登录方式

方式一:
PC端网页:www.rccrc.cn
输入账号密码登录,可将此网址收藏并保存密码方便下次登录

方式二:
手机端网页:www.rccrc.cn
输入账号密码登录,可将此网址添加至手机桌面并保存密码方便下次登录

方式三:
【重症肺言】微信公众号
输入账号密码登录

注:账号具有唯一性,即同一个账号不能在两个地方同时登录。

登录
方式

为重症救治赋能

为患者康复加速

当前位置: 首页 我是RT 相关文章

AARC临床实践指南:成人气管切开的管理

陈跃进 福建医科大学附属第二医院 发布于2025-01-21 浏览 12071 收藏

作者:陈跃进

单位:福建医科大学附属第二医院重症医学科

一、背景

气管切开术是机械通气患者最常见的外科手术之一,常用于各种病因导致的需要较长时间机械通气、上气道梗阻或下呼吸道分泌物引流不畅等危重症患者的救治。与延长气管插管相比,气管切开具有气道稳定性、促进口服摄入、增加舒适度以及可能促进脱机的特点。2013年发表于Respir Care杂志的一项回顾性研究显示,在44124例急性呼吸衰竭患者中,有4776例(10.8%)接受了气管切开术。相比于没有气管切开的患者,气管切开的患者并发症发生率更高,住院时间更长,出院后多流向康复医疗机构;气管切开组患者的死亡率(32.1%)高于未行气管切开组(15.4%),7%的气管切开患者出现不良事件。疾病的性质和严重程度、患者年龄、气管切开的病因以及护理人员技能水平的差异都是影响气管切开患者预后的因素。气管切开患者消耗了大量的卫生保健资源,对气管切开患者进行经济、有效、高质量的护理是一项复杂的任务。



二、AARC成人气管切开的管理

2022年美国呼吸治疗学会(American Association forRespiratory Care,AARC)临床实践指南(以下简称2022 AARC指南)提出加强成人气管切开管理的建议。该指南共筛选了1457篇文章,删除重复后剩余1117篇,剔除其中标题和摘要不符合的文章,余117篇。经过全文审查后保留21篇,再经过资质审查,最终纳入17篇,其中10篇研究气管切开团队,5篇研究气管切开拔管的流程,1篇研究使用气管切开相关的压疮(TRAPU)包,1篇研究气管切开管理包。2022 AARC指南的制定主要围绕以下三方面:①气管切开集束化;②气管切开团队;③遵循临床实践指南指导的操作。以上内容是对成人患者的拔管时间、住院时间、气管切开相关费用以及与气管切开相关不良事件的影响。
1. 气管切开集束化
AARC指南纳入的文献中(文献1)提及了气管切开集束化的内容:
(1)气管切开后的评估:①呼吸治疗师评估;②言语治疗师评估;③责任护士气管切开术后护理;④罗列常见问题;⑤应急措施;⑥团队联系信息。
(2)电子系统: 所有气管切开患者均需建立电子文档和呼吸治疗记录单, 通过电子病历/电子医疗记录识别所有进行气管切开术的患者。
(3)拔管协议SLP:①使用说话瓣膜;②改善吞咽功能;③呼吸治疗师在外科医生的指导下进行评估、加大/缩小尺寸和拔管;④未形成窦道的气管,由外科医生更换套管。
(4)气管切开术查房:每周查房包括气管切开外科医生、言语治疗师与呼吸治疗师。系统自动生成所有气管切开的患者:①制定护理计划;②已确定可以拔管的患者;③已确定可以早期进食的患者。
此外,AARC指南纳入的另一篇文献(文献2)也就预防气切口压疮的TRAPU集束化提出了四点建议:①术后在气管切开伤口处放置水胶体敷料;②在气管切开后7天内拆除伤口缝线;③拆线后放置聚氨酯泡沫敷料;④头部中立定位。
文献1是一项回顾性研究,将患者分为对照组、普通气切组、气切+集束化组,其中集束化组患者的拔管率(26.0%)显著高于另外两个组(8.2%和14.5%),集束化组患者口服饮食的比例(46.4%)显著高于另外两个组(24.6%和35.5%);三组患者中位住院时间无显著差异。文献2发现气管切开集束化可降低气切口压疮的发生率(1.3% vs 10.9%)。
2. 气管切开团队
AARC指南认为,气管切开患者的拔管时间缩短(3项研究支持),住院时间显著降低(5项研究支持),ICU住院时间无显著差异(1项研究支持),语音阀的使用显著增加(3项研究支持),气管切开相关并发症和不良事件显著减少(6项研究支持)。荟萃分析结果表明气管切开团队与气管切开总时间的缩短和语音阀的使用增加有关。
气管切开术团队的组成、团队成员的角色和团队职责各不相同。北美研究中,呼吸治疗师是包括1名内科医生和1名言语障碍治疗师在内的多学科团队的成员。在澳大利亚和英国,多学科团队由来自不同专科(如耳鼻喉科、肺科、重症监护室)的医生、护士、言语障碍治疗师、呼吸理疗师、营养师和社会工作者组成。我科由医护人员、呼吸治疗师和物理治疗师组成。
气管切开也存在一定的弊端,包括:①有效的咳嗽反射消失;②嗅觉丧失、发音功能丧失;③肌肉敏感性减弱;④声门下感觉减退,真声带关闭协调减弱;⑤气道阻力改变或消失;⑥声门下正压消失;⑦吞咽时喉抬升幅度下降;⑧呼吸/吞咽循环断裂。
据统计,43%~83%的气管切开患者有吞咽障碍症状。在气管切开患者舌面上涂美兰,发现可以从气切口吸出蓝染的分泌物,上述现象封管后可以逆转,说明气管切开后上气道压力的变化是误吸的主要原因。还有一部分患者在气管切开误吸方面处置不当,由于担忧误吸,而长时间予以管饲营养,缺乏正规的进食指导。此外,气管套管拔出后往往声门关闭反射不会立即恢复,也会导致吞咽障碍。
造影下可以清晰地看到吞咽障碍的表现(如下视频所示)。

没有误吸

明显误吸

隐形误吸

AARC指南指出,气管切开患者语音阀的使用显著增加。语音阀在其中有一个非常重要的作用,即:声门下压。气管切开后,会有一部分患者出现吞咽障碍,其中一个非常重要的原因就是缺少了声门下压。在正常吞咽时,呼吸系统反冲产生声门下气压,使食物不容易进入气道,也有利于食管进行吞咽。产生的压力量取决于吞咽开始时肺内的空气量。吞咽功能与声门下压力有直接关系。当患者呼吸功能受限时,声门下压的支持也会相应受限,呼吸功能会直接影响吞咽功能。气管切开后声门下气压消失,吞咽时咽期的动力分流,吞咽功能受限。替代改善的方法就是佩戴说话瓣膜(语音阀)。
语音阀工作原理:吸气时开放,吸气末自动关闭,呼气气流振动声带发音,声门下压力得以恢复。语音阀简单实用,可以直接与气管套管连接,还可以非常容易地与呼吸机管道连接。适用人群广泛,成人、儿童,甚至婴儿都可以使用。能够改善气管切开患者说话和吞咽的品质。
3. 遵循临床实践指南指导的操作
大多数都调查气管切开患者护理方案有效性的研究都以气切套管的拔管时间作为主要结果。Clifford和Spencer团队比较了气管切开方案使用前的61例患者和使用后的124例患者,发现使用拔管方案缩短了拔管时间(4.2天 vs 2.85天),但是两组比较并没有显著差异。
Frank团队在对气管切开后伴有吞咽困难的患者实施多学科吞咽和拔管方案的治疗进行了3年的回顾性研究。结果显示:平均拔管时间缩短[94.76±60)天 vs(48.26±51.6)天,P=0.02],拔管成功率提高(83.3% vs 94.3%)。研究人员得出结论,多学科方案有利于吞咽障碍患者更早拔管并提高拔管成功率。这种多学科吞咽和拔管方案包括:患者坐起或侧卧,气囊放气,监测血氧饱和度,口鼻腔吸引,置入吸痰管(保障吸痰管在气切套管下方), 呼气气囊放气, 抽吸于气囊放气后流入气管的分泌物, 气道封堵,刺激吞咽、发声、咳嗽,刺激味觉和嗅觉, 鼓励患者开口讲话交流, 记录。尽管该方案并不那么完美, 但也获得了较好的结果。患者能够更早地拔管, 并且拔管成功率也比较高。
1999年J Med Speech Lang Patho杂志发表了Thompson-Ward与其同事的研究结果,该研究比较了两种不同的拔管方案与拔管时间之间的关系。方法:一组气切堵管+更换小管径套管,一组仅气囊放气。研究结果表明,在拔管评估过程中仅气囊放气的气管切开拔管方案,其拔管时间从30天缩短至25天(P<0.05)。
Warnecke等对100例急性神经系统疾病患者进行了一项前瞻性观察研究,将患者随机分为常规临床吞咽评估组和纤维内镜吞咽功能评估(FEES)组。结果发现,与基于常规临床吞咽评估方案的拔管(29%)相比,基于FEES方案的气管切开拔管率更高(54%)。

AARC指南似乎并没有直接告诉我们要怎么做,个人理解认为该指南传递了几个信息:①多学科协作的重要性,尤其是物理治疗师在吞咽评估方面的作用。②合理的拔管方案和流程可以缩短拔管时间,并且提高拔管成功率。所以,我们要基于科室的实际情况形成自己的拔管方案。



三、国内关于气管切开患者的管理指南

2023年6月《成人气管切开拔管中国专家共识》发布,该共识从拔管前气道管理、拔管前肺康复治疗、拔管前吞咽康复治疗、临床情况评估、拔管前评估、实施拔管、拔管后处理七个方面给出了多条推荐意见,其中A级推荐23条,B级推荐29条,C级推荐4条,D级推荐4条。
2023年10月,《气管切开患者的管理和康复治疗推荐意见》于《中华结核和呼吸杂志》发表。其中关于气管切开管理的内容有:
(1)一般护理:①生命体征监测和常规的护理;②气管切开套管位置和固定的评估;③评估通过气切套管是否可以正常通气。
(2)分泌物清除和微误吸的预防:①口鼻腔分泌物管理;②声门下分泌物引流;③下气道分泌物管理;④气道湿化管理;⑤气囊管理。
(3)气管切开套管的更换:①气管切开套管更换指征;②更换套管注意事项。

(4)气管切开患者的康复治疗内容:①呼吸肌肉功能训练及咳嗽能力训练;②吞咽功能训练;③言语功能训练;④全身肌肉及运动耐力训练;⑤中医康复。



四、一例气管切开患者的管理个案

1. 病史简介
基本信息:患者女性,33岁,公务员,主诉“发热伴头痛7天,人事不省3天余”,于2023年9月25日入我科。
现病史:入院前7天无明显诱因出现发热,体温最高达39℃,伴头痛,呈阵发性、针刺样疼痛,自服退烧药后(具体不详),仍反复发热、头痛,后收住我科。
入院诊断:病毒性脑炎,肺部感染,癫痫持续状态。
病情转归:9月26日气管切开,呼吸机辅助通气;10月10日撤离呼吸机,吞咽评估,语音阀训练等;10月17日拔除气切套管;10月18日转出ICU。
2. 气管切开集束化+流程
(1)气管切开后的评估:①早期(9月25日-10月6日):伤口渗血量少、气切套管在位,居中;气切口垫开口纱布,每日更换2次;呼吸机控制为主,保留一定的自主呼吸。②中期(10月7日-10月9日):囊上分泌物清除;防止人机不同步,逐渐降低支持力度。③后期(10月10日-10月18日):呼吸机撤离;吞咽评估和语音阀使用;拔管。
图片
(2)建立电子文档和呼吸治疗,内容包括:生命体征,呼吸机参数,气道评估,呼吸训练,肢体训练,物理治疗,吞咽评估训练。
图片
图片
(3)呼吸肌训练:待换病情平稳后,进行呼吸肌锻炼。评估患者呼吸肌:最大吸气压(MIP)21 cmH2O,最大呼气压(MEP)49 cmH2O。吸气肌训练:40% MIP,3组,每组5次,2次/天。
图片
图片
(4)10月10日脱机评估:自主呼吸试验(SBT)30 min通过,血气分析可。呼吸肌肉力量及咳嗽能力评估:MIP 21.3 cmH2O,呼气峰值流速(FEF)49.2 L/min。
图片
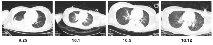
(5)康复措施及效果:复查影像学可见患者肺部炎性病变较前减少。
图片
图片
图片
图片
图片
(6)拔管评估:评估患者意识水平—神志清楚,评估气道通畅—气囊漏气试验阴性。10月11日洼田饮水试验1级,吞咽染色试验阴性;通过语音阀进行发声练习;10月16日FEES检查无误吸;10月17日拔管。10月18日转出ICU。
3. 气管切开团队

气管切开团队包括医师、康复治疗师、呼吸治疗师、护士。医师负责康复前对患者进行初步评估,把握康复过程中的病情发展情况,决定治疗方案;康复治疗师对患者进行详细评估,实施康复方案,一定疗程后再次评估修改方案;呼吸治疗师随时监测患者气道及呼吸机情况,根据患者病情变化调整呼吸支持方式、气道管理、呼吸肌训练;护士协助康复治疗师完成康复治疗,做好治疗过程中的护理工作,体位管理,维护患者安全。



五、小结

AARC临床实践指南主要推荐了三点:①气管切开集束化;②气管切开团队;③遵循临床实践指南指导的操作。气管切开患者在拔管时尤其要注意吞咽功能障碍的评估。MDT团队协作可以改善拔管率,值得推广。

图片


   参考文献    

向下滑动阅览

[1] Freeman BD, Stwalley D, Lambert D, et al. High resource utilization does not affect mortality in acute respiratory failure patients managed with tracheostomy[J]. Respir Care, 2013, 58(11):1863-1872.
[2] Mussa CC, Gomaa D, Rowley DD, et al. AARC Clinical Practice Guideline: Management of Adult Patients with Tracheostomy in the Acute Care Setting[J]. Respir Care, 2021, 66(1):156-169. 
[3] Mah JW, Staff II, Fisher SR, et al. Improving decannulation and swallowing function: a comprehensive, multidisciplinary approach to post-tracheostomy care[J]. Respir Care, 2017, 62(2):137-143.
[4] O’Toole TR, Jacobs N, Hondorp B, et al. Prevention of tracheostomy-related hospital-acquired pressure ulcers[J]. Otolaryngol Head Neck Surg, 2017, 156(4):642-651.
[5] Gross RD, Carrau RL, Slivka WA, et al. Deglutitive subglottic air pressure and respiratory system recoil[J]. Dysphagia, 2012, 27(4):452-459. 
[6] Clifford C, Spencer A. An evaluation of the impact of a tracheostomy weaning protocol on extubation time[J]. Nurs Crit Care, 2009, 14(3):131-138.
[7] Frank U, Ma¨der M, Sticher H. Dysphagic patients with tracheotomies: a multidisciplinary approach to treatment and decannulation management[J]. Dysphagia, 2007, 22(1):20-29.
[8] Thompson-Ward E, Boots R, Frisby J, et al. Evaluating suitability for tracheostomy decannulation: a critical evaluation of two management protocols[J]. J Med Speech-Lang Patho, 1999, 7(4):273-281.
[9] Warnecke T, Standardized endoscopic swallowing evaluation for tracheostomy decannulation in critically ill neurologic patients[J]. Crit Care Med, 2013, 41(7):1728-1732.
[10] 《成人气管切开拔管中国专家共识》编写组, 中华医学会物理医学与康复学分会心肺康复学组,中国康复医学会重症康复专业委员会. 成人气管切开拔管中国专家共识(上)[J]. 中华物理医学与康复杂志, 2023, 45(6):481-487. 
[11] 中国医学装备协会呼吸病学装备专业委员会, 中国残疾人康复协会肺康复专业委员会中青年肺康复专业学组, 中国康复医学会危重症康复学组. 气管切开患者的管理和康复治疗推荐意见[J]. 中华结核和呼吸杂志, 2023, 46(10):965-976. 


    作者介绍    

图片

陈跃进

福建医科大学附属第二医院重症医学科 呼吸治疗师,泉州医学高等专科学校兼职讲师,泉州市呼吸治疗学会重症康复专业委员会常务委员,有多年呼吸治疗临床工作经验。
全部评论 0
Copyright©2020-2026 北京医麦斯科技有限公司 版权所有 京ICP备2020034400号-1 京公网安备11010502043983号