登录方式

方式一:
PC端网页:www.rccrc.cn
输入账号密码登录,可将此网址收藏并保存密码方便下次登录

方式二:
手机端网页:www.rccrc.cn
输入账号密码登录,可将此网址添加至手机桌面并保存密码方便下次登录

方式三:
【重症肺言】微信公众号
输入账号密码登录

注:账号具有唯一性,即同一个账号不能在两个地方同时登录。

登录
方式

为重症救治赋能

为患者康复加速

当前位置:首页 重症肺炎 真菌肺炎

鸭子引发的一场“浩劫”

王丽娜,经慧,刘媛媛,武焱旻 徐州市中心医院 发布于2024-06-18 浏览 2832 收藏

作者:王丽娜,经慧,刘媛媛,武焱旻


单位:徐州市中心医院






一、病情介绍
基本信息
患者女性,46岁,江苏徐州人,养殖(鸭)厂工作,因“咳嗽、发热、憋喘2天” 于2019年2月6日至我院急诊。
病史简介
患者2天前受凉后出现咳嗽,干咳为主,伴发热,体温最高可达39℃,无胸痛、咯血,当地医院输注“帕拉米韦、热毒宁”治疗,体温改善,但咳嗽症状无好转并出现喘憋,进行性加重,当地医院查胸部CT示两肺多发炎症改变,局部结节样,左肺为著,予输液治疗(具体不详),症状无改善,转来我院。既往体健,近期无外地旅居史,否认吸烟、饮酒史。
入院查体
T 36℃,P 130次/分,RR 30次/分,BP 163/110 mmHg,神清,精神萎靡,端坐呼吸,憋喘貌,两肺呼吸音粗,可闻及广泛干/湿啰音,哮鸣音。
辅助检查
血气分析:pH 7.31,PaO2 67.4 mmHg,PaCO2 59.2 mmHg,FiO2 41%;血常规:WBC 3.83×1012/L,NEU% 92.6%,LYM 3.7%;CRP>193 mg/L;PCT 4.92 ng/ml;D-二聚体 6.75 mg/L;心肌酶、肌钙蛋白、BNP(-)。
初步诊断
社区获得性肺炎(重症),急性Ⅱ型呼吸衰竭。






二、诊疗经过


第1天(2月6日),患者病情危重收入RICU,予经验性治疗:无创呼吸机辅助通气;美罗培南1.0 g q8h+莫西沙星0.4 g qd;帕拉米韦0.3 g qd+连花清瘟胶囊4粒q8h;甲泼尼龙40 mg q8h;解痉、平喘、化痰、低分子肝素抗凝、防治应激性溃疡、营养支持等。

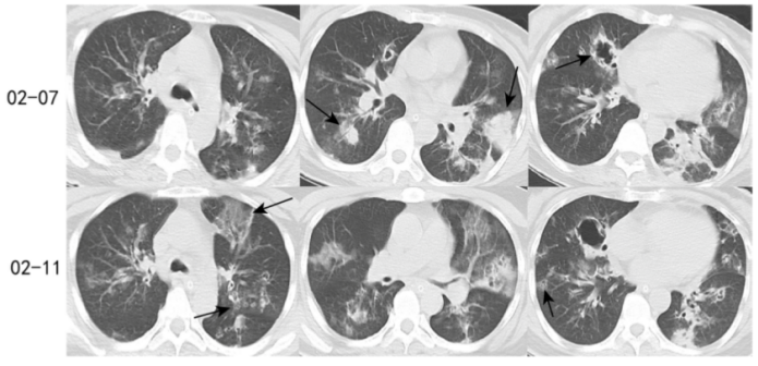
第2天(2月7日),患者病情进展迅速,嗜睡状态,呼吸困难明显加重,氧饱和度难以维持,复查血气示:pH 7.094,PaO2 69.8 mmHg,PaCO2 104 mmHg,予气管插管呼吸机辅助通气。完善检查示:痰呼吸道病原体分子检测(-);甲流+乙流病毒核酸检测(-);呼吸道病毒抗原检测(-);优生八项TORCH测定:巨细胞病毒IgG抗体、单纯疱疹Ⅰ型病毒IgG抗体(+);痰细菌+真菌培养(-);T-SPOT(-);血G+GM试验(-);胸部CT示:两肺多发高密度,部分伴空洞形成,考虑感染性病变。2月11日胸部CT可见磨玻璃浸润影较前进展,局部气管壁增厚及树芽征(图1)


图片


图1  胸部CT图像(2月7日,2月11日)


注:可见两肺多发高密度,箭头所示结节周围伴磨玻璃影,空洞形成。
第4天(2月9日),患者体温最高37.5℃,血气分析:pH 7.24,PaO2 80.6 mmHg,PaCO2 61.2 mmHg;复查血常规及PCT结果见表1,感染指标升高,结合影像学表现不排除阳性球菌及真菌感染可能,调整抗菌治疗方案为:美罗培南1.0 g q8h+利奈唑胺0.6 g q12h+伏立康唑200 mg q12h。


表1  住院期间血常规及PCT结果

图片


第6天(2月11日),患者憋喘未见明显改善,呼吸机参数下调困难。加用两性霉素B(首日5 mg qd,每日增加5 mg)。复查胸部CT示:多发斑片状高密度影,部分病灶内见空洞影,较2月7日片有所进展。完善床边气管镜示:镜下可见气道黏膜充血、水肿、糜烂,行镜下支气管肺泡灌洗,灌洗液送G+GM试验,未外送NGS。
第7天(2月12日),患者体温最高38℃,气道内可吸出中等量黄白色黏稠痰液,灌洗液G+GM试验回报:真菌D葡聚糖618 pg/ml;曲霉菌抗原阳性(+),复查肝功能示肝损害,ALT 203.0 U/L,AST 61.0 U/L,ALP 109 U/L,GGT 213 U/L。加用保肝降酶治疗,停用两性霉素B和抗病毒药物;调整抗感染治疗方案(2月13日起执行):头孢哌酮舒巴坦3 g q8h+伏立康唑200 mg q12h+卡泊芬净首剂140 mg,100 mg qd(考虑病情凶险,加量使用,医务处备案)。
第13天(2月18日),患者体温正常,气道吸出痰液较前减少,呼吸循环等生命体征稳定,呼吸机支持条件不高,复查感染指标较前下降,复查肝功能较前好转:ALT 128.0 U/L,AST 43.0 U/L,ALP 87 U/L,GGT 142 U/L。再次评估胸部CT示:较2月11日右肺下叶病变稍有吸收(图2)
第14天(2月19日),患者氧合改善,呼吸循环稳定,拔除气管插管,转入普通病房,延续当前抗感染治疗方案,卡泊芬净调整为50 mg qd(2月20日起执行)。
第21天(2月26日),患者体温正常,时有咳嗽、咳少量黄白痰,伴声音嘶哑,无明显憋喘,两肺听诊呼吸音稍粗,左下肺可闻及少许啰音,复查胸部CT示两肺病变较前好转(图2)
第24天(3月1日),患者无发热,偶有咳嗽咳痰,无声音嘶哑,无憋喘,于当日办理出院,出院诊断:侵袭性肺曲霉病(IPA);细菌性肺炎;Ⅱ型呼吸衰竭;肝功能损害。院外遵嘱继续口服伏立康唑等药物治疗。
近1个月后(3月26日)患者返院随诊,未诉不适,复查胸部CT示:两肺炎症较2月26日吸收、减少(图2)
图片
图2  胸部CT图像(2月18日、2月26日、3月26日)
患者住院期间抗感染方案见图3。
图片
图3  住院期间抗感染治疗方案





三、讨论与总结
1. 侵袭性肺曲霉病感染高危因素
据统计,每年约有1150万危及生命的真菌感染,超过150万人因真菌感染死[1]。根据欧洲癌症研究与治疗组织(EORTC)和真菌病研究组织教育与研究联盟(MSGERC)对侵袭性真菌病(IFD)的定义[2],宿主高危因素包括:①近期发生中性粒细胞缺乏(中性粒细胞计数<0.5×109/L)>10 d;②患有血液肿瘤接受异基因造血干细胞移植;③接受实体器官移植;④既往60 d内应用≥0.3 mg/(kg·d)皮质类固醇≥3周(除外变应性支气管肺曲霉病);⑤既往90 d内接受T细胞免疫抑制剂治疗;⑥使用B细胞免疫抑制剂治疗;⑦遗传性严重免疫缺陷(如:慢性肉芽肿、STAT3基因缺陷或严重联合免疫缺陷);⑧累及肠、肺或肝的Ⅲ级或Ⅳ级移植物抗宿主病,且对一线皮质类固醇治疗无效。
在没有高危因素的危重患者中,IPA危险因素包括:全身糖皮质激素应用,慢性阻塞性肺疾病急性加重,肝脏失代偿(重型酒精性肝炎和终末期肝病)和严重病毒性肺炎[3]。出现由甲型或乙型流感病毒或SARS-Cov2病毒引起的急性呼吸窘迫综合征(ARDS)的患者患IPA的风险增加。在2018年,严重流感被确定为重症患者IPA的独立危险因素[4]。在环境因素中,与建筑和其他环境风险相关的曲霉分生孢子气溶胶偶可导致侵袭性曲霉病,在没有宿主危险因素的患者中暴发[5]
回顾此病例,患者为养殖(鸭)厂工作人员,长期接触家禽及其饲料、垫料、相关器具等,很可能因曲霉污染上述物品而造成病原体侵入气道,导致感染。
2. 诊断思路
IFD的早期确切诊断是改善患者预后的关键。需要关注以下几方面:
(1)临床表现:IPA患者可表现出广泛的非特异性症状,如发热、干咳、胸痛、咯血、呼吸困难等[3],在免疫功能正常或亢进的宿主中可伴有严重的支气管痉挛,出现呼吸衰竭;而免疫功能受损或低下者,支气管痉挛及呼吸衰竭表现反而减轻。本例患者既往体健,急性起病,进展迅速,憋喘为主,双肺干啰音,哮鸣音,考虑同时存在真菌致敏。
(2)影像学特点:IPA的影像学征象在免疫缺陷中会有结节,伴或不伴晕征、空气新月征或在实变区域出现空腔。在非中性粒细胞缺乏患者中,可以看到任何影像学图像,包括单侧或双侧实变、磨玻璃影、空洞、树芽征和胸腔积液[3](下图)。
图片
本例患者胸部CT可见两肺多发高密度,结节周围伴磨玻璃影晕征,空洞形成;随着病情进展,磨玻璃浸润影增多,局部气管壁增厚、出现树芽征等。
(3)支气管镜检查:对疑似IPA的患者建议进行支气管镜检查和支气管肺泡灌洗[6]。支气管镜下可见大气道的溃疡、结节、假膜或斑块,常见于侵袭性气管支气管曲霉病(ITBA)患者,是曲霉致呼吸道上皮破坏所致[3]
图片
(4)实验室诊断:据《侵袭性真菌病实验室诊断方法临床应用专家共识》[7],诊断方法主要包括微生物学检查(真菌直接镜检、真菌培养和鉴定、真菌血清学检查、分子生物学检测)和组织病理学检查。通常IFD的确诊依赖于无菌标本培养和组织病理活检。无菌标本培养耗时长、阳性率低,组织病理活检具有侵入性,考虑出血风险等因素,良好的标本获取较困难,常缺乏可操作性。血清学检查常用方法包括曲霉半乳甘露聚糖抗原检测(GM试验)和真菌1,3-β-D葡聚糖检测(G试验)。研究显示,血清半乳甘露聚糖检测的敏感性为21%~86%,特异性为80%~92%;肺泡灌洗液(BALF)敏感性为60%~100%,特异性为68%~100%[8]。在此病例中,我们反复多次送检血G+GM试验,结果均为阴性,仅在治疗后期出现一次G试验阳性,考虑可能是由于该患者为非粒细胞缺乏,肺部感染局部中性粒细胞大量浸润,吞噬并杀伤菌丝,使释放入血的1,3-β-D葡聚糖减少,循环中的中性粒细胞可清除抗原,致血清G/GM试验假阴性。抗真菌治疗和中性粒细胞计数对BALF的影响较血清小。本病例中,BALF的G+GM数据明显升高,最终帮助明确诊断,提示了对于高度怀疑侵袭性真菌病者,BALF检查意义更大。
3. 抗真菌治疗
抗真菌药物包括三唑类、棘白菌素类、多烯类药物等。三唑类药物是大多数患者治疗IPA的首选[6]。棘白菌素类药物是一类有效的补救治疗药物,但不推荐单药常规用于初始抗真菌治疗。应在特定情况下使用抗真菌联合治疗,包括:①高唑类药物耐药率;②对单一治疗缺乏反应;③曲霉种类未知或药敏试验待定时;④当伏立康唑因代谢不良而无法达到治疗水平时[9]
在考虑侵袭性霉菌感染但尚未诊断IPA之时,选择伏立康唑进行经验性抗真菌治疗,加用两性霉素B以同时覆盖耐唑类曲霉属和其他霉菌感染(如毛霉目)。两性霉素爬坡时即出现肝损害,考虑药物造成,应停用。因患者病情凶险,加用双倍的卡泊芬净,并保肝降酶,肝功能异常指标回落至正常,表明药物肝损的安全性良好。研究显示,对伴有侵袭性真菌感染的ICU重症患者采用高负荷剂量的卡泊芬净,真菌清除率较高,治疗效果较好,且对患者肝肾功能无显著影响,日剂量高达200 mg卡泊芬净耐受性良好[10, 11]。事实证明,此方案治疗充分且有效,用药后患者憋喘减轻、氧合改善,成功拔除气管插管,复查胸部CT示两肺病变较前吸收,后调整卡泊芬净50 mg qd维持,至出院时症状体征明显好转,影像学改变趋于稳定。但因为超剂量使用,需要在药学部及医务处备案。
目前针对IFD的抗真菌治疗的持续时间尚无明确规定,IDSA指南[6]建议抗真菌治疗至少持续6~12周,这取决于患者特征和疾病的临床因素,如免疫重建状态、患病部位、临床治疗反应等。
基于免疫策略抗真菌感染的辅助治疗,如细胞因子疗法(集落刺激因子、γ干扰素、肿瘤坏死因子-α和白细胞介素)、细胞疗法(粒细胞输注、过继性T细胞治疗、嵌合抗原受体T细胞、自然杀伤细胞疗法、DC疗法)、抗体和疫苗等尚在探索之中[12]
综上,一场鸭子引发的“浩劫”带给我们诸多思考,提高对肺部真菌病的警觉和认知能力,早期诊断、及时启动、制定个体化抗真菌治疗方案对改善患者预后至关重要。

参考文献

(向下滑动查看全部文献)

[1] Ademe M. Immunomodulation for the Treatment of Fungal Infections: Opportunities and Challenges[J]. Front Cell Infect Microbiol, 2020, 10:469.

[2] Donnelly JP, Chen SC, Kauffman CA, et al. Revision and Update of the Consensus Definitions of Invasive Fungal Disease From the European Organization for Research and Treatment of Cancer and the Mycoses Study Group Education and Research Consortium[J]. Clin Infect Dis, 2020, 71(6):1367-1376.

[3] Heylen J, Vanbiervliet Y, Maertens J, et al. Acute Invasive Pulmonary Aspergillosis: Clinical Presentation and Treatment[J]. Semin Respir Crit Care Med, 2024, 45(1):69-87.

[4] Vanderbeke L, Spriet I, Breynaert C, et al. Invasive pulmonary aspergillosis complicating severe influenza: epidemiology, diagnosis and treatment[J]. Curr Opin Infect Dis, 2018, 31(6):471-480.

[5] Ledoux M-P, Herbrecht R. Invasive Pulmonary Aspergillosis[J]. J Fungi (Basel), 2023, 9(2):131. 

[6] Patterson TF, Thompson GR 3rd, Denning DW, et al. Practice Guidelines for the Diagnosis and Management of Aspergillosis: 2016 Update by the Infectious Diseases Society of America[J]. Clin Infect Dis, 2016, 63(4):e1-e60. 

[7] 中国医药教育协会真菌病专业委员会, 国家皮肤与免疫疾病临床医学研究中心(北京大学第一医院), 国家血液疾病临床医学研究中心(北京大学人民医院). 侵袭性真菌病实验室诊断方法临床应用专家共识[J]. 中华内科杂志, 2022, 61(2):134-141.

[8] Miceli MH, Kauffman CA. Aspergillus Galactomannan for Diagnosing Invasive Aspergillosis[J]. JAMA, 2017, 318(12):1175-1176.

[9] Boyer J, Feys S, Zsifkovits I,et al. Treatment of Invasive Aspergillosis: How It’s Going, Where It’s Heading[J]. Mycopathologia, 2023, 188(5):667-681.

[10] Cornely OA, Vehreschild JJ, Vehreschild MJ, et al. Phase II dose escalation study of caspofungin for invasive Aspergillosis[J]. Antimicrob Agents Chemother, 2011, 55(12):5798-5803.

[11] 朱小龙, 王中华, 杨发明. 高负荷剂量卡泊芬净用于ICU重症患者侵袭性真菌感染的临床研究[J]. 哈尔滨医药, 2019, 39(5):451-452.

[12] 苟渊, 胡艳玲, 王文建. 真菌感染的免疫治疗[J]. 中华实用儿科临床杂志, 2024, 39(1):20-25.

作者简介


图片
武焱旻
  • 东南大学附属徐州市中心医院呼吸与危重症医学科主任
  • 内科规培基地主任硕士生导师
  • 中国康复医学会呼吸康复专业委员会呼吸治疗学组委员
  • 中国中西医结合学会变态反应专业委员会委员
  • 江苏省中西医结合学会呼吸专业委员会委员
  • 江苏省医学会呼吸病学分会委员及呼吸衰竭、重症监护及机械通气学组委员
  • 江苏省医师协会呼吸医师分会基层联盟学组副组长
  • 徐州市医学会细菌感染与耐药防治专业委员会主任委员
  • 徐州市医学会呼吸病学专业委员会副主任委员
  • 徐州市免疫学会小细胞肺癌肿瘤治疗专业委员会主任委员
  • 徐州市抗癌协会肺癌专业委员会副主任委员

图片
刘媛媛
  • 徐州市中心医院呼吸与危重症医学科
  • 硕士研究生,副主任医师
  • 徐州市细菌感染与耐药防治专业委员会委员
  • 徐州市免疫学会小细胞肺癌肿瘤治疗专业委员会常务委员
  • 徐州市健康管理学会睡眠呼吸障碍专业委员会副主任委员
  • 彭城英才-徐州市医学后备人才
  • 曾发表SCI论文多篇
  • 获得江苏省新技术引进奖二等奖及徐州市新技术引进奖二等奖、三等奖各1项
  • 徐州市卫健委住院医师规范化培训师资竞赛(内科组)一等奖
  • 扬州大学第二届临床教学基地教学查房竞赛特等奖

图片

经慧

  • 徐州市中心医院呼吸与危重症医学科
  • 博士研究生,主治医师
  • 徐州市细菌感染与耐药防治委员会秘书
  • 徐州市小细胞肺癌免疫治疗委员会副秘书长


图片

王丽娜

  • 徐州市中心医院呼吸与危重症医学科
  • 硕士研究生,医师
  • 徐州市免疫学会小细胞肺癌肿瘤治疗专业委员会委员

全部评论 0
Copyright©2020-2026 北京医麦斯科技有限公司 版权所有 京ICP备2020034400号-1 京公网安备11010502043983号