登录方式
方式一:
PC端网页:www.rccrc.cn
输入账号密码登录,可将此网址收藏并保存密码方便下次登录
方式二:
手机端网页:www.rccrc.cn
输入账号密码登录,可将此网址添加至手机桌面并保存密码方便下次登录
方式三:
【重症肺言】微信公众号
输入账号密码登录
注:账号具有唯一性,即同一个账号不能在两个地方同时登录。
单位:南昌大学第一附属医院呼吸与危重症医学科
呼吸机相关性肺炎(VAP)是医院获得性肺炎(HAP)中特殊且常见的类型,关于VAP的诊断,目前仍存在争议。患者一旦出现VAP,预后往往较差,这就要求临床医生能够尽早诊断和干预VAP,从而更好地改善患者预后。本文将就VAP诊断方面的困惑以及相关探索做一介绍。
一、VAP的定义与概述
(2)ATS/IDSA有关HAP/VAP的诊断标准:①影像学:胸部X线片出现新的浸润影或浸润影进展;②临床表现,至少符合以下2项,a. 体温 >38℃;b. 白细胞计数增多或减少;c. 脓性分泌物。
仅依靠上述标准诊断VAP太过于局限。假如立即对VAP死亡患者进行肺组织病理学检查和肺活组织微生物培养,并以此作为诊断VAP的金标准,上述国内外标准对诊断VAP的敏感性仅为69%,特异性为75%。胸部X线片上新出现的持续的(>48 h)的浸润影加上上述3条临床标准,其特异性有所提高,但诊断敏感性进一步降低(23%),容易导致漏诊。如果要提高其敏感性,符合1条临床标准,诊断特异性将显著下降(33%),会导致抗生素滥用及过度医疗。因此,VAP的诊断目前仍然存在很多挑战。
二、VAP诊断标准面临质疑
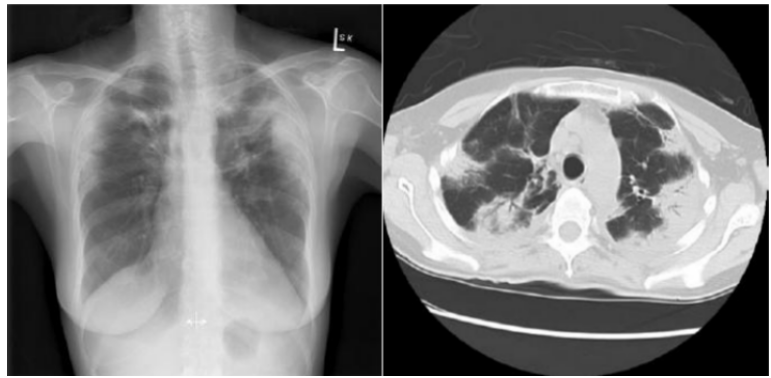
VAP的影像学标准缺乏特异性,例如胸部X线片显示两肺上叶斑片状高密度影,可能是感染,也可能是其他非感染性疾病,如血管炎、嗜酸细胞性肺炎、过敏性肺炎、肉瘤样变、血管炎等。

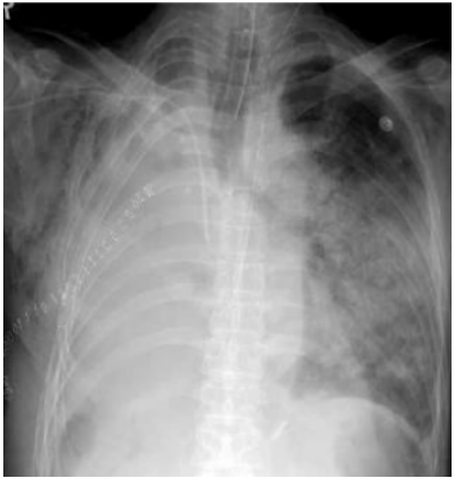
下图是68岁老年男性患者,因多重耐药结核菌感染行右肺切除,切除后第2日胸部X线片改变,双肺大片实变,最终证实是肺水肿、ARDS。

针对VAP的诊断目前还存在很多争议和问题,无论是国内标准还是国外标准,尚无统一的诊断意见。由于患者病情往往较重,“金标准”难以获得,目前的诊断更多联合临床诊断标准、病原学诊断标准及感染标志物快速、早期且准确地诊断VAP,提高诊断正确率,尽可能改善患者预后。
参考文献
[1] Hyllienmark P, Gårdlund B, Persson J O, et al. Nosocomial pneumonia in the ICU: a prospective cohort study[J]. Scand J Infect Dis, 2007, 39(8):676-682.
[2] Rello J, Ollendorf D A, Oster G, et al. Epidemiology and outcomes of ventilator-associated pneumonia in a large US database[J]. Chest, 2002, 122(6):2115-2121.
[3] Panwar R, VidyaS N, AlakaK D, et al. Incidence, clinical outcome, and risk stratification of ventilator-associated pneumonia-a prospective cohort study[J]. Indian J Crit Care Med, 2005, 9(4):211-216.
[4] Chawla R. Epidemiology, etiology, and diagnosis of hospital-acquired pneumonia and ventilator-associated pneumonia in Asian countries[J]. Am J Infect Control, 2008, 36(4 Suppl):S93-100.
[5] Ramirez P, Garcia M A, Ferrer M, et al. Sequential measurements of procalcitonin levels in diagnosing ventilator-associated pneumonia[J]. Eur Respir J, 2008, 31(2):356-362.
[6] Pelosi P, Barassi A, Severgnini P, et al. Prognostic role of clinical and laboratory criteria to identify early ventilator-associated pneumonia in brain injury[J]. Chest, 2008, 134(1):101-108.
[7] Fagon J Y , Chastre J , Wolff M, et al. Invasive and noninvasive strategies for management of suspected ventilator-associated pneumonia. A randomized trial[J]. Ann Intern Med, 2000, 132(8):621-630.
[8] Baram D, Hulse G, Palmer L B, et al. Stable patients receiving prolonged mechanical ventilation have a high alveolar burden of bacteria[J]. Chest, 2005, 127(4):1353-1357.
[9] Limper M, de Kruif M D, Duits A J, et al. The diagnostic role of procalcitonin and other biomarkers in discriminating infectious from non-infectious fever[J]. J Infect, 2010, 60(6):409-416.
[10] Uzzan B, Cohen R, Nicolas P, et al. Procalcitonin as a diagnostic test for sepsis in critically ill adults and after surgery or trauma: a systematic review and meta-analysis[J].Crit Care Med, 2006, 34(7):1996-2003.
[11] Charles P E, Ladoire S, Aho S, et al. Serum procalcitonin elevation in critically ill patients at the onset of bacteremia caused by either Gram negative or Gram positive bacteria[J]. BMC Infect Dis, 2008, 8:38.
[12] Tang B M P, Eslick G D, Craig J C, et al. Accuracy of procalcitonin for sepsis diagnosis in critically ill patients: systematic review and meta-analysis[J]. Lancet Infect Dis, 2007, 7(3):210-217.
作者简介
后可发表评论
友情链接
联系我们
公众号
客服微信