登录方式
方式一:
PC端网页:www.rccrc.cn
输入账号密码登录,可将此网址收藏并保存密码方便下次登录
方式二:
手机端网页:www.rccrc.cn
输入账号密码登录,可将此网址添加至手机桌面并保存密码方便下次登录
方式三:
【重症肺言】微信公众号
输入账号密码登录
注:账号具有唯一性,即同一个账号不能在两个地方同时登录。
一、病例简介
一般情况
现病史
既往史
个人史及其他
入院查体
辅助检查
感染相关指标:WBC 25.04×109/L,NEU% 96.3%,CRP 269.8 mg/L,PCT 3.04 ng/ml,血沉101 mm/h。
病原学相关指标:呼吸道病原体(支原体、衣原体、流感病毒、呼吸道合胞病毒、鼻病毒、腺病毒)(-)、EBV DNA(-)、CMV DNA(-),痰涂片找到革兰氏阴性杆菌,T-SPOT(-),血清G/GM试验(-),耶氏肺孢子菌核酸检测(-)。
生化指标:肝肾功能、电解质均正常范围,NT-proBNP 913 pg/ml,心肌肌钙蛋白正常范围。
免疫相关指标:风湿全套、类风湿全套、免疫全套、ANCA及抗GBM抗体均阴性。
其他:凝血功能、肺癌标志物均正常范围。
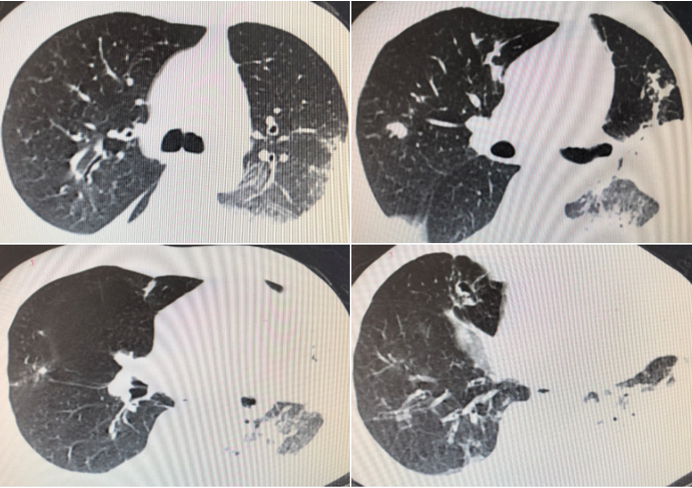
胸部CT(2019-02-11)(图1)。
入院诊断
二、治疗并完善检查

完善检查
2月20日床边支气管镜(因床边镜为目镜,不具备拍照留存功能):左下叶基底段支气管可见少许白色黏稠分泌物,黏膜充血水肿,余未见异常。局部行肺泡灌洗后送G/GM试验、结核Gene-Xpert及培养,家属拒绝送灌洗液NGS,拒绝行骨髓穿刺检查及经皮肺穿刺检查。
感染相关指标(2月20日):WBC 16.50×109/L,NEU% 91.9%,CRP 258.2 mg/L,PCT 2.58 ng/ml,血沉97 mm/h。
病原学相关指标:2月11日痰培养结果为正常口腔菌群,血培养(3次,培养7 d以上)未找到致病菌,3次痰涂片均未找到抗酸杆菌。
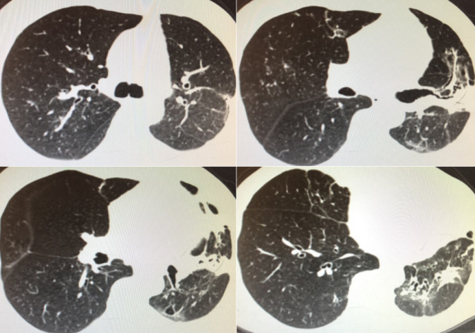
胸部CT(2月20日)(图2)。
三、方案调整及病情演变
四、思考
患者体温未能控制
药物治疗时间未至?
替加环素中介,应用常规剂量是否无效?
更换药物?
下一步措施
继续目前治疗,延长用药时间,观察体温?
加大替加环素药物剂量?
依据BALF培养结果显示鲍曼不动杆菌基本全耐药,抗感染方案是否调整:在替加环素基础上联合用药还是直接更换为多黏菌素?
因该患者无基础疾病,未长期服用激素或免疫抑制药或广谱抗生素,否认养老院等医院定居史,无鲍曼不动杆菌感染高危因素,鲍曼不动杆菌是否为真正的致病原因,还是合并基础病,目前仍未明确。
前后两次胸部CT对比(2019年2月11日与2月20日),治疗后的胸部CT显示在原有部位上实变进一步加重,结合该患者全身炎症反应综合征存在,是否可应用小剂量全身激素?
五、预后及转归
预后
感染相关指标(3月2日):WBC 6.93×109/L,NEU% 76.0%,CRP 58.4 mg/L,PCT 0.92 ng/ml,血沉45 mm/h。
血生化:肝肾功能及电解质均未见明显异常。
胸部CT(3月28日)(图7)。
六、总结
七、专家点评

中华医学会呼吸病学分会慢性阻塞性肺疾病学组委员
中国医师协会呼吸医师分会急危重症工作委员会委员
中国慢阻肺联盟常委
湖北省慢阻肺联盟主任委员
湖北省病理生理学会呼吸专业委员会副主任委员
湖北省医学会呼吸病学分会常务委员
武汉医学会呼吸病学分会副主任委员
长期从事呼吸系统疾病包括慢阻肺和支气管哮喘的基础及临床研究工作
承担国家自然科学基金面上项目6项,作为研究骨干参与“973”项目2项
在国内外权威杂志发表中英文论文60余篇,获得教育部科技进步奖一等奖
华中科技大学同济医学院附属同济医院呼吸与危重症医学科,医学博士
湖北省病理生理学会呼吸专业委员会间质性肺疾病分会委员
湖北省病理生理学会呼吸专业委员会呼吸与危重症联盟秘书
后可发表评论
友情链接
联系我们
公众号
客服微信