作者:程真顺
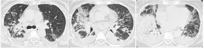
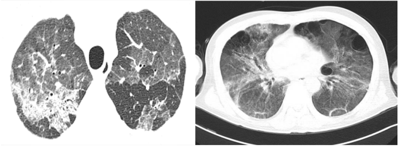
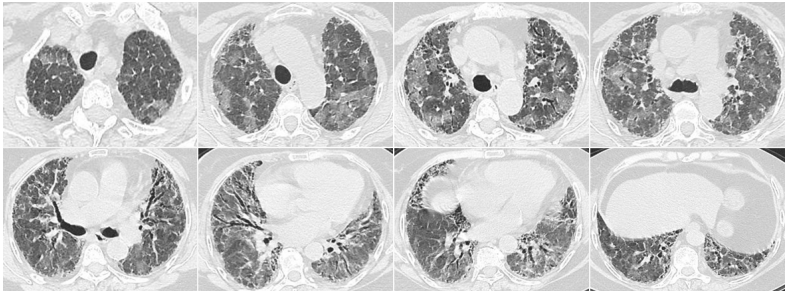
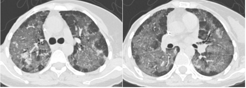
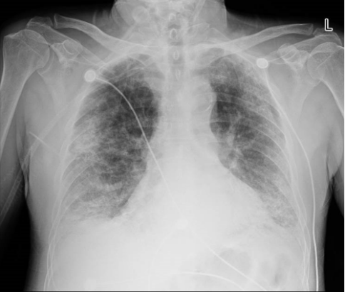
患者,女,50岁;活动后喘息20天,加重伴发热3天,2021年11月19日转入我院。入院胸部CT显示:双肺实变,磨玻璃影(图1)。11月24日复查胸部CT可见病变进展迅速(图2)。予患者气管插管机械通气、俯卧位等,呼吸衰竭未见改善。遂于11月25日启动VV-ECMO(转速2860 rpm,流量4.5 L/min,氧浓度100%)。追问病史:患者入院前1月有活动后气促症状,自觉全身不适,近2年有眼干、口干不适。进一步检查发现,ANA反应阳性(+),ANA核型为胞浆颗粒型(异常);抗SSA/Ro抗体阳性(++)、抗Ro-52抗体阳性(+++)。诊断:急性间质性肺炎(AIP);Ⅰ型呼吸衰竭;混合性结缔组织病。治疗:VV-ECMO+呼吸机辅助通气+俯卧位通气、激素(甲强龙80 mg×7天,60 mg×3天,40 mg qd)、免疫抑制剂(环磷酰胺400 mg qd×3天)、抗感染(哌拉西林他唑巴坦4.5 g q12h+莫西沙星0.4 g qd+氟康唑氯化钠注射液20 mg qd)、抗凝等。在随后的一段时间内,患者影像学改善不明显(图3)。直至12月20日,复查胸部CT可见患者肺部病变较前明显吸收(图4)。2021年12月31日VV-ECMO撤机后,继续气切呼吸机辅助通气,甲强龙40 mg qd抗炎治疗,继续抗感染治疗,2022年1月7日脱机,1月21日气管封管,1月26日出院。后续治疗:强的松25 mg qd,环磷酰胺600 mg q2w×4次,序贯吗替麦考酚酯0.5 g bid。重症间质性肺疾病(ILD)在诊断方面需要考虑以下问题:是ILD吗?是哪种ILD?严重程度如何?在治疗方面,除了生命支持(呼吸支持重点)和病因治疗,并发症的处理也至关重要。重症ILD的诊断包括两方面,一方面是通过影像学、病史+临床表现、BALF-NGS、实验室检查、肺活检等对ILD进行诊断;另一方面涉及重症,患者多面临呼吸衰竭甚至多器官衰竭,因此时间更加紧迫。在ICU内最常见的重症ILD包括:特发性肺纤维化急性加重(AE-IPF)、自身免疫相关性ILD、肿瘤治疗相关性ILD、隐源性机化性肺炎(COP)、AIP、过敏性肺炎(HP)、急性嗜酸性粒细胞性肺炎(AEP)、药物相关ILD等。在影像学方面,最易导致重症的类型有弥漫性磨玻璃影和实变影。最常见的鉴别诊断就是重症肺部感染。表现为弥漫性磨玻璃影或实变影的ILD较为多见,例如:HP、嗜酸性粒细胞性肺炎(EP)、结缔组织病相关间质性肺病(CTD-ILD)、非特异性间质性肺炎(NSIP)、脱屑性间质性肺炎(DIP)、淋巴细胞性间质性肺炎(LIP)、机化性肺炎(OP)、AE-IPF、肺泡蛋白沉积症(PAP)、肺泡微结石症、结节病、弥漫性肺泡出血综合征、肺水肿等。而很多感染性疾病影像学也可表现为磨玻璃影,例如:卡氏肺孢子菌肺炎(PCP)、病毒性肺炎、巨细胞病毒性肺炎、支原体肺炎。尽管如此,ILD也有部分影像学具有特征性,可以被识别。图5左表现为肺陷闭,也称为“猪头肉冻征”,这是典型的亚急性HP的影像学特征。图5右表现为弥漫性磨玻璃影,但以肺门向外扩展,外面有肺大泡,这是典型的PCP表现。临床上多见自身免疫性疾病导致的ILD,此类疾病也具有共同的特征,例如双肺弥漫,病理方面以NSIP或OP为主要特征。但也有部分患者可以出现弥漫性肺泡损伤(DAD)特征。如图6所示,左图为ANCA相关性血管炎,右图为MDA5相关性间质性肺病。因此,一定要警惕容易发生这种病理改变的自身免疫性疾病。

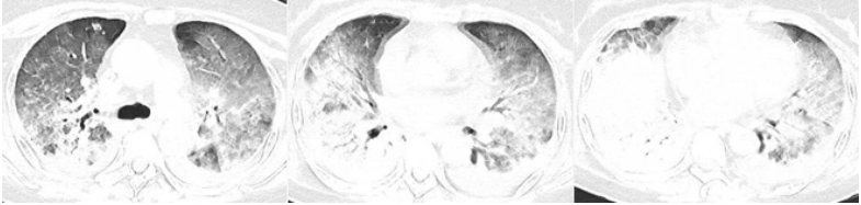
图6 ANCA相关性血管炎和MDA5相关性间质性肺病胸部CT表现病史和临床表现是临床医生特别是内科医生重要的诊断思维基础。重症ILD通常急性或亚急性起病,急性起病的ILD包括COP、AIP、AEP、HP;亚急性起病包括COP、药物相关性ILD、CTD-ILD、HP。急性、亚急性(可有发热)易误诊为肺炎。但也有一些重要线索可以帮助我们进行鉴别:季节性、聚集性发病多为感染;有免疫缺陷病史的患者多发生机会性感染;具有结缔组织病特征的患者要注意CTD-ILD;有肿瘤治疗史的患者注意考虑药物相关性ILD。当然,ILD也可以合并感染。病例:男性,28岁,高热,呼吸困难1周;1年前诊断肾病综合征,一直服用激素。T 39℃,安静状态,高流量氧疗(流速40 L/min,氧浓度70%),SaO2 93%。影像学表现为弥漫性磨玻璃影(图7)。首先考虑机会性感染—PCP。肿瘤治疗史是识别ILD的重要线索,许多肿瘤治疗新药可能会损伤肺部靶器官,例如免疫检查点抑制剂导致的间质性肺炎——免疫检查点抑制剂相关性肺炎(CIP),尽管其发生率不高,但由于此类治疗的基数较大,在临床上还是能经常见到CIP患者。所以需要了解患者免疫检查点抑制剂用药史以及影像学特征【新出现的肺部阴影(如磨玻璃影、斑片实变影、小叶间隔增厚、网格影、牵拉性支气管扩张及纤维条索影等)】,同时除外肺部感染、肿瘤进展、其他肺间质性疾病、肺血管炎、肺栓塞及肺水肿等。病例:患者, 女性, 32岁, 乳腺癌术后放化疗3年半, 靶向治疗4个月, 呼吸困难进行性加重1个月。影像学表现为磨玻璃影(图8), 氧合指数100 mmHg。诊断为药物相关性间质性肺炎。通常结缔组织病的相关体征,在呼吸系统无法识别,但一些肺外体征要引起重视,例如:眼周皮疹、披肩样皮疹、前胸V形皮疹、Gottron征、Gottron征、技工手。上述体征结合影像学表现就要考虑是否为ILD。二代测序(NGS)能够对常见和罕见的病原体进行检测,对新发病原体进行鉴定,也能鉴定常规方法难以检测的病原体,还能检测混合感染,进行菌株分型和耐药分析,在区分感染和定植方面有一定帮助。需要注意的是,对于支气管肺泡灌洗液(BALF)NGS结果,如果有强有力的证据认为不是感染,或者认为其检测出的是无意义的感染,结合患者肺部影像学为弥漫性间质改变,则要考虑非感染性疾病的诊断。病例:女性,75岁,反复咳喘3年,加重伴发热3天。曾诊断为特发性间质性肺炎,口服激素治疗1年。胸部CT可见磨玻璃影(图9)。BALF肺孢子菌核酸检测阳性,BALF-NGS回报肺孢子菌。后予激素和抗真菌治疗,患者最终好转出院。实验室检查应该作为ILD患者的常规筛查,CTD-ILD、IPAF筛查特异性抗体,结节病患者筛查ACE,系统性血管炎患者筛查ANCA。病例:女性,52岁,咳嗽15天,伴发热13天,抗Jo-1抗体阳性(+),CK、LDH增高;诊断为抗JO-1抗体综合征。患者胸部CT如图10所示。另外一例患者48岁, 全身起皮疹、关节疼痛伴发热2个月。抗黑色素瘤分化相关蛋白5(MDA5)抗体阳性; 诊断为肌病性皮肌炎-急性/亚急性间质性肺炎。患者胸部CT如图11所示。呼吸介入技术的发展为临床诊断和破解病因带来了极大的帮助,包括经支气管镜肺活检术(TBLB)、经支气管镜腔内超声(EBUS)、冷冻肺活检、电磁导航技术等。对于重症ILD患者,是否借助于这些技术以及选择哪种技术,需要综合患者的病情而定,充分考虑其必要性以及安全性。病例:女性,65岁;间断咳嗽半年余,呼吸困难伴心慌2天入院;呼吸窘迫,氧合指数70 mmHg。肺部CT可见弥漫性实变,团片状阴影以及多发结节,予气管插管+俯卧位通气(图12)。患者无发热,高度怀疑非感染性疾病。肺活检提示腺癌并予针对性治疗。所以,呼吸介入延伸了病因诊断,同时也拓展了治疗手段。重症ILD的治疗比较复杂,应该综合考虑,常采取的治疗方式包括生命支持、激素治疗、其他免疫抑制剂、抗感染治疗、生物制剂、丙种球蛋白、血浆置换、并发症治疗、抗纤维化治疗;如果怀疑药物相关,应立即停药。由于重症ILD的病种较多,不同个体之间的差异很大,因此治疗方面需要个体化,结合临床经验,酌情干预。首先要评估患者呼吸衰竭程度以及可能的病因,然后再选择呼吸支持方式(常规氧疗,高流量氧疗,无创机械通气,有创机械通气,ECMO)和时机。另外还要关注重症ILD患者的年龄、ILD类型、病因的可逆性(如激素治疗敏感性?)、适应证、禁忌证、经济状况等。因此需要进行动态评估和调整。以AE-IPF为例,这是IPF患者在短期内出现显著的急性呼吸功能恶化,主要特征为胸部HRCT在原来普通型间质性肺炎(UIP)背景上新出现双肺弥漫性磨玻璃影和/或实变影。慢性呼吸功能不全基础上加重(储备不足客观存在),因此其病因可逆性差、UIP为主(弥散障碍,正压通气效果差)。对于AE-IPF患者,氧疗是基础,通常需要高浓度吸氧来维持脉氧饱和度(SpO2)在90%以上;标准经鼻导管吸氧无法满足,可采用经鼻导管高流量氧疗、面罩供氧和/或无创呼吸机。对于AE-IPF患者是否使用机械通气仍然存在争议:目前认为有创机械通气并不能使AE-IPF患者获益(感染、脱机困难风险),无创通气对于出现部分呼吸衰竭的AE-IPF患者是可行的,机械通气的使用需要临床医师与患者本人或家属充分沟通后综合判定,对于满足肺移植条件的AE-IPF患者,单独机械通气或联合(ECMO)都是使AE-IPF患者顺利过渡到肺移植的合理方案。对于其他重症ILD,包括自身免疫相关性ILD、肿瘤治疗相关性ILD、COP、AIP、HP、AEP、药物相关性ILD,病因不同,预后也不同。呼吸支持治疗的选择和时机可以参考ARDS,但考虑疾病特点;有UIP特征参考AE-IPF,但肺移植要慎重;DAD、OP、NSIP(肺泡炎型)参考ARDS,同时要积极针对病因治疗,呼吸支持治疗反应差异大。对于重症ILD,基本都会采用激素治疗,但激素的剂量、疗程、是否冲击治疗,也要参考可能病因、ILD的起病形式、进展速度、氧合指数、HRCT病变范围、类型病变可逆性、伴随疾病等因素。激素冲击治疗需要重点关注快速进展及危重免疫相关性患者。在激素不敏感(依赖、抵抗),或频繁复发,或快速进展、重症情况下,多采用其他免疫抑制剂联合激素治疗。此类治疗完全根据患者个体情况而定,并且有赖于医生的用药经验。对于部分难治性或反复复发的免疫相关性ILD患者,可选择生物制剂进行治疗。丙种球蛋白考虑用于难治性、严重、快速进展性或免疫相关性ILD患者。治疗性血浆置换是一种血液纯化方法,可去除循环细胞因子、免疫复合物、免疫球蛋白和补体成分等。用于难治性、严重、快速进展性或免疫相关性患者。病例:男性,68岁,因“活动后气喘伴关节肌肉疼痛1月余”于2022年9月22日入院。9月23日胸片显示:弥漫性磨玻璃影,实变(图13)。感染相关: 体温正常, WBC 30.38×109/L, PCT 0.19 ng/ml, NGS提示金黄色葡萄球菌, EBV感染。无创呼吸机辅助通气(S/T模式, FiO280%)。血气分析: pH 7.461, PaCO2 32.5 mmHg, PaO2 78.8 mmHg, 氧合指数98 mmHg。心、肝、肾等脏器功能未见明显异常。风湿免疫相关指标: ANA反应阳性(+),ANA滴度1:320,ANA核型为核颗粒型,抗Ro-52阳性(+++),抗Jo-1抗体阳性(+++);肌炎/皮肌炎抗体谱:抗Ro-52阳性(+),抗Jo-1抗体阳性(+)。诊断:皮肌炎相关急性间质性肺炎;ARDS;Ⅰ型呼吸衰竭;重症肺部感染。治疗:①呼吸支持:首先予无创呼吸机辅助通气,后续气管插管接呼吸机辅助呼吸,俯卧位通气;②风湿免疫方面:大剂量激素+丙种球蛋白冲击、免疫抑制剂(他克莫司+托法替布)、血浆置换等;③感染方面:比阿培南+利奈唑胺+米卡芬净+更昔洛韦抗感染治疗,血象指标进行性下降;④其他:维持出入量、内环境平衡,营养支持等对症支持治疗。病例:女性,62岁;因“咳嗽、呼吸困难13天”于2024年4月6日入院。曾于当地医院就诊,抗感染及激素治疗未有好转。PaO2/FiO2 90 mmHg。入院胸部CT如图14所示。既往罹患糖尿病;体格检查:T 36.8℃,R 28次/分,BP 130/99 mmHg。双肺可闻及湿啰音,心率88 bpm。入院诊断:弥漫性肺疾病,呼吸衰竭。予经鼻高流量氧疗。病因是什么:感染?ILD?肿瘤?其他?患者WBC、PCT、BNP、自身免疫性抗体均阴性,BALF培养阴性,NGS结果无有意义的致病菌。根据患者临床特点+影像学特点+其他检查结果,怀疑肺泡癌。治疗措施包括呼吸支持、抗感染治疗。
在权衡利弊后选择冷冻肺活检进一步确诊。予奥希替尼80 mg qd,肺保护性通气+俯卧位。
重症ILD发病率高, 临床医生要有早期识别意识; 此类疾病的诊断需要综合患者的临床、影像学、特殊检查结果等进行判断。治疗方面, 需要根据评估结果快速启动呼吸支持, 氧疗和无创机械通气是基础, 是否应用有创机械通气和ECMO则需要综合患者病情严重程度、可能的病因及可逆性、年龄、ILD类型、经济状况等因素而定。重症ILD患者在呼吸支持同时还要积极寻找并针对病因治疗。
一级主任医师,教授,博士生导师,武汉大学中南医院呼吸与危重症医学科主任;教育部“长江学者奖励计划“特岗学者,武汉市医学会呼吸病学分会主任委员,中华医学会呼吸病学分会间质性肺病学组委员,中国医师协会呼吸医师分会委员、危重症学组委员,中国抗癌协会肿瘤呼吸病学专委会常委,湖北省医学会呼吸病学分会副主任委员,湖北省医学会内科学分副主任委员,湖北省医师协会呼吸医师分会副主任委员,国家卫生健康委医疗应急工作专家组成员,主持国家自然科学基金项目4项、湖北省重大创新群体项目1项。