登录方式

方式一:
PC端网页:www.rccrc.cn
输入账号密码登录,可将此网址收藏并保存密码方便下次登录

方式二:
手机端网页:www.rccrc.cn
输入账号密码登录,可将此网址添加至手机桌面并保存密码方便下次登录

方式三:
【重症肺言】微信公众号
输入账号密码登录

注:账号具有唯一性,即同一个账号不能在两个地方同时登录。

登录
方式

为重症救治赋能

为患者康复加速

当前位置:首页 重症肺炎 诊断技术

肺活检(支气管镜操作)所致大出血的预防与救治

周国武 国家呼吸医学中心中日友好医院呼吸与危重症医学科 发布于2023-06-28 浏览 11494 收藏

作者:周国武


单位:国家呼吸医学中心中日友好医院呼吸与危重症医学科

图片

一、支气管镜操作相关大出血
支气管镜检查的并发症主要包括出血、气胸、气道痉挛、低氧血症、发热等。结合ChestRespiration上发表的两篇文[1,2],支气管镜操作相关出血的定义为:单次支气管镜操作所导致的出血<50 ml定义为少量出血,50~100 ml为中量出血,>100 ml为大量出血。2013年在苏州召开了“支气管镜诊疗操作相关大咯血预防和救治研讨会”,此次会议受到了业界的广泛关注,也从侧面反映了这一个问题的严峻性。会后,在上海市东方医院李强教授的带领下,我们完成了两项主要工作,一是在2016年发布了国内首部有关支气管镜诊疗操作相关大出血的预防和救治专家共识[3],二是组织了一项多中心调查[4]。此项调查在国内40家中心发放了问卷,回收33家中心的数据,收集了2001—2013年的病例,采集的数据包括患者的基本资料、治疗措施、支气管镜操作数、大出血患者数及预后。共计520343例次支气管镜操作数,其中,大出血194例(发生率为0.037%),死亡21例(死亡率为0.004%;病死率为10.8%)。在诊断性支血管镜中,活检出现大出血的概率最高,可以达到0.065%,致死率高达10.1%,高于诊断性支血管镜的整体平均值。而治疗性支气管镜大出血的发生风险显著高于诊断性支气管镜技术(0.059% vs. 0.031%,P<0.001)。在大出血发生率方面,热消融术>活检>支架置入≈腔内冷冻≈球囊扩张>刷检>支气管肺泡灌洗(BAL);在死亡率方面,热消融术>球囊扩张>腔内冷冻≈活检>刷检;在致死率方面,球囊扩张>热消融术>腔内冷冻>活检>刷检;安全性较高的操作包括经支气管镜针吸活检术(TBNA)和超声引导下经支气管针吸活检(EBUS-TBNA)。年龄>65岁、出血部位位于气管、出血量>500 ml及休克是患者预后不良的因素,如果患者出现大出血后有机会接受急诊手术,其存活的可能性较大,是预后良好的因素。

图片

如何救治
在此项调查中,我们也统计了大出血患者采用的治疗措施,使用最多的是局部止血,在194例大出血患者中,每位患者都采取了局部止血措施,体位改变、静脉止血应用也较多,但机械性压迫止血的应用比例不足10%。实际上,对于大出血尤其是瞬间大出血的患者而言,机械性压迫止血尤为重要。此外,接受支气管动脉栓塞术和急诊手术的患者也并不多,当然这也是由多种原因所导致。大出血患者救治成功后再次出血的概率极低[4]。最重要的是,一旦出现大出血,如何救治?根据我的个人经验,支气管镜操作中大出血的救治原则可总结为以下三项:第一,保护通气功能;第二,尽快施行止血措施;第三,维持血液循环。
1. 保护通气功能
保护通气功能的措施主要包括:提高吸氧浓度,患侧卧位,清除气管和健侧肺积血及血凝块,气道控制和肺隔离。
实际上在临床中,患侧卧位常被忽略,《支气管镜诊疗操作相关大出血的预防和救治专家共识》中对此也进行了阐述,如下图所示。患者平卧位(①)时,气道内的积血常会溢入健侧气道和肺内;患侧卧位(②)时可以有效防止患侧肺内的积血溢入健侧肺。因此,如果是患侧卧位,至少可以保证健侧肺正常通气,如果出血量过多,患者也可经口咳出。
图片
下图所示为上海长海医院大出血患者,清除气管和健侧肺积血及血凝块后,可以看到血栓形成的气管支气管树。需要注意的是,尽量使用治疗性的支气管镜,因其工作孔径较大(2.8 mm或3.0 mm),吸力很大,能够快速吸除气道内的积血和血凝块。此外,也可以通过异物钳、冷冻探头清除血栓。
图片
保护通气功能还有一个很重要的措施就是气道控制和肺隔离,具体包括支气管镜引导气管插管、间接喉镜引导气管插管、转硬质支气管镜、双腔气管插管、喉罩气管插管,它们的共性问题是没有视野,在没有任何视野的情况下,盲目地拔出气管镜,可能会导致无法成功地进行气管插管,也就无法达到气道控制和肺隔离的目的。因此,建议在麻醉医生在场的情况下才考虑拔出内镜,然后再通过气管插管进行通气。当然,气道控制和肺隔离也可以采用其他方式,例如通过球囊,气管插管进行通气,球囊可以进行患侧肺的封堵,进而保护健侧肺的正常通气。双腔管也可作为选择,但实际操作时相对困难,因为双腔管操作及位置确认等可能需要支气管镜引导,所以真正在抢救过程中,双腔管并不是一种快速的方法。另外,也可以直接通过气管插管的延长管直接插入健侧进行通气,以隔绝患侧出血。
图片
2. 尽快施行止血措施
(1)药物止血:①局部灌注:冰水、肾上腺素、血凝酶、凝血酶;②静脉药物止血:血凝酶、垂体后叶素、酚妥拉明。
(2)机械性填塞止血:①Wedge法:是机械性填塞止血方法中最简单的一种,直接用支气管镜尖端部位封堵段支气管,适用于段支气管远端出血,例如TBLB及经皮穿刺活检,可以通过Wedge法及时插入气管镜,可以达到很好的止血效果。②球囊填塞:适用于主支气管以及更远端的出血,选择合适的球囊将主支气管封堵后,可以使肺隔绝,并使健侧肺通气。需要注意的是,球囊填塞不是压迫止血,因为很多时候球囊无法压迫到出血点,更多是起到封堵的作用,使其形成血栓,然后自我封堵,进而达到止血目的。③止血纱布填塞:这种方法往往需要在硬镜通道下才能进行。④气管插管球囊填塞:适用于无法用球囊止血的气管出血,此时如果有气管插管,可以直接将气囊插入出血的远端,在视野条件允许的情况下,也可以通过气囊进行病灶的压迫止血。

图片


图片
当出现大出血,如果通过球囊进行封堵,气管镜就被占用了,此时如果出血量很大,气管镜的工作孔道被球囊占用,里面的积血影响了健侧肺的通气,无法改善氧合,怎么办?这种情况下可以采用“双镜法”,即一个气管镜进行封堵止血,另一个气管镜进入健侧肺清除气道内的积血或血凝块,这种方法还可以监测球囊的止血效果。
图片
在时间和条件都允许的情况下,还可以采用氩等离子体凝固术(APC)、支气管动脉栓塞术和外科手术进行止血,进一步提高抢救成功率。
3. 维持血液循环
气道内大出血导致的循环问题多数并非失血性休克,而是缺氧性心跳骤停—心源性休克所导致。因此,对于气道内大出血的救治,应将纠正缺氧放在首位。纠正缺氧后,患者心跳恢复,休克也就得以纠正。此外,建立静脉通道、补液、升压、维持酸碱平衡,也是不可或缺的措施。

图片

如何预防
实际上,对于支气管镜操作所致大出血重点是预防,建议在以下方面开展工作:第一,适应证和禁忌证的把控。第二,分层诊治,及时区分高危患者,选择合适的手术方案。第三,有条件的单位可完善平台建设,对大出血的整体预防至关重要。
1. 严控适应证和禁忌证
国内外指南中有关支气管镜操作适应证的范围都很广泛,而且在禁忌证方面更多提到的是相对禁忌证,包括患者的病情、内镜医生的操作水平、学科保障情况等。但个人认为支气管镜操作还是存在一定的绝对禁忌证的,如医患沟通不畅、临床无法获益等。
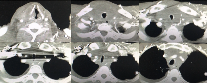
病例1(本院病例):中年男性,食道癌术后、放疗后复发。呼吸困难进行性加、吞咽困难3个月,拟行“气管支架置入术”收入院。查体:双肺呼吸音粗,可闻及喉鸣音。胸部CT提示颈部、纵隔占位,气管中段重度狭窄。
图片
鉴于患者有明显的喉鸣音,建议行喉镜检查,结果发现,在吸气与呼吸相时,双侧声带几乎不动,仅有很细的一条缝隙。该患者即使进行气道支架植入,也并不能改善症状,因其为双侧声带麻痹,气管镜操作时反而会导致声门水肿,加重呼吸困难。所以,在临床无法获益的情况下,此类患者尽量不要进行气管镜操作。
图片
2. 分层诊治
临床上首先要区分出哪些是气管镜操作的高危人群:①治疗性诊疗操作(包括冷冻活检)大出血的风险显著高于诊断性操作,此类患者可视为高危人群。②可疑血管畸形和富含血供病灶的患者大出血风险也明显增高。③单肺通气、大气道狭窄患者的通气储备不足,也是气管镜操作的高危人群。④气管病变及心肺代偿功能较差的患者也需要高度重视。
(1)如何识别高危患者
①充分的影像学研判;②良好的医患沟通;③多学科联合会诊。
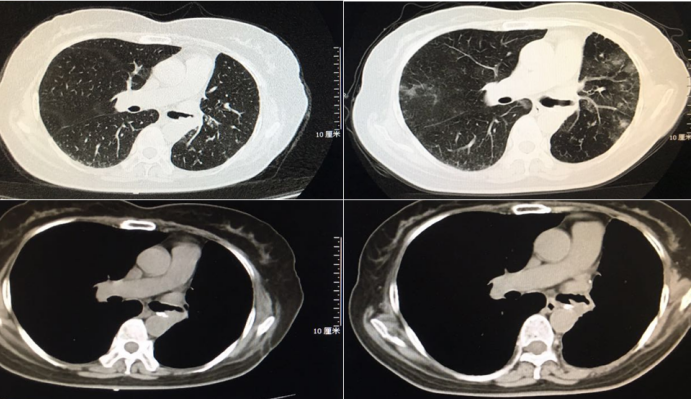
病例2(本院病例):老年女性,左下肺结核术后。反复咳嗽、咯血9年,加重1周。胸部CT平扫提示左上叶支气管狭窄,较1个月前进展,左上肺支气管扩张伴感染。
图片
支气管镜检查可左上叶开口位置有一光滑的小结节。
图片
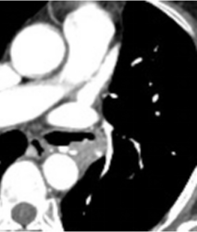
胸部CT增强扫描左上叶开口后靠近背部位置“结节”中的血供丰富,CT值>100。建议患者行支气管动脉栓塞术。
图片
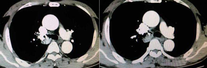
病例3(上海长海医院病例),中年男性,慢性起病。反复咳嗽、咳痰3年余,加重1个月。胸部CT提示右主支气管新生物。
图片
支气管镜检查发现右主支气管有菜花样宽基底赘生物。
图片
胸部CT增强扫描右主支气管分布强化的血管影。
图片

EBUS-TBNA穿刺发现软组织影较浅,在软组织影下方可以看到一条明显的扩张血管,而且为多普勒阳性病例。

图片

患者于放射科行支气管动脉造影,可见右主支气管有畸形血管影。该患者最终行支气管动脉栓塞术。

图片
在识别气管镜操作的高危患者时,胸部CT增强扫描的作用无可替代,也有指南建议“无增强不活检”。
除了CT影像学,也可以通过支气管镜影像进行血管畸形的判别,例如通过超声小探头对Dieulafoy's病进行探测[5]。另外,支气管镜的窄谱功能也可以很好地识别变异的血管[6, 7]。对于特殊病变,例如高度怀疑支气管肺曲霉病、毛霉病的患者,尽量不要进行活检。
图片
图源:Respir Med Case Rep, 2015, 16:20-23.

图片

图源:J Bronch Interv Pulmon, 2014, 21(3):267-270. & Lung India, 2017, 34:99-101.

(2)如何选择手术方案
在考虑手术方案时应关注内镜的选择、麻醉方式、人工气道的建立方式及手术方式的选择。①内镜的选择:工作孔径,选用可弯曲支气管镜或者硬质支气管镜。对于高危患者,一般建议采用治疗性支气管镜,如果条件允许,尽量在硬镜下进行操作。②麻醉方式:包括局部麻醉、静脉麻醉、全身麻醉、全身麻醉+高频喷射通气。有麻醉医生在场,可以显著提高操作的安全性。③人工气道的建立方式:可以通过气管插管、喉罩和硬镜事先建立人工气道。一旦在气管镜操作中发生大出血,可以尽快采取气道控制、肺部隔离以及止血等措施。④手术方式:首先应遵循先“微”创、后“巨”创的原则。统计发现,EBUS-TBNA与常规TBNA的大出血的风险很低,其穿刺针直径仅为20 G(不足1 mm),因此创面很小,创伤轻微。对于把握不好的患者,可以先采用TBNA进行活检。其次,可以选择预置球囊的手术方式。对于高出血风险操作(冷冻肺活检、异物摘除、肿瘤冻切)或高出血倾向(病灶部位血供丰富、凝血功能障碍、危重症的高危操作、近期大咯血)的患者,可以预置球囊。2021年,四川大学华西医院呼吸与危重症医学科的同道开创了一种新的实用且可行的方法,即对ICU重症患者经皮肺穿刺活检,他们采用了经支气管放置球囊来保障患者的安全,取得了很好的效果[8]

图片

图源:Crit Care, 2021, 25(1):359.
3. 平台建设
平台建设包括杂交平台,规章、制度、培训,以及团队建设。
(1)杂交平台:集支气管镜、经皮、血管介入于一体的平台。我们中心引进了一台锥形束CT,它可以同时进行支气管镜、经皮或血管介入,一旦在支气管镜操作中发生大出血,可以立即进行支气管动脉栓塞术,为患者赢得宝贵的抢救时间。
图片
(2)规章、制度、培训:规章制度的完善和建立以及反复多次的培训也是不可或缺的一环。
(3)团队建设:①术前多学科讨论,包括呼吸科、胸外科、麻醉科、影像科、放疗科、肿瘤科等;②术中多学科协作,包括呼吸科、胸外科、血管外科(介入放射科)、麻醉科。多学科协作对于降低医疗风险、改进医疗技术具有重要作用。
综上,支气管镜诊疗操作相关大出血是支气管镜诊疗操作较严重的并发症,保护通气功能、尽快采取有效措施止血、维持血液循环,可以提高抢救成功率。严格把握支气管镜诊疗操作的适应证和禁忌证,识别高危患者,选取适宜的手术方案,做好平台建设,培养专业团队,对于预防支气管镜诊疗操作中发生出血均具有重要意义

参考文献


[1] Cordasco E M Jr, Mehta A C, Ahmad M. Bronchoscopically induced bleeding. A summary of nine years' Cleveland clinic experience and review of the literature[J]. Chest, 1991, 100(4):1141-1147. 

[2] Gwili N, Jones S J, Amri W A, et al. Blood loss during flexible bronchoscopy: a prospective observational study[J]. Br J Cancer, 2021, 125(7):983-993. 

[3] 中华医学会呼吸病学分会. 支气管镜诊疗操作相关大出血的预防和救治专家共识[J]. 中华结核和呼吸杂志,2016,39(8):588-591. 

[4] Zhou G W, Zhang W, Dong Y C, et al. Flexible bronchoscopy-induced massive bleeding: A 12-year multicentre retrospective cohort study[J]. Respirology, 2016, 21(5):927-931.

[5] Ganganah O, Guo S, Chiniah M, et al. Endobronchial ultrasound and bronchial artery embolization for Dieulafoy's disease of the bronchus in a teenager: A case report[J]. Respir Med Case Rep, 2015, 16:20-23.

[6] Serrano-Fernández M L, Alvarez-Maldonado P, Aristi-Urista G, et al. Narrow-band imaging bronchoscopy in tracheobronchial amyloidosis[J]. J Bronchology Interv Pulmonol, 2014, 21(3):267-270.

[7] Madan K, Dhungana A, Hadda V, et al. Flexible bronchoscopic argon plasma coagulation for management of massive hemoptysis in bronchial Dieulafoy's disease[J]. Lung India, 2017, 34(1):99-101. 

[8] Zhao Y, Jiang F, Yu H, et al. Bronchus-blocked ultrasound-guided percutaneous transthoracic needle biopsy (BUS-PTNB) for intubated patients with severe lung diseases[J]. Crit Care, 2021, 25(1):359. 

作者简介



图片

周国武
  • 医学博士,副主任医师

  • 中日友好医院呼吸与危重症医学科呼吸病介入诊疗学组骨干

  • 中国医师协会呼吸医师分会青年工作委员会委员

  • 中华医学会呼吸病学分会胸膜及纵隔疾病学组(筹)委员

  • 中国医师协会内镜医师分会呼吸内镜医师青委会常委

  • 北京内分泌代谢病学会代谢性呼吸病专委会常委

  • 北京整合医学学会介入诊疗转化医学分会常委

  • 作为负责人/骨干承担国家自然科学基金、医科院临床与转化研究、国家重大专项等3项

  • 以第一作者和通讯作者在Eur Respir J、Respirology、BMC Pulm Med、Ann Transl Med等杂志发表SCI论著12篇

  • 参编《介入肺脏病学理论与实践》《支气管腔内超声图解指南》等专著/译著5部

  • 获国家发明专利1项,实用新型专利4项

声明:

本文仅用于学术内容的探讨和交流,不用于任何商业和推广,亦不作为最终的临床决策。临床实践需根据患者的具体情况选择适宜的处理措施。


全部评论 0
Copyright©2020-2026 北京医麦斯科技有限公司 版权所有 京ICP备2020034400号-1 京公网安备11010502043983号