登录方式

方式一:
PC端网页:www.rccrc.cn
输入账号密码登录,可将此网址收藏并保存密码方便下次登录

方式二:
手机端网页:www.rccrc.cn
输入账号密码登录,可将此网址添加至手机桌面并保存密码方便下次登录

方式三:
【重症肺言】微信公众号
输入账号密码登录

注:账号具有唯一性,即同一个账号不能在两个地方同时登录。

登录
方式

为重症救治赋能

为患者康复加速

当前位置:首页 重症肺炎 诊断技术

ECMO辅助下肺活检

冯莹莹 国家呼吸医学中心 中日友好医院呼吸与危重症医学科 发布于2023-06-28 浏览 3472 收藏

图片

作者:冯莹莹

图片

单位:国家呼吸医学中心 中日友好医院呼吸与危重症医学科

图片

一、病例介绍

基本信息
患者,男性,71岁,2019年3月8日入院。主诉:呼吸困难45天,发热7天
现病史
入院前45天,患者受凉后出现呼吸困难,静息时即感呼吸费力,活动后加重,伴咳嗽、咳少量白色黏痰,呼吸频率增快,无发热、胸痛、咯血、下肢水肿等不适,查血常规(2019-01-16):WBC 11.54×109/L,NEU% 80.5%,LYM 2.14×109/L;胸片示双下肺纹理增多、紊乱、模糊,考虑“慢性支气管炎急性加重、肺部感染”,予抗感染+激素后患者呼吸困难症状好转,静息状态下无发作。
入院前20天患者受凉后再次出现呼吸困难,性质及伴随症状同前,再次予以抗感染+激素治疗后呼吸困难症状好转,可耐受平路行走。
入院前7天患者受凉后出现发热,Tmax 38.6℃,伴畏寒、寒战,伴四肢肌肉酸痛、头晕、头痛、呼吸困难,无明显流涕、咳嗽、咳痰等不适,就诊当地诊所(具体不详),予克林霉素+左氧氟沙星抗感染,同时予地塞米松5 mg静滴后体温降至正常。
入院前5天,患者夜间如厕后出现呼吸困难,症状较前明显加重,呈端坐呼吸,伴口唇发绀、呼吸断续,就诊于当地医院,查血气(未吸氧)示Ⅰ型呼吸衰竭血常规:WBC 3.1×109/L,NEU% 76.3%,LYM 0.62×109/L;降钙素原5.8 ng/ml;血沉95 mm/h。病原方面:流感抗原阴性;痰涂片可见大量G+球菌,痰细菌培养提示肺炎链球菌,痰真菌培养提示白色念珠菌。胸部CT提示:双肺多发斑片、片状渗出实变影,伴小叶间隔增厚。诊断考虑“重症社区获得性肺炎,Ⅰ型呼吸衰竭”。
予无创呼吸机辅助通气,利巴韦林0.5g qd+奥司他韦150 mg bid抗病毒,莫西沙星0.4 g qd+头孢哌酮舒巴坦3g q8h抗感染,1天后更换为比阿培南0.3 g q8h+氟康唑200 mg bid抗感染治疗3天,患者痰量明显减少,仍间断发热,复查血气氧合指数为85 mmHg(较前下降)。复查胸部CT双肺间质改变较前进展,为进一步诊治收入我院。
患者自发病以来,无口干、眼干及口腔溃疡,无皮疹、关节肿痛,无消瘦、咯血,无腹痛、腹泻,精神、睡眠、食欲均尚可,大小便正常,体重无明显下降。
入院主要诊断
间质性肺炎,Ⅰ型呼吸衰竭;社区获得性肺炎(肺炎链球菌)。
入院情况
3月8日血气分析(FiO2 0.95)pH 7.49,PaO2 60.5 mmHg,PaCO2 31 mmHg,HCO3- 23.7 mmol/L,BE 2.3 mmol/L,Lac 2.1 mmol/L,SaO2 89.9%。
患者清醒,配合良好,咳嗽、痰少;可能需要激素治疗,院内感染风险高;予清醒ECMO辅助,VV-ECMO+HFNC/NPPV。
气管镜结果
3月10日床旁纤维支气管镜检查:各叶段管腔内可见少量白色黏稠分泌物,予充分吸净,未见溃疡糜烂及新生物。于右肺下叶内前基底段行支气管肺泡灌洗,标本送检病原学及GM试验。
3月10日BALF病原学:细菌涂片及培养阴性;真菌涂片及培养阴性,GM试验阴性,人肺孢子菌核酸阴性;分枝杆菌抗酸涂片、弱抗酸涂片、GeneXpert均阴性;病毒:甲/乙流、新型H1N1、H7N9、呼吸道合胞病毒、EB病毒、人巨细胞病毒、腺病毒核酸均阴性;非典型病原体—军团菌核酸、支原体核酸、衣原体核酸均阴性。
呼吸衰竭持续进展,气管镜未发现确切病原,广谱抗感染效果欠佳。是否考虑肺活检?
活检方式选择
(1)TBLB:对间质病诊断效力有限,ELSO不推荐经支气管内肺活检,因其出血风险极高。
(2)引导下经皮穿刺:超声引导仅适合于胸膜下实性病灶,气胸风险高;CT引导气胸/出血风险高。
(3)经支气管冷冻肺活检(TBCB):新技术,需要全身麻醉、气管插管。
(4)外科肺活检:创伤相对较大,持续漏气风险高。
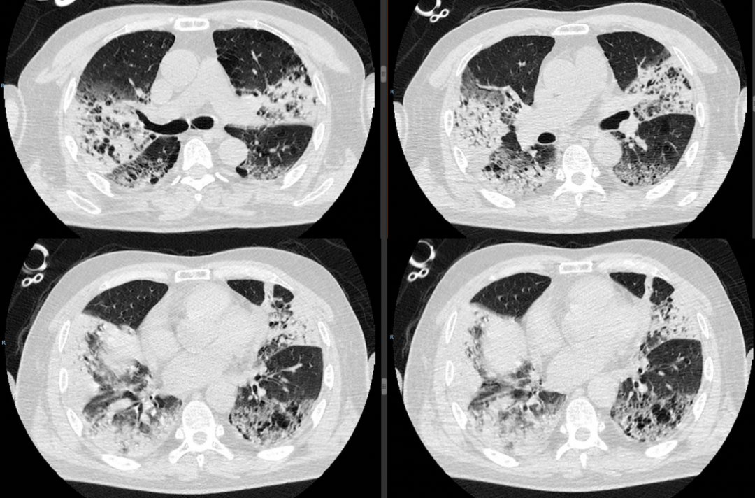
复查HRCT
右肺中下肺野、左肺上叶有渗出性病灶,局部呈铺路石征、支气管充气征阳性,病灶分布无规律,包括磨玻璃影、实变、气腔实变、肺体积缩小,以感染性病变后纤维化改变为主(图1)
图片
图1  患者复查HRCT
超声引导下经皮肺穿刺活检
权衡出血风险,停用肝素,待凝血功能彻底恢复正常后予超声引导下经皮肺穿刺。3月13日送检,3月20日回报:肺泡间隔增宽,纤维母细胞增生,并呈息肉样突入细胞腔,间隔少量淋巴细胞及浆细胞浸润,肺泡上皮增生,肺泡腔内可见吞噬细胞聚集及纤维素性渗出。免疫组化:CK7(+),TTF-1(+)。特殊染色:Masson三色(+),PTAH(+),弹力染色(+),PAS(-),银染(-),抗酸染色(-)。
诊断和治疗
最终诊断机化性肺炎。采用激素冲击治疗(图2),3个月后患者肺部病灶明显吸收(图3)。2年后随访,患者情况较好。
图片
图2  患者治疗方案及感染指标变化情况
图片
图3  患者胸部CT

图片

二、ECMO辅助下的肺活检
上述病例是我们第一次尝试对ECMO患者进行肺活检。早在2003年,BTS指南就已经指出ICU肺活检相对安全[1]。机械通气并不是肺活检的禁忌证,胸膜下病变首选超声引导下肺穿刺,非胸膜下病变建议CT引导下肺穿刺。机械通气时如果超声下可以见到病灶,则穿刺相对可行;穿刺时选择控制通气。2017年ELSO指南提及,如果诊断不明确,肺功能没有明显好转,应考虑活检;而且如果需要做,应尽早(ECMO支持1周内)。ECMO患者出血风险极高,指南推荐最好选择开胸活检(或胸腔镜),尽量避免经支气管肺活检。
对于ECMO患者,气道内活检操作应谨慎。患者在ECMO支持情况下,多需要抗凝,增加了出血风险。经支气管肺活检多为盲取钳夹,而且2017年时安全措施的应用尚不普遍。针对这些问题,如果能够在临床中进一步优化,是否可以考虑ECMO患者气道内活检,例如无抗凝或短时间停止抗凝以降低出血风险;如果盲取不安全,不选择TBLB或在可视化情况下进行经支气管肺活检;还可以采取球囊充气止血。
1. 我们的经验
我们团队第一例ECMO肺活检患者是一位39岁女性患者,活检过程非常顺利,这与放置了支气管内封堵球囊有很大关系。第二例是一位68岁男性患者,该患者经病理诊断为弥漫性肺泡损伤(DAD),且合并CMV感染,BALF结果为阴性[2]。另外,我们也对一些ECMO支持患者进行了活检操作,例如超声引导下经皮肺穿刺(表1)

表1  ECMO患者超声引导下肺活检

图片

续表1

图片


2. 他山之玉
2004年Thorax发表了一篇文献,其中有8例新生儿病例,组织学诊断为表面活性物质蛋白B遗传缺陷、肺泡毛细血管发育不良、肺部淋巴结节病、肺发育不全、胎粪吸入、 窒息性外伤,患儿整体预后不理想,多数死亡。对于出生后就面临严重呼吸和循环衰竭的新生儿,肺活检也被推荐使用并且认为是有必要的。对于致命性先天异常者,应尽早活检。
2017年荷兰一项研究纳入25例行开胸肺活检的儿科患者,其中有9例新生儿,6例儿童。活检过程顺利,无出血并发症。肺活检的诊断效力达到88%,其中52%明确诊断,36%有明确异常的病理改变;12%为非特异性病理改变。实际上,死亡患者仍然非常多。因为很多患者在活检之后证实了存在不可逆的先天性异常,例如肺泡毛细血管发育不良伴肺静脉错位等[4]
2014年发表在Intensive Care Med 的一篇文献显示,在纳入的5例患者中有3例肺移植术后呼吸衰竭、2例ARDS。活检时呼吸支持条件为PCV,PC 12 cmH2O/PEEP 12 cmH2O/RR 12 bpm。涂层管路。肝素停用6 h后进行床旁开胸肺活检,操作中无大出血、无持续漏气。2例ARDS患者死亡,组织病理显示纤维化期改变,肺内病灶无法吸收,原发病不可纠正。3例肺移植患者可能与移植术后排异反应有关,后期经过激素和免疫抑制剂治疗,病情有所缓解。该文献也对没有气道持续漏气的患者进行了讨论,可能是由于几名患者在活检时病情都非常严重,氧合及肺顺应性均很差,所以此时大部分肺脏没有通气,因此不太容易出现持续的支气管漏气[5]。另外一项研究针对于成人ECMO肺活检,结果可见大部分患者预后不理想,这些患者的病理诊断以弥漫性肺泡损伤为主,部分患者可能合并机化[6]
3. ECMO辅助肺活检的凝血管理
对ECMO患者进行肺活检是可行的,但其出血及血栓的风险较其他患者更高。因此,在活检前根据患者病情停用抗凝药物6 h以上,待患者凝血功能基本恢复正常后,再考虑活检操作。
对于冷冻肺活检,建议常规预置支气管封堵球囊,避免冷冻之后撕取组织导致的大出血;避免盲取,常规采用导航/小探头等新技术;每次活检后迅速退出支气管镜,充起球囊;活检结束后继续留置球囊2~4 h复查气管镜,松开封堵球囊后观察局部有无活动性出血,若仍有活动性出血,则继续充起球囊封堵相应支气管,暂不恢复抗凝;无活动性出血者可考虑恢复抗凝,并再次充起球囊封堵相应支气管以防止抗凝引起活检部位再次出血;待抗凝达标后,再次复查支气管镜,明确无活动性出血后撤除球囊。拔除球囊前,应尽可能地清理气道内血凝块,以改善通气,减少后续感染风险的发生,并且有助于进一步明确有无活动性出血。
对于经皮肺穿刺,短针道、减少同一针道反复穿刺。另外,也可以考虑联合支气管封堵球囊,确保操作更安全。
4. ECMO辅助肺活检的气道管理
在ECMO辅助肺活检的气道管理方面,首先,保证ECMO流量是第一要务,良好的流量是保证氧合和CO2清除的前提。其次,避免气道内压力过高。①深镇静镇痛,按需肌松;②避免患者出现呛咳,影响ECMO流量;③PEEP降至0或可维持氧合的最低水平;④肺超保护性通气策略(小潮气量),避免反复牵拉导致肺泡损伤进一步加重。
5. ECMO辅助肺活检的并发症
目前并没有ICU患者行肺活检的并发症发生率的报道,包括ICU患者在内的整体并发症流调显示,气胸发生率为20.5%(0~61%),需要引流的气胸3.1%(3.3%~15%)【气胸风险(包括CT和超声下引导穿刺),主要来自于穿刺针穿到充气的肺组织,不是邻近胸膜的病变则气胸风险明显增加】,咯血5.3%(1.25%~5%),血胸1.5%【大量出血罕见,出血可能发生在肋间或乳腺内动脉或静脉】,死亡0.15%[1]。无论如何,ECMO患者肺活检出现并发症的发生率仍然高于普通患者,因此一定要谨慎。

图片

三、小结
ECMO辅助下肺活检可行,但其风险相对较高,因此,安全是第一要务。对于经支气管活检,导航、小探头、球囊在临床上都可以作为常规措施。对于经皮肺穿刺,球囊保护是比较重要的保护手段。另外,凝血管理和气道管理也是ECMO辅助下肺活检操作中需要重点关注的问题。

参考文献

[1] Manhire A, Charig M, Clelland C, et al. Guidelines for radiologically guided lung biopsy[J]. Thorax, 2003, 58(11):920-936. 

[2] Zhou G, Feng Y, Wang S, et al. Transbronchial lung cryobiopsy may be of value for nonresolving acute respiratory distress syndrome: case series and systematic literature review[J]. BMC Pulm Med, 2020, 20(1):183. 

[3] Inwald D, Brown K, Gensini F, et al. Open lung biopsy in neonatal and paediatric patients referred for extracorporeal membrane oxygenation (ECMO)[J]. Thorax, 2004, 59(4):328-333. 

[4] Houmes R J, Ten Kate C A, Wildschut E D, et al. Risk and relevance of open lung biopsy in pediatric ECMO patients: the Dutch experience[J]. J Pediatr Surg, 2017, 52(3):405-409. 

[5] Rozé H, Thumerel M, Ouattara A, et al. Feasibility of bedside open lung biopsy in patients treated with extracorporeal membrane oxygenation[J]. Intensive Care Med, 2014, 40(11):1789-1790. 

[6] Lipps K M, Bharat A, Walter J M. Lung Biopsy in Patients with Acute Respiratory Distress Syndrome Supported on Extracorporeal Membrane Oxygenation: A 2 Year Experience[J]. ASAIO J, 2019, 65(8):e92-e94.  

作者简介



图片

冯莹莹

国家呼吸医学中心中日友好医院呼吸与危重症医学科

中华医学会呼吸病学分会与美国胸科医师学会认证PCCM专科医师

THORAX 杂志青年编委

主要研究领域为ARDS、肺康复、重症营养

参与国家级科研项目1项及省部级课题3项

以第一/通讯作者发表SCI多篇

参编或编译书籍5部


声明:

本文仅用于学术内容的探讨和交流,不用于任何商业和推广,亦不作为最终的临床决策。临床实践需根据患者的具体情况选择适宜的处理措施。

全部评论 0
Copyright©2020-2026 北京医麦斯科技有限公司 版权所有 京ICP备2020034400号-1 京公网安备11010502043983号