登录方式

方式一:
PC端网页:www.rccrc.cn
输入账号密码登录,可将此网址收藏并保存密码方便下次登录

方式二:
手机端网页:www.rccrc.cn
输入账号密码登录,可将此网址添加至手机桌面并保存密码方便下次登录

方式三:
【重症肺言】微信公众号
输入账号密码登录

注:账号具有唯一性,即同一个账号不能在两个地方同时登录。

登录
方式

为重症救治赋能

为患者康复加速

当前位置: 首页 呼吸e站 经典推荐

詹庆元教授分享|如何降低重症新冠患者病死率?

陈姿颖,詹庆元 国家呼吸医学中心 中日医院呼吸与危重症医学科 发布于2023-01-10 浏览 54846 收藏

作者:陈姿颖,詹庆元

单位:国家呼吸医学中心 中日医院呼吸与危重症医学科

Omicron毒株其临床毒力弱于Delta,但与原始毒株/早期突变株相比,可能无明显降低或仅小幅降低。Omicron无症状/轻症感染者比例高,该株流行地区病死率的降低可能主要由于疫苗和既往感染所致。2022年发表于JAMA的一篇文献显示,Omicron流行前8周的超额死亡高于Delta流行的23周[1]。虽然Omicron病死率下降,但其传播能力显著增强,故高传播、高感染所带来的人群死亡率升高不容忽视,且由Omicron所致的重症患者的数量增多,如何降低此类患者的病死率也成为临床关注的焦点。

Omicron所致全身各脏器损伤的因素主要包括两方面:①直接因素,包括病毒感染、复制导致的相关器官细胞死亡和组织损伤;②间接因素,包括宿主免疫反应失调及细胞因子风暴带来的器官损伤。


为了便于理解重症新冠的救治策略,我们将新冠病毒感染后疾病特点分为三个阶段,即早期、中期和后期。早期为感染后病毒的快速复制期,一般持续时间不超过7天,以病毒复制为主要特点。中期病程一般为7~14天,病毒复制几乎检测不到,以继发免疫损伤为主。后期多为2周后,随着住院时间的延长,医院内获得性感染随之出现,此阶段主要是继发感染的问题。

图片

一、重症新冠感染早期特点及救治策略

1. 早期特点
早期主要是病毒的快速复制阶段。2020年Nature发表的一篇文献显示,在发病第5天病毒拷贝数最[2]。此外,早期可能仅是单纯的病毒感染,共感染少见。一项纳入24项研究的Meta分析结果显示,COVID-19患者细菌共感染率为3.5%[3]。尽管这一时期的患者临床表现较轻,未出现呼吸困难等表现,影像学表现可能不重,但实际上可能已触发下一阶段的免疫反应。
图片

图源:Nature, 2020, 581(7809):465-469.

2. 早期应对策略
(1)高危患者尽早抗病毒治疗(发病<5天)。
(2)一般不用抗菌素,除非有明确的合并细菌感染证据。
(3)监测高危患者病情:包括一般情况(饮食、睡眠、精神状态),血氧饱和度(SpO2),呼吸频率(RR)等。
(4)抗病毒疗程:针对高危人群在发病5天内使用抗病毒治疗可预防转重(需要住院或死亡)。而对于重症患者,发病>5天应用抗病毒药物仍可能有一定获益。因为重症患者,一方面是其本身炎症反应重,其次也与病毒感染有关,但临床很难区分肺损伤究竟是由免疫反应引起,还是由病毒直接导致。所以,对于CT值偏低(<30)的患者,结合实际情况可适当延长给药疗程。有条件的医院可检测患者的血浆抗体水平,若抗体已经出现明显升高,可不使用抗病毒药物。

图片

二、重症新冠感染中期特点及救治策略
1. 中期特点
中期是抢救重症患者最为关键的一个阶段,这一时期的主要特点是细胞因子风暴导致的继发免疫损伤[4],这种损伤不是以病毒直接损伤为主,而是继发的免疫损伤,患者,病情可能急剧加重,主要表现为氧合下降,影像学表现加重,如双肺出现广泛的磨玻璃样改变,炎症指标(CRP,IL-6,Fet,D-D,LDH)增高,淋巴细胞绝对值及CD4+T细胞水平显著降低等。
2. 中期抗炎应对策略
抗炎治疗:①糖皮质激素:地塞米松;②IL-6R阻滞剂:托珠单抗;③JAK抑制剂:巴瑞替尼、托法替布。这几种药物如何应用,是决定疾病转归的重要问题。
我院收治了一例58岁女性患者,有高血压、慢性支气管炎病史,以发热伴咳嗽9天,加重2天为主诉,2022年12月19日入ICU(D9)。12月13日新冠抗原(+)、12月17日新冠核酸(+),入院后给予经口气管插管及机械通气。PEEP 12 cmH2O,FiO2 1.0,同时联合俯卧位通气。血气分析:pH 7.396,PaCO2 38.5 mmHg,PaO2 68.9 mmHg。后出现循环恶化,予以去甲肾上腺素维持血压。
入ICU前胸部CT比较重,病情进展迅速,入ICU后行气管插管,进行了1周抗炎治疗:甲强龙40 mg qd,第2天加用巴瑞替尼4 mg qd。同时由于患者核酸CT值较低,加用了Paxlovid抗病毒治疗。1周后,患者体温、WBC、PCT、CRP等均下降,但复查胸部CT发现病情较前明显加重。
图片
患者第一份胸部CT(12月18日,D8
图片
用药情况及炎症指标变化
图片
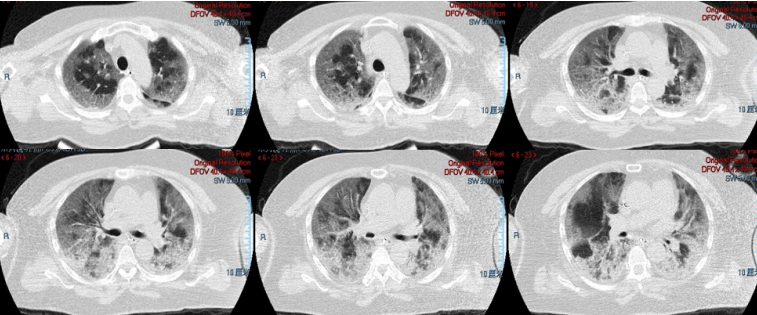
患者第二份胸部CT(12月26日,D16
患者的炎症指标好转,但最能反映病变严重程度的影像反而加重,而且这种影像特点无法用继发感染(细菌/真菌感染)解释。为什么病情(影像及氧合)会加重?我们分析认为问题可能在于抗炎治疗,包括抗炎治疗时机、抗炎治疗药物选择及剂量。
首先,在RECOVERY研究中,给予患者抗炎治疗的时间为起病后5~13天(平均8~9天),中日医院抗炎的时间为起病后9~14天(平均11天),抗炎时间晚于RECOVERY研究,这可能解释为何患者经规范治疗后仍病情进展。所以,我们能否早期应用抗炎,如在居家/养老院、急诊/门诊、普通病房使用激素等抗炎药物很重要。
其次,激素剂量可能存在一定问题。对于重症患者,常规给予地塞米松6 mg/d。但在纳入中重度ARDS患者的CoDEX研究中,地塞米松剂量为10 mg/d[5]。所以,对于ICU患者,尤其是气管插管患者,根据体重大小,可选择地塞米松6~10 mg/d。
再次,联合治疗可能也需要优化。目前我们联合治疗的药物有两个,分别是巴瑞替尼和托珠单抗,巴瑞替尼的价格较托珠单抗更便宜,所以我们早期会选择巴瑞替尼。关于巴瑞替尼的研究—COV-BARRIER研究[6],其结果也显示患者的病死率有下降,但需要注意的是,该研究排除了有创机械通气及正在使用免疫抑制剂的患者。另一项关于托珠单抗的研究纳入ICU后早期接受高级呼吸支持(有创通气/无创通气/经鼻高流量)或心血管(使用升压药或强心药)器官支持的患者[7]。所以巴瑞替尼和托珠单抗的应用人群不同。此外,托珠单抗是静脉用药,而巴瑞替尼是口服药物。所以,目前我们更倾向于使用托珠单抗,其起效更快。
在联合治疗方面,针对重症患者(普通氧疗、HFNC、NPPV),如无禁忌证,推荐应用JAK抑制剂治疗,巴瑞替尼4 mg/d,应用14天。需要注意的是,接受机械通气患者应用JAK抑制剂可能获益有限,对于免疫抑制患者,需谨慎使用。针对CRP≥75 mg/L的重症患者(IPPV、ECMO),如无禁忌证,推荐入ICU 24小时内或入普通病房72小时内应用托珠单抗8 mg/kg 1~2次(间隔12~24小时)。
在中期仍会有部分患者出现合并感染,尽管早期患者可能是单纯的新冠病毒感染,合并细菌/真菌感染很少,但由于这些患者可能存在基础疾病,且入ICU的时间延迟,急诊滞留时间过长,加之抗生素的使用,这些患者在早期(入ICU 48内)气管镜检查,发现30%合并了感染,包括细菌感染及曲霉感染等。所以,在中期也有合并感染的问题,这也给临床使用抗炎治疗带来一定的挑战。
因此,中期抗炎应对策略应为:早期,足量,联合,果断(中期抗炎时间窗窄,5~7天,不能犹豫!!),预防(注意中期及后期合并感染的防治)。

图片

三、重症新冠感染后期特点及救治策略
前述患者在入ICU第8天,体温再次升高至38.9℃,WBC、PCT、CRP升高,胸部CT进展,气管镜吸痰病原学:鲍曼不动杆菌、纹带棒杆菌。予以万古霉素1g q12h、舒巴坦2g q8h、多黏菌素50万IU q12h治疗。
1. 后期特点
后期的继发感染比较常见。2020年一项研究显示新冠感染后期继发细菌感染率约为14.3%[3]。而后期继发真菌感染是一个非常突出的问题。一旦出现真菌感染,患者病死率势必增加。在中日友好医院重症新冠肺炎30例患者中,发现11例继发细菌感染,3例继发曲霉感染(分别在第3、5、7天出现)。
为何后期继发感染发生率如此高?可能有以下几方面原因:①患者高龄;②有多种合并症,包括慢阻肺、糖尿病、高血压等,甚至还有部分免疫抑制(如肾移植)患者;③新冠感染损伤免疫力;④大量抗炎药物的应用;⑤ICU相关因素,如气管插管、镇静等。
2. 后期继发感染防治策略—预防为主
后期继发感染的防治一定是以预防为主,因为一旦出现继发感染,患者的死亡率会非常高。因此建议:①预防继发感染的工作在中期就要完成;②如果有条件可以多做气管镜检查,随时监测病原学;③能用无创通气/高流量氧疗支持,就不用气管插管;④可以采取清醒俯卧位;⑤早期气切(ETI 3~5天内);⑥预防性使用抗生素:伏立康唑、磺胺类。
图片
四、抗凝治疗
积极抗凝,无禁忌证者均推荐应用抗凝治疗。对于需入住ICU或需高流量氧疗的成年患者,若无禁忌,均推荐应用低分子肝素3000~4000 IU每日一次皮下注射预防性抗凝。

图片

五、小结

如何降低重症新冠患者病死率?

早期:对于高危患者及早抗病毒治疗。

中期:早期、足量、联合、果断抗炎治疗。

后期:继发感染的防治非常重要(预防需在中期完成)。

全程:抗凝治疗。

参考文献


[1] Faust J S, Du C, Liang C, et al. Excess Mortality in Massachusetts During the Delta and Omicron Waves of COVID-19[J]. JAMA, 2022, 328(1):74-76. 

[2] Wölfel R, Corman V M, Guggemos W. Virological assessment of hospitalized patients with COVID-2019[J]. Nature, 2020, 581(7809):465-469. 

[3] Langford B J, So M, Raybardhan S, et al. Bacterial co-infection and secondary infection in patients with COVID-19: a living rapid review and meta-analysis[J]. Clin Microbiol Infect,  2020, 26(12):1622-1629.

[4] Mangalmurti N, Hunter C A. Cytokine Storms: Understanding COVID-19[J]. Immunity, 2020, 53(1):19-25. 

[5] Tomazini B M, Maia I S, Cavalcanti A  B, et al. Effect of Dexamethasone on Days Alive and Ventilator-Free in Patients With Moderate or Severe Acute Respiratory Distress Syndrome and COVID-19: The CoDEX Randomized Clinical Trial[J]. JAMA, 2020, 324(13):1307-1316.

[6] Marconi V C, Ramanan A V, de Bono S, et al. Efficacy and safety of baricitinib for the treatment of hospitalised adults with COVID-19 (COV-BARRIER): a randomised, double-blind, parallel-group, placebo-controlled phase 3 trial[J]. Lancet Respir Med, 2021, 9(12):1407-1418.

[7] REMAP-CAP Investigators, Gordon A C, Mouncey P R, et al. Interleukin-6 Receptor Antagonists in Critically Ill Patients with Covid-19[J]. N Engl J Med, 2021, 384(16):1491-1502.


作者介绍




图片

詹庆元 教授


  • 博士研究生导师

  • 中日医院呼吸与危重症医学科副主任

  • 中国医师协会内科医师协会副会长

  • 中国医师协会呼吸医师分会危重症医学工作委员会主任委员

  • 中国医师学会重症医师专业委员会常委

  • 教育部人才项目特聘教授

  • 人社部百千万人才工程有突出贡献中青年专家

  • 全国杰出专业技术人才


图片

陈姿颖


  • 北京大学医学部临床型博士在读

全部评论 0
Copyright©2020-2026 北京医麦斯科技有限公司 版权所有 京ICP备2020034400号-1 京公网安备11010502043983号