作者:黄琳娜
流感尤其是重症流感患者是侵袭性真菌感染的高危人群,尤其是继发曲霉和毛霉这两种丝状真菌感染较为常见。随着呼吸支持技术的提升,重症流感病毒性肺炎患者单纯因严重呼吸衰竭而死亡的数量越来越少,其主要死亡原因可以归结为两大类:一类是炎症风暴导致的多脏器功能障碍,另一类是流感相关严重的混合感染或继发感染(包括细菌、真菌、其他病毒感染)。混合感染或继发感染促进了流感病毒的复制,增强其感染能力,导致病情急剧恶化。流感病毒通过一系列炎性细胞及细胞因子造成组织损伤,从而使继发感染的敏感性增加。继发感染进一步破坏免疫屏障,又反过来促进流感病毒的复制。二者互为因果,恶性循环。流感病毒还会合并其他病毒及真菌感染,而且合并真菌感染的患者病情通常非常严重。
体外试验表明流感病毒可以侵入并破坏呼吸道纤毛细胞。重症流感相关性曲霉病(IAA)尸检报告显示:广泛的肺泡破坏、出血、透明膜形成;组织内大量曲霉菌丝、小脓肿灶;气道微环境破坏与曲霉侵袭。流感病毒可以导致机体黏膜屏障及固有免疫的破坏,包括局部气道黏膜屏障破坏,纤毛对曲霉的物理清除能力减弱,巨噬细胞、中性粒细胞功能失调。在后期,流感病毒会破坏机体的细胞免疫,此类患者淋巴细胞数目和CD4+ T淋巴细胞水平降低非常明显。研究显示,在流感后继发侵袭性肺曲霉病(IPA)患者中,淋巴细胞水平更低,并且功能也下降,可能使得这些患者对曲霉更易感。中日友好医院MICU开展的针对IAPA免疫相关研究结果显示,与单纯重症流感病毒肺炎者相比,在重症IAA患者血浆中,Th1分泌的促炎因子分泌更低(IFN-γ、IL-2), Th2分泌的抑炎因子分泌更高(IL-4、IL-10), Th1与Th2细胞正常反应及比例失衡, 抑炎因子分泌亢进, 进而导致患者的免疫状态进一步下降, 从而对真菌易感。目前仍然缺乏大型流行病学研究结果描述IAA的发病率及病死率,并且对此类患者高危因素及临床特征的研究多基于小样本回顾性研究,描述过于粗糙,所以仍需大宗病例对照研究阐明IAA的危险因素。另外,临床/实验室检查特点是什么,如何早期诊断,不良预后预测的因素有哪些,以及抗真菌治疗的时机等,这些问题都需要我们进一步探索。2018年发表在Lancet Respir Med 杂志的一项研究是目前针对于重症IAPA流行病学及临床特征较为权威的研究,共纳入2009年1月1日至2016年6月30日7家ICU的432例重症流感患者,结果显示,病例组IPA发生率高达19%,90天病死率为51%;对照组IPA发生率为5%,90天病死率为28%。中日友好医院2017年11月1日至2023年3月31日共收治重症流感患者145例,其中死亡37例(25.5%);45例患者合并IPA,ICU内死亡27例;IPA发病率为31%,ICU病死率高达60%。组间多因素分析发现,流感病毒本身即为IPA的危险因素,这些患者可以没有任何基础疾病,单纯由于流感病毒感染而导致IPA的发生。国内外研究均发现每年的流感高发期和IPA的高发期重叠。一项2009年11月至2016年5月流感后曲霉感染的单中心回顾性研究纳入7个流行季节2900例流感病例,发现曲霉发病高峰与相应年度流感趋势具有一致性,Spearman相关性分析显示:r=0.48,P<0.001。
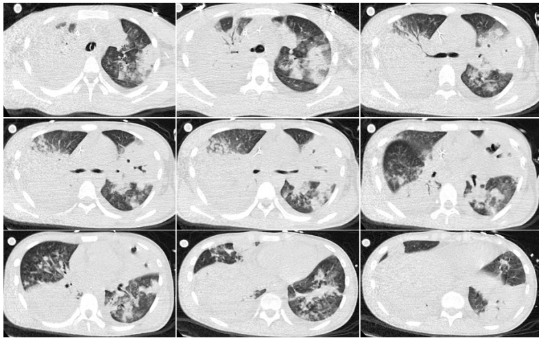
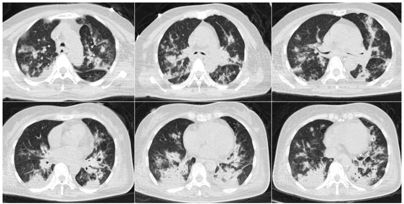
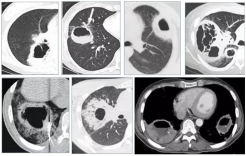
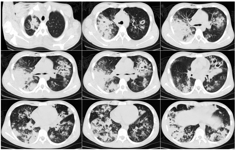
糖皮质激素的使用在其他病种中也被认为是IPA的危险因素,在重症流感中也不例外,有研究表明入ICU前系统性应用大剂量糖皮质激素是继发IAA的独立危险因素。除了重症流感,患者可能还会合并其他基础疾病,尤其是可以影响患者免疫状态的基础疾病,可能也是IAPA的危险因素。病例1::男,15岁,学生;主因“发热、干咳16天,加重伴呼吸困难8天”入院。既往体健,无基础病。入中日医院MICU时间为2018年1月16日,死亡时间为2018年1月26日。患者16天前(2017年12月30日)出现发热,体温39.0℃,伴干咳、咽痛。8天前(2018年1月7日)出现呼吸困难。血气分析示Ⅱ型呼吸衰竭,WBC 24.1×109/L,NE% 90%,PCT 3.3 ng/ml。不断升级抗细菌治疗,效果不佳:头孢曲松→亚胺培南、阿奇霉素、利奈唑胺。7天前(2018年1月8日)确诊乙流,加用帕拉米韦+奥司他韦。2天前(2018年1月13日):血GM试验测值增高,痰培养烟曲霉,诊断IAPA,加用伏立康唑。2018年1月15日转入中日医院呼吸与危重症医学科MICU。2018年1月8日胸部CT(起病1周余)提示气压伤非常严重,以及沿气道分布的斑片和小结节。此时的影像学提示曲霉感染已经显而易见(图1),但尚未得到病原学证据的支持,因此外院当时并未予抗真菌治疗,延迟抗真菌治疗也是导致患者预后不良的重要原因之一。1月15日(转入中日医院MICU后)气管镜检查,镜下可见气道狭窄和黏膜充血水肿均较明显,表面大量白苔,触之易出血(图2)。此时除了曲霉感染,BALF病原学还发现合并了CRAB感染。患者影像学快速进展,1月15日胸部CT显示双肺弥漫性沿支气管血管束分布的结节影、斑片影、厚壁空洞及片状实变(图3)。1月22日胸部CT显示双肺病变明显进展,结节、斑片融合为大面积实变影(图4)。最终患者因CRAB血流感染导致感染性休克,后期又并发脓毒性心肌病,最终去世。病例2::女,65岁,退休。间断干咳伴发热10天,加重伴呼吸困难4天。既往2型糖尿病史35年,使用精蛋白生物合成人胰岛素注射液(预混30R)治疗,血糖波动在7~8 mmol/L。患者入ICU时间为2018年2月4日,出ICU时间为2018年4月19日。10天前(2018年1月25日)“感冒”后出现干咳,伴发热,体温最高37.8℃。7天前(2018年1月28日),血常规:WBC 12.49×109/L,NEU% 87.5%,LYM% 7%,予莫西沙星。1月30日复查血常规:WBC 23.88×109/L,NEU% 91.5%,LY% 4.6%,调整抗生素为头孢噻肟+莫西沙星。4天前(1月31日)呼吸困难加重,SpO2(未吸氧)88%,复查血常规:WBC 37.04×109/L,NEU% 93.7%,LYM% 1.7%,PCT 1.79 ng/ml,痰涂片可见真菌孢子及菌丝。3天前(2月1日)咳痰费力,SpO2降至71%,开放气道吸痰过程中心率降至32次/min,立即心肺复苏,气管插管球囊辅助通气,约12 min患者自主心率恢复,接呼吸机辅助呼吸,经气道可吸出大量黄色黏痰,痰流感病毒核酸阳性。1月31日胸部CT示:沿支气管血管束分布的斑片和实变影(图5)。气管镜下可见充血、水肿,曲霉特征性假膜相对较少(图6)。
图6 支气管镜下表现
2月13日复查胸部CT(抗真菌治疗14天)显示影像学较前好转(图7)。患者病程中也经历了院感、肺外脏器支持等,病情最终好转出院。(1)一般情况:流感合并曲霉感染患者, 男性居多, 年龄大, 基础病情更加严重, 伴有免疫抑制因素(例如: 肿瘤、免疫抑制剂、激素)。(2)起病时间较早(入ICU早期),入ICU至IAPA诊断的平均时间<72小时(3天),短于COVID-19相关肺曲霉病(CAPA)4~13天,流感至IAPA诊断时间为(13±7)天。(3)临床症状/体征不典型:IAPA的临床表现无特异性,可表现为发热、咳嗽、呼吸困难、病情加重且对现有治疗无效。部分患者可能出现咳黑褐色痰或咯血,并且有致死性大咯血风险。CAPA和COVID-19相关肺毛霉病(CAPM)患者发展为重症需入住ICU的比例更高。此外,患者常合并呼吸衰竭/ARDS、急性肾损伤(AKI)、感染性休克。(4)实验室及影像学检查:实验室检查有一项比较重要的提示,IAPA患者可能会因为炎症反应强烈而导致WBC非常高,但PCT一般不会明显升高,淋巴细胞常明显降低。影像学表现有其特点(如前所述)。(5)独立危险因素:ICU早期WBC明显增高(>10×109/L)、入ICU后应用激素、CT特征表现(多发结节、空洞)是IAPA的独立危险因素。但仍需大样本量、多中心的病例对照研究进一步验证。从上述两个病例可以发现,由于患者的症状、体征、实验室检查大部分不特异,且常被伴发的流感及混合的细菌感染所掩盖,因此IAPA的早期诊断较困难。微生物学依据是诊断IAPA的金标准,而在拿到微生物学证据之前,影像学和气管镜检查可以帮助我们寻找蛛丝马迹,在临床上具有重要意义及提示作用,有助于早期诊断。因此,熟悉其表现尤为重要。(1)微生物学证据:2020年欧洲医学真菌学协会/国际人类和动物真菌学学会(ECMM/ISHAM)发布的关于CAPA的定义及共识声明中提到的检测方法以及cut off值可供参考,包括:①BALF直接镜检阳性、BALF培养/PCR阳性,血GM/LFA>0.5,BALF-GM/LFA≥1;②血浆/血清/全血PCR阳性≥2次;③单次BALF PCR阳性且CT<36;④单次血浆/血清/全血PCR阳性,且单次BALF-PCR阳性(不要求CT值)。(2)CT表现:CT在IAPA的早期诊断中具有重要的提示意义。病变沿支气管血管束分布;合并曲霉感染患者有明显的气道受累,包括气道壁增厚、气道狭窄,以及树芽征;典型的病变性质是结节和斑片,空洞及新月征不多见,但有特异性;大片实变影也相对特异,且提示预后差。(3)气管镜下表现:气管镜也是一种非常重要的早期诊断IAPA的手段,可以发现气管镜下典型的假膜。除了观察气道病变的特点及范围,还可以获得高质量的下呼吸道标本,有助于提高真菌培养阳性率,获取及动态监测BALF-GM试验结果。此外,气管镜还能够进行痰液引流。对于气道病变非常严重或局限的患者,气管镜还可以进行气道内给药。值得一提的是,来自欧洲7个国家和美国以及中国台湾等地的29名专家提出了IAPA诊断专家共识,2023年已发表在Intensive Care Medicine 杂志上,将IAPA分为曲霉菌性气管支气管炎及侵袭性肺曲霉病,高度强调了气管镜的重要性,无论是气管镜镜下表现还是气管镜获取BALF标本进行GM试验或真菌培养都是共识中的重要条目,可能有助于IAA的早期诊断。
中日医院开展的IAPA病原学诊断,BALF-GM试验的阳性率明显高于下呼吸道标本真菌培养以及血GM的阳性率。BALF-GM试验虽然在阳性率方面具有较大的优势,但其距起病时间仍然高达10天左右,而其他病原学检测手段不仅阳性率低,而且时间可能更长,这在一定程度上造成了延迟诊断,而延迟诊断的最终后果就是延迟治疗。比较存活者与死亡患者诊疗时间轴差异发现,死亡患者诊断IAPA及起始抗真菌治疗时机偏晚。因此延迟治疗会直接影响患者的预后。临床亟需寻求合适的抗真菌治疗时机以改善此类患者的预后。
(1)预防性抗真菌治疗:能否通过前移抗真菌治疗时机从而降低IAPA发生率,进而降低其病死率?既然CAPA有COVID-19病程中期风险增加,后期发病的特点,可否考虑入ICU早期就开启预防性抗真菌治疗从而降低发生率是目前关注最多的问题。早期文献表明侵袭性真菌病(IFD)发病率≥10%的高危人群可以从预防性抗真菌治疗中显著获益。中日医院MICU中IAPA的发生率高达30%,因此预计这类人群可从预防性抗真菌治疗中获益。笔者团队也对此开展了研究,但并没有发现预防性抗真菌治疗可以降低重症IAPA的发生率。一项随机、开放、验证试验纳入了2017年12月至2020年3月荷兰-比利时真菌研究小组9个中心以及法国3个中心入ICU、合并呼吸衰竭的流感病毒肺炎患者,分为泊沙康唑预防治疗组和标准治疗组。主要研究终点:入ICU 48小时内无IAPA的患者在ICU期间IAPA的发生率。次要研究终点:IAPA诊断时间、ICU/总住院时间、ICU/总住院病死率、90天病死率。最终共纳入88例重症流感患者,21例(24%)患者合并IAPA,其中有15例(71%)患者入ICU 48小时内发生。该研究不纳入MITT人群,即改良意向治疗人群。所以排除这15例后最终仅纳入6例IAPA患者。最终IAPA的发生率在预防性抗真菌治疗组和标准治疗组之间无明显差异。该研究局限性在于:确诊的21例IAPA患者中有15例被排除,这导致MITT人群较少,没有统计学差异。此外,由于IAPA发病时间早于CAPA,大多数患者在入ICU 3天内起病,因此很多患者还未等抗真菌药达到有效血药浓度就已经合并了IAPA,也可能是预防性治疗失败的原因之一。IAPA预防性抗真菌治疗的效果如何,未来仍需要大规模临床研究进行探讨。(2)经验性治疗:经验性治疗如果使用得当,既有助于预防过度治疗,又可以改善患者预后。对于有危险因素,且临床提示症状/CT(结节/空洞),但尚无微生物学证据的患者,可以采用经验性抗真菌治疗,药物选择指南推荐的一线用药,而非预防性用药。与此同时,通过气管镜下表现、获取组织标本、获取BALF(镜检/培养/GM/LFA/PCR)、获取血标本(GM/LFA/PCR)等途径积极寻找微生物学证据,再根据是否诊断IAPA或临床疗效决定经验性抗真菌治疗的疗程。笔者团队经过研究最终探索出了一套可用于指导经验性抗真菌治疗的评分系统——Asper-PreSS评分及其简化版(表1,表2)。在高危人群中,以此评分为导向进行早期经验性抗真菌治疗,可能有助于改善患者预后。表2 简化版Asper-PreSS评分(无淋巴细胞亚群及CT)IAPA的治疗药物首选三唑类,包括伏立康唑、艾沙康唑、泊沙康唑*(暂未列入国际指南的一线推荐)。两性霉素B作为二线治疗方案。棘白菌素类是曲霉抑菌剂,副作用小,用于挽救治疗/挽救联合治疗,不作为初始单药治疗(表3)。

重症流感合并IPA的患者,即使加用了抗真菌药物,其病死率仍然非常高。对于此类患者,非药物治疗方案同样重要。(1)痰液引流。IAPA患者的气道黏膜屏障功能非常差,如果不进行痰液引流,不仅真菌感染无法控制,后续还可能会继发细菌感染,严重者可导致死亡。痰液引流的措施可以归结为“俯、镜、切”,即:常规短时间俯卧位通气(4~6小时),每日多次气管镜,早期气切,以此来改善痰液引流,增加患者舒适度,促进早期康复,防止继发院内感染。(2)CRRT:IAPA的炎症反应通常非常重,且60%的患者会合并急性肾损伤(AKI)。CRRT能够清除炎症介质,可能有助于改善患者预后。(3)改善机体免疫状态:感染和免疫相互作用,互为因果。改善IAPA患者机体的免疫状态也非常重要,包括停用免疫抑制剂、激素减量、使用胸腺肽/免疫球蛋白、控制血糖、营养支持等。合并气管支气管炎者强调加用气道局部用药,尤其是气道病变严重者。常规予两性霉素B/脂质体雾化吸入(两性霉素B 10 mg q12h,两性霉素B脂质体12.5 mg,2次/周)。雾化前应用支气管扩张剂预处理降低气道痉挛风险;两性霉素B脂质体经气管镜气道内局部滴注,2~3 mg,1~3次/周,疗程为4周。但对于气道病变弥漫/广泛和气道高反应性患者,镜下局部给药可能会带来一定的副作用,临床应用需谨慎。另外,对于气道阻塞和呼吸困难的患者,可予气道内治疗,但需警惕出血和播散的风险。综上,如果想让IAPA患者存活下来,需要做到以下几点:①足够重视;②尽早识别:通过气管镜(镜下表现、培养、BALF-GM试验、分子生物学检测)、CT、血GM试验、LFD等方法进行判断,早期诊断是早期开启抗真菌治疗以及改善预后的非常重要的前提;③避免全身激素等影响患者机体免疫状态的治疗;④尽早使用抗真菌药;⑤血药浓度监测、疗效不佳时评估耐药性;⑥治疗效果不佳时换药或联合治疗;⑦痰液引流、支持等非药物治疗也至关重要。相较于曲霉病,毛霉病的发病率较低。然而,毛霉所致疾病进展及其致病力都比曲霉强很多,毛霉病的病死率也非常高。但临床上针对毛霉的病原学检测手段非常有限。所以,一旦重症病毒性肺炎患者合并毛霉感染,其病死率会非常高,治疗也很棘手。
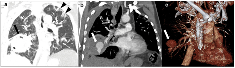
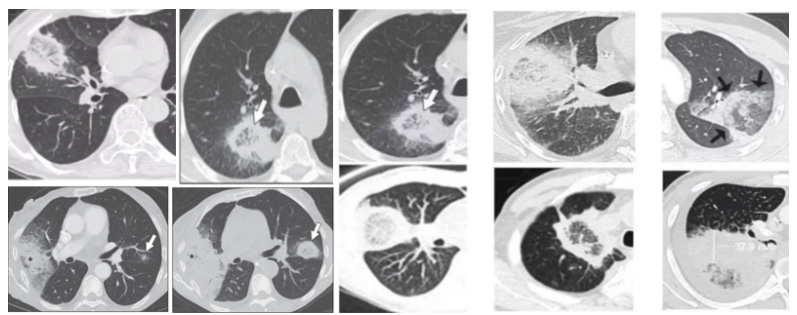
相关文献报道很少,涉及8例流感病毒相关毛霉病(IAM)和7例新型冠状病毒相关毛霉病(CAM)。笔者总结了这些患者的临床特点:①平均年龄为55岁,所以IAM/CAM可能与高龄无关;②男性发病居多,占73.3%,其中IAM发病率为62.5%,CAM发病率为85.7%;③存在至少一种除病毒感染外的基础病;④严重程度(重度);⑤危险因素:糖皮质激素,粒缺,高血糖;⑥毛霉病类型:IAM(肺毛霉病),CAM(鼻-眶-脑型毛霉病);⑦毛霉病诊断距病毒性肺炎时间:平均16.3天,偏晚。IAM/CAM的影像学相对特异,包括反晕征、厚壁空洞、大片实变伴支气管截断征(毛霉多导致支气管截断、破坏,曲霉多为支气管壁增厚、狭窄)等(图8,图9)。此外,增强CT/CT肺动脉造影(CTPA)对于毛霉病的诊断也非常重要,尤其是诊断假性动脉瘤—真菌性血管瘤,以及发现血管受侵(毛霉多侵犯大中血管)(图10,图11)。在上述15例患者IAM/CAM患者中,手术比例达到50%,大多采用了单药或联合抗真菌治疗,但病死率仍然高达66.7%,IAM病死率为37.5%,CAM患者病死率甚至达到100%。(1)危险因素:高龄可能并非病毒合并毛霉病的高危因素(平均55.7岁);男性发病更常见(73.3%);糖尿病、酸中毒、糖皮质激素是其危险因素。
(2)IAM较IAA少见,但病死率高,易漏诊,也需引起重视。
(3)不同病毒及不同基础疾病合并毛霉病类型不同:IAM以肺毛霉病更常见,CAM以鼻-眶-脑型毛霉病更常见,糖尿病合并毛霉病以鼻-眶-脑型毛霉病更常见,粒缺、移植物抗宿主病合并毛霉病以肺毛霉病更常见。(4)CAM临床严重程度较IAM可能更重,病死率可能更高。对于IAM,手术及联合抗真菌治疗可能有助于降低病死率。综上,对于病毒相关毛霉病患者,应注意以下几点:①少见,但凶险,应予以高度重视;②早期识别更困难。此类患者无血清学标志物,培养阳性率低,可通过气管镜(镜下表现、BALF培养、BALF分子生物学检测)/血分子生物学检测/获取组织病理等进行诊断。肺CT以及肺增强CT/CTPA可能有一定的提示价值。警惕肺外脏器受累;③避免全身激素、严格控制血糖、纠正免疫抑制状态;④创造条件外科清创,局部给药或气道局部治疗或可获益;⑤如果不能手术,早期及联合抗真菌治疗可能对改善患者预后有利,首选两性霉素B脂质体,两性霉素B脂质体联合有抗毛霉作用的三唑类(泊沙康唑/艾沙康唑)在重症、进展迅速的患者中也可获益。[1] Shope RE. SWINE INFLUENZA: III. FILTRATION EXPERIMENTS AND ETIOLOGY[J]. J Exp Med, 1931, 54(3):373-385. [2] Bai L, Gu L, Cao B, et al. Clinical features of pneumonia caused by 2009 influenza A(H1N1) virus in Beijing, China[J]. Chest, 2011, 139(5):1156-1164. [3] 张英芳, 黄琳娜, 詹庆元. 重症监护病房中重症流感相关性侵袭性肺曲霉病的研究现状[J]. 中华结核和呼吸杂志, 2021, 44(7):651-655. [4] Schauwvlieghe AFAD, Rijnders BJA, Philips N, et al. Invasive aspergillosis in patients admitted to the intensive care unit with severe influenza: a retrospective cohort study[J]. Lancet Respir Med, 2018, 6(10):782-792. [5] Huang L, Zhang N, Huang X, et al. Invasive pulmonary aspergillosis in patients with influenza infection: A retrospective study and review of the literature[J]. Clin Respir J, 2019, 13(4):202-211. [6] Feys S, Almyroudi MP, Braspenning R, et al. A Visual and Comprehensive Review on COVID-19-Associated Pulmonary Aspergillosis (CAPA)[J]. J Fungi (Basel), 2021, 7(12):1067.[7] van de Veerdonk FL, Kolwijck E, Lestrade PP, et al. Influenza-Associated Aspergillosis in Critically Ill Patients[J]. Am J Respir Crit Care Med, 2017, 196(4):524-527.[8] Herbrecht R, Bories P, Moulin JC, et al. Risk stratification for invasive aspergillosis in immunocompromised patients[J]. Ann N Y Acad Sci, 2012, 1272:23-30. [9] Rogers TR, Slavin MA, Donnelly JP. Antifungal prophylaxis during treatment for haematological malignancies: are we there yet?[J]. Br J Haematol, 2011, 153(6):681-697.[10] Huang L, Zhai T, Hua L, et al. Early identification of patients with severe influenza-associated aspergillosis (IAA) in the intensive care unit--an IAA prediction score system (Asper-PreSS)[J]. J Infect, 2020, 81(4):639-646. [11] Delaney JW, Pinto R, Long J, et al. The influence of corticosteroid treatment on the outcome of influenza A(H1N1pdm09)-related critical illness[J]. Crit Care, 2016, 20:75. [12] Ahmadikia K, Hashemi SJ, Khodavaisy S, et al. The double-edged sword of systemic corticosteroid therapy in viral pneumonia: A case report and comparative review of influenza-associated mucormycosis versus COVID-19 associated mucormycosis[J]. Mycoses, 2021, 64(8):798-808. 
中日友好医院呼吸与危重症医学科,主治医师,医疗组长;中华医学会呼吸病学分会认证的PCCM专科医师,中国医师协会呼吸医师分会危重症学组青年委员;以第一作者及通讯作者发表SCI论文10篇,中文核心期刊论文多篇;作为子课题负责人参与中国医学科学院项目1项,作为项目骨干参与多项国家级及省部级课题;作为中日友好医院呼吸危重症救治与创新团队主要成员,获得全国创新争先奖牌。