登录方式

方式一:
PC端网页:www.rccrc.cn
输入账号密码登录,可将此网址收藏并保存密码方便下次登录

方式二:
手机端网页:www.rccrc.cn
输入账号密码登录,可将此网址添加至手机桌面并保存密码方便下次登录

方式三:
【重症肺言】微信公众号
输入账号密码登录

注:账号具有唯一性,即同一个账号不能在两个地方同时登录。

登录
方式

为重症救治赋能

为患者康复加速

当前位置: 首页 我是RT 相关文章

RT笔记|肺部超声的应用

吴航 武汉市第三医院呼吸与危重症医学科 发布于2022-12-23 浏览 8724 收藏

作者:吴航

单位:武汉市第三医院呼吸与危重症医学科


01
肺部超声基础知识

肺部超声实际应用时要选择合适的探头、正确的超声模式、恰当的手法以及准确的图像定位(图1~4):①短轴图像(水平面),探头标记点朝向患者右侧,屏幕标记点在默认位置(屏幕的左侧)。患者右侧组织的超声图像会投射在屏幕的左侧,类似CT成像方向。②长轴图像(矢状面),探头标记点朝向患者头端,确认屏幕标记点在默认位置(屏幕左侧)。该切面会将患者头端的结构投射到屏幕左侧。
图片


图1  四种类型的超声探头

图片


图2  肺部超声手法


图片


图3 不同的超声模式


图片

图4  图像定位



02
操作方法

1. 肺部分区


图片


图片



2. 操作流程


图片
3. 检查记录单


图片



03
肺部超声征象

近年来,越来越多的研究证实,超声对多种肺部疾病有诊断价值。例如:肺水肿、气胸、肺炎、肺栓塞、胸腔积液……尤其是重症超声的肺部检查。肺部超声的原理依赖于受损的肺泡和间质的充气、含水量的改变所产生的超声影像及伪影(图5)


图片


图5  肺内气液比例对于肺部超声征象的影响
1. 基础征象

正常肺部超声包括:蝙蝠征(视频1,图6)即上下肋骨影和胸膜线组成类似蝙蝠的图像,辨识这一基本图像,避免伪影。

视频1 蝙蝠征


图片

图6  蝙蝠征对应的探头位置


2. 肺和胸膜超声的总结

肺滑动征:①肋骨下高回声、光滑的水平线为胸膜;②正常情况下,脏、壁层胸膜紧贴,随呼吸相对滑动;③粘连或者有气体分隔脏、壁层胸膜时,胸膜滑动减弱或消失。在M型超声下的肺滑动征称“海岸征”,能更好地观察肺滑动征。肺滑动和海岸征的存在基本可以排除气胸(视频2,图7)。

视频2  肺滑动征


图片

图7  海岸征


A线:正常肺征象的一部分,是与胸膜线平行的重复伪影,A线之间的间距等于皮肤到胸膜线之间的距离,A线出现却不伴有肺滑动征,则提示气胸的存在视频2


彗尾征/B线(B1):起源胸膜线并与之垂直延伸至屏幕边缘的线样高回声,不衰减,随肺滑动同步运动,彗尾征出现时通常会覆盖A线,提示小叶间隔增厚和肺间质水肿等肺间质疾病(如肺水肿、ARDS),B线出现可排除气胸视频3)。

视频3  彗尾征



3. 胸腔积液

在二维超声图像中可看到“四边征”视频4,胸腔积液的四周由胸膜线(上界),肺(下界),两侧的肋骨影构成。M型超声下观察正弦曲线征图8,正弦曲线征表示浮动的肺随着呼吸朝向胸壁的运动,是胸腔积液的特征性表现。

视频4  四边形征


图片

图8  正弦曲线征


探头类型及位置:相控型或凸阵探头,探头垂直皮肤,标记点朝向头侧。从L4区域远端开始,向头端滑动探头,寻找膈肌与胸膜(图9)


图片


图9  胸腔积液超声探头位置


声像图表现:壁层胸膜和脏层胸膜,被低回声区分开。随着呼吸伴有肺运动(水母征)(图10,视频5)


图片

图10  水母征

视频5  水母征



积液容量:在肺底或第5肋间隙水平测量(图11)。距离肺下极3 cm处测量积液深度。积液深度>5 cm提示胸腔积液>500 ml。


图片


图11  胸腔积液深度的超声下测量


4. 气胸

肺点:胸腔内气体与肺的交界点;在B型超声下没有肺滑动;在M型超声下,海岸征被条码征代替的交界点(图12,视频6)。气胸诊断的特异性是100%,敏感性是100%。

图片

图12  B型和M型超声下气胸表现


视频6  B超声下气胸表现



5. 急性间质综合征

融合B线(B2)(视频7):起源胸膜线并与之垂直延伸至屏幕边缘的线样高回声,不衰减,B线间距小于7 mm,数量越多,间质疾病越严重,对于肺水肿的敏感性和特异性为93%,原发病治疗后,彗尾会减少或消失,慢阻肺患者不出现彗尾征。

视频7  融合B线



支气管充气征视频8含气的支气管;如支气管通畅,随呼吸呈一暗一明的表现;如支气管不通畅,则呈与支气管形状一致的高回声像。

视频8  支气管充气征


肺炎:由于肺实变,犹如从胸膜线处滋生出了组织。出现伴随呼吸而运动的支气管充气征(高回声影)。碎片征:实变的肺脏和充气肺泡交界的地带出现碎片样的不规则强回声光斑视频9。注意有无肺水肿,双上肺B线,以及肺滑动征。

视频9  碎片征


肺不张:肺滑动消失、肺搏动(心脏搏动传导的胸膜线震动)(图13)、不运动的支气管充气征。

图片


图13  肺搏动
6. 肺部超声评分
肺部超声评分(表1):评估肺通气不足,可预测撤机过程呼吸窘迫的风险。
表1  肺部超声评分


图片

什么时候需要做肺部超声?①低氧、呼吸困难;②SBT或拔管、俯卧位、肺复张、胸部物理治疗、纤支镜,滴定PEEP? ③NIV、HFNC、插管、气切、ECMO;④每日筛查,困难撤机。

肺和胸膜超声图像类型总结见表2。


表2  肺和胸膜超声图像类型总结
图片
肺部超声的局限性:①患者自身特殊病理生理状态对肺部超结果会产生干扰,如皮下气肿、胸膜钙化、全身性水肿、肥胖。②实施者依赖,临床操作和结果判读都需要长时间的训练,否则会产生偏差,肺部超声只能反映在通气和失通气,不能反映过通气。③肺部超声只能半定量评分评估通气,不能精确评估。④肺部超声只能反映通气,不能反映血流。
常见肺部疾病的超声下表现见表3,从超声征象判断肺部病变的思路总结如图14所示。


表3  常见肺部疾病的超声下表现

图片

图片


图14  从超声征象上判断肺部病变的思路总结
04
膈肌超声

1. 膈肌运动幅度和速度

部位在标记点朝向头侧。膈肌与肺的交界面大概位于第5至第8肋间隙,腋中线与腋后线之间。双侧扫描。视频10为B型超声模式下膈肌。

视频10  B型超声模式下膈肌


正常自主呼吸患者的膈肌运动幅度如下表,一般平静呼吸时膈肌活动度<10 mm被认为膈肌功能不全。研究提示,膈肌浅快呼吸指数(呼吸频率/膈肌活动度)≥1.3次/(min·mm)时预测脱机失败的敏感度为94.1%,特异度为64.7%,诊断准确性优于其他撤机指标。

表4  膈肌活动度

图片

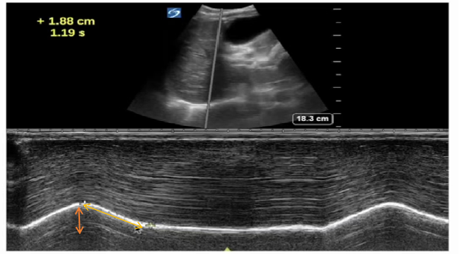
正常人膈肌收缩速度(1.4±0.4)cm/s,运动幅度:1.88 cm(图15)

膈肌收缩速度:1.88/1.19 = 1.57 cm/s。

图片


图15  正常人膈肌收缩速度


2. 膈肌的厚度及变化率

模式:M超,采样线垂直于膈肌,测量吸气末和呼气末的膈肌厚度。探头:线阵。部位:左、右侧腋前线7~9肋间,探头沿着肋间隙;左、右腋中线7~8肋间,探头标志朝向头侧。


图片


图16  膈肌超声
增厚率%=(吸气末厚度-呼气末厚度)/吸气末厚度×100%,同样至少测量3次呼吸周期求得平均值。


表5  膈肌厚度及其变化率

图片

膈肌功能不全的病因:①脑部病变:多发性硬化、脑卒中、镇静药、睡眠障碍、谵妄等;②脊髓节段受累:肌萎缩侧索硬化、脊髓灰质炎、脊髓空洞症、西尼罗病毒感染、外伤等;③膈神经:吉兰-巴雷综合征、神经脱髓鞘病变、肿瘤压迫、放疗等;④神经肌肉接头:重症肌无力、有机磷中毒;⑤其他疾病:慢阻肺、哮喘、肌炎、肌营养不良;⑥医源性因素:废用性肌萎缩。


05
气道超声


气道超声(图17)常用于气管插管术或气管切开术。对于气管切开术操作前可用超声扫描:鉴别气管、气管旁组织及血管;明确气管的深度;选择最佳切口部位。在操作过程中也可以应用超声进行指导。对于气管插管术,插管后可以应用超声来确定气管导管在气管内、气囊充气情况(调整探头向尾端成角,可找到气囊)(图18)。操作时出现强回声,可以看到伪影,气囊打气和放气可观察到声影移动。

图片

图17  气道超声


图片

图18  气管插管患者的气道超声


气道超声及结果解读如图19所示,国际重症超声联盟生命支持超声路径如图20所示。


图片

图19  气道超声


图片


图20  国际重症超声联盟生命支持超声路径

图片

文献参考

[1] 徐鹏, 耿智隆, 袁红斌. ICU超声手册[M]. 4版. 北京: 人民卫生出版社, 2016: 978-7-117-21831-3/R·21832.
[2]Sultan S R. Association Between Lung Ultrasound Patterns and Pneumonia[J]. Ultrasound Q, 2022, 38(3):246-249. Published 2022 Sep 1. doi:10.1097/RUQ.0000000000000598
图片

作者简介


图片

吴航
武汉市第三医院呼吸与危重症医学科护师
中日友好医院第21届呼吸治疗单修班学员
全部评论 0
Copyright©2020-2026 北京医麦斯科技有限公司 版权所有 京ICP备2020034400号-1 京公网安备11010502043983号