登录方式

方式一:
PC端网页:www.rccrc.cn
输入账号密码登录,可将此网址收藏并保存密码方便下次登录

方式二:
手机端网页:www.rccrc.cn
输入账号密码登录,可将此网址添加至手机桌面并保存密码方便下次登录

方式三:
【重症肺言】微信公众号
输入账号密码登录

注:账号具有唯一性,即同一个账号不能在两个地方同时登录。

登录
方式

为重症救治赋能

为患者康复加速

当前位置:首页 重症肺炎 细菌肺炎

COVID-19合并纹带棒状杆菌肺部及血流感染—病例及文献回顾

李佳艺1,王太珊2,余红1 1. 贵州省人民医院;2. 遵义医科大学 发布于2023-06-28 浏览 5014 收藏

作者:李佳1,王太珊2,余红1

单位:1. 贵州省人民医院;2. 遵义医科大学

继发感染,尤其细菌感染是COVID-19患者的主要并发症,使临床管理进一步复杂化,并导致预后不良,继发性细菌感染是超过50% COVID-19患者死亡的主要原因[1],包括耐药菌和某些条件致病菌。纹带棒状杆菌(Corynebacterium striatum)是一种非白喉放线杆菌,是常驻皮肤和鼻黏膜菌群的一部分。据报道是几种不同类型感染的病原体,主要包括下呼吸道感染、孤立菌血症和中心静脉导管感染[2],影响免疫功能正常和免疫功能低下的患者,可导致严重感染。在COVID-19流行期间,纹带棒状杆菌感染被更多地观察到[3]。本文报道一例COVID-19感染患者,在初始的病毒感染后继发纹带棒状杆菌肺部及血流感染。经过积极治疗,病情得以稳定,后患者自行出院。

图片

病例资料

般情况

患者,男性,92岁,因"发热1 d+,意识障碍2 d"于2022年12月22日入住某三甲医院。

既往史

患者吸烟50年,1000支年。2年前出现认知障碍,生活不能自理。服用多奈哌齐治疗。

现病史

入院后测COVID-19病毒核酸阳性,于次日开始并完成奈玛特韦/利托那韦5 d疗程,此后多次复查,至2023年1月1日后转为阴性。入院后患者处于昏睡状态,不能遵嘱,查体肺部有少量湿啰音。

入院查体

血常规:WBC 8.85×109/L,NEU% 85.4%,LYM% 7.2%,LYM 0.64×109/L,Hb 137 g/L,PLT 129×109/L。

炎性指标:PCT 0.72 ng/ml,CRP 117.11 mg/L。

肾功能:BUN 5.48 mmol/L,CREA 92 μmol/L,eGFR 63 ml/(min·kg)。

凝血功能:PT 12.0 s,APTT 31.6 s,Fbg 3.35 g/L,D二聚体 10.22 μg/ml,FDP 19.1 μg/ml。

肝功能:ALB 30.70 g/L;铁蛋白测定737.0 ng/ml。

CD系列:CD3+ 584/μl,CD4+ 204/μl,CD8+ 136/μl。

余心梗三项、BNP、血糖正常。

超声:心脏超声示主动脉瓣轻度反流,左室舒张功能正常,左室收缩功能测值正常(EF 62%);腹部超声、下肢血管超声、心电图等无明显异常。

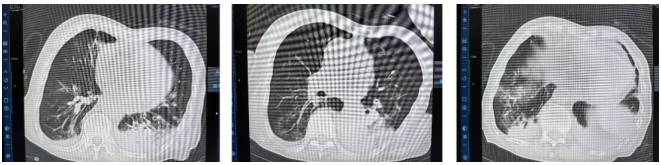
12月22日胸部CT:双肺多发肺大疱,双肺散在实变,右肺中叶内侧段节段性肺不张并支气管扩张,双肺支气管管壁增厚,管腔狭窄,左右主支气管、双肺支气管内痰栓形成,双侧胸膜增厚。

12月26日胸部CT:与12月22日相比,双肺实变较前增多,新增双侧胸腔少量积液图1。颅脑CT:右侧半卵圆中心腔隙灶,脑白质疏松,脑萎缩。血气分析pH 7.42,PaO2 93 mmHg,PaCO2 42 mmHg,HCO3- 26.8 mmol/L,P/F 265.7 mmHg(经鼻高流量氧疗)。

图片

图片

图1  胸部CT上图:2022-12-22,下图:2022-12-26

入院诊断考虑

①双肺肺炎;②新型冠状病毒感染;③呼吸衰竭;④认知功能障碍?⑤低蛋白血症;⑥双肺多发肺大疱;⑦压疮(骶尾部及右足跟)。

图片

诊疗经过

入院后予控制感染(奈玛特韦/利托那韦+莫西沙星)、经鼻高流量氧疗、预防性抗凝、糖皮质激素(甲强龙40 mg/d,7 d)及对症、支持等治疗。患者病情无改善,呼吸道分泌物多、咳痰能力差,依赖吸痰管吸痰及间断气管镜吸痰维持气道通畅,体温在降低2 d后又再度升高(38.5℃)。胸部CT肺部病变加重并出现胸腔积液。
BALF NGS提示:纹带棒状杆菌(序列数4330,人疱疹病毒Ⅰ型序列数67,新型冠状病毒序列数378),鲍曼不动杆菌(序列数1596。BALF培养显示肺泡灌洗液培养:纹带棒杆菌>10万CFU/ml(连续三次),鲍曼不动杆菌10万CFU/ml(敏感)。更换头孢哌酮舒巴坦治疗,患者体温仍反复,峰值较前升高,血象增高,WBC 14.4×109/L,NEU% 88.9%,淋巴细胞计数0.76×109/L,PCT 0.37 ng/ml,CRP 1135.16 mg/L。2023年1月10日停用头孢呱酮舒巴坦,改用利奈唑胺抗感染治疗,更换治疗方案后1 d患者体温恢复正常,血象、感染指标明显下降,多次复查BALF培养未见纹带棒状杆菌,故1月20日停用利奈唑胺。
此后多次BALF培养均为多重耐药鲍曼不动杆菌(CRAB),考虑定植未特殊处理。患者意识障碍,自主排痰能力差,需反复气管镜下吸痰以保持气道通畅,故行气管切开,切开后患者痰量较前减少。
病情变化
2023年2月8日后患者再次发热,并出现血象、感染指标升高(WBC 36.62×109/L,NEU% 93.9%,LYM% 2.3%,LYM 0.84×109/L,PCT 8.60 ng/ml,CRP 143.33 mg/L)。氧合下降,氧合指数在110~200 mmHg之间波动,血压需小剂量去甲肾上腺素维持。BALF先后检出多重耐药鲍曼不动杆菌(CRAB),多重耐药肺炎克雷伯菌(CRKP),先后予替加环素、多黏菌素静脉泵入+雾化联合抗感染。治疗后患者循环较前稳定,氧合指数恢复200 mmHg以上,血象、感染指标明显下降,但患者仍反复发热(体温37.8~38.8℃)。
2月23日再次留取肺泡灌洗液培养、血培养均回示:肺炎克雷伯菌(CRKP)。停用多黏菌素B、替加环素,改为头孢他啶阿维巴坦继续抗感染,治疗后患者体温峰值较前下降,但仍反复发热(体温38.2℃)。再次复查BALF及血NGS示提示纹带棒状杆菌(序列数38万),血培养双瓶报阳为纹带棒状杆菌。更换中心静脉导管,在头孢他啶阿维巴坦抗感染基础上加用万古霉素,治疗以后体温恢复正常,PCT波动在0.34~0.42 ng/ml,胸片炎症较前稍吸收,复查血培养正常,后停用抗感染药物。给予持续声门下吸引、改善免疫功能、康复治疗等,并积极处理压疮创面。
此后患者病情相对稳定,BALF培养反复为CRAB、RKP、纹带棒状杆菌(定量培养0.1万~10万CFU/ml不等),均考虑定植未予处理。患者高龄,有认知障碍,不能脱离医疗照护,后自行出院。

图片

讨论

纹带棒状杆菌既往被认为是人体正常菌种。尽管仍有争议,最近10年,越来越多地被报道为条件致病菌,成为院内感染的致病病原体,尤其对免疫损害患者可能导致灾难性临床后果。COVID-19大流行增加住院治疗的群体人数且损害免疫系统,似乎为这种以往常常被忽视的细菌提供更大的生存空间,单中心研究显示2020年和2021年1/3的纹带棒状杆菌分离株来自COVID-19相关病例[3]
纹带棒状杆菌归属非白喉棒状杆菌种属,其在1980年代首次被描述为潜在致病菌,并已在几种院内感染中得到证实。呼吸道感染、菌血症、中心静脉导管感染常见,其他感染类型包括心内膜炎、脑膜炎、脑脓肿、角膜炎、骨关节感染等[4-7]。棒状杆菌可以感染免疫功能低下和正常的患者,感染高危人群包括住院时间长、高龄、肿瘤性疾病、器官移植、获得性免疫缺陷综合征(艾滋病)、糖尿病、长期抗生素治疗以及中心静脉导管植入、心脏瓣膜和假体植入物等接受手术/侵入性操作的患者[8]。气道保护受损、肺清除率降低、肺结构受损可能是促进其下呼吸道感染的因素。
纹带棒状杆菌可导致院内感染爆发,文献回顾显示,过去40年共有44篇参考文献报道纹带棒状杆菌与医院感染爆发有关[8]。该菌具有较强的变异性和适应性,可通过与医务人员接触或医院环境在患者之间传播。纹带棒状杆菌具有在非生物基质(包括钢表面)上形成生物膜的能力,可以黏附于气管导管等医疗器械的表面,不仅对抗菌剂耐药,对防腐剂和消毒剂也表现耐受性。其机制可能与其低渗透性外壁、高脂质含量和形成生物膜的能力有关[9]。这是造成院内感染的原因之一。
困扰临床的问题是:
(1)区分感染和定植
纹带棒状杆菌致病潜力被忽视,主要是因为难以识别和区分定植和感染。在实验室程序中鉴定的棒状杆菌物种经常被视为临床标本的污染物或定植。可以从以下几方面加以鉴别:①高危患者,如留置深静脉导管、心瓣膜置换、皮肤完整性改变、长期抗生素暴露等;②临床征象提示感染,且感染出现的时间线与标本中获得阳性分离物的时间匹配;③重复培养显示相同的结果和较高的细菌载量、较早的报告阳性时间:血培养至少两组结果阳性[10]
一项梅奥诊所的回顾性研究显示,在181患者的血液标本中分离到246株革兰氏阳性棒状杆菌,56%(n=101)被医疗团队视为污染物,未经治疗;33%临床确定代表真正的菌血症并接受治疗;8%被认为意义不确定。多变量分析中,较高的阳性血培养集数量和较短的报告阳性时间与是否接受治疗有关[11]。④针对性的治疗有效。
然而,与传统认为是无菌的血流、浆膜腔、深部组织等部位相比,判断下呼吸道分离到的纹带棒状杆菌是否是感染病原体是更为困难的。在气道开放的患者,纹带棒状杆菌可形成生物被膜并在气管导管长期定植,且可能自下呼吸道分泌物中分离到不止一种微生物,不易确定感染的责任病原体。法国一项以ICU机械通气患者为研究对象的研究显示,58%考虑下呼吸道纹带棒状杆菌感染的患者存在其他病原微生物共感染(肠杆菌是最常见的共病原体)。符合微生物学定义的患者中77%被临床确认为纹带棒状杆菌肺炎。该研究中,下呼吸道分离到纹带棒状杆菌与临床的相关性定义为,①可能相关:符合当前肺炎的临床和放射学标准,以及定量培养纹带棒状杆菌载量显著增加,无合并其他感染证据;②可能相关:符合肺炎的临床和放射学标准,纹带棒状杆菌的定量培养高于阈值并有高于定量阈值的其他细菌的混合感染(凝固酶阴性葡萄球菌和肠球菌属除外);③不太可能:既无肺炎临床标准,也无放射学标准,仅纹带棒状杆菌的定量培养高于阈值。其中,所有菌株均通过盲法非支气管镜保护伸缩导管(NB-PTC或支气管镜-支气管肺泡灌洗(B-BAL)收集。用于定义定量培养物的阈值分别为B-BAL≥104 CFU/ml NB-PTC≥103 CFU/ml[12]
本例患者高龄、神经系统退行性病变、继发性免疫功能低下、留置人工气道及深静脉导管、长时间入住ICU及广谱抗生素暴露,具备纹带棒状杆菌等多重耐药菌及机会性感染的高危因素。其下呼吸道及血标本中分离到多种微生物,经积极治疗后,临床表现改善,血培养转阴,但在近3个月的住院期间下呼吸道分泌物中反复有CRAB、CRKP、纹带棒状杆菌不能清除。这既与CRAB、CRKP、纹带棒状杆菌的生物学特性有关,也反应患者免疫功能低下,呼吸道自我保护力差,导致微生物清除困难,长期定植,乃至转化为感染责任菌。故除敏感药物抗感染治疗,保持气道通畅,防治微误吸、改善免疫功能、康复锻炼等综合治疗可能改善患者病情。患者在下呼吸道标本(BALF)及血标本中多次分离到纹带棒状杆菌,经相应敏感抗生素治疗后观察到病情的改善,支持纹带棒状杆菌为导致混合性感染的病原微生物之一。
(2)耐药性问题和抗感染药物的选择
目前,尚无纹带棒状杆菌感染的治疗指南,最佳抗菌治疗方案和治疗疗程仍存在争议。此外,也没有评估棒状杆菌抗微生物药物敏感性的统一标准,这显示获得性耐药的监测尤为重要。纹带棒状杆菌被认为是一种新兴的多重耐药病原体,对β-内酰胺类抗菌药物、环丙沙星、美罗培南、四环素和克林霉素的耐药性很常见,并呈现增加趋势。有限的研究提示万古霉素、利奈唑胺、替考拉宁、特拉万星对该菌具有良好的体外活性。有报道达托霉素具敏感性,但易出现快速诱导耐药,因此,建议在使用达托霉素治疗纹带棒状杆菌感染时应谨慎[13]。此外,体外试验显示替加环素可能是有希望的替代抗感染药物[14]。由于缺少有效的口服抗菌剂,对需要长疗程抗感染,序贯口服治疗患者(如骨关节假体感染)的治疗带来了困难[15]。最近一项纳入了42项研究分析多部位侵袭性感染的85个个体病例的系统性评价建议,抗生素治疗方案及疗程具体取决于感染的类型和严重程度。万古霉素可作为首选抗生素,单药治疗或与哌拉西林他唑巴坦联合使用,利奈唑胺、替考拉宁或达托霉素可用于严重感染,而阿莫西林克拉维酸仅推荐用于治疗由纹带棒状杆菌引起的轻度感染[16]。在使用具有抗菌活性的静脉抗生素治疗基础上,通常需要积极的感染源控制(如被感染的心脏瓣膜或中心导管移除)。然而,即使给予敏感抗生素的治疗,仍有较高的治疗失败可能。在前述案例中,23%的患者治疗失败或死亡。另一项纳入339例下呼吸道纹带棒状杆菌感染患者队列,84例(24.78%)开始万古霉素或利奈唑胺治疗,敏感抗生素治疗并未改善全因医院死亡率[17]
总之,纹带棒状杆菌感染的频率似乎随着临床培养鉴定的可行性和准确性的提高而增加,COVID-19流行期间,更多的案例警示纹带棒状杆菌可引起危及生命的感染。临床需予以更多关注。早期识别、早期给予敏感抗生素以及并发症治疗等综合治疗将对纹带棒状杆菌相关感染患者有益。

参考文献

[1] Fattorini L, Creti R, Palma C, et al. Bacterial coinfections in COVID-19: An underestimated adversary[J]. Ann Ist Super Sanita, 2020, 56(3):359-364.

[2] McMullen A R, Anderson N, Wallace MA, et al. When good bugs go bad: epidemiology and antimicrobial resistance profiles of Corynebacterium striatum, an emerging multidrug-resistant, Opportunistic Pathogen[J]. Antimicrob Agents Chemother, 2017, 61(11):e01111-7.

[3] Orosz L, Sóki J, Kókai D, et al. Corynebacterium striatum-Got Worse by a Pandemic?[J]. Pathogens, 2022, 11(6):685. 

[4] Fernández Guerrero ML, Molins A, Rey M, et al. Multidrug-Resistant Corynebacterium striatum Endocarditis Successfully Treated with Daptomycin[J]. Int J Antimicrob Agents, 2012, 40(4):373-374.

[5] Zhang M J, Cao X J, Fan J, et al. Corynebacterium striatum meningitis combined with suspected brain and lung abscesses: a case report and review[J]. BMC Infectious Diseases, 2020, 20: 389.

[6] Streifel A C, Varley C D, Ham Y, et al. The challenge of antibiotic selection in prosthetic joint infections due to Corynebacterium striatum: a case report[J]. BMC Infect Dis, 2022, 22(1):290. 

[7] Heidemann D G, Dunn S P, Diskin J A, et al. Corynebacterium striatum keratitis[J]. Cornea, 1991, 10:81-82.

[8] Silva-Santana G, Silva CMF, Olivella JGB, et al. Worldwide survey of Corynebacterium striatum increasingly associated with human invasive infections, nosocomial outbreak, and antimicrobial multidrug-resistance, 1976-2020[J]. Arch Microbiol, 2021, 203(5):1863-1880.

[9] Souza C, Mota H F, Faria YV, et al. Resistance to antiseptics and disinfectants of planktonic and biofilm-associated forms of Corynebacterium striatum[J]. Microb Drug Resist, 2020, 26:1546-1558.

[10] Kang S J, Choi S M, Choi J A, et al. Factors affecting the clinical relevance of Corynebacterium striatum isolated from blood cultures[J]. PLoS One, 2018, 13:e0199454.

[11] Mushtaq A, Chen DJ, Strand GJ, et al. Clinical significance of coryneform gram-positive rods from blood identified by MALDI-TOF mass spectrometry and their susceptibility profiles-A retrospective chart review[J]. Diagn Microbiol Infect Dis, 2016, 85(3):372-376. 

[12] Clariot S, Constant O, Lepeule R, et al. Clinical relevance and impact of Corynebacterium isolation in lower respiratory tract of critically ill patients requiring mechanical ventilation[J]. Infection, 2020, 48(3):413-420.

[13] McMullen A R, Anderson N, Wallace M A, et al. When Good Bugs Go Bad: Epidemiology and Antimicrobial Resistance Profiles of Corynebacterium striatum, an Emerging Multidrug-Resistant, Opportunistic Pathogen[J]. Antimicrob Agents Chemother, 2017, 61(11):e01111-17. 

[14] Fernandez-Roblas R, Adames H, Martín-de-Hijas N Z, et al. In vitro activity of tigecycline and 10 other antimicrobials against clinical isolates of the genus Corynebacterium[J]. Int J Antimicrob Agents, 2009, 33:453-455.

[15] Hahn W O, Werth B J, Butler-Wu S M, et al. Multidrug-resistant Corynebacterium striatum associated with increased use of parenteral antimicrobial drugs[J]. Emerg Infect Dis, 2016, 22(11):1908-1914.

[16] Milosavljevic M N, Milosavljevic J Z, Kocovic A G, et al. Antimicrobial treatment of Corynebacterium striatum invasive infections: a systematic review[J]. Rev Inst Med Trop Sao Paulo, 2021, 63: e49. 

[17] Zhang H, Tan X, Zhang Z, et al. Targeted Antibiotics for Lower Respiratory Tract Infection with Corynebacterium striatum[J]. Infect Drug Resist, 2023, 16:2019-2028. 

作者简介



图片
李佳艺
医学硕士,贵州省人民医院呼吸与危重症医学科主治医师。PCCM专学员。参与国自然科学基金研究1项,发表论文数篇。

图片

王太珊
遵义医科大学2021级呼吸内科专业硕士研究生,贵州省人民医院内科学规培医师,熟练掌握呼吸系统常见病及多发病,善于呼吸危重症临床表现、诊断及鉴别诊断。熟练掌握四大穿刺技术、心肺复苏、胸水B超等操作,熟悉床旁重症超声、PICCO、纤维支气管镜检查的流程,曾参加2021年贵州省第一届住院医师技能大赛内科组团体二等奖。

图片

余红

贵州省人民医院呼吸与危重症医学科主任医师,贵州省呼吸疾病研究所临床研究室主任;美国密西根大学访问学者,中国医师协会呼吸医师分会危重症医学工作委员会委员,中国老年医学学会呼吸病学分会呼吸危重症学术工作委员会委员,贵州省医学会流行病学分会副主委,贵州省生物医学工程学会高级生命支持分会副主委,贵州省医学会呼吸分会委员;贵州省职业病鉴定专家,贵州省结核病防治专家组专家。荣获省级科技技术奖1项,厅级科技技术奖4项,主编、参编专著5部,参与翻译英文专著1部。

声明:

本文仅用于学术内容的探讨和交流,不用于任何商业和推广,亦不作为最终的临床决策。临床实践需根据患者的具体情况选择适宜的处理措施。


全部评论 0
Copyright©2020-2026 北京医麦斯科技有限公司 版权所有 京ICP备2020034400号-1 京公网安备11010502043983号