登录方式

方式一:
PC端网页:www.rccrc.cn
输入账号密码登录,可将此网址收藏并保存密码方便下次登录

方式二:
手机端网页:www.rccrc.cn
输入账号密码登录,可将此网址添加至手机桌面并保存密码方便下次登录

方式三:
【重症肺言】微信公众号
输入账号密码登录

注:账号具有唯一性,即同一个账号不能在两个地方同时登录。

登录
方式

为重症救治赋能

为患者康复加速

当前位置: 首页 呼吸e站 经典推荐

非典型病原体所致重症肺炎的早期识别与治疗策略

庞敏 山西医科大学第一医院呼吸与危重症医学科 发布于2022-09-09 浏览 5221 收藏

作者:庞敏

单位:山西医科大学第一医院呼吸与危重症医学科


非典型肺炎(atypical pneumonia,AP)这一概念的提出是为了区别有典型症状和影像改变的细菌性肺炎。非典型病原体主要指肺炎支原体、肺炎衣原体和嗜肺军团菌,其他少见病原体包括鹦鹉热衣原体和立克次体。这些病原体大多为细胞内寄殖,没有细胞壁,因此又称为细胞内感染病原体。关于非典型肺炎的流行情况,国外报道为22%,我国报道约为30%。最常见的非典型肺炎是支原体肺炎,最易引起重症感染的是军团菌。


一、军团菌肺炎


1. 概述

我国成人CAP的多中心调查研究结果显示军团菌肺炎占5.1%。大部分军团菌肺炎患者需要住院治疗,其中约50%需入住ICU,病死率高达30%。1976年在美国费城退伍军人大会爆发肺炎,221人感染疾病,34人死亡,最终确认病原体为嗜肺军团菌。而军团菌的发现最早可追溯到1957年,当时曾在一家肉类包装厂中出现78人感染,2人死亡。


军团菌为G-杆菌,包括嗜肺军团菌、米克戴德军团菌和波杰曼军团菌。嗜肺军团菌有16个血清型,最常见Ⅰ型(80%~90%)。感染途径主要为水源传播,如空调、温泉、沐浴、旅游中接触过污染的水源等。目前没有证据表明军团菌可在人与人之间传播。


2. 重症军团菌肺炎病例
一般情况:患者,女,75岁,2019年7月5日入院。主诉“恶心、呕吐伴发热5天”。
现病史:患者发病前曾至酒店泡温泉,次日出现发热、畏寒,乏力/恶心、呕吐,体温38.5℃。于当地医院普外科就诊,头孢类药物+甲硝唑治疗4天,仍高热、乏力,精神差,气促。后经了解有军团菌暴露史。治疗药物调整为青霉素+左氧氟沙星,并转诊至我院。
既往史:糖尿病合并周围神经病变20年,皮下注射门冬30R胰岛素28 IU-14 IU-28 IU,血糖控制不佳;高血压病史。
查体:T 37.5℃,P 104次/min,BP 128/56 mmHg,R 35次/min,神志清楚,面罩吸氧8 L/min,血氧饱和度85%~89%。双肺呼吸音粗,双下肺可闻及湿啰音,右肺明显。
血常规发现WBC升高,以中性粒细胞为主。


7月4日(患者入院前)胸部CT可见下肺磨玻璃渗出(图1)


图片

图1  患者胸部CT(2019-07-04)


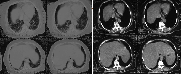
尿军团菌抗原(+)。入院第2天:无创机械通气通气,FiO2 100%;第3天气管插管,有创机械通气,FiO2 100%,PEEP 13 cmH2O。第4天,FiO2 45%,PEEP 8 cmH2O。逐渐降低支持力度,插管第7天撤机,拔管。拔管5天转入普通病房。整个病程中患者发热症状持续14天。患者入院前后胸部影像学变化如图2所示。


图片

图2  患者胸部CT变化


抗感染方案:①头孢哌酮他唑巴坦+莫西沙星+阿奇霉素;②替加环素+莫西沙星;③替加环素+莫西沙星+卡泊芬净(痰培养提示热带假丝酵母菌);④莫西沙星。


经过治疗,患者胸部CT仍可见双肺斑片状磨玻璃渗出影,但整体情况尚可,遂予拔管。出院前复查胸部CT可见病灶明显吸收,下肺有少许纤维条索状渗出(图3)


图片

图3  患者胸部CT


3. 临床表现

对于军团菌肺炎,较为关注的问题是流行病史,尤其注意询问患者的旅行史。慢性心肺基础疾病、糖尿病、恶性肿瘤等人群易感,易发生重症肺炎。主要临床表现为畏寒、发热、倦怠,继之出现咳嗽、呼吸困难,重症者进展为呼吸衰竭,甚至ARDS。值得注意的是,军团菌肺炎引起的肺外症状,甚至为首发症状。如消化道症状(恶心/呕吐、腹痛腹泻),还有神经系统症状(如意识障碍/行走困难);此外,相对缓脉、低钠血症也较常见。


4. 影像学检查

与其他肺炎并无特别有意义的区别之处,因此影像学鉴别困难。发病初期可呈间质性改变,进而出现肺泡浸润影。相对特异的表现为磨玻璃影中混杂边缘相对清楚的实变影。在临床症状改善后,影像表现仍可短期内进展,数周甚至数月才能完全吸收。


5. 实验室检查
血WBC可明显增高,特别是重症患者,提示炎症反应强。
低钠血症是其特征性的检查表现。
尿军团菌抗原检测快捷/便利,主要针对嗜肺军团菌1型,具有重要的临床意义。
血清抗体4倍升高是回顾性诊断标准。
细菌培养:仅在BCYEα琼脂培养基等特殊培养基上培养4~5天后才可形成灰白色菌落。
军团菌PCR检查有助于诊断。


6. 早期识别和诊断
早期识别军团菌肺炎的特征包括:①高热,相对缓脉;②低钠血症;③肺外症状,如消化道(腹泻)、神经系统症状(意识障碍、行走困难);④与肺部阴影不成比例的低氧血症和危重症状;⑤无痰或浆液、血性痰;⑥如果早期使用β-内酰胺类、氨基糖苷类抗生素治疗无效,阴影迅速扩大,普通培养基无菌生长,需考军团菌感染可能。

确定诊断的检测结果:①合格下呼吸道标本、胸腔积液、支气管黏膜或肺活检标本分离培养出军团菌;②嗜肺军团菌1型尿抗原检测阳性;③急性期和恢复期双份血清嗜肺军团菌1型特异性抗体(IFA法或ELISA法)滴度呈4倍或4倍以上变化。

重要参考意义的检测结果:①单份血清军团菌特异性抗体滴度达到阳性标准;②合格下呼吸道标本、胸腔积液、支气管黏膜活检标本或肺活检标本嗜肺军团菌抗原检测阳性(DFA法);③合格下呼吸道标本、胸腔积液、支气管黏膜活检标本或肺活检标本军团菌属核酸检测阳性。


7. 治疗
(1)病原学治疗:首选阿奇霉素、左氧氟沙星、莫西沙星、吉米沙星;其他可选药物包括多西环素、克拉霉素、米诺环素、SMZ-TMP,喹诺酮或阿奇霉素+利福平。文献报道替加环素对军团菌肺炎有效。轻症患者单药治疗即可,重症患者则需联合用药。
(2)重症肺炎其他治疗:不主张急性感染期使用糖皮质激素,后期如吸收不佳,出现纤维化/机化,可使用。此外,还包括呼吸支持、ECMO、营养支持等治疗。

二、肺炎衣原体肺炎


成人由肺炎衣原体所致重症肺炎少见报道。肺炎衣原体(Chlamydia pneumoniae,CP)是一种专性细胞内寄生菌。无动物储存宿主,属严格的人类病原体,目前只有一种血清型。传染途径是呼吸道分泌物的人与人之间的传播。肺炎衣原体感染可引起咽炎、喉炎、支气管炎、肺炎等。更易引起慢性感染,且与多种疾病有关,如慢阻肺、哮喘、动脉粥样硬化等。


人群中肺炎衣原体抗体阳性率很高,50%~70%,提示高感染率。肺炎衣原体肺炎的影像学无特异性表现,可表现为双侧/中下肺野居多;肺门向外放射的网状结节影;均匀磨玻璃影或小斑片或肺叶段实变;灶性肺气肿;多吸收慢,数周至数月。


确诊依据:①分离培养(特殊技术);②急性期和恢复期双份血清CP抗体IgG 4倍升高;③血清CP抗体IgM滴度>1:16。


重要参考意义:①CP核酸检测阳性;②单份血清CP IgG抗体滴度>1:512。


三、鹦鹉热衣原体肺炎


1. 重症鹦鹉热衣原体肺炎病例
患者,男性,60岁;咳嗽、咳痰、发热1周,加重3天,呼吸困难1天,2019年12月9日入院。最高体温39.5℃,伴头痛、肌肉酸痛、咽痛、打喷嚏、流清涕、言语不利。入院当日胸部CT:右肺上叶实变,右肺下叶背段含气囊肿,右侧胸腔积液(图4)。血气分析:FiO2 53%,pH 7.506,PaCO2 28.5 mmHg,PaO2 54.5 mmHg,PaO2/FiO103 mmHg,K+ 3.0 mmol/L,Na+ 124 mmol/L。


图片

图片

图4  患者胸部CT


入院后患者病情迅速恶化(图5),12月11日行气管插管机械通气。


图片

图5  患者胸部X线片


病原体检测:甲流、乙流病毒IgM,腺病毒、支原体、呼吸道合胞病毒、柯萨奇病毒IgM及血培养均为阴性。痰培养回报洋葱伯克霍尔德菌。12月14日mNGS回报鹦鹉热衣原体(序列数3248)、流产衣原体(序列数166)。


未明确病原体前给予广谱抗感染治疗:莫西沙星+美罗培南+奥司他韦+利巴韦林+利奈唑胺。后经mNGS明确为鹦鹉热衣原体,调整治疗方案。继续使用莫西沙星,加用替加环素,停用利奈唑胺、奥司他韦、利巴韦林,美罗培南降级为头孢哌酮舒巴坦。


给予针对性抗感染治疗后,患者氧合指数逐渐升高,吸氧浓度逐渐下调,WBC基本正常,PCT逐渐下降。患者胸部CT较前明显改善(图6)


图片

图6  患者治疗前后胸部CT比较


2. 临床表现及影像学
鹦鹉热衣原体为革兰氏阴性需氧细胞内寄生的病原体,主要宿生在鸟类的组织、血、粪中。呼吸道吸入受鹦鹉热衣原体污染的气溶胶可致病。鹦鹉热衣原体基因型A、E是导致人类鹦鹉热的主要基因型。临床表现为发热、寒战、头痛、肌痛、咳嗽;病情严重者可发展至重症肺炎,出现呼吸困难、发绀、烦躁及昏迷等,往往预后不佳。影像学表现缺乏特异性,肺内不同程度的浸润斑片影,较严重者可累及整个肺叶,高分辨率CT显示部分病变区呈实变结节与磨玻璃样,患侧胸膜受累,有少量胸腔积液。


3. 病原学诊断

鹦鹉热衣原体的病原学诊断需行细胞培养,无法常规开展;血清学检查多为回顾性诊断标准;因此,mNGS在此方面具有一定优势。


4. 治疗

首选四环素类药物:四环素500 mg,4次/d,多西环素100 mg,2次/d,疗程7~10 d。莫西沙星对衣原体属具有较强的抗菌活性。此外,大环内酯类药物(红霉素、阿奇霉素等)也可选用。


四、支原体肺炎


1. 流行病学

肺炎支原体(Mycoplasma pneumoniae,MP)无细胞壁,能够进行自我复制,是能在体外不依靠活体细胞而存活的最小的微生物。可引起小流行,容易在学校、幼儿园及军队等人员比较密集的环境中集中发病。我国秋冬季相对高发。5~20岁感染最多见,各年龄段均有。重症支原体肺炎以儿童多见,而成人支原体肺炎中出现重症肺炎的比例并不高。国外文献统计住院支原体肺炎患者中3%~4%为出现呼吸功能衰竭和急性呼吸窘迫综合征的重症支原体肺炎。成人报道的重症肺炎也以30岁以下为主。


2. 重症支原体肺炎的临床表现

呼吸系统临床表现:高热不退、咳嗽、呼吸困难,呼吸衰竭,甚至ARDS。


肺外表现是重症支原体肺炎的特征表现,可累及全身多系统。①心血管系统:心肌炎、心包炎,严重者出现心衰、心源性休克。②消化系统:肝功能损害,恶心、呕吐、腹痛、肝大;③神经系统:以支原体脑炎最常见,高热、惊厥、头痛、嗜睡、精神改变、昏迷、肢体活动障碍。④血液系统:以血小板减少和溶血性贫血为主,可有中性粒细胞减少、再生障碍性贫血、弥散性血管内凝血、噬血细胞综合征等。⑤泌尿系统:以急性肾小球肾炎综合征最常见,表现为血尿、蛋白尿、水肿、少尿、高血压,血清补体降低,甚至急性肾衰竭。注意监测尿常规;⑥皮肤表现:20%~25%的肺炎支原体患者发生皮肤损害,以皮疹较常见,个别出现渗出性多形性红斑。⑦肌肉关节:表现为游走性关节酸痛或关节炎,肌痛,个别可见横纹肌溶解综合征。


肺外表现的发生可能与下述机制有关:①感染诱发的细胞因子释放,组织损伤。②感染后引起高凝状态,血管炎、血栓形成。③病原体与人体组织,如心、肺、肝、脑、肾、平滑肌等有共同抗原,引起自身免疫性损伤。


重症支原体肺炎的胸部CT无特异性,也无大规模的临床研究统计。胸腔积液、多肺叶浸润影或累及大片实变跨多个肺叶表现时多提示为重症支原体肺炎。


3. 实验室检查

病原学确诊:①合格下呼吸道标本、支气管/肺活检标本分离培养出肺炎支原体;②急性期和恢复期血清支原体抗体滴度4倍升高。


病原学诊断重要价值:①合格下呼吸道标本、支气管/肺活检标本支原体核酸阳性;②单份血清支原体抗体IgM阳性。


血常规:WBC正常范围多见,少数升高。CRP常显著升高,CRP>100 mg/L常提示机体炎症反应程度较重,PCT多正常,D-二聚体明显升高,注意防范血栓。


4. 治疗

病原学治疗首选:左氧氟沙星500 mg/d或莫西沙星400 mg/d,ivgtt;多西环素、米诺环素口服,次选阿奇霉素、克拉霉素、吉米沙星。主张重症支原体肺炎使用糖皮质激素。以CRP为指导,有学者提出CRP>120 mg/L使用,CRP<50 mg/L不使用,50~120 mg/L之间酌情。此外,还应根据患者组织器官的损害进行综合评估。


5. 早期识别

有助于早期识别支原体肺炎的因素包括:①年轻人;②与呼吸衰竭不匹配的全身症状,例如神经系统、心脏;③普通细菌培养阴性;④初始治疗(不含目标药物)无效。


五、小结


非典型病原体肺炎在CAP中占有重要地位,其中军团菌最易导致重症肺炎,注意询问患者的旅游史,以肺外症状起病者,尿军团菌抗原检测方便快捷,有早期诊断价值。鹦鹉热衣原体所致重症肺炎近年增多,注意询问鸟类接触史。肺炎支原体所致重症肺炎以青少年居多,免疫损伤致肺外损害使病情复杂而危重。治疗方面可选择喹诺酮、大环内酯、四环素类药物。重症支原体肺炎、军团菌肺炎吸收不佳出现纤维化/机化的患者可使用糖皮质激素。由于非典型病原体培养困难,故mNGS技术在非典型病原体所致重症肺炎中具有较高的诊断价值。

作者简介



图片

庞敏 教授


教授,博士,硕士生导师

山西医科大学第一医院呼吸与危重症医学科副主任

中华医学会呼吸病学分会青年委员会委员、肺功能学组(筹)委员

中国医师协会呼吸医师分会教育工作委员会委员

中国老年医学会呼吸病学分会慢阻肺学组委员

中国慢阻肺联盟委员、中国戒烟联盟理事

山西省医学会呼吸病学专业委员会常务委员兼秘书长、青年学组组长

山西省慢阻肺联盟副主席

山西省基层卫生呼吸专业委员会副主任委员

全部评论 0
Copyright©2020-2026 北京医麦斯科技有限公司 版权所有 京ICP备2020034400号-1 京公网安备11010502043983号