登录方式

方式一:
PC端网页:www.rccrc.cn
输入账号密码登录,可将此网址收藏并保存密码方便下次登录

方式二:
手机端网页:www.rccrc.cn
输入账号密码登录,可将此网址添加至手机桌面并保存密码方便下次登录

方式三:
【重症肺言】微信公众号
输入账号密码登录

注:账号具有唯一性,即同一个账号不能在两个地方同时登录。

登录
方式

为重症救治赋能

为患者康复加速

当前位置:首页 重症肺炎 诊断技术

床旁支气管镜在RICU/MICU中的介入治疗

李洋 西安交通大学第一附属医院呼吸与危重症医学科 发布于2024-11-28 浏览 7796 收藏

作者:李洋


单位:西安交通大学第一附属医院呼吸与危重症医学科

气管镜的介入治疗和RICU/MICU的飞速发展极大地提高了危重症患者的救治水平,是支撑呼吸学科发展建设的重要基石。

图片
一、床旁支气管镜介入治疗


临床中,床旁支气管镜主要用于人工气道的建立与管理、重症下呼吸道感染的病原快速诊断及鉴别诊断、中心气道阻塞的快速解除以及难治性气胸以及气管、支气管瘘的腔内封堵。
1. 人工气道的建立与管理
(1)床旁支气管镜引导气管插管术:其适应证主要包括重症颅脑外伤、颌面部重度损伤致张口困难及颈椎损伤;体型肥胖、颈部短粗、小颌畸形、口咽部及喉部异常;颈部肿物压迫气管,口咽部有大量分泌物使声门暴露不清。此项技术的优势在于:①及时、直接、有效;②经鼻插管保留时间长;③患者容易耐受。
(2)经皮扩张气管造口术(percutaneous dilational tracheostomy, PDT):利用成套的一次性器材,通过套管针穿刺气管导入特制导引钢丝,然后在钢丝导引下扩张颈前组织、经气管前壁置入气管套管的技术。这是一种床边操作的开放气道技术,具有创伤小、并发症少和操作简便等特点。
(3)气道分泌物及异物廓清术:气道分泌物、出血或食物及胃内容物等异物的误吸和大气道梗阻等,严重时可导致患者窒息,甚至死亡。因此,床旁实施支气管镜检查,能够及时清理分泌物,确保气道畅通。
2. 重症下呼吸道感染病原快速诊断及鉴别诊断
(1)支气管肺泡灌洗术(BAL):通过BAL可以进行灌洗液培养,并且送检mNGS,快速得到病原学结果。
(2)经支气管肺活检术:包括经支气管病变部位肺组织钳夹活检术(TBLB)和经支气管病变部位肺组织冷冻活检术(TBCB)。感染或肿瘤性病变多选择TBLB,可送检组织学mNGS检测,尤其适用于高度怀疑霉菌感染,但其他实验室检查不支持。弥漫性肺间质病变多选TBCB。
3. 中心气道阻塞的快速解除
床旁支气管镜可以快速解除中心气道阻塞,适用于:①气道内异物,包括分泌物、积血以及其他异物(图1);②良性病变。例如感染、良性肿瘤或增生、气道支撑结构的破坏等(图2);③恶性病变,例如气道内肿瘤组织堵塞、气道壁浸润以及管腔外的压迫(图3)
图片
图1  支气管镜处理痰液阻塞
图片
图2  支气管镜急诊处理良性气道狭窄
图片
图3  食管癌侵犯气管致大气道狭窄—覆膜支架植入
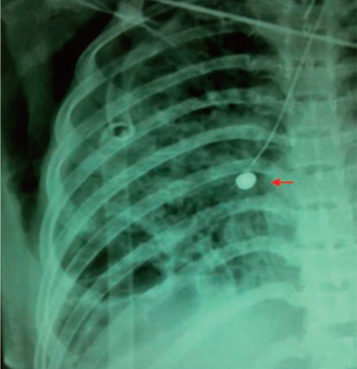
4. 难治性气胸以及气管、支气管瘘的腔内封堵
各种类型的气胸经持续肋间引流7 d后仍存在活动性漏气时称为难治性气胸。支气管镜可以选择性地将通向胸膜瘘口(或称破裂口)的责任引流支气管可逆性封堵,以阻断或明显减少胸膜瘘口的漏气量,进而使患侧肺复张并加速胸膜瘘口愈合(图4)


图片

图4  X线胸片示球囊导管填塞治疗机械通气合并难治性气胸


图片
二、临床病例分享


2018年成人ECMO专家共识中指出:ECMO治疗呼吸衰竭的具体指征包括大气道阻塞,由于新生物或异物所致大气道阻塞往往需要气管切开或气管镜介入治疗,辅以ECMO支持可以保证上述操作安全进行,大部分报道均取得较好的疗效。
病例1:危重的良性气道狭窄
一般情况:患者女性,37岁,气管插管后气道良性狭窄,气管切开状态。
前期治疗:气管镜下冷热消融及球囊扩张治疗无效(图5);耳鼻喉头颈外科行T管置入术,置入后T管下端肉芽组织增生(图6);再次冷热消融治疗后出院,未定期随诊;T管下段增生明显(图7),病情突然变化。收入RICU,组织全院MDT。
图片
图5  气管镜下冷热消融及球囊扩张治疗
图片
图6  T管置入术后出现狭窄和肉芽组织增生
图片
图7  T管远端大量肉芽组织增生
各项检查结果:呼吸困难,嗜睡,反应迟钝,呼之可应;T 36.6℃, P 148次/min,R 25次/min,BP 120/77 mmHg,SpO96%(无创呼吸机辅助通气,FiO35%)。急性面容,口唇发绀、气管切开、内置T管,吸气相三凹征,双肺呼吸音粗,呼吸相及吸气相均可闻及干啰音。血气分析:pH 7.11,PaCO2 114 mmHg,PaO2 109 mmHg,HCO3- 36.3 mmol/L,BE 2.5 mmol/L。床旁胸片:双肺(-)。心脏超声:左室舒缓功能减低,射血分数74%。
治疗方案:①VV-ECMO+全麻;②支气管镜镜下治疗,扩张气道至直径至少10 mm(图8);③更换T管,T管下段超过狭窄部2 cm,隆突上1 cm;④24 h后开始后装放疗,抑制瘢痕组织增生;⑤气管镜随访(图9)
图片
图8  支气管镜镜下治疗
图片
图9  术后复查
门诊随访:近1个月,T管下段未再出现增生(图10),说明治疗方案有效。
图片
图10  门诊随访情况
思考:此例患者诊治时间较早,当时支气管镜介入治疗处于刚刚起步阶段,对良性气道狭窄的处理经验不丰富,冷热消融后再次出现气道狭窄,后期逐渐积累经验,良性气道狭窄及瘢痕组织增生非常难以控制,需要多种技术相结合,同时还要定期监测评估随访,以防出现难以控制的不良局面。②对于瘢痕体质患者,一定要充分评估,如必须行外科手术治疗,尽量避免气管插管,可以选择喉罩或其他麻醉方式,以防后期气道狭窄。
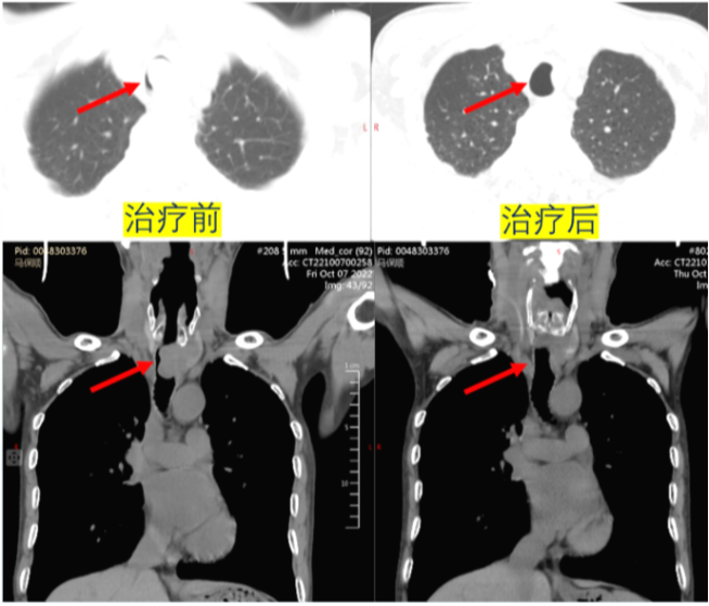
病例2:危重的恶性气道狭窄
一般情况:男性,56岁,气管腺样囊性癌2年,未正规治疗。气短3天,逐渐加重。
查体:胸闷气短,端坐呼吸,指脉氧下降,三凹征明显,气管听诊区可闻及双相哮鸣音,PaO2 50 mmHg。镜下可见气管内新生物堵塞气道(图11)
图片
图11  气管镜下所见

MDT意见:①无法外科手术;②端坐呼吸、气短明显,全麻风险极高;③肿块组织大,硬镜旋切出血及管腔阻塞的风险极大。在此情况下,治疗团队选择了一种既能降低手术风险,又可以处理大气道阻塞的方法——清醒VV-ECMO+硬镜旋切。切除的肿瘤组织较多且大,呈黏液样表现(图12)。手术前后对比发现,患者气道狭窄明显改善(图13)


  图片

图12  切除的肿瘤组织
图片
图13  患者手术前后比较
思考:对于大气道狭窄患者,要充分把握评估时机,做到高效、及时、准确评估,才能为下一步治疗方案的制定打下坚实的基础。②术前考虑因素宁多勿少,不要抱有侥幸心理,尽量将风险降至最低,以防出现严重的、无法挽回的情况。
病例3:危重的肺泡蛋白沉积症
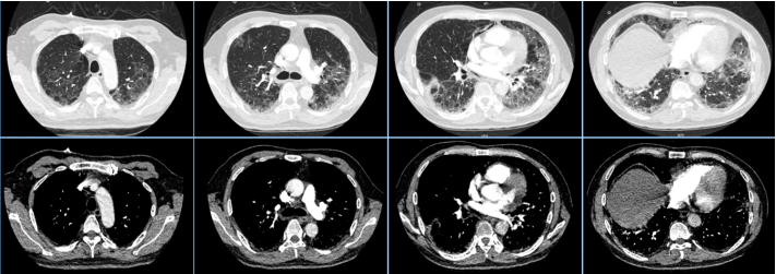
患者,男性,39岁,双肺弥漫性间质性炎(图14)PaO53 mmHg、Ⅰ型呼吸衰竭,高流量吸氧及无创呼吸机辅助通气无明显改善,收住RICU,行冷冻肺活检提示:肺泡蛋白沉积症(图15)
图片


图14  患者胸部CT


图片


图15  肺活检病理结果


MDT意见:难以纠正的呼吸衰竭;肺功能差;灌洗过程中可能出现急性肺水肿;难以耐受长时间全身麻醉。予清醒VV-ECMO+大容量肺泡灌洗。患者氧合得以纠正,病情好转(图16)
图片
图16  患者肺泡灌洗前后比较
思考:①对于双肺弥漫性间质性病变患者,明确诊断非常关键。受目前医疗技术的限制,冷冻肺活检是各指南共识均推荐的重要方法,在危重症患者的救治过程中,不要因为此项技术有较大的出血风险就放弃,而需要依据操作流程,细心、大胆,尽可能为患者明确诊断,争取治疗时机。②此例是在ECMO支持下为患者争取了救治机会,经第一次双肺大容量灌洗后,氧合明显改善,后续治疗不再依赖ECMO进行。
病例4危重的双肺间质疾病
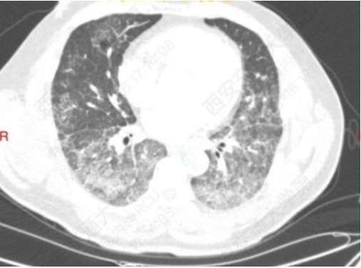
患者,男性,48岁,咳嗽、气短2个月,加重4天。血气分析:pH 7.46,PaO2 61 mmHg,PaCO2 24 mmHg。外院病原学提示肺孢子菌及耐甲氧西林葡萄球菌。胸部CT提示感染(图17)
图片
图17  患者胸部CT
无创呼吸机三通面罩(FiO2 70%)下行床旁纤维支气管镜检查:双侧支气管黏膜充血,右中间支气管见小片状伪膜,管腔通畅,未见肿物、出血及狭窄;肺泡灌洗液送结核、细菌、真菌培养、NGS及GM试验;于伪膜处、左肺下叶刷片送细菌、真菌及病理检查;行TBLB(左肺下叶外、后基底段及左肺上叶舌段)送病理检查,结果提示(左肺上叶舌段)黏膜低分化腺癌浸润。
思考此例患者时间较早,在无创机械通气下完成了肺活检,为明确诊断争取了时机。②为间质性肺疾病提供了新的诊断思路。
病例5急诊处理恶性气道肿瘤
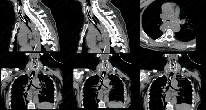
患者,男性,70岁,食管鳞癌侵犯左主支气管,Ⅰ型呼吸衰竭。端坐呼吸,高流量吸氧100%,PaO2 31 mmHg,急诊经鼻气管插管。影像学可见左主支气管非常狭窄。



患者右肺功能欠佳,左主支气管堵塞后出现呼吸困难及窒息。患者当时有创呼吸机辅助通气,气管插管型号为7.5号,无法同时完成气管镜和球囊扩张。所以在清理完肿瘤组织后,将球囊导管从气管插管放到了病变部位,气管镜从气管壁与气管插管之间的缝隙进去。这样就可以在气管镜下进行球囊扩张(图18)。扩张后,患者氧合状态明显改善。
图片
图18  床旁取瘤+球囊扩张
测量气道,定制硅酮支架,然后置入“L”型硅酮支架(图19,图20)
图片
图19  测量气道,定制硅酮支架
图片


图20  置入“L”型硅酮支架


思考:①此例患者病情非常危急,如不急诊进行取瘤术,后果不堪设想,因此对于急危重症气道梗阻,决策一定要果断。②经床旁介入治疗后,为患者争取了进一步检查及治疗的时机,为后续硅酮支架的置入奠定了基础,同时也为后期抗肿瘤治疗争取了时间。
病例6床旁支气管镜介入治疗大咯血
患者,女性,40岁,无咳嗽和咯血,肺结节切除术后3天血红蛋白进行性下降。胸部CT提示双肺慢性改变。

    

初始考虑是否为感染所致,后经支气管镜发现为缓慢出血,且由左肺弥漫至右肺,患者气道明显阻塞。予气管插管,并于管插内置入止血球囊,然后在气管插管外置入气管镜,镜下将球囊置入出血部位(图21)。再用外科缝线将球囊远端与气管插管紧紧绑在一起,但仍然担心球囊从左主支气管内滑出,所以持续严密观察患者的氧合情况。
图片
图21  球囊封堵
思考:①此例患者起病隐匿,非常少见,积累相关的临床经验,及时发现病情变化。②气管插管患者放置止血球囊,需要严密观察球囊的位置,做好固定,避免球囊移位。③球囊放置后待生命体征平稳,需要进行支气管动脉栓塞治疗。
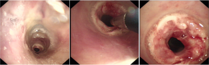
病例7:气道支架取出术
患者女性,63岁,肺腺癌靶向治疗后,支架两端狭窄,气短明显,不能平卧。行气道支架取出术(图22)
图片
图22  气道支架取出
思考:①放置气道支架的患者应该严密随访,谨防支架两端增生引发再次狭窄、支架嵌顿、出血、感染等情况;②一旦发现由于支架两端增生引发的狭窄,需要多种手段相结合,及时取出,同时制定后期治疗方案。
图片
三、总结


支气管镜介入技术蓬勃发展,我们不能让这些先进的技术局限在支气管镜室,而是应该扩大其应用范围,更多地用于呼吸危重症领域,助力危重症的发展。多种技术相结合的镜下介入治疗手段应该被更广泛的应用。RICU/MICU相较于综合ICU或其他专科ICU,支气管镜介入技术是专业利器,因此应该建立我们的专科特色ICU,服务于广大患者。


    作者介绍    

图片

李洋
西安交通大学第一附属医院呼吸与危重症医学科副主任,博士,副主任医师;中华医学会呼吸分会危重症学组委员;中国医师协会呼吸医师分会青年医师委员会常务委员;陕西省中西医结合学会肺康复专业委员会副主任委员;陕西省中西医结合学会肺康复专业青年委员会主任委员;陕西省中西医结合学会风湿病专业委员会常务委员;中国西部呼吸介入联盟理事;陕西省医学会呼吸结核分会委员兼秘书;陕西省基层呼吸疾病防治联盟委员兼秘书;陕西省防痨协会呼吸内镜委员会委员;《THORAX》中文版青年编委



全部评论 0
Copyright©2020-2026 北京医麦斯科技有限公司 版权所有 京ICP备2020034400号-1 京公网安备11010502043983号