登录方式

方式一:
PC端网页:www.rccrc.cn
输入账号密码登录,可将此网址收藏并保存密码方便下次登录

方式二:
手机端网页:www.rccrc.cn
输入账号密码登录,可将此网址添加至手机桌面并保存密码方便下次登录

方式三:
【重症肺言】微信公众号
输入账号密码登录

注:账号具有唯一性,即同一个账号不能在两个地方同时登录。

登录
方式

为重症救治赋能

为患者康复加速

当前位置:首页 重症肺炎 诊断技术

危重症患者肺活检

崔晓阳 中日友好医院呼吸与危重症医学科 发布于2024-11-28 浏览 4268 收藏

作者:崔晓阳

单位:中日友好医院呼吸与危重症医学科
图片
一、概述


1967年Ashbaugh等首次描述了成人急性呼吸窘迫综合征(ARDS);1988年Murray等建立肺损伤评分;1994年美欧ARDS联席会议(AECC)确定了ARDS/急性肺损伤(ALI)诊断标准;2012年欧洲危重病医学会(ESICM)发布ARDS柏林定义;2023年ARDS全球新定义发布。无论ARDS定义如何变迁,它仍然是一种多种病因所致的临床综合征,有5%~15%的患者病因隐匿,治疗效果差。而且ARDS病理组织表现各不相同,仅45%表现为弥漫性肺泡损伤(DAD)。
对于ARDS的治疗,目前证据级别较高的治疗手段主要是支持治疗。但对因治疗才是改善预后的根本。同时,一些疾病虽然影像学表现和病程变化符合ARDS的标准,但有特异性的病因。如果不能及时查明病因,会延误治疗时机。图1所示,胸片可见双肺多发渗出影,胸部CT可见以右肺为主的大片磨玻璃渗出,小叶间隔增厚。该患者病情迅速进展,胸片出现双肺弥漫渗出影。虽然病程及影像变化符合ARDS的特点。但经过外科肺活检和肺泡灌洗后,BALF细胞学可以发现吞噬大量磷脂蛋白的巨噬细胞, PAS染色阳性。同时,病理提示肺泡腔及小气道中大量PAS染色阳性的物质。该患者通过活检和细胞学诊断为肺泡蛋白沉积症(PAP)。图2胸片可见两侧弥漫渗出,BALF低倍镜下可见大量嗜酸细胞浸润,最终诊断为急性嗜酸细胞性肺炎。由此可见,ARDS的病因诊断极为重要。

图片

图片

图1  一例PAP患者影像及病理表现

图2  一例急性嗜酸性细胞性肺炎患者影像学及病理学表现


图片
二、ARDS的病因探寻


2007年Crit Care Med 杂志发表了一项历时8年的前瞻性研究,研究中100例ARDS患者行开胸肺活检(OLB)(ARDS持续>5天,初始病原学阴性,氧合无改善),中位活检时间为7天(6~13.5天)。其中,近一半患者的活检病理可见纤维化样改变,约40%的患者合并感染,约10%的患者还有一些意外发现,例如狼疮肺炎、细支气管肺泡炎、药物性肺损伤、肺泡出血、排异反应、分枝杆菌感染等。研究中有78例患者根据病理结果调整了治疗方案(主要包括加用激素、更改抗感染方案),调整方案组生存率为67%,显著高于未调整方案组14%(P<0.001)。此外,100例患者中有10例出现并发症,其中2例气胸,8例术后持续>24小时少量漏气,均不需手术干预。
开胸肺活检数据大多来自于单中心、小样本研究。直至2015年Ann Am Thorac Soc 杂志发表了一项系统评价,该文献纳入14项OLB研究共512例机械通气患者。其中有25%的患者诊断了“纤维化/肺炎”,20%以上的患者明确了感染,约30%的患者通过肺活检获得了特殊的诊断。78%(399/512)的OLB患者改变了治疗方案,其中,317例患者开始了新的治疗方案或调整了治疗方案,39例停止了原有治疗方案;另有20例未报告具体治疗调整;5%(20/512)的患者无治疗调整。29%(147/512)的患者出现了并发症,最常见的并发症为持续漏气(71%,104/147),1例患者围术期死亡。OLB可以使大多数(78%)患者获得病理及病原学依据,更改治疗方案,但代价是约30%的患者出现手术并发症。
1. 究竟哪类患者应该积极推荐进行肺活检?
答案是:Non-resolving ARDS(难治性ARDS)—感染或常见病因无法解释病程的患者。
2. 肺活检时机是不是越早越好?
一项针对34例弥漫性肺部病变患者的研究显示,11例行紧急OLB(urgent OLB,指入院后在完善微生物、细胞学、痰及BALF等检查前行OLB),23例行择期OLB(elective OLB,在尽可能完善血液学、灌洗液病原学、细胞学检查后再行肺活检)。结果发现,紧急OLB的结果对于后续的诊断和治疗调整并无太大的指导意义,而且这部分患者的并发症以及住院期间的死亡率均远高于择期OLB患者。研究还发现,活检前中位机械通气时间是11天,最少是6天,有50%患者的病理结果提示纤维化。因ARDS病情进展迅速,肺活检的时机越晚,越难以区分“原发”病变和“继发”的呼吸机相关肺损伤以及ARDS在进展中的“继发”病变。
因此,在完成所有非侵入性检查前尽量避免进行活检,活检阳性率随着机械通气时间的延长而下降。机械通气时间越长,纤维化病变检出比例越高,难以区分原发病和继发损伤。所以,建议机械通气7天以内进行活检。
3. 选择何种活检方式?
经支气管镜肺活检术(transbronchial lung biopsy,TBLB):创伤小、术后恢复快、可床旁操作、可同时获得BALF,但标本小,可能不足以诊断。
外科肺活检:组织大,病理诊断价值高,多需在手术室操作,有经验的中心可床旁进行。缺点是并发症发生率≥20%,对于机械通气患者并发症发生率可达59%,术后带管疼痛等。
近年来,呼吸介入技术飞速发展,也让肺活检有了更好的选择。经支气管冷冻肺活检(transbronchial cryobiopsy, TBCB)是利用冷冻探头在冷冻过程中的黏附性,将经支气管进入的冷冻探头周围组织暴力撕裂,获得组织学标本的一项技术。研究显示,对于间质性肺疾病(ILD),TBCB病理组织学的诊断效能是TBLB的5倍,基于活检结果的MDT后,TBCB的诊断效能为47.6%,TBLB为19.4%。相较于TBLB,TBCB的出血并发症发生更多,但多为轻度出血,镜下即可处理,鲜有引起严重血流动力学紊乱的大出血事件。TBCB和TBLB在气胸和纵隔气肿发生率方面均无统计学差异。
图片
三、危重患者的诊断


在ILD的诊断方面,2022年更新版ATS/ERS/JRS/ALAT IPF指南中,TBCB已被优先推荐。
笔者团队开展了一项TBLB(45例)与TBCB(25例)在未明确病因的急性低氧性呼吸衰竭危重患者中的比较研究,文章2022年发表于BMC Pulm Med 杂志。研究纳入的患者病情较重,尤其是接受TBCB患者,其中9例需VV-ECMO支持。研究显示,TBCB组获取的组织大小是TBLB组的3~5倍,且TBCB组并未发生严重影响患者预后的并发症。另外,TBCB组的诊断率达到72%,对治疗的调整率达到84%,而TBLB的诊断率和对治疗的调整只有37.8%和57.8%。

随着肺移植技术的不断发展,有大量移植患者在随访过程中要定期取活检判断有无排异。2023年发表的一项前瞻性、随机比较研究评估了使用活检钳、1.9 mm冷冻探头或2.4 mm冷冻探头进行经支气管肺活检的诊断率、组织学质量和安全性。该研究纳入的89例重症肺移植患者被随机分组,30例2.4 mm探头,31例1.9 mm探头,28例钳夹活检。结果发现:TBCB的诊断效能远高于TBLB,并且随着探头尺寸的增加,其诊断效能也增加,2.4 mm组的确诊率及急性排斥诊断率最高,标本最大,肺泡组织最多。

图片
四、我们如何操作



1. 肺活检禁忌证
(1)严重凝血异常(血小板<50×109/L,PT延长超过3 s,ACT比值>1.5)或使用抗血小板及抗凝药物。
(2)血流动力学不稳定。
(3)目前呼吸支持条件无法满足氧合通气需求,不具备进一步提高呼吸支持手段的能力。
2. 不同呼吸支持方式下TBLB操作要点
(1)经鼻高流量氧疗(HFNC):操作过程中提高吸氧浓度,适当镇静,RASS评分-1~0分。
(2)无创正压通气(NPPV):适当镇痛镇静,选择合适面罩插入气管镜,操作过程中予以纯氧,观察呼吸机工作情况,维持足够的支持。
(3)有创正压通气(IPPV):充分镇痛、镇静,根据情况使用肌松剂,使自主呼吸消失,予以控制通气,吸氧浓度100%,PEEP降至0或可维持SpO2≥90%的最低PEEP。
TBCB均需建立有创气道。需选择内径7.5 mm以上气管插管。对于危重症患者,建议预置球囊封堵。
3. 准备工作
对于ECMO支持患者的冷冻肺活检,操作前要充分排除禁忌(严重凝血、血流动力学异常),控制出血风险;在呼吸支持方面,因为有ECMO辅助,可以将机械通气的力度降到最低。
4. 操作流程
笔者团队在总结了13例VV-ECMO支持患者床旁TBCB后,制定了如下CHECK-LIST(图3)。术前仔细核查凝血指标和血小板计数。一般认为血小板计数 <50×109/L、凝血酶原时间(PT)延长>3 s、活化部分凝血活酶时间(APTT)延长>15 s为相对禁忌证。必要时输注血制品纠正凝血及血小板异常。TBCB术前至少停用普通肝素(UFH)4 h。监测外周血活化凝血时间(ACT)达标后进行操作。所有患者均建立人工气道并充分镇痛、镇静和肌松,以达到RASS评分-5~-4分。在操作过程中,我们采用控制通气,同时设置PEEP为0,吸入氧浓度为1.0。VV-ECMO气流量和血流量不常规调整,但如果术中出现氧饱和度下降,可临时增加血流量以维持氧合。活检前,经支气管镜将球囊预先放置在目标操作肺段开口处。应用支气管径向超声(RP-EBUS)确定活检部位。随后更换冷冻探头(1.9 mm或2.4 mm)到达RP-EBUS的定位部位。以二氧化碳作为冷冻源进行冷冻活检(冷冻时间3~6 s)。活检完成后立即将球囊充气(0.5~1个大气压)止血,每次充气持续约2 min。然后缓慢地将球囊放气,并观察是否出血。每个肺段取2~3个标本,如果有条件,每例患者选择2个肺段进行活检。每例患者共获得2~6个活检标本,然后测量每个标本的大小。操作过程中如果发生中度及以上出血事件,则立即终止手术。
图片
图3  冷冻肺活检操作流程
上述13例ECMO患者均获得病理诊断,其中9例(69.2%)诊断为不同阶段的DAD,3例OP,1例NSIP。在确诊DAD的患者中,2例发现病毒包涵体,其中1例免疫组化提示CMV感染但初始BALF并未提示CMV阳性。
5. 病例
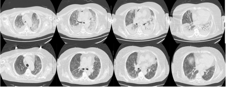
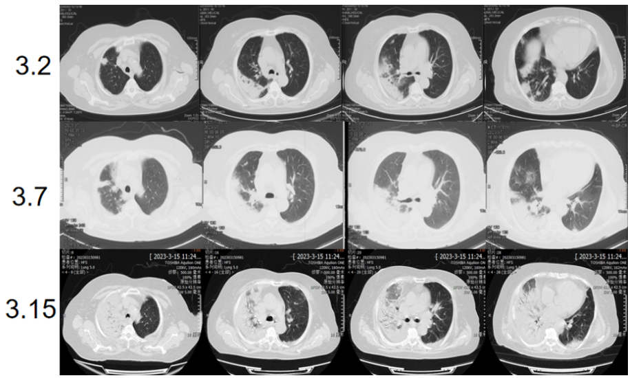
病例1:65岁女性,既往体健,活动后呼吸困难7天,加重5天,于2023年3月8日入院。入院后发热,P/F 130 mmHg。血常规:WBC 7.24×109/L,NEU 6.42×109/L,LYM 0.55×109/L,CRP 95.21 mg/L。PCT<0.02 ng/ml。BALF NGS:甲型流感病毒(序列数28947),烟曲霉(序列数26),肺炎链球菌(序列数78)。甲型流感病毒核酸检测阳性,新甲型H1N1流感病毒核酸检测阳性。予哌拉西林他唑巴坦+奥司他韦+伏立康唑抗感染治疗。然而,患者在靶向抗感染治疗下,氧合和影像进行性恶化(图4)。这种治疗效果完全不符合我们初始的预判。
图片
图4  患者影像学变化
是继续抗感染, 还是采取其他治疗措施?
患者病情快速进展,治疗效果与预期相矛盾,需进一步明确病因。因此在建立VV-ECMO当日于右下后基底段冷冻肺活检。
病理提示(图5):肺泡间隔增宽,间质纤维母细胞增生,可见Masson小体,伴淋巴细胞为主的慢性炎细胞浸润,部分肺泡上皮增生,肺泡腔内可见吞噬细胞聚集。特殊染色:PAS(-),银染(-),抗酸(-),Masson(+)。
图片
图5 患者病理结果
最终诊断:继发性机化性肺炎;ARDS;重症肺炎(流感);侵袭性支气管肺曲霉菌病。
治疗:予甲强龙320 mg qd×3天,减至80 mg×5天,后序贯40 mg×14天。
预后:患者影像学表现(图6)和氧合逐渐改善,最终撤离ECMO。
图片
图6  治疗后患者胸部CT
病例2:31岁男性,3个月前(2023年12月10日)手腕、脚腕疼痛伴低热,就诊于外院,查血常规:WBC升高(具体不详),行第一次骨穿,诊断为MDS/MPN。随后患者出现高热,行胸部CT检查(2023年12月20日):双肺磨玻璃影,纵隔淋巴结肿大。给予抗感染治疗(先后给予哌拉西林他唑巴坦、美罗培南、头孢哌酮舒巴坦、莫西沙星、利奈唑胺、替加环素、卡泊芬净、阿昔洛韦),仍间断高热。于(2024年1月10日)予地塞米松10 mg,体温逐渐降至正常后出院,出院后口服强的松15 mg qd。复查影像学仍可见双肺多发磨玻璃影,较前进展。
2周前(2024年2月29日)患者出现活动后呼吸困难伴高热(40℃),就诊外院,予静点抗生素及激素治疗,发热及呼吸困难均无改善。于3月11日就诊于我院急诊,血气分析(FiO2 0.5):pH 7.463,PaCO2 33.3 mmHg,PaO2 92.0 mmHg,HCO3- 23.5 mmol/L,Lac 1.6 mmol/L,P/F 184 mmHg。胸部CT示双肺磨玻璃影,小叶间隔增厚。为进一步诊治收入MICU。
                                                                                                                      已关注                                                                            关注                                                               重播                                                                                                                                                            观看更多


    0/0

    00:00/00:12进度条,百分之0播放00:00/00:1200:12全屏


    倍速播放中 0.5倍 0.75倍 1.0倍 1.5倍 2.0倍 超清 流畅

    继续观看

    危重症患者肺活检

    转载,危重症患者肺活检重症肺言已同步到看一看


            视频详情              
    血常规:WBC 12.5×109/L,NEU 10.37×109/L,PCT<0.2 ng/L。BALF NGS:大肠埃希菌(序列数4563),铜绿假单胞菌(序列数2324),烟曲霉(序列数15),CMV(序列数18),RSV(序列数251)。BALF细菌培养:大肠埃希菌(ESBL+),CRPA。予以更昔洛韦+哌拉西林他唑巴坦+伏立康唑+磺胺(预防量)抗感染治疗。
    该患者在外院使用过大量抗感染药物。但抗感染之后,影像学进展,甚至出现呼吸衰竭。现有临床证据不能解释其病情变化,因此行冷冻肺活检进一步明确病因。
    细胞学病理:(BALF)未见癌细胞,可见较多中性粒细胞及粉染无定形物质,特殊染色PAS(+)及D-PAS(+),请结合临床除外肺泡蛋白沉积症。
    左肺下叶外段TBCB:送检支气管及肺组织显慢性炎,部分肺泡间隔略增宽伴轻度纤维增生及少量淋巴细胞浸润,部分肺泡腔内充满无定形粉染物,结合特殊染色可符合肺泡蛋白沉积症。免疫组化结果:CMV(-)。特殊染色结果:PAS(+)、D-PAS(+)、银染(-)。
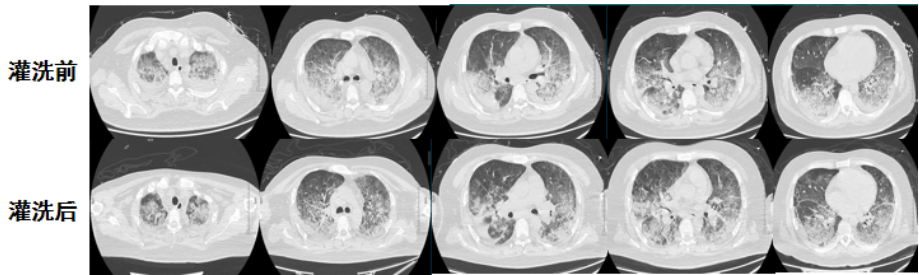
    最终诊断:继发性肺泡蛋白沉积症(sPAP),Ⅰ型呼吸衰竭;重症肺炎(流感);骨髓增生异常综合征。
    治疗措施:维持治疗,行全肺灌洗+抗感染治疗;积极推进骨髓移植。灌洗后患者影像学表现显著改善(图7)
    图片
    图7  全肺灌洗前后患者影像学变化
    图片
    五、小结


    初始治疗病情未缓解的ARDS应积极活检,活检时机应在完善所有无创及微创检查后进行,尽量在机械通气7天内。相较于OLB,TBCB是一种安全性高、诊断力强的检查手段。对于ECMO患者行TBCB,通过术前充分评估及维护,术中预置球囊、予以充分呼吸支持等手段,尽可能降低出血、气胸等并发症风险。


       参考文献    

    上下滑动阅览

    [1] Papazian L, Doddoli C, Chetaille B, et al. A contributive result of open-lung biopsy improves survival in acute respiratory distress syndrome patients[J]. Crit Care Med, 2007, 35(3):755-762. 
    [2] Wong AK, Walkey AJ. Open Lung Biopsy Among Critically Ill, Mechanically Ventilated Patients. A Metaanalysis[J]. Ann Am Thorac Soc, 2015, 12(8):1226-1230.
    [3] Palakshappa JA, Meyer NJ. Which patients with ARDS benefit from lung biopsy?[J]. Chest, 2015, 148(4):1073-1082. 
    [4] Papazian L, Doddoli C, Chetaille B, et al. A contributive result of open-lung biopsy improves survival in acute respiratory distress syndrome patients[J]. Crit Care Med, 2007, 5(3):755-762.
    [5] Pajares V, Núñez-Delgado M, Bonet G, et al. Transbronchial biopsy results according to diffuse interstitial lung disease classification. Cryobiopsy versus forceps: MULTICRIO study[J]. PLoS One, 2020, 15(9):e0239114.
    [6] Raghu G, Remy-Jardin M, Richeldi L, et al. Idiopathic Pulmonary Fibrosis (an Update) and Progressive Pulmonary Fibrosis in Adults: An Official ATS/ERS/JRS/ALAT Clinical Practice Guideline[J]. Am J Respir Crit Care Med, 2022, 205(9):e18-e47. 
    [7] Wang S, Feng Y, Zhang Y, et al. Transbronchial lung biopsy versus transbronchial lung cryobiopsy in critically ill patients with undiagnosed acute hypoxemic respiratory failure: a comparative study[J]. BMC Pulm Med, 2022, 22(1):177. 
    [8] Loor K, Culebras M, Sansano I, et al. Lung allograft transbronchial cryobiopsy for critical ventilated patients: a randomised trial[J]. Eur Respir J, 2023, 61(1):2102354. 
    [9] Wang S, Zhou G, Feng Y, et al. Feasibility of transbronchial lung cryobiopsy in patients with veno-venous extracorporeal membrane oxygenation support[J]. ERJ Open Res, 2022, 8(4):00383-2022. 


        作者介绍    

    图片

    崔晓阳
    主治医师,医学博士,中日友好医院呼吸与危重症医学科;毕业于四川大学华西临床医学院,完成PCCM专科培训;从事呼吸危重症相关临床及科研工作;主要研究方向为ECMO相关呼吸支持手段,以第一作者在相关领域发表SCI论文多篇。


    全部评论 0
    Copyright©2020-2026 北京医麦斯科技有限公司 版权所有 京ICP备2020034400号-1 京公网安备11010502043983号