登录方式

方式一:
PC端网页:www.rccrc.cn
输入账号密码登录,可将此网址收藏并保存密码方便下次登录

方式二:
手机端网页:www.rccrc.cn
输入账号密码登录,可将此网址添加至手机桌面并保存密码方便下次登录

方式三:
【重症肺言】微信公众号
输入账号密码登录

注:账号具有唯一性,即同一个账号不能在两个地方同时登录。

登录
方式

为重症救治赋能

为患者康复加速

当前位置:首页 重症肺炎 真菌肺炎

真菌并非仅是肺部的感染病原体

徐婷,林勇 南京市胸科医院呼吸与危重症医学科 发布于2024-06-18 浏览 3789 收藏

作者:徐婷,林勇


单位:南京市胸科医院呼吸与危重症医学科
人类呼吸道每天都会接触空气中的真菌、真菌酶和次级代谢物。人体吸入不同种类的真菌后,有些真菌(耐热菌)会在体温下生存并且逃逸健康个体的免疫防御,导致人类致敏和感染。引起感染的病原体主要以地方性真菌如荚膜组织胞浆菌、球孢子菌属、隐球菌以及烟曲霉为[1]。在免疫功能正常的个体,这些真菌引起的感染往往症状轻微,只有大量吸入或免疫缺陷时才能突破固有免疫,出现严重的症状[1]。而真菌所致疾病一定是感染吗?本文将通过两个病例来分析真菌在肺部病变中扮演的角色。

一、病例

病例1

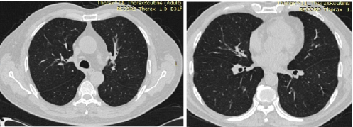
患者女性,57岁,退休会计,因“间断性发热伴咳嗽2年余,再发伴胸闷5天”于2017年11月9日入院。患者2年内无明显诱因出现反复发热3次,急性起病,伴流涕、咳嗽、胸闷、活动后气喘,查体见口唇发绀,双肺闻及少许湿啰音,血气分析提示Ⅰ型呼吸衰竭,需吸氧,无创/有创机械通气治疗,对抗生素应答不佳,静脉应用糖皮质激素后症状可在5~7 d内迅速好转。末次起病时胸部CT如图1所示。

图片

图1  病例1就诊时胸部CT
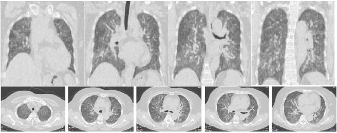
完善肺功能检查提示弥散功能降低,支气管镜检排除其他疾病,疑诊过敏性肺炎,追问病史,患者生活环境为一楼,较为潮湿,卧室有霉变墙壁及家具。符合过敏性肺炎的临床诊断标[2]。针对过敏性肺炎治疗后症状迅速好转,顺利出院,嘱患者清理霉变家具,脱离环境。定期随访,未再出现咳嗽、胸闷、气喘症状。出院时胸部CT见图2。

图片

图2  病例1出院时胸部CT
病例2
患者男性,63岁,退休,既往有糖尿病史20余年,因“发作性胸闷1月”于2019年1月16日入院。患者1月来发作性胸闷2次,伴有咳嗽,大量黄脓痰,活动后气喘,第二次发病时伴发热,抗生素治疗效不显,冠状动脉造影排除心肌梗死,血气分析提示低氧血症。血嗜酸性粒细胞计数及比例正常。血自身抗体组合:抗SM抗体、抗PCNA抗体弱阳性。胸部CT示胸膜下少许斑片影。鼻窦CT示上颌窦少许积液(图3)

图片

图3  病例2就诊时胸部CT及鼻窦CT
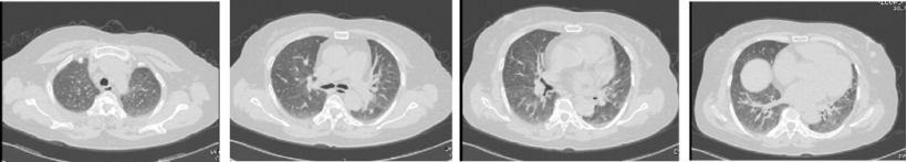
请风湿科会诊排除自身免疫病,予甲泼尼龙80 mg qd,气喘稍好转。行气管镜检查送检灌洗液G试验153.0 pg/ml,GM试验0.99。加用伏立康唑抗真菌治疗后当晚症状好转,1周后症状消失,复查胸部CT,病灶吸收(图4)。为何伏立康唑的“平喘”疗效会如此迅速?因为该患者的诊断是联合气道烟曲霉病——真菌敏感性重症哮喘+变应性真菌性鼻/鼻窦炎。

图片

图4  病例2出院时胸部CT
大部分真菌通过在呼吸道定植或通过接触细胞壁成分和蛋白酶间接或直接引起过敏或加剧过敏性疾病。上述两个病例首诊时被误诊为其他疾病,可见真菌的致敏性往往被临床忽视。

二、变应性真菌性气道疾病

“真菌、环境因素、宿主免疫状态”在真菌所致肺部疾病中是一个永恒的三角。根据宿主的免疫状态不同,真菌相关气道疾病有不同的表现形式图5)。当非过敏因素参与时,根据患者的基础疾病状态(如慢阻肺、支气管扩张、结节病、结核等),可表现为曲霉性支气管炎、慢性肺曲霉病、肺曲霉球以及血管侵袭性真菌病。而患者存在免疫异常,超敏状态(如合并哮喘、慢性肉芽肿病、高IgE综合征、囊性纤维化等)时,在高真菌暴露负担下,常表现为真菌致敏,即变应性真菌性气道疾病(allergic fungal airways disease,AFAD)[3]

图片

图5  耐热真菌引起气道真菌病的发生机制
1. AFAD的发病机制(图5)
上皮细胞的紧密连接和腺泡细胞分泌的黏液是防止真菌入侵的一道物理屏障。而耐热真菌致敏原可以通过破坏的上皮细胞或通过黏膜下层的树突状细胞进入气道。被激活的树突状细胞刺激幼稚的T细胞分化成Th2细胞,产生T2细胞因子IL-4和IL-13等,进而刺激B细胞产生IgE。释放到血液循环中的IgE与肥大细胞上的高亲和力受体(FceRI)结合,使其在再次接触过敏原时做出反应。IL-5促进嗜酸性粒细胞的成熟包括树突状细胞T2免疫增强,释放细胞因子,产生嗜酸性炎症;杯状细胞产生MUC5AC导致黏液栓塞,导致真菌蛋白酶清除障碍;真菌蛋白酶(如Alp1)直接激活气道平滑肌导致气道高反应和支气管痉挛[3],这也是伴有真菌致敏的严重哮喘的发病机制之一。
在工业化国家,过敏性疾病累及超过30%的人群,并有继续增长的态势。真菌致敏原约占人类过敏原的16%,却极易被忽视[4]。真菌病原体分为耐热真菌和不耐热真菌两大类。不耐热真菌不能在人类气道定植,对人类健康的影响有限。最常见引起过敏的真菌是在室外、工作场所或住宅中高浓度的真菌,包括子囊菌门的丝状真菌如烟曲霉、念珠菌等,担子菌门的隐球菌属、马拉色菌属和毛孢子菌等以及接合菌门的毛霉属等[5]。室内霉菌的产生主要与环境潮湿有关,常见的真菌包括青霉、曲霉和毛壳菌等。潮湿的下水道、空调通风口、发霉的墙体、绿植土壤和腐烂的食物中均有真菌的分布;而室外真菌以链格孢和枝孢菌为主。空气的温度和湿度共同决定了霉菌的孢子浓度和类型,室外霉菌可通过门窗进入室内,这使得病史采集的难度大大增加。大部分IgE相关真菌病是Ⅰ、Ⅲ和Ⅳ型过敏反应的混合型[4]由IgE升高为主要表现的Ⅰ型超敏反应和T细胞介导的Ⅳ型超敏反应真菌病主要类型为过敏性鼻炎、过敏性哮喘、变应性支气管肺曲霉病(allergic bronchial-pulmonary aspergillosis,ABPA)/变应性支气管肺真菌病(allergic bronchopulmonary mycosis,ABPM),以IgG、IgM升高为主的Ⅲ型超敏反应真菌病主要表现为过敏性肺炎和曲霉球。
2. AFAD临床表现
曲霉兼具致敏和致病的二元特性(图6)。患者吸入曲霉后,曲霉与患者自身免疫功能障碍或亢进的相互作用决定曲霉病的临床表现类型、病程和预后。免疫功能受损的患者感染曲霉后常表现为侵袭性曲霉病和亚急性侵袭性曲霉病;普通患者感染曲霉表现为慢性肺曲霉病、单纯肺曲霉球、曲霉性支气管炎;而免疫亢进的患者感染曲霉表现为过敏性支气管肺曲霉病、真菌致敏性重症哮喘。当发生侵袭性感染时,根据宿主免疫状态和曲霉数量、毒力之间的博弈,分别表现为气道侵袭、气腔侵袭和血管侵袭,三者可以同时存在[6]。在免疫功能正常或亢进的宿主,曲霉作为致敏原引起肺部疾病时,多表现为支气管痉挛和呼吸衰竭;免疫功能受损的宿主,支气管痉挛和呼吸衰竭相对较轻。

图片

图6  根据宿主的免疫状态不同,肺部真菌病有不同的表现形式

高分辨率CT(HRCT)的表现虽无明显特异性,但依然有蛛丝马迹可以辅助诊断,如高衰减黏液栓、中央或近端支气管扩张是ABPA的诊断标准,AFAD常有上叶纤维化,伴有重度不可逆的气流受限,HRCT可发现轻度支气管扩张,常见于重症哮喘和慢阻肺患者,而树芽征和结节在AFAD患者中相对常见。

暴露在高水平真菌孢子环境中(如园艺工作)可导致真菌性肺炎,出现急性呼吸系统疾病伴肺部阴影,其典型表现为:痰液中大量真菌生长,三唑类抗真菌药物疗效良好,但真菌性支气管炎患者的真菌相关IgE水平可不升高[5]

2024年国际人类与动物真菌学会(ISHAM)指南对真菌致敏性评估做出了如下建议[7]:并非所有的真菌都需评估致敏性,建议对烟曲霉的致敏性进行评估(level of consensus,LoC:94.9%);在难治性哮喘患者烟曲霉致敏阴性时,评估其他真菌的致敏性(LoC:61.5%);哮喘患者的真菌致敏性评估选用真菌特异性IgE优于皮肤点刺试验记录(LoC:76.5%);建议在三级医疗机构中对所有新诊断的成人哮喘患者进行曲霉致敏性评估(LoC:71.4%);建议仅在难治性儿童哮喘患者中评估曲霉致敏性(LoC:73.0%)。但对于第一次筛查时阴性的患者进行烟曲霉致敏筛查的周期并无推荐。

3. AFAD的临床亚型

AFAD的临床类型包括难治性哮喘(真菌致敏的严重哮喘,severe asthma with fungal sensitization,SAFS)和极少数慢阻肺,ABPA/ABPM,变应性真菌性鼻-鼻窦炎(allergic fungal rhinosinusitis,AFRS),慢性嗜酸细胞性支气管炎/肺炎,肺叶萎陷(黏液栓塞所致),后期固定气流阻塞,支气管扩张和上叶纤维化,持续性痰液分泌(真菌性支气管炎),真菌性脓胸以及原因不明的外周血嗜酸性粒细胞增多或总IgE>1000 IU/L[3]

真菌是过敏性哮喘重要的诱发及加重因素之一[8]。哮喘规范化治疗后仍有多达20%的患者控制效果欠佳,其中1/3~1/2的患者系真菌过敏。哮喘症状、严重程度、死亡率和住院率与空气中真菌孢子的数量及室内真菌的暴露相关[9],皮肤真菌过敏原测试阳性和真菌过敏现象在重症哮喘中更常见[10]有研究显示哮喘患者的住院次数与患者的真菌致敏率密切相关,与轻度哮喘患者相比,严重哮喘组(多次入院)所有真菌过敏原皮肤测试呈阳性的情况更为常见。多次入院患者中有3/4对霉菌过敏,其中50%对多种霉菌过敏原呈阳性,曲霉37%,链格孢属26%,分枝孢霉属41%,青霉属30%,念珠菌属33%[11]。如果哮喘患者对真菌抗原敏感,称为真菌致敏性哮喘(AAFS)。伴SAFS与2型免疫反应增强密切相关,真菌孢子及其产物与上皮细胞上的受体结合,活化的上皮细胞释放负责Th2细胞招募的细胞因子和生长因子,Th2细胞因子也可以通过改变细胞外基质来诱导气道重塑,形成牵拉性支气管扩张和纤维化。

SAFS的诊断标准如下:①难以控制的严重哮喘和喘息,即严重哮喘和慢阻肺在常规治疗下,同时应用大剂量的静脉或吸入糖皮质激素和长效β2受体激动剂仍无法控制或需要使用大剂量糖皮质激素;②真菌过敏,真菌皮肤点刺试验阳性和皮内试验阳性,或真菌抗原特异性的血清IgE阳性;③未达到ABPA的诊断标准;④痰液中真菌生长或检测到真菌菌丝[12]。对于哮喘伴曲霉致敏患者,建议检查血清总IgE(LoC:89.7%),特异性烟曲霉IgG(LoC:82.1%)及外周血嗜酸性粒细胞计数(LoC:87.2%)[7]

ABPA目前被认为是曲霉致敏作用的典型表现,ABPA有明显的遗传易感性,ABPA中真菌菌丝不会穿透肺组织,黏液和嗜酸性粒细胞胞外网可引起真菌包封,被困在支气管黏液栓中。真菌蛋白酶也可直接导致哮喘的发生[13]SAFS可能是其发展的第一步,也是诊断最关键和最困难的一环。AAFS重复暴露于致敏原导致哮喘控制恶化被归类为SAFS。AAFS、SAFS以及ABPA均具有Th2免疫反应增强的特征,且由低到高逐渐增强。也有符合全部诊断标准但胸部CT无异常的患者,被标记为血清阳性的ABPA(ABPA-s)。ABPA-s被认为是ABPA的早期阶段,具有较低的免疫活性。ABPA+中央支气管扩张(CB)则是更为严重的阶段。由此,AAFS、SAFS和ABPA-s、ABPA-CB被认为是真菌致敏的不同阶段(图7),有不同的免疫反应,一端是哮喘,另一端是ABPA[13]。抗真菌治疗对控制严重的激素抵抗的哮喘患者的临床症状有良好的作用[14],但需要注意选择合适的患者以及应用的时机[15]。甄别SAFS非常重要,因为此类患者可以从口服抗真菌药物中获益[16]

图片

图7  与真菌过敏相关的哮喘进展史

注:AAFS:真菌致敏性哮喘;SAFS:真菌致敏性重症哮喘;ABPA:变应性支气管肺曲霉病;ABPA-s:ABPA-血清阳性;ABPA-CB:ABPA-中央支气管扩张。
4. ABPA与ABPM
真菌致敏性哮喘和囊性纤维化患者与ABPA患者的临床表现有重叠[12]我国已有ABPA诊断标准的专家共识[17]。其影像学表现可分为四类:①ABPA血清型(ABPA-S):符合ABPA诊断标准,但胸部HRCT无ABPA导致的异常改变;②ABPA伴有支气管扩张型(ABPA-B):胸部HRCT可见支气管扩张;③ABPA伴有高密度黏液嵌塞型(ABPA-HAM):胸部HRCT可见高密度黏液嵌塞征像,易复发;④ABPA伴有慢性胸膜肺纤维化型(ABPA-CPF):至少具备以下2~3种ABPA所致影像学改变,如肺纤维化、肺实质瘢痕、纤维空洞病变、曲霉球和胸膜增厚,但无黏液嵌塞和高密度黏液栓征象。除曲霉外的变应性支气管肺真菌病称为ABPM[18],95%的ABPM由念珠菌属引起[19]。Chowdhary等[18]回顾了世界范围内发生的143例非曲霉导致的过敏性支气管肺真菌病患者,发现除曲霉外引发ABPM最主要的致病菌为白假丝酵母菌;进一步分析发现能引起过敏性支气管真菌病的烟曲霉、白假丝酵母菌及裂隙菌等真菌孢子直径为3~6 μm甚至更小[20, 21]。这些直径较小的真菌孢子较易深入下呼吸道并在其中生长,通过形成黏液栓等最终导致过敏性支气管肺真菌病的发生;而枝孢菌孢子和链格孢菌孢子等由于孢子直径较大等原因较难进入气道深部,故而相关ABPM的发病较少。

表1  ABPM的影像学表现[19]

图片
2024年ISHAM关于ABPA的建议如下[7]:血清总IgE≥500 IU/ml(LoC:71.8%)和血嗜酸性粒细胞计数≥500 cells/μl用于诊断ABPA(LoC:73.0%);不建议使用血清半乳甘露聚糖诊断ABPA(LoC:92.3%);建议评估ABPA时推荐进行痰真菌培养(LoC:100%),这可能有助于确定种类或指导治疗(LoC:61.5%);建议在基线时进行胸部薄层CT检查,以确定可疑ABPA患者的支气管扩张、黏液堵塞、高密度黏液栓和其他异常(LoC:92.3%);建议使用胸片评估ABPA的治疗效果(LoC:62.3%)。不常规推荐支气管镜检查用于诊断ABPA(LoC:86.1%)。
2024年ISHAM关于ABPM的诊断标准如下[7]:①有易感因素(如哮喘、囊性纤维化、慢阻肺、支气管扩张等基础疾病)或合并影像学异常。②基本条件:真菌特异性IgE升高,或血清总IgE≥500 IU/ml。③其他条件(任意2条):a. 真菌特异性IgG阳性;b. 血嗜酸性粒细胞计数≥500 cells/µl;c. 两次痰检(或一次支气管肺泡灌洗液)真菌培养生长病原真菌;d. 薄层CT影像符合ABPA(支气管扩张、黏液嵌塞和高衰减黏液)或胸片一过性阴影。
变应性肺支气管念珠菌病(allergic bronchopulmonary candidiasis,ABPC)的诊断标准需满足下列所有条件[12]:①在评估包括烟曲霉等系列真菌IgE-Abs后发现存在特异性白色念珠菌过敏的IgE或针对白色念珠菌(粗提物)有强IgE反应的证据;②对白色念珠菌呈阳性沉淀反应或存在白色念珠菌IgG抗体;③支气管分泌物反复分离出白色念珠菌(支气管镜检查抽吸黏液较为理想)。
5. AFAD使用三唑类抗真菌药物的指征
在常规治疗下,使用静脉或吸入激素和长效β2受体兴奋剂,口服孟鲁司特钠和茶碱后依然不能够有效控制AFAD的患者;需要持续口服激素控制哮喘或6个月内口服激素期间,因急性发作两次或两次以上住院患者可考虑应用三唑类抗真菌药物,并且在8~12周后结合临床、免疫学和影像学结果评估初始治疗反应。治疗有效的患者,曲霉治疗2~4周,念珠菌治疗10~14 d,停药后应密切观察。使用三唑类抗真菌药物后,如果6~8周临床无改善,应停止治疗[22]。评估有效的标准指症状显著改善(Likert评分或VAS≥50%)、胸部X线片好转,以及血清总IgE至少降低20%。而烟曲霉特异性IgE和IgG以用外周血嗜酸性粒细胞计数(LoC:73.6%)以及抗重组抗原的IgE不推荐用于治疗反应评估(LoC:100%)[7]
对于ABPA患者,2024年ISHAM指南做出以下推荐[7]不建议对无症状者进行全身治疗(LoC:85.7%)。只有当哮喘控制不佳(LoC:79.4%)或哮喘治疗后复发加重时,才应进行ABPA-S的全身治疗(LoC:85.3%)。推荐低至中等剂量[0.5 mg/(kg·d),疗程2~4周,逐渐减量并在4个月内完成]的口服泼尼松龙(LoC:78.1%)或口服伊曲康唑(LoC:73.5%)4个月作为治疗急性ABPA的初始治疗。当全身性糖皮质激素存在禁忌时,建议口服伊曲康唑作为初始治疗(LoC:84.6%)。不推荐伊曲康唑联合糖皮质激素作为急性ABPA的一线治疗(LoC:71.9%)。但短疗程糖皮质激素(<2周)可作为初始治疗与口服伊曲康唑联合应用。口服伏立康唑、泊沙康唑和艾沙康唑不应作为治疗急性ABPA的一线药物(LoC:78.1%~96.9%)。如果有全身糖皮质激素用药禁忌,对伊曲康唑治疗不耐受、失败或耐药,则可使用(LoC:12.8%~64.1%)。大剂量吸入性糖皮质激素(ICS)不应作为急性ABPA的主要治疗方法(LoC:100%)。不建议使用生物制剂作为急性ABPA的一线治疗(LoC:96.9%)。
6. 变应性真菌性鼻-鼻窦炎
变应性真菌性鼻-鼻窦炎(allergic fungal rhinosinusitis,AFRS)是慢性鼻窦炎的特定亚型,由机体对黏液引流受损区非侵袭性真菌生长的局部变态反应引起,发病率为4%~6%。AFRS定义为一种严重的局部变应性/嗜酸粒细胞炎性鼻窦疾病,由Ⅰ型变态反应引起,鼻窦内容物中的非侵袭性真菌与鼻腔鼻窦黏膜相互作用,导致慢性嗜酸性粒细胞炎症,使嗜酸性(变应性)黏蛋白蓄积和特征性影像学表现,其中黏蛋白是一种包含真菌菌丝的浓稠黏性嗜酸性粒细胞分泌物。引起AFRS的病原体以曲霉、毛霉、白假丝酵母菌最为常见[23]
临床医生对其认识不足,误诊误治的现象时有发生,该病治疗后复发率高,没有特效疗法。25%~30%的AFRS患者合并鼻息肉,主要表现为鼻塞、流脓涕、头痛、面部疼痛,次要表现为复视、视力下降[24]。治疗首选内镜鼻窦手术联合糖皮质激素;抗真菌治疗、免疫治疗及生物治疗可作为难治性AFRS的辅助治疗方案[25]。与单纯ABPA患者相比,ABPA合并AFRS的患者更易合并慢性鼻-鼻窦炎(CRS)和鼻息肉,CRS更为严重且病史更长(>10年)。基于同一气道、同一疾病的理念,真菌抗原既能引起AFRS,也可能引起ABPA,有文献将其定义为鼻支气管过敏性曲霉病综合征(sinobronchial allergic mycosis syndrome,SAM),或联合气道烟曲霉病(united airway aspergillus disease)。建议对有肺部症状的AFRS患者进行CT检查,反之,对有鼻窦症状的ABPA患者进行鼻窦CT检查,伴有ABPA的AFRS患者通常需要外科治疗联合药物治疗以改善症状[25]

综上,真菌在呼吸道存在致病与致敏的二元性,真菌抗原既能引起AFRS,也可能引起ABPA。在临床中应仔细甄别,切莫忽视真菌致敏相关气道疾病。

参考文献

(向下滑动查看全部文献)

[1] Denning DW, Chakrabarti A. Pulmonary and sinus fungal diseases in non-immunocompromised patients[J]. Lancet Infect Dis, 2017, 17(11):e357-e366.

[2] Schuyler M, Cormier Y. The diagnosis of hypersensitivity pneumonitis[J]. Chest, 1997, 111(3):534-536.

[3] Wardlaw AJ, Rick EM, Pur Ozyigit L, et al. New Perspectives in the Diagnosis and Management of Allergic Fungal Airway Disease[J]. J Asthma Allergy, 2021, 14:557-573.

[4] Crameri R, Garbani M, Rhyner C, et al. Fungi: the neglected allergenic sources[J]. Allergy, 2014, 69(2):176-185.

[5] Woolnough K, Fairs A, Pashley CH, et al. Allergic fungal airway disease: pathophysiologic and diagnostic considerations[J]. Curr Opin Pulm Med, 2015, 21(1):39-47.

[6] Kosmidis C, Denning DW. The clinical spectrum of pulmonary aspergillosis[J]. Thorax, 2015, 70(3):270-277.

[7] Agarwal R, Sehgal IS, Muthu V, et al. Revised ISHAM-ABPA working group clinical practice guidelines for diagnosing, classifying and treating allergic bronchopulmonary aspergillosis/mycoses[J]. Eur Respir J, 2024, 63(4):2400061.

[8] Ghosh S, Hoselton SA, Dorsam GP, et al. Eosinophils in fungus-associated allergic pulmonary disease[J]. Front Pharmacol, 2013, 4: 8.

[9] Knutsen AP, Bush RK, Demain JG, et al. Fungi and allergic lower respiratory tract diseases[J]. J Allergy Clin Immunol, 2012, 129(2):280-291; quiz 292-3.

[10] Newson R, Strachan D, Corden J, et al. Fungal and other spore counts as predictors of admissions for asthma in the Trent region[J]. Occup Environ Med, 2000, 57(11):786-792.

[11] O'Driscoll BR, Hopkinson LC, Denning DW. Mold sensitization is common amongst patients with severe asthma requiring multiple hospital admissions[J]. BMC Pulm Med, 2005, 5:4.

[12] Fukutomi Y, Tanimoto H, Yasueda H, et al. Serological diagnosis of allergic bronchopulmonary mycosis: Progress and challenges[J]. Allergol Int, 2016, 65(1):30-36.

[13] Tiwary M, Samarasinghe AE. Initiation and Pathogenesis of Severe Asthma with Fungal Sensitization[J]. Cells, 2021, 10(4):913.

[14] Mirsadraee M, Dehghan S, Ghaffari S, et al. Long-term effect of antifungal therapy for the treatment of severe resistant asthma: an active comparator clinical trial[J]. Curr Med Mycol, 2019, 5(4):1-7.

[15] Parulekar AD, Diamant Z, Hanania NA. Antifungals in severe asthma[J]. Curr Opin Pulm Med, 2015, 21(1):48-54.

[16] Jones TL, Neville DM, Chauhan AJ. Diagnosis and treatment of severe asthma: a phenotype-based approach[J]. Clin Med (Lond), 2018, 18(Suppl 2): s36-s40.

[17] 中华医学会呼吸病学分会哮喘学组. 变应性支气管肺曲霉病诊治专家共识(2022年修订版)[J]. 中华结核和呼吸杂志, 2022, 45(12):1169-1179.

[18] Chowdhary A, Agarwal K, Kathuria S, et al. Allergic bronchopulmonary mycosis due to fungi other than Aspergillus: a global overview[J]. Crit Rev Microbiol, 2014, 40(1):30-48.

[19] Chowdhary A, Rhandhawa HS, Prakash A, et al. Environmental prevalence of Cryptococcus neoformans and Cryptococcus gattii in India: an update[J]. Crit Rev Microbiol, 2012, 38(1):1-16.

[20] Araujo R, Rodrigues AG. Variability of germinative potential among pathogenic species of Aspergillus[J]. J Clin Microbiol, 2004, 42(9):4335-4337.

[21] Imtiaj A, Jayasinghe C, Lee GW, et al. Physicochemical Requirement for the Vegetative Growth of Schizophyllum commune Collected from Different Ecological Origins[J]. Mycobiology, 2008, 36(1):34-39.

[22] Agarwal R. What is the current place of azoles in allergic bronchopulmonary aspergillosis and severe asthma with fungal sensitization[J]. Expert Rev Respir Med, 2012, 6(4):363-371.

[23] 赵兴泉, 钟渠, 顾珊珊, 等. 变应性真菌性鼻-鼻窦炎病原菌分布及炎症因子表达[J]. 中华医院感染学杂志, 2022, 32(8):1176-1179.

[24] 古庆家, 李静娴, 樊建刚, 等. 变应性真菌性鼻窦炎的诊断和治疗[J]. 中国耳鼻咽喉颅底外科杂志, 2020, 26(5):517-521.

[25]Barac A, Ong D, Jovancevic L, et al. Fungi-Induced Upper and Lower Respiratory Tract Allergic Diseases: One Entity[J]. Front Microbiol, 2018, 9:583.

作者简介


图片
林勇
  • 东南大学医学院南京胸科医院
  • 主任医师、教授
  • 专业方向:呼吸危重症、肺部感染、呼吸系统疑难疾病诊治
  • 中国医师协会呼吸医师分会危重症专业委员会委员
  • 中华老年医学学会呼吸病学分会呼吸重症学组委员
  • 江苏省医学会呼吸病学分会副主任委员(第7~10届)
  • 江苏省医学会呼吸病学分会呼吸危重症学组组长
  • 江苏医师协会呼吸医师分会呼吸危重症学组组长
  • 《中国呼吸与危重监护杂志》编委,Thorax杂志中文版编委


图片

徐婷
  • 副主任医师,医学硕士
  • 现任南京市胸科医院呼吸二科教学秘书

  • 江苏省医学会呼吸分会感染学组成员

  • 南京市“五一创新能手”

  • 江苏省南京市“十三五”卫生青年人才

  • 中国防痨协会MDT分会委员

  • 南京市健康教育岗位能手

  • 南京地区住培优秀指导医师



全部评论 0
Copyright©2020-2026 北京医麦斯科技有限公司 版权所有 京ICP备2020034400号-1 京公网安备11010502043983号