登录方式

方式一:
PC端网页:www.rccrc.cn
输入账号密码登录,可将此网址收藏并保存密码方便下次登录

方式二:
手机端网页:www.rccrc.cn
输入账号密码登录,可将此网址添加至手机桌面并保存密码方便下次登录

方式三:
【重症肺言】微信公众号
输入账号密码登录

注:账号具有唯一性,即同一个账号不能在两个地方同时登录。

登录
方式

为重症救治赋能

为患者康复加速

当前位置:首页 脏器支持 气道管理

嗜麦芽窄食单胞菌血流感染:源头在哪里?

张洁 广州医科大学附属第一医院 广州呼吸健康研究院 重症医学科 发布于2026-01-05 浏览 2960 收藏

作者:张洁

单位:广州医科大学附属第一医院 广州呼吸健康研究院 重症医学科


一、病史简介


1. 一般情况

患者男性,69岁,退休工人,身高168 cm,体重53 kg,BMI 17.53 kg/m2PBW 64.2 kg。入院时间:2023年10月19日。入院科室:胸外科。

2. 主诉及现病史

主诉:体检发现右上肺结节2月余。

现病史:患者2月余前在当地医院体检行胸部CT发现右上肺结节,无咳嗽、咳痰、气促、咯血,无发热、吞咽困难,今为行手术评估入院。起病以来,患者精神食纳可,大小便及睡眠正常,体重无明显变化。

3. 既往史及其他病史

2个月前患者于当地医院行冠状动脉造影提示:左回旋支近段至中段弥漫病变,近段次全闭塞,中段钙化明显,狭窄95%;右冠状动脉粗大,近段局限性狭窄99%,中段弥漫病变多发节段性狭窄80%,远段局限性狭窄85%;余左冠状动脉主干、左前降支血管节段未见明显狭窄,诊断为“冠状动脉粥样硬化性心脏病”,行右冠状动脉支经皮冠状动脉介入术(PCI)及左回旋支球囊扩张术。术后予铝镁匹林+替格瑞洛抗血小板及瑞舒伐他汀、海博麦布降脂。

无药物食物过敏史;无吸烟饮酒史;家族史无特殊

4. 入院查体

体温36.9℃,脉搏87次/分,呼吸20次/分,血压107/55 mmHg;全身浅表淋巴结未触及;双肺叩诊清音,双肺听诊呼吸音清,未闻及干湿性啰音;心率87次/分,心律齐,各瓣膜听诊区未闻及病理性杂音;腹软,全腹无压痛,肝脾未触及,肠鸣音正常;四肢无水肿。

5. 入院诊断

①右上肺结节;②冠状动脉粥样硬化性心脏病,PCI术后,心功能Ⅰ级。

6. 手术及术后早期病情变化

患者入院后完善术前检查,经综合评估存在手术指征,无手术禁忌证,于10月20日行胸腔镜下右上肺叶切除术+肺门纵隔淋巴结清扫术+肋间神经阻滞术,术程顺利,术中冰冻病理提示右上肺腺癌。

10月21日患者出现声音嘶哑、进食呛咳、咳痰困难,发热(体温38℃)。未予特殊处理,症状逐渐加重。10月24日予行经纤支镜吸痰,吸出中量黄白痰,患者咳嗽反射弱,咳痰能力差;当晚进食后出现气促,面罩吸氧下SpO2波动于88%~95%,即转入ICU。


二、ICU阶段治疗与病情演变


1. 转入ICU后即刻处理及体格检查

床旁血气分析提示pH 7.28,PaO2 101 mmHg,PaCO2 63 mmHg,患者精神萎靡,咳痰困难,行纤支镜引导下经鼻气管插管,插管后纤支镜检查气道内未见明显食物残渣。

体格检查:体温38.2℃,脉搏108次/分,呼吸28次/分,血压135/60 mmHg[去甲肾上腺素0.1 μg/(kg·min)维持],镇静镇痛状态(RASS评分-2分),经鼻气管插管接呼吸机辅助通气(VC模式),双肺呼吸音粗,可闻及散在干啰音及双下肺湿啰音。

2. 转入诊断

重症肺炎,Ⅱ型呼吸衰竭;感染性休克;吸入性肺炎?右侧喉返神经损伤?右上肺腺癌(右上肺叶切除术后);冠状动脉粥样硬化性心脏病,PCI术后,心功能Ⅰ级。

3. 初始治疗

给予经鼻气管插管、肺保护通气、气道引流;亚胺培南西司他丁经验性抗感染治疗;液体复苏、血管活性药物维持血流动力学;维护重要脏器功能。

4. 病情变化与方案调整

ICU第1周:感染指标逐渐下降,气道分泌物减少,血管活性药物、镇静镇痛及呼吸机参数逐步下调,其他脏器功能稳定,但咳嗽反射仍差。痰培养多次回报白假丝酵母菌,后续出现白假丝酵母菌合并嗜麦芽窄食单胞菌,加用氟康唑抗感染1

图片

1  转入ICU后第1周患者体温、病原学结果及抗感染方案

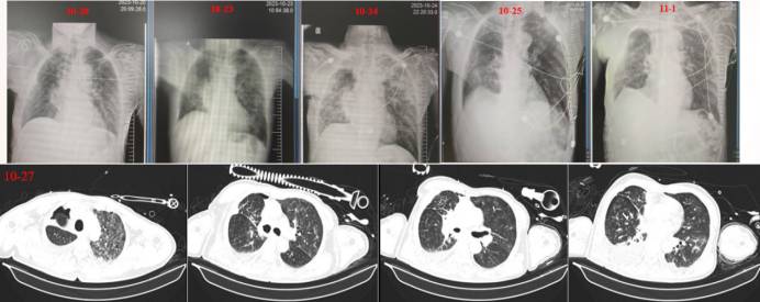
胸部影像学提示肺炎有所控制,10月27日胸部CT提示右下肺实变(图2)

图片

2  胸部影像学变化

111凌晨患者出现寒战、高热,体温39℃,伴腹痛、呕吐、胃潴留,随后出现感染性休克,考虑不排除肠源性感染予液体复苏、停用亚胺培南西司他丁,改为美罗培南抗感染,加用氟康唑经验性覆盖念珠菌;并行胃镜检查上消化道未见异常,予留置鼻空肠管。

112患者再次寒战、高热,体温40℃,PCT升至1.58 ng/ml。1030留取的痰培养回报为嗜麦芽窄食单胞菌,将美罗培南改为头孢哌酮舒巴坦。113热峰略有回落,但接报111寒战时留取的外周血及中心静脉导管血培养均提示嗜麦芽窄食单胞菌(记录为图3中的“嗜麦芽1”),予拔除原深静脉导管(1024置入),并联合左氧氟沙星(113-7)治疗嗜麦芽窄食单胞菌血流感染。患者仍每天发热,热峰波动于38.5~39℃,112114115复查的血培养均于48小时内报外周血及中心静脉导管血培养为嗜麦芽窄食单胞菌(分别记录为图3中的“嗜麦芽2、嗜麦芽3、嗜麦芽4”),且外周血报阳时间较中心静脉导管血标本更早。113留取的深静脉导管血培养回报为挪威念珠菌,将氟康唑调整为卡泊芬净抗真菌治疗,并再次更换深静脉导管。考虑患者嗜麦芽窄食单胞菌血流感染控制不理想,116加用复方磺胺甲

图片

3  转入ICU第2周患者体温、病原学结果及抗感染方案

117复查CT双肺炎症明显吸收,腹部未见病理性表现(图4)。多次复查心脏彩超未见瓣膜赘生物。后患者热峰略下降。使用复方磺胺甲后,患者出现白细胞下降趋势, 1111PCT可回落至0.93 ng/ml1112体温再次升高至≥38.5℃, 分别于11121115复查外周血及中心静脉导管血培养均提示嗜麦芽窄食单胞菌(分别记录为图5中的“嗜麦芽5、嗜麦芽6、嗜麦芽7), 患者的肺炎及呼吸衰竭逐步控制, 胃肠功能稳定, 可耐受肠内营养。1115拔除气管插管, 拔管后患者出现声音嘶哑, 纤支镜可见右侧声带活动欠佳, 与胸外科手术医生沟通, 考虑为手术相关右侧喉返神经损伤。

图片

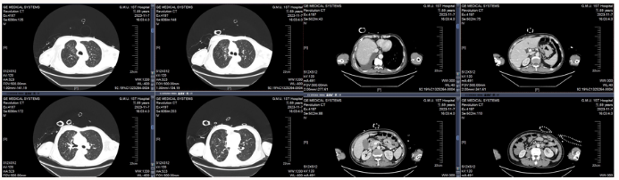
4  117胸部+腹部CT

图片

5  转入ICU第3~4周体温、病原学结果及抗感染方案

5. 嗜麦芽窄食单胞菌血流感染的困惑

患者反复发热,连续7次血培养提示嗜麦芽窄食单胞菌,嗜麦芽窄食单胞菌血流感染的源头究竟在哪里?——肺部?腹腔/消化道?导管(中心静脉导管、尿管)?

从细菌感染的永恒三角切入,我们分析了宿主、细菌和药物三方面的因素。

首先,评估宿主的免疫状态,复查T淋巴细胞亚群提示:CD 4+T淋巴细胞数609个/μlCD 8+T淋巴细胞数448个/μlIgA、IgG、IgM均正常范围。无论细胞免疫和体液免疫评估,患者未表现出免疫抑制。

其次,多次血培养均提示嗜麦芽窄食单胞菌,可排除定植或者污染,考虑为致病菌,但从目前的检查结果并未发现其明确的来源。虽然痰培养提示嗜麦芽窄食单胞菌,可能为血流感染的来源,但患者经治疗后气道分泌物不多,胸部影像提示肺炎明显吸收好转,并可拔除气管插管,拔管后复查血培养仍为阳性,不支持肺部为嗜麦芽窄食单胞菌血流感染的直接来源。患者胃肠功能明显恢复,可耐受肠内营养,无明显消化道症状,不支持肠道来源的嗜麦芽窄食单胞菌。患者多次血培养报阳均为外周血报阳时机早于中心静脉血,不支持中心静脉导管相关性血流感染。患者无尿路感染表现,尿常规和尿培养均阴性,可排除尿路来源的血流感染。患者皮肤未见破损,无明确皮肤软组织感染表现。嗜麦芽窄食单胞菌的来源究竟在哪里呢?

另外,关于治疗嗜麦芽窄食单胞菌的抗菌药物选择,血和痰培养的药敏结果均提示嗜麦芽窄食单胞菌对米诺环素、头孢他啶、头孢哌酮舒巴坦、复方新诺明、左氧氟沙星均敏感。根据2023年美国传染病学会(IDSA)抗菌药物耐药的革兰氏阴性菌感染治疗指南对嗜麦芽窄食单胞菌感染的治疗推荐了两种方案:方案一,下列药物4选2(磺胺、米诺/替加环素、头孢地尔、左氧氟沙星);方案二、头孢他啶阿维巴坦+氨曲南(适用于临床不稳定、对方案一药物不耐受或不敏感)。我们已经根据药敏结果选择了联合治疗,如果按照IDSA的指南选择方案二,患者体温基本正常,已拔除气管插管,头孢他啶阿维巴坦是特殊级限制使用的抗菌药物,需药学部审批,需严格把握适应

6. 感染源确认及后续治疗

追问病史,患者平素及近期有牙痛症状,检查口腔,发现较多龋齿(图6),请口腔科会诊,指导取龋齿拭子及牙菌斑标本培养,结果均发现嗜麦芽窄食单胞菌(菌落计数>15 CFU),药敏结果与血培养菌株一致,对左氧氟沙星、复方新诺明、头孢他啶、米诺环素等敏感。由此,嗜麦芽窄食单胞菌的感染源可以明确为龋齿,患者术后出现喉返神经损伤及反复误吸,肺部的嗜麦芽窄食单胞菌也可能来源于龋齿。抗感染方案为米诺环素+头孢哌酮舒巴坦联合治疗,同时予磺胺片剂溶于水漱口,建议病情稳定后口腔科专科处理龋齿。

图片

6  患者存在数颗龋齿


三、转归与最终诊断


1. 转归

患者的感染指标逐渐恢复正常,11191122连续两次血培养阴性,热退;1122转出ICU,1124转口腔科处理龋齿。出院后2个月电话随访,患者已完成口腔科洗牙及龋齿处理,坚持漱口护理,未再出现发热,病情稳定

2. 最后诊断

重症肺炎,Ⅱ型呼吸衰竭;嗜麦芽窄食单胞菌血流感染;感染性休克;急性胃肠损伤;龋齿;右上肺腺癌(术后);右侧喉返神经损伤;冠状动脉粥样硬化性心脏病(PCI术后)。


四、讨论与体会


本例患者为老年男性,肺部手术后出现反复嗜麦芽窄食单胞菌血流感染,经多学科协作及全面排查,最终发现罕见感染源为龋齿。嗜麦芽窄食单胞菌为条件致病菌,常见感染源包括呼吸道、泌尿道、伤口及侵入性操作相关部位,龋齿作为血流感染源头的报道较少见,其可能通过破损的口腔黏膜入血引发感染。

在临床实践中,对于反复发生的血流感染,在排除肺部、消化道、腹腔、导管相关等常见感染源后,应关注少见的感染源如龋齿、黏膜)等易被忽视的部位。同时,结合药敏结果合理选择抗感染方案(本例采用全身抗感染+局部口腔护理联合模式),有助于提高治疗效果。本例提示,临床医生在处理复杂感染病例时,需全面排查感染源,重视细节病史采集,避免遗漏罕见感染部位,以提高诊疗成功率。

向下滑动查看


参考文献

[1] Tamma PD, Aitken SL, Bonomo RA, et al. Infectious Diseases Society of America 2023 Guidance on the Treatment of Antimicrobial Resistant Gram-Negative Infections[J]. Clin Infect Dis, 2023 Jul 18:ciad428.

[2] Monardo R, Mojica MF, Ripa M, et al. How do I manage a patient with Stenotrophomonas maltophilia infection?[J]. Clin Microbiol Infect, 2025, 31(8):1291-1297.  


作者介绍

图片

张洁

广州医科大学附属第一医院重症医学科,主治医师,在读博士;中国医师协会呼吸医师分会危重症青年委员会重症超声组副组长,广东省基层医药学会免疫缺陷委员会委员,广东省药学会第一届临床微生物专家委员会委员,广东省健康管理学会心脏泛血管急重症专委会第一届青年专家委员会委员;主要方向:重症感染,体外生命支持。

图片


声明:

本文仅用于学术领域的理论探讨与专业交流,不涉及任何商业推广、产品宣传等非学术用途,亦不作为临床诊疗活动中最终决策的依据。临床实践需根据患者的具体情况选择适宜的处理措施。

177939e74e226eee5859f98769c52111.jpg

全部评论 0
Copyright©2020-2026 北京医麦斯科技有限公司 版权所有 京ICP备2020034400号-1 京公网安备11010502043983号