登录方式

方式一:
PC端网页:www.rccrc.cn
输入账号密码登录,可将此网址收藏并保存密码方便下次登录

方式二:
手机端网页:www.rccrc.cn
输入账号密码登录,可将此网址添加至手机桌面并保存密码方便下次登录

方式三:
【重症肺言】微信公众号
输入账号密码登录

注:账号具有唯一性,即同一个账号不能在两个地方同时登录。

登录
方式

为重症救治赋能

为患者康复加速

当前位置: 首页 我是RT 相关文章

电阻抗断层成像技术(EIT):RT新视角

王禹娴 复旦大学附属中山医院 发布于2024-09-24 浏览 9947 收藏

作者:王禹娴

单位:复旦大学附属中山医院重症医学科
图片
一、EIT概述

电阻抗断层成像技术(electrical impedance tomography,EIT)是一种新型的可在床旁实时实施的无创、无辐射、区域性肺通气连续监测技术。任何影像的监测技术都依赖于对比度,如X线利用人体密度对射线透光度不同形成二维成像,CT类似将这些成像叠加形成三维成像,超声利用组织对超声波吸收反射不同形成二维成像且可以叠加时间形成动态图像。正电子发射断层扫描(PET)由于其对生化过程的高度特异性和敏感性,帮助我们对ARDS和呼吸机相关性肺损伤(VILI)的发病机制有更深的了解。

EIT是以生物电阻为基础的功能成像技术,运用欧姆定律,注入电极对与测量电极对之间的生物电阻抗可通过已知的外加电流和电压测量值来确定胸腔生物阻抗的分布。在肺的充气和排空过程中,气体的多少也会导致电阻的差距,吸气末与呼气末的阻抗值相差有3倍。用EIT来研究肺的通气分布有非常好的应用前景。

EIT的缚带上有16个电极,相邻两个电极之间释放1个电流,然后测量周围一圈每两个电极之间的电压。每施加1个电流,可以测到13个电压值,每两个相邻电极依次施加电流,就会得到每帧208个电压值。在胸廓的范围内采用基于有限元的线性重建算法,再经过一系列图像处理,形成我们看到的EIT图像。 

图片

图片
二、EIT的技术方法与图像分析

EIT断层图像平面由32×32像素矩阵组成,通过1024个像素点来反映肺各区域通气功能。部分EIT机器通过插值等数学算法增加成像像素点的数量,但空间分辨率没有实质性的提高。需要指出的是,EIT功能成像并不能提供组织的精确解剖学定位。而CT的像素值是512×512像素矩阵,1024×1024像素矩阵,甚至更高。相对CT而言,空间分辨率并不是EIT的优势。
然而,EIT的功能成像采样频率可达20~50 Hz,相当于1 s可以采集20~50帧图像,所以EIT具有高时间分辨率的特点,它提供实时动态的肺通气功能,可以敏感地反映区域通气分布和呼气末肺容量的变化,有助建立肺通气目标导向的呼吸管理策略。EIT图像主要集中反映电极平面附近约上下5 cm层肺的通气状态;由于目前商用机型测量电流通过相邻或者相近电极对注入,体表电流密度大于胸腔中心的电流密度,因此越接近胸腔中央部位,空间分辨率越低;电极平面所显示的形状并非完全与患者形体相吻合。EIT缚带宽约5 cm,放置的位置在第4~5肋间,当膈肌抬高时,电极缚带位置可适当升高,其上下测得的面积近似于纺锤体的形状。
图片
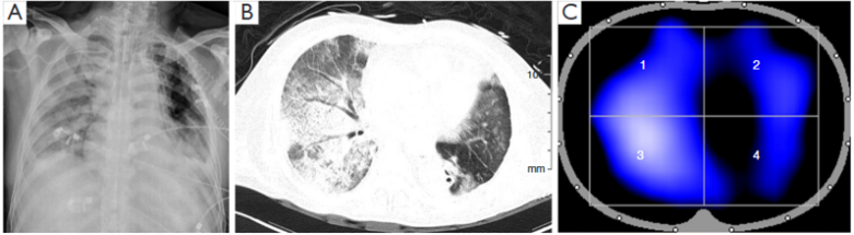
与CT扫描类似,所显示的EIT图像的投影图也是自尾侧至头侧的。EIT图像有蓝白色递增,颜色越深代表通气越少,小于最大像素值的10%;颜色越浅说明阻抗变化越大。EIT图像按照“自腹侧到背侧的层分布”(如分析ARDS患者的通气分布)以及“以图像中心为原点的四象限分布”(可用于单侧肺损伤或单肺通气患者)进行兴趣区(ROI)划分。在EIT图像上, 蓝色为正向电阻信号的表现, 紫色为负向电阻信号的表现。
图片
EIT的参数都是与基线比较得到的相对值。在EIT的阻抗波形曲线上我们可以看到几个参数,即TV、EELI、ΔEELI。TV即潮气阻抗,由于吸气导致的阻抗增加,与潮气量相关。EELI是呼气末肺阻抗值,EELV的变化与功能残气量(FRC)或呼气末肺容积(EELV)的变化相关,其绝对值没有意义。

图片

图片
三、EIT的临床应用

临床上,EIT可以监测区域性气体动态分布过程,监测吸/呼气末气体分布情况和阻抗值,从而可视化评估肺复张和指导PEEP滴定,测定区域肺血流分布,以及监测通气血流(V/Q)比。
用EIT滴定PEEP有很多方法,可以从不同角度切入,例如评估肺容量变化(ΔZ、ΔEELZ)、评估肺塌陷和肺过度膨胀的比例、评估通气不均匀性[不均一指数(GI)、通气中心(CoV)、区域通气延迟(RVD)、沉默区域等。在呼吸治疗工作中,EIT能够指导高流量流速调节,帮助判断清醒俯卧位的反应性,以及帮助识别气体摆动等问题。有研究总结了EIT在肺复张、人机不同步、评估复张性、V/Q比失调、俯卧位等方面的应用。此外,针对EIT监测通气和血流相关的研究近年来也呈明显增多趋势。
一项前瞻性观察性研究比较了D-二聚体与EIT评估肺栓塞的效能,结果发现,利用EIT测量V/Q比来诊断肺栓塞的灵敏度和特异度均高于D-二聚体。有研究发现EIT可对接受机械通气的ARDS患者的通气血流不匹配进行床旁评估。对不匹配单位的测量可以识别死亡风险较高的患者,并指导个性化治疗。笔者的一项研究通过EIT证实了吸入一氧化氮(NO)后机体的肺血流改变。通过EIT图像可以发现,吸入NO前,患者背侧有少许分流,吸入NO后,背侧分流减少,并且中央区域血流颜色变亮,说明血流更多。所以,我们可以用EIT监测患者的低氧原因以及评估治疗效果。
图片

图源:Am J Respir Crit Care Med, 2022, 205(9):1114.

笔者的另一项前瞻性生理性研究纳入10例接受俯卧位通气的ARDS患者,并在俯卧位开始时、俯卧位开始后3 h和俯卧位结束时进行了EIT评估。通过EIT发现,在俯卧位开始后3 h,背侧复张,匹配了背侧的分流,所以此时患者氧合就有改善。但随着俯卧位时间的延长,有更多的不张逐渐打开,在接近4区处通气和血流也有增加;在远期俯卧位时,氧合进一步改善。
图片

图源:Crit Care, 2022 May 27;26(1):154.

超声也是一种可视化的工具,EIT与超声结合能够发挥很好的作用。超声基于膈肌的位置来指导EIT缚带位置的放置是可行的,50%的受试者,尤其是BMI较高的患者,其腰带位置与常规位置不同。这种新方法对EIT图像的影响在临床管理中有待进一步研究。另外,还有研究发现拔管失败的患者,在拔管前观察到肺通气丧失,而拔管后,这种肺通气损失持续存在,并与区域肺通气异质性有关。
病例:男性,49岁,“颈胸腹三切口食管癌根治术”,术后出现食管胃吻合口瘘,胸腔感染,肺脓肿。右上肺叶切除。7月3日拔管后高流量吸氧,7月4日患者呼吸快,心率快,呼吸窘迫,48 h内再插管。胸片显示:双侧胸水,予以置管引流,右侧肺不张,支气管镜示左主支气管少许暗红色黏痰;右中下肺内见大量暗红色黏液。7月6日胸片见非手术侧(左肺)透光度降低,较前明显进展。7月7日胸部CT见右肺复张不全,左肺炎症渗出伴少量胸水(左侧较前片进展)。而当时EIT监测发现左肺通气良好,但此时患者氧合指数为97 mmHg,血管外肺水指数(ELWI)19 ml/m2,遂予插管及俯卧位通气,同时肌松(顺阿曲库胺)+镇静药物(咪达唑仑)+镇痛(瑞芬太尼)。7月8日俯卧位下,EIT发现右肺通气较前明显改善,左肺通气较前略有好转。此时氧合指数为290 mmHg,ELWI为10 ml/m2。7月9日胸片提示左肺渗出较前减少。7月13日经自主呼吸试验(SBT)顺利拔除口插管,神志清,对答切题。为何患者左肺渗出严重,但左侧通气良好呢?我们分析认为可能患者右肺是手术侧,术后有肺不张,导致其呼吸驱动增加;而左肺作为一个稍正常肺以及术中进行过单肺通气,导致左、右肺的顺应性不一致,在负压性的呼吸驱动过大时,左肺出现了负压性肺水肿。
图片


                                                                 

7月7日EIT


                                                                                              

7月8日EIT
针对该病例的情况,笔者团队也开展了一项单中心回顾性研究,纳入了肺癌手术(肺叶切除术)后需要呼吸支持且患有严重低氧血症的患者,结果发现出现非术侧肺损伤的患者死亡率比较高。
图片
图源:J Thorac Dis, 2023, 15(10):5574-5584.
图片
四、EIT与其他诊疗技术的比较


在临床多种诊疗技术中,CT影像无法直接判断左右两肺动态通气功能差异,超声无法对含气组织做诊断,而EIT能够直观地看到通气分布,可视化下连续监测肺复张以及去复张全过程。如下图所示,一定程度上,CT做不到的恰恰就是EIT的优点。而且EIT受操作者经验影响更小,图像是诚实的,有无通气一目了然。
图片

图片

图片
五、展望


EIT作为新型的床旁监测肺通气、肺血流的成像技术,像给了我们一双可视化的眼睛,监测患者通气、血流的动态分布,可以更好地了解患者病理生理变化,对于指导和评估治疗效果有很大帮助。呼吸治疗师可以利用本领域突出的亚专业、病种病源优势, 去拓展一些相关领域及方向的研究, 也可以丰富研究的纬度以及多维度的证据。


   参考文献    

上下滑动阅览

[1] 中国卫生信息与健康医疗大数据学会重症医学分会标准委员会, 北京肿瘤学会重症医学专业委员会, 中国重症肺电阻抗工作组. 肺电阻抗成像技术在重症呼吸管理中的临床应用中国专家共识[J]. 中华医学杂志, 2022, 102(9):615-628.
[2] Jimenez JV, Weirauch AJ, Culter CA, et al. Electrical Impedance Tomography in Acute Respiratory Distress Syndrome Management[J]. Crit Care Med, 2022, 50(8):1210-1223.
[3] Rubin J, Berra L. Electrical impedance tomography in the adult intensive care unit: clinical applications and future directions[J]. Curr Opin Crit Care, 2022, 28(3):292-301. 
[4] He H, Chi Y, Long Y, et al. Bedside Evaluation of Pulmonary Embolism by Saline Contrast Electrical Impedance Tomography Method: A Prospective Observational Study[J]. Am J Respir Crit Care Med, 2020, 202(10):1464-1468. 
[5] Spinelli E, Kircher M, Stender B, et al. Unmatched ventilation and perfusion measured by electrical impedance tomography predicts the outcome of ARDS[J]. Crit Care, 2021, 25(1):192. 
[6] Wang Y, Zhong M. Inhaled Nitric Oxide Improved Refractory Hypoxemia through Attenuation of Intrapulmonary Shunt[J]. Am J Respir Crit Care Med, 2022, 205(9):1114.
[7] Wang YX, Zhong M, Dong MH, et al. Prone positioning improves ventilation-perfusion matching assessed by electrical impedance tomography in patients with ARDS: a prospective physiological study[J]. Crit Care, 2022, 26(1):154. 
[8] Yue C, He H, Su L, et al. A novel method for diaphragm-based electrode belt position of electrical impedance tomography by ultrasound[J]. J Intensive Care, 2023, 11(1):41. 
[9] Joussellin V, Bonny V, Spadaro S, et al. Lung aeration estimated by chest electrical impedance tomography and lung ultrasound during extubation[J]. Ann Intensive Care, 2023, 13(1):91. 
[10] Pennati F, Angelucci A, Morelli L, et al. Electrical Impedance Tomography: From the Traditional Design to the Novel Frontier of Wearables[J]. Sensors (Basel), 2023, 23(3):1182. 
[11] Xuan L, Wang Y, Zheng Y, et al. Delayed lung injury on the nonsurgical side increases mortality in patients after lung cancer surgery: a retrospective cohort study[J]. J Thorac Dis, 2023, 15(10):5574-5584. 


    作者介绍    

图片

王禹娴

复旦大学附属中山医院呼吸治疗师,以第一/共一作者在AJRCCM、CC等期刊发表SCI文章8篇;中文核心1篇。获实用专利6项,正在申请发明专利1项;获中山临床新技术认证1项;参与上海市卫健委临床课题1项。2023年美国呼吸治疗年会大会发言及口头壁报交流。


全部评论 0
Copyright©2020-2026 北京医麦斯科技有限公司 版权所有 京ICP备2020034400号-1 京公网安备11010502043983号