登录方式

方式一:
PC端网页:www.rccrc.cn
输入账号密码登录,可将此网址收藏并保存密码方便下次登录

方式二:
手机端网页:www.rccrc.cn
输入账号密码登录,可将此网址添加至手机桌面并保存密码方便下次登录

方式三:
【重症肺言】微信公众号
输入账号密码登录

注:账号具有唯一性,即同一个账号不能在两个地方同时登录。

登录
方式

为重症救治赋能

为患者康复加速

当前位置:首页 重症肺炎 诊断技术

危重肺血管疾病的血管介入治疗

华晶,陈相羽,季颖群 同济大学附属东方医院呼吸与危重症医学科 发布于2023-09-13 浏览 3976 收藏

作者:华晶,陈相羽,季颖群

单位:同济大学附属东方医院呼吸与危重症医学科

随着对肺血管疾病认识的深入和诊疗技术的发展,该病发病率呈逐年上升趋势,然而此类疾病发病急骤、进展迅速,往往救治困难,死亡率较高。危重肺血管疾病的早期识别和治疗成为临床面临的重要问题。


危重肺血管疾病主要涉及肺动脉高压、出血和栓塞三大范畴,是呼吸危重症中最为棘手的病种之一。依赖药物的保守治疗往往无法快速缓解危重肺血管疾病,而外科手术由于治疗可及性和创伤性的限制,并未在重症患者中获得良好的救治效果[1]。近年来,随着介入技术的发展以及新型材料和手术方式的创新,危重肺血管疾病的救治成功率得到了显著的[1,2]。本文就血管介入技术在危重肺血管疾病患者救治中的价值进行综述。

血管介入诊疗技术在肺动脉高压诊治中的应用

右心导管检查是肺动脉高压诊断的金标准,同时也是危重肺动脉高压患者血流动力学监测的重要手段。右心导管检查技术开创了肺动脉高压诊治的先河,随着技术的进步和变革,近年来,球囊房间隔造口术(balloon atrial septostomy,BAS)、肺动脉球囊成形术(balloon pulmonary angioplasty,BPA)、降主动脉-左肺动脉吻合术(Potts分流术)、经皮肺动脉去神经术(pulmonary arterial denervation,PADN)在不同类别肺动脉高压的治疗中逐渐推广,并取得了很好的效果[3]

值得一提的是,在慢性血栓栓塞性肺动脉高压远端病变以及不宜行PEA术的患者,或肺动脉内膜剥脱术(PEA)术后存在残余肺动脉高压或复发性肺动脉高压的患者中,肺动脉球囊成形术(BPA)能够显著改善血流动力学指标,进而改善患者的临床症状,使慢性血栓栓塞性肺动脉高压的治疗方式变得更加丰富,患者的预后也发生了根本改观。
血管介入技术在大咯血救治中的应用

大咯血是一种呼吸系统急危重症,既往认为单次咯血量超过100 ml,或24 h内咯血量超过500 ml以上者,可判定为大咯血。但在实际操作中出血量难以准确估计。因此,大咯血可被定义为任何危及生命的咯血量以及可能导致气道阻塞和窒息的任何咯血[4,5]

通常,咯血95%来源于支气管动脉,5%来源于肺循环(肺动脉或肺静脉)。从病因分析,主要分为:感染性疾病(肺结核、真菌感染、肺脓肿、寄生虫等),肿瘤性疾病(肺癌、转移瘤、肉瘤),心肺血管疾病(肺栓塞、心衰、肺动脉高压、瓣膜病、血管畸形、毛细血管扩张症等),创伤性疾病(各类外伤、气管瘘),医源性因素(抗凝、溶栓治疗、各类操作损伤),凝血功能异常。
支气管动脉栓塞术(bronchial artery embolization,BAE)是最常用的血管介入治疗方法。在药物治疗和内镜治疗无效或失败后,应首先考虑BAE治疗。对于观察到病理动脉的危及生命或反复咯血的患者均应进行栓塞治疗。BAE也可以作为有资格进行肺移植的囊性纤维化(CF)等慢性炎症性肺部疾病引起的中度或重度咯血患者的桥梁治疗。

BAE的栓塞材料包括颗粒栓塞剂(PVA颗粒、微球)、液体栓塞剂(NBCA胶、碘化油)、栓塞线圈和封堵器。其中,直径355~500 μm的PVA颗粒最为常用。由于其形状不均匀,PVA颗粒极易聚集并形成栓子,在目标血管内快速形成栓塞,达到止血目的。当存在较大的肺动静脉分流时,使用较大尺寸的微球(700~900 μm)或线圈栓塞可能有助于减少并发症。

血管介入技术在急性肺血栓栓塞症中的应用
急性肺血栓栓塞症是临床常见的呼吸危重症疾病,其中,高危急性肺动脉栓塞患者可迅速出现持续性呼吸和循环系统功能障碍,成为目前患者猝死的主要原因。及时开通阻塞血管并有效防止血栓的继续形成与脱落,对于挽救患者的生命和改善预后至关重要。目前开展的经皮介入技术主要包括:经皮导管取栓术、溶栓术、碎栓术及肺动脉球囊扩张成形术。
经皮导管取栓术可分为常规大腔导管取栓术及机械装置取栓术。在过去的10年中,从肺动脉中吸除血栓的机械装置迅速发展,该技术大大提高了血栓吸除的效率,同时在不使用溶栓药物的情况下进行血栓清除,还可以显著减少出血风险。
经导管定向溶栓可将溶栓药物定向运送至阻塞肺动脉,克服了全身溶栓的局限性,可以使用较小剂量溶栓剂,减少出血性并发症的发生。研究显示经皮导管溶栓组患者的住院死亡率和颅内出血发生率均低于全身溶栓组[6]
碎栓术通过直接破坏近端肺动脉中的血栓,将微栓子重新分布到外周血管中。由于外周肺动脉的表面积约为中央肺动脉的2倍,增加了血栓碎片接触溶栓剂的面积并明显提高溶栓治疗效果[7]。此外,血栓的碎裂及其向远端肺血管系统的迁移降低了肺栓塞患者整体肺血管阻力和右心室后负荷。通常通过旋转猪尾导管或扩张球囊达到破碎血栓目的。然而,该方法的弊端是可进一步激活凝血系统,继而加重缺氧导致的肺动脉压力升高,加重患者的临床症状。因此,碎栓术操作时需要严密观察患者术中的情况,避免盲目和暴力操作,如无禁忌,同时加用经导管溶栓治疗。
早期识别危重肺血管疾病并积极进行治疗,对于死亡风险极高的患者至关重要。血管介入治疗具有微创、术前准备简单以及疗效迅速的特点,已在临床中显示出独特的优势。但目前该技术在国内外研究中的有效性和安全性数据,大多基于回顾性的案例分析,未来仍需要开展更多前瞻性、大样本、多中心的临床研究,以获取更多高级别的证据。

参考文献

[1] Fernando H C, Stein M, Benfield J R, et al. Role of bronchial artery embolization in the management of hemoptysis[J]. Arch Surg, 1998, 133:862-866.

[2] Abal A T, Nair P C, Cherian J. Haemoptysis: aetiology, evaluation and outcome--a prospective study in a third-world country[J]. Respir Med, 2001, 95:548-52. 

[3] Ogawa A, Satoh T, Fukuda T, et al. Balloon Pulmonary Angioplasty for Chronic Thromboembolic Pulmonary Hypertension: Results of a Multicenter Registry[J]. Circ Cardiovasc Qual Outcomes,  2017, 10(11):e004029.

[4] Kalva S P. Bronchial artery embolization[J]. Tech Vasc Interv Radiol, 2009, 12(2):130-138.

[5] Radchenko C, Alraiyes A H, Shojaee S. A systematic approach to the management of massive hemoptysis[J]. J Thorae Dis, 2017, 9(Suppl 10):S1069-S1086.

[6] Patel N, Patel N J, Agnihotri K, et al. Utilization of catheter-directed thrombolysis in pulmonary embolism and outcome difference between systemic thrombolysis and catheter-directed thrombolysis[J]. Catheter Cardiovasc Interv, 2015, 86(7):1219-1227.

[7] Nakazawa K, Tajima H, Murata S, et al. Catheter fragmentation of acute massive pulmonary thromboembolism: distal embolisation and pulmonary arterial pressure elevation[J]. Br J Radiol, 2008, 81(971):848-854.



附:高危急性肺血栓栓塞症介入治疗病例一例

摘要 患者,女性,24岁。因"反复心悸、气促2周,加重1天"入院。患者明确诊断为急性肺血栓栓塞症(高危组),应行系统性溶栓治疗,但处于月经期,且存在贫血,并已有休克表现,系统性溶栓存在大出血风险。经多学科团队协商,立即予以经导管肺动脉血栓吸栓、碎栓、溶栓治疗。经介入及综合治疗后患者情况好转,快速恢复。

图片
一般情况

患者,女性,24岁。因"反复心悸、气促2周,加重1天"入院。

现病史

患者入院2周前,无明显诱因下出现心悸、气促,上下楼梯稍有气喘,并伴腿部酸痛感,患者未予重视及就诊。入院1天前,患者感心悸气促加重,伴呼吸困难,轻微活动即可加重,伴头晕、乏力、冷汗,无胸痛、咯血,遂至我院急诊就诊。

既往史

否认慢性疾病史,曾长期口服短效避孕药,停药3天。

入院查体

T 36.6℃,P 140次/min,R 30次/分min,BP 86/57 mmHg,SpO2 94%(吸氧3 L/min),神清,气促,对答切题,面色苍白,查体基本合作,颈软,颈静脉怒张,双肺呼吸音粗,未闻及干/湿啰音,心率140次/min,律齐,P2亢进,腹平软,无压痛、反跳痛,肝脾肋下未及。双下肢无浮肿,四肢肌力正常,病理征阴性。

入院当天辅助检查

实验室检查:RBC 3.87×1012/L,WBC 8.81×109/L, Hb 109.0 g/L,CRP 23.06 mg/L,IL-6 15.880 pg/ml,Pro-BNP 3768.000 ng/L,TnT 0.094 ng/ml,D-二聚体8.340 mg/L FEU,纤维蛋白(原)降解产物31.2 μg/ml(↑),余电解质、肝肾功能均无明显异常。

下肢血管超声:双下肢动脉走行正常,血流通畅;左侧腘静脉血栓形成。

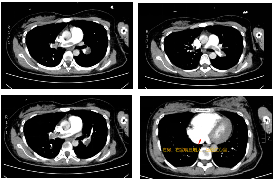
肺部CTA:两肺动脉主干及分支多发肺栓塞、右房、右室明显增大图1

图片

图1  患者肺部CTA

心电图:窦性心动过速;S-T段改变(Ⅱ、Ⅲ、aVF、V4、V5、V6水平压低0.5~0.75 mm);T波改变(Ⅱ、Ⅲ、aVF倒置、V4、V5、V6低平);QT间期延长。

入院诊断

①急性肺血栓栓塞症(高危组);②心功能不全,心功能Ⅲ级(NYHA)。

治疗经过

患者急性肺血栓栓塞症(高危组)诊断明确,应行系统性溶栓治疗,但因其处于月经期,当时已有休克表现,系统性溶栓存在大出血风险。经多学科团队协商,立即予经导管肺动脉血栓碎栓、溶栓、取栓术治疗。

使用8 FM PA导管于右肺动脉干及上叶各分支开口处、左肺动脉干反复负压抽吸,吸出大量暗红色及淡黄色血栓,复查造影提示右肺动脉各分支灌注明显好转。

并使用4 mm×15 mm球囊于于左肺下叶分支微导丝引导下6~12 atm反复扩张2次,复查造影提示PFG恢复至正常3级。复查造影提示右肺动脉各分支灌注明显好转,主干内仍有充盈缺损:使用猪尾导管于右肺动脉主干反复旋转碎栓,碎栓后予以阿替普酶10 mg缓慢推注;予左肺动脉阿替普酶10 mg缓慢推注。术后继续阿替普酶5 mg/h推泵维持。阿替普酶总量40 mg(静脉和导管各20 mg),并先后序贯普通肝素、低分子肝素抗凝治疗,患者心率回落,血压平稳,氧饱和度好转,病情逐渐稳定。治疗3天后转至普通病房,1周后出院。

图片

图片

图片

季颖群,同济大学附属东方医院呼吸与危重症医学科副主任,主任医师,医学博士,博士研究生导师。

中华医学会呼吸病学专科分会肺栓塞与肺血管病学组副组长,中国医师协会呼吸分会肺栓塞与肺血管病工作委员会副主任委员,上海市医学会呼吸病学专科分会委员。

主持国家科技部项目子课题4项,省自然科学基金和市科技局项目各2项。荣获中华医学会二等奖、省科技进步三等奖、市科技进步二等奖各1项。参编著作8部、指南5部,发表学术文章60余篇,其中SCI收录20余篇。

图片


华晶,同济大学附属东方医院呼吸与危重症医学科,医学博士,副主任医师。
中华医学会呼吸病学分会肺栓塞与肺血管疾病学组青年委员,上海市医学会呼吸病学分会肺血管病学组委员,中国研究型医院学会出血专业委员会委员,上海市VTE联盟呼吸学组委员,上海市浦东新区呼吸专科联盟秘书,上海东方医院VTE防治管理委员会秘书。

主攻方向为肺栓塞与肺血管病、肺动脉高压与干细胞治疗、重症肺炎与急慢性呼吸衰竭。参与国家自然科学基金4项、上海市科委基金1项,主持同济大学基金1项。Critical Care、Chest、ERJ Open Research 等国际学术期刊发表学术论文12篇,参编参译专著3部,获得国家专利3项。

图片

陈相羽,同济大学附属东方医院呼吸与危重症医学科,医学硕士,从事临床工作2年,硕士期间发表SCI论文2篇,累计影响因子9.2。主要研究方向:肺栓塞与肺血管病、人工智能与慢性血栓栓塞性肺疾病。参与国家科技部项目子课题2项。


全部评论 0
Copyright©2020-2026 北京医麦斯科技有限公司 版权所有 京ICP备2020034400号-1 京公网安备11010502043983号