单位:湖南省人民医院呼吸与危重症医学科
人腺病毒(human adenovirus,HadV)是一种无包膜的双链DNA病毒,分为7组(A~G组),目前已经发现90种型别,包括血清型和基因型。不同型别HadV的组织嗜性不一致,B组中的3、7、11、14、16、21、50、55型,C组中的1、2、5、6型,D组中的59和84型,E组中的4型,均累及呼吸道(表1)。
表1 不同组别和血清型的人腺病毒的组织嗜性
注:D组中只有59和84型易感染呼吸道;68、71、72、76-80、82、83、85、86型只有基因组信息,无临床疾病信息。
腺病毒肺炎在温带及寒温带地区以冬春季多见,热带及亚热带地区以夏季常见。我院监测的数据显示,重症腺病毒肺炎的发病高峰在7—9月(图1)。在北方地区,2—4月腺病毒肺炎发病率较高,腺病毒55型已经成为北方地区社区获得性肺炎(CAP)的重要病原体。
图1 湖南省人民医院2013年4月至2014年3月监测数据
感染后免疫力:发病1周lgM产生,发病7~10天IgG产生。研究显示,保护抗体通常可持续10年。健康成年人一般也具备多型抗体,在6~15岁人群中,40%~60%具有1、2和5型中和抗体,但3、4和7型中和抗体很少。
重症腺病毒肺炎的致病机制目前尚不明确。研究发现,腺病毒可与靶细胞的细胞受体相结合,导致炎症介质的表达和释放,引起组织损伤。
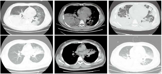
2018年1月至2020年12月我科数据显示,重症腺病毒肺炎好发于中青年男性(图2),不同病毒型的临床表现类似。图2 我科2018年1月至2020年12月重症腺病毒肺炎性别和年龄构成图重症腺病毒肺炎除了呼吸系统表现外,还会出现神经系统、循环系统、消化系统、泌尿系统、网状内皮系统及其他临床表现。呼吸系统主要表现为咳嗽、气促,发热,肺部体征出现晚,以及胸腔积液;神经系统主要表现为精神萎靡、烦躁与嗜睡交替,同时可以出现抽搐、昏迷、中毒性脑病、脑膜炎、脑水肿以及脑疝等;循环系统主要表现为心肌炎、心力衰竭、窦速,心电图T波或ST段改变;消化系统主要表现为呕吐、腹泻、中毒性肠麻痹、消化道出血;泌尿系统主要表现为蛋白尿、出血性膀胱炎;网状内皮系统可出现肝脾大、淋巴结增大表现;其他还有红色丘疹、斑丘疹、扁桃体石灰样小白点等表现。我科对重症腺病毒肺炎患者的统计分析发现,最常见的临床表现是发热、咳嗽、气促、咳痰(图3)。图3 我科2018年1月至2020年12月重症腺病毒肺炎患者症状分布直方图我科2018年1月至2020年12月重症腺病毒肺炎患者统计发现:①白细胞计数可正常,可升高(13%),也可降低(25%),淋巴细胞降低较常见(75%),血小板减少(25%);②心肌酶升高(100%):CK、CK-MB、LDH及MYO升高;③肝功能损害(56%):AST及ALT升高;④肾功能损害(25%):Cr和/或BUN升高;⑤同时存在肝肾功能损害(25%)。重症腺病毒肺炎患者胸部CT可见两下肺为主单发或多发叶段性实变伴或不伴磨玻璃影(GGO)(图4)[2]。国内文献报道了典型重症腺病毒肺炎的影像学,主要表现为实变、GGO、间质病变、胸腔积液(图5)[3]。我科统计重症腺病毒肺炎患者的影像学情况(图6):①双肺实变12例(80%),实变累及5个肺叶1例、累及4个肺叶5例、累及3个肺叶5例。②双肺实变伴GGO 5例(30%);③单肺实变3例(20%),均累及2个肺叶;④单肺实变伴GGO 3例(20%);⑤伴胸腔积液4例(25%),伴气胸1例(6%)。(1)症状:好发于中青年男性,有发热、咳嗽、呼吸困难、肌痛等表现。(2)影像学:实变伴或不伴GGO,伴胸腔积液;动态变化反映病情。
(3)实验室检查:CRP、PCT可升高;转氨酶及肌酶升高。
具有人腺病毒肺炎临床表现,并符合以下任一项主要标准或≥3项次要标准的患者,可诊断为危重症人腺病毒肺炎[4]:主要标准:①需要气管插管行机械通气治疗;②脓毒性休克经积极液体复苏后仍需要血管活性药物治疗。次要标准:①呼吸频率(RR)增快:成人及5岁以上儿童RR≥30次/min,1岁以下婴幼儿RR>70次/min,1~5岁儿童RR>50次/min;②氧合指数≤250 mmHg;③多肺叶浸润;④意识障碍和/或定向障碍;⑤血尿素氮≥7.14 mmol/L;⑥收缩压<90 mmHg需要积极的液体复苏。重症腺病毒肺炎进展迅速,死亡率高。2011年文献报道重症腺病毒肺炎死亡率达到24%[5]。
早期识别,早期治疗,对于改善重症腺病毒肺炎患者预后非常重要。国内学者对成人腺病毒肺炎向重症发展早期的主要特点进行了总结[6],主要是包括:①持续高热,咳嗽评分>2分;胸部CT出现大片实变,迅速进展为大叶性病灶;③氧合指数降低,血小板减少,肝功能异常。此时应严密监测病情,及早采取干预措施。
对于重症腺病毒肺炎,抗病毒药物主要包括西多福韦/西多福韦脂质体、利巴韦林、更昔洛韦、干扰素。(1)西多福韦:DNA聚合酶抑制剂,体外对所有亚型敏感。该药目前在国内尚未上市,美国FDA批准其用于重症腺病毒肺炎的治疗。用法:5 mg/kg+100 ml生理盐水静滴1~2 h。当血肌酐>133 μmol/L,CrCI≤55 ml/min,尿蛋白≥100 mg/L(尿蛋白++)时严禁使用。因为该药对肾功能损害较大。2015年韩国一项回顾性研究发现,在非免疫功能低下的腺病毒肺炎成人患者中,早期给予西多福韦治疗或许是疾病完全缓解的重要因素[7]。2020年新加坡的一篇病例报告显示,1例成人重症腺病毒肺炎患者在第1天和第8天使用静脉西多福韦,最终顺利拔管,成功救治[8]。这也增强了我们对西多福韦治疗成人重症腺病毒肺炎的信心。2021年韩国另一项研究纳入22例重症腺病毒肺炎患者,其中13例使用西多福韦,9例未使用西多福韦,结果发现西多福韦不能改善免疫功能正常重症腺病毒肺炎患者的临床结局(包括平均住院时间、住ICU时间、使用机械通气及ECMO的概率)[9]。因此,西多福韦在重症腺病毒肺炎中的临床应用需更多大规模随机对照研究验证。(2)利巴韦林:利巴韦林是鸟苷的核类似物,具有抗DNA和RNA病毒的体外活性。其作用机制包括病毒聚合酶的抑制,病毒RNA加帽,以及新合成DNA中突变率的增加。体内有无活性存在争议,仅对C型有效。用法:0.4~0.6 g q12h。主要不良反应为消化道症状、溶血性贫血。2017年一篇文献报道了1例39岁男性重症腺病毒病例,口服利巴韦林第4天,患者血小板回升,体温降至正常,呼吸困难明显改善。第2天和第13天的胸部X线片可见肺部病灶明显吸收,治疗效果非常理想(图7)[10]。(3)更昔洛韦:该药是DNA聚合酶抑制剂,体外有活性,但作用弱于西多福韦。1989年体外试验发现更昔洛韦对肝移植患儿分离的腺病毒生长有抑制作用[11]。研究证实更昔洛韦能够抑制HAdV5型的复制,且减轻叙利亚仓鼠模型中HAdV 5型感染引起的病理变化[12]。还有研究发现对于肾移植受者腺病毒所致出血性膀胱炎有效[13]。但仍需大型RCT研究证实其对腺病毒感染的疗效,探索减少不良反应的方案。(4)干扰素:目前认为干扰素对于AdV 7型和3型的敏感性较强。用法包括:肌注、静滴、皮下注射、雾化吸入和滴鼻。需要注意的是:干扰素应早期、足量应用。在重症感染初期,促炎反应及抗炎反应常同时发生。不同免疫应答决定重症感染患者的预后。因此,在治疗重症腺病毒肺炎时,需动态监测IL-6、IL-10、HLA-DR、T细胞、B细胞,评估患者的免疫状态,明确患者促炎反应占优势还是抗炎反应占优势,进而决定治疗策略。(1)糖皮质激素:糖皮质激素在重症腺病毒肺炎中主要发挥抗炎作用,其能够抑制过强的免疫反应,减轻严重病例的损伤。2006年,Takahashi等报道了1例重症腺病毒肺炎合并高细胞因子血症,患者高热(体温最高40℃),乳酸脱氢酶(LDH)、铁蛋白升高,甲强龙冲击治疗3 d后,患者体温下降,呼吸窘迫症状迅速得到改善,LDH及血清铁蛋白也明显下降[14]。国内文献显示,静脉短期使用大剂量糖皮质激素对于改善中毒症状及减少肺部渗出有益,早期激素治疗或许能够阻断肺纤维化或闭塞性细支气管炎的疾病进程[15]。国内相关指南及指导意见也推荐[16, 17],对于持续高热(体温≥39℃),肺部多发或大片实变,短期进展迅速,明显呼吸窘迫,达到急性肺损伤(ALI)或急性呼吸窘迫综合征(ARDS)诊断标准的患者,可以使用糖皮质激素。推荐用量:氢化可的松3 mg/kg,甲泼尼龙80~320 mg/d,地塞米松0.5~1.0 mg/kg,1~3 d,动态评估患者的免疫状态及病情。用药期间注意加强护胃,避免骨缺血及继发感染。我科在使用糖皮质激素时,多数患者都会加用丙种球蛋白。(2)丙种球蛋白:丙种球蛋白的作用主要在于:①调节机体免疫,预防二重感染,减少耐药菌感染或院内感染的发生;②中和抗体,丙种球蛋白中可能含有病毒的中和抗体,能够加速呼吸道中腺病毒的清除。用法:剂量400 mg/(kg·d),连用3~5 d或1g/(kg·d),连用2 d。(1)氧疗:安静状态下无缺氧表现,也予持续鼻导管吸氧;低氧血症者,予高流量氧疗/面罩,SpO2>93%。(2)无创通气(NIV):呼吸频率>30次/min或吸氧5 L/min,SpO2仍<93%,NIV 1~2 h无改善,应及时转为有创通气。(3)有创通气:无创通气失败或不耐受,氧合指数<150 mmmHg,双肺浸润,需行有创通气,可予低潮气量通气(6 ml/kg理想体重);单侧肺,“健侧肺向下”;如果没有禁忌证,也可行俯卧位通气。对于重症腺病毒肺炎,主要以综合治疗和对症支持为主,因此病情的监测至关重要。病情监测包括,①生命体征,如体温、脉搏、呼吸频率、血压、咳嗽气促症状;②出入水量:重症病毒性肺炎患者都存在容量性肺水肿(湿肺),此种情况需予以液体负平衡,有利于稳定氧合;③实验室检查指标:心肌酶,肝肾功能,凝血功能,CRP,PCT,腺病毒DNA滴度,铁蛋白,KL-6,血气指标,IL-6,IL-10,TNF-α,淋巴细胞亚群;④影像学:每2~3 d复查一次床旁胸部X线片。(1)发热、咳嗽:如果患者体温过高,建议物理降温或在必要时使用药物退热。如果患者咳嗽剧烈,需要考虑是否与纵隔气肿有关,如果是干咳,可以酌情给予镇咳治疗。(2)脏器支持:床旁CRRT/血液灌流、护肝、护心等。(3)营养支持:提倡高蛋白、低碳水化合物饮食,优先肠内营养。(4)精神障碍:积极进行心理疏导,必要时予以抗焦虑药物。(1)混合感染:若患者在治疗过程中一直没有好转,或者短暂好转后又恶化,出现脓性痰/胸水,WBC升高,NAP升高,或者抗生素治疗无效,此时需考虑混合感染可能,早期混合感染以肺炎链球菌、支原体、流感病毒为主;后期感染尤其是机械通气患者,多为铜绿假单胞菌、鲍曼不动杆菌和曲霉感染;对于免疫缺陷患者,需警惕巨细胞病毒和耶氏肺孢子菌感染。国内文献显示,对于混合感染,主要为非典型病原体感染以及其他一些呼吸道病毒感染较为常见。(2)脑炎:最常见为7型和3型腺病毒感染导致,患者有神志改变,如神志淡漠,此时应予对症处理,随着病情的好转,脑炎相关症状会逐渐缓解。(3)心力衰竭:主要为感染中毒性心肌炎,这种情况需要严格液体负平衡,同时予以抗心衰治疗。2017年的国外的一篇文献报道了采用西多福韦联合ECMO治疗腺病毒所致ARDS,该文献仅有3例患者,第1例和第2例患者都是在给予机械通气后很快启动ECMO,在第1天至第28天,ECMO也发挥了一定的作用,第2例患者在第30天死于临床并发症。在机械通气时联合ECMO或许能够改善重症腺病毒肺炎患者的预后,但需要积极防治并发症。该文献还分析了15例重症腺病毒肺炎患者使用ECMO的情况,结果发现早期ECMO联合西多福韦在改善患者死亡率方面有一定作用[18]。2016年的一篇文献报道了早期ECMO联合CRRT成功救治2例腺病毒所致ARDS患者的经验[19]。这2例患者成功救治的关键在于:①患者在机械通气后很快启动ECMO;②联合CRRT治疗,保守的液体管理,严格控制出入量;③尽早给予抗病毒药物。
因此,早期ECMO可能是治疗重症腺病毒肺炎的一个潜在选择,在条件允许的情况下,ECMO尽量选择VV模式,还应注意积极防治并发症。
重症腺病毒肺炎好发于中青年人群,主要表现为发热、咳嗽、呼吸困难,影像学以实变、GGO、间质病变伴胸腔积液,可伴CRP、PCT、转氨酶及肌酶升高,血小板及淋巴细胞下降。重症腺病毒肺炎死亡率高,早期识别有重要意义。针对重症腺病毒肺炎的抗病毒治疗目前选择有限,免疫调节治疗(糖皮质激素/丙种球蛋白)能够发挥重要作用。临床注意严密监测,防治并发症。早期ECMO可能是重症腺病毒肺炎治疗的一个潜在选择。[1] Houldcroft C J, Beale M A, Sayeed M A, et al. Identification of novel adenovirus genotype 90 in children from Bangladesh[J]. Microb Genom, 2018, 4(10):e000221.
[2] 曹玉书, 张志良, 王施, 等. 成人重症腺病毒肺炎胸部CT动态变化[J]. 实用放射学杂志, 2015(9):1447-1449.
[3] 张胜男, 周颖, 叶君如, 等. 成人重症腺病毒肺炎临床特征及预后[J]. 温州医科大学学报, 2020, 50(3):232-236.
[4] 人腺病毒呼吸道感染预防控制技术指南编写审定专家组. 人腺病毒呼吸道感染预防控制技术指南(2019年版)[J]. 中华预防医学杂志, 2019, 53(11):1088-1093.
[5] Clark T W, Fleet D H, Wiselka M J. Severe community-acquired adenovirus pneumonia in an immunocompetent 44-year-old woman: a case report and review of the literature[J]. J Med Case Rep, 2011, 5:259.
[6] 陈韦, 卓安山, 曹玉书, 等. 成人重症腺病毒肺炎临床研究[J]. 转化医学杂志, 2018, 7(3):171-173.
[7] Kim S J, Kim K, Park S B, et al. Outcomes of early administration of cidofovir in non-immunocompromised patients with severe adenovirus pneumonia[J]. PLoS One, 2015, 10(4):e0122642.
[8] Zhao J, Yap A, Wu E, et al. Severe community acquired adenovirus pneumonia in an immunocompetent host successfully treated with IV Cidofovir[J]. Respir Med Case Rep, 2020, 30:101037.
[9] Moon S M, Choe J, Na S J, et al. Comparative Study on the Effect of Cidofovir Treatment for Severe Adenovirus Pneumonia[J]. J Intensive Care Med, 2021, 36(12):1436-1442.
[10] Yoon B W, Song Y G, Lee S H. Severe community-acquired adenovirus pneumonia treated with oral ribavirin: a case report[J]. BMC Res Notes, 2017, 10(1):47.
[11] Wreghitt T G, Gray J J, Ward K N, et al. Disseminated adenovirus infection after liver transplantation and its possible treatment with ganciclovir[J]. J Infect, 1989, 19(1):88-89.
[12] Blohmé I, Nyberg G, Jeansson S, et al. Adenovirus infection in a renal transplant patient[J]. Transplant Proc, 1992, 24(1):295.
[13] Toth K, Ying B, Tollefson A E, et al. Valganciclovir inhibits human adenovirus replication and pathology in permissive immunosuppressed female andmale Syrian hamsters[J]. Viruses, 2015, 7(3):1409-1428.
[14] Takahashi I, Takahashi T, Tsuchida S, et al. Pulse methylprednisolone therapy in type 3 adenovirus pneumonia with hypercytokinemia[J]. Tohoku J Exp Med, 2006, 209(1):69-73.
[15] 陈韦, 卓安山, 曹玉书, 等. 成人重症腺病毒肺炎临床研究[J]. 转化医学杂志, 2018, 7(3):171-174.
[16] 全军传染病专业委员会, 新突发传类病中西医临床救治课题组. 腺病毒感染诊疗指南[J]. 解放军医学杂志, 2013, 38(7):529-534.
[17] 韩志海, 李咏群. 呼吸道腺病毒感染防控手册[M]. 北京: 科技出版社, 2017: 60-61.
[18] Lee M, Kim S, Kwon O J, et al. Treatment of Adenoviral Acute Respiratory Distress Syndrome Using Cidofovir With Extracorporeal Membrane Oxygenation[J]. J Intensive Care Med, 2017, 32(3):231-238.
[19] Ha S O, Kim H S, Park S, et al. Severe ARDS caused by adenovirus: early initiation of ECMO plus continuous renal replacement therapy[J]. Springerplus, 2016, 5(1):1909.

- 湖南省中医药和中西医结合学会重症医学专业委员会呼吸学组委员兼秘书
- 从事呼吸内科临床工作10余年,主攻方向:呼吸危重症,感染