登录方式

方式一:
PC端网页:www.rccrc.cn
输入账号密码登录,可将此网址收藏并保存密码方便下次登录

方式二:
手机端网页:www.rccrc.cn
输入账号密码登录,可将此网址添加至手机桌面并保存密码方便下次登录

方式三:
【重症肺言】微信公众号
输入账号密码登录

注:账号具有唯一性,即同一个账号不能在两个地方同时登录。

登录
方式

为重症救治赋能

为患者康复加速

当前位置:首页 重症肺炎 病毒肺炎

重症腺病毒肺炎ARDS的救治:临床特点和药物治疗

贺航咏 中日医院呼吸与危重症医学科 发布于2024-07-22 浏览 2897 收藏

作者:贺航咏

单位:中日医院呼吸与危重症医学科
图片
一、病例

1. 病史介绍
患者年轻,男性,主诉:发热9天,咳嗽5天,呼吸困难2天。
入院前9天:患者受凉劳累后出现发热,体温最高40.0°C,呈稽留热,伴腹痛、腹泻,每日17~18次,呈黄色稀水样便,以下腹脐周痛为主,无脓血,无里急后重,伴恶心、纳差;咽干、咽痛、乏力、无明显咳嗽,咳痰;全身无力、少尿,自行对症治疗,效果欠佳。
入院前7天:就诊于外院。实验室检查回示:CRP 20 mg/L,肌酐129 mmol/L(↑),给予左氧氟沙星、对乙酰氨基酚片等对症治疗,腹痛腹泻稍缓解,每日5~6次。
入院前5天:出现咳嗽咳痰,呈粉红色泡沫痰,痰中带血难咳出;呼吸困难、胸痛;伴头痛、纳差、乏力、全身肌肉酸痛;无鼻塞、流涕、咽痛。就诊于另一家医院,查血常规:WBC 3.47×109/L(↓),PLT 79×109/L(↓),LYM 0.74×109/L(↓),CRP 45 mg/L(↑),PCT 0.88 ng/ml(↑),肌酐112 μmol/L(↑),胸部CT可见左下肺斑片影(图1)。诊断为:胃肠炎;细菌感染。即刻开始给予哌拉西林舒巴坦4.5 g q8h,莫西沙星0.4 g qd抗感染。腹泻缓解,仍持续高热,痰液由血性转为白色。
图片

图1  患者外院胸部CT(入院前5天)

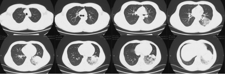
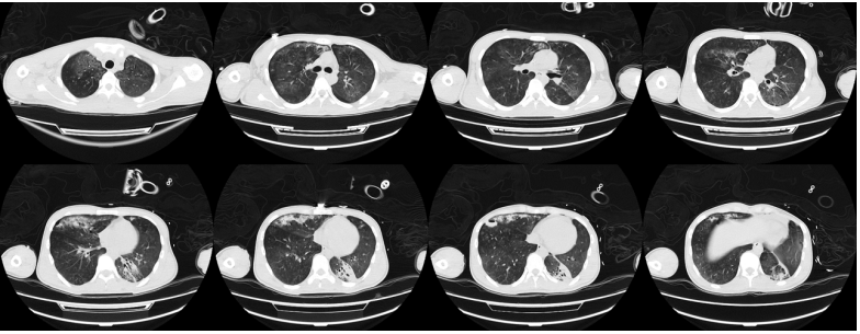
复查胸部CT(入院前3天/入院前2天):双肺炎症性病变,下肺实变呈加重趋势,右下肺有新发实变影(图2,图3)。患者影像学从单叶进展为多叶多段病变,渗出影进展非常快。左下肺影像学表现与大叶性肺炎不同,大叶性肺炎通常伴有支气管充气征,但该患者影像学完全无支气管充气征。对比患者三次影像学表现可见病变进展异常迅速。纵隔窗也提示患者病变迅速进展,且实变中未见支气管气相。
图片

图2  患者外院胸部CT(入院前3天)

图片

图3  患者外院胸部CT(入院前2天)

入院前3天动脉血气:pH 7.41,PaO2 48.5 mmHg,PaCO31.2 mmHg(吸氧不详)。病原学检查:肺炎链球菌(+)。粪便培养(2024-03-26):难辨梭菌(+)。抗菌方案调整为:亚胺培南西司他丁0.5 g q8h+万古霉素0.5 g q8h+莫西沙星0.4 g qd。
患者家属到我院门诊就诊,疑为腺病毒肺炎,建议其复查病毒核酸。入院前2天患者于外院行BALF NGS检测,入院前1天回报人腺病毒B组(序列数87034)。
2. 转入我院治疗
患者呼吸衰竭进行性加重,需要持续高流量吸氧(吸氧浓度80%),为进一步诊治转入我院。患者发病以来精神和睡眠欠佳,大便如上描述,小便无明显异常,体重下降3 kg。
第1周:患者入院第1天予西多福韦治疗(每周1次),体温高峰较前降低,但WBC下降,PCT轻度升高,CRP也逐渐升高。入院前两天无创通气,第3天气管插管,随后第4天即启动ECMO支持。在上ECMO之前,需警惕腺病毒患者出现出血并发症的风险,应充分评估。等待西多福韦起效期间,影像学检查发现患者左肺病变持续进展,右肺也愈发严重,没有达到预期的治疗效果。整个气道内有大量黄色浆液性渗出物。采取的抗病毒、抗细菌治疗以及预防性抗真菌治疗效果甚微。第5天患者出现循环障碍,按照感染性休克治疗规范,予氢化可的松200 mg q12h抗炎治疗。但患者全身炎症反应非常严重,氧合难以维持,甚至出现了肾衰竭,采取血液滤过。对于难治性休克,去甲肾上腺素用量为2~3 μg/(kg·min)。第7天本院NGS(第8天回报):BALF标本为腺病毒14型(序列数1782),血标本为腺病毒14型(序列数969)。该患者不仅仅为腺病毒肺炎,而且出现了病毒血症,导致全身严重炎症反应。
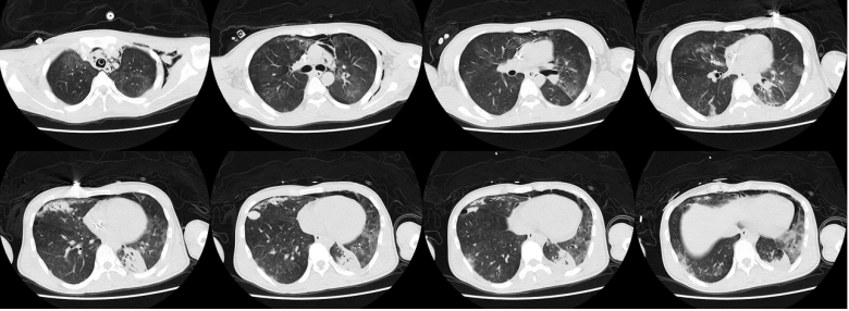
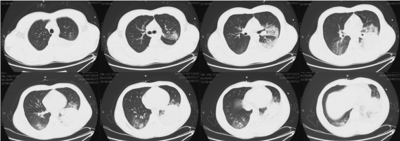
考虑到患者可能是病毒血症引起的全身非感染性炎症反应,于第7天决定选择甲泼尼龙(160 mg)给药1次,之后患者整体情况有所改善。密切监测其病原学,最终仅检出白色念珠菌,未在激素应用过程中出现曲霉感染。ECMO支持后(第8天)复查胸部CT可见双肺近乎完全实变,下肺尤为严重,肺内几乎没有有效通气(图4)

图片

图4  患者入院后胸部CT第8天

第2周第8天再次予西多福韦治疗。应用甲泼尼龙160 mg后24 h内,患者循环逐渐稳定,去甲肾上腺素逐渐减量,氧合也有所改善。第11天在患者病情似乎好转情况下,发现出现气压伤,这可能与患者肺部渗出很快吸收,顺应性改善,但仍给予较高PEEP有关。此后快速调节呼吸机参数,逐渐下调ECMO。第11天患者血NGS回报腺病毒14型(序列数969)。第16天血NGS回报腺病毒14型(序列数6),提示患者病毒血症明显好转。
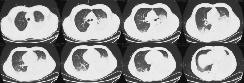
第3周第16天复查胸部CT:患者病变在逐渐吸收,病情较前好转(图5)。撤离ECMO,患者进入康复阶段。期间患者在气管镜下出现气道内右上叶出血。为了避免出血加重,整体调整了抗感染及抗凝治疗,并予西多福韦治疗。复查BALF腺病毒核酸仍为阳性,但患者整体状况、呼吸功能及肺部病变情况在逐渐改善
图片

图5  患者入院后胸部CT(第16天

第4周激素逐渐减量,复查BALF腺病毒核酸仍阳性。
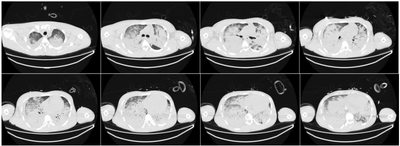
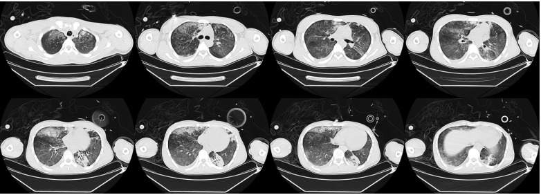
第23天复查胸部CT:肺内仍有少量气压伤表现以及小结节(图6)第28天复查NGS发现,BALF中腺病毒序列数为22,血中腺病毒序列数为6。再予一次西多福韦。肾功能遗留少量损伤,仍在间断进行肾脏替代治疗治疗。第30天胸部CT可见病变较前明显吸收好转(图7)
图片

图6  患者入院后胸部CT(第23天)

图片
图7  患者入院后胸部CT(第30天)
图片
二、要点和讨论


1. 重症腺病毒肺炎的病理改变
在1967年发表的一篇文献中最早报道了腺病毒肺炎的病理改变,表现为支气管上皮细胞及腺体坏死,小气道可被脱落的坏死物质堵塞,造成远端通气障碍;早期远端可能有肺气肿表现,小气道壁内炎症细胞浸润,甚至增殖坏死(图8)

图片

图8  腺病毒肺炎的病理表现—支气管

注:A为坏死性支气管炎,支气管管壁内附着黏稠的嗜酸性物质,支气管壁内腺体坏死。HE×165)。B为坏死性细支气管炎,气道内充满多形性渗出物,肺泡过度充气(HE×65)。C为增生的支气管上皮(HE×200)。
图源:Journal of clinical pathology, 1967, 20(4):561-569.
图9示在局部坏死组织中可以看到病毒的包涵体,细胞坏死融合,填充在气道和细胞内。图10为肺泡组织中核内包涵体。
图片

图9  腺病毒肺炎的病理表现——气道黏膜

注:A为增生的支气管上皮。许多核内含有一个或多个散在的嗜酸性包涵体。包涵体弥散地分布在退化的上皮细胞核内。B为一些腺泡完全坏死。其他腺泡细胞含有大的嗜碱性包涵体(HE×200)。C为B的细节显示,管腔内大的嗜碱性包涵体和坏死物质(HE×675)。
图源:Journal of clinical pathology, 1967, 20(4):561-569.
图片

图10  肺泡组织中核内包涵体

注:A为4个相邻肺泡上皮细胞富含包涵体。散在的嗜酸性包涵体伴晕轮,与较大的嗜碱性或两性包涵体形成对比(HE×10000);B为嗜酸性包涵体在更高的放大倍率下显示不规则晕轮和边界(HE×20000)。

图源:Journal of clinical pathology, 1967, 20(4):561-569.

腺病毒肺炎致死病例的病理可见肺完全实变,实变内完全坏死,其中包含肺泡上皮细胞脱落坏死和气道细胞脱落坏死(图11)
图片

图11  腺病毒肺炎致死病例病理

注:A为大体肺组织标本,颜色苍白,广泛实变;B为组织病理学显示肺组织出血坏死(HE×40);C为高倍镜显示3个细胞核内包涵体(箭头)(HE×400);D为腺病毒免疫组化染色显示2个细胞核内包涵体阳性染色(箭头)(免疫过氧化物酶,×400)。
图源:Journal of clinical pathology, 1967, 20(4):561-569.
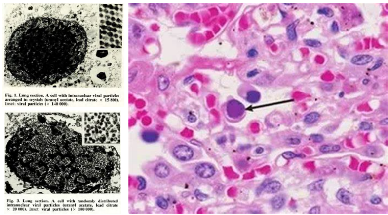
最早的包涵体是病毒在胞核或胞浆内大量聚集成结晶一样的排列。14万倍电镜下可见,病毒颗粒层层排列,重新组装后破坏细胞,导致细胞坏死(图12)
图片

图12  病毒包涵体

图源:Journal of clinical pathology, 1967, 20(4):561-569.

总之,腺病毒重症病例的病理改变主要有:①实变区有共同的特征:嗜酸性渗出物填充致肺泡腔和肺泡管扩张,渗出物部分为蛋白水肿液,部分为纤维蛋白栓,部分为颗粒状凝结物,另一部分来自支气管树,大部分来自肺泡隔的局灶性坏死和局部炎性渗出;许多肺泡腔都有PAS-阳性透明膜,肺泡间质和肺泡内有巨噬细胞、淋巴细胞和浆细胞浸润,局部中性粒细胞丰富。②病变最严重的肺组织:肺泡上皮细胞成分和炎性细胞坏死,结构严重紊乱,留下大量核碎片和嗜酸性渗出物及局部出血;即使坏死严重,肺泡间隔中的结缔组织仍完整,未发现闭塞性血管病变;实变区常以小叶间隔为界,另一些实变区中央可见终末细支气管坏死。③轻度病变区域:肺泡组织充血水肿,有或无纤维素渗出和单核细胞聚集;肺泡上皮细胞肿胀,许多呈立方形,特别是与损伤细支气管壁相邻的肺泡上皮细胞更为明显。④坏死区:细胞含有大量的的包涵体,一些细胞处于游离状态,但其他细胞附着在肺泡隔的残余结构上。⑤退变程度较轻的组织:在肿胀的肺泡上皮细胞中正在形成包涵体,富含包涵体的细胞由巨噬细胞和脱落的肺泡上皮细胞构成。

2. 重症腺病毒肺炎的临床特点

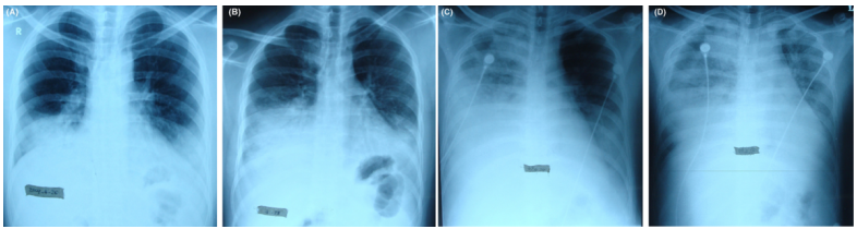
2012年北京朝阳医院的研究对487例社区获得性肺炎(CAP)患者中的18例经实验室确诊的腺病毒重症社区获得性肺炎(SCAP)进行PCR病毒分型,结果均为B型腺病毒,AdV-11、7、3和14型较常见,其中AdV-11型最常见(10/17)。患者临床表现为流感样症状,在发病后6天出现气短或严重呼吸困难。ARDS患者常表现为呼吸困难、血清肌酶升高、影像学双侧多发实变、斑片状或磨玻璃样渗出影。55%应用激素治疗,病死率为11%。其中一例23岁男性因腺病毒引起ARDS,X线胸片显示:发病后第3天双下肺致密片状浸润影(图13A)起病后第5天加重(图13B)起病后第7天右肺及左下肺出现致密实变,左肺上叶尚未明显受累(图13C)第9天双肺广泛实变,呈ARDS改变(图13D)

图片
图13  腺病毒引起的ARDS影像学表现
2010年11月至2012年4月北京和烟台一项多中心前瞻性CAP监测研究从临床标本中提取病毒DNA进行测序,969例患者中检测出AdV 48例(5%)。这些患者的临床特点:大多数HAdV-55型病例在2月和3月期间发现;与HAdV-7、3、14、50患者相比,HADV-55型患者的年龄更大,肺炎严重程度指数评分更高;单侧或双侧实变是HAdV-55型患者最常见的影像学表现(57.9% vs 36%);其中29.2%的患者接受了氧疗,2例需要机械通气。
2014年文献报道,北京朝阳医院RICU收治5例确诊为HAdV-55型感染的严重ARDS患者,均为免疫功能正常的年轻男性,中位年龄为32岁。这些患者的临床特点是:从发病到呼吸困难的平均时间为5天,平均氧合指数58.1 mmHg;从发病到胸部X线显示单叶实变的平均持续时间为2天;从第一个胸部X线检查阳性到双侧多叶肺浸润的平均时间为4.8天。病毒载量:3例患者的血病毒载量高于1×108拷贝数,1例患者的病毒载量高于1×104拷贝数,唯一存活患者在治疗后血中病毒DNA拷贝数转阴。在呼吸支持及预后方面,无创机械通气失败和有创机械通气失败时间分别为30.8小时和6.2天,4例患者接受VV-ECMO支持,5例患者中有4例(80%)死亡,这5例患者中,1例患者血的腺病毒核酸转阴,最终存活,其他4例患者腺病毒核酸一直没有转阴,最终死亡。
2016年北京协和医院与河北医科大学第二医院急诊科开展的研究纳入2012年2月至2014年4月期间15例腺病毒感染的SCAP患者,中位年龄为30岁,所有病例均在冬春季节发病。HAdV-55型是最常见(11/15)的血清型。患者的临床症状为持续高热、咳嗽和快速进展的呼吸困难。与存活患者相比,死亡患者的肺炎严重指数(PSI)和呼吸频率显著增加,氧合指数降低,超敏CRP升高。发病后10天内,影像学表现为迅速发展的双侧实变,伴磨玻璃影、胸腔积液,没有支气管充气征表现。14/15例患者使用激素(存活和死亡组均使用,剂量不详),病死率为26.7%。
对于重症腺病毒肺炎,激素的使用需要慎重。对于肺内肺外表现及炎症反应都非常严重的患者,激素可能有助于改善病情。2013年由全军传染病专业委员会发表的《腺病毒感染诊疗指南》推荐,成人激素使用剂量相当于甲泼尼龙80~320 mg/d,具体可根据患者病情及个体差异调整。

对于抗腺病毒药物,尽管西多福韦目前是临床推荐用药,但并没有很强的证据,还需要通过临床应用来监测患者的病毒载量等。几种抗病毒药物(包括西多福韦、利巴韦林和更昔洛韦)已经显示出体内和体外抗腺病毒疗效。西多福韦是一种核苷酸类似物,在体外和体内均显示出抗病毒活性。主要用于严重腺病毒感染和免疫功能低下的患者,包括儿童、干细胞和实体器官移植患者。在免疫功能正常的患者中,西多福韦治疗腺病毒感染的疗效尚不明确。然而,在免疫功能正常的军事学员的几项临床试验中,西多福韦显示出临床获益和氧合的改善。未来仍有待于进一步验证其临床疗效。

图片
三、小结

腺病毒肺炎部分可迅速进展为重症肺炎ARDS,我们需要了解其影像学及病理学特点。腺病毒核酸检测对于病情监测非常重要。重症腺病毒肺炎可能伴随严重脏器损伤和炎症反应,严重呼吸衰竭往往需要ECMO支持,除了抗病毒治疗之外,抗炎治疗也是其中非常关键的一环。


   参考文献    

上下滑动阅览

[1] Becroft DM. Histopathology of fatal adenovirus infection of the respiratory tract in young children[J]. J Clin Pathol, 1967, 20(4):561-569. 
[2] Gu L, Liu Z, Li X, et al. Severe community-acquired pneumonia caused by adenovirus type 11 in immunocompetent adults in Beijing[J]. J Clin Virol, 2012, 54(4):295-301. 
[3] Cao B, Huang GH, Pu ZH, et al. Emergence of community-acquired adenovirus type 55 as a cause of community-onset pneumonia[J]. Chest, 2014, 145(1):79-86. 
[4] Sun B, He H, Wang Z, et al. Emergent severe acute respiratory distress syndrome caused by adenovirus type 55 in immunocompetent adults in 2013: a prospective observational study[J]. Crit Care, 2014, 18(4):456. 
[5] Tan D, Zhu H, Fu Y, et al. Severe Community-Acquired Pneumonia Caused by Human Adenovirus in Immunocompetent Adults: A Multicenter Case Series[J]. PLoS One, 2016, 11(3):e0151199.
[6] Takahashi I, Takahashi T, Tsuchida S, et al. Pulse methylprednisolone therapy in type 3 adenovirus pneumonia with hypercytokinemia[J]. Tohoku J Exp Med, 2006, 209(1):69-73. 
[7] Lee M, Kim S, Kwon OJ,  et al. Treatment of Adenoviral Acute Respiratory Distress Syndrome Using Cidofovir With Extracorporeal Membrane Oxygenation[J]. J Intensive Care Med, 2017, 32(3):231-238. 


  作者介绍    

图片

贺航咏
中日友好医院呼吸与危重症医学科,主任医师、副教授、硕士研究生导师,美国西北大学访问学者;主要研究方向为呼吸重症感染、呼吸支持技术;中国医师协会呼吸医师分会青年委员,中国老年医学学会呼吸病学分会委员;作为项目负责人承担国家自然科学基金青年基金1项,西藏自治区科技计划联合资助项目1项;以第一作者或通讯作者发表SCI论文35篇,Thorax 中文版编委。


点我观看视频.jpg

全部评论 0
Copyright©2020-2026 北京医麦斯科技有限公司 版权所有 京ICP备2020034400号-1 京公网安备11010502043983号