登录方式

方式一:
PC端网页:www.rccrc.cn
输入账号密码登录,可将此网址收藏并保存密码方便下次登录

方式二:
手机端网页:www.rccrc.cn
输入账号密码登录,可将此网址添加至手机桌面并保存密码方便下次登录

方式三:
【重症肺言】微信公众号
输入账号密码登录

注:账号具有唯一性,即同一个账号不能在两个地方同时登录。

登录
方式

为重症救治赋能

为患者康复加速

当前位置: 首页 呼吸e站 经典推荐

Lemierre综合征

何婉媚 中山大学附属第一医院 发布于2022-04-11 浏览 4639 收藏


一、关于Lemierre综合征的定义


1936年,法国Lemierre医生在《柳叶刀》杂志发表文章,首次总结报道了以咽喉痛、血栓性颈内静脉炎、肺部病变,血培养发现坏死梭杆菌为临床表现的脓毒症患者。20世纪80年代,有学者将此种疾病命名为Lemierre综合征。


目前关于Lemierre综合征暂无明确的定义,但病原微生物、感染原发灶、血栓性静脉炎以及转移灶是Lemierre综合征定义的主要构成部分。


一项回顾性分析发现,以Lemierre综合征为关键词进行检索,在2011—2015年期间,与其相关的病原微生物主要为坏死梭杆菌,占30%,具核梭杆菌占4%,其他菌属占2%左右,克雷伯菌、铜绿假单胞菌、链球菌、金葡菌等占比不足10%,还有一大部分没有找到明确病原菌。


图片

图片来源:Infect Drug Resist, 2016, 9:221-227.


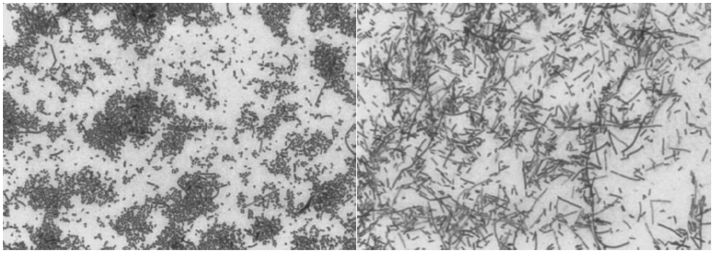
坏死梭杆菌(F.necrophorum)是一种丝状、无孢子的厌氧革兰氏阴性杆菌,与其他梭杆菌相比,它具有独特的多形性形态,可呈丝状、短棒状、球状。


图片

图片来源:Clin Infect Dis, 2000, 31(2):524-532.


以“Lemierre综合征、坏死梭杆菌、病例报告”为关键词检索文献,于1980—2014年期间,相关病例有78例,最常见的原发感染灶是口咽部,其他耳朵、牙齿等部位也可见感染,血栓以颈内静脉多见。远处转移灶以肺部最多见,其他软组织及实体器官也有转移。


图片


图片

图片来源:World J Emerg Surg, 2014, 9:38.


鉴于Lemierre综合征的定义较为混乱,也有学者提出了Lemierre综合征可采取如下的诊断标准:①口咽感染;②脓毒症(至少一次血培养阳性);③颈静脉血栓性炎;④至少一处转移性化脓性病灶。在没有血培养阳性的情况下,如果上述标准中的其他三项成立,也可以诊断为Lemierre综合征。


二、 Lemierre综合征的流行病学


Lemierre综合征发病率约为1/100万,好发于健康年轻人,有文献报道男女发病比例约为2:1,具体原因目前仍不明确;发病人群的平均年龄约为28.8岁,中位年龄23岁;死亡率为4%~22%,死亡率波动较大,可能与是否及早发现及使用抗生素有关。


三、 发病机制


Lemierre综合征的发生与宿主局部免疫防御功能下降、口咽腔黏膜屏障受损有关。口咽感染可以通过咽旁间隙局部弥漫、淋巴循环或扁桃体静脉系统进入颈内静脉,引起颈内静脉炎。


图片

图片来源:Lancet Infect Dis, 2012,12:808-815.


四、 临床表现


大部分Lemierre综合征患者是以口咽部感染为首发,所以他们的初始表现通常为咽痛。1~3周后,如果咽痛没有得到及时处理,病情可能会急剧进展,出现以下三种变化,①脓毒症表现:发热>38℃,多器官功能衰竭,脓毒症休克;②血栓性静脉炎:红、肿、热、痛,条索状血管肿胀;③全身组织器官转移性感染:肺(呼吸困难、胸痛、咯血)、关节(关节痛)、其他部位相应症状。理论上来讲,这些症状可能没有明显的特征性,但浅表部位的血栓性静脉炎有较为明显的特征。

 

有学者统计了Lemierre综合征患者的肺部表现,其中90%表现为多灶性肺炎,其他依次为胸腔积液、脓毒性栓塞、脓胸及肺脓肿。

 

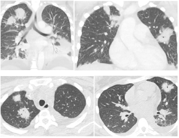
一篇文献报道,一例Lemierre综合征患者的胸部CT显示多发肺脓肿,外周带为主;双侧胸腔积液、脓胸,肺实变。该病例的病原菌为坏死梭杆菌。


图片

图片来源:Respir Med Case Rep, 2019, 28:100867.


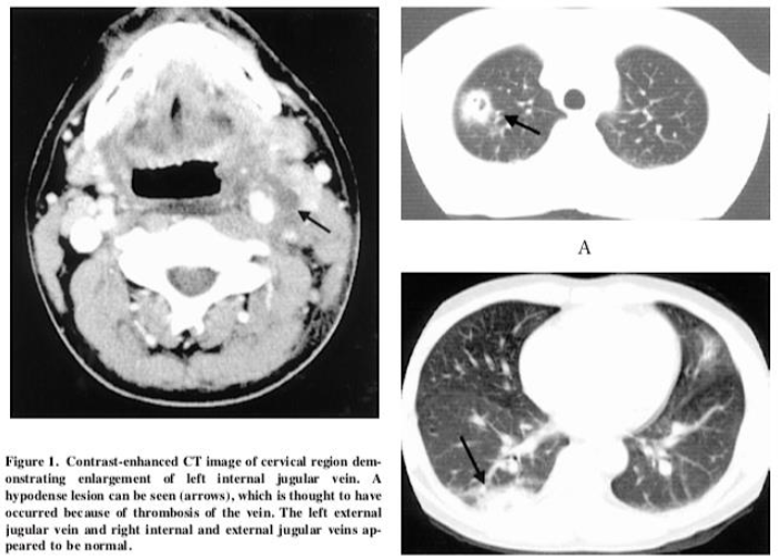
另一篇文献报道一例32岁男性患者,发热、咽痛、关节痛和颈部疼痛及活动受限4天。颈部左侧疼痛肿块,颈部CT提示颈静脉血栓,胸部CT提示肺脓肿,血培养发现不解糖卟啉单胞菌。


图片

图片来源:Intern Med, 2005,44(4):350-353.

 

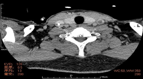
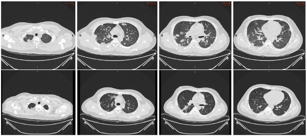
我院23岁男性患者,出现咽痛、咳嗽、咳痰5天,发热伴身目黄染4天。3月2日,咽痛,化脓性扁桃体炎;3月6日,双肺结节并空洞;3月13日,双肺结节并空洞+双侧胸腔积液。


图片


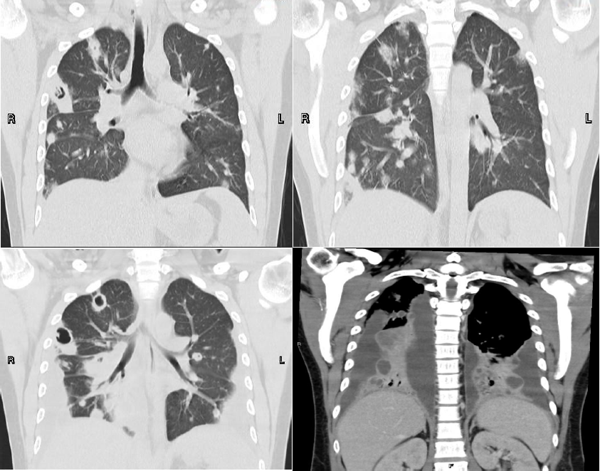
该患者的颈部CT提示左颈静脉充盈缺损,长度约为62 mm,考虑血栓形成。


图片


五、 鉴别诊断


  • 感染性心内膜炎:危险因素、超声心动图等进行鉴别。

  • 导管相关性血流感染:通过血栓、导管血培养报阳时间分析。

  • 恶性肿瘤癌栓:从感染症状及血培养结果进行判断。


六、 治疗


1. 抗生素

  • 初始可覆盖厌氧菌的广谱抗生素,根据细菌培养结果调整。

  • 经验性覆盖MRSA:存在血流动力学不稳定或MRSA感染危险因素者。

  • 对于坏死梭杆菌:①任何抗感染方案均应包括β内酰胺类抗生素/+β内酰胺酶抑制剂;②甲硝唑>克林霉素。

  • 抗生素疗程:至少4周,包括至少2周静脉治疗。根据并发症情况(如肺脓肿、关节脓肿等)调整抗生素用药疗程。


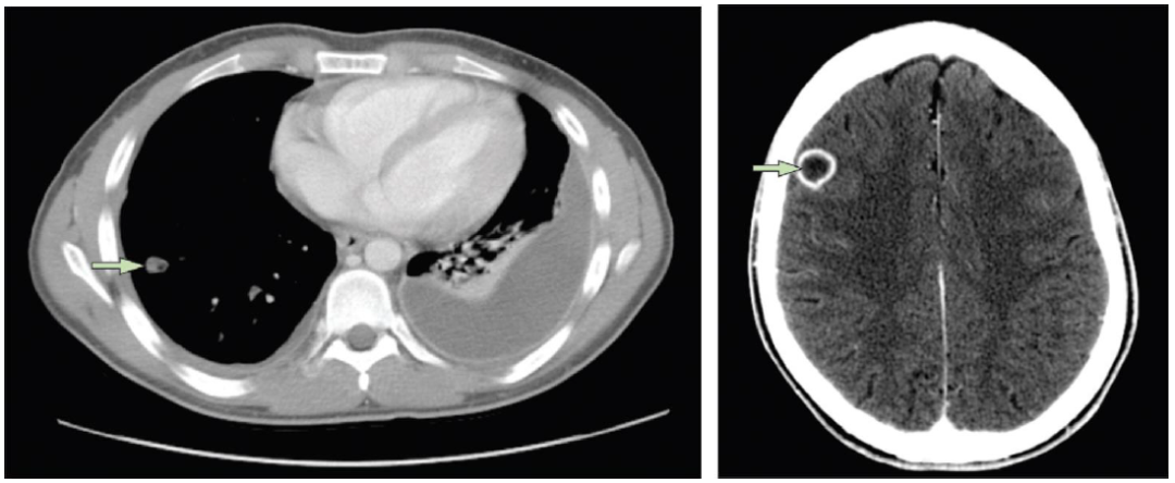
Lancet Infect Dis上发表的一篇文献报道了一例18岁男性患者,咽痛、发热,未引起重视,4天后咽痛仍加剧 → 诊断“扁桃体炎” → 2天后因扁桃体炎及肺炎收入院 → 左脸及颈部肿胀 → 颈内静脉血栓性静脉炎,血培养发现坏死梭杆菌 → 后续影像学发现肺脓肿、右额叶脑脓肿。该患者的治疗疗程持续约半年后病情才得以好转。


图片

图片来源:Lancet Infect Dis, 2012,12(10):808-815.

 

我院23岁男性患者,化脓性扁桃体炎+颈静脉血栓+肺脓肿,抗感染治疗2月余,病灶逐渐消失。


图片


2. 清创引流

  • 坏死组织:清创。

  •  脓性积液:引流。


3. 结扎或切除颈内静脉

  • 仅用于抗生素治疗后仍不能控制的脓毒血栓性静脉炎。


4. 抗凝

关于抗凝治疗目前仍存在争议,缺乏对照研究。一方观点认为:抗凝可减少血栓形成,细菌无处可藏;不增加出血风险;不抗凝可导致血栓进展。另一方观点认为:血栓源自感染,控制感染后,血栓自然迎刃而解;不用抗凝也没有明显严重后果;抗凝后血栓依然存在。一项回顾性研究发现,无抗凝治疗与抗凝治疗在30天死亡率及出血并发症方面并无显著差异(Nygren D, et al. 2020)。

 

如果Lemierre综合征患者存在下列情况:抗生素治疗后血栓仍在进展、合并颅内血栓、易栓症,建议给予抗凝治疗。


七、结论


目前无确切的Lemierre综合征定义。经典的Lemierre综合征表现包括:口咽感染、颈内静脉血栓性静脉炎、脓毒症、转移性脓肿病灶(肺部最常见)。坏死梭杆菌是Lemierre综合征最主要的致病菌。抗感染以及脓液引流是Lemierre综合征最主要的治疗方式。对于抗凝治疗仍存在争议。


欲了解“Lemierre综合征”的详细内容,可扫描下方二维码观看视频。


图片


⭐  作者介绍


图片

何婉媚

中山大学附属第一医院


  • 中山大学附属第一医院PCCM/MICU主治医师,硕士研究生

  • 擅长重症肺炎、脓毒症等的诊治,主要从事脓毒症、ARDS相关的基础研究

  • 与国家及广东省自然科学基金多项,以第一作者发表文章影响因子累计5分

  • 中国医学装备协会呼吸病学装备专委会吸入治疗及呼吸康复装备学组委员

  • 广东省女医师协会呼吸与危重症专业委员会委员

  • 广东省临床医学学会临床重症医学专业委员会青年委员

  • 广东省健康管理学会内科危重症多学科诊疗专业委员会委员 

  • 广东省健康管理学会高级生命支持专业委员会委员

全部评论 0
Copyright©2020-2026 北京医麦斯科技有限公司 版权所有 京ICP备2020034400号-1 京公网安备11010502043983号