登录方式

方式一:
PC端网页:www.rccrc.cn
输入账号密码登录,可将此网址收藏并保存密码方便下次登录

方式二:
手机端网页:www.rccrc.cn
输入账号密码登录,可将此网址添加至手机桌面并保存密码方便下次登录

方式三:
【重症肺言】微信公众号
输入账号密码登录

注:账号具有唯一性,即同一个账号不能在两个地方同时登录。

登录
方式

为重症救治赋能

为患者康复加速

当前位置: 首页 我是RT 相关文章

慢阻肺合并重度肥胖患者困难撤机的处理

高胜浩 河南省人民医院呼吸与危重症医学科RICU 发布于2023-07-20 浏览 3448 收藏

作者:高胜浩

单位:河南省人民医院呼吸与危重症医学科RICU

图片

一、病情介绍

基本情况

患者,男性,75岁主诉:反复咳嗽、气喘20余年,加重5年,再发10天。入院时间为2021年6月6日。急诊入院。

现病史

入院10天前患者受凉后出现活动耐量下降,伴有夜间呼吸困难,咳黄色黏痰,不易咳出,稍活动后即感胸闷,在家雾化及吸氧治疗,口服抗生素效果不佳,出现嗜睡,症状明显加重。2021年6月2日入住周口市某医院,入院后出现昏迷,血气分析示pH 7.14,PaCO2 92 mmHg,予气管插管呼吸机辅助呼吸,患者症状缓解,6月7日拔管,出现二氧化碳增高昏迷,再次插管,脱机困难。为求进一步治疗,于6月9日通过互联智慧转诊平台急诊来我院。以“慢性阻塞性肺疾病、Ⅱ型呼吸衰竭、慢性肺源性心脏病、冠心病、高血压、糖尿病”收入我科。

既往史及其他

高血压20年,口服氨氯地平一次1片,糖尿病20年,口服“二甲双胍”9年前行“前列腺切除术”;冠心病5年,未正规治疗;慢阻肺20年,长期吸入“沙美特罗替卡松吸入粉雾剂、布地奈德福莫特罗粉吸入剂”治疗吸烟30年,40支/天,已戒烟。婚育史无特殊。家族史无特殊。

入院查体

体温36.9℃,脉搏89次/min,呼吸16次/min,血压158/82 mmHg。查体部分合作,身高172 cm,体重158 kg,体重指数(BMI)53.4 kg/m²。皮肤黏膜无黄染,全身浅表淋巴结无肿大。双侧瞳孔直径约3 mm,对光反射可。桶状胸,经鼻气管插管,机械通气,双肺呼吸音粗糙,双肺可闻及弥漫性干/湿啰音。心律齐,各瓣膜听诊区未闻及杂音及心包摩擦音。腹膨隆,腹胀明显,肝脾肋下未触及,Murphy氏征阴性。双下肢无水肿,双侧肱二、三头肌腱反射正常,双侧膝、跟腱反射正常。

入院辅助检查
  • 血气分析:pH 7.214,PaCO2 72.2 mmHg,PaO2 83,HCO3- 38.5 mmol/L。

  • 心脏:NT-proBNP测定2310 ng/L(↑)。

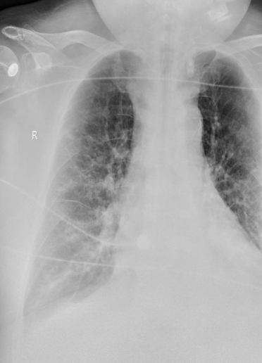
  • 胸部X线:双肺弥漫性渗出改变(图1)

图片

图1  患者胸部X线片
感染指标
WBC 7.6×109/L,CRP 7.46 mg/L,PCT <0.05 ng/ml,血清G试验测值197.56,血清GM试验测值0.179。
呼吸力学监测(图2)
MV:自主呼吸,气道阻力(R)14.2 cmH2O/(L·s),肺顺应性(C)56.2 ml/cmH2O,f/VT=13÷0.787=17(min·L)。

图片

图2  患者呼吸力学监测情况
入院诊断
①慢性阻塞性肺疾病急性加重;②慢性肺源性心脏病,Ⅱ型呼吸衰竭,心功能Ⅳ级(NYHA分级);③困难撤机;④阻塞性睡眠呼吸暂停低通气综合征;⑤高血压2级,极高危组;⑥2型糖尿病;⑦前列腺癌术后;⑧冠心病。

图片

二、患者评估
气道评估—气管镜检查
气管内少量白色分泌物,抽吸之后见气管通畅,右侧和左侧主支气管发现各叶段支气管内中等量黄白色黏性分泌物,黏膜散在充血、水肿。分泌物送检mNGS,无明确病原学证据。

图片

图3  气管镜抽吸物
撤机筛查评估

撤机筛查试验:包括4项内容:

(1)导致机械通气的病因好转或被祛除。该患者好转。

(2)氧合指标:PaO2/FiO2≥150~300 mmHg,PEEP≤5~8 cmH2O,FiO2≤0.40,pH≥7.25;对于慢阻肺患者:pH>7.30,FiO2<0.35,PaO2>50 mmHg。该患者PaCO2和PEEP未达标。

(3)血流动力学稳定,无心肌缺血动态变化,临床上无明显低血压[不需要血管活性药物治疗或仅需小剂量药物,如多巴胺或多巴酚丁胺<5~10 μg/(kg·min)]。该患者达标。

(4)有自主呼吸能力。该患者自主呼吸能力弱,胸闷,夜间低通气。

患者综合评估(表1)

表1  患者综合评估情况

图片
患者问题清单
  • 机械通气模式、参数精准调节难度高,尤其是PEEP的设置。

  • 卧床引起肺不张、坠积性肺炎、呼吸康复锻炼困难。

  • 肥胖,导致限制性通气功能障碍,夜间低通气。

  • 降低呼吸支持出现胸闷、呼吸频率增快。

  • 鼻气管插管,易诱发呼吸机相关性肺炎(VAP)。

  • 腹胀、腹高压严重,膈肌运动功能差。

  • 基础疾病多,心功能差,撤机拔管后再插管风险高。

· 肥胖和慢阻肺对患者呼吸力学的影响

图片

BMI 25~30 kg/m2,定义为超重;BMI>30 kg/m2,定义为肥胖;BMI>40 kg/m2,定义为病理性肥胖。该患者BMI为53.4 kg/m²。肥胖对呼吸系统的影响,①气道高反应性:激素水平异常,炎症介质增多,气道阻力增加;②呼吸力学显著改变:气流阻塞(上气道+小气道),肺容积减少,气体交换异常。


肥胖患者的病理生理特点如表2所示。该患者主要表现为肺不张、功能残气量(FRC)下降,腹内压增高,膈肌抬高,胸廓及肺顺应性下降;气道阻力增加;此外,高碳酸和低氧的通气反应下降,氧耗增加,以及肥胖低通气综合征。
表2  肥胖患者的病理生理特点
图片


慢阻肺对呼吸力学的影响包括:①气流受限:首先,慢阻肺引起气道阻力增加,其次,慢阻肺导致胸肺弹性回缩力下降,呼气时弹性阻力下降,动力亦下降,最终导致呼气气流受限。②导致动态肺过度充气(DPH)和内源性呼气末正压(PEEPi):气道阻力增加和呼气时动力下降引起呼气气流受限,进而导致肺内气体排空时间延长,呼气时间<排空时间,出现DPH,更进一步引起呼气末肺容量>FRC,呼气末肺内压力>0,继而出现PEEPi。而PEEPi增加会导致患者吸气做功增加。

· 困难撤机常见因素(表3)

图片

表3  困难撤机常见因素图片

该患者存在的撤机困难因素主要为肺和/或胸壁顺应性下降、小气道阻塞以及拔除气管插管后出现的上呼吸道阻塞。

图片

三、治疗计划与目标

治疗目标
保持气道通畅,预防肺塌陷,减缓全身肌肉的衰减速度、尽早撤机拔管。
(1)呼吸支持治疗:保证有效肺通气;保证氧供应;降低呼吸支持水平;气囊管理;气道温湿化;肺复张;气囊上分泌物清除。
(2)重症呼吸康复训练:机械深度排痰;四肢肌力训练;体位管理;肺康复训练。
制订撤机计划
从接受机械通气开始,逐渐降低呼吸支持力度。撤机计划如图4所示。

图片

图4  患者撤机计划
机械通气策略
对于肥胖患者的机械通气策略,建议从潮气量、模式、吸入氧浓度和呼气末正压(PEEP)几方面着手,采取肺保护性通气策略(图5)

图片

图5  肥胖患者机械通气
图6是该患者呼吸治疗记录单,呼吸支持水平逐渐降低

图片

图6  患者呼吸治疗记录单
体位管理
患者在60°体位或直立位时FRC明显增加,因此在医护人员帮助下,定期改变体位,并通过EIT动态监测肺通气,指导体位与PEEP设置(图7),体位改变对患者的通气有明显影响。

图片

图7  EIT指导患者体位
功能锻炼
患者在戴机状态下进行功能锻炼以及床下平衡与立位功能训练,并进行阈值阻力呼吸康复训练,间断地在脱离呼吸机状态下进行呼吸训练。测量患者最大吸气压(MIP),据此设定训练的阻抗值。逐步降低患者呼吸支持水平,使其肌肉力量能够承担自身的呼吸负荷。考虑患者腹腔高压及长时间机械通气引起膈肌问题,基于下肢肌力评估,予患者膈肌电刺激联合神经肌肉电刺激训练。
第一阶段疗效评估
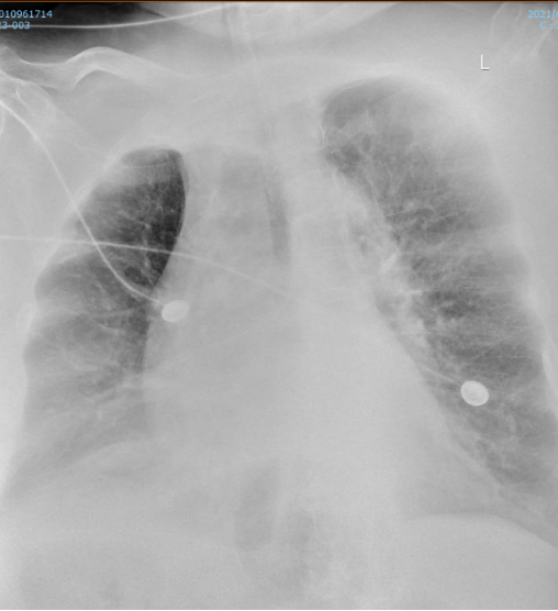
分别在2021年6月10日11日13日进行了SBT,结果均失败。在同样模式参数情况下,患者晨起PaCO2增高。与入科时相比,患者右肺透亮度有所增加(图8),膈肌活动度为1.92,厚度为0.06(图9)。WBC略微增高,但仍在可控范围,PCT 0.01 ng/ml,血清G试验测值197.56,血清GM试验测值0.179。血气分析示患者PaO2升高,氧合指数增加(图10)。其他综合评估见表4

图片

图8  第一阶段治疗后患者胸部X线片

图片

图9  第一阶段治疗后膈肌评估

图片

图10  第一阶段治疗后血气分析

表4  其他综合疗效评估

图片

图片

四、第二阶段方案调整及疗效评估

通过上述疗效评估,第二阶段调整了方案,分别从气道管理、呼吸支持、重症呼吸康复三方面进行干预(图11)

图片

图11  第二阶段方案调整
6月14日复查胸部CT,可见患者双下肺膨胀不全(图12)

图片

图12  复查胸部CT(6月14日)
6月15日行床旁气管镜检查。右侧和左侧主支气管发现各叶段支气管内中等量泡沫状分物,较前有所改善。抽吸后见各叶段支气管管口通畅,黏膜质脆。基底段灌洗并留置标本送检。
由于之前三次SBT均失败,所以我们保留了人工气道,6月18日从有创通气过渡至无创通气,IPAP 12 cmH2O,EPAP 5 cmH2O,吸入氧浓度为30%。患者白天采取此种方式,夜间9:00重新过渡为有创通气。
经过2天的有创-无创降级治疗,6月20日进行了第二阶段的疗效评估(表5)

表5  第二阶段疗效评估

图片

通过血气分析可以发现自6月15日后PaCO2较为稳定,维持在60 mmHg,氧合改善(图13)。WBC、CRP、PCT呈下降趋势(图14)

图片

图片

图13  第二阶段治疗后复查血气分析

图片

图14  第二阶段治疗后感染指标变化情况

图片

五、拔管

拔管的关键问题是拔管后能否保证患者的安全,尤其对于夜间容易出现低通气以及哮喘-慢阻肺重叠患者。拔管方式是选择完全清醒后拔管,还是延迟拔管或气管切开?该患者拔管后的管理难点在于:①肥胖患者拔管后发生气道阻塞的危险性显著增加,导致再插管;②腹高压也可能导致膈肌运动问题,影响患者通气;③患者有拔管失败史。
我们的对策:①完成气囊漏气试验,使用激素;②序贯无创通气,从降级到序贯;③胃肠排气,联合中药灌肠;④备齐口咽或鼻咽通气道,并做好紧急气道处理的准备,如喉罩、再次气管插管等;⑤无创通气期间加强气道湿化、雾化。
通过气囊漏气试验后,6月20日拔出气管插管,序贯无创通气,ST模式,初始IPAP为12 cmH2O,EPAP为5 cmH2O。后续发现患者潮气量不稳定,遂将IPAP增加至18 cmH2O,EPAP增加至6 cmH2O。患者在无创通气阶段坚持呼吸康复。

图片

六、第三阶段方案调整

第三阶段,再次调整方案。这一阶段患者需要机械排痰、主动咳嗽和气道湿化。在夜间尽量使用无创通气,白天使用氧疗,如此交替使用。在重症呼吸康复方面,鼓励患者主动活动,包括日常生活能力训练等(图15)

图片

图15  第三阶段方案调整
患者由ICU过渡至病房后仍然继续进行呼吸康复训练,增强了主动参与程度,由无创通气过渡至鼻导管氧疗,在病房能够与家人视频,家人的鼓励也增加患者的配合程度,增强康复训练的信心。复查胸部X线片可见患者双肺透亮度较前明显改善(图16)

图片

图16  第三阶段治疗后患者胸部X线片

图片

七、转归

出院医嘱:①低盐低脂糖尿病饮食,控制体重;②院外继续遵医嘱佩戴无创呼吸机,无创正压通气处方如下,模式为BiPAP ST(AVAPS),连接方式为口鼻罩,加温湿化为2~4档,参数设置:IPAP 20~25 cmH2O,EPAP 6 cmH2O,后备通气频率12次/min,呼吸机用氧5 L/min。
注意事项:①每6个月复查压力滴定;②饮酒及感冒鼻塞时请勿佩戴;③定期监测血压、血糖、肾功能、电解质、肝功能等,定期复查胸腹盆腔CT;④呼吸科、心内科、内分泌科随诊,感到不适时及时就诊。

图片

八、小结

明确肥胖、慢阻肺患者的病理生理学特点带来的危害对临床工作有重要意义,肥胖会在很大程度上改变患者的呼吸力学状态,导致肺不张、延长机械通气时间;食道压与EIT是系统评估呼吸力学、安全调整高水平PEEP和创造脱机机会的关键工具;专业的呼吸治疗团队+早期重症康复理念的融入,可能对部分困难撤机患者有更好的效果。

作者简介



图片

高胜浩
  • 河南省人民医院RICU主管呼吸治疗师,PCCM呼吸治疗基地秘书,内科呼吸治疗组组长

  • 中国医学装备协会呼吸病学装备技术专业委员会学组委员

  • 河南省康复医学会肺康复分会秘书、呼吸治疗学组副组长

  • 河南省康复医学会远程康复分会委员

  • 河南省呼吸与危重症学会呼吸治疗分会委员

声明:

本文仅用于学术内容的探讨和交流,不用于任何商业和推广。临床实践需根据患者的具体情况选择适宜的处理措施。

全部评论 0
Copyright©2020-2026 北京医麦斯科技有限公司 版权所有 京ICP备2020034400号-1 京公网安备11010502043983号