登录方式
方式一:
PC端网页:www.rccrc.cn
输入账号密码登录,可将此网址收藏并保存密码方便下次登录
方式二:
手机端网页:www.rccrc.cn
输入账号密码登录,可将此网址添加至手机桌面并保存密码方便下次登录
方式三:
【重症肺言】微信公众号
输入账号密码登录
注:账号具有唯一性,即同一个账号不能在两个地方同时登录。
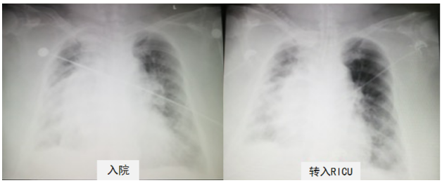
一、病情介绍 患者女性,77岁,主因“反复咳嗽、咳痰、喘息10余年,加重1月”入院。入院后出现进展性呼吸性酸中毒合并意识障碍,给予气管插管、转入RCU进一步治疗。 既往罹患高血压病,混合性睡眠呼吸暂停低通气综合征,曾于外院诊断“慢性阻塞性肺疾病”,2年前诊断右肺腺癌,正在进行靶向治疗中,脐疝,骨结核。无吸烟史,长期从事教师职业。 体温36.8℃,脉搏83次/min,呼吸18次/min,血压109/65 mmHg,插管前患者浅昏迷,插管后镇静状态,双肺呼吸音低,可闻及干啰音,腹膨隆,腹部可及直径约15 cm包块,无压痛,双下肢浮肿,BMI 43 kg/m²,重度向心性肥胖。 WBC 7.67×109/L,NEU% 76.3%,CRP 1 mg/dl,PCT 4 ng/ml。 Cre 84 μmol/L,CK 74 U/L,ALT 25 U/L,GLU 8.9 mmol/L。 MYO 62.8 ng/ml,CK-MB 5.4 ng/ml,TNI 0.0206 ng/ml,BNP 145 pg/ml,D-Dimer 2670 ng/ml。 血气分析(NIV,FiO2 0.5):pH 7.11,PaCO2 120 mmHg,PaO2 66.5 mmHg,SpO2 91%,BE 5.6 mmol/L,HCO3- 36.7 mmol/L。胸部X线片:患者心影偏大,右侧肺门偏大,双侧透亮度减低,左上肺有过度充气表现(图1)。 患者胸部X线 肥胖患者机械通气的要点和难点 (1)呼吸力学测量:临床进行呼吸治疗需要了解反映患者呼吸力学改变的指标。在对肥胖患者进行呼吸生理学指标监测时往往会发现其平台压力明显升高,我们要结合患者的影像学特点来判断平台压升高的原因,其与ARDS引起的平台压升高并不相同。向心性肥胖患者主要的病理生理变化是大量脂肪堆积,尤其是腹部脂肪堆积导致膈肌活动受限,吸气做功增加;功能残气量(FRC)明显下降,呼气动力不足;胸内压增加,引起呼气时小气道过早关闭,导致吸气和呼气双相障碍,患者呼吸做功明显增加(图3)。 图3 肥胖患者呼吸生理改变 图4 A:仰卧位自主呼吸时,由于膈肌移动受限和小气道过早关闭,导致呼吸做功增加;B:麻醉后引起呼吸肌肉功能障碍,呼吸顺应性下降,气体陷闭加重,呼吸机正压通气时背侧通气减少;C:外源性PEEP增加麻醉状态下患者背侧通气和减少气体陷闭。 (3)肺复张应用:谨慎应用,避免心输出量下降或肺容量伤。 (4)实施坐位通气:实施坐位通气改善患者肺内分流。对于肥胖患者,坐位通气是可行的。坐位情况下,患者腹部活动空间更大,胸腔内压力会降低。 (5)自主呼吸试验(SBT):文献显示,低水平PS和CPAP可能低估肥胖患者拔管后的呼吸做功,因此建议设置PS为0,PEEP为0,以提高SBT的准确性。但这种方法似乎比T管呼吸做功更高,SBT成功难度更大,因此在PS和PEEP为0的情况下,如果患者能够通过SBT,其拔管成功率可能会更高。 患者的评估是呼吸治疗的第一步,包括基础状态评估(包括意识、镇静镇痛、肌力)、营养状态评估、呼吸力学评估、血流动力学评估、膈肌功能评估。 基础状态评估:GCS评分E3+VT+M5;RASS评分+1~+2分;BPS疼痛程度评分3分;MMT评估双上肢肌力Ⅳ级,双下肢肌力Ⅲ级;四肢肌张力正常;插管前存在谵妄状态;长期卧床。 营养风险筛查(NRS)评分6分,属于营养不良高风险人群。 呼吸系统评分:胸廓正常;右肺湿啰音,双下肺呼吸音低;痰液较多,黄色,黏稠;咳嗽能力弱;胸片示双肺斑片影,双侧胸腔少量积液;经口气管插管, 容控模式,Vt 360ml,RR 16次/min, PEEP 8 cmH2O,FiO2 0.6,Flow 55 L/min。呼吸力学评估:①呼吸机肺功能监测:Ppeak 55 cmH2O,Pmean 18.9 cmH2O,总PEEP 8 cmH2O,PEEPi 6 cmH2O,Pplat 32 cmH2O,Vt 360 ml,RR 20次/min, FiO2 0.8。②气道阻力(R):23 cmH2O/(L·s)[正常值:<10 cmH2O/(L·s)];③肺顺应性(C):15 ml/cmH2O(正常值:50~100 ml/cmH2O)。 三、呼吸治疗策略及需要关注的问题 四、撤机困难与呼吸康复 困难撤机病因与相关因素分析 表1 常见影响患者撤机的病生理因素临床分析表 安全评估:①呼吸系统;②循环系统;③神经系统。 基础状态:意识、疼痛及躁动程度;肌力、肌张力评估;谵妄及吞咽能力评估。 营养风险:近1个月体重下降>5%;近1周营养摄入>总量60%。 一阶段目标:①恢复自主呼吸;②使患者处于45°坐位,改善肺内分流,提高肺泡通气。 二阶段目标:①促进痰液引流;②提高四肢肌力;③改善耐力与活动能力;④早期拔管,序贯无创通气;⑤患者恢复自理能力,脱离重症单元。 五、小结 参考文献 [1] Kacmarek R M, Wanderley H V, Villar J, et al. Weaning patients with obesity from ventilatory support[J]. Curr Opin Crit Care, 2021, 27(3):311-319. [2] Grassi L, Kacmarek R, Berra L. Ventilatory Mechanics in the Patient with Obesity[J]. Anesthesiology, 2020, 132(5):1246-1256. [3] De Jong A, Wrigge H, Hedenstierna G, et al. How to ventilate obese patients in the ICU[J]. Intensive Care Med, 2020, 46(12):2423-2435. 作者简介 钟雪锋 北京医院呼吸与危重症医学科 副主任医师 北京市医学会呼吸病学分会危重症学组委员 中国老年学和老年医学学会呼吸与危重症分会委员 长期在呼吸重症监护室工作,擅长机械通气、复杂感染、肺间质疾病急性进展等 参与国家级课题研究多项,发表论文20余篇 声明:
后可发表评论
友情链接
联系我们
公众号
客服微信