登录方式

方式一:
PC端网页:www.rccrc.cn
输入账号密码登录,可将此网址收藏并保存密码方便下次登录

方式二:
手机端网页:www.rccrc.cn
输入账号密码登录,可将此网址添加至手机桌面并保存密码方便下次登录

方式三:
【重症肺言】微信公众号
输入账号密码登录

注:账号具有唯一性,即同一个账号不能在两个地方同时登录。

登录
方式

为重症救治赋能

为患者康复加速

当前位置:首页 重症肺炎 细菌肺炎

对甲氧苄啶-磺胺甲噁唑耐药的肺诺卡菌病一例

杨柳婷,施熠炜 山西医科大学第一医院呼吸与危重症医学科 发布于2023-12-22 浏览 2218 收藏

作者:杨柳婷,施熠炜

单位:山西医科大学第一医院呼吸与危重症医学科

一、临床资料

一般情况

患者,女性,40岁,职工,已婚。主因“间断咳嗽、咳痰半年,加重伴发热2月余”于2020年4月22日入院。

现病史

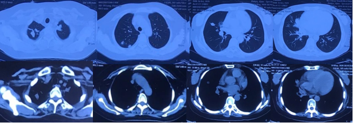
患者半年前因“成人Still病”开始口服激素(醋酸泼尼松片20 mg qd)及环孢素(50 mg bid)治疗,用药期间患者出现咳嗽、咳痰症状,黄白色黏痰,量不多,不易咳出,无胸闷、气短、胸痛、咯血等不适,就诊于北京某医院,完善胸部CT示“双肺多发肿块影及结节影,部分内伴空洞”,该院考虑真菌感染,予口服伏立康唑治疗1周。用药后患者咳嗽、咳痰症状一度缓解。自2020年2月开始,患者咳嗽、咳痰加重,间断出现发热,体温最高可达40℃,伴有畏寒,无寒战、呼吸困难等其他症状,调整激素为早晚各一次(醋酸泼尼松片10 mg/次),但患者体温控制较差,于3月15日(图1)及4月20日(图2)复查胸部CT检查,提示双肺多发肿块影及结节影,部分内伴空洞形成,病灶有增大、增多趋势。为求进一步诊治收入我院。

图片

图1  患者胸部CT(2020-03-15)
图片

图2  患者胸部CT(2020-04-20)

既往史
患者于2019年9月因发热、咽痛、关节痛,伴皮疹,诊断为成人Still病,予激素治疗。2个月后上述症状间断出现,伴肝功能明显异常、胆红素升高、血三系下降,考虑成人Still病、继发噬血综合征、肝功能衰竭,予口服激素(醋酸泼尼松片20 mg qd)及环孢素(50 mg bid)、保肝等治疗。
入院查体
体温36.1℃,脉搏105次/min,呼吸23次/min,血压130/88 mmHg;鼻导管吸氧2 L/min,经皮血氧饱和度90%左右;满月脸,口唇略发绀,颈部可见一疖结样皮疹;听诊双肺呼吸音粗,双肺未闻及干/湿啰音;心脏查体无异常,腹软,无压痛及反跳痛,肝脾肋下未触及;右小腿伸侧可见皮肤破溃结痂,大小约2 cm×4 cm;四肢纤细,双下肢无水肿。
辅助检查
胸部CT(2020-03-17):双肺多发肿块影及结节影,较大者大小约为3.7  cm×2.7 cm,部分内伴空洞。胸部CT(2020-04-20)示:双肺多发肿块影及结节影,较大者大小约为9.68 cm×5.4 cm,部分内伴空洞,与前片对比,病灶明显增大、增多;心包少量积液。

二、诊疗经过

化验指标
  • 血气分析(鼻导管吸氧2 L/min):pH 7.51,PaCO2 33 mmHg,PaO2 79.8 mmHg,Na+ 127 mmol/L。

  • 血细胞分析:WBC 10.5×109/L,NEU% 80%,LYM 0.69×109/L。

  • pro-BNP 740.45 pg/ml。
感染相关指标
  • ESR 125 mm/h,CRP>6 mg/L,PCT 0.699 ng/ml,IL-6 115.08 pg/ml。
自身免疫性疾病相关指标
  • 轻链KAPPA 1.14 g/L,轻链LAMBDA 0.38 g/L,IgA 0.76 g/L,IgG 5.01 g/L,IgM 0.19 g/L

  • IL-10 11.63 pg/ml。

  • 淋巴细胞亚群:淋巴细胞4.36%,T淋巴细胞91.19%,CD4+T淋巴细胞18.56%,CD8+T淋巴细胞 70.09%,B淋巴细胞0.25%,NK细胞6.75%,CD4+/CD8+ 0.26。淋巴细胞501个/µL,T淋巴细胞457个/µL,CD4+T淋巴细胞93个/µL,CD8+T淋巴细胞351个/µL,B淋巴细胞 1个/µL,NK细胞35个/µL。
支气管镜检查

镜下所见:气管隆突锐利,左主支气管开口处可见黏性分泌物附着于管壁,充分吸引后见黏膜充血水肿。右主支气管及其右肺中叶可见黏性分泌物附着于管壁,充分吸引后见黏膜充血水肿。余肺各叶段、亚段支气管管腔开口通畅,黏膜轻度充血水肿。于右肺中叶行支气管肺泡灌洗,注入0.9%氯化钠液40 ml,回收淡黄色略浑浊肺泡灌洗液约20 ml。灌洗液分送培养+药敏、找真菌、找结核菌、mNGS、找癌细胞等。

治疗措施

入住风湿免疫科后给予头孢哌酮他唑巴坦2 g q8h、左氧氟沙星0.4 g qd、伏立康唑0.2 g q12h抗感染治疗,患者临床表现无明显变化,遂于4月24日下午转入呼吸与危重症医学科进一步诊治。转入我科后综合评估病情,考虑真菌感染可能性小,特殊病原体感染可能性大,停用伏立康唑,给予口服甲氧苄啶-磺胺甲噁唑(TMP-SMX)2片 q8h。

转入我科第2天晨,患者体温高达39.4℃,脉搏145次/min,呼吸36次/min,血压73/34 mmHg,鼻导管吸氧2 L/min,经皮血氧饱和度90%左右,神志清,精神差,追问患者,其诉前1日因转科忘记服用激素。

复查血细胞分析:NEU% 89.2%,LYM 0.5×109/L,RBC 2.97×1012/L,Hb 90 g/L,HCT 26.9%;IL-6 5000 pg/ml。肝功能:白蛋白26.6 g/L。心肌酶乳酸脱氢酶537 U/L。超敏CRP 198.47 mg/L。当时立即予静点甲泼尼龙琥珀酸钠40 mg、补液、去甲肾上腺素维持血压,1天后减停血管活性药物。

治疗效果

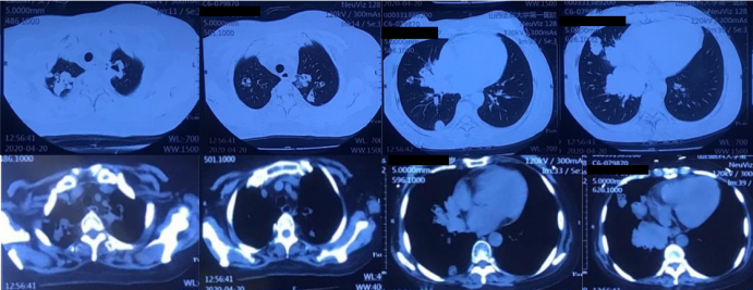
转入我科1周后,复查胸部CT示肺部病灶较前进一步进展(图3)。患者右小腿皮肤破溃范围扩大至4 cm×7 cm,周围红肿约6 cm×10 cm,肉芽组织不新鲜,有少许分泌物(图4)。此时痰、肺泡灌洗液(BALF)培养及mNGS结果回报均为鼻疽诺卡菌序列数44783)、金黄色葡萄球菌(序列数187,对TMP-SMX耐药,对美罗培南、利奈唑胺敏感。根据药敏结果换用美罗培南联合利奈唑胺继续抗感染治疗。右小腿皮肤破溃处请中医科会诊后给予中药化腐清创术、去腐生肌膏外用。

图片

图3  患者转入我科1周后复查胸部CT

图片

图4  患者右小腿皮肤破溃
病情变化
用药过程中发现患者血小板明显下降、中度贫血,考虑利奈唑胺引起,给予输血(5月10日及16日均输注浓红2 U)、停用利奈唑胺,治疗方案调整为阿米卡星联合美罗培南静点。患者血细胞分析见表1。

1  血细胞分析

图片

调整后治疗效果

于5月18日复查PCT 0.153 ng/ml;pro-BNP 276.93 pg/ml。复查胸部CT:双肺多发斑片影、结节影及团块影,部分伴空洞,与前片对比部分病灶有所减小(图5。患者咳嗽、咳痰症状较前明显缓解,体温正常,鼻导管吸氧1 L/min,经皮血氧饱和度95%以上。右小腿皮肤破溃范围明显减小(图6),大部分愈合。患者于5月19日出院,院外嘱其口服利奈唑胺片、环丙沙星片。出院1月后随访,患者无明显咳嗽、咳痰症状,复查胸部CT示两肺病灶明显吸收(图7)

图片

5  复查胸部CT2020-05-18

图片

6  患者右小腿皮肤破溃范围明显减小

图片

7  出院后复查胸部CT

三、讨论

诺卡氏菌是放线菌目需氧革兰氏阳性杆状菌,弱耐酸细菌,主要分布于土壤和动物组织中[1]。虽然诺卡氏菌感染偶尔发生在健康人中,但它更常发生在因恶性肿瘤、糖尿病和获得性免疫缺陷综合征所致的细胞免疫受损患者中,类固醇和免疫抑制剂治疗是该病的已知危险因素[2]。文献报道肺诺卡菌病患者的1年生存率为55.4%,使用免疫抑制剂患者生存率更低(41.7% vs 59.7%)[3]。由于免疫缺陷患者的高发病率,以及细菌鉴定技术的改进,该病发病率不断上升。大多数患者年龄在6080岁之间[4],男性患者的发病率是女性的3倍[5]。肺通常是诺卡菌最常见的感染部位,占40%~70%[6],一般表现为急性或亚急性化脓性肺炎[1],患者会出现发热、寒战、呼吸困难、咳嗽、咯血等症状。皮肤受累亦常见[7],人类感染卡菌主要是通过皮肤或吸入引起。诺卡菌还可能通过血液转移至远处的器官,尤其是脑,然后是肾、关节、骨骼和眼睛[5]。该患者在确诊后完善头颅CT检查,未见明显异常。
革兰染色是快速诊断诺卡菌感染的方法之一。由于诺卡菌相对惰性的代谢和缓慢的生长速度[8],培养鉴定所需时间相对较长,痰培养成功率为10%~70%[9]。诺卡菌种类较多,因此很难对其进行完全准确的鉴定[10]。近年来,分子方法,如核酸杂交技术、限制性片段长度多态性和基因测序(mNGS),已成为许多研究和临床实验室鉴定和/或分类诺卡菌的可行方法[11]。胸部CT表现为典型的多发性肿块影、浸润及空洞形成[12]。主要鉴别诊断包括侵袭性真菌病、韦格纳肉芽肿、恶性肿瘤、ANCA相关性血管炎和肺结核的肺泡出血[13]。本例患者初期被误诊为真菌感染,贻误了最佳治疗时机。
诺卡菌对不同菌种的药敏性不同,TMP-SMX是首选药物。TMP–SMZ耐药性也被确定为肺诺卡菌病总体死亡率的独立和重要危险因素[14]。阿米卡星、亚胺培南、第三代头孢菌素、米诺环素、奈替米星和阿莫西林-克拉维酸[2]、利奈唑胺[15]是治疗诺卡菌病的二线药物。对抗生素的敏感性极大地影响诺卡菌病的预后[6]。肺诺卡菌病的最佳抗生素、剂量和持续时间尚不清楚,因为尚未进行前瞻性研究。由于复发率高,治疗疗程较长,一般建议6~12个月[16]。因其诱发混合感染的概率很高[17],推荐几种药物联合治疗。治疗必须从静脉注射开始,然后根据临床表现及影像学表现,可以用口服疗法代替[1]。持续性免疫缺陷患者应接受长期治疗和低剂量预防[18]
病因诊断:①本例为长期使用激素及免疫抑制剂的患者;②有高热,咳嗽、咳痰呼吸道症状、呼吸衰竭,炎性指标高;③胸部CT表现典型;④BALF mNGS及培养均确诊病原体为诺卡菌。
治疗:首先予经验性治疗,再积极完善BALF病原体送检,结果回报对TMP–SMZ耐药,根据药敏结果调整为美罗培南联合利奈唑胺后临床表现好转,后因利奈唑胺副作用换为阿米卡星联合美罗培南,患者临床症状、影像学均明显改善。
肺诺卡菌病预后不佳,免疫抑制患者预后尤其差。当免疫患者出现呼吸道感染,且对经验性广谱抗菌药物无反应时,应考虑肺诺卡菌病的可能。通过积极采集高质量的标本并进行革兰染色、mNGS,进一步精准明确病原体。早期诊断和适当治疗至关重要。早期接受治疗的患者一般预后较好。

参考文献

[1] Tachezy M, Simon P, Ilchmann C, et al. Abscess of adrenal gland caused by disseminated subacute Nocardia farcinica pneumonia. A case report and mini-review of the literature[J]. BMC Infect Dis, 2009, 9:194.

[1] Tachezy M, Simon P, Ilchmann C, et al. Abscess of adrenal gland caused by disseminated subacute Nocardia farcinica pneumonia. A case report and mini-review of the literature[J]. BMC Infect Dis, 2009, 9:194.

[2] Martínez R, Reyes S, Menéndez R. Pulmonary nocardiosis: risk factors, clinical features, diagnosis and prognosis[J]. Curr Opin Pulm Med, 2008, 14(3):219-227.

[3] Takiguchi Y, Ishizaki S, Kobayashi T, et al. Pulmonary Nocardiosis: A Clinical Analysis of 30 Cases[J]. Intern Med, 2017, 56(12):1485-1490.

[4] Kageyama A, Yazawa K, Ishikawa J, et al. Nocardial infections in Japan from 1992 to 2001, including the first report of infection by Nocardia transvalensis[J]. Eur J Epidemiol, 2004, 19(4):383-389.

[5] Torres O H, Domingo P, Pericas R, et al. Infection caused by Nocardia farcinica: case report and review[J]. Eur J Clin Microbiol Infect Dis, 2000, 19(3):205-212.

[6] Mazzaferri F, Cordioli M, Segato E, et al. Nocardia infection over 5 years (2011-2015) in an Italian tertiary care hospital[J]. New Microbiol, 2018, 41(2):136-140.

[7] Minero M V, Marín M, Cercenado E, et al. Nocardiosis at the turn of the century[J]. Medicine (Baltimore), 2009, 88(4): 250-261.

[8] Kiska D L, Hicks K, Pettit D J. Identification of medically relevant Nocardia species with an abbreviated battery of tests[J]. J Clin Microbiol, 2002, 40(4):1346-1351.

[9] Li S, Song X, Zhao Y, et al. Clinical Analysis of Pulmonary Nocardiosis in Patients With Autoimmune Disease[J]. Medicine (Baltimore), 2015, 94(39): e1561.

[10] Kato K, Noguchi S, Naito K, et al. Pulmonary Nocardiosis Caused by Nocardia exalbida in a Patient with Lung Cancer and Radiation Pneumonitis: A Case Report and Literature Review[J]. Intern Med, 2019, 58(11):1605-1611.

[11] Xiao M, Kong F, Sorrell T C, et al. Identification of pathogenic Nocardia species by reverse line blot hybridization targeting the 16S rRNA and 16S-23S rRNA gene spacer regions[J]. J Clin Microbiol, 2010, 48(2):503-511.

[12] Mehrian P, Esfandiari E, Karimi M A, et al. Computed tomography features of pulmonary nocardiosis in immunocompromised and immunocompetent patients[J]. Pol J Radiol, 2015, 80:13-17.

[13] Wang T, Jia Y, Chu B, et al. Nocardiosis in Kidney Disease Patients under Immunosuppressive Therapy: Case Report and Literature Review[J]. Int J Med Sci, 2019, 16(6):838-844.

[14] Kurahara Y, Tachibana K, Tsuyuguchi K, et al. Pulmonary nocardiosis: a clinical analysis of 59 cases[J]. Respir Investig, 2014, 52(3):160-166.

[15] Moylett E H, Pacheco S E, Brown-Elliott B A, et al. Clinical experience with linezolid for the treatment of nocardia infection[J]. Clin Infect Dis, 2003, 36(3):313-318.

[16] Clark N M, Reid G E. Nocardia infections in solid organ transplantation[J]. Am J Transplant, 2013, 13 Suppl 4:83-92.

[17] Roberts S A, Franklin J C, Mijch A, et al. Nocardia infection in heart-lung transplant recipients at Alfred Hospital, Melbourne, Australia, 1989-1998[J]. Clin Infect Dis, 2000, 31(4):968-972.

[18] Smego R A, Jr., Moeller M B, Gallis H A. Trimethoprim-sulfamethoxazole therapy for Nocardia infections[J]. Arch Intern Med, 1983, 143(4): 711-718.

作者简介



图片

施熠炜
山西医科大学第一医院呼吸与危重症医学科,医学博士,临床医学博士后,博士生导师。中华医学会呼吸病学分会全国青年委员,中华医学会呼吸病学分会肺栓塞与肺血管疾病学组委员,中华预防医学会呼吸病预防与控制专业委员会委员,中国医师协会呼吸医师分会危重症工作委员会委员,山西省医师协会呼吸医师分会候任会长,山西省临床流行病学和循证医学专业委员会副主任委员,斯坦福大学医学院访问学者。

图片

杨柳婷

山西医科大学第一医院呼吸与危重症医学科副主任医师。主要研究方向:呼吸危重症、睡眠呼吸疾病。山西省医师协会呼吸医师分会呼吸与危重症医学专业委员会委员,山西省医师协会体外生命支持专业委员会委员,山西省医师协会呼吸医师分会睡眠学组委员,山西省结核病防治综合质量控制专家指导委员会秘书。主持院青年基金1项,主编及参编专著3部。
全部评论 0
Copyright©2020-2026 北京医麦斯科技有限公司 版权所有 京ICP备2020034400号-1 京公网安备11010502043983号