登录方式
方式一:
PC端网页:www.rccrc.cn
输入账号密码登录,可将此网址收藏并保存密码方便下次登录
方式二:
手机端网页:www.rccrc.cn
输入账号密码登录,可将此网址添加至手机桌面并保存密码方便下次登录
方式三:
【重症肺言】微信公众号
输入账号密码登录
注:账号具有唯一性,即同一个账号不能在两个地方同时登录。

体格检查
入院诊断



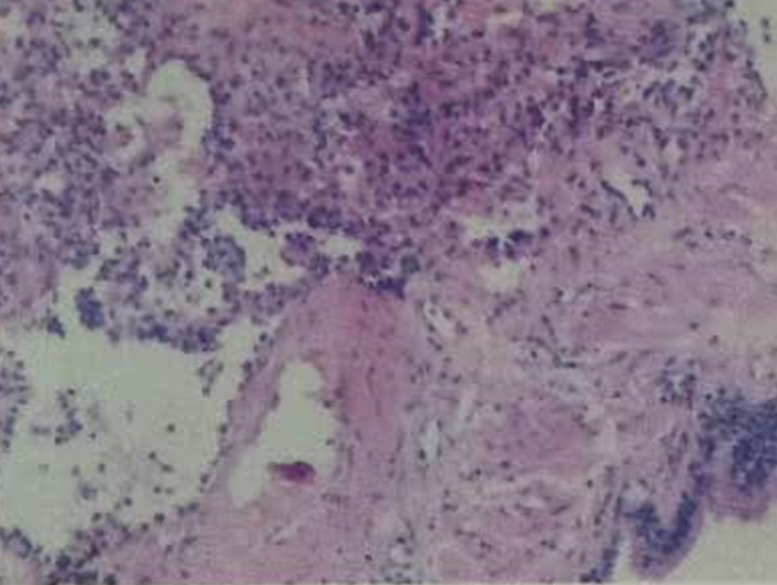
加强抗感染,激素减量。
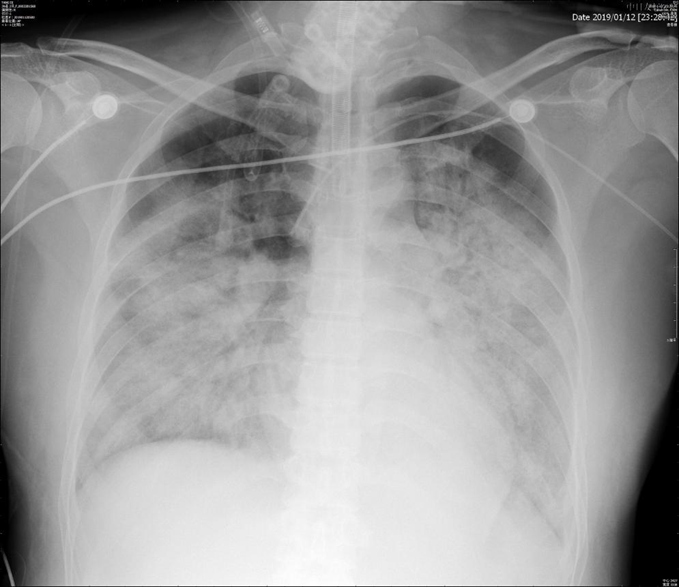
调整方案治疗后,2月2日患者有好转趋势,但在2月4日,由于患者右肺发生气胸(活检在左肺),且出现反复的高危肺栓塞(图8),最终未能抢救成功。
后续我们在首例行TBCB的基础上,逐渐完善了各项流程,极大地提高了安全性。
参考文献
[2] Gibelin A, Parrot A, Maitre B, et al. Acute respiratory distress syndrome mimickers lacking common risk factors of the Berlin definition[J]. Intensive Care Med, 2016, 42(2):164-172.
[3] Guerin C, Bayle F, Leray V, Debord S, et al. Open lung biopsy in nonresolving ARDS frequently identifies diffuse alveolar damage regardless of the severity stage and may have implications for patient management[J]. Intensive Care Med, 2015, 41(2):222-230.
[4] Gerard L, Bidoul T, Castanares-Zapatero D, et al. Open Lung Biopsy in Nonresolving Acute Respiratory Distress Syndrome Commonly Identifies Corticosteroid-Sensitive Pathologies, Associated With Better Outcome[J]. Crit Care Med, 2018, 46(6):907-914.
[5] Palakshappa J A, Meyer N J. Which patients with ARDS benefit from lung biopsy?[J]. Chest, 2015, 148(4):1073-1082.
[6] Papazian L, Doddoli C, Chetaille B, et al. A contributive result of open-lung biopsy improves survival in acute respiratory distress syndrome patients[J]. Crit Care Med, 2007, 35(3):755-762.
[7] Raghu G, Remy-Jardin M, Richeldi L, et al. Idiopathic Pulmonary Fibrosis (an Update) and Progressive Pulmonary Fibrosis in Adults: An Official ATS/ERS/JRS/ALAT Clinical Practice Guideline[J]. Am J Respir Crit Care Med, 2022, 205(9):e18-e47.
[8] Zhou G, Feng Y, Wang S, et al. Transbronchial lung cryobiopsy may be of value for nonresolving acute respiratory distress syndrome: case series and systematic literature review[J]. BMC Pulm Med, 2020, 20(1):183.
[9] Wang S, Feng Y, hang Y, et al. Transbronchial lung biopsy versus transbronchial lung cryobiopsy in critically ill patients with undiagnosed acute hypoxemic respiratory failure: a comparative study[J]. BMC Pulm Med, 2022, 22(1):177.
[10] 中国医师协会呼吸医师分会呼吸危重症专委会, 中国医师协会呼吸医师分会介入呼吸病学工作委员会. 呼吸危重症患者行肺组织活检操作的专家意见[J]. 中华医学杂志, 2022, 102(22):1641-1647.
作者简介
医学博士,副主任医师
中日友好医院呼吸与危重症医学科呼吸病介入诊疗学组骨干
中国医师协会呼吸医师分会青年工作委员会委员
中华医学会呼吸病学分会胸膜及纵隔疾病学组(筹)委员
中国医师协会内镜医师分会呼吸内镜医师青委常委
北京内分泌代谢病学会代谢性呼吸病专委会常委
北京整合医学学会介入诊疗转化医学分会常委
作为负责人/骨干承担国家自然科学基金、医科院临床与转化研究、国家重大专项等3项
以第一作者和通讯作者在Eur Respir J、Respirology、BMC Pulm Med、Ann Transl Med等杂志发表SCI论著12篇
参编《介入肺脏病学理论与实践》《支气管腔内超声图解指南》等专著/译著5部
获国家发明专利1项,实用新型专利4项
后可发表评论
相关推荐
1
肺活检(支气管镜操作)所致大出血的预防与救治
1.2w
2
詹庆元教授:重症肺炎的救治:如何降低病死率?
1.1w
3
李琦教授:重症肺炎早期诊断和危险分层生物标志物研究进展
8631
4
床旁支气管镜在RICU/MICU中的介入治疗
7805
5
一次性支气管镜在RICU有必要吗?
6952
6
健康中国 春归武汉|解立新教授专访:M-ROSE在ICU患者肺部真菌感染中的应用
6563
7
俯卧位通气在重症肺炎中的应用进展
6559
8
黎毅敏教授:重症肺炎的诊治——来自AI的视角
6034
9
通过内标分子进行人源/病原核酸定量宏基因组测序与肺炎诊断
5960
10
重症肺部感染病原学诊断的巨大进步:浅谈二代测序技术
5848
友情链接
联系我们
公众号
客服微信