登录方式

方式一:
PC端网页:www.rccrc.cn
输入账号密码登录,可将此网址收藏并保存密码方便下次登录

方式二:
手机端网页:www.rccrc.cn
输入账号密码登录,可将此网址添加至手机桌面并保存密码方便下次登录

方式三:
【重症肺言】微信公众号
输入账号密码登录

注:账号具有唯一性,即同一个账号不能在两个地方同时登录。

登录
方式

为重症救治赋能

为患者康复加速

当前位置: 首页 呼吸e站 经典推荐

机化性肺炎的诊治策略

胡国栋 南方医科大学南方医院 发布于2022-04-24 浏览 8463 收藏


机化性肺炎概述和病理特点


1. 概念

机化性肺炎(organizing pneumonia,OP)是指肺泡和肺泡管中存在肉芽组织栓的一组疾病,由成纤维细胞、肌成纤维细胞、疏松结缔基质、胶原组成,肉芽组织栓可以延伸至细支气管。1835年Reynaud就对此病的组织学改变进行了描述。1983年Davison等引入了“隐源性机化性肺炎(cryptogenic organizing pneumonia,COP)”的概念。1985年Epler将其命名为“闭塞性细支气管炎伴机化性肺炎(bronchiolitis obliterans with organizing pneumonia,BOOP)。2002年美国胸科协会/欧洲呼吸病学会建议将特发性的机化性肺炎命名为COP,与其他疾病相关的机化性肺炎则称为继发性机化性肺炎(SOP),COP也属于特发性间质性肺炎的一种。


OP是一种肺组织修复过程,也是机体对外来刺激的一种反应形式。其中COP病因复杂,很难明确。引起SOP的病因涉及药物反应、结缔组织疾病相关、恶性肿瘤、免疫缺陷综合征、脏器移植、肺放疗后等。


2. 发病机制

肺泡上皮损伤,肺泡上皮细胞(主要是Ⅰ型肺泡上皮细胞)坏死,血浆凝血蛋白进入肺泡腔内,凝血和纤溶过程失衡,纤维蛋白沉积;成纤维细胞通过基底膜进入肺泡内,增殖、活化,大多数成纤维细胞转化为肌成纤维细胞,产生结缔基质蛋白,形成成熟的纤维性肺泡内肉芽组织。


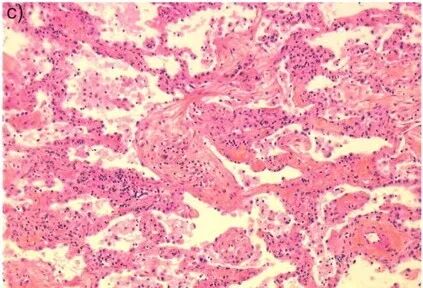
3. 病理特点

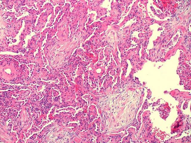
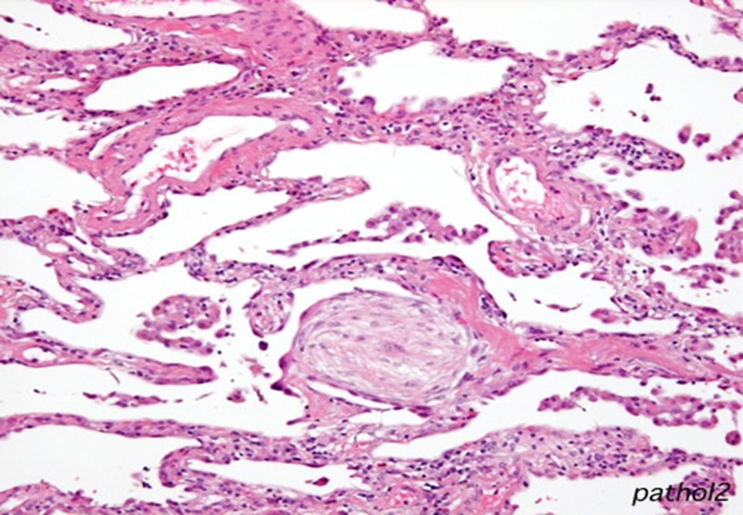
OP病变呈斑片状分布,病变中央是小气道;肺泡内、肺泡管见疏松的胶原样的结缔组织增生,形成Masson小体;肺泡内见肺泡巨噬细胞,部分肺泡巨噬细胞呈泡沫状,Ⅱ型肺泡上皮细胞化生。


图片

注:肺泡内的纤维灶称为Masson小体,光镜下表现为同心圆排列的纤维母细胞及肌纤维母细胞,呈息肉样。


在周围的肺泡间隔存在以单核细胞、淋巴细胞浸润为主的炎性渗出,肺泡间隔增厚,可伴或不伴终末和呼吸性细支气管内结缔组织肉芽栓的形成;肺结构往往正常;镜下病变均匀一致。


图片

注:肺泡内、肺泡管、呼吸性细支气管及终末细支气管腔内有息肉样肉芽组织形成。


肺泡腔内肉芽组织呈芽生状,由疏松的结缔组织将成纤维细胞包埋而构成,可通过肺泡孔从一个肺泡扩展至邻近的肺泡,形成典型的“蝴蝶影”。


图片

注:典型的蝴蝶样肺泡内肉芽组织。


HE染色:COP的胶原纤维密度较SOP更高。


图片

图片来源:Histopathology, 2007, 51(5):622-630.


α-SMA免疫组化表达:SOP的肌成纤维细胞增殖较COP更明显。


图片

图片来源:Histopathology, 2007, 51(5):622-630.


SOP微血管密度内皮细胞标记CD34免疫组化表达较COP更高。


图片

图片来源:Histopathology, 2007, 51(5):622-630.


SOP内皮活性标记血管细胞黏附分子(VCAM)-1免疫组化表达较COP更高。


图片

图片来源:Histopathology, 2007, 51(5):622-630.



机化性肺炎的临床表现和影像学特点


1. 临床表现

OP多为亚急性起病,病情较轻;偶有急性起病者临床表现同ARDS。呼吸系统症状和体征包括咳嗽、气促、咯血、胸痛、肺部细湿啰音等,无哮鸣音;全身症状和体征包括低热、盗汗、乏力等,不出现杵状指。


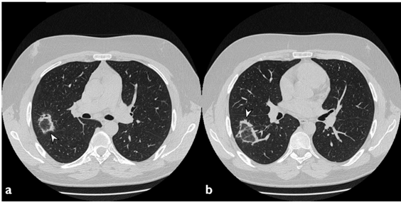
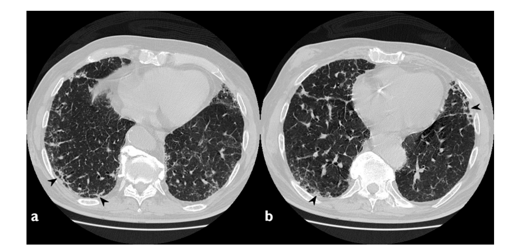
2. 影像学表现

①肺实变磨玻璃密度影;②小叶周围阴影;③环礁征;④结节或肿块;⑤小叶间隔增厚;⑥束状或条带阴影;⑦进行性纤维化。

图片

隐源性机化性肺炎主要的影像学表现

图片来源:Diagnostics (Basel), 2020, 10(5):262.


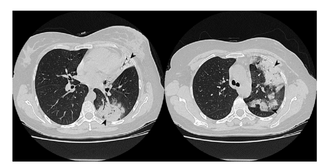
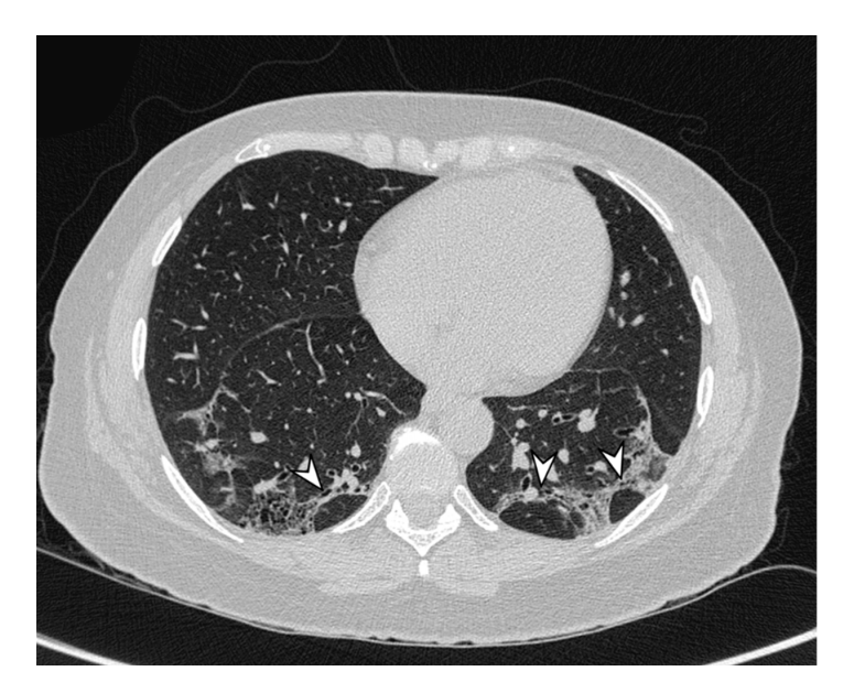
分布于周围的多灶性和非对称实变

图片


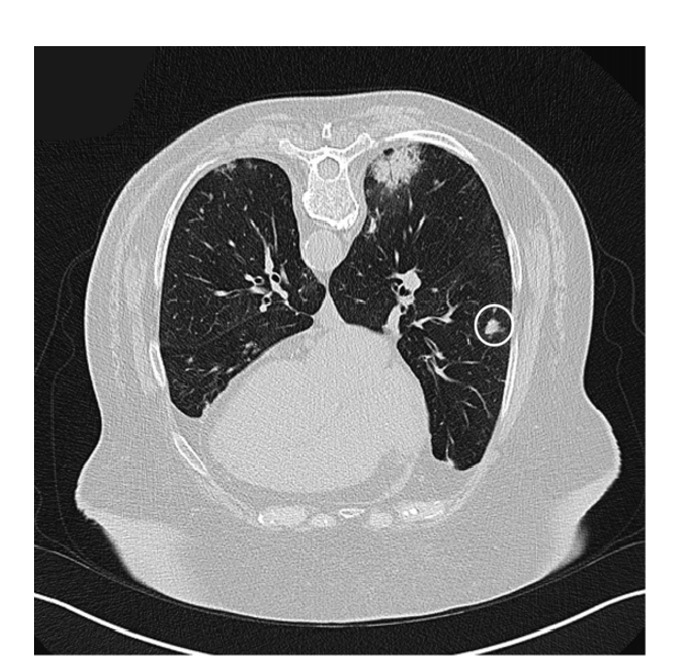
外周性实性结节:

图片


小叶周围型:

图片


线状和带状影:

图片


环礁征—磨玻璃影:

图片


进行性纤维化:

图片


3. 影像学特点

(1)典型影像:斑片状肺泡浸润影(典型COP)。

(2)不常见影像:孤立性阴影(局灶性COP);浸润性阴影(浸润性COP)。

(3)少见影像:反晕轮征;进行性肺纤维化并网格及实变;多发性结节;支气管中央型实变;不规则线或带状影;小叶周围型阴影。


4. 影像学的鉴别诊断

(1)多发型片状肺泡渗出影:需与嗜酸性粒细胞肺炎(慢性)、肺泡细泡癌-肺炎型、原发性肺淋巴瘤、吸入性肺炎及其他疾病[如感染性肺炎、结核或非结核性分支杆菌感染、肉芽肿并血管炎(韦格氏肉芽肿)、弥漫性肺泡出血、多发性肺梗死进行鉴别。

(2)孤立性灶性结节或肿块:需与肺癌、圆形肺炎、炎性假瘤及其他结节或肿块疾病进行鉴别。

(3)进行性/致纤维化型COP:与特发性间质性肺炎(尤其是非特异性间质性肺炎和特发性肺纤维化急性加重)以及其他感染、肿瘤性病变进行鉴别。



继发性机化性肺炎病因


SOP的病因包括感染、药物毒性、胶原病、吸入致病原(可卡因)、吸入有害气体、胃食管反流、器官移植、放疗、射频等。


1. 与免疫相关的疾病

(1)继发于结缔组织病:如多肌炎-皮肌炎、类风湿性关节炎、干燥综合征、SLE、风湿性多肌痛症、系统性硬化症、白塞氏病。

(2)继发于结缔组织病:如强直性脊柱炎、混合型CTD。

(3)继发于免疫异常疾病:各种常见免疫缺陷综合征、原发性混合丙种球蛋白血症。


2. 与感染相关的疾病

(1)细菌感染:包括肺炎链球菌、军团菌、肺炎支原体、立克次体、诺卡菌、肺炎衣原体、金黄色葡萄球菌感染。

(2)病毒感染:包括腺病毒、巨细胞病毒、流感与副流感病毒、HIV、疱疹病毒感染。

(3)寄生虫感染:如间日疟原虫感染。

(4)真菌感染:包括新型隐球菌、肺孢子菌感染。


3. 其他疾病

吸入性肺炎,乳腺癌放疗,器官移植,药物相关性,以及炎性肠病、原发性胆汁肝硬化、多发性结节动脉炎、慢性甲状腺炎、血液恶性疾病(MDS)、T细胞白血病、淋巴瘤、冠状动脉搭桥术、环境暴露(纺织印染染色、家用火、可卡因)、Sweet's综合征等。


药物引起OP:

(1)最常见引起OP的药物:胺碘酮、博来霉素、卡马西平、金制剂、干扰素。

(2)相对少见引起OP的药物:醋丁洛尔、阿霉素、5-氨基水杨酸、柳氮磺吡啶、呋喃妥因、西罗莫司。

(3)罕见引起OP的药物:两性霉素B、布西拉明、白消安、头孢拉定、厄洛替尼、氟伐他汀、L-色氨酸、米诺环素、尼鲁米特、苯妥英钠、利塞膦酸钠、他克莫司、替莫唑胺、沙利度胺、噻氯匹啶等。

(4)近年临床应用较多的利妥昔单抗、曲妥珠单抗也可能引发OP。



 机化性肺炎治疗的疗程


1. COP的激素治疗方案


图片

图片来源:Semin Respir Crit Care Med, 2012, 33(5):462-475.


2. 其他疗法

(1)免疫抑制剂CTX、硫唑嘌呤:适用于持续、CT网格阴影为主、致纤维化型OP。

(2)大环内酯类:阿奇霉素、克拉霉素,用于辅助治疗。

(3)当患者复发、激素不耐受时,可考虑其他方法治疗。


3. OP复发及治疗

初次复发者,68%仍然在服用初始治疗的激素。32%停用激素2个月复发。初次复发者常为强的松剂量<20 mg/d时出现。


13%~58%的患者激素停药后复发,其中约近20%的患者出现多次复发。需将强的松剂量调回20 mg/d,持续12周后逐渐减量。如OP复发单纯基于影像学,无症状与炎症指标反复,密切观察,不建议增加激素剂量。如复发时激素剂量>15~30 mg强的松,复诊病理。


4. 干扰素相关间质性肺炎

查阅相关文献,发现与干扰素有关的肺部并发症较为罕见,由干扰素导致的肺部并发症累计发生率<1%,而间质性肺炎的发生率<0.2%。干扰素相关的间质性肺炎发病机制目前尚不清楚,据报道显示,考虑可能与干扰素的免疫调节活性有关。有研究认为可能是由于干扰素通过抑制T细胞和增强毒性细胞的活性,诱导促炎反应并使纤维蛋白原细胞因子大量释放引起组织纤维化有关。


干扰素致间质性肺炎发生时间的相关性,一般治疗者症状出现的时间从使用干扰素治疗后20天至23周。主要的临床典型表现为咳嗽、呼吸困难和发热。在治疗方面,一般应立即停用药物,给予糖皮质激素冲击并辅助支持治疗。文献报道,85%的患者停用可疑药物,给予激素治疗后,预后良好,停药后平均恢复时间为2~12周。


5. 干扰素相关间质性肺炎的三级预防

(1)用药前患者有无肺结核后遗症或合并间质性肺炎等基础疾病,如存在此类基础疾病,不建议使用干扰素治疗。
(2)干扰素治疗期间,关注患者有无咳嗽、呼吸困难、乏力、感觉异常等症状出现,定期监测患者的胸部X线片、血沉、乳酸脱氢酶、肌酸激酶等的变化情况。如有异常,应立即停药,并给予对症处理。
(3)应用干扰素治疗过程中,应注意患者自身免疫性疾病相关指标的监测。
(4)关注患者使用药物间的相互作用,有些药物可增强干扰素的作用,如西药中的吲哚美辛等,中药中的人参、黄芪、参三七、知母等均有诱生干扰素作用,与干扰素联用可使干扰素滴度提高4倍以上。
(5)加强患者出院后的定期随访,关注患者有无呼吸系统症状出现,特别是使用干扰素治疗的1~2个月内,避免发生不良反应。如患者出现上述症状,应立即停药,必要时给予糖皮质激素冲击治疗。


⭐  作者介绍


图片

胡国栋

南方医科大学南方医院


  • 主任医师、教授,博士生导师

  • 就职于南方医科大学南方医院呼吸与危重症医学科

  • 广东省预防医学会呼吸病预防与控制专业委员会重症学组副组长

  • 中国医师协会呼吸医师分会危重症医学工作委员会委员

  • 广东省医学会呼吸病学分会呼吸危重症与呼吸治疗学组成员

  • 广东省临床医学学会呼吸病学分会常

  • 广东省中西医结合学会慢性阻塞性肺疾病专业委员会常

  • 美国辛辛那提大学访问学


全部评论 0
Copyright©2020-2026 北京医麦斯科技有限公司 版权所有 京ICP备2020034400号-1 京公网安备11010502043983号