登录方式
方式一:
PC端网页:www.rccrc.cn
输入账号密码登录,可将此网址收藏并保存密码方便下次登录
方式二:
手机端网页:www.rccrc.cn
输入账号密码登录,可将此网址添加至手机桌面并保存密码方便下次登录
方式三:
【重症肺言】微信公众号
输入账号密码登录
注:账号具有唯一性,即同一个账号不能在两个地方同时登录。
作者:吴小静
单位:中日医院呼吸与危重症医学科
重症肺炎作为呼吸与危重症医学领域的常见急症,其治疗核心不仅在于精准抗感染,更需解决气道分泌物引流障碍这一关键问题。临床工作中,即使给予针对性的抗感染治疗,部分患者仍因气道内黏稠分泌物积聚、细菌生物膜形成,导致病情进展或治疗失败。本文介绍1例典型病例的诊疗实践,深入探讨重症肺炎气道引流的优化策略,为临床提供参考。 一、典型病例分析
1. 病例基本情况
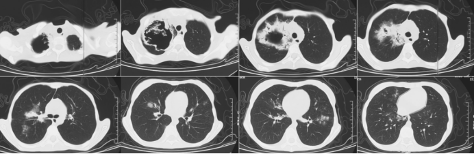
患者为18岁女性,因“全身水肿1月余,咯血27天,意识障碍4天”入院,既往有厌食症病史,BMI仅11.24 kg/m2(严重营养不良)。入院前1个月(2023年12月10日)无诱因出现眼睑、双足水肿,伴干咳、右侧肩背部疼痛,随后出现咯血;胸部CT提示双肺多发斑片影,右肺不规则空洞,壁厚不均匀(图1)。实验室检查显示感染指标显著升高:白细胞12.84×109/L,中性粒细胞11.48×109/L,快速C反应蛋白81 mg/L;血生化检查:谷丙转氨酶148 U/L,谷草转氨酶107 U/L,空腹血糖3.22 mmol/L,肌酐43 μmol/L。
图1 患者胸部CT(2023-12-29)
2. 外院治疗与病情进展
当地医院行支气管镜检查,见双侧多叶段支气管大量土黄色黏稠分泌物,支气管肺泡灌洗液(BALF)真菌培养提示黑曲霉,细胞分类显示中性粒细胞占93.5%,巨噬细胞4%;予伏立康唑抗真菌治疗。但治疗1个月后,患者病情进行性加重,2024年1月12日复查胸部CT显示双肺多发斑片实变影,右肺上叶巨大空洞,内见气液平面,较前进展(图2)。遂转入中日医院进一步治疗。
图2 复查胸部CT(2024-01-12)
3. 本院诊疗与转归
3.1 病原学与抗感染调整
入院后完善病原学检查,除黑曲霉外,新增多重耐药菌感染(阴沟肠杆菌/CRE、肺炎克雷伯菌/CRKP、鲍曼不动杆菌/CRAB、厌氧菌、屎肠球菌、嗜麦芽窄食单胞菌等)及蟾蜍分枝杆菌(NTM)感染,根据药敏结果调整抗感染方案。
3.2 气道引流策略优化
初始采用“每日俯卧位+振动排痰+支气管镜每日2次吸痰”,并于2024年1月24日行气管切开、1月25日行CT引导下脓腔穿刺引流,但因脓液黏稠,引流效果不佳。1月29日起调整为“脓腔冲洗(1500 ml生理盐水/日)+每日2次气管镜吸引+俯卧位引流”联合方案。
3.3 治疗效果
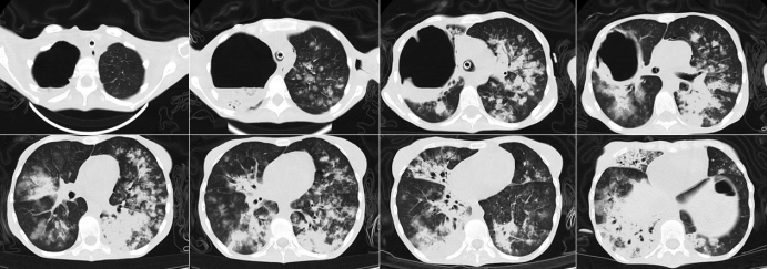
实施优化引流方案10~15天后,患者脓腔冲洗液逐渐清澈、痰量减少;2024年2月19日复查胸部CT显示右肺上叶空洞缩小、气液平面消失,最终顺利转出MICU(2024年3月8日),肺部病变持续吸收。患者治疗过程中胸部CT变化情况如图3所示。
图3 患者胸部CT变化情况
二、重症肺炎患者气道引流障碍的 病理生理机制
气道分泌物增加是重症肺炎患者的常见表现,而重症肺炎患者气道引流障碍并非单一因素所致,而是纤毛黏液系统功能、黏液特性、气道结构与咳嗽功能共同受损的结果,具体机制如下所述。
1. 纤毛黏液系统障碍
气道纤毛是清除分泌物的核心结构,重症感染时,细菌毒素、炎症因子等化学物质刺激可导致:①纤毛摆动异常;②纤毛脱落或生长抑制;③基因突变(如囊性纤维化)患者可进一步加重纤毛功能缺陷,形成“分泌物积聚-感染加重”的恶性循环。
2. 黏液特性改变
正常气道黏液为水凝胶,由97.5%的水、0.9%的盐、1.1%的球状蛋白质和0.5%的高分子量黏蛋白聚合物组成。下呼吸道感染时:炎症刺激使黏蛋白分泌显著增加,但液体分泌不足,导致黏液浓度升高,高浓度黏液形成“黏液斑块”,其黏蛋白网孔径缩小,不仅阻碍氧气扩散(导致气道上皮缺氧),还限制中性粒细胞穿透以清除细菌,同时促进细菌生物膜形成,降低抗感染药物敏感性。
3. 气道阻力与咳嗽功能异常
(1)气道阻力改变:气道内黏液阻塞、外部压迫(如肺实变)可增加气道阻力,进一步阻碍分泌物排出。
(2)咳嗽功能障碍:重症患者常因意识障碍、营养不良、神经肌肉疾病等导致咳嗽肌力下降、咳嗽前肺容积减少,咳嗽峰流速降低,无法有效排出大气道分泌物。
三、重症肺炎患者气道引流的临床意义
有效的气道分泌物引流对重症肺炎患者的预后具有积极作用,其核心价值体现在以下方面:
(1)改善呼吸力学:清除气道内黏稠分泌物,减少气道阻塞,降低气道阻力,减轻呼吸肌负荷。
(2)促进肺复张:解除分泌物对小气道的堵塞,恢复肺泡通气,改善肺不张。
(3)优化气体交换:减少通气/血流(V/Q)比例失衡,提高动脉血氧分压,减少二氧化碳潴留。
(4)增强抗感染疗效:清除细菌生物膜与感染灶周围的黏稠分泌物,提高抗感染药物在病灶局部的浓度,缩短感染控制时间。
四、重症肺炎患者气道引流的 核心技术与应用
重症肺炎气道引流需遵循“湿化先行、廓清为主、精准干预”的原则,结合患者病情选择单一或联合技术。
1. 气道湿化:气道引流的关键环节
气道湿化的核心目标是维持气道黏膜湿润,降低黏液黏稠度,促进纤毛功能恢复。所有气管切开患者均应进行气道加温加湿管理,充分湿润气道黏膜及分泌物。可根据分泌物量及黏稠度、负压吸引频率等选择湿化装置,包括人工鼻、加温湿化器或加热超声雾化器等。
2. 气道廓清技术:气道引流的核心手段
气道廓清技术分为非机械性与机械性两类,临床需根据患者的意识状态、呼吸功能等进行选择。重症患者适用的非机械性气道廓清技术包括药物廓清、体位引流、振肺排痰-叩拍背部、早期主/被动运动。重症患者适用的机械性气道廓清技术主要有咳痰机、机械性振肺排痰仪、声门下吸引技术等。
(1)祛痰药物的选择:祛痰药物通过不同机制改善黏液特性,临床常用分类及作用如下:①驱除呼吸道痰液的祛痰剂:高渗生理盐水,愈创甘油醚;②调节黏液分泌的黏液调节剂:羧甲司坦;③降低黏液黏稠度的化痰剂:N-乙酰半胱氨酸及厄多司坦;④黏液动力学促进剂:支气管舒张剂及氨溴索。
(2)体位引流:根据患者肺部病变区域的不同而采用不同体位,依靠重力作用使肺叶或肺段气道分泌物移动到大气道被清除。常与其他胸部物理治疗方法联合应用,特别是胸部叩拍和震动。
3. 气管镜干预:精准引流的重要补充
气管镜是清除气道内黏稠分泌物及脓栓的精准工具,尤其适用于咳嗽反射差或纤毛功能障碍者。临床研究表明:气管镜吸痰可以显著改善患者氧合和二氧化碳潴留,若联合振动排痰仪,其改善效果优于单纯气管镜吸痰(P<0.05)。
4. 气管切开术:长期引流的保障措施
对于需要长期机械通气、气道分泌物持续较多的重症肺炎患者,气管切开是优化引流的重要选择。相比于经口插管,气管切开患者的舒适度更高,且可减少镇静药物用量,缩短机械通气时间;同时还能够改善引流效率,促进肺复张。
气管切开术的常用术式有传统开放式气管切开术、经皮扩张气管切开术(PDT)以及环甲膜穿刺术。其中,PDT使用改良的Seldinger技术和支气管镜引导,可以在床旁快速安全地进行。
气管切开术的适应证有:①上呼吸道阻塞(包括声带肌松);②患有神经系统疾病或颅脑外伤等疾病的患者需要保护气道;③需要更有效的气道管理,包括采用肺复张策略和有效的清除呼吸道分泌物。
五、总结与展望
重症肺炎患者下呼吸道分泌物的清除至关重要,其清除基于临床所需的气道抽吸以及充足的气道湿化,以气道廓清为主的下呼吸道分泌物清除策略可以大大改善患者分泌物的引流与清除。体位引流、气管镜吸引是下呼吸道分泌物清除的重要手段,而气管切开可以提高患者的舒适度、减少镇静剂使用,有助于重症肺炎患者气道引流。俯卧位、气管镜、气管切开在重症肺炎治疗中也具有关键作用。
作者介绍 吴小静 中日医院呼吸与危重症医学科主诊医师,副主任医师,医学博士,硕士生导师,美国南加州大学医学院访问学者;主要研究方向为重症肺炎和血流感染的诊治及发病机制;以第一/通讯作者身份发表论文20余篇,作为主要执笔人撰写指南/专家共识5项,主持国家级课题1项、省部级课题2项;作为骨干成员获2023年“全国创新争先奖牌”。 声明: 本文仅用于学术内容的探讨和交流,不用于任何商业和推广,亦不作为最终的临床决策。临床实践需根据患者的具体情况选择适宜的处理措施。
后可发表评论
相关推荐
1
肺活检(支气管镜操作)所致大出血的预防与救治
1.2w
2
詹庆元教授:重症肺炎的救治:如何降低病死率?
1.1w
3
李琦教授:重症肺炎早期诊断和危险分层生物标志物研究进展
8631
4
床旁支气管镜在RICU/MICU中的介入治疗
7805
5
一次性支气管镜在RICU有必要吗?
6952
6
健康中国 春归武汉|解立新教授专访:M-ROSE在ICU患者肺部真菌感染中的应用
6563
7
俯卧位通气在重症肺炎中的应用进展
6559
8
黎毅敏教授:重症肺炎的诊治——来自AI的视角
6034
9
通过内标分子进行人源/病原核酸定量宏基因组测序与肺炎诊断
5960
10
重症肺部感染病原学诊断的巨大进步:浅谈二代测序技术
5848
友情链接
联系我们
公众号
客服微信