登录方式

方式一:
PC端网页:www.rccrc.cn
输入账号密码登录,可将此网址收藏并保存密码方便下次登录

方式二:
手机端网页:www.rccrc.cn
输入账号密码登录,可将此网址添加至手机桌面并保存密码方便下次登录

方式三:
【重症肺言】微信公众号
输入账号密码登录

注:账号具有唯一性,即同一个账号不能在两个地方同时登录。

登录
方式

为重症救治赋能

为患者康复加速

当前位置: 首页 呼吸e站 经典推荐

以呼吸力学为导向的ARDS机械通气策略

王凯 南方医科大学珠江医院呼吸与危重症医学科 发布于2025-02-20 浏览 3967 收藏

作者:王凯

单位:南方医科大学珠江医院呼吸与危重症医学科


一、ARDS的病理生理特征

ARDS的病理生理特征主要表现为:

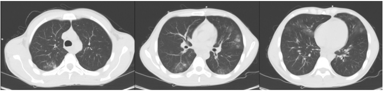
(1)病变不均一:如图1所示,上部分属于过度膨胀区(干肺),中间部分为可复张区(湿肺),下部分为实变区(塌陷肺)。

图片
图片
图1  ARDS患者肺部病变特点
(2)肺容积减少:由于炎症刺激导致肺血管通透性改变,造成高通透性肺水肿;此外,ARDS患者肺泡表面活性物质减少,导致肺泡萎陷(肺不张)。
(3)顺应性降低:顺应性指的是单位压力引起的容积变化(C=△V/△P)。正常成人的顺应性为70~100 ml/cmH2O,而ARDS患者的顺应性可显著下降,甚至有些患者不足10 ml/cmH2O。
(4)通气血流(V/Q)比例失调:V/Q比例反映了正常肺泡通气与血流之间的关系。正常情况下,肺泡状态良好,静脉血经过肺泡的氧合转化为动脉血。如果肺泡塌陷,或者肺泡内充满水,难以进行气体交换,就会出现V/Q比例失调。

二、ARDS正压通气的力学效应

ARDS患者行机械通气治疗时,可能会出现下列情况:①在过度膨胀区(图2B),可能出现容积伤和压力伤;②在复张区(图2C),可能出现剪切伤;③在塌陷区(图2A),可能出现萎陷伤。
图片
图2  ARDS患者正压通气对肺的影响
图源:Appl Physiol, 1970, 28:596-608.
为什么正压通气的力学效应主要作用于肺过度膨胀区?众所周知,肺泡表面活性物质能够降低肺泡表面张力,维持大小肺泡稳态。但ARDS患者肺泡表面活性物质减少,小肺泡趋于塌陷,压力向大肺泡传导,从而使大肺泡内的压力过高,由此导致肺过度膨胀区受到损伤。
1. 导致呼吸机相关肺损伤(VILI)
ARDS患者行机械通气时,相当于在原有肺过度膨胀的基础上增加了正压通气,由此加重了肺膨胀,肺可能被“吹爆”,并且可能导致气胸、纵隔气肿、皮下气肿甚至梗阻性休克,同时肺泡表面损伤也非常严重(图3)
图片
图3  ARDS患者肺组织的电子显微镜照片
图源:Crit Care Med, 2002, 30(10):2368-2370.
2. 导致平台压增高,病死率增加
2002年Brower等发表的急性肺损伤(ALI)和ARDS试验的荟萃分析显示,随着平台压的增高,患者死亡率也明显增加,尤其当平台压>30 cmH2O时,死亡率几乎呈直线上升。在机械通气过程中,在送气结束时关闭呼吸机的阀门,即吸气暂停时,气体在肺内均匀分布,会形成一个稳定的压力(即平台压)。
通过吸气末阻断技术可以在呼吸机上测得平台压,将呼吸机设置为容控通气、方波、大潮气量、慢呼吸频率,同时对患者进行深镇静。按下呼吸机上的“吸气保持”按钮就会出现图4所示平台压波形,从呼吸机上就可以读取平台压的数值。同时,呼吸机还会自动计算出患者的气道阻力、肺动态顺应性、肺静态顺应性以及时间常数(图4),帮助我们了解患者整体的呼吸力学情况。
图片
图片
图4  平台压的测量
平台压的意义是什么?图5是正常的呼吸机波形(压力-时间曲线),可以看到当呼吸机送气时,压力逐渐上升,在达到峰压之后,按住吸气暂停键,关闭吸气阀门和呼气阀门后,压力就会下降,并且出现一个“平台”;打开呼气阀门,气体放出,压力就会下降至PEEP水平(图5)。这其中,峰压与平台压之间的差值与气道阻力相关,而平台压与PEEP之间的差值称为驱动压,与顺应性相关。
图片
图5  峰压、平台压与PEEP
3. 导致驱动压增高,病死率增加
2015年N Engl J Med 杂志发表的一项研究探讨了ARDS患者驱动压与生存率之间的关系,研究显示:当驱动压>15 cmH2O,患者死亡率明显增加。驱动压是平台压与内源性PEEP之间的差值。因此,当设置ARDS患者的潮气量时,平台压和驱动压须同时达标。
4. 导致跨肺压增高,肺组织牵张损伤加重,跨肺血管压增高,肺渗出增加
如图6所示,当平台压为30 cmH2O时,如果患者没有自主呼吸,胸腔压力可能只有5 cmH2O,此时的跨肺压为25 cmH2O【平台压-胸腔压力】。如果患者有较强的自主呼吸,膈肌强烈收缩使胸腔内呈负压状态(-20 cmH2O),此时跨肺压可达到50 cmH2O。跨肺压明显升高,会加重肺组织牵张损伤,导致气胸的发生。同时,跨肺压增高,跨肺血管压也随之增高,进而导致肺渗出增加及肺水肿。

图片

图6  跨肺压的力学效应
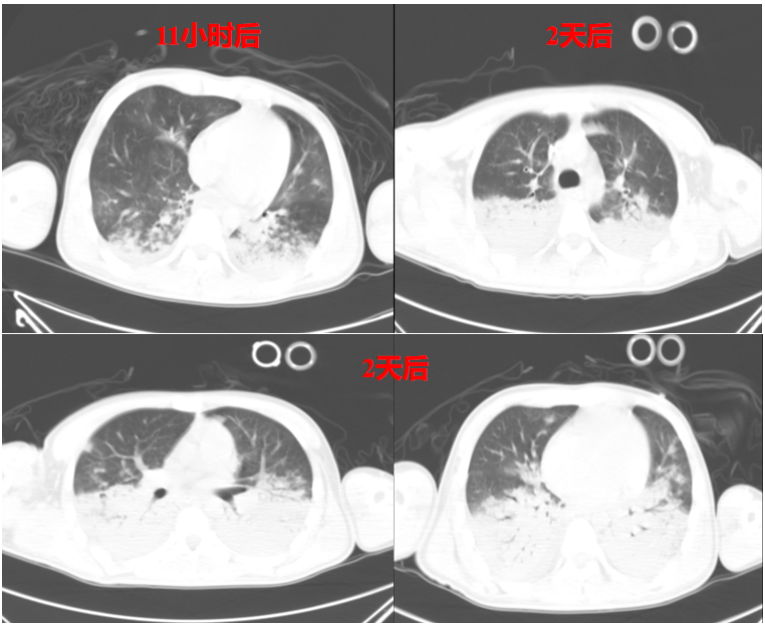
实际案例中,我们看到这一例ARDS患者,早期呈病毒性肺炎的磨玻璃样改变(图7),随着病情进展,11小时后氧合下降,胸部CT可见渗出增加、肺实变,予以气管插管,呼吸机辅助(图8);呼吸机支持2天后,胸部CT示实变进一步加重,呈现ARDS典型的“重力依赖”CT表现(图8)。这种情况可能就是呼吸机参数设置不当,加重了肺损伤。
图片
图7  患者入院早期胸部CT
图片
图8  11小时后和2天后胸部CT
5. 导致新的通气血流比例失调

ARDS患者通常会出现通气血流比例下降,即使机械通气也不一定能够改善这种情况。ARDS患者肺实变区(塌陷区)无法进行气体交换,所以静脉血流经此实变区后仍然是静脉血。但在膨胀区,由于送入的气体太多,肺泡过度膨胀使肺泡间血管受压,增加了血管阻力,造成肺动脉升高,进而导致新的通气血流比例失调。由此可见,如果呼吸机使用不当,不仅无法改善病情,甚至还可能导致病变加重。


三、以呼吸力学为导向的通气策略

ARDS肺保护性通气策略已经提出多年,其措施主要包括:①小潮气量:通常为4~6 ml/kg,但也有研究或资料将其范围定义为6~8 ml/kg‌‌;②限制平台压(调整VT):≤30 cmH2O;③限制驱动压(调整VT):≤15 cmH2O;④限制跨肺压(减少肺渗漏):吸气末跨肺压<25 cmH2O;呼气末跨肺压<5 cmH2O;⑤允许性高碳酸血症(PaCO2<80~100 mmHg;pH≥7.25);⑥保持肺泡开放:最佳PEEP(FiO2-PEEP表格法、PEEP滴定法);⑦保持肺泡开放:俯卧位通气和肺复张;⑧VV-ECMO。
1. 小潮气量+“最佳”PEEP如何保护肺?
小潮气量和“最佳”PEEP是业界争论最久的两个参数。在传统正压通气情况下,如果PEEP设置很低,潮气量设置较大,会导致过度膨胀区进一步膨胀,可复张区肺泡吸气时复张,呼气时塌陷,会导致容积伤和剪切伤。保护性通气策略同时兼顾通气和压力,“最佳”PEEP使呼气末肺泡内的气体不会完全排出,呼气末肺泡不至于塌陷;送气时采取小潮气量,肺也不会过度膨胀。这就是小潮气量与“最佳”PEEP的作用。
2. 限制平台压:降低ARDS患者病死率
如前文所述,平台压过高会导致ARDS患者死亡率增加。限制平台压≤30 cmH2O可显著降低ARDS患者病死率。平台压与两个参数相关,一个是PEEP,另一个是潮气量(图9)

图片

图9  限制平台压
3. 限制驱动压:降低病死率
小潮气量仅仅考虑了潮气量对肺泡压力大小的影响,但有时很小的潮气量也会造成肺泡内压力过大,因为肺的顺应性很低(硬肺),从而导致严重的右心功能障碍。而驱动压既考虑了潮气量,也考虑了顺应性的因素,反映了通气过程中呼吸系统静态压力增加的程度。研究证实,驱动压≤14 cmH2O可以降低ARDS患者病死率。因此,限制驱动压:即根据肺顺应性的大小来调整通气量(图10)。对于重度ARDS,限制驱动压在15 cmH2O,可以减少VILI,降低病死率,减少急性右心衰竭的发生。
图片
图10  限制驱动压
4. 限制跨肺压:PEEP滴定
跨肺压等于气道压(Paw)与胸腔内压(Ppl)之差(PL=Paw-Ppl)。跨肺压其实就是我们所说的“应力(stress)”,指的是单位面积承受的对抗力。2008年Talmor教授团队发表在N Engl J Med 杂志的文章指出,调节PEEP使呼气未跨肺压在0~10 cmH2O之间,同时限制潮气量使吸气未跨肺压<25 cmH2O,能够显著改善患者氧合和呼吸系统顺应性,有降低病死率的趋势。另一项随机临床试验显示,跨肺压指导PEEP滴定可以避免挽救性治疗(3.9% vs 12.2%)。所以将跨肺压作为PEEP滴定的参考,对ARDS患者也有一定的益处。对于呼吸衰竭而自主呼吸代偿性驱动很强的患者,需要合适的镇痛镇静深度,减少患者过强的自主呼吸驱动导致的跨肺压过高,从而减轻对肺组织的牵张损伤。
5. 俯卧位通气+肺复张
1991年Gattinoni等研究发现实施俯卧位通气能够增加患者氧合,有利于痰液引流,促进肺复张【俯卧位的作用原理就是减少分流和改善氧合】。Rival等研究也发现,俯卧位联合肺复张能够明显改善患者的氧合及预后。
6. “肺休息”策略:VV-ECMO+超级肺保护通气

ECMO支持下的超级肺保护通气策略就是:①小潮气量:<6 ml/kg IBW;②限制平台压:≤20~25 cmH2O;③限制驱动压:≤15 cmH2O;④限制跨肺压:吸气末跨肺压<15 cmH2O;⑤保持肺泡开放:最佳PEEP;⑥呼吸频率:5~10 bpm(pH≥7.25);⑦俯卧位通气和肺复张。


四、病例分析及经验分享

1. 病史
患者男性,22岁,主诉“发热3天、呼吸困难1天”入院。8月17日出现忽冷忽热、大汗及咳嗽、咳痰,自服感冒药后无好转;8月20日出现呼吸困难、全身乏力、全身湿冷,急诊收住院行气管插管机械通气,8月21日凌晨收入RICU。
2. 体格检查
脉搏157次/分,呼吸27次/分,血氧饱和度77%,去甲肾上腺素1.6 μg/(kg·min)维持血压115/66 mmHg;浅昏迷,双侧瞳孔等大等圆,巩膜无黄染;双肺可闻及大量湿啰音,心率157次/分,律齐,腹部膨隆,无压痛、反跳痛,叩诊鼓音,肠鸣音减弱。
血气分析(FiO2 100%):pH 7.046,PaO2 32 mmHg,PaCO2 78 mmHg,Lac 10 mmol/L。
3. 实验室检查
血常规:WBC 16.2 G/L,NEU 12.9 G/L,Hb 126 g/L,PLT 100 G/L。
血生化:肌酐437.5 μmol/L,总胆红素56.4 μmol/L,谷草转氨酶16800 IU/L,白蛋白25.5 g/L,CK-MB 450 IU/L,BNP 59270 ng/L。
凝血功能:PT 33.2 s,INR 1.37,APTT 64.6 s,Fg 4.19 g/L,DDI>10 mg/L。
感染指标及病原学:PCT>200 ng/L,IL-6 197.6 ng/L,CRP 140 mg/L,CD4 773个/μl,CD8 605个/μl,血培养、肺泡灌洗液NGS提示肺炎克雷伯菌。
超声提示心功能下降。肺部超声可见明显的肺水肿、实变及胸腔积液。
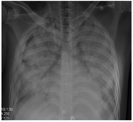
胸片:两肺感染,肺水增多(图11)
图片

图11  患者入院后胸片

4. 呼吸力学指标
监测呼吸力学,采取深镇静,小潮气量(260 ml),平台压27 cmH2O,PEEP 10 cmH2O,此时患者顺应性为15 ml/cmH2O,气道阻力16 cmH2O/(L·s)。计算患者驱动压=平台压-PEEP = 27-10=17 cmH2O。
5. 初步诊断
①重症肺炎,呼吸衰竭;②ARDS;③感染性休克;④多器官功能障碍综合征(肺、肾、肝、心、凝血)。
6. 治疗经过
启动ECMO之前,采取肺保护通气策略,但氧合仍难以维持,根据2017年ELSO指南,符合启动ECMO指征。ECMO上机后,采取超级肺保护性通气策略(压力12 cmH2O,PEEP 10 cmH2O,FiO2 40%)。每天监测呼吸力学,评估其变化情况。限制液体量,CRRT容量控制<30 ml/(kg·d),每日负平衡。俯卧位通气+振动排痰,促进肺复张。VV-ECMO+抗感染+镇痛镇静肌松。
在监测呼吸力学过程中,平台压限制在30 cmH2O以内,驱动压限制在15 cmH2O,在治疗过程中肺顺应性逐步改善。当肺的情况有所好转后,将ECMO参数下调(图12)
图片
图12  患者呼吸功能监测和ECMO参数调整
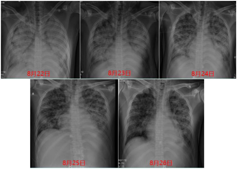
经过5天左右的治疗,患者病情较入院时明显改善(图13),肺部超声提示肺水较前明显减少。
图片
图13  8月22日-8月26日胸片变化

撤离ECMO后复查胸部及颅脑CT提示:肺部病变较前明显吸收,心脏超声提示心功能明显改善。ECMO撤机后的呼吸机参数:FiO2 40%,压力支持16 cmH2O,监测潮气量480 ml左右,顺应性30 ml/cmH2O左右。

                                                                                                                      






          


五、小结

小潮气量、限制平台压、合适PEEP是肺保护性通气策略的主要内容。随着我们对ARDS认识程度的加深,实施肺保护性通气策略时,不仅要限制平台压,还要限制驱动压。因为驱动压与顺应性有关,比单纯的潮气量和平台压更具有代表性和预测性。跨肺压主要用于指导PEEP的设定,合适的PEEP能够保证呼气末肺泡不塌陷,更有利于患者获得良好的预后。

图片


   参考文献    

向下滑动阅览

[1] Gattinoni L, Presenti A, Torresin A, et al. Adult respiratory distress syndrome profiles by computed tomography[J]. J Thorac Imaging, 1986, 1(3):25-30. 
[2] Mead J, Takishima T, Leith D. Stress distribution in lungs: a model of pulmonary elasticity[J]. J Appl Physiol, 1970, 28(5):596-608. 
[3] Hotchkiss JR, Simonson DA, Marek DJ, et al. Pulmonary microvascular fracture in a patient with acute respiratory distress syndrome[J]. Crit Care Med, 2002, 30(10):2368-2370. 
[4] Brower RG, Matthay M, Schoenfeld D. Meta-analysis of acute lung injury and acute respiratory distress syndrome trials[J]. Am J Respir Crit Care Med, 2002, 166(11):1515-1517. 
[5] Amato MB, Meade MO, Slutsky AS, et al. Driving pressure and survival in the acute respiratory distress syndrome[J]. N Engl J Med, 2015, 372(8):747-755. 
[6] Bellani G, Laffey JG, Pham T, et al. Epidemiology, Patterns of Care, and Mortality for Patients With Acute Respiratory Distress Syndrome in Intensive Care Units in 50 Countries[J]. JAMA, 2016, 315(8):788-800. 
[7] Papazian L, Forel JM, Gacouin A, et al. Neuromuscular blockers in early acute respiratory distress syndrome[J]. N Engl J Med, 2010, 363(12):1107-1116. 
[8] Vieillard-Baron A, Matthay M, Teboul JL, et al. Experts' opinion on management of hemodynamics in ARDS patients: focus on the effects of mechanical ventilation[J]. Intensive Care Med, 2016, 42(5):739-749. 
[9] Santos RS, Silva PL, Pelosi P, et al. Recruitment maneuvers in acute respiratory distress syndrome: The safe way is the best way[J]. World J Crit Care Med, 2015, 4(4):278-286.
[10] Dellinger RP, Levy MM, Carlet JM, et al. Surviving Sepsis Campaign: international guidelines for management of severe sepsis and septic shock: 2008[J]. Crit Care Med, 2008, 36(1):296-327.
[11] Brower RG, Matthay M, Schoenfeld D. Meta-analysis of acute lung injury and acute respiratory distress syndrome trials[J]. Am J Respir Crit Care Med, 2002, 166(11):1515-1517. 
[12] Wang R, Sun B, Li X, et al. Mechanical Ventilation Strategy Guided by Transpulmonary Pressure in Severe Acute Respiratory Distress Syndrome Treated With Venovenous Extracorporeal Membrane Oxygenation[J]. Crit Care Med, 2020, 48(9):1280-1288. 
[13] Beitler JR, Sarge T, Banner-Goodspeed VM, et al. Effect of Titrating Positive End-Expiratory Pressure (PEEP) With an Esophageal Pressure-Guided Strategy vs an Empirical High PEEP-Fio2 Strategy on Death and Days Free From Mechanical Ventilation Among Patients With Acute Respiratory Distress Syndrome: A Randomized Clinical Trial[J]. JAMA, 2019, 321(9):846-857. 
[14] Talmor D, Sarge T, Malhotra A, et al. Mechanical ventilation guided by esophageal pressure in acute lung injury[J]. N Engl J Med, 2008, 359(20):2095-2104. 
[15] Gattinoni L, Pelosi P, Vitale G, et al. Body position changes redistribute lung computed-tomographic density in patients with acute respiratory failure[J]. Anesthesiology, 1991, 74(1):15-23.
[16] Rival G, Patry C, Floret N, et al. Prone position and recruitment manoeuvre: the combined effect improves oxygenation[J]. Crit Care, 2011, 15(3):R125.  
[17] Chiumello D, Brioni M. Severe hypoxemia: which strategy to choose[J]. Crit Care, 2016, 20(1):132. 
[18] Guérin C, Reignier J, Richard JC, et al. Prone positioning in severe acute respiratory distress syndrome[J]. N Engl J Med, 2013, 368(23):2159-2168. 


    作者介绍    

图片

王凯

南方医科大学珠江医院重症医学科 主治医师,博士;广东省医学会呼吸病分会呼吸危重症和呼吸治疗学组秘书,广东省第一批援鄂医疗队员,广东省气道管理协作组委员;以第一/共一作者发表SCI论文8篇,共同作者发表SCI论文10余篇;主要研究方向:呼吸力学、机械通气、ECMO肺保护等。

  • 本文根据“PCCM呼吸治疗大讲堂”第14期视频整理感谢王凯医师予以审核修改。


点我观看视频.jpg

全部评论 0
Copyright©2020-2026 北京医麦斯科技有限公司 版权所有 京ICP备2020034400号-1 京公网安备11010502043983号