登录方式

方式一:
PC端网页:www.rccrc.cn
输入账号密码登录,可将此网址收藏并保存密码方便下次登录

方式二:
手机端网页:www.rccrc.cn
输入账号密码登录,可将此网址添加至手机桌面并保存密码方便下次登录

方式三:
【重症肺言】微信公众号
输入账号密码登录

注:账号具有唯一性,即同一个账号不能在两个地方同时登录。

登录
方式

为重症救治赋能

为患者康复加速

当前位置: 首页 呼吸e站 经典推荐

复发性多软骨炎

陈毅斐 武汉大学中南医院呼吸与危重症医学科 发布于2022-08-17 浏览 5307 收藏

作者:陈毅斐

单位:武汉大学中南医院呼吸与危重症医学科

一、复发性多软骨炎概述

1. 复发性多软骨炎的定义

复发性多软骨炎(relapsing polychondritis,RP)是一种软骨组织复发性退化性炎症,具有反复发作和缓解的进展性炎性破坏性病变,表现为耳、鼻、喉、气管、眼、关节、心脏瓣膜等器官及血管等结缔组织受累。RP发病初期多为急性炎症表现,经数周至数月好转,后续为慢性反复发作过程,可长达数年。病程晚期起支撑作用的软骨结构遭到破坏,患者表现为松软耳、鞍鼻以及嗅觉、视觉、听觉和前庭功能障碍等。


2. 流行病学

1923年,Jaksch-Wartenhost以“多发性软骨病”的名称来描述,之后曾被称为“弥漫性软骨膜炎、软骨软化、慢性萎缩性多软骨炎、弥漫性软骨溶解和软骨发育障碍”等。1960年,由Pearson等命名为“复发性多软骨炎”,该名称逐渐被广泛接受。由于RP罕见,流行病学研究较少,其真实发病率至今尚不明确,仅为机构或地区流行病学报道。综合近年报道,RP总体发病率为0.71/100万~9.0/100万,RP患者年龄多为30~60岁,无性别倾向,女性以呼吸道受累较多且较重。


3. 发病机制

RP的病因目前尚不清楚,实验证据提示其与自身免疫反应密切相关。推测可能的发病机制为:受软骨基质受外伤、炎症等因素的影响暴露出抗原性,导致机体对软骨局部或有共同基质成分的组织,如葡萄膜、玻璃体、心瓣膜、气管黏膜下基底膜、关节滑膜和肾小球及肾小管基底膜等组织的免疫反应。


支持RP是自身免疫性疾病的证据包括:①病灶中有大量淋巴细胞和浆细胞浸润;②血循环中可检测出抗软骨抗体、抗蛋白多糖抗体、抗Ⅱ型胶原抗体、抗链蛋白片段抗体,免疫复合物增加;③T细胞可在丝裂原和胶原抗原、自体软骨蛋白多糖刺激后释放淋巴因子、白介素-1、白介素-6,这些因子可使软骨蛋白多糖降解,直接抑制软骨细胞葡糖胺聚糖的合成;④病理活检发现免疫球蛋白和补体沉积。


4. 病理特征

RP的病理特征体现在镜下所见病变特点为软骨溶解伴软骨膜炎。RP早期软骨膜及软骨呈急性/慢性炎症细胞浸润,软骨组织分隔成小岛。RP后期变性坏死软骨由纤维结缔组织代替,弹力纤维凝集、破坏。耳廓、皮肤等部位表现为血管炎,血管腔闭塞伴淋巴细胞、嗜酸性粒细胞浸润。


二、复发性多软骨炎临床表现


1. 耳软骨炎

耳软骨炎是RP最常见的临床表现。

(1)以外耳廓突发的疼痛肿胀、发红发烫为特征,炎症可以自行消退或经治疗消退。反复发作可导致软骨的破坏、外耳廓松弛、塌陷、畸形和局部色素沉着,称为菜花耳。


图片

菜花耳


(2)听觉和/或前庭功能受累:外耳道狭窄、中耳炎症、咽鼓管阻塞可导致传导性耳聋;后期可累及内耳,表现为听觉或前庭功能损伤;病变累及迷路可导致旋转性头晕、眼球震颤、共济失调、恶心及呕吐等。


2. 鼻软骨炎

约3/4的RP患者有鼻软骨炎。在急性期表现为局部红肿、压痛,常突然发病,颇似蜂窝组织炎,数天后可缓解。反复发作可引起鼻软骨局限性塌陷,发展为鞍鼻畸形。患者常有鼻塞、流涕、鼻出血、鼻黏膜糜烂及鼻硬结等。


图片


图片


3. 眼部病变

主要表现为眼的附件炎症,可为单侧性,也可为对称性;最常见为结膜炎、角膜炎、虹膜睫状体炎、巩膜炎和色素膜炎;巩膜炎反复发作可导致角膜外周变薄,甚至造成眼球穿孔;视网膜病变,如视网膜微小动脉瘤、岀血、渗岀,静脉闭塞、动脉栓塞也常有发生;视网膜血管炎或视神经炎可导致失明。

图片

巩膜软化


4. 关节损害

RP关节损害的特点为外周关节非侵蚀性非畸形性多关节炎。大小关节均可受累,呈非对称性分布,多为间歇性发作,慢性持续性者较少。肋软骨和胸锁关节以及骶髂关节也可受累;当合并类风湿关节炎时,可出现对称性侵蚀性畸形性关节炎。


图片


5. 呼吸系统病变

约50%的患者累及喉、气管及支气管软骨,表现为声音嘶哑、刺激性咳嗽、呼吸困难和吸气性喘鸣,喉和会厌软骨炎症早期可有甲状软骨、环状软骨及气管软骨压痛,喉和会厌软骨炎症可导致上呼吸道塌陷,造成窒息,需紧急行气管切开术。疾病晚期支气管也可发生类似病变,炎症、水肿及瘢痕形成可导致严重的局灶性或弥漫性的气道狭窄,气管切开术不能有效纠正呼吸困难。由于呼吸道分泌物不能咳出,继发肺部感染,可导致患者死亡。


6. 心血管病变

约30%的患者可累及心血管系统,表现为心肌炎、心内膜炎或心脏传导阻滞、主动脉瓣关闭不全,大、中、小血管炎。主动脉瓣关闭不全是常见而严重的心血管并发症,通常是由于主动脉炎、主动脉瓣环和主动脉进行性扩张所致,而非主动脉瓣膜病变,在主动脉瓣听诊区可闻及不同程度的舒张期杂音。其他表现包括升主动脉、降主动脉动脉瘤,及其他大血管动脉瘤破裂引起猝死。


7. 血液系统受累

约50%的患者可出现贫血、血小板减少,活动期患者多有轻度正细胞正色素性贫血,白细胞增高。有些患者脾大,还可并发骨髓异常增生综合征,少数患者发生溶血性贫血。


8. 皮肤损害

25%的患者伴有皮肤损害,皮损无特征性,形态多样,可表现为结节性红斑、紫瘢、网状青斑、结节、皮肤角化、溢脓、色素沉着等,活检常呈白细胞破碎性血管炎的组织学改变,也可发生指(趾)甲生长迟缓、脱发及脂膜炎、口腔溃疡及生殖器溃疡,有些病例和白塞病重叠存在。


9. 神经系统病变

少数患者可有中枢神经系统受损和周围神经受损的症状,如头痛、展神经麻痹、面神经麻痹、癫痫、器质性脑病和痴呆,也可发生多发性单神经炎。发病机制可能为对软骨蛋白多糖发生反应的抗Ⅱ型胶原抗体与神经系统(如神经内膜、脑内小动脉中层及内膜等)发生交叉反应而导致的相应病变。


10. 肾脏病变

表现为显微镜下血尿、蛋白尿或管型尿,反复发作可导致严重肾炎和肾功能不全,肾动脉受累可发生高血压,肾脏活检有肾小球肾炎的组织学证据。


三、复发性多软管炎辅助检查


RP的辅助检查涉及下列:

  • 血常规和血沉:轻度正细胞正色素性贫血,白细胞中度增高,血沉增速。
  • 尿常规:少数患者有蛋白尿、血尿或管型尿。急性活动期尿中酸性黏多糖排泄增加,对诊断有参考价值。
  • 血清学:约25% ANA和RF阳性。少数患者毒血清学反应假阳性、狼疮细胞阳性。抗软骨细胞抗体阳性及抗Ⅱ型胶原抗体阳性有助于诊断
  • 肾功能异常及脑脊液细胞增多提示相关的血管炎。
  • X线片:胸片显示有肺不张及肺炎。气管-支气管体层摄影可见气管、支气管普遍性狭窄;周围关节的X线显示关节旁的骨密度降低,偶有关节腔逐渐狭窄,但无侵蚀性破坏。
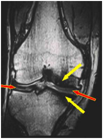
  • 胸部CT:可发现气管和支气管树的狭窄程度及范围,气管和支气管壁增厚钙化、管腔狭窄变形及肿大的纵隔淋巴结;呼气末CT扫描可观察气道的塌陷程度。

图片


  • 支气管镜:可发现气管、支气管普遍狭窄,软骨环消失,黏膜增厚、充血水肿及坏死,内有肉芽肿样改变或黏膜苍白萎缩。
  • 肺功能:由于气道狭窄或塌陷等改变,肺功能测定显示阻塞性通气功能障碍。
  • MRI:可能有助于早期诊断,特别是当关节受累时,表现出一种独特的炎症和强化显像,软骨和软骨骨骺信号异常;同时,MRI水成像对判断内耳病变时也有重要价值。
  • PET-CT:利于RP早期诊断,同时可指导活检,评价疾病活动性。

2015年一项国内研究显示,在26例RP患者中,23例PET-CT表现为多部位软骨高代谢活性,SUVmax介于1.93~13.03之间,平均值为4.94。咳嗽患者气管及支气管代谢活性增高,高代谢活性部位活检阳性率明显高于支气管镜活检;治疗后RP患者高代谢区域代谢活性降低或消失,与患者症状改善一致。PET-CT中2个及以上软骨区域代谢活性增高可作为RP诊断标准。


四、复发性多软骨炎的诊断


1. 复发性多软骨炎的诊断

1976年McAdam提出了关于RP的诊断标准,符合下述6条中的3条或3条以上不须组织学证实,可以确诊为RP,如果临床上的诊断十分明显,也无需软骨组织学证实:①双耳软骨炎;②鼻软骨炎;③非侵蚀性多关节炎;④喉和/或气管软骨炎;⑤眼炎,包括结膜炎、角膜炎、巩膜炎、浅层巩膜炎及葡萄膜炎等;⑥耳蜗和/或前庭受损,表现为听力丧失、耳鸣和眩晕。


如果临床表现不确定,必须除外其他原因引起的软骨炎,尤其是感染性疾病,须做活检和培养或其他必要的试验以除外梅毒、真菌或其他细菌感染


1979年,Damiani和Levine提出扩大McAdam的诊断标准,只要存在下述中的1条即可诊断:①满足3条McAdam征或更多者;②1条McAdam征加上病理证实,如作耳、鼻呼吸道软骨活检;③病变累及2个或2个以上的解剖部位,对激素或氨苯砜治疗有效。


图片


凡有下列情况之一者,也应疑有RP:①一侧或两侧外耳软骨炎,并伴外耳畸形;②鼻软骨炎或有原因不明的鞍鼻畸形;③反复发作性巩膜炎;④不明原因气管及支气管广泛狭窄,软骨环显示不清,或有局限性管壁塌陷。


2. 复发性多软骨炎的鉴别诊断

(1)耳廓病变及外耳炎:应与局部外伤、冻疮、丹毒、慢性感染、系统性红斑狼疮、痛风、真菌性疾病、梅毒、麻风病鉴别。

(2)鼻软骨炎:需与韦格纳肉芽肿、淋巴样肉芽肿、先天性梅毒、麻风、淋巴瘤、结核等引起的肉芽肿以及癌肿和淋巴瘤相鉴别。

(3)眼炎:应与韦格纳肉芽肿、结节性多动脉炎。Cogan综合征、白塞病、原发性或继发性干燥综合征、血清阴性脊柱关节病等累及眼的全身性疾病相鉴别。

(4)气管、支气管狭窄变形:需要与结核等感染性疾病、结节病、非感染性肉芽肿、肿瘤、慢性阻塞性肺疾病、淀粉样变性等相鉴别。一般上述疾病经组织活检可明确。

(5)主动脉炎和主动脉病变:应与梅毒、马方综合征等主动脉病变相鉴别。

(6)肋软骨炎:需与良性胸廓综合征(如特发性、外伤性肋软骨炎、肋胸软骨炎、剑突软骨综合征)相鉴别。


注意与气管淀粉样变性、骨化性支气管病相鉴别。

(1)气管淀粉样变:一种多糖蛋白组成的淀粉样物质沉积在体内各组织的疾病,分为原发性和继发性,以后者较常见,大多并发于各种感染和退行性病变,常累及呼吸系统。病理表现为淀粉样物质沉积在气管和支气管壁上,主要是黏膜下层、肌层和外层,局限性或弥漫性,病灶内可有钙化、骨化物质。临床上以男性多见,可累及其他脏器(肝、脾、肾等淀粉样变性)。

(2)骨化性支气管病:是指气管、支气管黏膜下有多发骨性或软骨性小结节生长,并向管腔内突出。本病可能与慢性感染、代谢障碍、退行性病变等有关,在多种因素作用下,气管黏膜下的弹力纤维层未分化结缔组织化生并发展为软骨细胞,钙盐沉积而骨化,病理上主要表现为小结节内可见软骨灶和骨化灶,表面黏膜无改变或轻度萎缩,部分可有轻度炎症。临床上可无症状或有较长的咳嗽病史。


五、复发性多软骨炎的治疗

1. 一般治疗

急性发作期应卧床休息,视病情给予流质或半流质饮食,以免引起会厌和喉部疼痛,烦躁不安者可适当用镇静剂。嘱患者保持充足的睡眠,注意保持呼吸道通畅,预防窒息。


2. 药物治疗
(1)非甾体抗炎药:轻症患者,可予吲哚美辛、双氯芬酸钠或其他非甾体抗炎药。
(2)糖皮质激素:可抑制病变的急性发作,减少复发的频率及严重程度,用于病情较重患者,初始剂量为泼尼松30~60 mg/d,分次或晨起一次口服。重度急性发作的病例,如喉、气管及支气管、眼、内耳受累时,泼尼松的剂量可酌情增加,甚至行甲泼尼龙冲击治疗。临床症状好转后,泼尼松可逐渐减量。剂量在15 mg/d以下时可维持1~2年。
(3)氨苯砜:可抑制补体的激活和淋巴细胞转化,也能抑制溶菌酶参与的软骨退行性变。氨苯砜使用时从小剂量试用,以后逐渐加量(剂量范围25~200 mg/d),其疗效尚未得到肯定。因有蓄积作用,需间断服药、停药。氨苯砜主要不良反应为恶心、嗜睡、溶血性贫血、药物性肝炎及白细胞下降等。
(4)免疫抑制剂:主要用于激素抵抗,不能耐受或停用激素后复发的患者,主要包括甲氨蝶呤、环磷酰胺、硫唑嘌呤、环孢素A和吗替麦考酚酯等。在使用免疫抑制剂时,应定期查血、尿常规、肝肾功能以防止不良反应发生。
(5)生物制剂:抗CD4单克隆抗体是最早用于治疗RP的生物制剂,之后相继用肿瘤坏死因子拮抗剂英夫利西单抗和依那西普治疗严重患者。已报道生物制剂疗效肯定,但病例数尚少,有待进一步临床观察验证。

一项多中心回顾性队列研究共纳入41例顽固性RP患者,共使用115次生物制剂,包括TNF-α拮抗剂、妥珠单抗、阿那白滞素、利妥昔单抗及阿巴西普等。治疗6个月后总体反应率较高(62.9%),但达到完全缓解的患者比例较少(19%);TNF-α拮抗剂、妥珠单抗及利妥昔单抗临床反应率(63.3%~71.4%)高于阿巴西普和阿那白滞素(50.0%~53.3%),TNF-α拮抗剂中英夫利西单抗及阿达木单抗效果最好。此外,该研究还发现,疗效差异与受累器官类型有关,妥珠单抗及TNF-α拮抗剂对于鼻、耳及关节炎症的疗效最佳。


3. 对症处理

眼部症状可局部用泼尼松眼膏,或用氢化可的松滴眼液点眼。当出现继发性白内障或青光眼时,可给予针对性治疗。对气管软骨塌陷引起重度呼吸困难的患者,应立即行气管切开术,必要时用人工呼吸机辅助通气,以争取进一步药物治疗的机会。已有报道对于软骨炎所致的局限性气管狭窄可行外科手术切除。应积极预防和治疗肺部炎症。RP患者因心瓣膜病变引起难治性心功能不全,应使用强心剂和减轻心脏负荷的药物。若有条件可行瓣膜修补术或瓣膜成形术,以及主动脉瘤切除术。


六、复发性多软骨炎的预后


RP的死亡率约为25%,最常见的死亡原因是感染、呼吸道梗阻、血管炎和心脏并发症。早期患者预后较好。据文献报道,患者5年生存率为74%,10年生存率为55%,但本病的中晚期则表现为恶性进程。


七、小结


RP是一种罕见的自身免疫病,起病隐匿,发病机制尚不明确,其临床表现常不典型,诊断主要基于临床表现,早期诊断困难,误诊率高。目前诊断标准有待更新,纳入不典型临床表现、生物学标志物及影像学表现等。对激素及免疫抑制剂反应不佳的难治性RP患者,可选用生物制剂及小分子药物治疗。未来需要前瞻性多中心队列研究进一步证实生物制剂的疗效及安全性。


⭐  专家介绍

图片

陈毅斐 


医学博士,副主任医师
武汉大学中南医院呼吸与危重症医学科呼吸内镜介入诊疗中心负责人,院级优秀中青年技术人才
湖北省病理生理学会呼吸专业委员会委员
湖北省临床肿瘤学会介入呼吸病学专家委员会常务委员、肺癌专家委员会青年委员
湖北省呼吸介入联盟委员
Thorax(中文版)、《临床与病理杂志》和湘雅医学期刊社中青年编委
近5年主持或参与国家自然科学基金、湖北省自然科学基金、中央高校专项自主科研项目等课题6项
以第一作者或通讯作者发表学术论文12篇,其中SCI论文8篇
曾多次在全国呼吸病学年会、全国哮喘学术年会和全国变态反应学术年会上作大会发言,获得全国中青年呼吸学者论坛优秀论文等荣誉


*本文根据重症肺言“空中大查房”第三十期专题报告视频整理感谢陈毅斐医师予以审核。



了解“复发性多软骨炎”的详细内容,可扫描下方二维码观看视频。


图片

全部评论 0
Copyright©2020-2026 北京医麦斯科技有限公司 版权所有 京ICP备2020034400号-1 京公网安备11010502043983号