【摘要】 患者主要以“鼻塞、流涕、发热”为临床表现,起病急,病情凶险,氧合、循环情况差,入院后完善肺泡灌洗液NGS及培养,明确诊断为“重症社区获得性耐药鲍曼不动杆菌肺炎”。虽予机械通气、VA-ECMO辅助、血液净化等治疗,但患者氧合、循环情况改善不明显,最终病情加重,抢救无效死亡。鲍曼不动杆菌(Acinetobacter baumannii,AB)是一种条件致病菌,具有强大的获得耐药性和克隆传播能力,多重耐药、广泛耐药、全耐药鲍曼不动杆菌呈世界性流行[1],已成为我国院内感染最重要的病原菌之一。其中,多重耐药鲍曼不动杆菌在健康人群的社区获得性肺炎中比较少见,但往往侵袭性较强。本文报道多重耐药鲍曼不动杆菌致重症社区获得性肺炎1例。患者病情进展迅速,伴随多器官功能衰竭,虽经明确诊断和积极治疗,但预后不佳。

临床资料
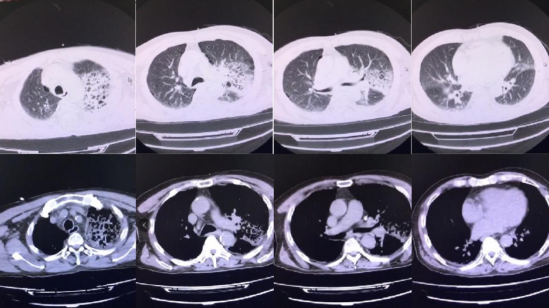
患者男性,64岁,个体户,因“鼻塞、流涕1周,发热2+天”于2021年9月3日入院。患者1周前受凉后出现鼻塞、流涕,无发热、畏寒,无咳嗽、咳痰,自服“阿莫西林胶囊、头孢克肟胶囊、阿奇霉素分散片”后症状未见明显缓解。2天前患者开始出现发热,最高体温39.9℃,伴咳嗽、咳痰,痰为白黏痰,而后逐渐出现双上肢乏力,伴肘关节以下肌肉酸痛,双手指端麻木。于2021年9月2日就诊于当地医院,入院时监测血压波动在76~93/47~52 mmHg之间,完善胸部CT提示:双肺间质性改变并渗出(图1)。血常规提示:白细胞1.50×109/L、中性粒细胞绝对数0.93×109/L,考虑脓毒性休克、重症肺炎并ARDS、MODS,予气管插管+有创机械通气、抗感染等治疗后患者氧合及循环情况未能改善。于9月3日联系我科行VA-ECMO高级生命支持,后为进一步治疗转入我科。患者有痛风病史6年,间断自服药物治疗(具体不详)。

图1 2021年9月2日患者胸部CT可见双肺间质性改变并渗出,左肺为著有高血压病史2年,血压最高180/100 mmHg,平素予硝苯地平片1片qd控制血压,已自行停药2个月。既往无粉尘接触史;无喂养家禽生活史;长期吸烟、饮酒史。T 36.3℃,P 117次/min,R 15次/min(PC模式:PC 12 cmH2O,PEEP 6 cmH2O,R 15次/min,FiO2 40%),BP 96/60 mmHg[去甲肾上腺素3 μg/(kg·min)维持],SpO2 95%。RASS评分-4分。双肺呼吸音减低,可闻及散在湿啰音。心率117次/min,律齐。各瓣膜未闻及明显杂音。双下肢不肿。外院(9月2日)血常规:白细胞1.50×109/L,血小板49×109/L,中性粒细胞绝对数0.93×109/L,淋巴细胞绝对数0.44×109/L;血生化:CK 548 U/L,超敏肌钙蛋白8.48 ng/ml,肌红蛋白1211.79 ng/ml,CK-MB 14.33 U/L,血肌酐330.24 μmol/L,PCT 90.97 ng/ml。BNP 1956 pg/ml。凝血功能:PT 20.6 s,APTT 21.8 s,FBG 6.3 μg/ml,D-二聚体2.22 μg/ml。颅脑+胸部+腹部CT:①双侧基底区腔隙性脑梗灶、缺血灶;②双肺间质性炎症伴多发肺大泡;左肺及右肺下叶多发炎性实变(图1)。入院后查血气分析pH 7.40,PaO2 59.3 mmHg,PaCO2 23.2 mmHg,HCO3- 14.4 mmol/L。心脏超声:①轻度肺动脉高压;②三尖瓣少-中量反流。①重症肺炎并ARDS VA-ECMO辅助;②感染中毒性心肌炎?心脏扩大,心功能Ⅳ级(Killip分级);③多器官功能障碍综合征(心、肺、肾、凝血);④休克(分布性、心源性);⑤原发性高血压3级,很高危组;⑥低蛋白血症;⑦粒细胞缺乏;⑧血小板减少。

诊疗经过
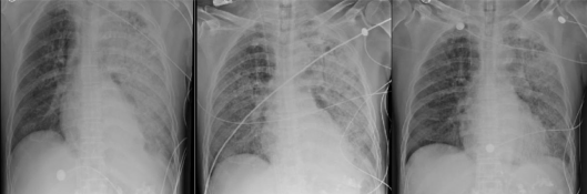
入院后予美罗培南+万古霉素+莫西沙星+更昔洛韦+卡泊芬净经验性抗感染、血浆置换、改善微循环、营养支持、CRRT等治疗。2021年9月3日行EB病毒DNA、巨细胞病毒DNA、G试验、GM试验等检查,同时行支气管镜检查:气道黏膜轻度充血、水肿,隆突锐利,双肺各叶段黏膜充血水肿明显,未见明显出血及糜烂;各叶段开口通畅,未见新生物;各叶段可见中等量稀薄分泌物,留取支气管肺泡灌洗液培养、抗酸染色及NGS等。9月6日NGS结果回报鲍曼不动杆菌(序列数417509)、铜绿假单胞菌(序列数117424),同时肺泡灌洗液培养出多重耐药鲍曼不动杆菌。因考虑患者起病急、免疫力低下,可能存在鲍曼不动杆菌及铜绿假单胞菌混合感染,改用替加环素联合多黏菌素B抗细菌治疗。9月8-10日复查胸片提示双肺渗出较前稍有吸收(图2)、炎症指标下降(图3),但仍需血管活性药物维持,循环情况改善不明显。9月11日家属要求放弃治疗自动出院。

图2 9月4日、8日、10日复查胸片可见左肺渗出较前有所吸收

图3 9月4-10日复查血常规及部分炎症指标呈下降趋势

讨论
鲍曼不动杆菌(Acinetobacter baumannii,AB)为非发酵革兰氏阴性杆菌,广泛存在于自然界,属于条件致病菌。该菌可引起医院获得性肺炎、血流感染、泌尿系感染、继发性脑膜炎、手术部位感染等,是呼吸机相关性肺炎重要的致病菌。2012年《中国鲍曼不动杆菌感染诊治与防控专家共识》提出,已将鲍曼不动杆菌列为我国目前最重要的“超级细菌”[2]。根据2021年中国细菌耐药监测网数据显示,革兰氏阴性菌中居前5位的细菌分别是大肠埃希菌、肺炎克雷伯菌、铜绿假单胞菌、鲍曼不动杆菌和阴沟肠杆菌,其中鲍曼不动杆菌占6.8%~7.7%。数据表明,鲍曼不动杆菌各抗菌药物的耐药率大多高于50%,对亚胺培南和美罗培南的耐药率分别为54.5%~59.2%、56.3%~59.8%,对头孢哌酮/舒巴坦和氨苄西林/舒巴坦的耐药率分别为29.7%~58.6%、51.6%~55.8%,对米诺环素的耐药率为18.7%~22.2%,有少部分菌株(2.0%~3.8%)对多黏菌素B耐药。由于鲍曼不动杆菌抗菌药物耐药率的增加常导致患者住院时间延长、预后差及病死率增加。鲍曼不动杆菌感染来源可分为医院获得性感染和社区获得性感染。社区获得性鲍曼不动杆菌感染较院内感染少见,但其导致的死亡率高达60%[3, 4]。研究发现,医院获得性感染和社区获得性感染在危险因素、感染菌株耐药基因、临床表现等方面都存在很大区别。首先,医院获得性感染危险因素包括:长时间住院、入住监护室、接受机械通气、侵入性操作、抗菌药物暴露等[5],而社区获得性感染危险因素包括:居住地为热带、大量嗜酒、吸烟、合并糖尿病或慢性肺部疾病等。本例患者为社区获得性感染,虽无慢性呼吸疾病病史,但有长期吸烟、饮酒史,结合相关报道,嗜酒可以损害中性粒细胞的吞噬功能,从而影响对鲍曼不动杆菌的清除[6],也对宿主免疫状况产生影响[7],为鲍曼不动杆菌感染创造了条件。其次,研究发现,与来源于院内的菌株相比,来源于社区的鲍曼不动杆菌出现了一些新的基因编码区域,而这些基因编码区域和鲍曼不动杆菌对多种抗生素耐药联系密切[8,9]。近年来,多重耐药鲍曼不动杆菌(Multidrug-resistant Acinetobacter baumannii,MDRAB)在呼吸道感染菌株中检出率明显升高[10, 11]。本例患者在发病前期已有明显的呼吸道症状,且口服多种抗生素治疗,这与后期在其肺泡灌洗液中检测出多重耐药鲍曼不动杆菌有着密切的关系。同时,本例患者肺泡灌洗液中检出鲍曼不动杆菌,根据基因测序结果,该菌株含有Bap、BfmRS等基因,结合相关文献报道,含有这些毒力基因的鲍曼不动杆菌对碳青霉烯类抗生素的耐药性很高[10]。在临床表现方面,相比医院获得性感染,社区获得性鲍曼不动杆菌感染往往进展迅猛[12]。社区获得性鲍曼不动杆菌感染常突发脓毒血症,主要表现为重症肺炎,不论有无血液感染,患者常表现为快速进展的临床症状,如骤然发生的高热、呼吸窘迫、感染性休克、多器官功能衰竭等,其中88%的患者按照诊断标准可诊断为重症肺炎。研究发现,73%的患者胸片表现为肺叶实变,12%表现为整个肺部实变,17%的患者合并有胸腔积液[13]。由于病情重,进展快,约80%的患者需要入住ICU进行呼吸支持以及维持稳定的血流动力学。本例患者发病后随即出现脓毒血症、休克、多器官功能衰竭等,虽予气管插管、VA-ECMO辅助等积极的治疗,但病情凶险,发展迅速,氧合及循环情况难以维持,最终导致患者不良的预后,甚至死亡。多重耐药鲍曼不动杆菌肺炎接受早期合理、充分的经验性治疗对预后至关重要,然而,严重的抗菌药物耐药性以及显著的获得性耐药性倾向,使选择恰当的经验治疗方案极其困难。国外指南[14]推荐对鲍曼不动杆菌爆发流行期间、小范围地方流行或既往存在鲍曼不动杆菌定植的患者发生的严重感染应给予经验性覆盖治疗。在碳青霉烯类药物敏感率高的地区,碳青霉烯类药物(除厄他培南外)仍是经验性治疗的首选药物[15]。在碳青霉烯类药物耐药率高的地区,推荐多黏菌素作为经验治疗的一部分。结合本例患者肺泡灌洗液培养及NGS结果,对碳青霉烯类药物耐药,而对多黏菌素、替加环素敏感,随即调整抗生素方案,采取联合治疗。从病例中复查的影像学资料可以看出,经过调整治疗后该患者左肺渗出较前稍有吸收,炎症指标下降,感染有所控制,说明虽然鲍曼不动杆菌感染耐药率高,但在经验性治疗基础上,依据病原菌及药敏结果,选择个体化精准化治疗方案是改善患者预后的关键。综上所述,多重耐药鲍曼不动杆菌肺炎的发生不仅仅出现于医院获得性感染中,社区获得性感染所致的危重症也是临床医师需要警惕的。同时,及早进行合理的病原菌及细菌耐药性监测可以有效改善患者预后,提高生存率。[1] Peleg A Y, Seifert H, Paterson D L. Acinetobacter baumannii: emergence of a successful pathogen[J]. Clin Microbiol Rev, 2008, 21:538-582.
[2] 陈柏义, 何礼贤, 胡必杰, 等. 中国鲍曼不动杆菌感染诊治与防控专家共识[J]. 中华医学杂志, 2012, 92(2):76-85.
[3] Falagas M E, Karveli E A, Ketesidis I, et al. Community-acquired Acinetobacter infections[J]. Eur J Clin Microbiol Infect Dis, 2007, 26(12):857-868.
[4] Leung W S, Chu C M, Tsang K Y, et al. Fulminmlt community-acquired Acinetobacter baumannii pneumonia as a distinct clinical syndrome[J]. Chest, 2006, 129(1):102-109.
[5] Munoz-Price L S, Robert A W. Acinetobacter Infection[J]. N Engl J Med, 2008, 358:1271-1281.
[6] Gandhi J A, Ekhar V V, Asplund M B, et al. Alcohol enhances Acinetobacter banmannii-associated pneumonia and systemic dissemination by impairing neutrophil antimicrobial activity in a murine model of infection[J]. PLoS One, 2014, 9(4):e95707.
[7] Asplund M B, Coelho C, Cordero R J, et al. Alcohol impairs J774.16 macmphage-like cell antimicrobial functions in Acinetobacter baumarmii infection[J]. Virulence, 2013, 4(6):467-472.
[8] Bonnin R A, Poirel L, Nordmann P. AbaR-type transposon structures in Acinetobacter baumannii[J]. J Antimicrob Chemother, 2012, 67(1):234-236.
[9] Post V, White P A, Hall R M. Evolution of AbaR-type genomic resistance islands in multiply antibiotic-resistant Acinetobacter baumannii[J]. J Antimicrob Chemother, 2010, 65(6):1162-1170.
[10] 王鑫玲, 叶英. 耐碳青霉烯类鲍曼不动杆菌耐药性与毒力基因的相关性分析[J]. 中国抗生素杂志, 2021, 46(7):699-705.
[11] 谭善娟, 毕俏杰, 李玲, 等. 成人社区及医院获得性肺炎病原菌及耐药性差异[J]. 中国感染控制杂志, 2020, 19(9):835-842.
[12] Kang S J, Kang C I, Park S Y, et al. Epidemiology and clinical features of community-onset Acinetobacter baumannii infections[J]. Infect Control Hosp Epidemiol, 2012, 33(10):1053-1055.
[13] Davis J S, McMillan M, Swaminathan A, et al. A 16 year prospective study of community-onset bacteremic Acinetobacter pneumonia: low mortality with appropriate initial empirical antibiotic protocols[J]. Chest, 2014, 146(4):1038-1045.
[14] Garnacho-Montero J, Dimopoulos G, Poulakou G, et al. Task force on management and prevention of Acinetobacter baumannii infectinos in the ICU[J]. Intensive Care Med, 2015, 41(12):2057-2075.
[15] Vazquez Guillamet C, Kollef M H. Acinetobacter pneumonia:improving outcomes with early identification and appropriate therapy[J]. Clin Infect Dis, 2018, 67(9):1455-1462.

刘娅钦
医学硕士,贵州省人民医院呼吸与危重症医学科主治医师,现任中国睡眠研究会教育工作委员会委员、贵州省生物医学工程学会高级生命支持分会委员。擅长睡眠呼吸疾病、呼吸重症相关疾病诊断和治疗,掌握多导睡眠监测、机械通气技术、ECMO等;参与贵州省科技合作计划资助项目、贵州省人民医院青年基金资助项目;发表学术论文5篇,其中SCI 2篇。

余红贵州省人民医院呼吸与危重症医学科主任医师,贵州省呼吸疾病研究所临床研究室主任;美国密西根大学访问学者,中国医师协会呼吸医师分会危重症医学工作委员会委员,中国老年医学学会呼吸病学分会呼吸危重症学术工作委员会委员,贵州省医学会流行病学分会副主任委员,贵州省生物医学工程学会高级生命支持分会副主任委员,贵州省医学会呼吸病学分会委员,贵州省职业病鉴定专家,贵州省结核病防治专家组专家。荣获省级科技技术奖1项,厅级科技技术奖4项,主编、参编、参译专著多部。
本文仅用于学术内容的探讨和交流,不用于任何商业和推广,亦不作为最终的临床决策。临床实践需根据患者的具体情况选择适宜的处理措施。