登录方式

方式一:
PC端网页:www.rccrc.cn
输入账号密码登录,可将此网址收藏并保存密码方便下次登录

方式二:
手机端网页:www.rccrc.cn
输入账号密码登录,可将此网址添加至手机桌面并保存密码方便下次登录

方式三:
【重症肺言】微信公众号
输入账号密码登录

注:账号具有唯一性,即同一个账号不能在两个地方同时登录。

登录
方式

为重症救治赋能

为患者康复加速

当前位置:首页 重症肺炎 诊断技术

介入呼吸病学技术在重症下呼吸道感染病原诊断中的应用

孙禾 上海市东方医院呼吸科与危重症医学科 发布于2023-09-21 浏览 3167 收藏

作者:孙禾

单位:上海市东方医院呼吸科与危重症医学科

重症肺部感染是重症患者入住ICU病房并导致其死亡的重要原因。积极有效的抗感染治疗是逆转病情的关键。很多患者由于病原诊断困难,未及时获取准确的病原诊断,不得不采取“重拳猛击”的抗感染策略,联合应用多种抗感染药物,大大增加了耐药菌和真菌继发感染的风险,导致后续抗感染药物选择压力增大甚至治疗失败。研究数据表明,下呼吸道感染部位分泌物和组织标本病原检测的阳性率和准确性明显优于普通痰标本。因此,及时准确获取合格的下呼吸道标本对病原快速检测、指导抗感染治疗具有重要意义。重症肺部感染患者往往病情重,进展快,合并多脏器功能不全,以及应用多种生命支持技术等,进一步增加了获取下呼吸道标本的难度。

近年来,随着各种支气管镜介导下的经支气管刷检术、肺泡灌洗术,经支气管肺组织钳夹活检术(transbronchial lung biopsy,TBLB)以及经支气管冷冻肺活检术(transbronchial cryobiopsy,TBCB)等呼吸介入取材技术的成熟和完善,特别是再辅以虚拟导航以及支气管腔内超声等定位技术的加持,使得标本取材变得更加精准,大大提高了重症下呼吸道感染患者病原诊断的阳性率。本文就介入呼吸病学技术在下呼吸道感染病原诊断中的应用及相关问题进行阐述。


介入呼吸病学技术下呼吸道取材的相关问题

1. 下呼吸道取材部位的选择
重症下呼吸道感染患者病变往往累及多个肺叶和肺段,在支气管镜操作之前最好行胸部CT检查,便于选择最佳取材部位,在选择好取材靶区后,操作者在取材实施过程中还可借助于虚拟导航、X线透视及支气管腔内超声等定位技术,以确保取材的准确性。
2下呼吸道取材手术操作麻醉方法的选择
合适的麻醉方式是实施介入诊疗的重要保障,对于入住ICU的重症患者,已经建立人工气道并接受机械通气的患者,此时大多已予以静脉镇静,在行支气管肺泡灌洗及活检等操作时,只需适当调整静脉镇静药物的剂量,即可完成呼吸内镜下的手术操作。而对于尚未建立人工气道的重症肺部感染患者,因常伴有血流动力学不稳定、联合血管活性药物应用等情况,建议在与家属充分沟通的基础上,先建立人工气道,充分镇静镇痛后行经支气管镜下介入取材,既可保证操作的安全性,又可避免介入操作对患者血流动力学和意识的影响。
清醒非人工气道建立患者的麻醉常选择在局麻基础上结合镇静、镇痛药物进行清醒镇静,常用药物为咪达唑仑、丙泊酚和右美托咪定等,首选药物为咪达唑仑联合芬太尼或舒芬太尼,若同时联合阿片类药物,可进一步提高患者的舒适性和接受度。需要注意的是:较高剂量的咪达唑仑会增加呼吸抑制,为减少咪达唑仑的用量,可联合应用阿片类药物。
3下呼吸道取材技术的选择
(1)经支气管刷检术:多数重症下呼吸道感染患者均伴有不同程度的气道分泌物增多,此时下呼吸道刷检取材后行现场快速评价、PCR、mNGS等检测,可为感染的病原诊断提供有力的支持。需要强调的是:为了减少标本污染,应选用防污染毛刷取材。
(2)支气管肺泡灌洗术:对于一些病毒以及非化脓菌感染,气道分泌物往往较少,此时多采用支气管肺泡灌洗术,方能取到远端细支气管及肺泡内的渗出液。为了减少对mNGS结果的干扰,在对靶肺区进行灌洗操作时,动作要轻柔,避免组织损伤所致的局部组织出血。
(3)经支气管肺活检术:经支气管活检术又可分为传统的TBLB和TBCB两种方法,对一般的感染性病变的病原诊断或疑似肿瘤性病变的鉴别诊断,传统TBLB取材即可满足诊断需求,对疑似系统性疾病的肺部弥漫性病变的病因诊断,有时需要用到TBCB,至于如何选择两种活检方式,术者可根据患者病情决定。相对于TBLB,TBCB操作的出血风险增大,尤其是有相当一部分ICU患者因疾病本身存在凝血功能障碍,亦有部分患者在服用抗凝药物,建议在完成支气管刷检、肺泡灌洗以及TBLB取材送检之后,仍未能明确病因时,再考虑序贯加做TBCB,以减少活检术后出血的发生。

取材标本的常用病原检测方法

1介入标本的快速现场评价
作为一项实时伴随取材的快速细胞学检查技术,介入标本的快速现场评价(rapid on-site evaluation,ROSE)可实现介入取材标本(活检组织、刷检物、灌洗液离心沉淀等)的快速床旁涂片、染色和显微镜检,获取包括细胞形态、分类、计数、背景及外来物分析等信息,在发现感染病原同时评估局部免疫反应,对鉴别定植和感染有重要意义,结合后续涂片或印片等多种染色方法,可进一步提高对感染病原的诊断率,例如:革兰染色区分革兰氏阳性球菌和革兰氏阴性杆菌;抗酸染色诊断分枝杆菌感染;墨汁染色用于发现隐球菌;六胺银染色及荧光素偶联单克隆抗体荧光染色诊断经典真菌及耶氏肺孢子菌等。对于呼吸道病毒感染,ROSE可用于评估感染细胞的病变效应:如发现细胞中污迹样嗜碱性包涵体诊断腺病毒感染,呼吸道病毒感染后巨细胞、合胞体形成、胞内包涵体形成等。病灶内中性粒细胞浸润并核左移以及中性粒细胞吞噬病原菌是细菌感染的有力佐证,淋巴细胞浸润提示呼吸道病毒和真菌感染等。ROSE对重症下呼吸道感染的鉴别诊断非常实用,所需场地和设备并不复杂,仅需操作台、显微镜和染色试剂即可基本满足临床诊断的需要,但目前临床对其的重视程度仍不够,需要大家积极应用,大力宣传。
2. 灌洗液标本的病原检测
支气管肺泡灌洗术由于取材技术简单,操作安全,目前在重症下呼吸道感染病原快速检测中的应用最广泛。灌洗液细胞学素有液体活检之称,灌洗液离心沉淀后涂片直接镜检观察细胞种类、成分及比例能为感染后宿主免疫反应提供直接证据,帮助鉴别定植和感染;通过革兰染色、抗酸染色、银染、生物荧光染色直接检测细菌、真菌和病毒以及寄生虫等;如发现核异形细胞和含铁血黄素,对非感染性疾病如肿瘤、肺泡出血性疾病有鉴别意义;灌洗液GM/G试验对侵袭性真菌感染有鉴别诊断价值;胶体金免疫层析法、直接荧光抗体试验(direct fluorescent antibody test,DFA)的在病原体抗原检测中的应用也日益广泛。
3. 质谱分析法
基质辅助激光解吸电离飞行时间质谱(matrix-assisted laser desorption ionization time-of-flight mass spectrometry,MALDI-TOF MS)主要用于下呼吸道标本培养阳性菌株的菌种鉴定,包括细菌与真菌,特别是生长缓慢的分枝杆菌与多种真菌,具有快速准确的优势。但是MALDI-TOF MS灵敏度有限,一般不用来直接检测呼吸道原始样本中的病原微生物,无法缩短耗时的培养时间。
4. 核酸检测方法
核酸检测方法主要包括聚合酶链反应(polymerase chain reaction,PCR)、多重PCR、宏基因组二代测序(metagenomics next generation sequencing,mNGS)等。PCR主要有普通PCR、实时荧光定量PCR(real-time PCR,RT-PCR)与数字PCR,PCR检测应用预先设计的引物扩增相应病原体核酸,在常见的呼吸道病毒、细菌及真菌感染中都有比较普遍的应用;多重快速PCR检测应用多重引物可针对不同病原体的核酸或耐药基因进行特异性扩增,检测时间短,提高了混合感染的诊断率。
mNGS在重症肺部感染的病原快速诊断中的应用日益广泛,并在此基础上发展了相对有限病原体测序的靶向高通量测序(targeted next generation sequencing,tNGS)技术,对于疑难、危重及混合病原以及新发病原体感染的快速诊断具有很高的应用价值。NGS技术还发展了致病菌的基因分型、耐药基因、进化水平和传播途径等技术,是该项技术病原快速检测的进一步拓展。尽管mNGS检测的阳性率较传统病原检测方法有了明显的提高,但仍然会出现假阴性结果,例如临床高度怀疑隐球菌、曲霉等真菌混合其他病原体感染或结核杆菌等胞内菌感染,应用NGS检测时应增加破壁深度,结合真菌染色镜检、PCR、抗原-抗体检测验证提高检测阳性率;考虑呼吸道病毒感染时要加做RNA测序等。

总结及展望

随着介入呼吸病取材技术的进步和病原检测方法的完善,经气道介入取材联合ROSE、PCR、NGS等快速病原检测方法使得下呼吸道标本取材更加精准,病原诊断的阳性率大大提高,能满足绝大多数重症肺部感染的病原诊断需求,进一步减少抗感染药物的不合理应用和附加损害。同时需要注意:面对日益增多的病原检测技术,NGS检测有泛化趋势,医生尤其应充分了解患者的临床特征,具备相当的微生物知识,充分了解各种检测技术的优缺点和最佳适应证,有机整合多种检测有段,优化检测流程,真正做到快速病原检测的精准和个体化,为优化目标抗感染治疗提供可靠的病原诊断依据。

典型病例分享


病例1

图片
患者,男性,87岁,既往有高血压、房颤、脑梗死病史,因发热、气促、咳嗽,新冠病毒核酸阳性至方舱医院隔离,核酸转阴后居家隔离第3天突发意识障碍、跌倒后收住RICU。

查体:T 39℃,RR 28次/min,HR 110次/min,BP 80/50 mmHg,心律不齐,短绌脉,两肺呼吸音低,左肺可闻及管状呼吸音及少量细湿啰音。
血常规:WBC 14.11×109/L,NEU% 94.6%。
炎性标志物:CRP 170.53 mg/L,SAA 289 mg/L,IL-6 1648 pg/ml,PCT 4.97 ng/ml。
血生化:AST 419.6 U/L,ALT 156 U/L,TB 43.9 μmol/L,K+ 2.89 mmol/L,SCr 178.3 μmol/L。
凝血功能:D-Dimer 4.09 mg/L。
心肌酶谱:Pro-BNP 15090.0 ng/L,CK-MB 95.02 ng/ml,cTnI 0.159 ng/ml,肌红蛋白3000.0 ng/ml。
血气分析(FiO2 7 L/min):pH 7.417,PaO2 132.3 mmHg,PaCO2 32.0 mmHg,HCO3- 20.60 mmol/L,SaO99.20%, BLC 3.1 mmol/L。
ECG:房颤。
胸部CT:双肺轻度间质渗出,左肺斑片状渗出伴实变,左侧胸腔积液,左房、左室增大1

图片
图1  患者入院时胸部CT
入院诊断:脓毒性休克,多脏器功能不全(心、肝、肾),重症肺炎,心律失常:心房颤动。给予高流呼吸支持,抗感染、抗心律失常,液体复苏、脏器保护、营养支持治疗,行气管插管后床旁支气管镜防污染毛刷黏膜刷检+支气管肺泡灌洗术,待患者清醒、血流动力学稳定后拔管,序贯无创呼吸机及高流通气。
BALF细胞学检查:细胞计数120个,中性粒细胞38/50个,淋巴细胞2/50个。BALF G/GM试验阴性。床旁黏膜刷检+BALF离心沉淀涂片镜检:均找到革兰氏阳性球菌,抗酸杆菌及真菌阴性。NGS回报肺炎链球菌(序列数24);肺炎链球菌尿抗原阳性。
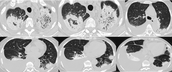
诊断:肺炎链球菌肺炎。抗感染方案调整为莫西沙星单药治疗,15天后患者临床症状明显好转,血常规、炎症指标恢复正常,心、肝、肾功能代偿,可予出院。出院1周后复查胸部CT可见病灶明显吸收2)
图片
图2  患者出院1周后复查胸部CT
此例重症肺炎致脓毒症休克患者在RICU诊治过程中第一时间行气管插管后经支气管镜下呼吸道黏膜刷检及灌洗术,再联合ROSE、mNGS、抗原检测,不同检测结果相互印证,实现重症肺炎的快速病原诊断,指导了后续的目标抗感染治疗,为患者的良好预后提供了有力保障。


病例2

图片
患者,女性,63岁,因“干咳、心慌、呼吸困难2个月,渐加重”收住RICU;间断发热、半年内体重下降20 kg。外院诊断“重症肺炎,肺结核”,行抗感染、抗结核治疗,病情加重。患者因“心房纤颤”服用胺碘酮治疗,半年内胺碘酮累积剂量达189.4 g,后因全身不适自行停药。

急诊血气分析:pH 7.28,PaO2 45 mmHg,PaCO2 62 mmHg;SaO2 83%,HCO3- 23 mmol/L,SBE 1.3 mmol/L。

血常规:WBC 26.5×109/L,NEU% 95%,Hb 85.0 g/L。

炎性标志物:CRP>150.00 mg/L(↑),SAA>320.00 mg/L(↑),ESR 91 mm/h(↑),IL-6 505 pg/ml(↑),PCsT 0.232 ng/ml(↑)。

心肌酶、心功能:pro-BNP 9024 ng/L(↑),CK-MB 1.610 ng/ml,TNT 0.057 ng/ml(↑)。

肝功能:AST 173 U/L(↑),ALT 376 U/L(↑),LDH 1124 U/L(↑),Y-GT 3502 U/L(↑),白蛋白28 g/L(↓)。

血肿瘤标志物:CA19-9 33.40 U/ml(↑), CA125 230.00 U/ml(↑),铁蛋白2711.00 ng/ml(↑)。

甲状腺功能:TT3 0.72 ng/ml(↓),TT4 20.20 μg/dl(↑),FT3 1.56 pg/ml(↓),FT4 2.13 ng/dl(↑),TSH 10.200 μIU/ml(↑),TAb 18.20 ng/ml。

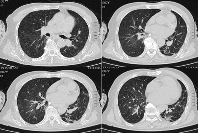
胸部CT:双肺多发中高密度炎性病灶,双上肺为著。部分肺组织受压不张,双侧胸腔积液;纵隔见多发肿大淋巴结;心脏增大,心包积液(图3

图片
图3  患者入院时胸部CT
拟诊:脓毒症,多脏器功能不全,肿瘤不除外。给予高流量呼吸支持,胸腔穿刺+持续闭式引流,抗感染,脏器保护+营养支持治疗,同时行BALF、胸水、外周血标本的传统病原学检查(涂片,培养,PCR,抗原,抗体)结果均阴性;外周血结缔组织病、血管炎相关疾病阴性;血及胸腔积液肿瘤标志物中仅CA125、CA199轻度升高;胸腔积液+BALF脱落细胞学阴性。
PET-CT:双肺多发实变影及斑片影,FDG代谢异常增高;结合病史,考虑双肺炎性病变;纵隔淋巴结炎性增生,双侧胸腔积液;肝脏弥漫性异常信号改变,FDG代谢减低,考虑弥漫损伤性改变;右侧肾上腺结节,FDG代谢轻度增高,考虑良性病变,腺瘤可能;双肾小囊肿4)
图片
4  患者全身PET-CT
与家属沟通后行气管插管+全麻气管镜下靶肺区刷检+灌洗+冷冻肺活检术,BALF+膜刷检+冷冻肺活检组织NGS(双流程)结果示:DNA测序回报曲霉属(序列数87,RNA测序回报耶氏肺孢子菌(序列数20。组织活检病理:下均见肺泡上皮萎陷,部分肺泡腔内充盈红细胞,间质纤维组织增生伴较多淋巴细胞及少量中性粒细胞浸润,周围散在泡沫样细胞。免疫组化结果:CD31(血管+),D2-40(淋巴管+),偏光(+)。特殊染色结果:网染(-),Masson(+),弹力纤维(+),刚果红(-)5)
图片
5  肺部TBCB HE染色及免疫组化
根据上述结果行MDT,接合临床特征和特殊用药史诊断为药物性肺病,胺碘酮引起的肺部损伤。在原有支持对症治疗基础上,修正治疗方案为甲基强的松龙240 mg静脉泵入,序贯甲泼尼龙口服维持治疗。3个月后复查血液相关异常指标均恢复正常,复查胸部CT可见肺部病灶基本吸收,胸腔积液吸收6)
图片
6  患者治疗3个月后复查胸部CT
此例患者在入住ICU拟诊感染性病变后第一时间经气管镜肺泡灌洗完善感染相关检查,在病原诊断阴性情况下,再次行气管插管后介入取材,同时获取下呼吸道黏膜、灌洗液及组织标本,应用多种检测方法平行送检,检测结果相互印证,排除肺部感染,结合MDT明确诊断,更改治疗方案后获得了很好的疗效,充分显示了呼吸介入诊断技术联合多种病原检测技术在疑难危重弥漫性肺部疾病鉴别诊断中的价值。

作者介绍

图片

孙禾

  • 同济大学附属东方医院呼吸与危重症医学科
  • 副主任医师,副教授
  • 中华医学会呼吸病学分会感染学组委员
  • 中国医药教育协会感染疾病专业委员会第二届青年委员
  • 中国老年医学会呼吸病学分会委员
  • 中国研究型医院微生物与感染专委会委员
  • 上海市医学会呼吸分会感染学组委员
  • 专业研究方向:呼吸系统感染与免疫的临床和基础研究


全部评论 0
Copyright©2020-2026 北京医麦斯科技有限公司 版权所有 京ICP备2020034400号-1 京公网安备11010502043983号