登录方式

方式一:
PC端网页:www.rccrc.cn
输入账号密码登录,可将此网址收藏并保存密码方便下次登录

方式二:
手机端网页:www.rccrc.cn
输入账号密码登录,可将此网址添加至手机桌面并保存密码方便下次登录

方式三:
【重症肺言】微信公众号
输入账号密码登录

注:账号具有唯一性,即同一个账号不能在两个地方同时登录。

登录
方式

为重症救治赋能

为患者康复加速

当前位置:首页 重症肺炎 真菌肺炎

赵振军教授:透过影像去伪存真洞见少见真菌

赵振军 广东省人民医院 发布于2022-09-09 浏览 2491 收藏

作者:赵振军

单位:广东省人民医院

从病理角度来看,毛霉与曲霉的生物学特征非常相似,需经培养进行区分。从影像学角度来看,毛霉和曲霉存在一定的共性,二者都容易侵犯血管,即嗜血管生长,可导致血管及组织坏死,血管破坏后在其周围产生晕征。本文将主要介绍毛霉与曲霉的共性和特性。


图片
一、病例分析

2014年我院收治了一例最终证实为曲霉感染的患者,但整个发展过程中,非常像细菌感染。G试验、GM试验及纤支镜均无任何真菌依据,所以该患者始终未进行抗真菌治疗,仅采取了抗细菌治疗。

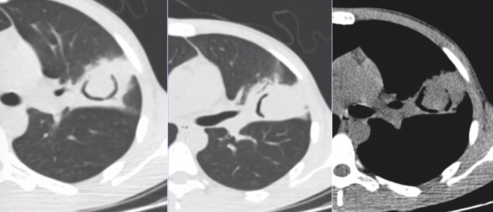
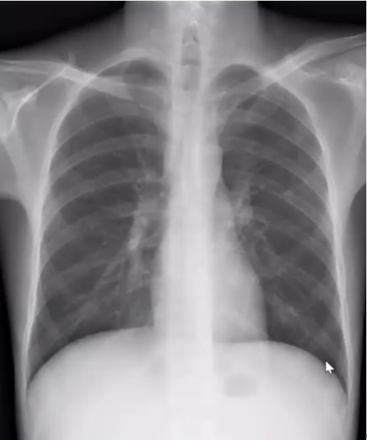
患者,男性,23岁。主诉:面色苍白5月余,乏力3月余,咳血丝痰2天,于2014年7月8日收住入院。患者于5月前无明显诱因出现面色苍白,无头晕、头痛、乏力、发热、咳嗽、咳痰等症状,无咽痛、腹痛、腹泻,面色苍白逐渐加重。查血常规示白细胞115.73×109/L,血红蛋白37 g/L,血小板59×109/L。腹部B超示肝脾大,骨髓穿刺结果示急性单核细胞白血病。患者于2天前无明显诱因出现发热,体温最高38.8℃,自行服退热药可降至正常。为求进一步诊治就诊于本院。确诊后予化疗,过程中出现咳嗽,发热。胸部X线片未见异常(图1)。患者入院第2天,胸部CT发现左上肺斑片状渗出性病变(图2)。提示感染性病变可能,临床采取抗感染治疗。

图片
图1  患者胸部X线片(2014-07-09)

图片
图2  患者胸部CT(2014-07-10)

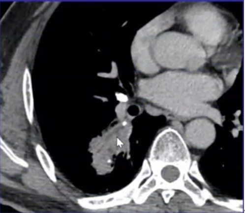
抗感染治疗后病变仍持续进展,斑片状渗出灶范围扩大,并出现实变影,纵隔窗可见密度不均匀,其中分布点状低密度灶(图3)


图片
图3  患者胸部CT(2014-07-26)


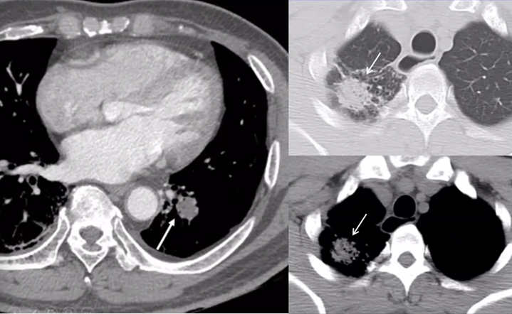
即使采取了广泛覆盖革兰氏阴性菌和阳性菌的多药联合的抗感染治疗策略,病变仍然不断进展,周围晕征不断扩大,实变成分增加,内见低密度影(图4)


图片
图片
图4  患者胸部CT(2014-07-31)

该患者影像学在21天内快速进展,且抗感染治疗无效。临床应如何鉴别是细菌感染还是真菌感染?如为真菌感染,究竟是曲霉还是毛霉?

8月12日复查胸部CT可见病变局限,出现典型的征象—空气新月征(图5),通过这一征象可以判断该患者可能是曲霉感染。

图片

图5  空气新月征


后行CT引导下穿刺肺活检,送检肺组织及坏死物,镜下可见坏死物中大量真菌孢子及菌丝,病理诊断为真菌感染,特殊染色证实为曲霉感染(图6)

图片
图6  病理结果

患者经过抗曲霉菌治疗后,肺部病变逐步缩小为薄壁空洞,病灶基本吸收(图7)


图片
图7  治疗后胸部CT(2014-10-08)

图片
二、侵袭性曲霉菌病影像学主要诊断依据

临床上肺部曲霉感染较为常见,而肺部曲霉与毛霉感染存在一定的共性。


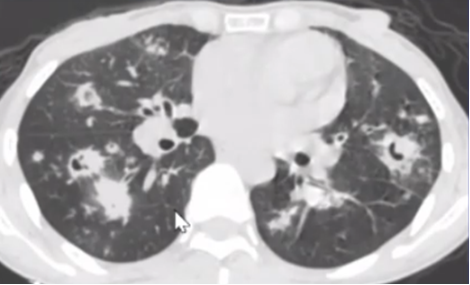
(1)两肺多发,以上、中肺野较为常见(图8)。上、中肺野相对比较潮湿、密闭,残气或死腔较少,适合曲霉和毛霉生长。

图片
图8  曲霉感染,两肺多发

(2)曲霉容易侵犯血管,并在血管周围产生“晕征”(图9)

图片
图9  晕征
(3)坏死小气泡、空气新月征(图10)

图片

图10  空气新月征


(4)钙化。病灶因缺血而导致营养不良,钙盐沉积其中,出现钙化(图11)


图片
图11  钙化

(5)多发病灶及多种征象并存(图12)。临床上一般真菌培养需要至少7天,其生长缓慢,因此真菌在肺部可以产生多种形态,例如结节(大小不一),空洞(中心性空洞、偏心性空洞、空气新月征),晕征、斑片状阴影、磨玻璃样改变,不同的形态说明病变生长不均匀,对组织破坏的程度不同,这也是曲霉与毛霉的共同特征。

图片
图12  多发病灶,多种征象

图13可见大片实变周边围绕着磨玻璃影,磨玻璃影是出血表现,说明血管被破坏,这也意味着病变侵犯血管,因此出现了晕征。在矢状面可以发现,晕征围绕着病灶实变,因为实变周边的血管非常丰富,毛细血管较粗,曲霉侵犯实变周边的血管后导致局部毛细血管中的血液破裂到了周边,因此,晕征一定在实变周边。


图片
图13  曲霉感染表现—晕征

图片
三、与细菌感染渗出鉴别

1. 晕征

出现晕征提示病灶侵犯血管,嗜血管生长是曲霉和毛霉的重要特征,细菌感染不是嗜血管生长,而是细菌在肺泡中繁殖进而导致炎症细胞渗出。有时在细菌感染病灶周边也会出现磨玻璃影,类似“晕征”。


细菌感染的磨玻璃影与曲霉感染的晕征究竟有何不同?


曲霉感染出现的晕征是曲霉侵犯血管导致血管破裂,红细胞向外渗出,其在肺部弥散受到一定限制,因此在正常肺与晕征之间可以勾画出一个大致的轮廓,边界清晰。细菌感染出现的磨玻璃影的实质是水肿,因为细菌感染导致血管扩张,血管的通透性增加,血液中的液体向外渗出,所以这种磨玻璃影的构成成分是水,水在肺组织中弥散,使二者之间的分界不清(图14)。因此,在临床中应注意区分这两种影像。


图片
图14  细菌感染与曲霉感染所致“晕征”的区别
注:左图为细菌感染出现的磨玻璃影,右图为曲霉感染出现的晕征。

2. 支气管结构

曲菌和毛霉感染一定会出现组织坏死,这些坏死的组织则成为其生长的培养基。因此在曲霉感染的影像学中,会看到实变,其中一定有坏死病灶。细菌感染的肺实变,肺泡中有红细胞、白细胞等渗出,支气管正常,称为“空气支气管征”(图15)。因此,细菌感染患者的支气管没有被破坏,所以支气管形态正常,而曲霉感染的支气管会出现中断、狭窄或者形态不规则,这是通过支气管形态结构来区分细菌感染与曲霉感染。


图片
图15  细菌感染及曲霉感染支气管形态结构的区别
注:上图为细菌感染的支气管形态,下图为曲霉感染的支气管形态。


3. 坏死

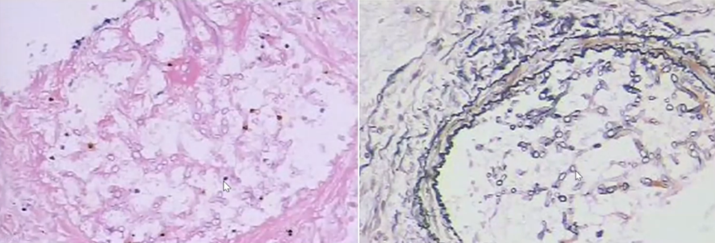
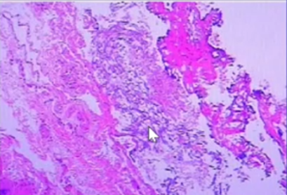
通过增强扫描发现,曲霉感染时,坏死物中没有强化。坏死是曲霉感染的重要特征,但结核、细菌脓肿、肿瘤也可能出现坏死,如何进行鉴别?曲霉感染出现的坏死,其中间是一些小气泡,且这些小气泡并不连贯,并未形成大的空洞(图16),这是气体从周围气管进入坏死物中所致,而且坏死物和其中的气体都是被固定的,通过病理发现这是由于曲霉菌丝所致(图17)。随着菌丝逐渐增多,后期会出现空气新月征。


图片
图16  病死灶内坏死小气泡影

图片
图17  病理结果
注:粉红色没有结构的是坏死物,箭头所示紫色网格状为曲霉菌丝。

如果是细菌感染,坏死中间是细菌脓液,有液平面,坏死物排出后,小气泡则融合成为大的空洞(图18)


图片

图18  细菌感染形成的空洞

图片
四、肺毛霉菌病

肺毛霉菌病与肺血管侵袭性曲霉菌病具有共性:①好发于免疫防御机制损害的患者,以白血病、淋巴瘤及糖尿病患者最多见;②易侵犯血管,基本病理改变为血管栓塞及坏死;③上中肺多见。


肺毛霉菌病与肺血管侵袭性曲霉菌病不同之处:①少见;②毒力更强,进展更快;③病变范围较大,坏死更明显,空洞大,其内分隔常见,反晕征较具特征性;④胸腔积液常见。


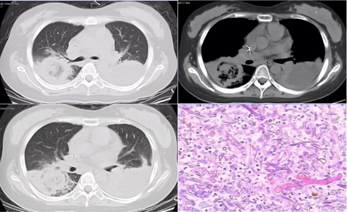
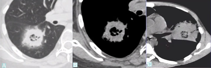
下图为一肿块,周围有晕征,中间有小气泡,增强扫描可见大片坏死,没有强化(图19),这种特征非常像曲霉感染,但最终穿刺病理证实为毛霉感染。其破坏范围更广。临床上,在诊断不清的情况下,一定要做增强扫描,能够帮助确定组织强化的程度。患者出现了胸腔积液,其中的小气泡更大,这是毛霉的特征。


图片
图19  毛霉感染


毛霉感染患者胸部CT可见反晕征,有胸腔积液,说明病变侵犯力非常强。其次,病变中的分隔粗大,其中的小气胞分布范围广。另外,病变中没有看到气液平面。但是由于病灶的破坏力更强更快,毛霉的生长跟不上,坏死物固定相对较弱,所以其病变破坏更多向外扩张,对血管的破坏性更大,因此我们看到很多低密度影。这是毛霉的特征。毛霉破坏组织后产生一些组织残留,因此CT上可见很多分隔(图20,图21)


图片
图20  毛霉感染—反晕征,胸腔积液,分隔粗大

图片
图21  毛霉感染—病变范围广、反晕征、胸腔积液

曲霉的破坏程度与曲霉菌丝生长相对成比例,其破坏范围形成的坏死、空洞及分隔均少于毛霉,而毛霉的破坏力更强。下图是一个结节,周边有晕征,说明病变是血管侵袭性,其中有很多小气泡,没有液平面,说明有菌丝的存在,菌丝固定了坏死物。但纵隔窗看到分隔特别粗大,小气泡特别大,说明坏死占的比例更多,坏死程度更严重,而菌丝的生长与坏死程度不成比例,所以是“坏死多菌丝少”,这是毛霉的特征。而曲霉感染则是“坏死多菌丝多”,坏死物相对固定,小气泡并未形成大的空洞。这也是曲霉和毛霉重要的鉴别点(图22)

图片
图22  毛霉和曲霉感染坏死、空洞的区别
注:A、B为毛霉所致病变,空洞内分隔粗大不均,空洞更大;C为曲霉所致坏死物固定,小气泡多。

总之,临床需要首先鉴别细菌感染还是真菌感染。当考虑真菌感染时,需要鉴别是曲霉感染还是毛霉感染。在曲霉基础上进行比较,如果病灶范围与菌丝生长不成比例,破坏范围更广,空洞更大,周围有胸腔积液,则需要考虑毛霉感染的可能,尤其是在二者辨别不清的情况下,宁可将毛霉诊断作为首选。


专家简介




图片
赵振军 教授
广东省人民医院

中华医学会放射学分会心胸专业组资深委员

中国医师协会放射医师分会呼吸专委会委员

广东省胸部疾病协会胸部影像分会副主任委员

广东省辐射防护协会医学辐射防护专委会副主任委员

广东省医师协会放射科医师分会常委兼呼吸疾病专业组组长

擅长呼吸系统疾病影像诊断与鉴别

全部评论 0
Copyright©2020-2026 北京医麦斯科技有限公司 版权所有 京ICP备2020034400号-1 京公网安备11010502043983号