登录方式
方式一:
PC端网页:www.rccrc.cn
输入账号密码登录,可将此网址收藏并保存密码方便下次登录
方式二:
手机端网页:www.rccrc.cn
输入账号密码登录,可将此网址添加至手机桌面并保存密码方便下次登录
方式三:
【重症肺言】微信公众号
输入账号密码登录
注:账号具有唯一性,即同一个账号不能在两个地方同时登录。
2016年5月13日深夜11点,我从梦中醒来,打开手机,进入我们进修生学习群,群里上百条信息跳了出来,群里非常热闹,不为别的,为的是一个北京女孩......
2016年5月13日对于很多人来说是一个再也普通不过的日子,但是对于这个北京女孩来说一定是一个终身难忘的日子。身患糖尿病的她已经整整高热17天,胸痛和气促已经将这个坚强的北京女孩折磨得神智恍惚。她是不幸的,然而她又是幸运的,也可能因为她不经意选择而改变她的一生。当她走进了中日友好医院的门诊大厅时,我相信伴随着她的除了记忆,还有这次就诊的感动,如同我一般,被这群人深深感动......
5月13日12:00 北京女孩入住呼吸三部病房, 13:30,距任雁宏主治医师第一次查房时间仅仅过去一个半小时,已经完成了几乎所有常规病史采集、化验及影像检查。一个小时对于很多人来说不过是一盏茶、一杯酒、一次小憩的功夫,但任大夫利用这段功夫初步理清了北京女孩的大体病情。任大夫在呼吸病方面已经身经百战,但是当看到眼前这个女孩的胸片在短短时间内快速进展的胸部浸润性病灶时,仍旧心里一颤。女孩精神萎糜、呼吸浅快、活动后呼吸困难,氧合差。为了病人得到更好的照顾和治疗,任大夫当机立断转入呼吸四部病房(MICU)。在这里,没有科室与学术的界限,只有为病人更好。
15:00 患者转入MICU,经对症处理后,患者病情稳定了。19:20患者的CT出来了,我透过群里几百条信息,可以看出各级医生已经对这个北京女孩的诊断讨论了一潮又一潮。肺部感染:真菌?奴卡?结核?治疗方案也讨论了一波又一波。检查报告分析了一次又一次。患者的腹部CT引起了詹庆元教授的格外重视:患者右侧缩小,左肾扩大。虽然值班医生已经反复确认患者没有尿频、尿急、尿痛及腰痛、血尿等症状,小便及肾功能也未见任何异常,但是眼尖的詹主任哪能放过蛛丝马迹。在这里,对于病因的追查永远没止境,这是这个团队的早已养成的素养。

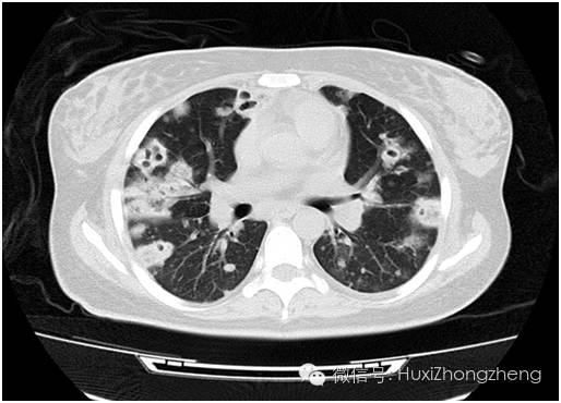
图1 这么多洞洞,是什么东东?
5月14日早上7:30 我和往常一样来到MICU办公室,令我万万没想到的是办公室里正坐着大名鼎鼎的全国呼吸和感染病专家、呼吸二部主任曹彬教授,他是为北京女孩的诊治一大早赶过来的。更让人没有想到的是MICU李敏主治医师与二部的王一民住院总医师早早为北京女孩做了支气管镜,而微生物室刘颖梅老师已在细菌室等候支气管肺泡灌洗标本一个钟头了!要知道,这才是早上7:30,而且是周末,是下雨的周末。这一刻,他们不为别的,就为早点拿到病原学依据,早点针对性治疗。曹彬主任温文尔雅、沉着冷静、条理清晰地和家属交待着病情。我清晰地看到患者家属紧锁的眉头逐渐舒展开来,没有猜疑、只有信任......
8:00 曹彬教授和詹庆元教授一致认为患者肺部感染不除外远处感染灶血性播散可能,唯一线索就是左肾增大。事不宜迟,立即联系介入超声科。我看见曹彬教授拿出手机默默给介入超声科于明安副主任医师发了一条短信,几分钟后我被告知9:00带病人到介入超声科做检查。
9:10 当我推着病人到达介入超声科时,于大夫已经早早等候在那里。经过于大夫细致、认真地查看患者双肾超声影像,得出结论:患者右肾萎缩,左肾下极积液样改变,考虑肾脓肿或肾包膜下慢性积血可能。为安全起见,同时考虑到造影剂对肾的影响,于大夫建议先行MRI检查明确左肾积液性质。
10:00 当我来到MRI室门口时,看见那里早已排起了长队。周末,按常规是不做急诊腹部MRI检查的,我向值班大夫讲明情况后对方愉快地答应给予加做一个急诊腹部MRI。10:40 MRI影像显示患者右肾缩小,左肾多发性囊性病变。
11:15 泌尿外科会诊认为无急诊手术指针,建议抗炎治疗。那么新问题又来了:是听会诊意见保守治疗,还是继续寻找病因。保守治疗对于医生来说是无疑是最安全的,最大程度避免了医疗纠纷隐患,即使病情恶化按照医疗常规及流程也无懈可击,但是对于病人来说一旦治疗失败,轻者加重病情,重者甚至危及生命。如果寻找原因就只有肾脏穿刺这一条路,穿刺风险实在太大,一旦失败,后果难以想象。我分明看到病人的恐慌,家属的不安。检查和会诊信息反馈到曹彬、詹庆元及于明安大夫处。此刻他们为病人的治疗方案认真分析、琢磨着,很快一套详尽的治疗计划早已制定周密。

图2 MRI影像显示右肾缩小,左肾多发性囊性病变
14:30 曹主任从开会现场赶来医院。详细地和病人家属接待病情和穿刺风险,耐心细致的分析穿刺的必要性。北京女孩和家属逐渐恢复了平静,当着曹主任说我们信任你,信任这里的大夫,我听你的。于大夫仔细计算着进针角度和深度,已确保万无一失。穿刺室里,曹教授来了、刘颖梅老师来了,王一民大夫来了……曹彬教授一个不经意的举动触及了我的内心,同行的一个进修大夫没戴口罩,曹彬主任径直走到设备间取出一个口罩递到他手里,亲切地说:来,戴上口罩。没有一丝责怪,一切是那样亲切和自然。穿刺室里气氛稍显凝重,但是曹彬主任站在患者身边不停安慰患者。
15:00 于主任在患者几乎没有疼痛的情况下完成了穿刺,看着黏稠的脓性分泌物缓缓地抽出,超声机上显示的肾脏脓腔渐渐地缩小,大家紧绷的神经慢慢放松开来,享受着忙碌后的喜悦。而等在一旁的刘颖梅老师拿着穿刺出来标本后迅速返回实验室。15:20 第一张脓液涂片结果出来:G-杆菌!
15:30 患者的抗生素已经从初始治疗的四种减少至一种……

图3 脓液抽出来了!

图4 无论多小的细菌,都逃不出刘老师的法眼
21:00 詹大夫再一次来到北京女孩的床边,我透过床灯看到他脸上浅浅的笑意。而病床上,北京女孩睡着如此安静……
这是我到中日友好医院进修学习的第三个月,很快就要离开这里,但是我相信这里的诚实、勤勉、细致和人道会伴随我的一生。
王一民医师当天微信感言
母司的小伙伴说四天诊断淋巴瘤,合并嗜血可能,并及时上了治疗,感慨多科室给力的会诊和协作。#莫攀比#中日医院呼吸中心,强大的团队协作,“年轻女性,发热呼吸困难20天,没有腰痛,没有叩击痛”,不足24小时明确诊断肾脓肿,血行播散,肺内坏死空洞,从气管镜,到MRI,到超声引导穿刺,到微生物染色识片,一条龙服务!伟大的团队需要协作,感谢曹老师,詹老师,于老师,刘老师的配合,感谢家属的配合,感谢给力的小伙伴们!越发团结强大的我们等你来!不光说病人哦~~~
这个故事告诉我们:1.医生的奔波有时候很单纯,就是兴趣而已;2. 在各种分子质谱横行的今天,传统的微生物涂片技术仍然是重要,而且十分重要的技术,希望团队小伙伴能够自己先认识到!3.风险的降低和自信的提升,需要家属的配合。
后可发表评论
友情链接
联系我们
公众号
客服微信