登录方式

方式一:
PC端网页:www.rccrc.cn
输入账号密码登录,可将此网址收藏并保存密码方便下次登录

方式二:
手机端网页:www.rccrc.cn
输入账号密码登录,可将此网址添加至手机桌面并保存密码方便下次登录

方式三:
【重症肺言】微信公众号
输入账号密码登录

注:账号具有唯一性,即同一个账号不能在两个地方同时登录。

登录
方式

为重症救治赋能

为患者康复加速

当前位置:首页 重症肺炎 真菌肺炎

黄琳娜:IAPA—重症流感不容忽视的并发症

黄琳娜 中日友好医院 发布于2022-02-16 浏览 4060 收藏

重症流感病毒性肺炎的病死率极高,在流感病毒导致的炎症风暴作用下,出现多脏器功能障碍以及流感相关的混合或继发细菌感染,它们之间互为因果,形成恶性循环,导致病情急剧恶化,增加患者死亡率,应引起临床医生的重视。



重症流感最常见的并发症即为重度ARDS,但在目前强有力的呼吸支持手段下,单纯因呼吸衰竭导致重症流感死亡的病例数越来越少,而流感继发的细胞因子风暴所致的多脏器衰竭以及流感相关的混合或继发细菌感染是导致此类患者死亡率增加的主要原因。流感继发细菌感染的大体机制是流感病毒在人体内复制,通过一系列炎症细胞和细胞因子造成组织损伤,使继发感染的敏感性增加;继发感染又进一步破坏人体的免疫屏障,同时促进流感病毒的复制,二者互为因果,并且形成了恶性循环。

图片


对于流感继发的细菌感染,临床医生已经有了充分的认识,但除了细菌感染外,流感相关的真菌感染近年也有增多趋势。



致病机制




流感病毒破坏了患者的天然免疫及细胞免疫屏障,导致患者对真菌易感。流感病毒通过气道进入人体后,首先破坏气道局部的纤毛黏液屏障,使纤毛对曲霉菌的物理清除作用减弱,并导致巨噬细胞和中性粒细胞功能失调。此外,流感病毒可造成淋巴细胞数目及CD4细胞水平相应降低,导致细胞免疫功能异常,从而对真菌易感。流感后继发侵袭性肺曲霉病(IPA)患者的淋巴细胞水平更低。


我们开展的一项小样本量前期研究纳入了18例流感合并IPA患者,与单纯重症流感病毒肺炎患者相比,重症流感相关IPA(IAA)患者血浆Th1分泌的促炎因子水平下降(IFN-γ、IL-2),Th2分泌的抑炎因子水平增高(IL-4、IL-10),Th1与Th2细胞正常反应及比例失衡,抑炎因子分泌亢进,从而使此类患者处于一种相对的免疫麻痹状态,可能是导致IAA的机制之一。


近年来,随着微生物学诊断技术的进步和临床医生意识水平的提高,IAA病例数量呈增长趋势,但目前针对该病的相关研究仍较少。当前关于IAA仍有很多需要解决的问题,例如:IAA的流行病学?什么样的流感患者容易合并IPA,危险因素有哪些?IAA的临床/实验室检查特点——如何早期诊断?IAA的预后预测因素?抗真菌治疗时机如何把握?


目前最大的关于ICU中IAA患者的研究结果发表于2018年Lancet Respir Med杂志上,该研究纳入了7个流感季、7家ICU、共432例重症流感病毒肺炎患者,研究显示这些患者中IAA发生率约为19%,90天病死率高达51%。


中日医院关于2017—2018年和2018—2019年两个流感季收治的重症IAA发病率/病死率的数据也提示,IAA的发生率高达31%,病死率为59%,这可能与我们收治的患者病情较重,而且多数是其他医院ICU转入有关。



IAA的危险因素




上述大型临床研究(Lancet Respir Med, 2018)通过多因素分析得出流感病毒本身其实就是IAA的危险因素。此外,曹彬教授团队针对2009年11月至2016年5月这7个流感季流感后曲霉感染开展了一项单中心回顾性研究,该研究纳入了2900例流感患者,通过趋势图发现,流感发病高峰与相应年度曲霉感染趋势具有一致性,这也从侧面说明了流感本身与IAA的发生密切相关。


2009—2010年H1N1流行季的一项单中心小样本回顾性研究纳入ICU内重症流感患者,结果发现,入ICU前大剂量糖皮质激素应用是继发IAA的独立危险因素。上述大型临床研究(Lancet Respir Med, 2018)中的多因素分析也提示了男性、APACHEⅡ评分高、入ICU前28 d内应用糖皮质激素是IAA的独立危险因素。


一篇近年来相对比较大型的综述纳入了截至2018年6月共128例的IAA患者,发现高达72%的患者可能存在影响患者免疫状态的基础疾病。我们自己的研究纳入了2017—2018年流感季重症流感和文献中IAA患者,分析了这些患者的临床特点及危险因素。单因素分析发现,男性、年龄大、病情重、免疫抑制因素(肿瘤、使用免疫抑制剂及激素)等具有统计学差异;实验室及影像学检查发现白细胞增高、淋巴细胞计数降低、影像学有相关特征性表现对IAA有一定的提示作用。多因素分析发现,白细胞增高、入ICU后应用糖皮质激素、CT提示多发结节和空洞是IAA的独立危险因素。


病例分析



病例1

一般情况:15岁学生,既往体健,无基础疾病。发热、干咳16天,加重伴呼吸困难8天。入ICU时间为2018年1月16日,死亡时间为2018年1月26日。



现病史:16天前(2017年12月30日)出现发热,体温39.0℃,伴干咳、咽痛;8天前(2018年1月7日)出现呼吸困难,血气分析提示Ⅱ型呼吸衰竭,血常规示WBC 24.1×109/L,NEU% 90%,PCT 3.3 ng/ml。外院给予头孢曲松→亚胺培南、阿奇霉素、利奈唑胺抗感染治疗,但效果不佳。7天前(2018年1月8日)确诊乙型流感,加用帕拉米韦+奥司他韦。2天前(2018年1月13日)血GM增高,痰培养烟曲霉,加用伏立康唑。2018年1月15日转入我科。

辅助检查:起病1周左右(20181月8日)外院胸部CT出现了明显的纵隔气肿,沿支气管血管束分布的多发结节和斑片影。


图片

气管镜表现(2018年1月15日):气道狭窄,黏膜明显充血水肿,表面大量白苔,触之易出血。


图片



痰和BALF病原学提示CRAB和烟曲霉。

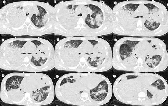
转入我科当天行胸部CT检查,距出现症状已2周余,与前相比进展快速,出现大片实变影,原有结节已融合,并且出现空洞。

图片
图片

该患者最终因院内细菌感染导致的感染性休克死亡。这例患者非常年轻,而且既往没有基础疾病,但最终死亡,我们也进行了深刻的反思:①该患者于外院第一次胸部CT检查时即已经出现相对较典型的IAA影像学表现,但并未予以重视,也未及时给予经验性抗真菌治疗;②患者于外院时未早期行气管镜检查,也未留取BALF行GM试验,使对IAA的诊断和治疗延迟了1周左右,这可能是导致患者预后差的重要原因之一。

病例2

一般情况:患者,女性,65岁,退休。间断干咳伴发热10天,加重伴呼吸困难4天。入ICU时间为2018年2月4日,出ICU时间为2018年4月19日。


既往史:既往2型糖尿病病史35年,精蛋白生物合成人胰岛素注射液(预混30R)治疗,血糖波动在7~8 mmol/L。


现病史:10天前(2018年1月25日)“感冒”后出现干咳,伴发热,体温最高37.8℃。7天前(20181月28日),血常规示WBC 12.49×109/L,NEU% 87.5%,LYM% 7%,予莫西沙星治疗。1月30日复查血常规示WBC 23.88×109/L,NEU% 91.5%,LYM% 4.6%,调整抗生素为莫西沙星+头孢噻肟。4天前(20181月31)呼吸困难加重,SpO2(未吸氧)88%,复查血常规示WBC 37.04×109/L,NEU% 93.7%,LYM% 1.7%,PCT 1.79 ng/ml,痰涂片可见真菌孢子及菌丝,加用伏立康唑。1天前(20182月1)咳痰费力,SpO2降至71%,开放气道吸痰过程中心率降至32次/min,立即心肺复苏,气管插管球囊辅助通气,约12 min患者自主心率恢复,接呼吸机辅助呼吸,经气道可吸出大量黄色黏痰,痰流感病毒核酸阳性。

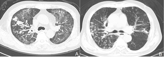
影像学(20181月31):沿支气管血管束分布的斑片影,部分出现空洞,胸膜下实变影。
 


图片



根据患者早期症状和检查结果,启动了经验性抗真菌治疗。根据3天后回报的BALF GM试验阳性结果诊断为IAA。抗真菌治疗2周后,复查胸部CT可见病灶较前明显吸收,最终患者康复出院。我们总结此例患者治疗有效的经验,是早期即根据患者症状、实验室检查和影像学表现诊断了IAA,缩短了患者从起病至治疗的时间。
 


图片



从上述2个病例可以看出,对于重症流感患者,无论既往是否有基础疾病,均可合并IAA。由于此类患者的临床表现和实验室检查大部分缺乏特异性,且可能被伴发的流感及细菌混合感染症状所混淆,因此IAA的早期诊断相对困难。


  IAA的诊断 





微生物学依据是诊断IAA的“金标准”,如下呼吸道标本培养、血、BALF GM、PCR、LFD,但在获取微生物学证据前,IAA患者的影像学和气管镜检查会有一些相对特异的表现,可以帮助我们寻找蛛丝马迹,以便早期开始治疗。


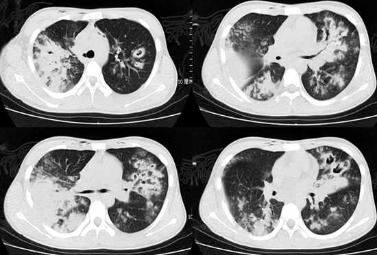
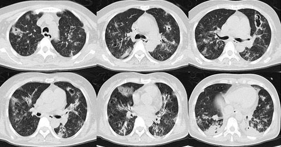
IAA的影像学特征具有提示意义,其影像学一般是在磨玻璃影背景上新发的结节和斑片影,病变特点是沿着支气管血管束分布,而典型的空洞和新月征不多见。

 

图片


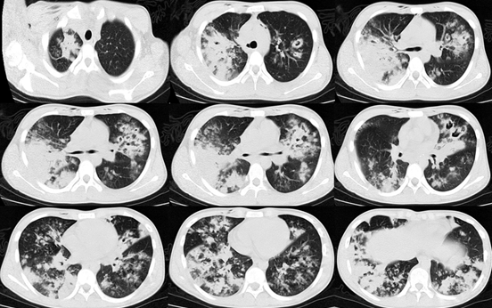
大片实变影也相对特异,且提示预后差!

 

图片


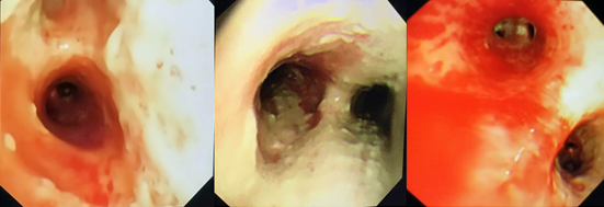
IAA患者气管镜下典型表现是气道黏膜明显充血水肿,气道黏膜表面白色假膜附着,气道狭窄及痉挛比较明显。

 

图片


气管镜检查的重要意义在于:①观察气道病变特点和范围;②有助于获取高质量的下呼吸道标本,提高真菌培养阳性率;③获得BALF,以辅助早期诊断(BALF GM试验等);④由于IAA患者气道黏膜病变严重,气道明显狭窄,所以患者大多存在严重的痰液引流不畅问题,通过气管镜下吸痰,可以加强痰液引流,能够在一定程度上改善患者预后;⑤可以通过气管镜进行气道内给药。


来自欧洲7个国家、美国和台湾的29名专家就IAA的诊断标准发布了专家共识,并于2020年发表在Intensive Care Medicine杂志上,他们将IAA明确分为两型,即曲霉菌性气管支气管炎和侵袭性肺曲霉菌病,这一标准也高度强调了气管镜的重要性。无论是气管镜镜下的表现,还是气管镜获取的BALF标本进行GM试验或曲霉培养,均是诊断标准中非常重要的条目。


  IAA的病原学诊断





我们对自己的病原学相关数据分析后发现,IAA的传统病原学诊断阳性率不高甚至滞后。传统病原学,如真菌培养的阳性率是非常低的,且培养时间也很长;血GM试验在基础免疫功能相对正常患者中的阳性率也相对较低,虽然BALF GM试验在阳性率方面存在很大优势,但我们的数据发现,BALF GM试验得到阳性结果距起病的时间可以延长至10天左右,在一定程度上可能延误诊断和治疗。

 

图片


一项多中心回顾性研究比较了存活和死亡患者诊疗时间轴的差异,发现死亡患者诊断IAA和起始抗真菌治疗的时机均偏晚。



图片



因此,延迟治疗会直接影响患者预后。需要寻求合适的抗真菌治疗时机,对改善患者预后至关重要。意识到这一问题后,我们在2018年之后的流感季有意识地针对部分患者前移了抗真菌治疗的时机。


病例分析


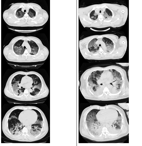
以下是2例中年男性患者,急性病程,有高血压和冠心病病史,入院时均存在低淋巴细胞血症,并且CD4+T细胞计数偏低,影像学相对比较典型,都是弥漫磨玻璃影合并实变,第2例患者实变范围更广。第1例患者入院后第4天BALF涂片提示了丝状真菌,因此高度怀疑曲霉菌感染,抢先抗真菌治疗,第2例患者始终无确切的真菌感染证据,因为患者淋巴细胞低,经过抗病毒和抗细菌治疗后病情仍然进展,于第4天给予了预防性抗真菌治疗。实际上两例患者抗真菌治疗的时间相差不多,距出现症状的时间也相近。最终这两例患者都因病情恶化而死亡。



图片

图片

图片


经过上述病例比较发现,大部分患者是在获取病原学依据之后开始靶向抗真菌治疗。我们医院的数据显示,在2018—2019年,即使预防性抗真菌治疗的比例有所提高,但这两个流感季的IAA发病率和病死率并无明显差异。




图片



  重症IAA的预防性抗真菌治疗




一项随机、开放、验证试验纳入2017年12月至2020年3月荷兰-比利时真菌研究小组的9个中心和法国3家中心入ICU、合并呼吸衰竭的流感肺炎患者,将其分为泊沙康唑预防组和标准治疗组,主要研究终点是入ICU 48小时内无IAA的患者在ICU期间IAA的发生率,次要研究终点是IAA诊断时间、ICU/总住院时间、ICU/总住院病死率、90天病死率。共入组88例重症流感患者,随机分为标准治疗组和泊沙康唑预防组两个组,21例(24%)被诊断为IAA。遗憾的是,有高达71%(15/21)的患者在入ICU 48小时内发生了IAA,按照该研究的诊断流程,这些患者全部被排除。研究最终发现这两组的IAA发生率并无统计学差异。

 

图片

该研究最大的问题是建立改良意向性人群使纳入病例数太少,可能会妨碍研究得出确切结论。所以对于预防性治疗策略仍需要大样本研究来证实。考虑预防性治疗的获益可能并不确切,并且可能会带来抗真菌药物过度使用和耐药风险,所以我们团队也在2020年提出了ICU中IAA的危险因素评分—Asper-PreSS评分。日后,我们拟将入ICU的重症流感患者分为两部分,一部分为高危患者,另一部分为低危患者,高危患者给予经验性抗曲霉菌治疗是否有助于降低此类患者的发生率和病死率,今后仍需要多中心研究进一步探讨。



图片



如果想让IAA患者存活下来,应该如何去做?
  • 提高对此类患者的认知及重视程度。
  • 选择合适的检查,例如气管镜、CT、GM、LFD等,都可能辅助早期诊断。
  • 已经明确系统性糖皮质激素的应用,尤其是大量激素的使用与IAA的发生相关,所以在重症流感患者中应尽量避免使用激素。
  • 尽早使用抗真菌药。抗真菌治疗时机仍然不十分明确。普遍的预防性治疗似乎并没有获益,针对高危患者进行经验性抗真菌治疗是否有获益仍需要进一步探讨。因此,寻找适当的抗真菌治疗时机,仍然是未来的研究方向。
  • 开展血药浓度监测及尽早行耐药性检测,对抗真菌治疗效果以及减轻药物相关不良反应至关重要。当治疗效果不佳时,也应考虑真菌对唑类药物耐药的可能性。
  • 新型抗真菌药物的研发也是未来研究的重点。


  小结



  • IAA是重症流感肺炎不少见的、严重的并发症。发生率、病死率高,应高度重视!
  • 机制:流感病毒对宿主局部天然免疫与细胞免疫的损伤。
  • 早期诊断相对困难:临床表现不特异、微生物学证据阳性率低/滞后、无诊断标准。
  • 寻求早期诊断方法与适当的治疗时机可改善患者预后,是未来研究的重点方向。



本文由重症肺言根据“重症肺言之ICU内侵袭性支气管肺曲霉菌病论坛”整理,感谢黄琳娜医生审阅修改!


点我看视频.jpg


全部评论 0
Copyright©2020-2026 北京医麦斯科技有限公司 版权所有 京ICP备2020034400号-1 京公网安备11010502043983号