登录方式
            方式一:
            PC端网页:www.rccrc.cn
            输入账号密码登录,可将此网址收藏并保存密码方便下次登录
        
            方式二:
            手机端网页:www.rccrc.cn
            输入账号密码登录,可将此网址添加至手机桌面并保存密码方便下次登录
        
            方式三:
            【重症肺言】微信公众号
            输入账号密码登录
        
注:账号具有唯一性,即同一个账号不能在两个地方同时登录。
磨玻璃影(ground glass opacity,GGO)是指肺内边界模糊或清楚的半透明密度区,其内可见血管纹理和支气管壁。影像学表现为GGO的病理基础是低于CT空间分辨率的肺实质微小结构异常,衰减值介于-300~-600 HU。GGO与实变(consolidation)最主要的鉴别的点是实变掩盖血管结构伴或不伴支气管充气征,在间质性肺疾病中,GGO常代表疾病活跃进展,病情可能逆转。而在呼吸危重症患者中,GGO特别是双肺弥漫性GGO比较常见,其影像特征有助于临床医生缩小鉴别诊断范围,明确诊断方向。
GGO形成的病理生理机制
影响肺密度的因素包括肺内气腔的密度、肺组织密度、肺血容量以及血管外肺体液量。而导致GGO形成的主要病理生理机制包括:呼吸气腔充气状态异常(不张、渗液、细胞、血液等)、毛细血管容量增加、肺泡壁(间质)增厚(液体、细胞或纤维组织)以及血流灌注异常。当呼吸气腔被液体、细胞等其他物质充填时,影像可表现为小叶中心GGO结节或腺泡结节,无肺间质增厚或纤维化短期变化较为明显,常见于过敏性肺炎早期、肺出血(积血)。而当毛细血管容量增加时,血管内外体液增加,肺泡及肺间质内液体增多,出现双肺广泛GGO,其影像特点表现为由上至下、由前至后逐渐增高,常伴有肺血管增粗、心影增大或胸腔积液,常见于心肾功能不全或大量补液。
一些间质性肺炎以及结缔组织病相关性间质性肺疾病(CTD-ILD),肺泡壁(间质)渗液及细胞成分增多导致密度增高,如合并增生和纤维化可导致肺固有结构变形、破坏,因此影像常表现为GGO伴不规则纤维条索影、牵拉性支气管扩张、蜂窝肺等。还有一类是血流灌注异常,影像表现为高灌注区肺血容量增加,密度增高,低灌注区与高灌注区镶嵌存在(马赛克征),常见于肺动脉栓塞、中小动脉炎等疾病。对GGO形成的病理生理机制的了解有助于我们进一步分析病因。
 
GGO的病因
关于弥漫性GGO的病因,Collins J等早期提出了“ABCs”分类。A:肺泡蛋白沉积症(alveolar proteinosis)、ARDS等;B:肺泡出血(blood)、呼吸性细支气管炎相关性间质性肺疾病(bronchiolitis-associated interstitial lung disease,RB-ILD);C:CMV/PCP、肿瘤及淋巴增殖系统疾病(cancer and lymphoproliferative disorders)、CTD-ILD(collagen vascular disease);D:药物毒性(drug toxicity)、脱屑性间质性肺炎(DIP);E:过敏性肺炎(extrinsic allergic alveolitis)、嗜酸性肺炎(eosinophilic pneumonia)、水肿(edema);F:纤维化(fibrosis);G:肉芽肿性疾病(granulomatous disease,e.g. sarcoidosis)。虽然上述分类有助于我们记忆弥漫性GGO的病因,但是对于临床诊治思路的参考价值不大。因此,如何基于影像学特征协助疾病诊断及鉴别诊断仍是临床一大难题,而基于影像学特征及临床病史建立程序化诊治思路有助于以弥漫性GGO为主要表现的重症患者早期病因诊断。
GGO的诊断思路
第一步,明确GGO影像诊断。GGO常需要与弥漫性粟粒样结节、肺空气潴留以及马赛克征等影像征像相鉴别。常规CT扫描由于层厚原因,粟粒样结节可表现为边缘不清的磨玻璃斑片影,而采用1 mm或以下的薄层扫描能很好区别两者。由于闭塞性细支气管炎等疾病导致的空气潴留在影像学表现为高透光区,而相对正常的区域就可能被误认为是GGO,我们可以根据基础疾病、细支气管炎近端支气管扩张以及呼气相CT等进行鉴别。另外,一些肺血管疾病,例如肺栓塞因为病灶区血流灌注减少可导致透光度增加,其往往伴随相对应区域的血管稀疏及血管管径变小。对于重症患者,床旁肺超显示B线也有助于GGO的诊断。
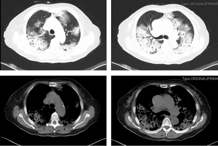
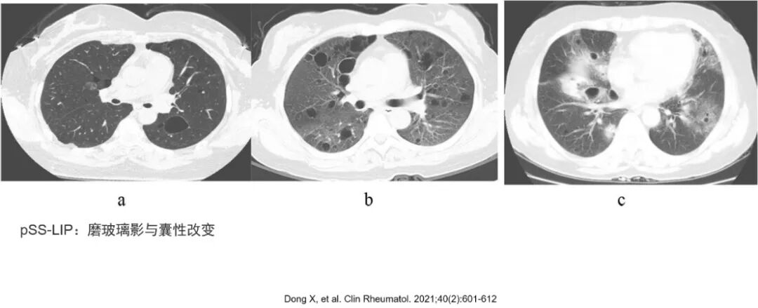
第二步,明确是否合并其他影像特征。在以GGO为主要表现的基础上,很多时候还合并小叶间隔增厚、牵拉支气管扩张、囊性改变以及结节影等。多种影像特征的结合有助于我们更准确地评估病理生理改变,以及缩小鉴别诊断范围。例如合并网格影,即我们常说的铺路石征(crazy-paving),其往往提示气腔或间质改变合并小叶间隔或小叶内间质增厚,除了常见的肺泡蛋白沉积症(原发或继发),浸润性黏液腺癌、吸入性类脂性肺炎以及一些病毒感染也可能出现类似表现。而一例细胞免疫缺陷患者特别是HIV感染患者,肺部影像学提示GGO及囊性改变,这是HIV合并肺孢子菌肺炎(PCP)的经典表现。而干燥综合征患者肺部出现GGO以及囊性改变,需警惕继发淋巴细胞性间质性肺炎(LIP)等淋巴增殖性疾病,其机制是在肺泡壁、支气管、细支气管周围淋巴细胞浸润,而细支气管处浸润的淋巴细胞聚集可引起局部支气管狭窄及活瓣效应。GGO合并牵拉性支气管扩张常见于间质性肺病或感染后支气管扩张。而GGO中心出现结节改变,部分学者将其命名为“煎蛋征”,是一些血管肉瘤、出血性转移瘤(绒癌、肾脏恶性肿瘤)以及病毒性肺炎的较特征影像改变。《肺部高分辨率CT》一书对这部分内容有详细的阐述,需要注意的是,如果肺部影像学以结节实变等其他的影像征象为主,建议以主要征象开展影像鉴别诊断。
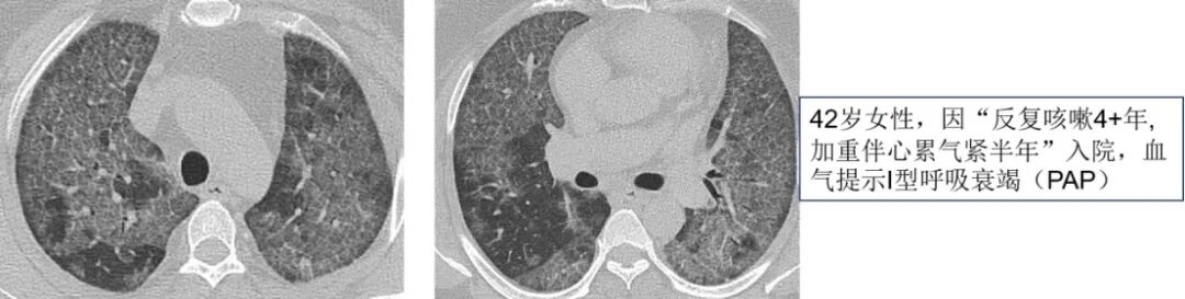
第三步,结合患者病史特征。虽然影像学特征能够提供鉴别方向,但单独影像学很难具体诊断某种疾病,因此需结合患者病史特征,包括详细的问诊及查体等。首先,我们需考虑疾病起病缓急,以双肺GGO为主要表现急性起病的疾病包括肺水肿、肺出血、PCP、支原体肺炎、病毒性肺炎、急性间质性肺炎、急性嗜酸性粒细胞肺病、早期过敏性肺炎、药物反应、淋巴瘤等;而慢性起病的疾病包括过敏性肺炎、DIP、RB-ILD、细胞性非特异性间质性肺炎、肺泡蛋白沉积症、细支气管肺泡癌(原位腺癌)、机化性肺炎、结节病。以下图病例为例,患者因重度Ⅰ型呼吸衰竭就诊,双肺表现为铺路石征及地图样改变,如果急性起病,我们可能首先会考虑PCP等可能,而患者4年缓慢进展的病史提示肺泡蛋白沉积症等慢性进展性疾病的可能性更大,而最终的肺泡灌洗液病理证实肺泡蛋白沉积症。
除了起病缓急,个人史、基础疾病、免疫状态以及检查结果异常等都对诊断有提示作用。这是我科的一个病例,17岁女性患者,因车祸伤致右侧胫腓骨骨折,4天后患者出现咳嗽、气紧及咯血,胸部CT示双肺散在磨玻璃样密度影及斑片、结节影,予以吸氧、糖皮质激素治疗2周后复查胸部CT示双肺病灶基本吸收。结合患者长骨骨折病史以及双肺暴风雪改变,提示脂肪栓塞可能。
脂肪栓塞综合征
另外一例38岁男性吸烟患者,体检发现边缘模糊的双肺GGO,尿常规提示红细胞144/HP,异常红细胞百分率为100%,患者肺部和肾脏受累,很可能是肺肾综合征,虽然血抗GBM抗体阴性,但最终经肾穿明确为Goodpasture综合征,而吸烟是该病的重要危险因素。
Goodpasture综合征
这一病例是63岁男性,农民,发热呕吐5+天,咳嗽气促1+天,发病前有下地劳作史,有咯血及消化道出血,辅助检查提示HB、PLT降低,肌酐、PCT升高。该患者最后诊断为钩端螺旋体病,农民,下地劳作史,弥漫性肺泡出血,这些表现对最终的诊断均有提示作用。另外,流行病学史及患者免疫状态也非常重要。流感季节高热、肌痛等全身症状明显,而肺部影像学提示病毒性肺炎,在获得病原学结果之前就需要考虑抗流感病毒治疗,而免疫低下宿主合并双肺弥漫性GGO,如果血G试验阳性,也需要首先考虑PCP可能。
第四步,实验室检查结果。实验室检查结果异常对于诊断也至关重要。以2例患者为例。第一例为亚急性疾病,主要表现为逐渐加重的呼吸困难,而肺部影像主要表现为若有若无的淡淡GGO,在外院经过长时间诊治未明确病因转入我科,入院后患者检查一大特征是LDH明显升高。LDH升高不具备特异性,心肌梗死、肝损伤、骨骼肌损伤及重症感染均可显著增高,但该患者LDH持续>1000,再结合患者缓慢加重的病情及无明显间质改变的GGO,均提示淋巴瘤可能,骨髓穿刺流式细胞学也查见克隆性B淋巴细胞。
另一例患者主要表现为双上肺铺路石征改变,而右下肺实变改变,血中新生/格特隐球菌荚膜抗原:阳性以及隐球菌抗原滴度检测:>1:2560均提示隐球菌感染可能,虽然影像学表现不典型,我们通过经皮肺穿刺活检也进一步明确了诊断。
患者女性,75岁,因“咯血9天,加重伴呼吸困难6天”入院。我院急诊血红蛋白55 g/L,肌酐578 μmol/L,ANCA +1:10 p-ANCA阳性,髓过氧化物酶5.3,GBM阴性。考虑ANCA相关性血管炎(AAV)合并DAH。
AAV合并DAH
通过上述四步诊治思路,大部分以弥漫性GGO为主要改变的患者病因诊断均能得到明确。弥漫性GGO改变的患者,在感染性疾病中,根据免疫是否受损可分为免疫正常患者和免疫缺陷患者,前者主要是病毒性肺炎(包括流感、COVID-19),后者以PCP及CMV感染常见。非感染疾病相对更为复杂,其中肿瘤性疾病表现为弥漫性GGO的主要是淋巴瘤、血管肉瘤及部分转移性肿瘤,间质性疾病特别是间质性疾病急性加重也是需鉴别的一大类疾病,而肺泡出血需鉴别血管炎性及温和性出血。
对临床医生而言,一些病因不明的疾病如急性间质性肺炎的诊治更具挑战性。而NGS的应用、重症患者床旁活检的实验性开展以及ECMO等支持手段的逐步应用,将为这类疾病的诊断带来更多的益处。
作者简介
唐永江
四川大学华西医院
四川大学华西医院呼吸与危重症医学科副主任医师
PCCM专培结业医师
香港中文大学博士
美国康奈尔大学访问学者
中华医学会呼吸病学分会呼吸危重症学组秘书
四川省医学会呼吸病学专委会介入学组委员兼秘书
发表文章20余篇,主持及参与多项国家自然科学基金及省卫健委基金项目
主要从事呼吸危重症、呼吸介入及肺血管疾病的临床和科研工作
余荷
四川大学华西医院
四川大学华西医院呼吸与危重症医学科副主任医师
中华医学会呼吸病学分会呼吸危重症学组委员
四川省国际医学交流促进会呼吸与危重症医学专业委员会常务委员
四川省国际医学交流促进会重症医学专业委员会青年委员
四川省老年医学会重症专业委员会常务委员
四川省医学会重症医学专业委员会青年委员
四川省医师协会第三届重症医学医师分会委员
发表SCI论文及核心期刊论文20余篇,参编专著3部
作为研究者参与多项临床及GCP研究
作为负责人承担四川省科技厅项目2项
作为分中心负责人承担国家重点研发项目子课题研究1项
 后可发表评论
后可发表评论
            
         
    
     
     
 
        友情链接
联系我们
 公众号
                    公众号
                 客服微信
                    客服微信