登录方式

方式一:
PC端网页:www.rccrc.cn
输入账号密码登录,可将此网址收藏并保存密码方便下次登录

方式二:
手机端网页:www.rccrc.cn
输入账号密码登录,可将此网址添加至手机桌面并保存密码方便下次登录

方式三:
【重症肺言】微信公众号
输入账号密码登录

注:账号具有唯一性,即同一个账号不能在两个地方同时登录。

登录
方式

为重症救治赋能

为患者康复加速

当前位置: 首页 我是RT 相关文章

高流量湿化氧疗在Ⅱ型呼吸衰竭中的“攻守之道”

王明月 江苏省人民医院呼吸与危重症医学科 发布于2024-12-31 浏览 6313 收藏

作者:王明月

单位:江苏省人民医院呼吸与危重症医学科

一、高流量湿化氧疗的定义及特点

经鼻高流量湿化氧疗(HFNC)指的是输出的流量高于患者的最大吸气流量,以满足吸入气体流量的需要(输出气体流速≥患者吸气峰流速),吸入氧浓度不随患者呼吸状态改变,氧浓度稳定可控。

HFNC有三个特点:①送气流速可以高达60 L/min,甚至高达80 L/min;②氧浓度可调节,根据压缩空气和压缩氧气进入比例的不同,氧浓度可以在21%~100%之间调整;③湿化装置包括温度监测、反馈系统和加热导丝,在高流量下也可以实现气体的充分温化和湿化,甚至可以达到37℃以下接近100%的相对湿度。

二、高流量湿化氧疗的机制

1. 提供稳定的氧浓度

临床上常见的三种给氧系统分别是低流量给氧系统、高流量给氧系统以及储氧式给氧系统。下图中分别用A、B、C三条绿色的虚线表示。虚线A代表鼻导管,随着患者吸气流速的增加,吸气流速高于鼻导管流速,进而会吸入额外的空气来稀释氧气,导致氧浓度下降。所以此种情况下,吸气流速越高,吸氧浓度越低。虚线C代表储氧面罩,随着吸气流速的增加,储氧袋中的气体可以进行补充,尚可以维持氧浓度的稳定。但随着储氧袋中气体的减少,也会吸入额外的空气,导致氧浓度下降。高流量给氧系统输出的流量高于最大吸气流量,可以使氧浓度更加稳定。

图片
2. 冲刷无效腔,增加肺泡通气量

使用伽玛射线成像与CT扫描叠加发现高流量可以清除上呼吸道模型中放射性标志物。研究发现,高流量的气体可以冲刷鼻咽部的无效腔,使上呼吸道模型中的放射性物质减少,并且随着流速的增加,上呼吸道放射性物质的清除率也会增加。

正常情况下,呼气末气道中的二氧化碳浓度约为5%,氧浓度约为16%,吸气开始时这部分气体被重复吸入肺泡。高流量的冲刷作用可以减少无效腔量,进而增加每分钟肺泡通气量。使用高流量后冲刷了二氧化碳,是否会使血气中的二氧化碳分压(PaO2)发生改变呢?2015年发表在Am J Emerg Med杂志的研究发现,使用HFNC后,高碳酸血症组患者的PaCO2显著下降,由73.2(±20.0)降至67.2(±23.4),差异具有显著性(P=0.02)。

3. 降低呼吸做功和代谢消耗

鼻与口腔约占总气道阻力的50%,Shepard和Burger证实鼻咽腔的扩大、缩小会改变阻力大小。而吸气时,HFNC提供的流量高于患者吸气流量,在患者吸气时对鼻咽腔起到机械性支撑作用,从而降低吸气阻力,减少呼吸做功,并且加温加湿的气体也能够降低机体加温气体的代谢消耗。对使用高流量和低流量患者口咽部压力监测发现,口咽部可以产生一个随着呼吸周期不断变动的呼气末正压(PEEP)效应,高流量组平均口咽部的压力为4.4 cmH2O。

4. 防止肺不张,促进肺复张

机械通气的正压作用可以防止肺不张,促进肺复张。高流量产生的类似PEEP作用是否对肺容积有影响?一项电阻抗断层扫描(EIT)评估心脏手术后肺容积的生理学研究发现,HFNC能够显著增加呼气末的肺阻抗,进而增加肺容积,说明HFNC产生的PEEP效应也能够有效促进肺泡复张,从而预防肺不张。

5. 改善肺通气
高流速的气体可以使患者吸气更加容易,又能产生PEEP效应,也能使患者吸气更多、呼气时间延长,促使患者深而慢的呼吸,增加潮气量。也有研究发现,使用高流量患者的潮气量明显高于无辅助呼吸患者的潮气量。

三、高流量湿化氧疗在Ⅱ型呼吸衰竭中的临床研究

近年来也有诸多HFNC相关研究见诸报道,研究结果也令人欣慰。例如:HFNC能降低急性低氧性呼吸衰竭患者的90天病死率;HFNC能预防胸腹术后患者呼吸衰竭的发生,效果不亚于BiPAP治疗;HFNC能降低气管插管操作时低氧血症的发生;HFNC能降低急性呼吸衰竭患者拔管后的再插管率,显著改善氧合和增加患者舒适性;与传统氧疗相比,HFNC能降低低风险拔患者的再插管风险;对于高风险拔管患者,HFNC和NIPPV两组的再插管风险和拔管后呼吸衰竭风险相近。《成人经鼻高流量湿化氧疗临床规范应用专家共识》也表明,HFNC在Ⅰ型呼吸衰竭治疗方面的证据等级非常高,患者能够获益,Ⅱ型呼吸衰竭患者使用HFNC可否受益?效果如何?

2016年Thorax杂志发表的一项研究比较了HFNC与长期氧疗(LTOT)对稳定期慢阻肺患者的效果, 研究采用自身对照方法, 纳入了30例接受LTOT的稳定期慢阻肺男性患者, 使用20 min氧疗后分为继续氧疗组和HFNC组。研究发现,在稳定期慢阻肺患者中,与LTOT相比, HFNC的经皮二氧化碳分压和呼吸频率更低,潮气量和呼气末肺容积更高。这说明, 相较于LTOT, HFNC能够更好地改善患者的气促症状。

2015年Multidiscip Respir Med 杂志发表的一项稳定型高碳酸血症性慢阻肺中HFNC与无创通气(NIV)的比较研究纳入11例稳定期慢阻肺患者(6周内无急性加重),BMI<30 kg/m2,PaCO2>50 mmHg。该研究使用20 L/min的高流量治疗6周与使用IPAP 16 cmH2O的NIV进行自身对照。结果显示:HFNC和NIV都可以显著降低患者PaCO2,且两者无统计学差异。说明在稳定期慢阻肺患者中,HFNC降低PaCO2的效果并不亚于NIV。所以,对于稳定期慢阻肺患者,HFNC可以作为NIV的一种良好的替代治疗方式。

2018年一项前瞻性研究比较了在急性中度高碳酸血症性呼吸衰竭患者中HFNC与NIV的效果,研究入组了88例中度高碳酸血症患者,平均年龄是73岁,FEV1pre<80%,FEV1/FVC<70%,PaO2/FiO2<200 mmHg,PaCO2>45 mmHg,pH 7.25~7.35。HFNC组和NIV组各44例患者,研究终点是气管插管率和30天病死率。研究发现:HFNC组与NIV组的气管插管率和30天病死率均无显著差异。此外,该研究还统计了使用HFNC和NIV 6小时和24小时的血气分析,发现无论6小时还是24小时,患者的pH、PaO2、PaCO2都没有统计学差异,这说明HFNC和NIV在急性呼吸衰竭伴中度高碳酸血症的患者中的疗效相当。

2019年Int J Chron Obstruct Pulmon Dis杂志发表的一项观察性队列研究纳入了82例急性中度高碳酸血症的患者,比较HFNC和NIV两组患者的治疗失败率和28天生存率,研究发现两者之间没有统计学差异,同样说明了HFNC和NIV在急性中度高碳酸血症中有相当的疗效。这项研究还统计了HFNC组和NIV组的气道管理天数、设备适应程度以及患者皮肤破损发生率等情况,发现HFNC组的气道管理天数和设备适应程度都低于NIV组,皮肤破损发生率也更低,患者不耐受的情况更少。

HFNC在高碳酸血症患者的序贯通气中也有一定优势。2019年JAMA杂志发表的一项研究纳入了气管插管超过24小时,年龄>65岁,心功能不全或有肺部基础疾病,PaCO2>45 mmHg的患者。研究终点是比较NIV+HFNC联合应用与单独使用HFNC的7天再插管率。结果表明:相比于单独使用HFNC,NIV+HFNC联合应用可以降低高碳酸血症患者的再插管率。

四、高流量湿化氧疗在Ⅱ型呼吸衰竭中的临床应用

1. Case 1

一般情况:患者老年男性,74岁,因“反复咳嗽、咳痰,气喘20余年,加重2天”入院。

现病史:患者近20余年来受凉后反复出现咳嗽、咳痰,伴气喘,活动后明显,于外院确诊为“慢性阻塞性肺疾病”,后行家庭氧疗10余年,每日吸氧5~6小时,未规律吸入药物治疗。2天前无明显诱因下气喘较前明显加重,休息及吸氧后不能缓解,夜间不能平卧,偶咳,少许白痰。于8月4日就诊收住我科。

既往史:有高血压病史,长期口服苯磺酸氨氯地平1片gd,缬沙坦胶囊1片gd,血压控制可。14年前行小肠间质瘤手术,具体不详,术后长期口服靶向药物,舒尼替尼2片qd。

个人史:吸烟30年,40支/天。未戒烟。

体格检查:体温36.8℃,脉搏86次/分,呼吸30次/分,血压130/70 mmHg。患者神志清,急性病容;呼吸急促,桶状胸,左右肺叩诊鼓音,听诊两肺呼吸音降低,未闻及哮鸣音;腹部膨隆,叩诊为移动性浊音。

初步诊断:急性呼吸衰竭,慢性肺源性心脏病,慢阻肺急性发作,心功能不全,小肠间质瘤术后,高血压。

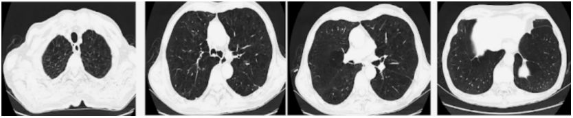
8月4日胸部CT:两肺多发实性小结节(多于10枚),直径均<5 mm;两肺肺气肿伴多发肺大泡形成;两肺散在陈旧灶(图1)

图片
图1  患者胸部CT(8月4日)

患者入院后予鼻导管吸氧2 L/min。8月7日患者腹痛及气喘加重,查体腹部膨隆,腹痛明显,全腹压痛。查肝胆胰脾彩色多普勒:肝内多发稍高回声及低回声,占位性病变,考虑转移性肿瘤;肝囊肿;肝右叶与右肾交界处无回声,囊肿可能;左下腹极低回声包块,腹腔积液。消化科会诊考虑患者既往小肠间质瘤病史,肿瘤复发可能。

患者8月5日血气分析示:pH 7.42,PaCO2 59 mmHg,PaO2 91 mmHg。加之其腹部肿瘤导致腹内压增高。考虑使用NIV可能会进一步增加腹内压,故选择HFNC(吸氧浓度30%,流量30 L/min),后患者PaCO2显著下降,PaO2也逐渐改善。8月19日,患者气喘、腹痛、腹胀症状较前均有好转,转至当地医院继续治疗。

2. Case 2

一般情况:老年男性患者,68岁,因“反复咳痰喘10余年,加重伴意识障碍9天”入院。

现病史:患者10余年来反复咳嗽,咳黄痰伴活动后气喘,秋冬季节加重。9天前出现头晕、头痛伴短暂性意识丧失,至当地医院就诊。予吸氧,平喘、抗感染等对症治疗,效果不佳。患者5天前突发意识不清、烦躁不安。遂至我院急诊就诊,血气分析示:pH 7.11,PaCO129.1 mmHg,PaO2 89 mmHg,气管插管呼吸机辅助通气。为进一步治疗收住我科。

既往史:有肺结核病史10余年,已治愈;有阴囊疝气手术史10年。食管内镜黏膜下剥离术史(具体不详)。吸烟30年,20支/天,未戒烟。

体格检查: 体温36.3℃, 脉搏65次/分, 呼吸15次/分, 血压112/75 mmHg。患者镇静状态, 查体配合欠佳; 桶状胸, 呼吸运动对称, 肋间隙增宽; 双肺呼吸音低, 可闻及少许干/湿啰音。

初步诊断:急性呼吸衰竭,肺性脑病,重症肺炎,慢阻肺急性加重,慢性肺源性心脏病,电解质代谢紊乱。

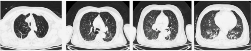
6月11日急诊胸部CT:气管插管术后;两肺多发斑片条索状高密度影,炎症可能;两肺散在陈旧灶;两侧胸膜局部增厚;两侧少量胸腔积液伴两下肺膨胀不全;两肺肺气肿,伴肺大泡;纵隔多发小淋巴结;所示胃壁见金属密度影(图2)

图片
图2  患者胸部CT(6月11日)

6月14日治疗方案:呼吸机辅助通气、雾化吸入平喘,氨溴索、溴己新祛痰,比阿培南、替考拉宁抗感染,护胃及增强免疫力等治疗。患者神志清,体温较前明显改善。

6月21日予脱机,拔除气管插管。此时患者氧合指数162 mmHg,PaCO69 mmHg。考虑患者感染得到初步控制,所以选择早期拔管使用NIV进行序贯通气。

6月22日患者经口进食,鼻导管吸氧6 L/min,指脉氧饱和度波动在83%~88%。患者气喘症状较拔管前略重。为了改善患者氧合以及方便其进食,改为NIV+HFNC(吸氧浓度45%,流量30 L/min)。后患者氧合指数明显升高,气喘症状减轻。

6月24日调整为单纯HFNC(吸氧浓度40%,流量30 L/min)。患者PaCO2未上升,可以维持在可控水平。

3. 循证依据

笔者团队通过回顾性分析江苏省人民医院及南京市高淳人民医院2019年1月至2020年12月期间95例慢阻肺急性加重伴轻中度Ⅱ型呼吸衰竭患者使用不同呼吸支持方式(其中HFNC患者57例,NIV患者38例),观察两组患者治疗开始时、治疗后第1天及治疗后第7天临床症状、血气分析。比较HFNC及NIV的疗效、并发症发生率,并探讨HFNC的应用时机。结果显示:HFNC组与NIV组治疗后1天及7天时氧合指数、pH、PaCO2较治疗前均明显改善(P<0.05);两组患者治疗后1天及7天pH、PaCO2的变化率比较均无显著差异;HFNC组氧合指数变化率优于NIV组(P<0.05)。pH是慢阻肺急性加重伴Ⅱ型呼衰患者应用HFNC的独立危险因素,根据ROC计算截断值为7.317。研究最终得出结论:对于慢阻肺急性加重伴轻中度Ⅱ型呼衰患者,HFNC疗效较NIV类似,且不良反应发生率低于NIV;pH是慢阻肺急性加重伴Ⅱ型呼吸衰竭患者应用HFNC的独立危险因素,pH<7.317时HFNC疗效欠佳。

国外指南推荐NIV仍然是慢阻肺急性加重的一线治疗手段。我国2019年发布的《成人经鼻高流量湿化氧疗临床规范应用专家共识》认为,对于清醒的高碳酸血症患者,可以尝试使用HFNC;如果1小时后患者病情恶化,应立即更换为NIV或气管插管。对于稳定期慢阻肺患者,HFNC可以改善其运动耐量和生活质量。2021年发布的《急诊成人经鼻高流量氧疗临床应用专家共识》指出,对于慢阻肺合并轻中度高碳酸血症(pH>7.25)的患者,HFNC可作为初始呼吸支持的选择之一。对于不耐受NIV的慢阻肺合并中度高碳酸血症(7.25<pH<7.35)患者,建议使用HFNC治疗。对于pH<7.25的高碳酸血症患者,不建议使用HFNC治疗。


五、小结

稳定期慢阻肺合并高碳酸血症患者,高流量优于普通氧疗,疗效并不差于NIV。对于轻中度慢阻肺急性加重患者,高流量可作为NIV的替代方案,但不是常规一线治疗。此外,高流量还可以作为慢阻肺急性加重患者有创通气拔管后的序贯支持方式。

图片


   参考文献    

向下滑动阅览

[1] Jeong JH, Kim DH, Kim SC, et al. Changes in arterial blood gases after use of high-flow nasal cannula therapy in the ED[J]. Am J Emerg Med, 2015, 33(10):1344-1349.
[2] Corley A, Caruana LR, Barnett AG, et al. Oxygen delivery through high-flow nasal cannulae increase end-expiratory lung volume and reduce respiratory rate in post-cardiac surgical patients[J]. Br J Anaesth, 2011, 107(6):998-1004.
[3] Frat JP, Thille AW, Mercat A, et al. High-flow oxygen through nasal cannula in acute hypoxemic respiratory failure[J]. N Engl J Med, 2015, 372(23):2185-2196.
[4] Stéphan F, Barrucand B, Petit P, et al. High-Flow Nasal Oxygen vs Noninvasive Positive Airway Pressure in Hypoxemic Patients After Cardiothoracic Surgery: A Randomized Clinical Trial[J]. JAMA, 2015, 313(23):2331-2339.
[5] Miguel-Montanes R, Hajage D, Messika J, et al. Use of high-flow nasal cannula oxygen therapy to prevent desaturation during tracheal intubation of intensive care patients with mild-to-moderate hypoxemia[J]. Crit Care Med, 2015, 43(3):574-583.
[6] Maggiore SM, Idone FA, Vaschetto R, et al. Nasal high-flow versus Venturi mask oxygen therapy after extubation. Effects on oxygenation, comfort, and clinical outcome[J]. Am J Respir Crit Care Med, 2014, 190(3):282-288.
[7] Hernández G, Vaquero C, González P, et al. Effect of Postextubation High-Flow Nasal Cannula vs Conventional Oxygen Therapy on Reintubation in Low-Risk Patients: A Randomized Clinical Trial[J]. JAMA, 2016, 15(13):1354-1361.
[8] Hernández G, Vaquero C, Colinas L, et al. Effect of Postextubation High-Flow Nasal Cannula vs Noninvasive Ventilation on Reintubation and Postextubation Respiratory Failure in High-Risk Patients: A Randomized Clinical Trial[J]. JAMA, 2016, 316(15):1565-1574.
[9] 中华医学会呼吸病学分会呼吸危重症医学学组, 中国医师协会呼吸医师分会危重症医学工作委员会. 成人经鼻高流量湿化氧疗临床规范应用专家共识[J]. 中华结核和呼吸杂志, 2019, 42(2):83-91.
[10] Fraser JF, Spooner AJ, Dunster KR, et al. Nasal high flow oxygen therapy in patients with COPD reduces respiratory rate and tissue carbon dioxide while increasing tidal and end-expiratory lung volumes: a randomised crossover trial[J]. Thorax, 2016, 71(8):759-761.
[11] Bräunlich J, Seyfarth HJ, Wirtz H. Nasal High-flow versus non-invasive ventilation in stable hypercapnic COPD: a preliminary report[J]. Multidiscip Respir Med, 2015, 10(1):27.
[12] Lee MK, Choi J, Park B, et al. High flow nasal cannulae oxygen therapy in acute-moderate hypercapnic respiratory failure[J]. Clin Respir J, 2018, 12(6):2046-2056.
[13] Sun J, Li Y, Ling B, et al. High flow nasal cannula oxygen therapy versus non-invasive ventilation for chronic obstructive pulmonary disease with acute-moderate hypercapnic respiratory failure: an observational cohort study[J]. Int J Chron Obstruct Pulmon Dis, 2019, 14:1229-1237.
[14] Thille AW, Muller G, Gacouin A, et al. Effect of Postextubation High-Flow Nasal Oxygen With Noninvasive Ventilation vs High-Flow Nasal Oxygen Alone on Reintubation Among Patients at High Risk of Extubation Failure: A Randomized Clinical Trial[J]. JAMA, 2019, 322(15):1465-1475.
[15] 中国医师协会急诊医师分会, 中华医学会急诊医学分会, 中国急诊专科医联体,等. 急诊成人经鼻高流量氧疗临床应用专家共识[J]. 中国急救医学, 2021, 41(9):739-749.


    作者介绍    

图片

王明月
江苏省人民呼吸与危重症医学科呼吸治疗师,毕业于四川大学华西临床医学院呼吸治疗专业,多年从事呼吸危重症临床救治工作,熟练掌握机械通气,气道管理,呼吸康复等多项技术。

  • 本文根据“PCCM呼吸治疗大讲堂”第10期视频整理感谢王明月呼吸治疗师予以审核。


全部评论 0
Copyright©2020-2026 北京医麦斯科技有限公司 版权所有 京ICP备2020034400号-1 京公网安备11010502043983号