登录方式

方式一:
PC端网页:www.rccrc.cn
输入账号密码登录,可将此网址收藏并保存密码方便下次登录

方式二:
手机端网页:www.rccrc.cn
输入账号密码登录,可将此网址添加至手机桌面并保存密码方便下次登录

方式三:
【重症肺言】微信公众号
输入账号密码登录

注:账号具有唯一性,即同一个账号不能在两个地方同时登录。

登录
方式

为重症救治赋能

为患者康复加速

当前位置:首页 重症肺炎 真菌肺炎

肺曲霉菌病例荟萃分享

雷伟 苏州大学附属第一医院 发布于2024-07-09 浏览 5500 收藏

作者:雷伟

单位:苏州大学附属第一医院呼吸与危重症医学科

图片
病例一

1. 病史回顾
基本信息:患者男性,57岁。
主诉:咳嗽咳痰伴发热10天余。
既往史:高血压病史4年;肾功能不全病史10年。2014年行左前臂动静脉内瘘成形术及动静脉内瘘修补术。2015年行肾移植术,长期规律口服吗替麦考酚酯+强的松。
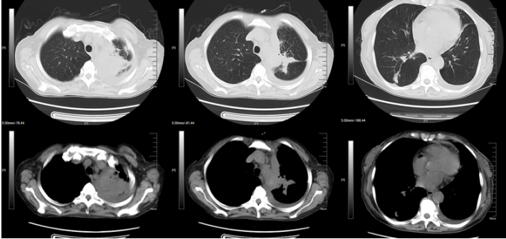
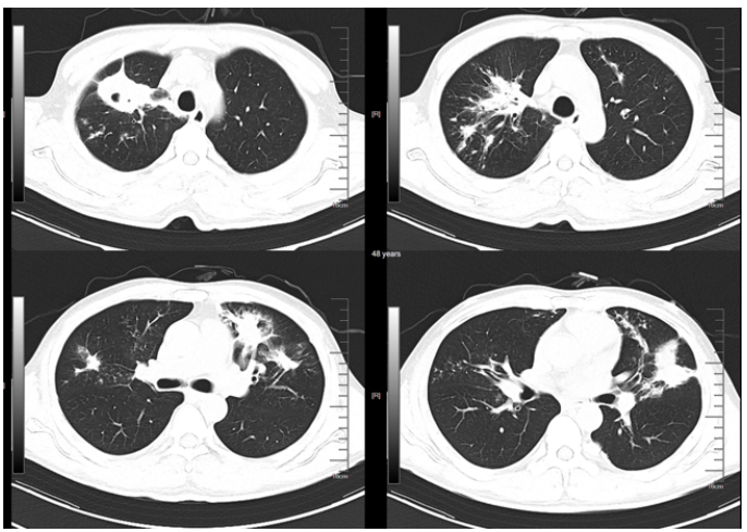
新冠病区诊治过程:鼻导管吸氧;阿兹夫定5 mg qd抗病毒、莫西沙星0.4 g qd抗感染,丙球10 g qd,地塞米松6 mg×2 d,之后予甲泼尼龙40 mg bid抗炎,低分子肝素钠5000单位ih q12h抗凝等治疗。2023年1月10日胸闷气急症状加重。血气分析(FiO2 41.0%):pH 7.39,PaO2 35.6 mmHg,PaCO2 34 mmHg,氧合指数87 mmHg。胸部CT(2023年1月10日,我院):双肺斑片影,符合病毒性肺炎,且较2023年1月6日明显加重(图1);双肾萎缩;双肾结石。
2023年1月11日转至我科RICU继续治疗。1月23日新型冠状病毒核酸检测(住院、发热门诊):阳性。
2. 诊断
新型冠状病毒感染,重症肺炎,Ⅰ型呼吸衰竭;肾功能不全,肾移植术后;高血压病;低蛋白血症。
图片
图1  患者胸部CT
3. 治疗措施
高流量湿化治疗(流速50 L/min,氧浓度60%,温度31℃);间歇俯卧位通气;无创呼吸机不耐受;奈玛特韦150 mg q12h+利托那韦100 mg q12h×5 d;巴瑞替尼4 mg qd×5d;哌拉西林他唑巴坦4.5 g q8h;甲泼尼龙40 mg bid(1月8-15日);低分子肝素钠5000单位ih qd;氨溴索30 mg bid,雷贝拉唑10 mg qd,钙尔奇D 600 mg qd。
4. 辅助检查

  • 【2023-01-11】血常规:WBC 7.24×109/L,LYM 0.12×109/L,NEU 6.81×109/L,LYM% 1.6%,Hb 143 g/L,PLT 219×109/L。
  • 【2023-01-12】生化全套:ALB 34.3 g/L,肌酐139.8 μmol/L。细胞因子:TNF-α 2.45 pg/ml;IL-8 85.67 pg/ml;IL-6 5.33 pg/ml。总IgE测定:15.5 IU/ml。
  • 【2023-01-14】痰培养(组套):黑曲霉菌(菌落计数多)
  • 【2023-01-16】痰培养(组套):黑曲霉菌(数量较多),烟曲霉菌(数量少)。
  • 【2023-01-20】GM试验2.397,痰找霉菌结果为阴性。心超:室间隔增厚。

1月17日复查胸部CT:双肺磨玻璃影较前有所吸收(图2)
图片

图2  复查胸部CT(2023-01-17)

5. 调整治疗方案

加用伏立康唑300 mg ivgtt q12h×24 h(01-16),200 mg ivgtt bid(01-17至02-03);激素缓慢减量:地塞米松7.5 mg qd(01-16至01-20)→地塞米松片1.5 mg bid(01-21至01-25)→地塞米松片1.5 mg qd(01-26至01-28)→强的松5 mg qd(01-29至02-10)。

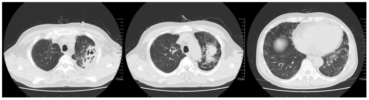
转入我科后患者体温热峰似乎有所下降,但仍有低热。1月27日复查胸部CT可见新冠肺炎病灶吸收、空洞形成,其中见小结节。支持真菌感染(图3)

图片

图3  复查胸部CT(2023-01-27)

1月31日细胞免疫检查结果如表1所示。

表1  患者细胞免疫检查结果

图片
6. 复查相关指标
【2023-01-29】GM试验0.788。WBC 4.68×109/L,LYM 0.56×109/L,NEU 3.72×109/L,LYM% 11.9%,Hb 115 g/L,PLT 117×109/L;CRP 119.68 mg/L。ALB 30.9 g/L,BUN 7.81 mmol/L,Cr 118 μmol/L,K 3.37 mmol/L。
【2023-01-31】降钙素原:PCT 0.29 ng/L。新型冠状病毒核酸检测(住院、发热门诊):阴性痰培养、痰涂片找霉菌、痰集菌找结核菌、血培养均阴性。
7. 病情变化
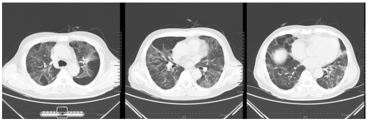
1月30日开始发热,热峰39℃,伴夜间呛咳。2月1日痰中带血,脓血痰,偶伴小量咯血(10 ml左右)。2月2日胸部CT可见空洞病灶进展(图4)
图片

图4  复查胸部CT(2023-02-02)

下一步怎么办?伏立康唑疗效不佳:换药or联合?是否合并新的感染:阳性菌or其他?气管镜检查?
8. 再次调整治疗方案
鼻导管吸氧(3 L/min);氧合稳定(P/F≥250 mmHg);比阿培南0.3 g q12h;艾沙康唑200 mg q8h×2 d,200 mg qd(02-03);SMZ 2粒qd×3 d(02-01至02-03)→卡泊芬净70 mg qd×1 d,50 mg qd(02-04至02-16);强的松5 mg qd(01-29至02-10);氨溴索、雷贝拉唑、枸橼酸钾、胰岛素泵及人血白蛋白对症支持。
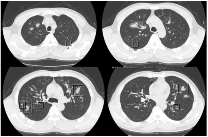
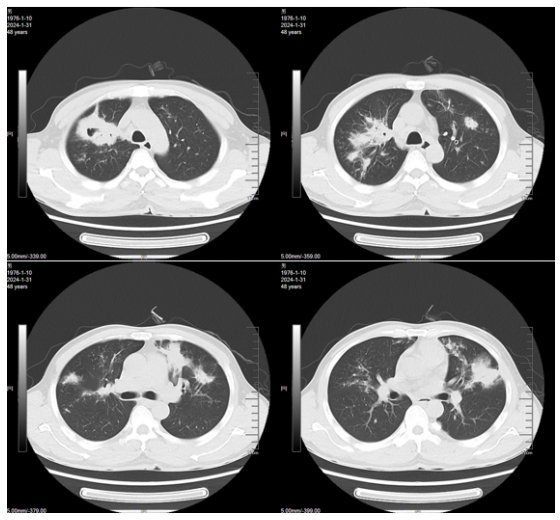
患者热峰下降, 但体温仍有波动。2月9日复查胸部CT见右上肺病灶吸收, 左上肺进展(图5)。患者仍间断发热, 热峰38℃, 伴脓血性痰液。
图片

图5  复查胸部CT(2023-02-09)

9. 辅助检查
【2023-02-03】痰培养、血培养阴性。
【2023-02-14】血常规:WBC 15.43×109/L,LYM 3.21×109/L,NEU 10.97×109/L,Hb 116 g/L,PLT 502×109/L。生化全套:ALB 30.9 g/L,BUN 5.0 mmol/L,Cr 136 μmol/L,K 3.84 mmol/L,GLU 7.12 mmol/L。
【2023-02-15】痰培养:其他奈瑟菌。
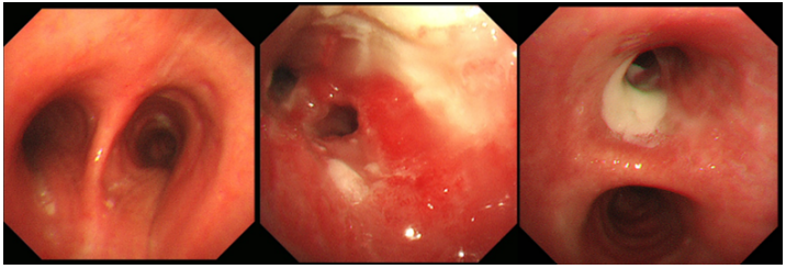
【2023-02-20】纤维支气管镜(图6):左、右支气管较多脓性分泌物,左上叶开口处见脓苔附着,开口狭窄,碰之易出血;右上叶予以灌洗,送检培养、结核菌;同时在镜下于左、右上叶局部两性霉素B 5 mg/50 ml喷洒治疗。
图片

图6  纤维支气管镜检查2023-02-20)

10. 后续治疗
经过上述治疗,患者热峰下降,体温趋于平稳。再次调整治疗方案:鼻导管吸氧(3 L/min);利奈唑胺 0.6 ivgtt q12h(02-15至03-01);拉氧头孢钠1.0 g ivgtt q12h(02-20至03-03);艾沙康唑200 mg qd;两性霉素B 5 mg超声雾化bid;强的松10 mg qd(02-10至02-27);氨溴索、雷贝拉唑、胰岛素泵及人血白蛋白对症支持。
3月1日胸部CT见两肺病灶较前吸收(图7)。病情得到改善。
图片

图7  复查胸部CT(2023-03-01)

11. 随诊及治疗
3月4日患者好转出院:序贯艾沙康唑200 mg qd维持治疗。定期复查,直至其肺内病灶基本消失后停药,历时约1年。患者随诊期间有间断咯血,考虑肾移植术后长期使用免疫排异药物有关。
图片
病例二


1. 病史回顾
基本信息:患者女性,61岁。
主诉:反复咳嗽咳痰半年余,加重1周伴咯血2次。
既往史:慢性肾脏病5期、肾病贫血、2型糖尿病、高血压3级(极高危)、肝硬化、海绵状血管瘤、陈旧性脑梗死等病史多年。
现病史:患者2022年12月因咳嗽咳痰于外院查CT示:双肺多发空腔性病变伴壁结节、右肺团片状影伴反晕征,考虑真菌感染可能。先后予伏立康唑、卡泊芬净抗真菌治疗。1周前患者咳嗽加重,伴咯血两次,行肺泡灌洗检测发现脓肿分枝杆菌。
2. 辅助检查
CRP 6.34 mg/L,WBC 2.15×109/L,LYM 0.47×109/L。Cr 259.3 μmol/L,ALB 38.6 g/L,TP 61.2 g/L,ALP 488.1 U/L,GGT 666.2 U/L。痰找霉菌、结核菌阴性。G/GM试验阴性。
支气管镜检查伴支气管肺泡灌洗(2023-05-10):镜下见左上叶固有段见灰白色坏死物堵塞管腔,予活检钳夹取后送检病理。BALF培养白色念珠菌;BALF GM试验10.261;BALF NGS米曲霉(序列数7),土曲霉(序列数7)。病理示(左上叶坏死物)大量曲霉及坏死;特殊染色:六胺银(+),PAS(+),抗酸(-)。
3. 诊断
肺真菌感染,尿毒症。
4. 诊疗经过
治疗方案:艾沙康唑针+两性霉素B雾化。
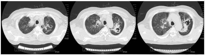
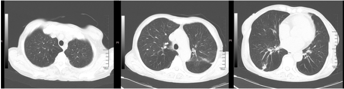
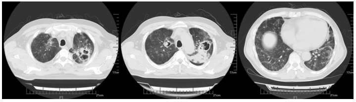
2023年5月28日胸部CT:左上肺实变,少量胸腔积液(图8)
图片

图8  患者胸部CT(2023-05-28)

经过近1个月的治疗,复查胸部CT可见双肺病灶明显吸收(图9)。7月30日随访见肺内仅余结节样病灶及纤维条索影(图10)
图片

图9  患者胸部CT(2023-06-09)

图片

图10  患者胸部CT(2023-07-30)

图片
病例三

1. 病史回顾
基本信息:患者男性,48岁,2024年1月26日入院。
主诉:咳嗽咳痰3周,发热10天。
既往史:体健、无特殊,吸烟。
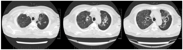
现病史:患者2024年1月7日左右无明显诱因下出现鼻塞等,外院胸部CT示:两肺炎症,肝内多发低密度灶。1月18日胸部CT:两肺散在渗出、斑点及空洞(图11)。当地医院予哌拉西林他唑巴坦抗感染,1月20日住院期间发热,热峰37.6℃,1月23日发热,热峰39℃,更换抗生素为头孢哌酮舒巴坦+左氧氟沙星,患者仍反复发热,1月25日达热峰38.4℃。
图片

图11  患者胸部CT(2024-01-18)

2. 辅助检查
呼吸道病原体10项:乙流抗体阳性。
支气管镜检查:BALF GM试验2.684;BALF NGS回报:金黄色葡萄球菌(序列数1040),鲍曼不动杆菌(序列数926),副流感嗜血杆菌(序列数816),烟曲霉(序列数14321),EB病毒(序列数744),人疱疹病毒7型(序列数36),人偏肺病毒(序列数2402),乙型流感病毒(序列数1928)。
3. 诊断及治疗
诊断:肺部真菌感染,流行性感冒(乙流),肝功能不全。
治疗方案:哌拉西林他唑巴坦+万古霉素+伏立康唑。
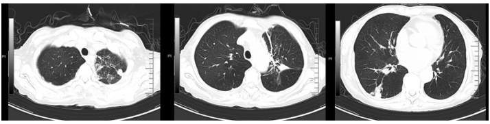
1月31日复查胸部CT提示病灶进展,出现团块及空洞样改变(图12)
图片

图12  患者复查胸部CT(2024-01-31)

调整治疗方案:哌拉西林他唑巴坦+万古霉素+艾沙康唑针+两性霉素B雾化。
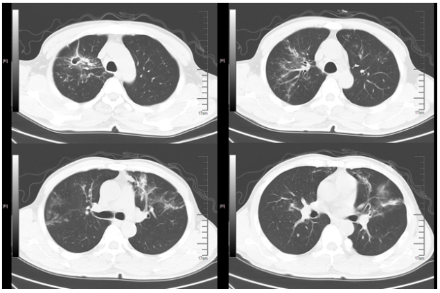
2月9日再次复查胸部CT可见肺部弥漫及多发病灶较前吸收(图13)。患者症状改善,体温恢复正常,遂予出院,序贯艾沙康唑胶囊200 mg qd。
图片

图13  患者复查胸部CT(2024-02-09)

4. 门诊随访
3月16日门诊随访胸部CT: 双肺实变基本吸收, 右上肺仅余空洞、纤维条索样病灶(图14)
图片

图14  门诊随访胸部CT(2024-03-16)

图片
小结

病毒感染合并真菌感染并不少见,烟曲霉最常见,黑曲霉也需要关注,早期诊断和治疗非常重要。对于免疫缺陷患者,抗真菌治疗疗程值得探讨。全身+局部介入联合治疗肺部曲霉感染值得尝试。


  作者介绍    

图片

雷伟

苏州大学附属第一医院呼吸与危重症医学科副主任,医学博士,博士后,主任医师,副教授,博士生导师。中国医师协会呼吸医师分会哮喘与变态反应工作委员会委员,中国老年医学学会呼吸病学分会哮喘学组委员,江苏省医学会呼吸病学分会委员兼秘书、慢阻肺学组副组长,江苏省医师协会呼吸医师分会肺功能与临床呼吸生理学组副组长,江苏省预防医学会呼吸系统疾病预防与控制专业委员会常委兼秘书,苏州市预防医学会呼吸系统疾病预防与控制专业委员会副主任委员,苏州市变态反应学会常委。


点我观看视频.jpg

全部评论 0
Copyright©2020-2026 北京医麦斯科技有限公司 版权所有 京ICP备2020034400号-1 京公网安备11010502043983号