑组和伏立康唑组ITT(意向治疗)人群42天全因死亡率分别为15%和21%(P<0.0001)。泊沙康唑ITT人群84天及FAS(全分析集, 确诊或临床诊断为IA的患者)集42天、84天全因死亡率与伏立康唑无明显差异。114天的Kaplan-Meier生存曲线显示, 泊沙康唑组与伏立康唑组全因死亡率类似, 无统计学差异。泊沙康唑药物相关不良反应、药物相关不良反应导致停药及眼部疾病的发生率低于伏立康唑。但ICU重症患者使用三唑类抗真菌药需要关注几个问题:①药物相互作用:伏立康唑通过肝脏细胞色素P450同工酶CYP3A4、CYP2C9和CYP2C19代谢;②药物毒性:肝毒性、神经毒性、心脏毒性(QTc);③药物浓度监测:重症患者药代动力学发生变化,且因同时使用其他药物可能出现药物相互作用。因此需在启动三唑类抗真菌药物治疗2~5天后开始监测,伏立康唑目标谷浓度2~6 mg/L,艾沙康唑目标谷浓度为2~3 mg/L;④唑类耐药:对于疑似有唑类药物耐药或对抗真菌药物无反应的患者,要考虑有耐药的可能。目前在研的抗曲霉新药主要有:①Rezafungin (CD101-IV):新型棘白菌素,允许每周给药一次,对多种曲霉属物种有体外和体内活性;②Fosmanogepix(E1210/APX001):广谱抗真菌药物,抑制真菌糖基磷脂酰肌醇生物合成;③Ibrexafungerp(SCY-078):新型葡聚糖合酶抑制剂;④Olorofim(F901318):选择性靶向真菌二氢乳酸脱氢酶,影响真菌嘧啶的合成;⑤(Gly0.8Nap0.2)20:同时针对真菌膜和DNA。
ITBA是一种侵袭性较强的IPA,病死率常>50%,而合并肺结构性病变的患者死亡率可高达70%~80%。在存在免疫抑制的慢性疾病(如糖尿病)甚至免疫功能正常人群中,ITBA发生率更高。治疗主要包括:①口服或静脉使用抗真菌药物;②两性霉素B雾化;③镜下局部治疗:高频电消融治疗、冷冻治疗、机械性清创、腔内保留灌注两性霉素B等。需注意防治发生操作相关大出血等严重并发症。
患者男性,51岁,因“咳嗽、咳痰5天,发热伴呼吸困难3天”入院。入院前曾应用静脉激素。既往有胰腺癌病史,入院后发现血糖明显升高,并确诊2型糖尿病。乙型流感病毒核酸阳性。血清GM试验阴性,BALF GM >5 S/CO,曲霉IgG阴性,BALF mNGS提示烟曲霉(序列数809975),乙型流感病毒(序列数2732),BALF培养结果为烟曲霉,对伏立康唑耐药。患者胸部CT及气管镜结果如下图所示。患者,男性,36岁,因“咳嗽、咳痰1周,呼吸困难2天”入院。入院前2天外院诊断糖尿病酮症酸中毒、乙型流感病毒性肺炎,并有使用静脉激素。入院查乙型流感病毒核酸阳性。BALF GM>5 S/CO,血清GM 4.8 S/CO,曲霉IgG阴性,BALF mNGS提示烟曲霉(序列数25173),乙型流感病毒(序列数90),气道假膜钳夹组织及BALF培养烟曲霉。患者胸部CT及气管镜结果如下图所示。IAPA的发病率较高,且在不同的流感亚型中无显著差异。而且IAPA的病死率高,但早期临床表现缺乏特异性,诊断存在一定困难,应引起临床医师的高度关注。早期、准确地识别与诊断IAPA,及时启动抗真菌治疗是改善预后的关键。[1] Iuliano AD, Roguski KM, Chang HH, et al. Estimates of global seasonal influenza‑associated respiratory mortality: a modelling study[J]. Lancet, 2018, 391(10127):1285-1300. [2] Verweij PE, Rijnders BJA, Brüggemann RJM, et al. Review of influenza‑associated pulmonary aspergillosis in ICU patients and proposal for a case definition: an expert opinion[J]. Intensive Care Med, 2020, 46(8): 1524-1535.[3] Martin-Loeches I, J Schultz M, Vincent JL, et al. Increased incidence of co-infection in critically ill patients with influenza[J]. Intensive Care Med, 2017, 43(1):48-58.[4] ABBOTT JD, FERNANDO HV, GURLING K, et al. Pulmonary aspergillosis following post‑influenzal bronchopneumonia treated with antibiotics[J]. Br Med J, 1952, 1(4757):523-525. [5] Martin-Loeches I, J Schultz M, Vincent JL, et al. Increased incidence of coinfection in critically ill patients with influenza[J]. Intensive Care Med, 2017, 43:48-58.[6] Schauwvlieghe AFAD, Rijnders BJA, Philips N, et al. Invasive aspergillosis in patients admitted to the intensive care unit with severe influenza: a retrospective cohort study[J]. Lancet Respir Med, 2018, 6(10): 782-792.[7] Beumer MC, Koch RM, van Beuningen D, et al. Influenza virus and factors that are associated with ICU admission, pulmonary co-infections and ICU mortality[J]. J Crit Care, 2019, 50:59-65. [8] Huang L, Zhang N, Huang X, et al. Invasive pulmonary aspergillosis in patients with influenza infection: a retrospective study and review of the literature[J]. Clin Respir J, 2019, 13(4):202-211. [9] Krifors A, Blennow O, Påhlman LI, et al. Influenza-associated invasive aspergillosis in patients admitted to the intensive care unit in Sweden: a prospective multicentre cohort study[J]. Infect Dis (Lond), 2024, 56(2):110-115.[10] Lu LY, Lee HM, Burke A, et al. Prevalence, Risk Factors, Clinical Features, and Outcome of Influenza-Associated Pulmonary Aspergillosis in Critically Ill Patients: A Systematic Review and Meta-Analysis[J]. Chest, 2024, 165(3):540-558. [11] Delaney JW, Pinto R, Long J, Lamontagne F, et al. The influence of corticosteroid treatment on the outcome of influenza A (H1N1pdm09)‑related critical illness[J]. Crit Care, 2016, 20:75.[12] [Nedel WL, Nora DG, Salluh JI, et al. Corticosteroids for severe influenza pneumonia: A critical appraisal[J]. World J Crit Care Med, 2016, 5(1):89-95.[13] Wauters J, Baar I, Meersseman P, et al. Invasivepulmonary aspergillosis is a frequent complication of critically ill H1N1 patients: a retrospective study[J]. Intensive Care Med, 2012, 38(11):1761-1768.[14] Rodriguez-Goncer I, Thomas S, Foden P, et al. Invasive pulmonary aspergillosis is associated with adverse clinical outcomes in critically ill patients receiving veno‑venous extracorporeal membrane oxygenation[J]. Eur J Clin Microbiol Infect Dis, 2018, 37(7):1251-1257. [15] Cavayas YA, Yusuff H, Porter R. Fungal infections in adult patients on extracorporeal life support[J]. Crit Care, 2018, 22(1):98. [16] Clancy CJ, Nguyen MH. Acute community-acquired pneumonia due to Aspergillus in presumably immunocompetent hosts: clues for recognition of a rare but fatal disease[J]. Chest, 1998, 114:629-634.[17] Hasejima N, Yamato K, Takezawa S, et al. Invasive pulmonary aspergillosis associated with influenza B[J]. Respirology, 2005;10:116-119.[18] van de Sandt CE, Bodewes R, Rimmelzwaan GF, et al, Rimmelzwaan GF, de Vries RD. Influenza B viruses: not to be discounted[J]. Future Microbiol, 2015, 10(9):1447-1465. [19] Matias G, Taylor R, Haguinet F, et al. Estimates of mortality attributable to influenza and RSV in the United States during 1997-2009 by influenza type or subtype, age, cause of death, and risk status[J]. Influenza Other Respir Viruses, 2014, 8(5):507-515.[20] Kuek LE, Lee RJ. First contact: the role of respiratory cilia in host-pathogen interactions in the airways[J]. Am J Physiol Lung Cell Mol Physiol, 2020, 319(4):L603-L619.[21] Ghoneim HE, Thomas PG, McCullers JA. Depletion of alveolar macrophages during influenza infection facilitates bacterial superinfections[J]. J Immunol, 2013, 191(3):1250-1259.[22] Fox A, Le NM, Horby P, et al. Severe pandemic H1N1 2009 infection is associated with transient NK and T deficiency and aberrant CD8 responses[J]. PLoS One, 2012, 7(2):e31535.[23] Short KR, et al. Pathogenesis of influenza induced acute respiratory distress syndrome. Lancet Infect Dis. 2014;14(1): 57-69.[24] Dewi IM, et al. Neuraminidase and SIGLEC15 modulate the host defense against pulmonary aspergillosis. Cell Rep Med. 2021;2(5): 100289.[25] Ohta H, Yamazaki S, Miura Y, et al. Invasive tracheobronchial aspergillosis progressing from bronchial to diffuse lung parenchymal lesions[J]. Respirol Case Rep, 2016, 4(1):32-34.[26] Saha BK, Chong W. A 61-Year-Old Man With Influenza Pneumonia and New Onset Hemoptysis[J]. Chest, 2021, 160(2):e181-e184.[27] 罗丹心, 谷林, 阎锡新. 体外膜肺氧合治疗重症流感相关肺曲霉病1例并文献复习[J]. 国际呼吸杂志, 2023, 43(4):448-453.[28] Park DW, Yhi JY, Koo G, et al. Fatal clinical course of probable invasive pulmonary aspergillosis with influenza B infection in an immunocompetent patient[J]. Tuberc Respir Dis (Seoul), 2014, 77(3):141-144.[29] Meersseman W, Vandecasteele SJ, Wilmer A, et al. Invasive aspergillosis in critically ill patients without malignancy[J]. Am J Respir Crit Care Med, 2004, 170(6):621-625.[30] Lahmer T, Neuenhahn M, Held J, et al. Comparison of 1,3-β-dglucan with galactomannan in serum and bronchoalveolar fluid for the detection of Aspergillus species in immunosuppressed mechanical ventilated critically ill patients[J]. J Crit Care, 2016, 36:259-264.[31] Zhu N, Zhou D, Xiong W, et al. Performance of mNGS in bronchoalveolar lavage fluid for the diagnosis of invasive pulmonary aspergillosis in non-neutropenic patients[J]. Front Cell Infect Microbiol, 2023, 13:1271853.[32] Patterson TF, Thompson GR 3rd, Denning DW, et al. Practice Guidelines for the Diagnosis and Management of Aspergillosis: 2016 Update by the Infectious Diseases Society of America[J]. Clin Infect Dis, 2016, 63(4):e1-e60. [33] Ullmann AJ, Aguado JM, Arikan-Akdagli S, et al. Diagnosis and management of Aspergillus diseases: executive summary of the 2017 ESCMID-ECMM-ERS guideline[J]. Clin Microbiol Infect, 2018, 24 Suppl 1:e1-e38. [34] Lu Y, Liu L, Li H, et al. The clinical value of Aspergillus-specific IgG antibody test in the diagnosis of nonneutropenic invasive pulmonary aspergillosis[J]. Clin Microbiol Infect, 2023, 29(6):797.e1-797.e7. [35] Donnelly JP, Chen SC, Kauffman CA, et al. Revision and Update of the Consensus Definitions of Invasive Fungal Disease From the European Organization for Research and Treatment of Cancer and the Mycoses Study Group Education and Research Consortium[J]. Clin Infect Dis, 2020, 71(6):1367-1376.[36] Springer J, White PL, Hamilton S, et al. Comparison of performance characteristics of Aspergillus PCR in testing a range of blood-based samples in accordance with international methodological recommendations[J]. J Clin Microbiol, 2016, 54(3):705-711.[37] Eigl S, Hoenigl M, Spiess B, et al. Galactomannan testing and Aspergillus PCR in same-day bronchoalveolar lavage and blood samples for diagnosis of invasive aspergillosis[J]. Med Mycol, 2017, 55(5):528-534.[38] Mengoli C, Cruciani M, Barnes RA, et al. Use of PCR for diagnosis of invasive aspergillosis: systematic review and meta-analysis[J]. Lancet Infect Dis, 2009, 9(2):89-96.[39] Springer J, Lackner M, Nachbaur D, et al. Prospective multicentre PCR-based Aspergillus DNA screening in high-risk patients with and without primary antifungal mould prophylaxis[J]. Clin Microbiol Infect, 2016, 22(1):80-86.[40] 施毅, 赵江南. 侵袭性真菌病病原学非培养实验室诊断方法[J]. 中华结核和呼吸杂志, 2019, 42(7):500-505[41] Eigl S, Prattes J, Lackner M, et al. Multicenter evaluation of a lateral-flow device test for diagnosing invasive pulmonary aspergillosis in ICU patients[J]. Crit Care, 2015, 19(1):178.[42] Jenks JD, Mehta SR, Taplitz R, et al. Point-of-care diagnosis of invasive aspergillosis in non-neutropenic patients: aspergillus galactomannan lateral flow assay versus aspergillus-specific lateral flow device test in bronchoalveolar lavage[J]. Mycoses, 2019, 62(3):230-236.[43] Maertens JA, Raad II, Marr KA, et al. Isavuconazole versus voriconazole for primary treatment of invasive mould disease caused by Aspergillus and other filamentous fungi (SECURE): a phase 3, randomised-controlled, non-inferiority trial[J]. Lancet, 2016, 387(10020):760-769.[44] Maertens JA, Rahav G, Lee DG, et al. Posaconazole versus voriconazole for primary treatment of invasive aspergillosis: a phase 3, randomised, controlled, non-inferiority trial[J]. The Lancet, 2021, 397(10273):499-509.[45] Thompson 3rd GR, Soriano A, Cornely OA, et al. Rezafungin versus caspofungin for treatment of candidaemia and invasive candidiasis (ReSTORE): a multicentre, double-blind, double-dummy, randomised phase 3 trial[J]. Lancet, 2023, 401(10370):49-59.[46] Shaw KJ, Ibrahim AS. Fosmanogepix: A Review of the First-in-Class Broad Spectrum Agent for the Treatment of Invasive Fungal Infections[j]. J Fungi (Basel), 2020, 6(4):239. [47] Petraitis V, Petraitiene R, Katragkou A, et al. Combination Therapy with Ibrexafungerp (Formerly SCY-078), a First-in-Class Triterpenoid Inhibitor of (1→3)-β-d-Glucan Synthesis, and Isavuconazole for Treatment of Experimental Invasive Pulmonary Aspergillosis[J]. Antimicrob Agents Chemother, 2020, 64(6):e02429-19.[48] Wiederhold NP. Review of the Novel Investigational Antifungal Olorofim[J]. J Fungi (Basel), 2020, 6(3):122. [49] Zhou M, Liu L, Cong Z, et al. A dual-targeting antifungal is effective against multidrug-resistant human fungal pathogens[J]. Nat Microbiol, 2024, 9(5):1325-1339. 
重庆医科大学附属第二医院呼吸与危重症医学科副主任医师,副教授,硕士生导师,医学博士。中国老年学和老年医学学会老年呼吸与危重症医学会分会委员,中国康复医学会呼吸康复专业委员会委员,重庆市医学会罕见病分会委员,重庆市中西医结合学会呼吸介入与重症专委会委员。主持国家自然科学基金1项,发表SCI论著7篇,获重庆市科技进步二等奖1项,参编高等医学教育统编教材2部。专业研究方向:ARDS的临床与基础研究。擅长:呼吸危重症,疑难、重症及免疫抑制患者下呼吸道感染的综合救治。