作者:潘宾海(南京大学医学院附属金陵医院呼吸与危重症医学科)指导老师:秦浩(海军军医大学第一附属医院呼吸与危重症医学科)
【摘要】前期内容我们探讨了重症超声对于心脏功能的评价,循环系统除开心脏,心脏直连的大血管、外周脏器的灌注(尤其是肾脏、肺的灌注)、心肺交互也需要我们关注。本文将从大血管、血流动力学和循环、血管外肺水和心肺交互等的超声评估来展开讨论,从而让我们更好地应用重症超声这个手段来对重症患者进行评估和治疗。
针对心脏的最核心的大血管超声评估(经胸心脏超声)而言,涉及主动脉、肺动脉、下腔静脉(IVC)和上腔静脉、肺静脉的评估。
我们在胸骨旁长轴切面或胸骨上窝切面评估主动脉。在胸骨旁长轴切面的示意如图1所示,在胸骨上窝切面如图2所示。


图2 胸骨上窝切面主动脉示意图
针对肺动脉,我们选择胸骨旁短轴肺动脉切面进行观察和评估,如图3所示。
图3 胸骨旁短轴肺动脉切面示意图
IVC我们选择在剑突下四腔心切面获得,如图4所示。
图4 剑突下四腔心下腔静脉切面
上腔静脉一般需要经食道心脏超声来做详细的观察,本文仅涉及经胸心脏超声的内容,故予以省略。此外,我们很少直接在心脏超声上观察肺静脉,更多是通过血流的频谱分析来间接判断其功能。以上为超声对心脏核心大血管的评估、观察切面和合适的角度。对于这些血管,除开直视下观查到的明显异常外,详细的评估需要我们将其连接的瓣膜功能和心脏本身功能结合起来,进行综合性分析。2.1 重症超声对体循环前负荷的评价(静态指标和动态指标)
循环系统的构建需要有一定的容量基础,称为前负荷;有泵血能力的心脏,是形成循环系统的原动力;外周血管的阻力,维持脏器灌的压力,此处被称为后负荷。临床中,我们常规通过中心静脉压(CVP)、舒张末期全心四腔容积指数(GEDI)、肺动脉楔压(PAWP)等静态指标来精准评估患者的前负荷情况,通过脉压变异率(PPV)、每搏量变异率(SVV)等动态指标来评估患者可能对容量的反应性。在重症超声中,我们通过监测以下指标来评价患者体循环前负荷的状态。(1)IVC的直径:在剑突下四腔心切面,移、转、摇探头,找到IVC到右心房入口的位置,测量IVC距右心房2 cm处的宽度,将该处直径作为IVC的宽度。测量示意图如图5所示。
图5 下腔静脉的测量
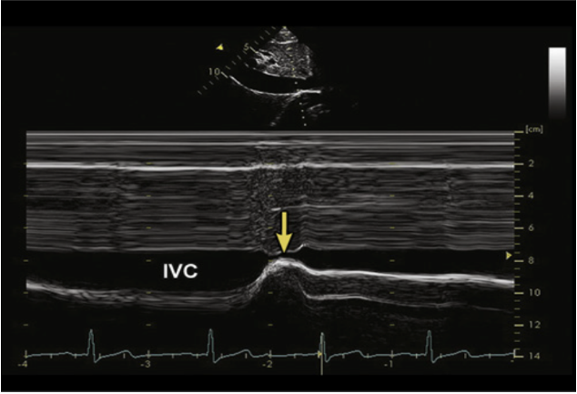
排除高水平PEEP、腹腔高压、慢性右心功能不全、三尖瓣重度关闭不全、急性右心室梗死导致的宽大的IVC宽度的情况,如果IVC<1 cm,基本可以预测有容量反应性;如果IVC>2 cm,基本排除了容量反应性。(2)下腔静脉变异度(dIVC):在机械通气患者中,下腔静脉的直径在吸气时明显扩张(iIVC),在呼气时明显缩短(eIVC),我们定义下腔静脉在吸气时和呼气时的变化为下腔静脉的变异度dIVC,计算公式为:dIVC=(iIVC-eIVC)/eIVC×100%。可以使用M型超声测量IVC的宽度变化来获得该数据。相关测量示意图如图6所示。研究发现,对于机械通气患者,在相对较高的潮气量和相对较低的PEEP下,通过dIVC>18%来预测容量反应性和前负荷的储备情况是非常准确的。
(3)下腔静脉塌陷度(cIVC):对自主呼吸患者而言,我们更多会采用IVC在患者主动呼吸时发生塌陷的程度(cIVC)来评价容量反应性,相关计算公式为:cIVC=(eIVC-iIVC)/eIVC×100%,eIVC代表下腔静脉呼气末直径,iIVC代表下腔静脉吸气末直径。一般来说,参考的cIVC>40%代表有容量反应性。根据美国超声心动图指南推荐,dIVC<2.1 cm伴用力吸气cIVC>50%时,考虑CVP为0~5 mmHg;dIVC>2.1 cm伴用力吸气cIVC<50%时,CVP相当于10~20 mmHg;当dIVC和cIVC不符合前面情况时,可以考虑CVP为5~10 mmHg。(4)颈内静脉(LJV)变异率:患者仰卧位床头抬高至30°,在颈内静脉短轴切面,使用高频线阵探头观察颈内静脉,然后旋转探头至长轴切面,通过观察颈静脉呼吸周期中的塌陷来评估。在机械通气患者,LJV扩张超过18%,或者LJV扩张超过7%合并PPV超过12%,可以定义为有容量反应性。(5)左室流出道速度-时间积分(VTI)或心排量(CO):在心尖五腔心切面,对主动脉-左室流出道采用PW模式,描记患者的血流频谱,可以获得每次搏动下速度-时间的积分(VTI)(图7),每搏量(SV)=VTI×π×(左室流出道直径/2)2,心排量CO=SV×HR。在进行被动抬腿试验(PLR)的患者中,若PLR前后,VTI或SV或CO增加比例超过12%,患者排除使用弹力袜、严重低血容量、腹肌紧张、腹腔高压后,则证明患者存在容量反应性。
还有一些其他的静态指标,包括左心室和右心室舒张期直径、面积、容积,除非患者前负荷处于一个明显的低水平,否则,对于液体反应性的预测,通过动态指标(cIVC,dIVC,LJV变异率,LV-VTI变异率,CO变异率)来评估患者的容量反应性是更好的选择。2.2 重症超声对体循环心脏收缩功能的评价(整体和局部)
左心室作为体循环里面的引擎,其在血流动力学中的收缩功能评价包括整体收缩功能的评价和局部收缩功能的评价。对于整体收缩功能,本专题上篇文章已经做了详细的阐述,不同版本的指南参考值略有区别,现将相关指标列举如下:左室短轴缩短分数(FS):24%~36%;
面积缩短率(LV-FAC)38%~60%;
左室射血分数(LV-EF):>60%;
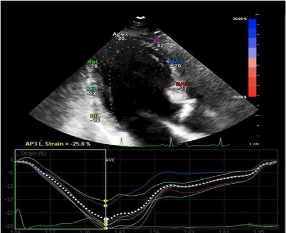
LV dp/dt:800~1200 mmHg/s。除外整体的收缩力的评价,我们也可以通过目测对左室单一节段的心肌收缩力进行分析。若出现明显的局部异常运动,我们可以选择一维的组织多普勒技术(TDI)对特定节段的运动采集数据进行分析(相关内容前次文章已经阐述)。若设备条件支持,我们可以选择二维层面的斑点追踪技术(STI)对局部心肌的运动做分析,可以获得目标节段的定量应变数值和应力数值,描记出心肌的应变-时间曲线,从而对心脏的局部运动做更详细的分析。相关示意图如图8所示。
图8 左心室分节段心肌运动斑点追踪示意图
一般而言,我们会分别采集各个节段的应变结果,汇总形成牛眼图(图9),得出全局的应变值。不同的设备获取的数据会有所差别,详细的临界数值还需要结合设备进行详细解读。
图9 左心室分节段心肌运动斑点追踪二维成像应变测量汇总示意图(牛眼图)
2.3 体循环后负荷的评价
后负荷主要由体循环血管的阻力决定,包括动脉血管的阻力和周围血管的顺应性。临床上习惯将体循环阻力指数作为患者后负荷的评价指标,根据相关血流动力学计算公式,得出体循环后负荷的计算公式如下:SVRI=80×(MAP-CVP)×BAS/CO
其中,SVRI为体循环阻力指数,MAP为平均动脉压,CVP为中心静脉压,BAS为体表面积,CO为测量的心排量。相关究推荐的SVRI参考值为1700~2400 dyn•s/(cm5•m2)。鉴于此公式相对较复杂,且应用受到很多测量数据的影响,临床上我们会更多地根据心超的检查结果进行除外诊断。如在心脏负荷足够同时左右心收缩功能均满意的情况下仍存在低血压时,则提示外周血管阻力降低。2.4 重症超声对肺循环的评估
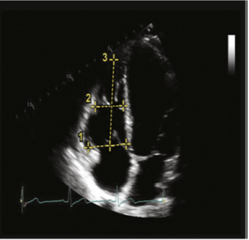
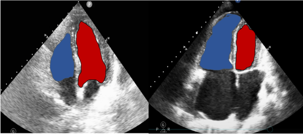
对肺循环而言,我们评价的思维和体循环一致。作为一个低容量低阻力系统,肺循环需要我们关注的点和体循环不同。在非超声评价手段中,我们常规选择PAWP或GEDI作为体循环前负荷的指标,而CVP作为或舒张期右室容积作为肺循环前负荷的指标;左室和右室的射血分数常规作为体循环和肺循环收缩力的评价指标;体循环阻力指数和肺循环阻力指数作为体循环和肺循环后负荷的评价指标。以下将详细阐述重症超声如何评价肺循环系统。首先仍为前负荷的评价。右心室作为唯一一个可以急性扩张的心脏腔室,临床上较难直接测量相关的容积和压力参数作为评价肺循环的前负荷直接指标,更多通过间接征象来评价。选择舒张末右心室的大小测量可作为一个指标。另外,更推荐在舒张末期,心尖四腔心切面,测量右心室面积和左心室面积的比值,若该比值在0.6以内,则表明右心无明显扩张;若该比值在0.7~0.9之间,为中度扩张;若大于1,则代表右心的重度扩张。相关测量示意图如图10所示。舒张末LV与RV面积对比测量示意图如图11所示。

图11 舒张末LV与RV面积对比测量示意图(左边比值正常,右边比值异常)
对肺循环而言,其泵血的动力来源少部分为体循环左心室的收缩,而右心室收缩做的功则占绝大部分,故对于肺循环收缩力的评价,我们更多是直接评价右心室的收缩能力(前次文章已经做了相关论述),我们的结论是:三尖瓣瓣环收缩期运动(TAPSE):理论应该大于1.5 cm;RV-TDI下游离壁Sm值理论应该大于10 cm/s;RV dp/dt理论应该大于400 mmHg/s。若测得的相关指标低于上述的理论值,则代表右心室收缩功能的降低,肺循环收缩力的下降。除外整体收缩力的评价,重症超声对肺循环的收缩力评价还可以看右室局部收缩力的大小是否均一,类似右心室的二维层面的斑点追踪技术(STI)来评估右心室局部收缩力的改变,也具有重要的临床意义。肺循环为低压系统,其压力的变化更多来自肺循环阻力的继发改变。对肺循环阻力的评价,除了直接计算肺循环阻力指数外[公式:肺血管阻力(PVR)=三尖瓣反流峰值流速(TRV)/右室流出道速度-时间积分比值(VTI)×10+0.16,参考值为100~250 Wood·m2](图12),我们也可以通过其他一些征象和指标来判断肺循环阻力的改变,这些征象包括心尖四腔心观察到的室间隔矛盾运动,在舒张期室间隔位于受压左移的状态,在收缩期,室间隔又回到右移的状态;在胸骨旁短轴切面,见到半月形的右室开始变得接近圆形,室间隔严重左移使室间隔收缩期呈现“D”字征(图13);心尖四腔心切面测量的三尖瓣反流速度超过3.4 m/s或三尖瓣反流速度在2.9~3.4 m/s之间伴右心肥厚或右室扩张征象。
图12 肺血管阻力的计算参考示意图

对于血流动力学和循环的评价,我们绕不开的话题之一就是心肺交互作用。关于心肺相互作用的关系,我们整理了图14供参考。
图14 心肺交互关系图那么,我们怎么通过超声指标来评价患者心肺交互的指标呢?通过超声测量主动脉峰流速变异率、颈总动脉峰流速变异率等是基于心肺交互作用的原理。当患者机械通气时,吸气末左心室输出量增大,呼气末左心室输出量减少,相当于基于心肺交互给左心室产生自补液的效果。除外主动脉峰流速的变异率,所有上述提到的评价容量负荷的动态指标的核心原理都是基于心肺交互作用。在心尖五腔心切面获取主动脉血流频谱,并获得一个周期内的主动脉峰流速Vmax-Ao的最大值与最小值(图15)。机械通气时为吸气末最大值减去呼气末最小值,自主呼吸时为呼气末最大值减去吸气末最小值,除以二者的平均值,再乘以100%,即为峰流速Vmax-Ao的变异率。其参考值为12%。
图15 主动脉峰流速变异率测量
需要强调的是,患者处于心肺交互的对容量反应性有响应的阶段,仅代表患者对容量的耐受性良好,受到心功能本身的影响非常大,即图16的Frank-Starling曲线的前段,并不代表一定要补液,更多需要我们根据患者的情况进行个体化干预。
此外,超声评估容量反应性时,也可以使用肺部超声对患者肺水的情况进行评价。可以采用前文提到的肺部超声总评分(LUS)对肺水的量进行评分,结合容量评价的动态指标和静态指标,对患者的液体管理给出参考意见(图17)。
图17 液体管理优化流程
超声对血流动力学的整体评价,现阶段推荐的还是以CCUE方案为核心的FREE流程,前文已经分享了血流动力学的六步法,现将超声的FREE方案呈现如下(图18),供参考。
图18 FREE流程为核心的血流动力学评价超声系统
超声作为ICU床边常用的手段之一,随着研究的不断深入,其临床上应用层面已经从单纯的脏器评估的层面,升级为系统层面的支持、指导和治疗方向的把控。“重症超声”专题的3篇文章分别从重症超声和机械通气的参数设置精准化、重症超声和心脏功能的评价、超声和循环功能的评价与心肺交互三个层面,对重症超声在ICU中的应用予以阐述。希望我们能将这一技术更多、更好地用于临床,为临床诊疗行提供有效帮助。
参考文献
[1] Rudski L G, Lai W W, Afilalo J, et al. Guidelines for the Echocardiographic Assessment of the Right Heart in Adults: A Report from the American Society of Echocardiography Endorsed by the European Association of Echocardiography, a registered branch of the European Society of Cardiology, and the Canadian Society of Echocardiography[J]. J Am Soc Echocardiogr, 2010, 23(7):685-713; quiz 786-8.
[2] Mitchell C, Rahko P S, Blauwet L A, et al. Guidelines for Performing a Comprehensive Transthoracic Echocardiographic Examination in Adults: Recommendations from the American Society of Echocardiography. Journal of the American Society of Echocardiography[J]. J Am Soc Echocardiogr, 2019, 32(1):1-64.
[3] Hunt J, Anas N. Monitoring Cardiopulmonary Interactions: Where Are We Going?[J]. Pediatr Crit Care Med, 2014, 15(1):84-85.
[4] Kasprzak J D, Huttin O, Wierzbowska-Drabik K, et al. Imaging the Right Heart-Pulmonary Circulation Unit: The Role of Ultrasound[J]. Heart Fail Clin, 2018, 14(3):361-376.
[5] Reant P, Metras A, Detaille D, et al. Impact of Afterload Increase on Left Ventricular Myocardial Deformation Indices[J]. J Am Soc Echocardiogr, 2016, 29(12):1217-1228.
[6] De Backer D, Aissaoui N, Cecconi M, et al. How can assessing hemodynamics help to assess volume status?[J]. Intensive Care Med, 2022, 48(10):1482-1494.
[7] 尹万红, 王小亭, 刘大为, 等. 重症超声临床应用技术规范[J]. 中华内科杂志, 2018, 57(6):397-417.