登录方式

方式一:
PC端网页:www.rccrc.cn
输入账号密码登录,可将此网址收藏并保存密码方便下次登录

方式二:
手机端网页:www.rccrc.cn
输入账号密码登录,可将此网址添加至手机桌面并保存密码方便下次登录

方式三:
【重症肺言】微信公众号
输入账号密码登录

注:账号具有唯一性,即同一个账号不能在两个地方同时登录。

登录
方式

为重症救治赋能

为患者康复加速

当前位置:首页 重症肺炎 诊断技术

改良经皮穿刺肺活检在呼吸危重症患者中的应用

余荷,王业 四川大学华西医院呼吸与危重症医学科 发布于2023-06-28 浏览 5142 收藏


图片

作者:余荷,王业

图片

单位:四川大学华西医院呼吸与危重症医学科


1. 活检对重症患者的重要性

活检对于肺部疾病的诊断具有非常高的价值。对于肿瘤(淋巴瘤),只能依赖病理诊断。对于真菌感染等,病理的诊断级别最高,被视为“金标准”。对于结核、间质性疾病等,病理对诊断也非常有帮助。此外,对于普通病毒、细菌感染等,病理也能帮助诊断。理论上,重症患者更需要活检,以便尽早明确病因进行针对性治疗。然而目前临床仍然存在一些问题限制了活检操作,例如:①难以实施:重症患者的搬动、转运、签字同意以及各种插管干扰穿刺操作;②风险大:很多危重症患者接受正压通气,张力性气胸、气道出血、胸膜反应等的发生风险高于普通患者;③活检时间窗窄:活检时机难以确定,病情容易快速恶化;④风险收益比不确定:对于重症患者而言,活检的风险较大,医生不敢肯定从病理结果中一定能够获益。

重症患者进行肺活检要满足以下条件:①安全:尽量减少张力性气胸和气道内出血的发生;②有效:进行活检的标本量要充足,而且要有代表性,能够完善病理、mNGS或者电镜检查;③易行:尽可能在床旁完成穿刺活检,因为床旁的监护条件及各方面处置会比较及时,操作流程简单化。

2. 肺活检方法

目前能在ICU中实施的肺活检方法包括:开胸肺活检(OLB),经支气管肺活检(TBLB),经支气管冷冻肺活检(TBCB),经皮肺穿刺活检(PTNB)。OLB对于重症患者的创伤太大,不容易实施,而且出血和持续漏气风险较高,约有30%以上,因此,TBLB、TBCB和PTNB成为临床主要应用的活检方式。2022年发表的由中日友好医院詹庆元教授和上海市东方医院李强教授牵头组织编写的《呼吸危重症患者行肺组织活检操作的专家意见》将不同的肺活检方式进行了比较表1[1]

1  不同肺活检方式对比

图片

3. 支气管阻断超声引导经皮穿刺肺活检术

我们团队尝试了改良的经皮穿刺肺活检,即支气管阻断超声引导经皮穿刺肺活检术(Bronchus-blocked Ultrasound-guided Percutaneous Transthoracic Needle Biopsy,BUS-PTNB)[2]。在进行经皮肺穿刺时,通过支气管阻断器阻断穿刺肺叶的支气管,在穿刺过程中,减少了正压对肺的影响,阻挡气体外逸,而且即使有出血,也可以阻止血液流到其他肺叶,影响患者的氧合。该方法保留了PTNB有效、易行的优点,同时降低了张力性气胸和大量支气管内出血的发生风险。

图片

图1  BUS-PTNB示意图
为什么两个导管要从不同的地方进入?因为气管导管内无法同时容纳支气管阻断器和纤支镜,所以我们选择了纤支镜先通过气管导管而支气管阻断器从气管导管外进入的方式。这一方法的提出源于我们团队多次与呼吸介入团队王业教授在MICU进行穿刺的尝试,以及不断地思考如何减少危重患者活检的风险。纤支镜室呼吸治疗师孙鹏向我们介绍了支气管阻断器,由此便萌发了阻断后再活检的设想。前期我们也在4例患者中做了一些尝试,并在Critical Care上发表了相关文章。

4. 哪些患者适合BUS-PTNB?如何实施?

BUS-PTNB的适应证包括:病因学或病原学不明,相对大片的肺部浸润,有创机械通气(有人工气道),最优通气下PaO2≥60 mmHg。禁忌证主要为凝血功能障碍。BUS-PTNB的操作流程可以总结为EPUBNOW流程。

Evaluation(评估):由呼吸重症(重症)医生和有穿刺活检经验的呼吸介入医生共同评估患者的适应证、禁忌证及穿刺部位(CT确定穿刺也段)。

Preparation(准备):镇静剂、气道管理、呼吸机参数、体位、抢救物资(药物、物品)。

Ultrasound location(超声定位):确定穿刺部位,标记。

Bronchus blocking(支气管阻断):使用纤支镜将支气管阻断器送到目标叶支气管,纤支镜直视下充盈阻断器球囊并固定,监测SpO2 5 min。同时摆放患者体位,如侧卧位。侧卧位时,需要确定球囊处于充盈状态。

Needle biopsy(穿刺活检):超声再次确定位置(胸水流动性、肺不张),同轴活检针穿刺(可实时引导进针),切割针取材2~3条组织。

Observation(观察):仰卧位,固定支气管阻断器及球囊,观察20 min以上,判断气胸及出血。Withdrawal of blocker(撤除支气管阻断器):纤支镜进入,直视下松开球囊,如无活动性出血,撤除支气管阻断器。

5. BUS-PTNB前期操作情况

我们团队前期对4例患者进行了BUS-PTNB,其氧合指数在96~210.5 mmHg,操作过程中患者氧合并无明显变化。有一例患者出现了氧饱和度下降,是由于支气管阻断器未能完全阻断支气管,导致轻度漏气,在插入同轴针时发生气胸。及时发现该问题后,术者将球囊进一步充气,穿刺后行胸腔闭式引流,超声检查无残余空气。还有一例患者的支气管阻断器最初被预置在基底段支气管,在插入穿刺针时,背段支气管发生气道近端出血。术者将支气管阻断器向后退出至叶支气管,覆盖背段支气管进行止血,后续未再出血。
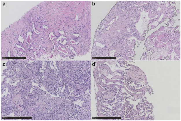
4例患者的病理结果对临床诊断有重要帮助。患者1:肺间质纤维化伴淋巴、浆细胞浸润;肺泡腔内红染物质聚集。组织mNGS回报CMV(序列数267),PCP(序列数9)(图2a)患者2:肺泡上皮及间质纤维增生,肺泡腔内可见数个核大深染细胞,mNGS回报HSV-1(+)(图2b)患者3:肺泡上皮增生,肺泡腔内可见炎性渗出物,泡沫细胞聚集,间质纤维增生,炎细胞浸润(图2c)患者4:肺组织局灶性慢性炎症伴纤维组织增生;TB-PCR(+)(图2d)

图片

图2 BUS-PTNB 4例患者病理结果

在后续操作中,我们总结了之前遇到的问题,梳理了穿刺流程,注册了多中心临床研究并申报了院内新技术。临床研究的纳入标准为:①年龄≥18岁且<80岁;②气管插管机械通气的患者;③影像学提示双肺外带胸膜下有明显病变(包括但不限于实变、斑片、结节、团块、空洞等)或不明原因的弥漫性间质性肺疾病患者;④常规检查未发现肺部病因或病原学依据,或已有临床资料无法解释患者肺部病情进展。排除标准为:①患者或家属拒绝参与;②最佳优化机械通气下PaO2<60 mmHg;③血小板<50×109/L,或INR>1.5,或FIB<1.0 g/L;④妊娠患者;⑤临床医生认为不能穿刺的其他情况。目前的结果显示总体安全性较好,继续改良技术后(在穿刺结束后经穿刺道予凝血酶+明胶海绵颗粒封堵),风险较前明显降低。对病原学的判断及组织病理的提示有一定价值。我们同步送检了BALF mNGS和组织病理,大部分BALF能够替代组织微生物检查,但有一部分定植菌在组织病理中没有发现,所以提示定植的可能性更大,侵袭性感染的可能性小一些。一些组织病理对于淋巴瘤、真菌感染、纤维素性机化性肺炎等的诊断都有一定的提示意义。

6. 小结

BUS-PTNB对于有创机械通气的肺部疾病患者是一种有前景的活检技术,可能降低此类患者出现严重并发症的风险,为重症患者的病理诊断提供了一种方法,对揭示重症肺部疾病的发病机制有一定作用。

参考文献

[1] 中国医师协会呼吸医师分会呼吸危重症专委会, 中国医师协会呼吸医师分会介入呼吸病学工作委员会. 呼吸危重症患者行肺组织活检操作的专家意见[J]. 中华医学杂志, 2022, 102(22):1641-1647. 

[2] Zhao Y, Jiang F, Yu H, et al. Bronchus-blocked ultrasound-guided percutaneous transthoracic needle biopsy (BUS-PTNB) for intubated patients with severe lung diseases[J]. Crit Care, 2021, 25(1):359. 

作者简介



图片

余荷

  • 四川大学华西医院呼吸与危重症医学科副主任医师

  • 中华医学会呼吸病学分会呼吸危重症学组委员

  • 四川省国际医学交流促进会呼吸与危重症医学专业委员会常务委员

  • 四川省国际医学交流促进会重症医学专业委员会青年委员

  • 四川省老年医学会重症专业委员会常务委员

  • 四川省医学会重症医学专业委员会青年委员

  • 四川省医师协会第三届重症医学医师分会委员

  • 发表SCI论文及核心期刊论文20余篇,参编专著3部

  • 作为研究者参与多项临床及GCP研究

  • 作为负责人承担四川省科技厅项目2项

  • 作为分中心负责人承担国家重点研发项目子课题研究1项


图片

王业
  • 四川大学华西医院呼吸与危重症医学科

  • 医学博士,副教授,硕士研究生导师

  • 中华医学会呼吸病学分会介入呼吸病学组委员

  • 四川省医学会呼吸病学专业委员会介入呼吸病学组委员

  • 四川省医学会呼吸病学专业委员会感染学组委员

  • 主要研究方向:肺癌的分子检测,胸部经皮及血管介入


声明:

本文仅用于学术内容的探讨和交流,不用于任何商业和推广,亦不作为最终的临床决策。临床实践需根据患者的具体情况选择适宜的处理措施。


全部评论 0
Copyright©2020-2026 北京医麦斯科技有限公司 版权所有 京ICP备2020034400号-1 京公网安备11010502043983号