作者:刘庆华
一、呼吸内镜介入技术与呼吸危重症医学发展间相互关系介入肺脏病学是一门快速发展的亚专科,过去20年,它为各种肺部疾病提供了安全有效的诊治选择,尤其在良性和恶性中央气道阻塞、外周肺结节、纵隔和肺门淋巴结肿大以及哮喘、慢阻肺、弥漫性肺疾病等,都可以通过呼吸内镜介入的方法干预。呼吸内镜介入是介入肺脏病学的重要组成部分,已成为呼吸危重医学发展的重要支撑性技术之一。重症医学多学科交叉但又相对独立,其中呼吸系统的急危重症占据了重要内容,呼吸危重症医学近年来飞速发展。国内许多医院早在20世纪70年代就已开始在呼吸科或内科中设立内科监护室或呼吸监护室,即MICU或RICU的雏形。自20世纪90年代初以来,建立了大批MICU或RICU,但其发展远远滞后于中心ICU及外科ICU等。根据国际先进经验,特别是北美,在各专业学科较为发达的大型医院,其ICU体系的设置基本以专科为主。多年来“非危重症”需要专科化诊疗以求精深,危重症同样在向专科化方向发展。在我国呼吸危重症医学发展过程中,仍然面临很多问题,很多地区还不能达到同质化,在操作和管理等方面存在“不够规范、不够完善、不够均衡”的现状,有待继续努力和改善。目前的呼吸疾病谱与既往相比发生了很大变化,随着医疗技术的发展,临床中出现了很多新的疾病/病种(包括新发传染病等),这些都成为重点关注的话题,我们也会面临各种原因所致的呼吸衰竭或同时合并其他脏器功能衰竭、重症呼吸系统感染、各种原因所致的重症间质性肺炎、肺占位或纵隔病变以及各种肺部慢性疾病等。以重症肺癌为例,其诊治不再局限于传统的化疗,还出现了免疫治疗,但伴随而来的还有免疫治疗相关并发症,也成为重症肺癌管理的重要方面。呼吸疾病谱的演变也对临床医生的诊治技术和水平提出了更高的要求,不仅要具备丰富的临床知识,更要具备过硬的临床技能,这其中就包括了呼吸内镜介入、重症超声、呼吸康复、CRRT、ECMO等,在这些技术当中,呼吸内镜介入是必不可少的一项技术,它甚至贯穿了呼吸系统疾病的诊疗全过程。呼吸内镜介入技术应该成为开启和推动呼吸危重症医学快速高质量发展的金钥匙。呼吸危重症医学的发展离不开呼吸内镜介入技术,它可以为学科发展提供重要的技术支撑。呼吸内镜介入的开展也同样离不开呼吸危重症医学发展,可为其提供最后的安全防线,制约呼吸内镜介入的开展和发展。呼吸内镜介入技术与呼吸危重症医学相辅相成,协同发展。(1)非机械通气的呼吸危重症患者:对于呼吸危重症患者,支气管镜除了用于常规气道管理外,在困难气道的特定情况下,气管镜也可以发挥作用:①插管前气道评估或清醒插管;②放置气管内导管时需要避免颈部过伸的颈部受损患者;③在已知或预期气道内病变的情况下放置气管导管。不但可通过经口或经鼻气管路径放置气管插管,且可明确验证气管插管位置。困难气道是麻醉科、外科、ICU、呼吸危重症医学科经常讨论的话题。文献中提到用多种方法来评估困难气道。在更新版蒙彼利埃-ICU插管策略中也提到了使用可视喉镜。但在临床实践中,仍然有很多患者的问题是可视喉镜无法解决的。2018年发表在Anaesthesia杂志的一篇荟萃分析比较了可视喉镜与纤维支气管镜在清醒气管插管中的应用,该研究发现可视喉镜的气管插管成功率和安全性似乎与纤维支气管镜相当。但呼吸科医生最常用的得心应手的技术还是支气管镜,临床中也曾遇到可视喉镜无法解决而需要在支气管镜协助下才能解决的病例,尤其对于气道狭窄患者。(2)机械通气患者:此类患者需要做好气道廓清,改善和畅通呼吸道,协同抗感染治疗,提高疗效,迅速改善症状。但重点是,操作是否规范?是否进行合理的风险把控?是否妥善处理风险?是否规范地管理内镜?气管镜介入治疗后患者的气道管理,不论是否在进行机械通气,均需要专业的队伍和操作。随着人口老龄化的进展,越来越多的老年患者可能需要气管镜检查,但其耐受性成为临床医生考虑的重点之一。很多患者更适合选择在RICU内床旁完成支气管镜手术,以最大限度地保障手术安全。(1)常规支气管镜检查:气道内病变的病因诊断和评估(如咯血、气道狭窄原因),可以通过床旁支气管镜完成初步诊疗。(2)支气管肺泡灌洗:快速获得优质样本送检实现精准病因诊断,是重症肺部感染患者成功救治的关键性因素。只有经过规范化培训的医护人员才能有效地高质量完成这项工作。病例:女性,69岁,因“发热咳嗽10天”于2019年2月8日入院。高血压病史5年。10天(1月30日)前明显诱因下出现发热,咳嗽,最高体温40℃。2019年2月6日呼吸困难加重,在当地医院气管插管,予莫西沙星+伏立康唑治疗。2019年2月7日下午病情继续加重,出现意识障碍。2019年2月8日夜间气管插管机械通气状态下转入我院RICU。患者入院当晚行气管镜检查,送检NGS,结果回报鹦鹉热衣原体(序列数138)。经过针对性治疗患者病情好转。(3)经支气管针吸活检术(conventional transbronchial needle aspiration,C-TBNA):该技术是呼吸科的一项基本介入技术,也是一项非常实用的呼吸内镜诊疗技术。病例:男性,68岁,反复咳嗽、活动后胸闷半月于2月17日入急诊病房。治疗4天后病情进行性加重,右侧面部肿胀,呼吸困难,活动受限,转入RICU,恶液质状态。胸部CT提示(图2):大气道狭窄,右上肺占位,纵隔肺门淋巴结肿大,上腔静脉综合征,双侧胸腔积液。行胸腔闭式引流,胸水送化验。C-TBNA:4R组;病理提示小细胞肺癌(SCLC)。病例:男性,61岁,因“气促、咳嗽10个月,气促加剧1个月”入院。1个月前慢走5~6米即气喘明显。吸氧,流量2~3 L/min,SpO2 60%左右。经口服药、雾化等治疗症状无改善,于上海多家医院就诊,曾进行多种抗感染治疗,包括抗真菌治疗和气管镜检查,病情仍进行性加重。患者入我院查体:R 30次/min,发绀,SpO2 60%。高流量氧疗(40 L/min,FiO2 95%)SpO2 78%。胸部CT示双肺弥漫性病变(图3)。
图3  患者胸部CT
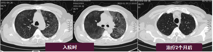
在常规气管镜、适当镇静情况下,通过局部麻醉缓慢完成TBLB操作。患者肺泡灌洗液脱落细胞阴性,肺泡灌洗液未查到癌细胞。最终经活检证实为黏液腺癌。(5)冷冻肺活检 & TBLB:冷冻肺活检也是近年来开展比较多的一项技术,尤其在弥漫性间质性肺疾病的诊断中发挥了重要作用。此项技术不仅可以在手术室完成,也可以在床旁完成。病例:男性,67岁,鼻塞伴双上肢肌肉酸痛2天,呼吸困难1天。血常规:WBC 14.48×109/L,NEU% 87.5%,RBC 5.34×1012/L,Hb 117 g/L,PLT 99×109/L;血气分析提示Ⅰ型呼吸衰竭。入院即刻床旁气管镜检查。BALF和保护毛刷培养均阴性,病原微生物NGS结果阴性,TBLB病理提示慢性炎症。治疗前后胸部CT如图4所示。呼吸内镜下常用的介入技术包括:气管支架植入/球囊扩张等机械性迅速改善气道通气/畅的能力,清理气道内异物、分泌物、止血技术,经口/鼻气管镜引导下气管插管,电切刀/电凝/氩等离子体(APC)/激光等热消融技术,冷冻/药物注射等。(1)治疗性肺泡灌洗:患者女性,79岁,溺水10小时,气管插管下于2019年3月15日7:30 pm转入RICU。入院后迅速进行肺泡灌洗,清理肺内恶性分泌物,患者得到及时有效的救治。患者胸片变化如图5所示。(2)威胁生命大咯血救治:吸引清除气管内凝血块,最大限度地保障气道通畅和有效的气体交换;对于威胁生命的大咯血,支气管镜可在其他特定手段干预之前,迅速提供有价值的治疗性止血措施;气管镜处理时机:84%的介入肺脏病医生会在咯血24 h内行气管镜检查。对于大咯血,有两种方式治疗:局部治疗(冰盐水灌注, 肾上腺素盐水, 血管加压素, 凝血酶纤维蛋白原复合物, 氨甲环酸, 氧化再生纤维素医用蛋白凝胶等)和气管腔内治疗[Fogarty球囊封堵器, 硅胶塞, 热消融技术(激光、APC、冷冻),双腔气管插管]。可以在短期内尽可能地控制出血,为后续治疗争取时间。(3)快速解除气道梗阻—气管支架植入/球囊扩张等:气管内肿瘤或气管食管瘘患者引发严重呼吸困难,气管支架是重要的解决方法之一。对于急症患者,支架置入的推广和培训相对比较容易。临床中还能会通过球囊扩张等方法来解决一部分气道的问题。(4)气管镜引导下经皮扩张气道造口术(PDT):1985年Ciaglia等报道,PDT目前已经应用已经越来越广。与外科相比,PDT减少了出血,缩短了手术操作时间,降低了医疗费用,减少了切口感染机会。此项技术的并发症发生率在5%左右,但仍有致命性并发症的发生风险。一项研究分析了70例与PDT相关的死亡病例,结果发现,PDT相关死亡率为0.17%,致死性并发症主要是血管损伤和气道相关并发症。因此建议:认真筛选患者,由气管镜引导下行PDT。(5)取气管内异物:气管内取异物相对简单,但对于手术耐受性差的患者仍然存在一定风险,注意选择适宜的器械和技术取异物,做好并发症的应对。(1)呼吸内镜介入技术的规范化培训和推广:保证质量以及使结果同质化。例如:肺泡灌洗如何提高阳性率?如何预防和避免并发症?是否真正把握了合适的适应证和禁忌证——哪些患者需要做,哪些患者不需要做?是否真正明晰了操作的目的和价值?如何规范化放置急症气管支架?如何处理出血等并发症?如何保证和监管各种介入操作技术的质量?一项针对麻醉医师的全国性横断面研究纳入了2016年10月27日至2016年11月27日期间1935份关于困难气道处理的问卷回复,当出现意外困难气道时,63%的10年以下麻醉医师和65%的10年以上麻醉医师会在尝试1~2次后寻求帮助(P=0.000)。超过70%的受访者表示他们更喜欢套管环甲膜切开术来处理紧急气道;受访麻醉师在困难气道评估方面存在培训缺口,培训和使用FONA应急技能,促进国内外气道管理指南的使用;应对年轻医生进行更多的气道管理理论和技能培训,以提高他们的气道管理技能。以色列一项ICU内气道管理问卷调查涉及20个ICU,应答率为70%(20个ICU中有14个),其中71%的ICU采用ASA算法评估困难气道,气管镜下插管在以下两种情况使用频率明显高于其他方法:78%的困难气道和64%的颈椎损伤(P<0.0001);只有43%的单位报告召开了质量保证会议。69%的单位负责人对他们的气道管理策略感到满意。(2)创新与发展:需要是发展的动力,实践是发展的基础,创新是发展的源泉。①器械的创新:需要更为清晰价廉的不同型号的床旁内镜的研发,包括一次性内镜;在临床发现问题并反馈给技术人员,重视医工结合,在临床中寻找新的切点,有更多呼吸介入相关产品的发明和转化。②技术的创新:例如经皮气切技术的不断发展,在新技术的辅助下,使可视化程度不断增加,进一步提高技术的成功率和安全性。(3)呼吸重症团队人才缺口:注重人才建设,需要建立强大的医师队伍、治疗师队伍、护理队伍、护工队伍等。呼吸内镜介入技术与呼吸危重症医学密不可分,呼吸内镜介入技术是呼吸危重症医学发展中不可或缺的关键性技术之一,呼吸危重症医学亦是呼吸内镜介入开展和创新的最后一道安全防线。临床常用介入性诊断和治疗技术包括TBNA、TBLB、冷冻肺活检、肺泡灌洗、支架置入、冷热消融等技术,它们在呼吸危重症患者的救治中有重要的应用价值。当下仍然需要加强呼吸内镜介入技术规范化培训以及专科化呼吸危重症人才队伍的建设。[1] De Jong A, Myatra SN, Roca O, et al. How to improve intubation in the intensive care unit. Update on knowledge and devices[J]. Intensive Care Med, 2022, 48(10):1287-1298. [2] Alhomary M, Ramadan E, Curran E, et al. Videolaryngoscopy vs. fibreoptic bronchoscopy for awake tracheal intubation: a systematic review and meta-analysis[J]. Anaesthesia, 2018, 73(9):1151-1161. [3] Revel MP, Fournier LS, Hennebicque AS, et al. Can CT Replace Bronchoscopy in the Detection of the Site and Cause of Bleeding in Patients with Large or Massive Hemoptysis?[J]. AJR Am J Roentgenol, 2002, 179:1217-1224. [4] Torbiarczyk JM, Sobczak PA, Torbiarczyk KK, et al. Is bronchoscopy always justified in diagnosis of haemoptysis?[J]. Adv Respir Med, 2018, 86:13-16.[5] Hsiao EI, Kirsch CM, Kagawa FT, et al. Utility of Fiberoptic Bronchoscopy Before Bronchial Artery Embolization for Massive Hemoptysis[J]. AJR Am J Roentgenol, 2001, 177:861-867.[6] Charya AV, Holden VK, Pickering EM. Management of life-threatening hemoptysis in the ICU[J]. J Thorac Dis, 2021, 13(8):5139-5158.[7] Haponik EF, Chin R. Hemoptysis: Clinicians’ Perspectives[J]. Chest, 1990, 97:469-475.[8] Ma G, Yang R, Gu B, et al. Tracheal stent placement provides opportunity for subsequent anti-cancer therapy for cancer patients with malignant respiratory complications[J]. Ann Palliat Med, 2021, 10(2):1042-1049.[9] Ciaglia P, Firsching R, Syniec C. Elective percutaneous dilational tracheostomy[J]. Chest, 1985, 87(6):715-719.[10] Ghattas C, Alsunaid S, Pickering EM, et al. State of the art: percutaneous tracheostomy in the intensive care unit[J]. J Thorac Dis, 2021, 13(8):5261-5276.[11] Abbott F, Ortega M, Bravo S, et al. Can we improve teaching and learning of percutaneous dilatational tracheostomy's bronchoscopic guidance?[J]. SAGE Open Med, 2021, ;9:20503121211002321. [12] Bajaj D, Sachdeva A, Deepak D. Foreign body aspiration[J]. J Thorac Dis, 2021, 13(8):5159-5175.[13] Ayats-Vidal R, Vásquez-Pérez A, Gallego-Díaz M, et al. Successful removal of distal persistent foreign body airway with CO2 cryotherapy in a child[J]. Respir Med Case Rep, 2022, 36:101594. [14] Bajaj D, Sachdeva A, Deepak D. Foreign body aspiration[J]. J Thorac Dis, 2021, 13(8):5159-5175. [15] Liu HH, Wang Y, Zhong M, et al. Managing the difficult airway: A survey of doctors with different seniority in China[J]. Medicine (Baltimore), 2021, 100(38):e27181.[16] Haviv Y, Ezri T, Boaz M, et al. Airway management practices in adult intensive care units in Israel: a national survey[J]. J Clin Monit Comput, 2012, 26(6):415-421. 
刘庆华
主任医师,复旦大学医学博士,副教授,硕士生导师,同济大学附属东方医院;美国约翰·霍普金斯医院访问学者,中华医学会呼吸病学分会第十一届介入呼吸病学学组委员、第十届青年委员、第九届感染学组委员,中华医学会呼吸病学分会纵隔与胸膜疾病学组(筹)委员,中国医师协会呼吸医师分会危重症青委,中国医师协会内镜医师分会呼吸内镜专委会委员,上海市医学会呼吸病学专科分会第十一届介入学组委员。擅长呼吸内镜介入诊疗、肺部感染性疾病和胸膜疾病,对呼吸危重症有丰富的临床经验。已发表论文60余篇,参编呼吸专著10余部,其中主编1部,副主编4部,主译2部,副主译1部。主持和完成省市级科研课题5项,主持横向课题1项。曾荣获医学科技创新成果奖三等奖和同济大学教学成果奖三等奖各1项。