登录方式

方式一:
PC端网页:www.rccrc.cn
输入账号密码登录,可将此网址收藏并保存密码方便下次登录

方式二:
手机端网页:www.rccrc.cn
输入账号密码登录,可将此网址添加至手机桌面并保存密码方便下次登录

方式三:
【重症肺言】微信公众号
输入账号密码登录

注:账号具有唯一性,即同一个账号不能在两个地方同时登录。

登录
方式

为重症救治赋能

为患者康复加速

当前位置:首页 重症肺炎 真菌肺炎

免疫正常宿主耶氏肺孢子菌感染

翟天姝 中日友好医院呼吸与危重症医学科 发布于2023-06-28 浏览 6131 收藏

作者翟天姝

单位中日友好医院呼吸与危重症医学科


01

临床资料

基本信息
患者男性,62岁,退休职工,身高175 cm,体重75 kg,BMI 24.49 kg/m2
主诉
活动后呼吸困难伴心悸1个月,发热5天。
现病史
入ICU前1个月(2020年12月),无明显诱因出现活动后呼吸困难,爬三层楼梯即出现,伴心悸,血压无变化,无发热、咳嗽、咳痰、胸闷、胸痛、晕厥,无夜间阵发性呼吸困难,症状无明显变化,患者未重视,未就诊。
入院前5天(2021年1月19日),患者间断发热,Tmax 40℃,伴畏寒、寒战,无咳嗽、咳痰,伴静息状态下呼吸困难,日常活动受限。自服“安乃近”后体温可降至正常,但呼吸困难无缓解。
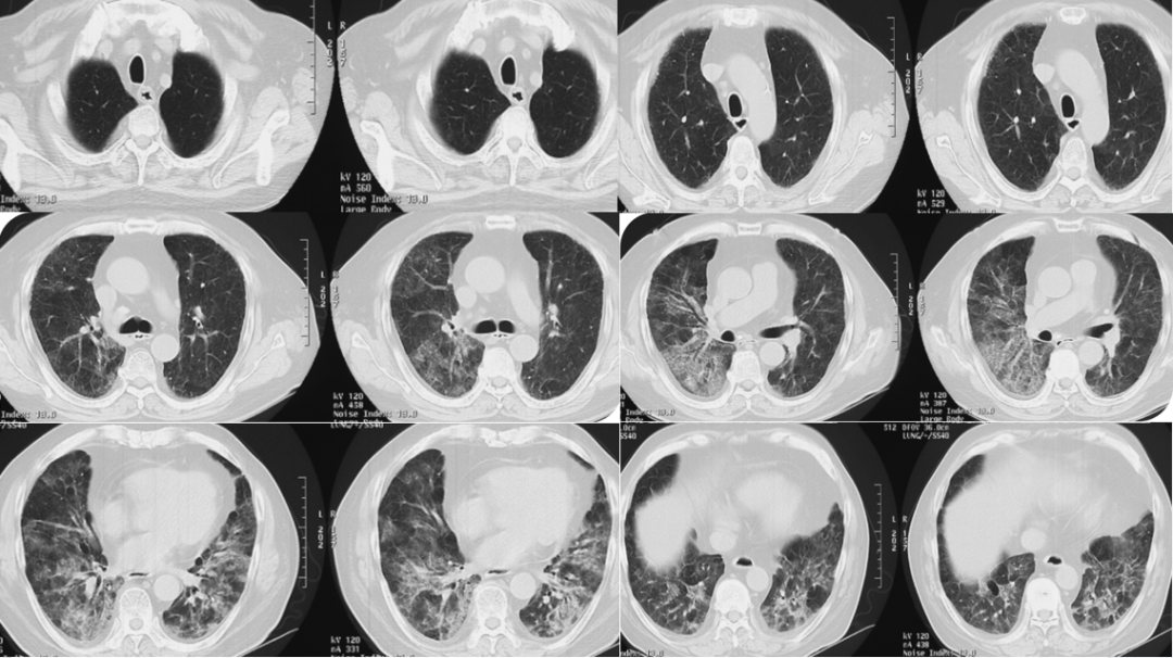
入院前2天(2021年1月22日)就诊于北京市普仁医院急诊科。血常规:WBC 9.1×109/L,NEU% 78.6%;凝血:D二聚体739 ng/ml(正常范围0~243 ng/ml),BNP 87 pg/ml(正常范围0~100 pg/ml)。胸部CT:双肺多发小叶间隔和小叶内间隔增厚,周围可见磨玻璃及网格影、结节、索条及少许实变,双肺呈“马赛克”样改变(图1)。予左氧氟沙星0.6 g qd、哌拉西林舒巴坦钠5g bid抗感染及赖氨匹林退热,并予吸氧(条件不详),患者症状无缓解。
图片
图1  患者胸部CT(2021-01-22,外院)
入院前1天(2021年1月23日)就诊于北京安贞医院发热门诊。血常规:WBC 12.1×109/L,NEU% 78.3%;动脉血气:(吸氧不详)pH 7.52,PaCO2 21.2 mmHg,PaO51.4 mmHg,SaO2 86.9%。胸部CT:双肺弥漫磨玻璃渗出伴小叶间隔增厚,病变进展(图2)。予赖氨匹林退热、多索茶碱平喘、美罗培南抗感染等治疗,患者呼吸困难、发热等症状未缓解。
图片
图2  患者胸部CT(2021-01-23,外院)

入院当日(2021年1月24日)就诊于我院急诊,测体温39.1℃。血气:(FiO2 0.33)氧合指数212 mmHg,Lac 0.9 mmol/L。予头孢哌酮舒巴坦3 g q8h、奥司他韦75 mg q12h治疗。呼吸困难及发热不缓解,遂转入我科。

否认口眼干、皮疹、肌痛、肌无力、光过敏、关节痛、晨僵、口腔溃疡等,否认服用中药或保健品;未养宠物。精神、睡眠、食欲均较差,大便干燥,1次/天;近1年夜尿增多,4~5次/夜,体重在1年内下降10 kg。

既往史

19个月前(2019年6月)于安贞医院诊断为“肺栓塞(中高危组)”,并发现肝脏右叶外侧占位(超声提示大小约5.2 cm×3.5 cm;增强CT考虑间叶组织来源可能,恶性不除外,但由于患者没有任何症状,后续并未进一步排查)。CTPA示多发肺栓塞、右心房室增大,肺动脉高压?下肢静脉超声示右小腿肌间静脉血栓形成。心脏超声示右心增大,三尖瓣反流(轻度),肺动脉高压(轻度)。肺栓塞查因:肿瘤标志物阴性;风湿免疫相关标志物阴性。予抗凝约1年后遵医嘱停药。高血压1级中危,规律口服硝苯地平缓释片10 mg qd、酒石酸美托洛尔25 mg qd,自测血压138~140/70~80 mmHg。10余年前于当地医院诊断为“冠心病”,未行冠脉CTA或冠脉造影。30年前行“阑尾切除术”,45年前因摔伤脾破裂后行“脾切除术”。

个人及婚育史

既往从事外贸工作,无明确职业接触史,目前已退休。吸烟10余年,每日20支,已戒烟30年。26岁结婚,育有1子,配偶及儿子体健。

家族史

父母已故,既往病史不详;有1哥1妹,均体健,否认家族血栓性疾病病史或其他遗传病史。

体格检查(1月24日入ICU)

T 37.3℃,P 125次/min,R 30次/min,BP 145/75 mmHg;SpO2 95%(FiO2 0.33);双下肺可闻及细湿啰音;心律齐,各瓣膜听诊区未及病理性杂音;腹软,无压痛、反跳痛,肝脾肋下未及,肠鸣音4次/min;双下肢轻度凹陷性水肿。

辅助检查

血常规:WBC 15.18×109/L,NEU 12.75×109/L,LYM 1.37×109/L,Hb 132 g/L,PLT 192×109/L。

生化:ALT 89 U/L,AST 47 U/L,TBIL 40.6 μmol/L,DBIL 8.95 μmol/L,GGT 178 IU/L,BUN 5.9 mmol/L,Cr 66 μmol/L。

G试验/GM试验均阴性。

SOFA评分5分;APECHEⅡ评分6分。

呼吸支持:HFNC,FiO2 0.4,PaO2 77.3 mmHg,PaCO2 35.8 mmHg,PaO2/FiO2 188 mmHg。

免疫指标

抗核抗体谱、血管炎抗体谱、类风关抗体谱、肌炎抗体谱均阴性。

KL-6 645 U/ml(↑)(正常<500 U/ml)。

IL-6 6.18 pg/ml。

CD3+CD4+ 159 cells/μl(↓)。

肿瘤相关检查

CA724 42.7 U/ml(↑),CEA 5.82 ng/ml(↑),CYFRA 21-1 12.3 ng/ml(↑),余肿瘤标志物正常。

CT:肝右叶占位直径约5.1 cm(与2019年相比无明显变化),故考虑恶性可能性小。

心脏评估

心电图:窦性心动过速。

心梗四项:NT-proBNP 287 pg/ml(正常值<125 pg/ml)。

心脏超声未发现心脏结构及功能异常。

支气管镜

镜下可见双肺各叶段管腔通畅,黏膜光滑,未见明显充血、水肿,未见狭窄,未见明显溃疡、糜烂及新生物(图3)。于右肺下叶前基底段注入生理盐水60 ml,回收淡黄色浑浊液体,量约30 ml。

BALF分类计数:淋巴细胞占比20%,中性粒细胞占比70%。

图片
图3  患者支气管镜检查
病原学检查

细菌/真菌培养:念珠菌属计数4×103cfu/ml。

细菌/真菌涂片、抗酸染色、弱抗酸染色、Gene-Xpert、甲/乙流、RSV、副流感、腺病毒、支原体/衣原体、鼻病毒、偏肺病毒、博卡病毒、EB、CMV、PCP均阴性。

mNGS(1月28日):DNA回报白念珠菌(序列数1059),耶氏肺孢子菌(序列数5),人类疱疹病毒1型(HSV1)(序列数173),人类疱疹病毒4型(EBV)(序列数8)。RNA回报耶氏肺孢子菌(序列数23),白念珠菌(序列数3)。

初步诊断

  • Ⅰ型呼吸衰竭原因待查:耶氏肺孢子菌肺炎?间质性肺炎?

  • 下肢深静脉血栓形成;

  • 肝占位性病变?

  • 高血压1级(中危);

  • 冠状动脉粥样硬化性心脏病;

  • 低蛋白血症。

临床特点总结(图4)
图片

图4  患者临床特点

02

诊疗思路及诊治经过

鉴别诊断思路
结合患者临床表现及各项检查结果,主要从感染性疾病和非感染性疾病两方面考虑(图5)感染性疾病中,主要考虑PCP、CMV、HSV、RSV、甲型/乙型流感,目前的病原学结果支持PCP。非感染性疾病中,可以从间质性肺疾病、肿瘤性疾病、急性肺泡疾病着手。
(1)在间质性肺疾病中,主要考虑以下:①过敏性肺炎(HP),支持诊断的条件包括患者胸部CT磨玻璃影、马赛克征、BALF中淋巴细胞分类偏高,而不符合之处在于患者并非以双上肺磨玻璃影为主,而且没有明确的接触史,淋巴细胞分类不足以达到诊断标准。②肺泡蛋白沉积症(PAP):由于BALF性质及病变弥漫部位相关性不大,因此可能性不大。其他如非特异性间质性肺炎(NSIP)、隐源性机化性肺炎(COP)、呼吸性细支气管炎伴间质性肺疾病(RB-ILD)、淋巴细胞性间质性肺炎(LIP)、结节病等无相关证据,故不予考虑。
(2)肿瘤性疾病:考虑是否存在肝占位引起的肺部病变,但目前没有明确证据,淋巴瘤亦无相关诊断依据。
(3)急性肺泡疾病:根据目前的检查结果,尚无有关ARDS、心源性肺水肿、弥漫性肺泡出血的诊断依据。
图片
图5  鉴别诊断思路
治疗方案
结合病原学结果及上述诊断思路,予以哌拉西林他唑巴坦+更昔洛韦+奥司他韦+复方磺胺甲噁唑(初始为1片qd,28日上午NGS报告PCP,改为3片q6h)抗感染治疗。用药后患者体温进行性下降,尽管WBC仍轻度升高,但PCT有好转趋势。
图片
图6  患者用药及感染指标变化情况
诊断方面的疑惑
尽管经过上述治疗,患者病情逐渐好转,但是否为PCP/PJP的诊断仍然存在疑问。支持PCP/PJP诊断的条件包括:发热及呼吸困难;弥漫性磨玻璃影;BALF NGS检出耶氏肺孢子菌序列;磺胺治疗后患者体温下降。但也存在不支持PCP/PJP诊断的依据,例如:患者不是明确的免疫抑制宿主;足量磺胺治疗后影像学及呼吸困难均进展;血清G试验阴性;本院PCP核酸阴性。我们的疑惑在于:该患者免疫相对正常,NGS检出耶氏肺孢子菌的序列数为23,能否诊断PCP/PJP?(图7)
图片

图7  有关PCP/PJP诊断的困惑
文献复习
查阅文献发现既往也有非免疫抑制患者耶氏肺孢子菌感染的报道。
病例1,51岁男性患者,髋关节手术术前评估肺部有结节,无呼吸系统疾病病史、无糖皮质激素及免疫抑制剂使用史。既往吸烟、抑郁症、周围血管疾病、丙型肝炎病史。CD4+ 1510 cells/μl。经支气管镜活检术(TBB)及CT引导下穿刺病理检查未明确病变性质,行右肺楔切,Giemsa染色考虑PJP。BALF提示PJP,予以磺胺治疗3周。1个月后复查CT恢复正常[1]
病例2,37岁男性患者,干咳2周,否认吸烟饮酒史,常规病原学阴性,胸部CT可见双肺斑片磨玻璃影,血G试验104.3 pg/ml(↑)(<6.0 pg/ml)。加用磺胺治疗后最终仍因病情危重而去世。尸检报告:肺泡腔内充满大量由肺孢子虫囊状物和细胞碎片组成的泡沫无定形物质,并伴有透明膜的炎症反应。入院BALF及TBLB六胺银染色提示耶氏肺孢子菌[2]
病例3,56岁男性患者,咳嗽1个月,呼吸困难咯血1周。高血压,2型糖尿病。35年前感染结核样型麻风。入院Ⅰ型呼吸衰竭,CD4+296 cells/MCL。痰六胺银染色阳性。磺胺治疗后症状稳定,半月后复查胸部X线片好转,1个月后查CD4+ 984 cells/MCL[3]
病例4,63岁男性患者,气短、咳嗽、咳白痰、胸痛1周。既往患慢阻肺、抑郁、骨关节炎、急性酒精性肝硬化。胸部CT可见细网格及斑片影。痰PJP核酸阳性,CT值11.2;BALF PJP核酸阳性,CT值28;治疗后症状好转[4]
上述为非免疫抑制宿主感染PJP的情况。对于非免疫抑制宿主,是否存在PCP/PJP定植?在多篇文献中也有对PJP定植的定义,总结为检出PJP,但没有任何症状和体征,其发生率为15.5%~58.8%[5],在一些尸检报告中可能更高[6]
德国科隆2012年10月至2014年4月检测了533例患者的BALF,qPCR方法测出129例PJP阳性,其他病原均阴性。其中30例患者未接受免疫抑制治疗,HIV抗体滴度正常,且未患获得性、遗传性或自身免疫性疾病。均无PCP的临床或放射征象,但均有反复气道感染和慢性咳嗽。应用磺胺治疗后症状好转[7]
疗效及预后
本例患者使用磺胺类药物治疗后,体温、PCT均有下降,淋巴细胞缓慢上升,后续出现院内感染,其WBC及PCT再次升高(图8)。拟行病理检查,以进一步明确诊断。遗憾的是,由于多种原因,患者最终未能成功获救。
图片
图8  患者治疗后感染指标变化情况

修正诊断

  • Ⅰ型呼吸衰竭:耶氏肺孢子菌肺炎,间质性肺炎;
  • 下肢深静脉血栓形成;
  • 肝占位性病变?
  • 高血压1级(中危);
  • 冠状动脉粥样硬化性心脏病;
  • 低蛋白血症。

参考文献

(向下滑动查看全部文献)

[1] Harris K, Maroun R, Chalhoub M, et al. Unusual presentation of pneumocystis pneumonia in an immunocompetent patient diagnosed by open lung biopsy[J]. Heart Lung & Circulation, 2010, 19(4):221-224.

[2] Ide H, Yamaji Y, Tobino K, et al. Pneumocystis jirovecii Pneumonia in an Immunocompetent Japanese Man: A Case Report and Literature Review[J]. Case Rep Pulmonol, 2019, 2019:3981681. 

[3] Vilanilam G K, Koshy J M, John M, et al. Pneumocystis jirovecii pneumonia in an immunocompetent host[J]. Annals of Tropical Medicine and Public Health, 2015, 8(4):122-124.

[4] Hadfield N J. Fatal Pneumocystis jirovecii pneumonia in a non-immunocompromised patient with alcohol-related liver cirrhosis[J]. Scottish Medical Journal, 2019, 64(4):148-153.

[5] Morris A, Wei K, Afshar K, et al. Epidemiology and clinical significance of pneumocystis colonization[J]. J Infect Dis, 2008, 197(1):10-17. 

[6] Vargas S L. Importance of tissue sampling, laboratory methods, and patient characteristics for detection of Pneumocystis in autopsied lungs of non-immunosuppressed individuals[J]. Eur J Clin Microbiol Infect Dis, 2017, 36(10):1711-1716.

[7] Prickartz A, Lüsebrink J, Khalfaoui S, et al. Low Titer Pneumocystis jirovecii Infections: More than Just Colonization?[J]. J Fungi (Basel), 2016, 2(2):16.

作者简介



图片

翟天姝
  • 中日友好医院呼吸与危重症医学科 主治医师

  • 毕业于北京协和医学院临床医学八年制

  • 发表SCI文章及中文核心期刊论文多篇

  • 作为课题负责人主持院级课题一项

  • 主要研究方向:重症肺炎


声明:

本文仅用于学术内容的探讨和交流,不用于任何商业和推广,亦不作为最终的临床决策。临床实践需根据患者的具体情况选择适宜的处理措施。


全部评论 0
Copyright©2020-2026 北京医麦斯科技有限公司 版权所有 京ICP备2020034400号-1 京公网安备11010502043983号