登录方式

方式一:
PC端网页:www.rccrc.cn
输入账号密码登录,可将此网址收藏并保存密码方便下次登录

方式二:
手机端网页:www.rccrc.cn
输入账号密码登录,可将此网址添加至手机桌面并保存密码方便下次登录

方式三:
【重症肺言】微信公众号
输入账号密码登录

注:账号具有唯一性,即同一个账号不能在两个地方同时登录。

登录
方式

为重症救治赋能

为患者康复加速

当前位置: 首页 呼吸e站 经典推荐

ANCA相关性血管炎及血栓性微血管病

梁帅 吉林大学第一医院呼吸与危重症医学科 发布于2022-04-29 浏览 5393 收藏

图片

ANCA相关性血管炎


临床常见ANCA相关性血管炎(ANCA-associated vasculitisAAV)包括肉芽肿性多血管炎(granulomatosis with polyangiitis,GPA)、显微镜下多血管炎(microscopic Polyangiitis,MPA)、嗜酸性粒细胞性肉芽肿性血管炎(eosinophilic granulomatosis with polyangiitis,EGPA)、抗GBM病,其中GPA ANCA阳性率最高,MPA次之。

图片


图片


1. 肉芽肿性多血管炎(GPA)
(1)特点:以坏死性肉芽肿为典型病理表现的系统性血管炎;上呼吸道、肺、肾脏受累最为常见。
(2)实验室检查:ANCA(+)90%(80%~95% c-ANCA,其余p-ANCA)。
(3)组织活检:①肺活检:寡免疫复合物性血管炎,累及动脉、静脉、毛细血管,同时有肉芽肿和组织坏死。②肾活检:坏死性新月体肾炎(血管炎、肉芽肿少见)。
(4)诊断标准:鼻或口腔炎症(脓性/血性鼻腔分泌物、痛性/无痛性口腔溃疡);X线胸片异常(结节、浸润、空洞);尿沉渣异常(镜下血尿、红细胞管型);活检显示肉芽肿性炎症(血管壁、血管周围肉芽肿形成)。
(5)治疗:①诱导缓解:激素+CTX或CD20单抗;②若肾脏受累,出现PRGN可血浆置换;③轻型或局限型使用激素+MTX,严重脏器功能受累可激素冲击;④维持治疗:CTX、MTX、AZA、LEF至少2年。

2. 显微镜下多血管炎(MPA)

(1)特点:主要累及小血管的系统性坏死性血管炎。
(2)实验室检查:70%ANCA(+)(60%-p-ANCA)。
(3)诊断标准:中年男性,存在系统性炎症性疾病的症状;亚急性进行性肾功能不全;肺出血;肾活检示系膜增殖和新月体形成的局灶节段性坏死性肾小球肾炎;皮肤或其他内脏活检示白细胞碎裂性血管炎;p-ANCA阳性。
(4)治疗:激素联合环磷酰胺。

3. 嗜酸性粒细胞性肉芽肿性血管炎(EGPA)

(1)特点:累及全身中、小动脉的系统性血管炎,患病率为10.7/100万~14/100万。
(2)分期:前驱期(90%出现哮喘);嗜酸细胞升高期(可有肺部、消化道浸润);系统性血管炎期。
(3)实验室检查:ANCA阳性占30%~40%,多为p-ANCA(MPO-ANCA)。
(4)五因素评分(FFS):蛋白尿>1 g/d,肌酐>140 μmol/L,心肌病变,胃肠道病变和中枢神经系统病变;FFS>1分建议加用免疫抑制剂。
(5)诊断标准(≥4条):哮喘;嗜酸性粒细胞增多(>10%);单发或多发神经病变;非固定性肺浸润;鼻窦炎;血管外嗜酸性粒细胞浸润。
(6)治疗:大剂量糖皮质激素及免疫抑制剂。
(7)ANCA阴性EGPA:多有心脏受累:心肌炎、心包炎、心力衰竭、心肌梗死、心包积液、瓣膜异常和心脏填塞。

4. 肺肾综合征(PRS)

(1)特点:弥漫性肺泡出血(DAH)和肾小球肾炎。
(2)狭义Goodpasture综合征:肺出血、肾炎、血清及肾脏洗脱液抗肾小球基底膜(GBM)抗体阳性。
(3)广义Goodpasture综合征:符合上述3条标准为Goodpasture病,各种原发及继发性血管炎所引起的肺出血-肾炎综合征。
(4)病因:ANCA阳性血管炎;抗GBM病(Goodpasture’s disease);系统性红斑狼疮(SLE);药物诱发(丙硫氧嘧啶、青霉胺)。
(5)治疗:皮质类固醇和环磷酰胺的早期诊断和早期免疫抑制治疗使预后有显著差异。
(6)预后:可迅速致死,死亡原因为肺出血和呼吸衰竭,急性期需气管插管、辅助通气和血液透析。


图片

ANCA阴性血管炎临床特点


1. 关于嗜酸性粒细胞性肉芽肿的研究及随访

一项研究纳入1957年至2009年6月诊断的383例患者[128例(33.4%)在1997年之前],平均随访66.8个月。诊断时,均数±标准差年龄为(50.3±15.7)岁,91.1%的患有哮喘,主要表现周围神经病变(51.4%)、耳鼻喉体征(48.0%)、皮肤病变(39.7%)、肺浸润(38.6%)和心肌病(16.4%)。348例ANCA检测患者中,与ANCA阴性患者相比,108例ANCA阳性患者(31.0%)的耳鼻喉表现、周围神经病变和/或肾脏受累明显更频繁,但心脏表现较少。ANCA阳性患者5年生存率为94.9%,ANCA阴性患者5年生存率为87.7%(P=0.09)。ANCA阳性患者5年无复发生存率为58.1%,ANCA阴性患者5年无复发生存率为67.8%(P=0.35)。多变量分析将心肌病、老年和1996年期间或之前的诊断确定为死亡的独立危险因素,诊断时嗜酸性粒细胞计数降低可预测复发。[Comarmond C, et al. Arthritis Rheum, 2013, 65(1):270-281.]


2. 
ANCA相关血管炎转为维持治疗复发风险研究

研究人群为CYCLOPS和IMPROVE两项研究中ANCA阳性患者,在获得临床缓解后从环磷酰胺转为维持治疗,将患者在开始维持治疗时分类为ANCA阳性或ANCA阴性,比较了ANCA阳性和ANCA阴性患者复发的风险。252例患者中102例(40%)在随访期间至少复发1次。从诱导治疗切换到维持治疗时,111例为ANCA阳性患者,其中55例(50%)复发,141例为ANCA阴性患者,其中47例(33%)复发。

多变量分析中ANCA阳性、初始蛋白酶3(PR3)-ANCA、较年轻、低血清肌酐、缓解诱导的环磷酰胺和缓解维持的霉酚酸酯都与复发风险的增加相关。在维持治疗前ANCA阴性患者与降低血管炎复发风险相关。推测转换为维持治疗时的ANCA阳性是否表明ANCA在再次发病中有直接作用,还是它对自身抗原持续缺乏耐受性和免疫耐药性的生物标志物。[Morgan MD, et al. Arthritis Res Ther, 2017, 19(1):129. ]


3. 
利妥昔单抗治疗难治性或复发性嗜酸性肉芽肿性多血管炎

一项单中心队列研究纳入嗜酸性肉芽肿性多血管炎患者,在标准免疫抑制治疗中,有9例(6例ANCA阳性,3例ANCA阴性)患者针对复发或耐治性疾病接受利妥昔单抗治疗。在利妥昔单抗治疗3个月时,所有ANCA阳性和ANCA阴性患者均对利妥昔单抗有反应,1例患者完全缓解,8例患者部分缓解。利妥昔单抗被证明是ANCA阳性和ANCA阴性患者的有效和安全的治疗。[Thiel J, et al. Arthritis Res Ther, 2013, 15(5):R133.]


4. 
病例
CASE 1——ANCA阴性GPA

66岁老年女性,干咳1年。既往吸烟15年。肺部CT示右肺上叶肿块大小约4 cm,PET-CT高摄取,SUV 19。实验室GM试验、酵母菌、孢子菌抗体、ANCA血清学(MPO、PR3)、RF、补体均阴性,ANA阳性,尿蛋白(+++)。EBUS细针穿刺病理回报CD10+淋巴细胞提示滤泡性淋巴瘤。CT引导下肺穿刺活检病理提示坏死性肺炎。予鼻内类固醇、止咳、抗组胺药保守治疗,咳嗽症状无缓解,复查肺部CT肿块较前增大。外科胸腔镜右上肺切除术,病理回报嗜酸性粒细胞和巨噬细胞浸润的坏死性肉芽肿改变,最终诊断为肉芽肿性多血管炎(GPA)[Masuta P, et al. Case Rep Pulmonol, 2019, 2019:5242634]。

图片


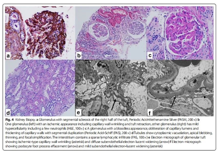
CASE 2——ANCA阴性MPA
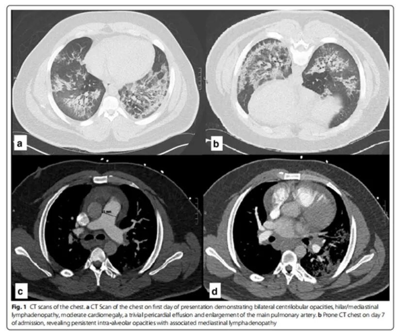
23岁青年男性,呼吸困难、胸痛伴咯血2周。既往G6PD缺乏病史及肥胖。吸食大麻。查体:BP 220/110 mmHg,心率120次/min,双肺听诊哮鸣音。实验室检查:肌酐升高2.03 mg/dl(179 μmol/l),微量蛋白尿。CRP 80 mg/L,ESR 67 mm/h。AN A 1:160阳性,RF、ANCA、补体、抗Sm抗体、抗组胺抗体均阴性。心脏彩超:EF 40%,左室肥厚,少量心包积液。胸部CT提示双侧小叶中心渗出,纵隔淋巴结肿大,心包积液。肾脏彩超及肾动脉彩超均无异常。外科胸腔镜右肺活检切除术,病理提示显微镜下多血管炎。泼尼松60 mg/d口服,症状无缓解,复查肺部CT示渗出加重。[Mollaeian A, et al. Auto Immun Highlights, 2021, 12(1):1.]


图片



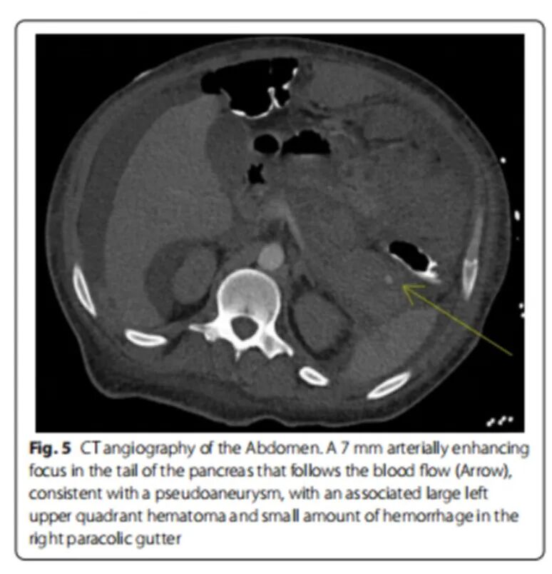
6个月后出现高血压急症、心衰,心脏彩超示射血分数25%,心包积液。复查ANCA及相关免疫指标仍阴性。肾脏活检:肾小球硬化、毛细血管闭塞、管壁增厚。予激素及利妥昔单抗治疗。病情进展为透析依赖的终末期肾病,同时伴有胰腺炎、假性动脉瘤、腹膜后血肿、心包填塞。[Mollaeian A, et al. Auto Immun Highlights, 2021, 12(1):1.]


图片

图片

图片


CASE 3——ANCA阴性EGPA

21岁青年女性。主诉:腹痛、腹泻、呕吐2周。既往哮喘病史。实验室化验:血嗜酸性粒细胞水平升高。影像学示心包积液及双侧胸腔积液。心脏彩超示左室射血分数35%。抗感染治疗过程中呼吸困难加重,复查X线胸片提示双侧胸腔积液较前加重,予气管插管、放胸水、积极治疗心衰。多系统病变,不除外风湿性疾病,予甲强龙500 mg/d静脉滴注3 d后激素逐渐减量。2周后出现意识障碍,伴癫痫发作3次,头CT、腰穿、脑电图正常,头颅磁共振和血管造影显示深层白质变化,与脑血管炎一致。考虑为ANCA阴性EGPA,应用激素联合环磷酰胺。治疗3个月后复查X线胸片明显吸收,心脏彩超示射血分数改善。[Tyagi N, et al. BMJ Case Rep, 2015, 2015:bcr2015212511. ]


图片


CASE 4 ——ANCA阴性PRS

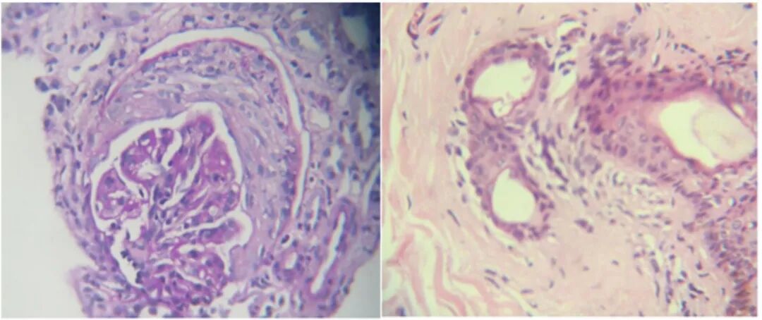
60岁中老年女性,发热、多关节肿痛20 d,双下肢皮疹、水肿14 d。查体:发热,皮肤苍白,心动过速,高血压(180/110 mmHg),双下肢水肿,周身紫色融合性皮疹,小关节压痛。实验室:Hb 82 g/L,Neu 78%。尿素41 mg/dl,肌酐141 μmol/l。尿常规 WBC 1~2/HPF,RBC 20~30/HPF,PRO(+++)。尿培养、血培养、痰培养、血管炎相关检测(ANA、ANCA筛查+确证试验、抗心磷脂抗体、抗GBM抗体)阴性。X线胸片大致正常。腹部彩超:双肾正常回声改变。住院期间肌酐水平进行性升高至424 μmol/l,同时出现咯血、呼吸窘迫、血氧饱和度下降,X线胸片示弥漫性双肺改变,CT示肺泡出血。肾活检:7个肾小球中有4个肾小球存在细胞新月体改变,间质炎细胞浸润。皮肤活检:真皮中炎细胞浸润,血管炎改变。最终诊断为ANCA阴性肺肾综合征。给予甲强龙1 g静脉滴注3 d、环磷酰胺静脉滴注、血液透析每周3次治疗,患者逐渐咯血停止、血肌酐下降,后口服硫唑嘌呤维持治疗。



图片


ANCA血清学阴性也称为寡免疫复合物型血管炎,类似于血清阴性SLE、血清阴性RA,缺乏特异性标志物,可能导致延误诊断,甚至误诊。ANCA阴性可能随病情进展后期变为阳性,或目前无可用方法检测。PR3、MPO以外的抗原被称为微小ANCA抗原,可在MPO及PR3-ANCA阴性患者血清中检测到,模拟c-ANCA或p-ANCA模式,可在其他类型小血管炎中发现,如可卡因所致血管炎,及其他自身免疫疾病如SS、RA、UC。ANCA阴性血管炎患者较ANCA阳性者发病年龄偏小,可出现全身多系统受累,发现较晚,预后相对较差。ANCA阴性血管炎诊断尚缺乏特异性高、临床检测方便的指标,治疗方面也缺乏明确指南。


图片

血栓性微血管病


血栓性微血管病(thrombotic microangiopathy,TMA)是以微血管性溶血性贫血、血小板减少为主要表现的一组临床症候群。以内皮损伤为发病中心环节,以血管内皮下间隙增宽及血小板性血栓形成为主要病理改变。


图片


1. 血栓性血小板减少性紫癜(thrombotic thrombocytopenic purpuraTTP)
(1)病因:①特发性TTP:慢性反复发作型(先天性或获得性的vWF裂解蛋白酶(ADAMTS13)缺乏),急性非复发型(vWF裂解蛋白酶IgG型自身抗体)。②继发性TTP:继发于SLE、SSc、肿瘤、HIV感染、药物相关性。③家族性:ADAMTS13基因突变或缺失。
(2)五连征:发热,血小板减少,微血管病性溶血,肾损伤,神经系统异常。
(3)辅助检查:LDH升高(主要由组织缺氧或损伤所致,而不是溶血);破碎红细胞和血小板减少。
(4)治疗:首选血浆置换;其他治疗包括输血浆(FFP)、糖皮质激素[甲强龙1 g/d,冲击3~5 d,过渡至泼尼松口服1 mg/(kg·d)]、脾切除,难治性病例可用利妥昔单抗和VCR。禁止输注血小板,除非是危及生命的出血,输注血小板可增加血栓形成,使预后更差。

2. 
溶血尿毒综合征(hemolytic uremic syndrome,HUS)
(1)病因:①感染:大肠杆菌、志贺痢疾杆菌、肺炎链球菌、假单胞菌、伤寒杆菌、柯萨奇病毒、埃可病毒、HIV等。②遗传:多为常染色体隐性遗传,预后不良,病死率高。③药物:丝裂霉素、顺铂、博来霉素、长春新碱、阿糖胞苷、柔红霉素、口服避孕药物、盐酸噻氯匹定等。④继发性:SLE、链球菌感染后肾小球肾炎、MPGN、肿瘤、妊娠、实体器官及骨髓移植后。⑤特发性:病因不明,病变可以复发,可有补体缺乏。
(2)分型:典型D+HUS(腹泻相关);非典型D-HUS(非腹泻相关)。


图片


(3)发病机制:VTEC菌株感染及志贺菌毒素的细胞毒作用;内毒素和细胞因子参与内皮细胞损伤;血小板激活、内皮损伤,vWF因子异常。
(4)诊断:急性微血管性溶血性贫血、血小板减少、急性肾衰竭,具有腹泻前驱症状即可诊断典型D+HUS。
(5)治疗:按急性肾衰竭处理,有明显的尿毒症症状或无尿患者应早期行透析或血液滤过治疗;避免输血小板,除非有活动性出血或外科手术需要,如血红蛋白<6 g/dl,可输新鲜红细胞;胃肠道休息,抗菌素不能改善志贺菌毒素相关HUS,严重的缺血性肠病和肠穿孔需外科手术治疗。
(6)鉴别诊断:

图片


3. 系统性硬化症肾危象合并血栓性微血管病
(1)肾危象危险因子:急速进展的弥漫性皮肤硬化,肌腱摩擦感,抗RNA聚合酶Ⅲ抗体阳性,大剂量激素。
(2)肾危象疾病类型:肾细小动脉管腔狭窄及痉挛伴发高血压性肾危象;血栓性微血管病导致急性肾损伤;硬皮病合并ANCA阳性血管炎导致急进性肾小球肾炎。
(3)治疗:以ACEI治疗为主,并发血栓性微血管病应强化血液透析及输注新鲜冰冻血浆。

4. 
肾移植后新发性血栓性微血管病
(1)病因:抗体介导的排斥反应;使用免疫抑制剂;病毒感染;抗病毒药物;局部缺血再灌注损伤;抗血管内皮生长因子抑制剂或C3肾小球病在肾移植后发生表型转化。
(2)诊断:LDH大于正常值;血小板降低(<50×109/L或减少50%以上);贫血或需要输血治疗;外周血涂片破碎红细胞数>4%;无凝血功能障碍且直接、间接抗人球蛋白试验(Coombs试验)阴性。
(3)治疗:免疫抑制剂管理,血浆置换,贝拉西普(替代免疫抑制剂),Eculizumab(厄利珠单抗)。

5. 
恶性高血压性血栓性微血管病
(1)机制:补体因子H参与肾损伤。
(2)诊断标准:①符合恶性高血压诊断标准:舒张压≥130 mmHg,眼底病变为Ⅲ级或Ⅳ级,眼底出血及棉絮状渗出,伴或不伴视盘水肿;②微血管性溶血性贫血:Hb下降、Ret升高,外周破碎红细胞计数阳性,Coomb试验阴性,LDH升高;③血小板下降。
(3)治疗:控制血压、辅以透析治疗,多无需血浆置换、激素、免疫抑制剂治疗。

6. 
补体介导的血栓性微血管病

补体旁路途径的激活可导致补体介导TMA。临床表现为急性肾损伤、高血压、溶血性贫血、血小板减少、ADAMDTS13活性>5%,无志贺毒素感染。治疗方法包括抗补体剂—Eculizumab(厄利珠单抗)。相比血浆置换和其他标准治疗,厄利珠单抗抗补体治疗显著改善血小板减少、肾功能、贫血和LDH降低,且毒性最小。


7. 遗传性血栓性血小板减少性紫癜

先天性血栓性血小板减少性紫癜是一种常染色体隐性遗传疾病,具有临床异质性病程和不完全了解的基因型-表型相关性。诊断依据为ADAMTS13活性严重缺陷(≤正常值10%)、2个等位基因ADAMTS13突变。

 
TMA是一组具有相似临床-病理表现的综合征,存在多种病因。临床表现核心为微血管病性溶血性贫血和血小板减少。TMA临床诊断一经成立,应根据不同类型给予相应治疗。目前公认TTP、成人及非典型HUS患者使用血浆疗法,肾衰竭患者可行血液净化治疗,维持内环境稳定,去除可能病因。


作者简介




图片

梁帅
吉林大学第一医院


  • 吉林大学第一医院呼吸与危重症医学科主治医师,医学博士

  • 2017年毕业于北京协和医学院

  • 2020年完成吉林大学第一医院内科专业住院医师规范化培训

  • 擅长呼吸科常见疾病的诊治及肺癌的靶向治疗


*本文根据重症肺言“空中大查房”第十八期专题报告视频整理感谢梁帅医生予以审核。


全部评论 0
Copyright©2020-2026 北京医麦斯科技有限公司 版权所有 京ICP备2020034400号-1 京公网安备11010502043983号